Efficient 2,3-Butanediol/Acetoin Production Using Whole-Cell Biocatalyst with a New Nadh/Nad(+) Regeneration System
Abstract
:1. Introduction
2. Results and Discussion
2.1. Construction of the Auto-Inducing Expression System
2.2. Expression Profile of Green Fluorescent Protein (GFP) Using S. marcescens
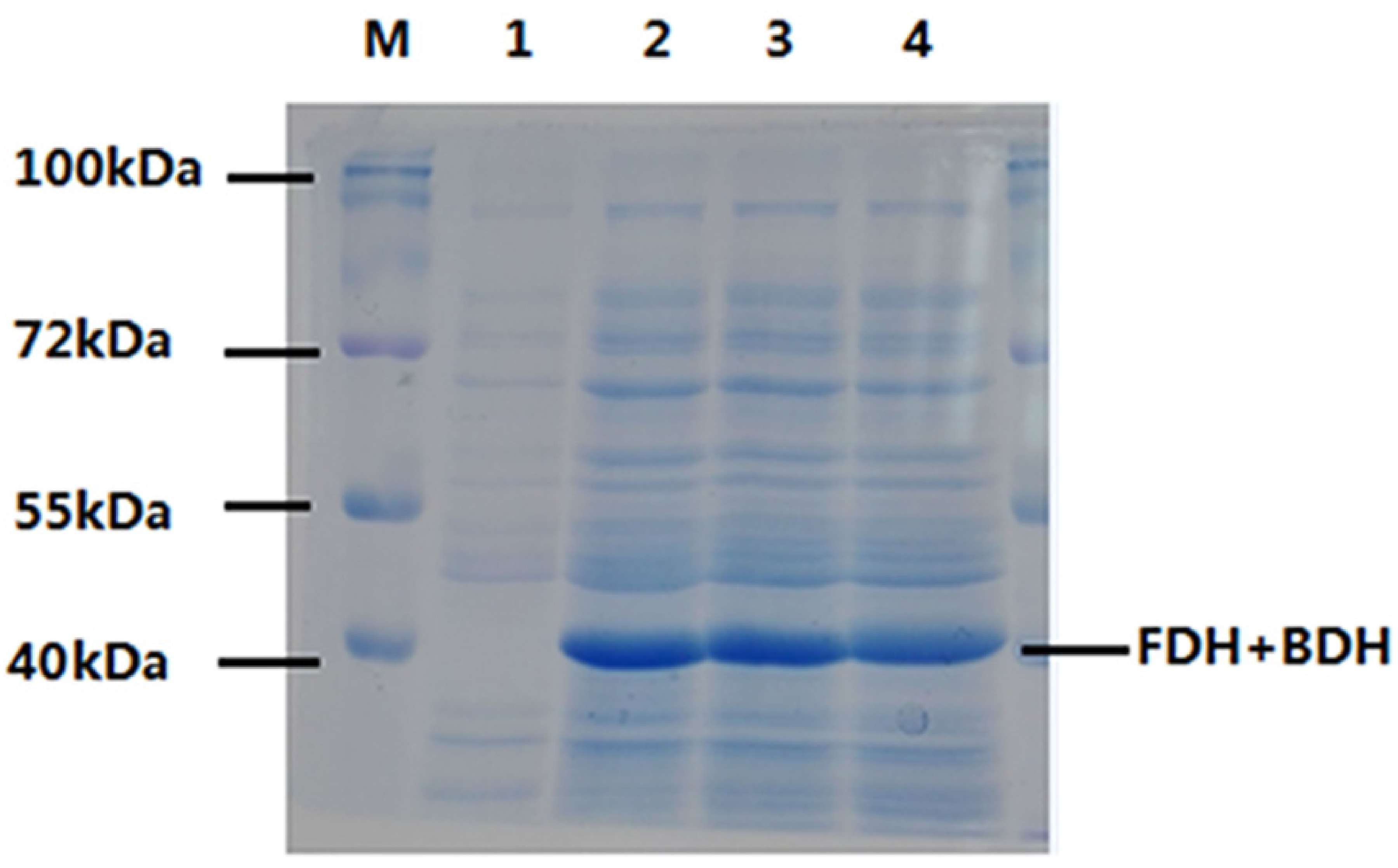
2.3. Bioconversion of Diacetyl to 2,3-Butanediol
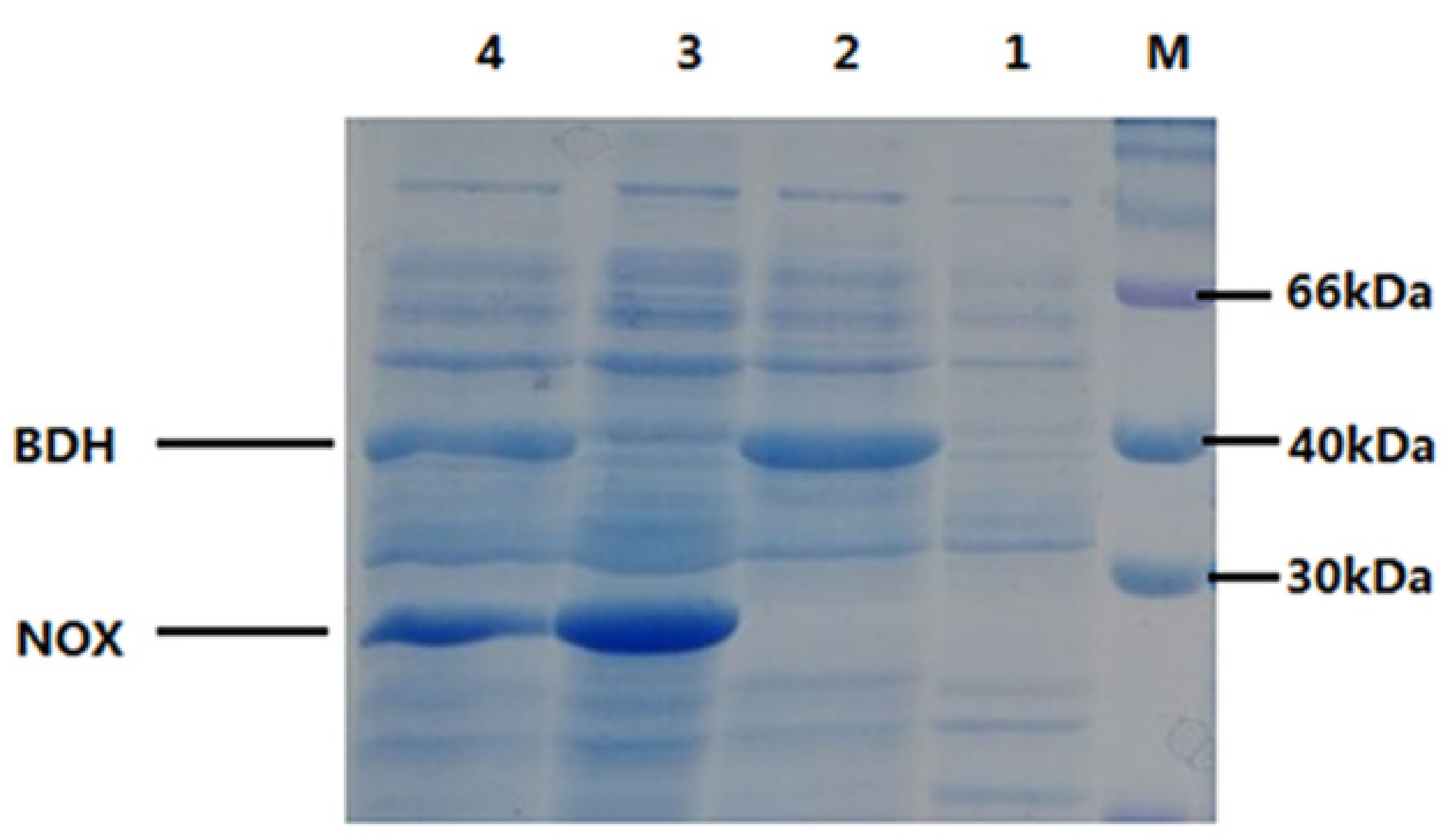
2.4. Bioconversion of 2,3-Butanediol to Acetoin
3. Materials and Methods
3.1. Construction of Recombinant Strain S. marcescens MG1ABC and Plasmid pSWNB
3.2. Construction of Expression Plasmids
3.3. Culture Conditions in Flask and Bioconversion Conditions
3.4. Analytical Procedures
4. Conclusions
Author Contributions
Funding
Conflicts of Interest
Abbreviations
References
- Xiu, Z.L.; Zeng, A.P. Present state and perspective of downstream processing of biologically produced 1,3-propanediol and 2,3-butanediol. Appl. Microbiol. Biotechnol. 2008, 78, 917–926. [Google Scholar] [CrossRef] [PubMed]
- Song, C.W.; Park, J.M.; Chung, S.C.; Lee, S.Y.; Song, H. Microbial production of 2,3-butanediol for industrial applications. J. Ind. Microbiol. Biotechnol. 2019, 46, 1583–1601. [Google Scholar] [CrossRef] [PubMed]
- Celińska, E.; Grajek, W. Biotechnological production of 2,3-butanediol—Current state and prospects. Biotechnol. Adv. 2009, 27, 715–725. [Google Scholar] [CrossRef] [PubMed]
- Bao, T.; Zhang, X.; Rao, Z.; Zhao, X.; Zhang, R.; Yang, T.; Xu, Z.; Yang, S. Efficient whole-cell biocatalyst for acetoin production with NAD+ regeneration system through homologous co-expression of 2,3-butanediol dehydrogenase and NADH oxidase in engineered Bacillus subtilis. PLoS ONE 2014, 9, e102951. [Google Scholar]
- Wang, Y.; Li, L.; Ma, C.; Gao, C.; Tao, F.; Xu, P. Engineering of cofactor regeneration enhances (2S,3S)-2,3-butanediol production from diacetyl. Sci. Rep. 2013, 3, 2643. [Google Scholar] [CrossRef] [PubMed]
- Rao, B.; Zhang, L.Y.; Sun, J.; Su, G.; Wei, D.; Chu, J.; Zhu, J.; Shen, Y. Characterization and regulation of the 2,3-butanediol pathway in Serratia marcescens. Appl. Microbiol. Biotechnol. 2012, 93, 2147–2159. [Google Scholar] [CrossRef] [PubMed]
- Miller, M.B.; Bassler, B.L. Quorum sensing in bacteria. Annu. Rev. Microbiol. 2001, 55, 165–199. [Google Scholar] [CrossRef] [PubMed] [Green Version]
- Taga, M.E.; Bassler, B.L. Chemical communication among bacteria. Proc. Natl. Acad. Sci. USA 2003, 100 (Suppl. 2), 14549–14554. [Google Scholar] [CrossRef] [PubMed] [Green Version]
- Bainton, N.J.; Bycroft, B.W.; Chhabra, S.R.; Stead, P.; Gledhill, L.; Hill, P.J.; Rees, C.E.; Winson, M.K.; Salmond, G.P.; Stewart, G.S.; et al. A general role for the lux autoinducer in bacterial cell signalling: Control of antibiotic biosynthesis in Erwinia. Gene 1992, 116, 87–91. [Google Scholar] [CrossRef]
- Derzelle, S.; Duchaud, E.; Kunst, F.; Danchin, A.; Bertin, P. Identification, characterization, and regulation of a cluster of genes involved in carbapenem biosynthesis in Photorhabdus luminescens. Appl. Environ. Microbiol. 2002, 68, 3780–3789. [Google Scholar] [CrossRef] [PubMed] [Green Version]
- Ben, R.; Jiying, F.; Jian’an, S.; Tu, T.N.; Jing, S.; Jingsong, Z.; Qiuyi; Yaling, S. An auto-inducible expression system based on the RhlI-RhlR quorum-sensing regulon for recombinant protein production in E. coli. Biotechnol. Bioproc. E 2016, 21, 160–168. [Google Scholar] [CrossRef]









| Strain | 2,3-BDH Activity (U/mg) | FDH Activity (U/mg) |
|---|---|---|
| S. MG1ABC (pETDuet) | ND | ND |
| S. MG1ABC (pETDuet-bdhA) | 108.1 ± 2.1 | ND |
| S.MG1ABC (pETDuet-bdhA-fdh) | 57.8 ± 1.6 | 0.5 ± 0.03 |
| Strain | 2,3-BD (g/L) | AC (g/L) | Productivity of 2,3-BD (g/(Lh)) | Yield of 2,3-BD (%) |
|---|---|---|---|---|
| S. MG1ABC (pETDuet) | ND | ND | ||
| S. MG1ABC (pETDuet-bdhA) | 22.7 ± 0.45 | 1.8 ± 0.09 | 3.78 ± 0.06 | 75.6 ± 1.23 |
| S. MG1ABC (pETDuet-bdhA-fdh) | 27.95 ± 0.52 | 1.35 ± 0.12 | 4.66 ± 0.11 | 93.1 ± 1.45 |
| Strains | AR Activity (U/mg) | BDH Activity (U/mg) | NOX Activity (U/mg) |
|---|---|---|---|
| S. MG1ABC (pETDuet) | ND | ND | ND |
| S. MG1ABC (pETDuet-bdhA) | 221.3 ± 2.3 | 103.2 ± 1.7 | ND |
| S. MG1ABC (pETDuet-bdhA-yodC) | 212.4 ± 1.4 | 89.2 ± 0.7 | 150.1 ± 2.3 |
| Strain | 2,3-BD(g/L) | AC(g/L) | Productivity of AC (g/(Lh)) | Yield of AC (%) |
|---|---|---|---|---|
| S. MG1ABC (pETDuet) | ND | ND | ||
| S. MG1ABC (pETDuet-bdhA) | 10.9 ± 0.76 | 38.5 ± 0.45 | 3.2 ± 0.06 | 77 ± 1.23 |
| S. MG1ABC (pETDuet-bdhA- yodC) | 4.1 ± 0.78 | 44.9 ± 0.52 | 3.74 ± 0.11 | 89.8 ± 1.45 |
| Strain or Plasmid | Relevant Characteristics | Reference or Source |
|---|---|---|
| Serratia marcescens MG1 | The source of other strains in this study | Rao et al. (2012) |
| Serratia marcescens MG1I | Serratia marcescens MG1 swrI- mutant | Rao et al. (2012) |
| Serratia marcescens MG1R | Serratia marcescens MG1 slaR- mutant | Rao et al. (2012) |
| Serratia marcescens MG1ABC | Serratia marcescens MG1 slaABC- mutant | In this study |
| pBT-1 | pBT vector without λcI gene | Rao et al. (2012) |
| pBT-2 | pBT-1 vector carrying T7 RNA polymerase gene | Rao et al. (2012) |
| pSWNB | Newly constructed “switch” vector | In this study |
| pET28a | T7-based expression vector | Invitrogen |
| pETDuet | T7-based expression vector | Invitrogen |
| pET28a-gfp | pET28a vector containing gfp expression cassette | In this study |
| pETDuet-bdhA | pETDuet vector containing bdhA expression cassette | In this study |
| pETDuet-bdhA- yodC | pETDuet vector containing bdhA and yodC expression cassettes | In this study |
| pETDuet-bdhA-fdh | pETDuet vector containing bdhA and fdh expression cassettes | In this study |
| Primer | Sequence |
|---|---|
| pSWNBf | attggatccGAGCCGCCTGCGGAGTTGAT |
| pSWNBr | attctcgagGGCAATGGTGGTTTCACCCTC |
| Pgfpf | attcatatgATGAGTAAAGGAGAAGAACTTTCACTGG |
| Pgfpr | attggatccTCACTTGTACAGCTCGTCCATGCC |
| PbdhAf | attagatctATGAAGGCAGCAAGATGG |
| PbdhAr | attctcgagATGACGAATA CTCTGGAT |
| Pnoxf | attccatggGTTAGGTCTAACAAGG |
| Pnoxr | attgtcgacCAGCCAA GTTGATAC |
| Pfdhf | attagatctAAGATCGTTTTAGTCTTATATGATGCTGGTA |
| Pfdhr | attctcgagTTATTTCTTATCGTGTTTACCGTAAGCTTTG |
Publisher’s Note: MDPI stays neutral with regard to jurisdictional claims in published maps and institutional affiliations. |
© 2021 by the authors. Licensee MDPI, Basel, Switzerland. This article is an open access article distributed under the terms and conditions of the Creative Commons Attribution (CC BY) license (https://creativecommons.org/licenses/by/4.0/).
Share and Cite
Wang, Y.; Peng, Y.; Liu, X.; Zhou, R.; Liao, X.; Min, Y.; Hu, Y.; Wang, Y.; Rao, B. Efficient 2,3-Butanediol/Acetoin Production Using Whole-Cell Biocatalyst with a New Nadh/Nad(+) Regeneration System. Catalysts 2021, 11, 1422. https://doi.org/10.3390/catal11121422
Wang Y, Peng Y, Liu X, Zhou R, Liao X, Min Y, Hu Y, Wang Y, Rao B. Efficient 2,3-Butanediol/Acetoin Production Using Whole-Cell Biocatalyst with a New Nadh/Nad(+) Regeneration System. Catalysts. 2021; 11(12):1422. https://doi.org/10.3390/catal11121422
Chicago/Turabian StyleWang, Yaping, Yanhong Peng, Xiaoyan Liu, Ronghua Zhou, Xianqing Liao, Yong Min, Yong Hu, Ying Wang, and Ben Rao. 2021. "Efficient 2,3-Butanediol/Acetoin Production Using Whole-Cell Biocatalyst with a New Nadh/Nad(+) Regeneration System" Catalysts 11, no. 12: 1422. https://doi.org/10.3390/catal11121422
APA StyleWang, Y., Peng, Y., Liu, X., Zhou, R., Liao, X., Min, Y., Hu, Y., Wang, Y., & Rao, B. (2021). Efficient 2,3-Butanediol/Acetoin Production Using Whole-Cell Biocatalyst with a New Nadh/Nad(+) Regeneration System. Catalysts, 11(12), 1422. https://doi.org/10.3390/catal11121422
