Conjunctival Squamous Cell Carcinoma: A Clinical Review of Diagnostic Features, Genetics, Current Management and an Update on Targeted and Immunotherapies
Simple Summary
Abstract
1. Introduction
2. Epidemiology
3. Aetiology and Pathogenesis
4. Clinical Presentation and Assessment
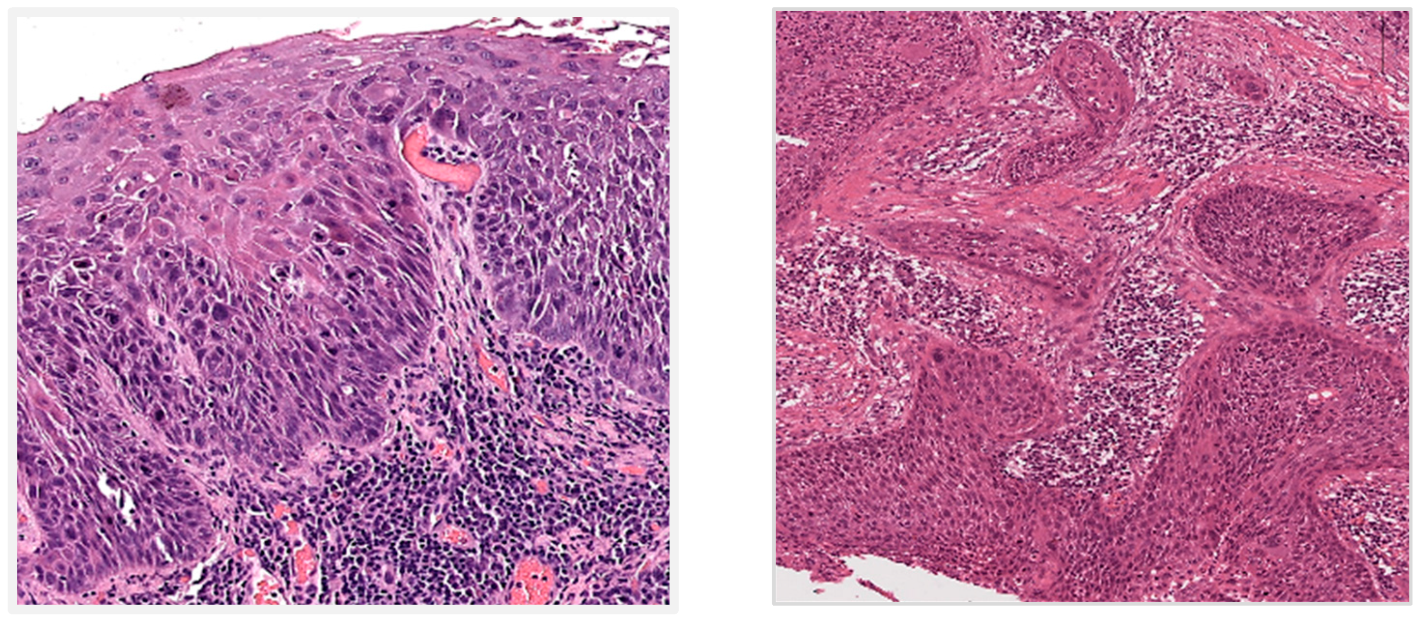
5. Histomorphological Features
6. Treatment and Prognosis
7. Future Direction and Conclusions
Author Contributions
Funding
Data Availability Statement
Acknowledgments
Conflicts of Interest
References
- Yang, J.; Foster, C.S. Squamous Cell Carcinoma of the Conjunctiva. Int. Ophthalmol. Clin. 1997, 37, 73–85. [Google Scholar] [CrossRef] [PubMed]
- Gichuhi, S.; Sagoo, M.S.; Weiss, H.A.; Burton, M.J. Epidemiology of ocular surface squamous neoplasia in Africa. Trop. Med. Int. Health 2013, 18, 1424–1443. [Google Scholar] [CrossRef] [PubMed]
- Newton, R.; Ferlay, J.; Reeves, G.; Beral, V.; Parkin, D.M. Effect of ambient solar ultraviolet radiation on incidence of squamous-cell carcinoma of the eye. Lancet 1996, 347, 1450–1451. [Google Scholar] [CrossRef]
- Sun, E.C.; Fears, T.R.; Goedert, J.J. Epidemiology of squamous cell conjunctival cancer. Cancer Epidemiol. Biomark. Prev. 1997, 6, 73–77. [Google Scholar]
- Darwich, R.; Ghazawi, F.M.; Le, M.; Rahme, E.; Alghazawi, N.; Zubarev, A.; Moreau, L.; Sasseville, D.; Jr, M.N.B.; Litvinov, I.V. Epidemiology of invasive ocular surface squamous neoplasia in Canada during 1992–2010. Br. J. Ophthalmol. 2020, 104, 1368–1372. [Google Scholar] [CrossRef]
- Yin, V.T.; Merritt, H.A.; Sniegowski, M.; Esmaeli, B. Eyelid and ocular surface carcinoma: Diagnosis and management. Clin. Dermatol. 2015, 33, 159–169. [Google Scholar] [CrossRef]
- Emmanuel, B.; Ruder, E.; Lin, S.W.; Abnet, C.; Hollenbeck, A.; Mbulaiteye, S. Incidence of squamous-cell carcinoma of the conjunctiva and other eye cancers in the NIH-AARP Diet and Health Study. Ecancermedicalscience 2012, 6, 254. [Google Scholar]
- McKelvie, P.A.; Daniell, M.; McNab, A.; Loughnan, M.; Santamaria, J.D. Squamous cell carcinoma of the conjunctiva: A series of 26 cases. Br. J. Ophthalmol. 2002, 86, 168–173. [Google Scholar] [CrossRef]
- Margo, C.E.; White, A.A. Ocular surface squamous neoplasia: Terminology that is conceptually friendly but clinically perilous. Eye 2014, 28, 507–509. [Google Scholar] [CrossRef]
- Donaldson, M.J.; Sullivan, T.J.; Whitehead, K.J.; Williamson, R.M. Squamous cell carcinoma of the eyelids. Br. J. Ophthalmol. 2002, 86, 1161–1165. [Google Scholar] [CrossRef]
- Gichuhi, S.; Macharia, E.; Kabiru, J.; Zindamoyen, A.M.; Rono, H.; Ollando, E.; Wanyonyi, L.; Wachira, J.; Munene, R.; Onyuma, T.; et al. Clinical Presentation of Ocular Surface Squamous Neoplasia in Kenya. JAMA Ophthalmol. 2015, 133, 1305–1313. [Google Scholar] [CrossRef] [PubMed]
- Gichuhi, S.; Sagoo, M.S. Squamous cell carcinoma of the conjunctiva. Commun. Eye Health 2016, 29, 52–53. [Google Scholar]
- Gichuhi, S.; Ohnuma, S.; Sagoo, M.S.; Burton, M.J. Pathophysiology of ocular surface squamous neoplasia. Exp. Eye Res. 2014, 129, 172–182. [Google Scholar] [CrossRef]
- Kaliki, S.; Vempuluru, V.S.; Ghose, N.; Gunda, S.; Vithalani, N.M.; Sultana, S.; Ganguly, A.; Bejjanki, K.M.; Jakati, S.; Mishra, D.K. Ocular surface squamous neoplasia in India: A study of 438 patients. Int. Ophthalmol. 2022, 42, 1915–1926. [Google Scholar] [CrossRef]
- Choi, C.J.; Jakobiec, F.A.; Zakka, F.R.; Foster, C.S.; Chodosh, J.; Freitag, S.K. Conjunctival Squamous Cell Neoplasia Associated With Ocular Cicatricial Pemphigoid. Ophthalmic Plast. Reconstr. Surg. 2017, 33, e157–e160. [Google Scholar] [CrossRef]
- Galati, L.; Combes, J.D.; Gupta, P.; Sen, R.; Robitaille, A.; Brancaccio, R.N.; Atsou, K.; Cuenin, C.; McKay-Chopin, S.; Tornesello, M.L.; et al. Detection of a large spectrum of viral infections in conjunctival premalignant and malignant lesions. Int. J. Cancer 2020, 147, 2862–2870. [Google Scholar] [CrossRef]
- Hämmerl, L.; Ferlay, J.; Borok, M.; Carrilho, C.; Parkin, D.M. The burden of squamous cell carcinoma of the conjunctiva in Africa. Cancer Epidemiol. 2019, 61, 150–153. [Google Scholar] [PubMed]
- Djulbegovic, M.B.; Uversky, V.N.; Karp, C.L.; Harbour, J.W. Functional impact of titin (TTN) mutations in ocular surface squamous neoplasia. Int. J. Biol. Macromol. 2022, 195, 93–101. [Google Scholar] [CrossRef]
- Sakai, A.; Tagami, M.; Kakehashi, A.; Katsuyama-Yoshikawa, A.; Misawa, N.; Wanibuchi, H.; Azumi, A.; Honda, S. Expression, intracellular localization, and mutation of EGFR in conjunctival squamous cell carcinoma and the association with prognosis and treatment. PLoS ONE 2020, 15, e0238120. [Google Scholar] [CrossRef]
- Scholz, S.L.; Thomasen, H.; Reis, H.; Möller, I.; Darawsha, R.; Müller, B.; Dekowski, D.; Sucker, A.; Schilling, B.; Schadendorf, D.; et al. Frequent TERT Promoter Mutations in Ocular Surface Squamous Neoplasia. Investig. Ophthalmol. Vis. Sci. 2015, 56, 5854–5861. [Google Scholar] [CrossRef] [PubMed]
- Ng, J.; Coroneo, M.T.; Wakefield, D.; Di Girolamo, N. Ultraviolet Radiation and the Role of Matrix Metalloproteinases in the Pathogenesis of Ocular Surface Squamous Neoplasia. Investig. Ophthalmol. Vis. Sci. 2008, 49, 5295–5306. [Google Scholar] [CrossRef]
- Ateenyi-Agaba, C.; Dai, M.; Le Calvez, F.; Katongole-Mbidde, E.; Smet, A.; Tommasino, M.; Franceschi, S.; Hainaut, P.; Weiderpass, E. TP53 mutations in squamous-cell carcinomas of the conjunctiva: Evidence for UV-induced mutagenesis. Mutagenesis 2004, 19, 399–401. [Google Scholar] [CrossRef]
- Mahale, A.; Alkatan, H.; Alwadani, S.; Othman, M.; Suarez, M.J.; Price, A.; Al-Hussain, H.; Jastaneiah, S.; Yu, W.; Maktabi, A.; et al. Altered gene expression in conjunctival squamous cell carcinoma. Mod. Pathol. 2016, 29, 452–460. [Google Scholar] [CrossRef]
- de Alba Graue, P.G.; Esposito, E.; Zoroquiain, P.; Beatriz, A.; Dias, T.; Burnier, M. HER2 as a possible therapeutic target in squamous cell carcinoma of the conjunctiva. Ann. Eye Sci. 2018, 3, AB079. [Google Scholar] [CrossRef]
- Asnaghi, L.; Alkatan, H.; Mahale, A.; Othman, M.; Alwadani, S.; Al-Hussain, H.; Jastaneiah, S.; Yu, W.; Maktabi, A.; Edward, D.P.; et al. Identification of multiple DNA copy number alterations including frequent 8p11.22 amplification in conjunctival squamous cell carcinoma. Investig. Ophthalmol. Vis. Sci. 2014, 55, 8604–8613. [Google Scholar] [CrossRef] [PubMed]
- Starita, N.; Buonaguro, L.; Buonaguro, F.M.; Tornesello, M.L. Telomerase promoter mutations in human immunodeficiency virus-related conjunctiva neoplasia. J. Transl. Med. 2018, 16, 77. [Google Scholar] [CrossRef] [PubMed]
- Lin, S.Y.; Liao, S.L.; Hong, J.B.; Chu, C.Y.; Sheen, Y.S.; Jhuang, J.Y.; Tsai, J.-H.; Liau, J.-Y. TERT promoter mutations in periocular carcinomas: Implications of ultraviolet light in pathogenesis. Br. J. Ophthalmol. 2016, 100, 274–277. [Google Scholar] [CrossRef] [PubMed]
- de la Vega, L.L.; Bick, N.; Hu, K.; Rahrig, S.E.; Silva, C.D.; Matayoshi, S.; Picciarelli, P.; Wang, X.; Sugar, A.; Soong, H.K.; et al. Invasive squamous cell carcinomas and precursor lesions on UV-exposed epithelia demonstrate concordant genomic complexity in driver genes. Mod. Pathol. 2020, 33, 2280–2294. [Google Scholar] [CrossRef]
- Di Girolamo, N.; Atik, A.; McCluskey, P.J.; Wakefield, D. Matrix metalloproteinases and their inhibitors in squamous cell carcinoma of the conjunctiva. Ocul. Surf. 2013, 11, 193–205. [Google Scholar] [CrossRef]
- Kenawy, N.; Garrick, A.; Heimann, H.; Coupland, S.E.; Damato, B.E. Conjunctival squamous cell neoplasia: The Liverpool Ocular Oncology Centre experience. Graefes Arch. Clin. Exp. Ophthalmol. 2015, 253, 143–150. [Google Scholar] [CrossRef]
- Yousef, Y.A.; Finger, P.T. Squamous carcinoma and dysplasia of the conjunctiva and cornea: An analysis of 101 cases. Ophthalmology 2012, 119, 233–240. [Google Scholar]
- Miller, C.V.; Wolf, A.; Klingenstein, A.; Decker, C.; Garip, A.; Kampik, A.; Hintschich, C. Clinical outcome of advanced squamous cell carcinoma of the conjunctiva. Eye 2014, 28, 962–967. [Google Scholar] [CrossRef]
- Faustina, M.; Diba, R.; Ahmadi, M.A.; Esmaeli, B. Patterns of regional and distant metastasis in patients with eyelid and periocular squamous cell carcinoma. Ophthalmology 2004, 111, 1930–1932. [Google Scholar] [CrossRef] [PubMed]
- Chauhan, S.; Sen, S.; Sharma, A.; Tandon, R.; Kashyap, S.; Pushker, N.; Vanathi, M.; Sharma, N. American Joint Committee on Cancer Staging and clinicopathological high-risk predictors of ocular surface squamous neoplasia: A study from a tertiary eye center in India. Arch. Pathol. Lab. Med. 2014, 138, 1488–1494. [Google Scholar] [CrossRef]
- Yamamoto, H.; Mudhar, H.S.; Cherepanoff, S.; Eberhart, C.G.; Heindl, L.M.; Ferreira, T. Conjunctival squamous cell carcinoma. In WHO Classification of Tumours: Eye and Orbit Tumours, 5th ed.; Board WCoTE, Ed.; WHO Classification of Tumours Series; International Agency for Research on Cancer: Lyon, France, 2025; Volume 13. [Google Scholar]
- Heegaard, S.; Alkatan, H.; Eberhart, C.G.; M., H.L. Conjunctival squamous intraepithelial neoplasia. In WHO Classification of Tumours: Eye and Orbit Tumours, 5th ed.; Board WCoTE, Ed.; WHO Classification of Tumours Series; International Agency for Research on Cancer: Lyon, France, 2025; Volume 13. [Google Scholar]
- Demirci, H.; Elner, V.M.; Demirci, F.Y.; Robinson, D.R.; Chinnaiyan, A.; Schlachter, D.; Joseph, S.; Worden, F. Immunotherapy for Conjunctival Squamous Cell Carcinoma with Orbital Extension. Ophthalmology 2021, 128, 801–804. [Google Scholar] [CrossRef]
- Demirci, H.; Vo, J.N.; Wu, Y.-M.; Elner, V.; Chinnaiyan, A.M.; Robinson, D.; Demirci, F.Y. Next-Generation Sequencing-Based Molecular Profiling of Conjunctival Squamous Cell Carcinoma and Its Potential Application for Therapy. Ophthalmol. Sci. 2025, 5, 100801. [Google Scholar] [CrossRef]
- Kanda, M.; Jayawickrema, N.; Davagnanam, I.; Samia-Aly, E.; Gupta, T.; Daniel, C. Cemiplimab in advanced periocular conjunctival and cutaneous squamous cell carcinoma: A United Kingdom case series. Orbit 2025, 45, 63–73. [Google Scholar] [CrossRef]
- Esmaeli, B.; Fan, J.; Goldberg, H.; Lu, T.; Gross, N.D.; Akhave, N.; Sousa, L.G.; Ferrarotto, R. Immune checkpoint inhibitors with or without chemotherapy for orbital, conjunctival, and ocular adnexal squamous cell carcinoma. Can. J. Ophthalmol. 2025, 60, e38–e51. [Google Scholar]
- Azad, A.D.M.; Zhang, J.J.B.; Emerick, K.S.; Shalhout, S.Z.; Kaufman, H.L.; Miller, D.M.M.; Lee, N.G.; Yoon, M.K.; Freitag, S.K.; Stagner, A.M.; et al. Immunotherapy for Advanced Conjunctival Squamous Cell Carcinoma: Treatment Failures. Ophthalmic Plast. Reconstr. Surg. 2025, 41, 646–650. [Google Scholar] [CrossRef] [PubMed]
- Ceylanoglu, K.S.; Eisenberg, A.; Worden, F.P.; Elner, V.M.; Demirci, H. Use of Cemiplimab, an Immune Checkpoint Inhibitor for Conjunctival Intraepithelial Neoplasia. Cornea 2024, 43, 528–530. [Google Scholar] [CrossRef] [PubMed]
- Steren, B.B.; Burtness, B.; Bhatia, A.M.; Demirci, H.; Shinder, R.; Yoo, D.; Tse, B.; Pointdujour-Lim, R. Cemiplimab for Orbital Squamous Cell Carcinoma in 11 Cases. Ophthalmic Plast. Reconstr. Surg. 2022, 38, 496–502. [Google Scholar] [CrossRef]
- Hoffmann, M.; Schardt, J.; Ionescu, C.; Wolf-Schnurrbusch, U.E.; Wagner, F.; Dettmer, M.S.; Olariu, R.; Özdemir, B.C. Long lasting response to anti-PD-1 therapy of recurrent conjunctival squamous cell carcinoma-A case report and systematic review of the literature. Curr. Probl. Cancer Case Rep. 2021, 4, 100088. [Google Scholar] [CrossRef]
- El-Sawy, T.; Sabichi, A.L.; Myers, J.N.; Kies, M.S.; William, W.N.; Glisson, B.S.; Lippman, S.; Esmaeli, B. Epidermal Growth Factor Receptor Inhibitors for Treatment of Orbital Squamous Cell Carcinoma. Arch. Ophthalmol. 2012, 130, 1608–1611. [Google Scholar] [CrossRef]
- Youn, G.M.; Case, A.G.; Jarin, T.; Li, B.; Swarup, A.; Naranjo, A.; Bou-Khalil, C.; Yao, J.; Zhou, Q.; Hom, M.E.; et al. The Use of Panitumumab-IRDye800CW in a Novel Murine Model for Conjunctival Squamous Cell Carcinoma. Transl. Vis. Sci. Technol. 2022, 11, 23. [Google Scholar] [CrossRef] [PubMed]
- Finger, P.T.; Chin, K.J. Refractory Squamous Cell Carcinoma of the Conjunctiva Treated With Subconjunctival Ranibizumab (Lucentis): A Two-Year Study. Ophthalmic Plast. Reconstr. Surg. 2012, 28, 85–89. [Google Scholar] [CrossRef] [PubMed]
- Pe’er, J. Ocular surface squamous neoplasia. Clin. Ophthalmic Oncol. 2005, 18, 27–49. [Google Scholar] [CrossRef] [PubMed]
- Turner, H.C.; Budak, M.T.; Akinci, M.A.; Wolosin, J.M. Comparative analysis of human conjunctival and corneal epithelial gene expression with oligonucleotide microarrays. Investig. Ophthalmol. Vis. Sci. 2007, 48, 2050–2061. [Google Scholar] [CrossRef]
- Mehta, M.; Fay, A. Squamous cell carcinoma of the eyelid and conjunctiva. Int. Ophthalmol. Clin. 2009, 49, 111–121. [Google Scholar] [CrossRef]
- Shields, C.L.; Demirci, H.; Karatza, E.; Shields, J.A. Clinical survey of 1643 melanocytic and nonmelanocytic conjunctival tumors. Ophthalmology 2004, 111, 1747–1754. [Google Scholar] [CrossRef]
- Ateenyi-Agaba, C. Conjunctival squamous-cell carcinoma associated with HIV infection in Kampala, Uganda. Lancet 1995, 345, 695–696. [Google Scholar] [CrossRef]
- Daya-Grosjean, L.; Dumaz, N.; Sarasin, A. The specificity of p53 mutation spectra in sunlight induced human cancers. J. Photochem. Photobiol. B 1995, 28, 115–124. [Google Scholar] [CrossRef] [PubMed]
- Dérijard, B.; Hibi, M.; Wu, I.H.; Barrett, T.; Su, B.; Deng, T.; Karin, M.; Davis, R.J. JNK1: A protein kinase stimulated by UV light and Ha-Ras that binds and phosphorylates the c-Jun activation domain. Cell 1994, 76, 1025–1037. [Google Scholar] [CrossRef]
- Blackburn, E.H. Telomeres and telomerase: Their mechanisms of action and the effects of altering their functions. FEBS Lett. 2005, 579, 859–862. [Google Scholar] [CrossRef]
- Chauhan, S.; Sen, S.; Chauhan, S.S.; Pushker, N.; Tandon, R.; Kashyap, S.; Vanathi, M.; Bajaj, M.S. Stratifin in ocular surface squamous neoplasia and its association with p53. Acta Ophthalmol. 2021, 99, e1483–e1491. [Google Scholar] [CrossRef]
- Dong, Z.; Kase, S.; Ando, R.; Fukuhara, J.; Kinoshita, S.; Dong, Y.; Takashina, S.; Kanda, A.; Noda, M.; Noda, K.; et al. Expression of αB-crystallin and vascular endothelial growth factor in conjunctival squamous cell carcinoma. Anticancer Res. 2013, 33, 3745–3751. [Google Scholar]
- Nagarajan, P.; El-Hadad, C.; Gruschkus, S.K.; Ning, J.; Hudgens, C.W.; Sagiv, O.; Gross, N.; Tetzlaff, M.T.; Esmaeli, B. PD-L1/PD1 Expression, Composition of Tumor-Associated Immune Infiltrate, and HPV Status in Conjunctival Squamous Cell Carcinoma. Investig. Ophthalmol. Vis. Sci. 2019, 60, 2388–2398. [Google Scholar] [CrossRef]
- Slater, N.A.; Googe, P.B. PD-L1 expression in cutaneous squamous cell carcinoma correlates with risk of metastasis. J. Cutan. Pathol. 2016, 43, 663–670. [Google Scholar] [CrossRef]
- Muchengeti, M.; Bohlius, J.; Dhokotera, T.G. Conjunctival cancer in people living with HIV. Curr. Opin. Infect. Dis. 2021, 34, 1–7. [Google Scholar] [CrossRef] [PubMed]
- Ramberg, I.; Møller-Hansen, M.; Toft, P.B.; Funding, M.; Heegaard, S. Human papillomavirus infection plays a role in conjunctival squamous cell carcinoma: A systematic review and meta-analysis of observational studies. Acta Ophthalmol. 2021, 99, 478–488. [Google Scholar] [CrossRef]
- Griffin, H.; Mudhar, H.S.; Rundle, P.; Shiraz, A.; Mahmood, R.; Egawa, N.; Quint, W.; Rennie, I.G.; Doorbar, J. Human papillomavirus type 16 causes a defined subset of conjunctival in situ squamous cell carcinomas. Mod. Pathol. 2020, 33, 74–90. [Google Scholar] [CrossRef] [PubMed]
- Ramberg, I.; Toft, P.B.; Georgsen, J.B.; Siersma, V.D.; Funding, M.; Jensen, D.H.; von Buchwald, C.; Heegaard, S. Conjunctival intraepithelial neoplasia and carcinoma: Distinct clinical and histological features in relation to human papilloma virus status. Br. J. Ophthalmol. 2021, 105, 878–883. [Google Scholar] [CrossRef] [PubMed]
- Cervantes, G.; Rodríguez, A.A., Jr.; Leal, A.G. Squamous cell carcinoma of the conjunctiva: Clinicopathological features in 287 cases. Can. J. Ophthalmol. 2002, 37, 14–19; discussion 9–20. [Google Scholar] [CrossRef]
- Krachmer, J.H.; Mannis, M.J.; Holland, E.J. Cornea: Fundamentals, Diagnosis, and Management. Am. Orthopt. J. 2011, 61, 147. [Google Scholar] [CrossRef]
- Nelson, K.D.; McSoley, J.J. Clinical findings and management of conjunctival intraepithelial neoplasia. Optometry 2011, 82, 15–21. [Google Scholar] [CrossRef]
- Shields, C.L.; Shields, J.A. Tumors of the conjunctiva and cornea. Surv. Ophthalmol. 2004, 49, 3–24. [Google Scholar] [CrossRef]
- Kwitko, M.L.; Boniuk, M.; Zimmerman, L.E. Eyelid Tumors With Reference to Lesions Confused With Squamous Cell Carcinoma: I. Incidence and Errors in Diagnosis. Arch. Ophthalmol. 1963, 69, 693–697. [Google Scholar] [CrossRef]
- Gichuhi, S.; Macharia, E.; Kabiru, J.; Zindamoyen, A.M.B.; Rono, H.; Ollando, E.; Wanyonyi, L.; Wachira, J.; Munene, R.; Onyuma, T.; et al. Toluidine blue 0.05% vital staining for the diagnosis of ocular surface squamous neoplasia in Kenya. JAMA Ophthalmol. 2015, 133, 1314–1321. [Google Scholar] [CrossRef]
- Thomas, B.J.; Galor, A.; Nanji, A.A.; El Sayyad, F.; Wang, J.; Dubovy, S.R.; Joag, M.G.; Karp, C.L. Ultra high-resolution anterior segment optical coherence tomography in the diagnosis and management of ocular surface squamous neoplasia. Ocul. Surf. 2014, 12, 46–58. [Google Scholar] [CrossRef]
- Stevens, S.M.; Reyes-Capo, D.P.; Patel, U.; Choudhary, A.; Khzam, R.A.; Tang, V.; Galor, A.M.; Karp, C.L.; Dubovy, S. Clinical and Optical Coherence Tomography Comparison Between Ocular Surface Squamous Neoplasia and Squamous Metaplasia. Cornea 2023, 42, 429–434. [Google Scholar] [CrossRef]
- Xu, Y.; Zhou, Z.; Wang, M.; Liu, F.; Qu, H.; Hong, J. The clinical value of in vivo confocal microscopy for diagnosis of ocular surface squamous neoplasia. Eye 2012, 26, 781–787. [Google Scholar] [CrossRef] [PubMed]
- Liu, Z.; Karp, C.L.; Galor, A.; Al Bayyat, G.J.; Jiang, H.; Wang, J. Role of optical coherence tomography angiography in the characterization of vascular network patterns of ocular surface squamous neoplasia. Ocul. Surf. 2020, 18, 926–935. [Google Scholar] [CrossRef]
- Karp, C.L.; Mercado, C.; Venkateswaran, N.; Ruggeri, M.; Galor, A.; Garcia, A.; Sivaraman, K.R.; Fernandez, M.P.; Bermudez, A.; Dubovy, S.R. Use of High-Resolution Optical Coherence Tomography in the Surgical Management of Ocular Surface Squamous Neoplasia: A Pilot Study. Am. J. Ophthalmol. 2019, 206, 17–31. [Google Scholar] [CrossRef]
- Jaworski, A.; Wolffsohn, J.S.; Napper, G.A. Detection, aetiology and management of conjunctival intraepithelial neoplasia. Ophthalmic Physiol. Opt. 2000, 20, 371–380. [Google Scholar] [CrossRef]
- Lee, G.A.; Hirst, L.W. Ocular surface squamous neoplasia. Surv. Ophthalmol. 1995, 39, 429–450. [Google Scholar] [CrossRef]
- Erie, J.C.; Campbell, R.J.; Liesegang, T.J. Conjunctival and corneal intraepithelial and invasive neoplasia. Ophthalmology 1986, 93, 176–183. [Google Scholar] [CrossRef]
- Grossniklaus, H.E.; Green, W.R.; Luckenbach, M.; Chan, C.C. Conjunctival lesions in adults. A clinical and histopathologic review. Cornea 1987, 6, 78–116. [Google Scholar] [CrossRef]
- Mauriello, J.A.; Napolitano, J.; McLean, I. Actinic keratosis and dysplasia of the conjunctiva: A clinicopathological study of 45 cases. Can. J. Ophthalmol. 1995, 30, 312–316. [Google Scholar]
- Kao, A.A.; Galor, A.; Karp, C.L.; Abdelaziz, A.; Feuer, W.J.; Dubovy, S.R. Clinicopathologic correlation of ocular surface squamous neoplasms at Bascom Palmer Eye Institute: 2001 to 2010. Ophthalmology 2012, 119, 1773–1776. [Google Scholar] [CrossRef]
- Reese, A.; Margo, C.E. Conjunctival squamous intraepithelial neoplasia and its differential diagnosis. J. Clin. Pathol. 2022, 75, 354–358. [Google Scholar] [CrossRef]
- Mishra, D.K.; Taneja, S.; Singh, V.; Veena, U.; Kaliki, S. Histopathological spectrum of ocular surface squamous neoplasia: A retrospective study of 776 lesions. Indian J. Pathol. Microbiol. 2022, 65, 3–7. [Google Scholar] [CrossRef]
- Hamam, R.; Bhat, P.; Foster, C.S. Conjunctival/corneal intraepithelial neoplasia. Int. Ophthalmol. Clin. 2009, 49, 63–70. [Google Scholar] [CrossRef]
- Pizzarello, L.D. Bowen’s disease of the conjunctiva: A misnomer Ocular and adnexal tumors. Am. J. Ophthalmol. 1946, 29, 515–571. [Google Scholar]
- Iliff, W.J.; Marback, R.; Green, W.R. Invasive Squamous Cell Carcinoma of the Conjunctiva. Arch. Ophthalmol. 1975, 93, 119–122. [Google Scholar] [CrossRef] [PubMed]
- Zhang, Z.; Li, B.; Shi, J.; Xu, X.; Li, L.; Gao, F. Intraocular Extension of Conjunctival Squamous Cell Carcinoma. Ophthalmologica 2007, 221, 200–203. [Google Scholar] [CrossRef] [PubMed]
- Cottel, W.I. Perineural invasion by squamous-cell carcinoma. J. Dermatol. Surg. Oncol. 1982, 8, 589–600. [Google Scholar] [CrossRef]
- Albert, D.M.; Jakobiec, F.A. Principles and Practice of Ophthalmology; Saunders: Philadelphia, PA, USA, 2000. [Google Scholar]
- Vempuluru, V.S.; Kapoor, A.G.; Kaliki, S.; Jajapuram, S.D.; Mohamed, A.; Mishra, D.K. Comparative evaluation of clinical characteristics of biopsy-proven conjunctival intraepithelial neoplasia and invasive squamous cell carcinoma using image processing software programs. Int. Ophthalmol. 2021, 41, 1301–1307. [Google Scholar] [CrossRef] [PubMed]
- Nanji, A.A.; Mercado, C.; Galor, A.; Dubovy, S.; Karp, C.L. Updates in Ocular Surface Tumor Diagnostics. Int. Ophthalmol. Clin. 2017, 57, 47–62. [Google Scholar] [CrossRef]
- Mittal, R.; Rath, S.; Vemuganti, G.K. Ocular surface squamous neoplasia—Review of etio-pathogenesis and an update on clinico-pathological diagnosis. Saudi J. Ophthalmol. 2013, 27, 177–186. [Google Scholar] [CrossRef]
- Singh, S.; Mohamed, A.; Kaliki, S. Ocular surface squamous neoplasia: Analysis based on the 8th American Joint Committee on Cancer classification. Int. Ophthalmol. 2019, 39, 1283–1291. [Google Scholar] [CrossRef]
- Brierley, J.D.; Gospodarowicz, M.; Wittekind, C. TNM Classification of Malignant Tumours, 8th ed.; Wiley-Blackwell: Oxford, UK, 2017. [Google Scholar]
- Adler, E.; Turner, J.R.; Stone, D.U. Ocular surface squamous neoplasia: A survey of changes in the standard of care from 2003 to 2012. Cornea 2013, 32, 1558–1561. [Google Scholar] [CrossRef]
- Shields, J.A.; Shields, C.L.; De Potter, P. Surgical management of conjunctival tumors. The 1994 Lynn, B. McMahan Lecture. Arch. Ophthalmol. 1997, 115, 808–815. [Google Scholar] [CrossRef]
- Al Bayyat, G.; Arreaza-Kaufman, D.; Venkateswaran, N.; Galor, A.; Karp, C.L. Update on pharmacotherapy for ocular surface squamous neoplasia. Eye Vis. 2019, 6, 24. [Google Scholar] [CrossRef]
- Ali, M.J.; Pujari, A.; Dave, T.V.; Kaliki, S.; Naik, M.N. Clinicopathological profile of orbital exenteration: 14 years of experience from a tertiary eye care center in South India. Int. Ophthalmol. 2016, 36, 253–258. [Google Scholar] [CrossRef]
- Karp, C.L.; Galor, A.; Chhabra, S.; Barnes, S.D.; Alfonso, E.C. Subconjunctival/perilesional recombinant interferon α2b for ocular surface squamous neoplasia: A 10-year review. Ophthalmology 2010, 117, 2241–2246. [Google Scholar] [CrossRef]
- Nanji, A.A.; Moon, C.S.; Galor, A.; Sein, J.; Oellers, P.; Karp, C.L. Surgical versus medical treatment of ocular surface squamous neoplasia: A comparison of recurrences and complications. Ophthalmology 2014, 121, 994–1000. [Google Scholar] [CrossRef] [PubMed]
- Joag, M.G.; Sise, A.; Murillo, J.C.; Sayed-Ahmed, I.O.; Wong, J.R.; Mercado, C.; Galor, A.; Karp, C.L. Topical 5-Fluorouracil 1% as Primary Treatment for Ocular Surface Squamous Neoplasia. Ophthalmology 2016, 123, 1442–1448. [Google Scholar] [CrossRef] [PubMed]
- Gichuhi, S.; Macharia, E.; Kabiru, J.; Zindamoyen, A.M.; Rono, H.; Ollando, E.; Wachira, J.; Munene, R.; Maina, J.; Onyuma, T.; et al. Topical fluorouracil after surgery for ocular surface squamous neoplasia in Kenya: A randomised, double-blind, placebo-controlled trial. Lancet Glob. Health 2016, 4, e378–e385. [Google Scholar] [CrossRef] [PubMed]
- Zein, M.; De Arrigunaga, S.; Amer, M.M.; Galor, A.; Nichols, A.J.; Ioannides, T.; Dubovy, S.R.; Karp, C.L. Therapeutic Response to Treatment of a Papillomatous Ocular Surface Squamous Neoplasia With Intramuscular Human Papillomavirus Vaccine. Cornea 2024, 43, 1049–1052. [Google Scholar] [CrossRef]
- Sripawadkul, W.; AlBayyat, G.; Galor, A.; Wylegala, A.; Nichols, A.J.; Ioannides, T.; Karp, C.L. Resolution of a Presumed Conjunctival Papilloma After Therapeutic Treatment With the Human Papillomavirus Vaccine. JAMA Ophthalmol. 2022, 140, 434–435. [Google Scholar] [CrossRef]
- Seth, I.; Roberts, P.; Cadieux, D. Gardasil-9 Vaccine as a Possible Treatment Option for Human Papillomavirus Conjunctival Papilloma. Ophthalmology 2023, 130, 532. [Google Scholar] [CrossRef]
- Cekiç, O.; Bardak, Y.; Kapucuoğlu, N. Photodynamic therapy for conjunctival ocular surface squamous neoplasia. J. Ocul. Pharmacol. Ther. 2011, 27, 205–207. [Google Scholar] [CrossRef]
- Arepalli, S.; Kaliki, S.; Shields, C.L.; Emrich, J.; Komarnicky, L.; Shields, J.A. Plaque Radiotherapy in the Management of Scleral-Invasive Conjunctival Squamous Cell Carcinoma: An Analysis of 15 Eyes. JAMA Ophthalmol. 2014, 132, 691–696. [Google Scholar] [CrossRef]
- Panda, B.B.; Dasmajumdar, S.K.; Sadangi, D.; Tripathy, S.R. Radiation therapy in conjunctival squamous cell carcinoma. BMJ Case Rep. 2023, 16, e256262. [Google Scholar] [CrossRef]
- Zheng, T.; Wang, D.; Miao, Y.; Dong, M.; Liu, Q.; Zhang, Q.; Bai, H.; Luo, H.; Li, M. Clinical efficacy and safety of proton radiotherapy for ocular conjunctival malignancies: A systematic review and meta-analysis. Front. Public Health 2025, 13, 1486988. [Google Scholar] [CrossRef]
- Graue, G.F.; Tena, L.B.; Finger, P.T. Electron beam radiation for conjunctival squamous carcinoma. Ophthalmic Plast. Reconstr. Surg. 2011, 27, 277–281. [Google Scholar] [CrossRef]
- Abt, N.B.; Zhao, J.; Huang, Y.; Eghrari, A.O. Prognostic factors and survival for malignant conjunctival melanoma and squamous cell carcinoma over four decades. Am. J. Otolaryngol. 2019, 40, 577–582. [Google Scholar] [CrossRef]
- Vempuluru, V.S.; Indusekhar, H.; Mohamed, A.; Kaliki, S. Metastatic conjunctival squamous cell carcinoma: A study of 5 patients. Int. Ophthalmol. 2022, 42, 3097–3108. [Google Scholar] [CrossRef] [PubMed]
- Bellerive, C.; Berry, J.L.; Polski, A.; Singh, A.D. Conjunctival Squamous Neoplasia: Staging and Initial Treatment. Cornea 2018, 37, 1287–1291. [Google Scholar] [CrossRef] [PubMed]
- Alkatan, H.M.; Al-Motlak, M.A.; Al-Shedoukhy, A.A. Metastatic Squamous Spindle Cell Carcinoma of the conjunctiva. Saudi J. Ophthalmol. 2010, 24, 155–158. [Google Scholar] [CrossRef]
- Asena, L.; Dursun Altınörs, D. Topical Bevacizumab for the Treatment of Ocular Surface Squamous Neoplasia. J. Ocul. Pharmacol. Ther. 2015, 31, 487–490. [Google Scholar] [CrossRef] [PubMed]
- Faramarzi, A.; Feizi, S. Subconjunctival bevacizumab injection for ocular surface squamous neoplasia. Cornea 2013, 32, 998–1001. [Google Scholar] [CrossRef] [PubMed]



| Study | Patient (s) | Stage | Primary Treatment | Agent Used | Dosage | Outcome | Adverse Reactions |
|---|---|---|---|---|---|---|---|
| Esmaeli et al., 2025 [40] | 17 (5 CSCC) | Primary advanced periocular SCC (orbital, conjunctival, lacrimal) | Single systemic ICI or combined with systemic chemotherapy | Cemiplimab or Pembrolizumab | Various cycles. Dosage not specified. | Five complete responses, eight partial responses, four stable disease. At least one CSCC with nodal metastasis achieved complete response and avoided surgery | One patient diabetic ketoacidosis but others not specified |
| Azad et al., 2025 [41] | 5 | Primary advanced CSCC | Systemic ICI therapy | Cemiplimab or Pembrolizumab | 350 mg IV every 3 weeks; 400 mg IV every 6 weeks, respectively | All showed progression, three required exenteration | Not specified |
| Kanda et al., 2025 [39] | 9 | Primary advanced invasive CSCC | Systemic ICI therapy | Cemiplimab | 350 mg IV every 3 weeks | 22% complete response, 33% partial response, 44% progressed | Hypothyroidism, hepatitis |
| Ceylanoglu et al., 2024 [42] | 2 | Primary CSIN; one patient also with metastatic cutaneous SCC | Excisional biopsy with cryotherapy | Cemiplimab | 350 mg IV every 3 weeks | Response shown in metastatic lesions. CSIN continued to grow in both. | Not specified |
| Steren et al., 2022 [43] | 11 | One patient with primary CSCC with orbital involvement; 10 patients with orbital SCC | Excisional biopsy | Cemiplimab | 350 mg IV every 3 weeks | Complete response in 9/11 patients | Pneumonitis, diarrhoea, fatigue, rash |
| Hoffmann et al., 2021 [44] | 59 years old, Female | Recurrent CSCC | Radiotherapy | Cemiplimab | 3 mg/kg IV every 2 weeks | Resolution after 19 months of treatment | None |
| Demirci et al., 2020 [37] | 5 | Two patients recurrent CSCC and three patients primary CSCC all with orbital involvement | Four excisional biopsy; one radiotherapy | Pembrolizumab or Cemiplimab | Pembrolizumab—350 mg every 3 weeks Cemiplimab—200 mg every 3 weeks | 4/5 patients complete response; one showed progression | Colitis, rash |
| Study | Patient (s) | Stage | Primary Treatment | Agent Used | Dosage | Outcome | Adverse Reactions |
|---|---|---|---|---|---|---|---|
| Asena et al., 2015 (anti-VEGF) [114] | 6 | Primary CSIN | Topical targeted therapy | Bevacizumab | 5 mg/mL eye drops, 4 times daily for 8 weeks | 2/6 complete tumour resolutions, four patients required excisional surgery | None reported |
| Faramarzi et al., 2013 (anti-VEGF) [115] | 10 | Combination of primary CSIN and CSCC | Perilesional/subconjunctival injection with excision/cryotherapy if needed | Bevacizumab | 2.5 mg injection given twice 2 weeks apart | Mean tumour area reduced by 25% after first and 42% after second injection, complete resolution in two patients | None reported |
| Finger et al., 2012 (anti-VEGF) [47] | 5 | Recurrent CSCC | Excision, cryotherapy and topical interferon α or MMC | Ranibizumab | 0.5 mg monthly or bimonthly | 3/5 complete responses, two failed treatments | None reported |
| El Sawy et al., 2012 (EGFR Inhibitor) [45] | 90 years old, female | Medial canthal and orbital SCC | Systemic EGFR inhibition | Erlotinib | 150 mg orally once daily, increased to 200 mg orally once daily | Significant tumour reduction | None reported |
| El Sawy et al., 2012 (EGFR Inhibitor) [45] | 81F, male | Advanced orbital SCC | Systemic EGFR inhibition | Cetuximab | 400 mg/m2 intravenous loading dose, followed by 250 mg/m2 intravenous weekly | Marked tumour shrinkage | Skin reaction |
Disclaimer/Publisher’s Note: The statements, opinions and data contained in all publications are solely those of the individual author(s) and contributor(s) and not of MDPI and/or the editor(s). MDPI and/or the editor(s) disclaim responsibility for any injury to people or property resulting from any ideas, methods, instructions or products referred to in the content. |
© 2026 by the authors. Licensee MDPI, Basel, Switzerland. This article is an open access article distributed under the terms and conditions of the Creative Commons Attribution (CC BY) license.
Share and Cite
Mir, M.; Mudhar, H.S.; Sagoo, M.S.; Gichuhi, S.; Krishna, Y. Conjunctival Squamous Cell Carcinoma: A Clinical Review of Diagnostic Features, Genetics, Current Management and an Update on Targeted and Immunotherapies. Cancers 2026, 18, 940. https://doi.org/10.3390/cancers18060940
Mir M, Mudhar HS, Sagoo MS, Gichuhi S, Krishna Y. Conjunctival Squamous Cell Carcinoma: A Clinical Review of Diagnostic Features, Genetics, Current Management and an Update on Targeted and Immunotherapies. Cancers. 2026; 18(6):940. https://doi.org/10.3390/cancers18060940
Chicago/Turabian StyleMir, Murad, Hardeep Singh Mudhar, Mandeep S. Sagoo, Stephen Gichuhi, and Yamini Krishna. 2026. "Conjunctival Squamous Cell Carcinoma: A Clinical Review of Diagnostic Features, Genetics, Current Management and an Update on Targeted and Immunotherapies" Cancers 18, no. 6: 940. https://doi.org/10.3390/cancers18060940
APA StyleMir, M., Mudhar, H. S., Sagoo, M. S., Gichuhi, S., & Krishna, Y. (2026). Conjunctival Squamous Cell Carcinoma: A Clinical Review of Diagnostic Features, Genetics, Current Management and an Update on Targeted and Immunotherapies. Cancers, 18(6), 940. https://doi.org/10.3390/cancers18060940

