Cardiac Tumors Causing Sudden Cardiac Death: A State-of-the-Art Review in Pathology
Simple Summary
Abstract
1. Introduction
2. Classification
3. Benign Tumors
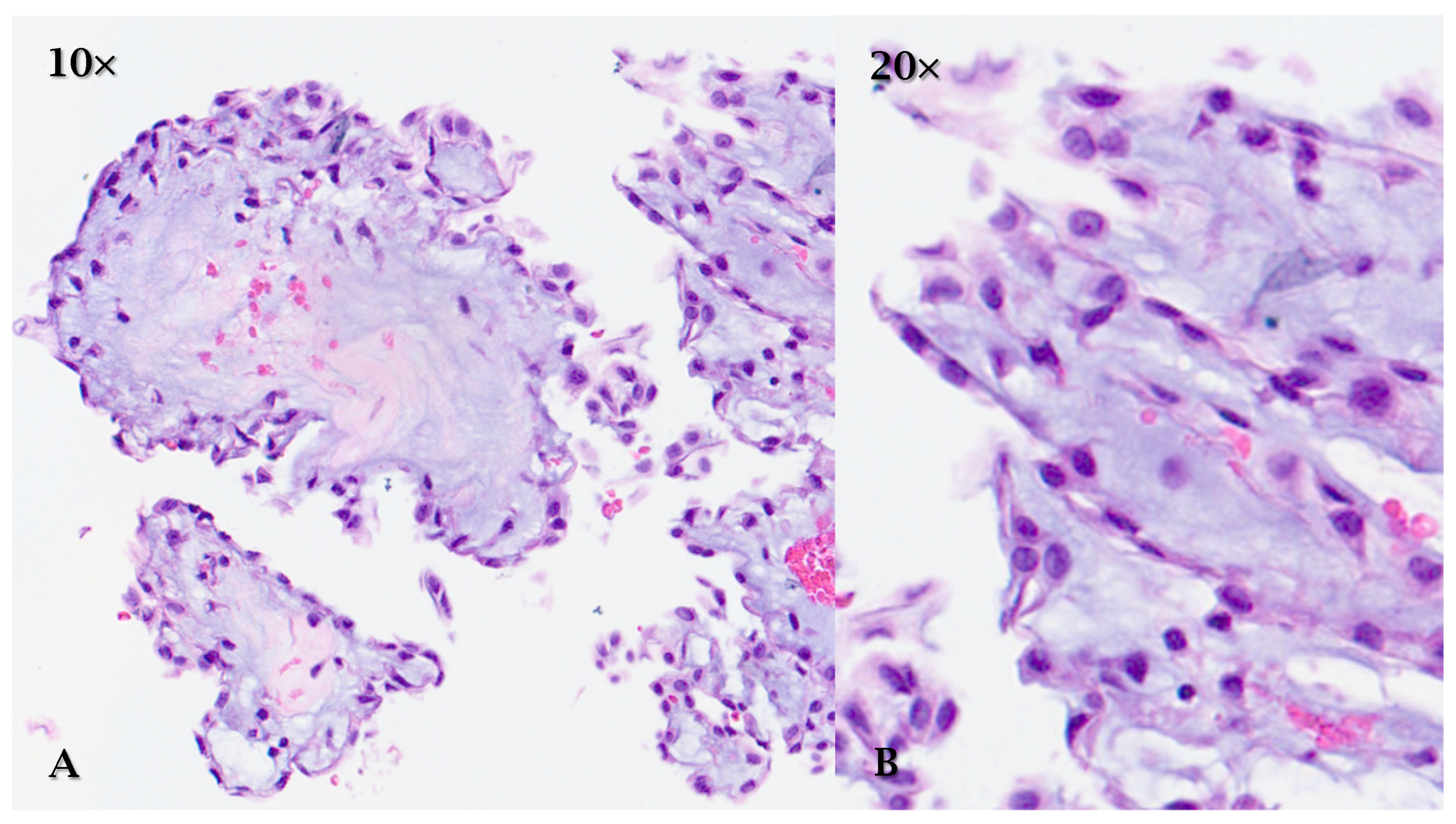
3.1. Papillary Fibroelastoma
3.2. Myxoma (NOS)
3.3. Fibroma (NOS)
3.4. Rhabdomyoma (NOS)
3.5. Adult Cellular Rhabdomyoma
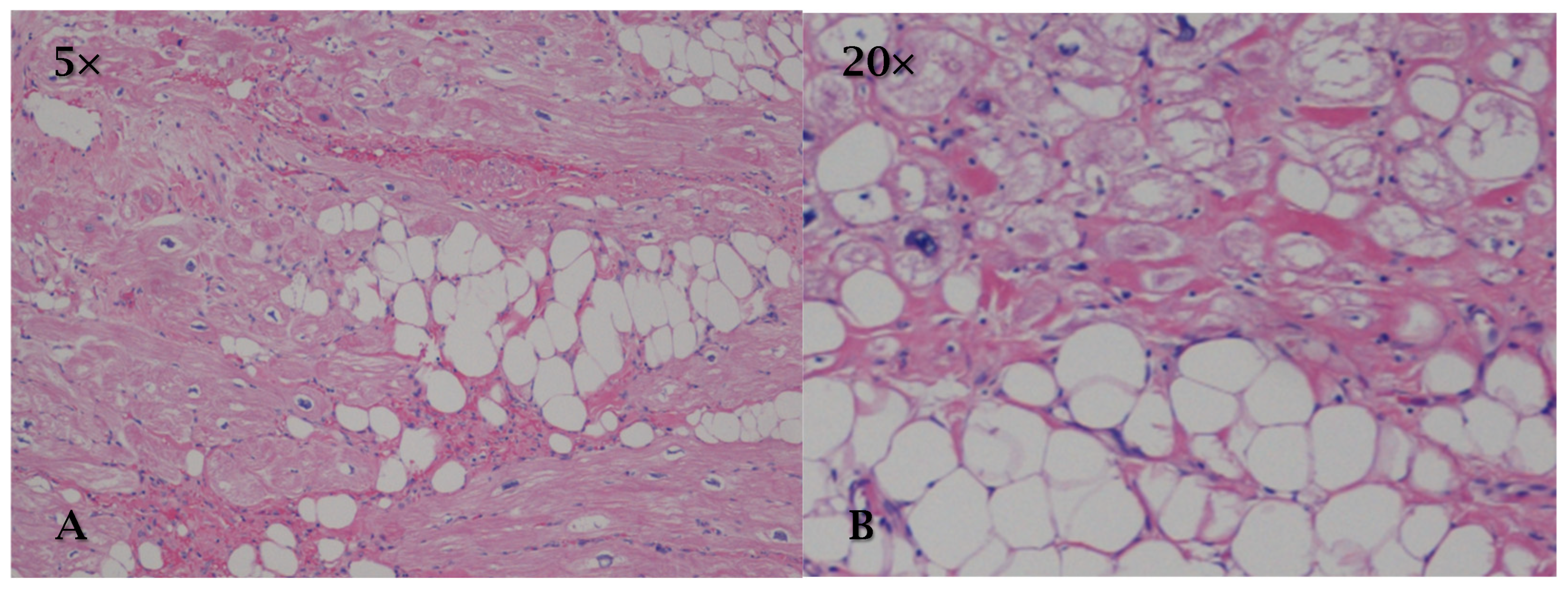
3.6. Lipoma (NOS)
3.7. Lipomatous Hypertrophy of the Atrial Septum
3.8. Lipomatous Hamartoma of Atrioventricular Valve
3.9. Hamartoma of Mature Cardiac Myocytes
3.10. Mesenchymal Cardiac Hamartoma
3.11. Hemangioma (NOS)
3.12. Conduction System Hamartoma
3.13. Cystic Tumor of Atrioventricular Node
4. Malignant Tumors
4.1. Angiosarcoma
4.2. Leiomyosarcoma (NOS)
4.3. Pleomorphic Sarcoma
4.4. Metastatic Neoplasm
4.5. Hematolymphoid Tumors
5. Physiopathological Mechanisms of Sudden Cardiac Death in Cardiac Tumors
6. Emerging Therapies and Patient Selection for Surgical and Non-Surgical Management
7. Importance of the Multidisciplinary Team
8. Future Research Directions
9. Conclusions
Author Contributions
Funding
Acknowledgments
Conflicts of Interest
References
- Totaro, P.; Musto, M. Overall approaches to cardiac tumors: Still an unsolved enigma? World J. Clin. Cases 2024, 12, 3654–3656. [Google Scholar] [CrossRef] [PubMed]
- Tyebally, S.; Chen, D.; Bhattacharyya, S.; Mughrabi, A.; Hussain, Z.; Manisty, C.; Westwood, M.; Ghosh, A.K.; Guha, A. Cardiac Tumors: JACC CardioOncology State-of-the-Art Review. JACC CardioOncol. 2020, 2, 293–311. [Google Scholar] [CrossRef] [PubMed]
- Karigyo, C.J.T.; Pessoa, B.M.S.; Nicacio, S.P.; Terwilliger, E.; Costa, P.; Santos, P.R.D.; Ernani, V.; Seetharam, M.; Murakami, A.N.; Batalini, F. Cardiac Tumors: Review. Braz. J. Cardiovasc. Surg. 2024, 39, e20230405. [Google Scholar] [CrossRef] [PubMed]
- Rodriguez Ziccardi, M.; Tariq, M.A.; Limaiem, F.; Ahmed, S.W. Cardiac Cancer. In StatPearls; StatPearls Publishing: Treasure Island, FL, USA, 2023. [Google Scholar]
- Campisi, A.; Ciarrocchi, A.P.; Asadi, N.; Dell’Amore, A. Primary and secondary cardiac tumors: Clinical presentation, diagnosis, surgical treatment, and results. General. Thorac. Cardiovasc. Surg. 2022, 70, 107–115. [Google Scholar] [CrossRef]
- Bussani, R.; Castrichini, M.; Restivo, L.; Fabris, E.; Porcari, A.; Ferro, F.; Pivetta, A.; Korcova, R.; Cappelletto, C.; Manca, P.; et al. Cardiac Tumors: Diagnosis, Prognosis, and Treatment. Curr. Cardiol. Rep. 2020, 22, 169. [Google Scholar] [CrossRef]
- Poterucha, T.J.; Kochav, J.; O’Connor, D.S.; Rosner, G.F. Cardiac Tumors: Clinical Presentation, Diagnosis, and Management. Curr. Treat. Options Oncol. 2019, 20, 66. [Google Scholar] [CrossRef]
- Pino, P.G.; Moreo, A.; Lestuzzi, C. Differential diagnosis of cardiac tumors: General consideration and echocardiographic approach. J. Clin. Ultrasound JCU 2022, 50, 1177–1193. [Google Scholar] [CrossRef]
- Burazor, I.; Aviel-Ronen, S.; Imazio, M.; Goitein, O.; Perelman, M.; Shelestovich, N.; Radovanovic, N.; Kanjuh, V.; Barshack, I.; Adler, Y. Metastatic cardiac tumors: From clinical presentation through diagnosis to treatment. BMC Cancer 2018, 18, 202. [Google Scholar] [CrossRef] [PubMed]
- Matteucci, M.; Ferrarese, S.; Mantovani, V.; Ronco, D.; Torchio, F.; Franzosi, C.; Marazzato, J.; De Ponti, R.; Lorusso, R.; Beghi, C. Surgical treatment of primary cardiac tumors in the contemporary era: A single-centre analysis. J. Card. Surg. 2021, 36, 3540–3546. [Google Scholar] [CrossRef]
- WHO Classification of Tumours Editorial Board. Thoracic tumours. In WHO Classification of Tumours, 5th ed.; International Agency for Research on Cancer: Lyon, France, 2021; Volume 5. [Google Scholar]
- Maleszewski, J.J.; Basso, C.; Bois, M.C.; Glass, C.; Klarich, K.W.; Leduc, C.; Padera, R.F.; Tavora, F. The 2021 WHO Classification of Tumors of the Heart. J. Thorac. Oncol. 2022, 17, 510–518. [Google Scholar] [CrossRef]
- Neupane, G.; Sharma, R.; Parajuli, R.; Mathews, A.; Khalili, H. Cardiac Papillary Fibroelastoma and Cerebrovascular Events: A Systematic Review. CJC Open 2024, 6, 1259–1273. [Google Scholar] [CrossRef]
- Devanabanda, A.R.; Lee, L.S. Papillary Fibroelastoma. In StatPearls; StatPearls Publishing: Treasure Island, FL, USA, 2023. [Google Scholar]
- Tamin, S.S.; Maleszewski, J.J.; Scott, C.G.; Khan, S.K.; Edwards, W.D.; Bruce, C.J.; Oh, J.K.; Pellikka, P.A.; Klarich, K.W. Prognostic and Bioepidemiologic Implications of Papillary Fibroelastomas. J. Am. Coll. Cardiol. 2015, 65, 2420–2429. [Google Scholar] [CrossRef] [PubMed]
- Zoltowska, D.M.; Sadic, E.; Becoats, K.; Ghetiya, S.; Ali, A.A.; Sattiraju, S.; Missov, E. Cardiac papillary fibroelastoma. J. Geriatr. Cardiol. JGC 2021, 18, 346–351. [Google Scholar]
- Bois, M.C.; Milosevic, D.; Kipp, B.R.; Maleszewski, J.J. KRAS Mutations in Papillary Fibroelastomas: A Study of 50 Cases with Etiologic and Diagnostic Implications. Am. J. Surg. Pathol. 2020, 44, 626–632. [Google Scholar] [CrossRef] [PubMed]
- Raheela, F.; Talpur, A.S.; Rasmussen, M.; Farooq, M.J.; Khalid, S.; Bhat, S.; Gilani, S.M.; Shrestha, S. Cardiac papillary fibroelastoma: A rare cause of ST-segment elevation myocardial infarction: A case report. Ann. Med. Surg. 2023, 85, 5800–5803. [Google Scholar] [CrossRef] [PubMed]
- Rahmi, M.; Merzouk, F.; El Ouarradi, A.; Habbal, R. Un cas rare de fibroélastome papillaire révélé par un accident vasculaire cérébral ischémique (à propos d’un cas) [A rare case of papillary fibroelastoma revealed by ischemic stroke (case report)]. Ann. De Cardiol. Et D’angeiologie 2024, 73, 101804. [Google Scholar] [CrossRef]
- Nelson, J.; Waters, D.; Gitto, L. Sudden cardiac death due to an obstructive large right atrial myxoma. In Forensic Science, Medicine, and Pathology; Springer: Berlin/Heidelberg, Germany, 2024. [Google Scholar]
- Oktaviono, Y.H.; Saputra, P.B.T.; Arnindita, J.N.; Afgriyuspita, L.S.; Kurniawan, R.B.; Pasahari, D.; Milla, C.; Wungu, C.D.K.; Susilo, H.; Multazam, C.E.C.Z.; et al. Clinical characteristics and surgical outcomes of cardiac myxoma: A meta-analysis of worldwide experience. Eur. J. Surg. Oncol. J. Eur. Soc. Surg. Oncol. Br. Assoc. Surg. Oncol. 2024, 50, 107940. [Google Scholar] [CrossRef] [PubMed]
- Islam, A.M. Cardiac myxomas: A narrative review. World J. Cardiol. 2022, 14, 206. [Google Scholar] [CrossRef]
- Manche, N.; Mercer, M.K.; Baruah, D. Diagnosis and Treatment of Cardiac Myxoma. Cureus 2023, 15, e39148. [Google Scholar] [CrossRef]
- Ageely, G.A.; Alsulami, S.S.; Alkenani, A.A.; Albeshri, E.E. Cardiac myxoma presenting with multisystem involvement. Saudi Med. J. 2022, 43, 1057–1061. [Google Scholar] [CrossRef] [PubMed]
- Saad, E.A.; Mukherjee, T.; Gandour, G.; Fatayerji, N.; Rammal, A.; Samuel, P.; Abdallah, N.; Ashok, T. Cardiac myxomas: Causes, presentations, diagnosis, and management. Ir. J. Med. Sci. 2024, 193, 677–688. [Google Scholar] [CrossRef] [PubMed]
- Yalta, K.; Yetkin, E.; Yalta, T. Recurrent Cardiac Myxoma: A Puzzle to be Solved. Anatol. J. Cardiol. 2023, 27, 497–498. [Google Scholar] [CrossRef] [PubMed]
- AlRasheed, M.M. Genetics of Cardiac Tumours: A Narrative Review. Heart Lung Circ. 2024, 33, 639–647. [Google Scholar] [CrossRef]
- Zheng, H.; Kang, H.; Qiu, Y.; Xie, L.; Wu, J.; Lai, P.; Kang, J. Novel PRKAR1A mutation in Carney complex: A case report and literature review. Front. Endocrinol. 2024, 15, 1384956. [Google Scholar] [CrossRef]
- Ng, P.; Yeo, T.C. Carney Complex with Left Atrial Myxoma—A Vasculitis Mimicker. Acta Cardiol. Sin. 2024, 40, 133–136. [Google Scholar] [PubMed]
- Rajput, F.A.; Bishop, M.A.; Alahmadi, M.H.; Limaiem, F. Cardiac Fibroma. In StatPearls; StatPearls Publishing: Treasure Island, FL, USA, 2024. [Google Scholar]
- Placidi, S.; Calcagni, G.; Lioncino, M.; Calvieri, C.; Maiolo, S.; Di Mambro, C.; Silvetti, M.S.; Secinaro, A.; Adorisio, R.; Albanese, S.; et al. Type and dimensions can predict ventricular arrhythmias and cardiac death in primary benign cardiac tumors in children. Int. J. Cardiol. 2025, 418, 132599. [Google Scholar] [CrossRef] [PubMed]
- Jayaprakash, S. Clinical presentations, diagnosis, and management of arrhythmias associated with cardiac tumors. J. Arrhythmia 2018, 34, 384–393. [Google Scholar] [CrossRef] [PubMed]
- Finke, K.; Gietzen, T.; Steven, D.; Baldus, S.; Ten Freyhaus, H.; Maintz, D.; Pennig, L.; Gietzen, C. Cardiac fibromas in adult patients: A case series focusing on rhythmology and radiographic features. Eur. Heart J. Case Rep. 2024, 8, ytae410. [Google Scholar] [CrossRef] [PubMed]
- Torimitsu, S.; Nemoto, T.; Wakayama, M.; Okubo, Y.; Yokose, T.; Kitahara, K.; Ozawa, T.; Nakayama, H.; Shinozaki, M.; Sasai, D.; et al. Literature survey on epidemiology and pathology of cardiac fibroma. Eur. J. Med. Res. 2012, 17, 5. [Google Scholar] [CrossRef]
- Menon, D.; Dentel, J.N.; Sanil, Y.; Lawrence, D. Cardiac Fibroma with Asymptomatic Ventricular Arrhythmia in an Adolescent with Gorlin’s Syndrome. J. Pediatr. Genet. 2021, 12, 171–174. [Google Scholar] [CrossRef]
- Northrup, H.; Koenig, M.K.; Pearson, D.A.; Au, K.S. Tuberous Sclerosis Complex. In GeneReviews® [Internet]; Adam, M.P., Feldman, J., Mirzaa, G.M., Pagon, R.A., Wallace, S.E., Amemiya, A., Eds.; University of Washington: Seattle, WA, USA, 1993. [Google Scholar]
- Grunau, G.L.; Leipsic, J.A.; Sellers, S.L.; Seidman, M.A. Cardiac Fibroma in an Adult AIRP Best Cases in Radiologic-Pathologic Correlation. Radiographics 2018, 38, 1022–2026. [Google Scholar] [CrossRef]
- Teng, F.; Yang, S.; Chen, D.; Fang, W.; Shang, J.; Dong, S.; Cui, Y.; Fu, W.; Zheng, M.; Li, Y.; et al. Cardiac fibroma: A clinicopathologic study of a series of 12 cases. Cardiovasc. Pathol. Off. J. Soc. Cardiovasc. Pathol. 2022, 56, 107381. [Google Scholar] [CrossRef] [PubMed]
- Yuan, X.; Li, B.; Yang, Y.; Wang, H.; Sun, H.; Song, Y.; Wang, W. Surgical results and pathological analysis of cardiac fibroma in the adolescent and the adult. J. Card. Surg. 2020, 35, 1912–1919. [Google Scholar] [CrossRef] [PubMed]
- Sarkar, S.; Siddiqui, W.J. Cardiac Rhabdomyoma. In StatPearls; StatPearls Publishing: Treasure Island, FL, USA, 2022. [Google Scholar]
- Mecklenburg, K.L.; Mitchell, E.K.; Prahlow, J.A. Cardiac rhabdomyoma: An uncommon culprit in sudden infant death. Forensic Sci. Med. Pathol. 2024, 20, 977–982. [Google Scholar] [CrossRef] [PubMed]
- Violette, E.J.; Hardin, N.J.; McQuillen, E.N. Sudden unexpected death due to asymptomatic cardiac rhabdomyoma. J. Forensic Sci. 1981, 26, 599–604. [Google Scholar] [CrossRef]
- Gupta, A.; Narula, N.; Mahajan, R.; Rohit, M. Sudden death of a young child due to cardiac rhabdomyoma. Pediatr. Cardiol. 2010, 31, 894–896. [Google Scholar] [CrossRef] [PubMed]
- Ozbek, B.; Gunes, A.; Ozturker, K.; Faruk Savluk, O.; Cevirme, D.; Tuncer, E. Successful Surgical Management of Severe Left Ventricular Outflow Tract Obstruction Caused by Cardiac Rhabdomyoma in a Neonate. Sisli Etfal Hastan. Tip Bul. 2024, 58, 395–397. [Google Scholar] [CrossRef]
- Davis, K.A.; Dodeja, A.K.; Clark, A.; Hor, K.; Baker, P.; Cripe, L.H.; Cripe, T.P. Use of Cardiac MRI to Assess Antitumor Efficacy of Everolimus in Sporadic Cardiac Rhabdomyoma. Pediatrics 2019, 143, e20182495. [Google Scholar] [CrossRef] [PubMed]
- Al Kindi, H.N.; Ibrahim, A.M.; Roshdy, M.; Abdelghany, B.S.; Yehia, D.; Masoud, A.N.; Simry, W.; Aguib, Y.; Yacoub, M.H. Clinical, cellular, and molecular characterisation of cardiac rhabdomyoma in tuberous sclerosis. Cardiol. Young 2021, 31, 1297–1305. [Google Scholar] [CrossRef] [PubMed]
- Will, J.C.; Siedentopf, N.; Schmid, O.; Gruber, T.M.; Henrich, W.; Hertzberg, C.; Weschke, B. Successful Prenatal Treatment of Cardiac Rhabdomyoma in a Fetus with Tuberous Sclerosis. Pediatr. Rep. 2023, 15, 245–253. [Google Scholar] [CrossRef]
- Medina Perez, M.; Lichtenberger, J.P.; Huppmann, A.R.; Gomez, M.; Ramirez Suarez, K.I.; Foran, A.; Vaiyani, D.; White, A.M.; Biko, D.M. Cardiac and Pericardial Neoplasms in Children: Radiologic-Pathologic Correlation. Radiographics 2023, 43, e230010. [Google Scholar] [CrossRef] [PubMed]
- Sugalska, M.; Tomik, A.; Jóźwiak, S.; Werner, B. Treatment of Cardiac Rhabdomyomas with mTOR Inhibitors in Children with Tuberous Sclerosis Complex-A Systematic Review. Int. J. Environ. Res. Public Health 2021, 18, 4907. [Google Scholar] [CrossRef] [PubMed]
- Fu, W.; Zhang, Z.; Chen, D.; Fang, W.; Shang, J.F.; Shi, F.R. Adult cellular rhabdomyoma of the heart: Report of a case. Zhonghua Bing Li Xue Za Zhi = Chin. J. Pathol. 2021, 50, 1286–1287. [Google Scholar]
- Burke, A.P.; Gatto-Weis, C.; Griego, J.E.; Ellington, K.S.; Virmani, R. Adult cellular rhabdomyoma of the heart: A report of 3 cases. Human. Pathol. 2002, 33, 1092–1097. [Google Scholar] [CrossRef] [PubMed]
- Ono, M.; Boethig, D.; Akin, E.; Goerler, H.; Breymann, T. Coexistent cardiac rhabdomyoma with mitral valve anomaly in patients with tuberous sclerosis: A case report. Thorac. Cardiovasc. Surg. 2007, 55, 120–121. [Google Scholar] [CrossRef] [PubMed]
- Shu, S.; Yuan, H.; Kong, X.; Wang, J.; Wang, J.; Zheng, C. The value of multimodality imaging in diagnosis and treatment of cardiac lipoma. BMC Med. Imaging 2021, 21, 71. [Google Scholar] [CrossRef] [PubMed]
- Zhu, X.; Cheng, Z.; Wang, S.; Chen, X.; Lu, G.; Li, X. The characteristics of invasive cardiac lipoma: Case report and literature review. Front. Cardiovasc. Med. 2023, 10, 1195582. [Google Scholar] [CrossRef] [PubMed]
- Alizadehasl, A.; Mohseni, M.; Bahramnejad, A.; Roudini, K.; Mohseni-Salehi, M.; Favaedi, M.; Hakimian, H.; Dousti, A. Cardiac lipoma in a young lady. Clin. Case Rep. 2023, 11, e8299. [Google Scholar] [CrossRef] [PubMed]
- Monti, L.; Scardino, C.; Nardi, B.; Balzarini, L. Lipoma of the interventricular septum. Eur. Heart J. 2015, 36, 3073. [Google Scholar] [CrossRef][Green Version]
- Dong, W.; Du, Z.; Yang, L.; Li, W. Cardiac lipoma: A report of two cases. Asian J. Surg. 2024, 48, 604–605. [Google Scholar] [CrossRef]
- Li, L.; Meng, J.; Zhou, X.; Liu, C.; Guo, H.; Fan, H. Surgical treatment of cardiac lipoma: 20 years’ experience in a single center. Chin. Med. J. 2023, 136, 565–570. [Google Scholar] [CrossRef] [PubMed]
- Rullo, C. Lipomatous hypertrophy of the interatrial septum: A benign cardiac mass. JAAPA Off. J. Am. Acad. Physician Assist. 2024, 37, 1–3. [Google Scholar] [CrossRef] [PubMed]
- Arbarello, P.; Maiese, A.; Bolino, G. Case study of sudden cardiac death caused by lypomatous hypertrophy of the interatrial septum. Med.-Leg. J. 2012, 80 Pt 3, 102–104. [Google Scholar] [CrossRef] [PubMed]
- Chiocchi, M.; Luciano, A.; De Stasio, V.; Pugliese, L.; Di Donna, C.; Cerocchi, M.; Mecchia, D.; Mancuso, L.; Di Biagio, D.; Floris, R.; et al. Lipomatous hypertrophy of the interatrial septum: A potential pitfall resolved on comparing previous PET/CT. Radiol. Case Rep. 2022, 18, 222–225. [Google Scholar] [CrossRef] [PubMed]
- Patsia, L.; Lartsuliani, K.; Intskirveli, N.; Ratiani, L. Lipomatous hypertrophy of the interatrial septum—A benign heart anomaly causing unexpected problem in electrophysiology (case report). Georgian Med. News 2021, 318, 72–74. [Google Scholar]
- Krafft, H.; Bahlke, F.; Popa, M.A.; Deisenhofer, I. Catheter ablation for persistent atrial fibrillation in a patient with extensive lipomatous hypertrophy of the atrial septum: 3D electroanatomic mapping for ideal procedure planning and performance in abnormal atrial anatomy. Heart Rhythm O2 2023, 4, 738–740. [Google Scholar] [CrossRef] [PubMed]
- Sonaglioni, A.; Nicolosi, G.L.; Rispoli, G.A.; Lombardo, M. Incidental Finding of Lipomatous Hypertrophy of the Right Atrial Free Wall in an Elderly Female with Severe Pulmonary Hypertension: Early Detection by Multimodality Imaging. Cureus 2023, 15, e50665. [Google Scholar] [CrossRef]
- Papaetis, G.S.; Antreou, A.D.; Karvounaris, S.A. Lipomatous Hypertrophy of the Interatrial Septum in a Patient with Chronic Dyspnea and Episodes of Paroxysmal Atrial Fibrillation: A Case Report. Iran. J. Med. Sci. 2022, 47, 167–170. [Google Scholar]
- Karasu, B.B.; Yeter, E.; Yilmazer, D.; Kiziltepe, U.; Ulular, O.; Akdemir, R. Primary valvular lipomatous hamartoma: A case report and a collective review of the literature. Cardiovasc. Pathol. Off. J. Soc. Cardiovasc. Pathol. 2011, 20, 377–380. [Google Scholar] [CrossRef] [PubMed]
- Bhat, S.P.; Gowda, G.S.; Chikkatur, R.; Nanjappa, M.C. Lipomatous hamartoma of mitral valve. Asian Cardiovasc. Thorac. Ann. 2016, 24, 34–35. [Google Scholar] [CrossRef]
- Jyrala, A.; Kay, G.L. Mitral valve lipomatous hamartoma infiltrating myocardium. J. Thorac. Cardiovasc. Surg. 2010, 140, e11–e12. [Google Scholar] [CrossRef]
- Techasatian, W.; Gozun, M.; Morihara, C.; Pham, A.; Benavente, K.; Nagamine, T.; Nishimura, Y. Hamartoma of mature cardiac myocytes: Systematic review. Cardiovasc. Pathol. Off. J. Soc. Cardiovasc. Pathol. 2023, 65, 107538. [Google Scholar] [CrossRef] [PubMed]
- Fu, F.; She, X. Mature cardiac myocytohamartoma: A case report and review of literature. Int. J. Clin. Exp. Pathol. 2019, 12, 1424–1428. [Google Scholar]
- Planas, S.; Genero, M.; Illa, M. Third Trimester Stillbirth Associated with Hamartoma of Mature Cardiac Myocytes (HMCM). Pediatr. Dev. Pathol. Off. J. Soc. Pediatr. Pathol. Paediatr. Pathol. Soc. 2024, 28, 83–86. [Google Scholar] [CrossRef] [PubMed]
- Rosen, K.; Bishara, J.A.; Hakar, M. A left atrial hamartoma of mature cardiac myocytes. Cardiol. Young 2022, 32, 1347–1349. [Google Scholar] [CrossRef] [PubMed]
- Planas, S.; Salvador, N.; Lavarino, C.; Zuccarino, F.; Pereda, D.; Muñoz, J.P.; Aurensanz Clemente, E. Hamartoma of mature cardiac myocytes presenting as a polypoid epicardial tumor in the interatrial groove and with gene fusions by copy number anomalies of chromosome 7. Cardiovasc. Pathol. Off. J. Soc. Cardiovasc. Pathol. 2024, 73, 107660. [Google Scholar] [CrossRef]
- Feng, Z.; Philipson, D.; Uzzell, J.P.; Stein-Merlob, A.; Yang, E.H.; Middlekauff, H.R.; Lau, R.P.; Fishbein, G.A.; Bradfield, J.S.; Ajijola, O.A. A Case of Ventricular Tachycardia Caused by a Rare Cardiac Mesenchymal Hamartoma. JACC. Case Rep. 2020, 2, 1049–1055. [Google Scholar] [CrossRef] [PubMed]
- Bradshaw, S.H.; Hendry, P.; Boodhwani, M.; Dennie, C.; Veinot, J.P. Left ventricular mesenchymal hamartoma, a new hamartoma of the heart. Cardiovasc. Pathol. Off. J. Soc. Cardiovasc. Pathol. 2011, 20, 307–314. [Google Scholar] [CrossRef]
- Hoey, E.T.; Mankad, K.; Puppala, S.; Gopalan, D.; Sivananthan, M.U. MRI and CT appearances of cardiac tumours in adults. Clin. Radiol. 2009, 64, 1214–1230. [Google Scholar] [CrossRef]
- Abuzaid, A.S.; Gakhal, M.; Montgomery, E.; LaPoint, R.; Horn, R.; Banbury, M.K. Cardiac Hamartoma: A Diagnostic Challenge. CASE 2017, 1, 59–61. [Google Scholar] [CrossRef] [PubMed][Green Version]
- Jobbagy, S.; Patel, S.; Marboe, C.; Jiang, J.G.; Jobbagy, Z. A Rare Case of Cardiac Mesenchymal Hamartoma and Comprehensive Review of the Literature with Emphasis on Histopathology. Int. J. Surg. Pathol. 2021, 29, 764–769. [Google Scholar] [CrossRef] [PubMed]
- Rattenni, F.; Arlati, F.G.; Galanti, A.; Sansone, F.; Clerici, A.; Triggiani, M.; Muneretto, C. Advanced presentation of cardiac hemangioma. J. Cardiothorac. Surg. 2024, 19, 620. [Google Scholar] [CrossRef] [PubMed]
- Miao, H.; Yang, W.; Zhou, M.; Zhu, Q.; Jiang, Z. Atrial Hemangioma: A Case Report and Review of the Literature. Ann. Thorac. Cardiovasc. Surg. Off. J. Assoc. Thorac. Cardiovasc. Surg. Asia 2019, 25, 71–81. [Google Scholar] [CrossRef]
- Li, W.; Teng, P.; Xu, H.; Ma, L.; Ni, Y. Cardiac Hemangioma: A Comprehensive Analysis of 200 Cases. Ann. Thorac. Surg. 2015, 99, 2246–2252. [Google Scholar] [CrossRef] [PubMed]
- Xie, T.; Masroor, M.; Chen, X.; Liu, F.; Zhang, J.; Yang, D.; Liu, C.; Xiang, M. Rheumatism as a cause of cardiac hemangioma: A rare case report and review of literature with special focus on etiology. BMC Cardiovasc. Disord. 2023, 23, 203. [Google Scholar] [CrossRef] [PubMed]
- Berdica, L.; Kola, E.; Nakuci, D.; Horjeti, E.; Alimehmeti, M. Cardiac hemangioma presenting as a primary cardiac tumor. Cardio-Oncol. 2023, 9, 3. [Google Scholar] [CrossRef]
- Ilcheva, L.; Cholubek, M.; Loiero, D.; Dzemali, O. Cardiac Hemangioma in the Left Ventricular Septum. Thorac. Cardiovasc. Surg. Rep. 2024, 13, e4–e7. [Google Scholar] [CrossRef] [PubMed]
- Batko, J.; Rams, D.J.; Bartuś, K.; Bartoszcze, A.; Litwinowicz, R.A. Cardiac hemangioma in the atrioventricular node localization. Kardiochirurgia I Torakochirurgia Pol. = Pol. J. Cardio-Thorac. Surg. 2023, 20, 57–59. [Google Scholar] [CrossRef]
- Thornton, S.W.; Hoover, A.C.; Nellis, J.R.; Overbey, D.M.; Andersen, N.D.; Haney, J.C.; Turek, J.W. Minimally Invasive Approach for Cardiac Hemangioma Resection in a Teenager. Innovations 2022, 17, 358–360. [Google Scholar] [CrossRef]
- Parato, V.M.; Nocco, S.; Alunni, G.; Becherini, F.; Conti, S.; Cucchini, U.; Di Giannuario, G.; Di Nora, C.; Fabiani, D.; La Carrubba, S.; et al. Imaging of Cardiac Masses: An Updated Overview. J. Cardiovasc. Echogr. 2022, 32, 65–75. [Google Scholar] [CrossRef] [PubMed]
- Wang, P.; Chapman, D.; Siddiqui, F. A Rare Cardiac Cavernous Hemangioma Treated with Radiotherapy. Case Rep. Vasc. Med. 2022, 2022, 5698475. [Google Scholar] [CrossRef] [PubMed]
- Keskin Ozturk, B.; Gun, E. Conduction System Hamartoma: Autopsy Case Series. Am. J. Forensic Med. Pathol. 2024, 46, 64–68. [Google Scholar] [CrossRef]
- Foster, J.; Parsons, S. Histiocytoid cardiomyopathy presenting as sudden death in an 18-month-old infant. Forensic Sci. Med. Pathol. 2024, 20, 1117–1120. [Google Scholar] [CrossRef] [PubMed]
- Samuel, S.; Fountain, R.; Start, D.; Karpawich, P.P. A Unique Case of Sudden Cardiac Death in an Infant. Clin. Pediatr. 2019, 58, 253–256. [Google Scholar] [CrossRef] [PubMed]
- Xie, H.; Chen, X.; Chen, N.; Zhou, Q. Sudden Death in a Male Infant Due to Histiocytoid Cardiomyopathy: An Autopsy Case and Review of the Literature. Am. J. Forensic Med. Pathol. 2017, 38, 32–34. [Google Scholar] [CrossRef] [PubMed]
- Val-Bernal, J.F.; Mayorga, M.; Ortega, C.; Linares, E. Histiocytoid cardiomyopathy and ventricular noncompaction presenting as sudden death in an adult male. Pathol. Res. Pract. 2017, 213, 1424–1430. [Google Scholar] [CrossRef] [PubMed][Green Version]
- Shehata, B.M.; Cundiff, C.A.; Lee, K.; Sabharwal, A.; Lalwani, M.K.; Davis, A.K.; Agrawal, V.; Sivasubbu, S.; Iannucci, G.J.; Gibson, G. Exome sequencing of patients with histiocytoid cardiomyopathy reveals a de novo NDUFB11 mutation that plays a role in the pathogenesis of histiocytoid cardiomyopathy. Am. J. Med. Genet. Part A 2015, 167, 2114–2121. [Google Scholar] [CrossRef]
- Magnetta, D.A.; Reichhold, A.; Thrush, P.T.; Monge, M.; Webster, G.; Joong, A. Biventricular Assist Device Support for Intractable Arrhythmias from Histiocytoid Cardiomyopathy. ASAIO J. 2022, 68, e207–e210. [Google Scholar] [CrossRef] [PubMed]
- Muramatsu, H.; Asakura, K.; Hosoya, T.; Kurosu, A. Variations in subtle cystic tumors of the atrioventricular node: Five autopsy cases. Cardiovasc. Pathol. Off. J. Soc. Cardiovasc. Pathol. 2024, 69, 107607. [Google Scholar] [CrossRef] [PubMed]
- Velasco, A.; Goldstein, D.J.; Slipczuk, L.; Di Biase, L.; Manheimer, E.D. Cystic Tumor of the Atrioventricular Node Causing Rapid-Onset and Reversible Complete Heart Block. JACC Case Rep. 2022, 7, 101700. [Google Scholar] [CrossRef] [PubMed]
- Cohle, S.D.; Wygant, C.M. Lesions of the Cardiac Conduction System and Sudden Death. Am. J. Forensic Med. Pathol. 2024, 45, 3–9. [Google Scholar] [CrossRef]
- Saito, S.; Kobayashi, J.; Tagusari, O.; Bando, K.; Niwaya, K.; Nakajima, H.; Yamagishi, M.; Yagihara, T.; Kitamura, S. Successful excision of a cystic tumor of the atrioventricular nodal region. Circ. J. Off. J. Jpn. Circ. Soc. 2005, 69, 1293–1294. [Google Scholar] [CrossRef] [PubMed]
- Giuliano, K.; Scully, B.; Etchill, E.; Lawton, J. Cystic tumor of the atrioventricular node. Glob. Cardiol. Sci. Pract. 2020, 2020, e202028. [Google Scholar] [CrossRef]
- Luc, J.G.Y.; Phan, K.; Tchantchaleishvili, V. Cystic tumor of the atrioventricular node: A review of the literature. J. Thorac. Dis. 2017, 9, 3313–3318. [Google Scholar] [CrossRef] [PubMed]
- Ojha, V.; Pandey, N.N.; Sharma, G.; Jagia, P. Cystic tumor of the atrioventricular node in a patient with intermittent complete heart block. BMJ Case Rep. 2021, 14, e244442. [Google Scholar] [CrossRef] [PubMed]
- Kumari, N.; Bhandari, S.; Ishfaq, A.; Butt, S.R.R.; Ekhator, C.; Karski, A.; Kadel, B.; Altayb Ismail, M.A.; Sherpa, T.N.; Al Khalifa, A.; et al. Primary Cardiac Angiosarcoma: A Review. Cureus 2023, 15, e41947. [Google Scholar] [CrossRef] [PubMed]
- Evbayekha, E.; Rao, A.K.; Leidenfrost, J.; Reiss, C.K. Isolated primary cardiac angiosarcoma. Curr. Probl. Cardiol. 2024, 49, 102472. [Google Scholar] [CrossRef] [PubMed]
- Li, X.; Lan, L.; Hu, H. Case report: Primary cardiac angiosarcoma with multiple metastases. Front. Cardiovasc. Med. 2022, 9, 941967. [Google Scholar] [CrossRef]
- Gozzellino, L.; Nannini, M.; Pizzi, C.; Leone, O.; Corti, B.; Indio, V.; Baldovini, C.; Paolisso, P.; Foà, A.; Pacini, D.; et al. Genomic Characterization of Rare Primary Cardiac Sarcoma Entities. Diagnostics 2023, 13, 214. [Google Scholar] [CrossRef] [PubMed]
- Leduc, C.; Jenkins, S.M.; Sukov, W.R.; Rustin, J.G.; Maleszewski, J.J. Cardiac angiosarcoma: Histopathologic, immunohistochemical, and cytogenetic analysis of 10 cases. Human. Pathol. 2017, 60, 199–207. [Google Scholar] [CrossRef]
- Calvete, O.; Garcia-Pavia, P.; Domínguez, F.; Bougeard, G.; Kunze, K.; Braeuninger, A.; Teule, A.; Lasa, A.; Ramón y Cajal, T.; Llort, G.; et al. The wide spectrum of POT1 gene variants correlates with multiple cancer types. Eur. J. Hum. Genet. EJHG 2017, 25, 1278–1281. [Google Scholar] [CrossRef]
- Frota Filho, J.D.; Lucchese, F.A.; Leães, P.; Valente, L.A.; Vieira, M.S.; Blacher, C. Primary cardiac angiosarcoma. A therapeutical dilemma. Arq. Bras. Cardiol. 2002, 78, 586–591. [Google Scholar] [CrossRef] [PubMed][Green Version]
- Kennedy, S.; Dimza, M.; Jones, D.; Seifert, R. An Innovative Approach to the Diagnosis of Cardiac Angiosarcoma. Cureus 2022, 14, e26323. [Google Scholar] [CrossRef] [PubMed]
- Khan, Z. Recurrent Pericardial Effusion Secondary to Cardiac Angiosarcoma. Cureus 2024, 16, e60460. [Google Scholar] [CrossRef]
- Cruz Palomera, R.; Valencia Gonzalez, J.D.; Guzmán Olea, J.; Gutiérrez Castañeda, R.E.; Rodríguez Alvarado, J.F.; Camacho Huembes, J.; Arenas Fonseca, J.G.; Carcaño Cuevas, A.; Guzman Olea, G. A monster into the heart: An unusual presentation of cardiac leiomyosarcoma. Egypt. Heart J. (EHJ) Off. Bull. Egypt. Soc. Cardiol. 2023, 75, 101. [Google Scholar] [CrossRef] [PubMed]
- Nakashima, K.; Inatsu, H.; Kitamura, K. Primary Cardiac Leiomyosarcoma: A 27-Month Survival with Surgery and Chemotherapy. Intern. Med. (Tokyo Jpn.) 2017, 56, 2145–2149. [Google Scholar] [CrossRef] [PubMed]
- Formigosa, L.A.C.; Dos Santos, L.F.; Martins, J.D.N.; de Brito, B.S.; de Miranda Silva, H.V.; da Silva, R.L.S.; do Carmo, J.D.C.B.; Castilho, S.M. Management of primary cardiac leiomyosarcoma. Ecancermedicalscience 2023, 17, 1562. [Google Scholar]
- Wang, J.G.; Cui, L.; Jiang, T.; Li, Y.J.; Wei, Z.M. Primary cardiac leiomyosarcoma: An analysis of clinical characteristics and outcome patterns. Asian Cardiovasc. Thorac. Ann. 2015, 23, 623–630. [Google Scholar] [CrossRef] [PubMed]
- Du, B.; Cui, Y.; Liu, G.; Li, Y.; Li, X. Multimodality imaging of a rare synchronous double primary cardiac leiomyosarcoma. Eur. Heart J. Cardiovasc. Imaging 2023, 24, e303. [Google Scholar] [CrossRef] [PubMed]
- Önalan, M.A.; Demirkaya, A.; Behzatoglu, K.; Erek, E. Management of a primary cardiac leiomyosarcoma in a young woman. Turk. Gogus Kalp Damar Cerrahisi Derg. 2021, 29, 267–270. [Google Scholar] [CrossRef] [PubMed]
- Gukop, P.; Frassetto, G.; Karapanagiotidis, G.; Chandrasekaran, V. Leiomyosarcoma of pulmonary vein presenting as left atrial mass: An outline of management principles. Case Rep. Cardiol. 2012, 2012, 396319. [Google Scholar] [CrossRef] [PubMed]
- Killian, M.; Barry, T.; Larsen, C.; Alsidawi, S. Case series: Cardiac sarcoma. Eur. Heart J. Case Rep. 2023, 7, ytad546. [Google Scholar] [CrossRef] [PubMed]
- Xu, G.; Shi, X.; Shao, G. An unusual case of metastasis of a pulmonary undifferentiated pleomorphic sarcoma to the right ventricle: A case report. J. Med. Case Rep. 2013, 7, 165. [Google Scholar] [CrossRef] [PubMed]
- Prakash, S.; Luis Rayas, J.; Rojas Murguia, A.; Lingireddy, A.; Hassan, M.; Alhariri, S.; Hakim, M.N.; Dihowm, F.; Maharaj, S. Undifferentiated Pleomorphic Sarcoma Presenting with Cardiac Tamponade: A Case Report and Review. J. Investig. Med. High Impact Case Rep. 2022, 10, 23247096221141190. [Google Scholar] [CrossRef]
- Alizadehasl, A.; Hakimian, H.; Dokhani, N.; Pouraliakbar, H.; Firoozbakhsh, P. Early presentation of undifferentiated pleomorphic cardiac sarcoma. Radiol. Case Rep. 2024, 19, 4308–4311. [Google Scholar] [CrossRef] [PubMed]
- Vaitiekiene, A.; Vaitiekus, D.; Urbonaite, L.; Jankauskas, A.; Portacenko, J.; Lapinskas, T.; Benetis, R.; Siudikas, A.; Veikutiene, A.; Poskiene, L.; et al. Multidisciplinary approach to rare primary cardiac sarcoma: A case report and review. BMC Cancer 2019, 19, 529. [Google Scholar] [CrossRef] [PubMed]
- Inserra, M.C.; Cannizzaro, M.T.; Passaniti, G.; Celona, A.; Secinaro, A.; Curione, D.; D’Angelo, T.; Garretto, O.; Romeo, P. MR imaging of primary benign cardiac tumors in the pediatric population. Heliyon 2023, 9, e19932. [Google Scholar] [CrossRef]
- Basso, C.; Rizzo, S.; Valente, M.; Marra, M.P.; Thiene, G. Malignant tumours, pericardial tumours, and therapy. In The ESC Textbook of Cardiovascular Medicine; Camm, A.J., Lüscher, T.F., Maurer, G., Serruys, P.W., Eds.; Oxford University Press: Oxford, UK, 2018; pp. 1618–1624. [Google Scholar]
- Hoffmeier, A.; Sindermann, J.R.; Scheld, H.H.; Martens, S. Cardiac tumors—Diagnosis and surgical treatment. Dtsch. Arztebl. Int. 2014, 111, 205–211. [Google Scholar] [PubMed]
- Feola, A.; Ciamarra, P.; De Simone, M.; Carfora, A.; Mansueto, G.; Campobasso, C.P. Sudden Unexpected Death Caused by Cardiac Metastasization from Histiocytic Sarcoma. Int. J. Environ. Res. Public Health 2021, 18, 12911. [Google Scholar] [CrossRef] [PubMed]
- Kaulen, L.D.; Tietz, F.; Gradistanac, T.; Thiele, H.; Rommel, K.P. Cardiac melanoma metastases as a cause of sudden cardiac death. Clin. Res. Cardiol. Off. J. Ger. Card. Soc. 2019, 108, 716–718. [Google Scholar] [CrossRef]
- Nova-Camacho, L.M.; Gomez-Dorronsoro, M.; Guarch, R.; Cordoba, A.; Cevallos, M.I.; Panizo-Santos, A. Cardiac Metastasis from Solid Cancers: A 35-Year Single-Center Autopsy Study. Arch. Pathol. Lab. Med. 2023, 147, 177–184. [Google Scholar] [CrossRef] [PubMed]
- Dragoescu, E.A.; Liu, L. Pericardial fluid cytology: An analysis of 128 specimens over a 6-year period. Cancer Cytopathol. 2013, 121, 242–251. [Google Scholar] [CrossRef] [PubMed]
- Palaskas, N.; Thompson, K.; Gladish, G.; Agha, A.M.; Hassan, S.; Iliescu, C.; Kim, P.; Durand, J.B.; Lopez-Mattei, J.C. Evaluation and Management of Cardiac Tumors. Curr. Treat. Options Cardiovasc. Med. 2018, 20, 29. [Google Scholar] [CrossRef] [PubMed]
- Pun, S.C.; Plodkowski, A.; Matasar, M.J.; Lakhman, Y.; Halpenny, D.F.; Gupta, D.; Moskowitz, C.; Kim, J.; Steingart, R.; Weinsaft, J.W. Pattern and Prognostic Implications of Cardiac Metastases Among Patients with Advanced Systemic Cancer Assessed with Cardiac Magnetic Resonance Imaging. J. Am. Heart Assoc. 2016, 5, e003368. [Google Scholar] [CrossRef] [PubMed]
- Moreno, E.M.; Ferrer-Gómez, A.; Arias, H.P.; García, I.G.; García-Cosío, M. Fibrin-associated diffuse large B-cell lymphoma with plasmacytic differentiation: Case report and literature review. Diagn. Pathol. 2020, 15, 117. [Google Scholar] [CrossRef] [PubMed]
- Doño, A.; Lounsbury, C.; Garrett, H.E., Jr. Right Atrium Primary Cardiac Lymphoma Causing Heart Failure. Thorac. Cardiovasc. Surg. Rep. 2024, 13, e1–e3. [Google Scholar] [CrossRef]
- Lee, K.; Minga, I.; Cameron, E.; Salazar Adum, J.P.; Pursnani, A. A Case of Primary Cardiac B-cell Lymphoma Diagnosed with Cardiac MRI. US Cardiol. 2023, 17, e08. [Google Scholar] [CrossRef]
- Ellen, S.; Emma, H. Primary cardiac lymphoma: A case report. Eur. Heart J. Case Rep. 2023, 7, ytad175. [Google Scholar] [CrossRef] [PubMed]
- Kelleher, R.; Bird, B.H.; Hayes, T.; O’Sullivan, C.J. Primary cardiac lymphoma presenting with cardiac tamponade and complete heart block: Case report. Eur. Heart J. Case Rep. 2023, 8, ytad635. [Google Scholar] [CrossRef] [PubMed]
- Khurshid, A.; Okezue, C.; Frishman, W.H.; Aronow, W.S. Cardiac Manifestations of Lymphoma: A Review of Primary and Secondary Cardiac Lymphoma. Cardiol. Rev. 2024. [Google Scholar] [CrossRef] [PubMed]
- Rezvani, A.; Shah, S. Treatment of primary cardiac diffuse large B-cell lymphoma involving the coronary sinus with R-EPOCH: A case report and literature review. Ann. Hematol. 2024, 103, 2557–2560. [Google Scholar] [CrossRef]
- Diamond, M.S. Immune Checkpoint Inhibitors in Cardiac Sarcoma: Reason to Take Heart? JACC CardioOncol 2024, 6, 80–82. [Google Scholar] [CrossRef] [PubMed]
- Zhrebker, L.; Cherni, I.; Gross, L.M.; Hinshelwood, M.M.; Reese, M.; Aldrich, J.; Guileyardo, J.M.; Roberts, W.C.; Craig, D.; Von Hoff, D.D.; et al. Case report: Whole exome sequencing of primary cardiac angiosarcoma highlights potential for targeted therapies. BMC Cancer 2017, 17, 17. [Google Scholar] [CrossRef] [PubMed]
- Calvete, O.; Garcia-Pavia, P.; Domínguez, F.; Mosteiro, L.; Pérez-Cabornero, L.; Cantalapiedra, D.; Zorio, E.; Cajal, T.R.Y.; Crespo-Leiro, M.G.; Teulé, Á.; et al. POT1 and Damage Response Malfunction Trigger Acquisition of Somatic Activating Mutations in the VEGF Pathway in Cardiac Angiosarcomas. J. Am. Heart Assoc. 2019, 8, e012875. [Google Scholar] [CrossRef]
- Mishra, A.; Shah, M.; Sharma, P.; Kothari, J.; Malhotra, A. Operative management of intracardiac myxomas: A single center experience. Med. J. Armed Forces India 2014, 70, 5–9. [Google Scholar] [CrossRef] [PubMed]
- Jain, S.; Dhingra, V.; Girdhani, B. Scope of PET imaging in the evaluation of cardiac tumors. Cancer Treat. Res. Commun. 2023, 37, 100754. [Google Scholar] [CrossRef] [PubMed]
- Kelly, J.M.; Babich, J.W. PET Tracers for Imaging Cardiac Function in Cardio-oncology. Curr. Cardiol. Rep. 2022, 24, 247–260. [Google Scholar] [CrossRef] [PubMed]
- López-Fernández, T.; Farmakis, D.; Ameri, P.; Asteggiano, R.; de Azambuja, E.; Aznar, M.; Barac, A.; Bayes-Genis, A.; Bax, J.J.; Bergler-Klein, J.; et al. European Society of Cardiology Core Curriculum for cardio-oncology. Eur. J. Heart Fail. 2024, 26, 754–771. [Google Scholar] [CrossRef] [PubMed]








| Tumor | Subtype |
|---|---|
| Benign tumors | |
| Papillary fibroelastoma | |
| Myxoma (NOS) | |
| Fibroma (NOS) | |
| Rhabdomyoma (NOS) | |
| Adult cellular rhabdomyoma | |
| Lipoma (NOS) | |
| Lipomatous hypertrophy of the atrial septum | |
| Lipomatous hamartoma of atrioventricular valve | |
| Hamartoma of mature cardiac myocytes | |
| Mesenchymal cardiac hamartoma | |
Hemangioma (NOS)
| |
| Conduction system hamartoma | |
| Cystic tumor of atrioventricular node | |
| Malignant tumors | |
| Angiosarcoma | |
| Leiomyosarcoma (NOS) | |
| Pleomorphic sarcoma | |
| Metastatic neoplasm | |
Hematolymphoid tumors:
|
| Malignant Cardiac Tumor | Macroscopic Characteristics | Histological Features |
|---|---|---|
| Angiosarcoma | Infiltrating, hemorrhagic mass, often with necrosis, is localized mainly in the right atrium. | Anastomotic vascular channels consist of malignant cells, solid areas of spindle cells, and foci of anaplastic cells. Positive for endothelial markers such as CD31, CD34, factor VIII related protein, vimentin, p53, Ki67, and smooth muscle actin. |
| Leiomyosarcoma (NOS) | Sessile mass, often mucoid, is usually located in the left atrium. | Compact fascicles of spindle-shaped cells with blunt nuclei, necrotic areas, and mitotic figures. Positive for desmin and smooth muscle actin. |
| Pleomorphic sarcoma (UPS) | Infiltrating or necrotic mass with areas of hemorrhage, typically localized in the left atrium. | Epithelioid or spindle-shaped cells. Exclusion of sarcoma leiomas or synovial sarcoma. The diagnosis is one of exclusions, with FNCLCC classification system based on differentiation, mitosis and necrosis. |
| Metastatic neoplasm | Solid, often friable, infiltrative mass involving the pericardium, myocardium, or endocardium. It frequently involves pericardium, with metastases from the lung, melanoma, breast, esophagus, and others. | Atypical neoplastic cells, often with prominent nuclei and mitosis. Necrosis and infiltration of the surrounding tissue. Diagnosis confirmed through biopsy, with positive immunohistochemistry for specific markers depending on the primary tumor. |
| Hematolymphoid tumors | Massive solid masses, friable consistency, often infiltrative, affecting the myocardium and pericardium. They can cause local deformities and significant enlargement of cardiac tissues. Frequent pericardial and myocardial involvement. | Atypical lymphocyte cells, large in the case of LDLBCL, with vesicular nuclei and prominent nucleoli. Positivity for B markers such as CD20, CD79a, with elevated Ki-67 proliferative index. Also positive were BCL-2, BCL-6 and EBER. Necrosis and infiltration of surrounding tissues are common, with destruction of myocardial architecture. |
| Mechanism | Description | Consequences |
|---|---|---|
| Electrical alterations and arrhythmias | Infiltration of the myocardium or cardiac conduction system, myocardial fibrosis due to tumor, or oncological therapies (chemotherapy/radiotherapy). | Severe bradycardia, conduction blocks, ventricular tachyarrhythmias, ventricular fibrillation, and SCD. |
| Tumoral embolization | Detachment of tumor fragments (e.g., atrial myxomas) with arterial embolism. | Ischemic stroke, myocardial infarction, heart failure, and SCD. |
| Vascular compromise and cardiac tamponade | Vascularized tumors (e.g., angiosarcomas) can cause pericardial bleeding. | Cardiac compression reduced diastolic filling, hemodynamic collapse, and SCD. |
| Mechanical compression | Intracardiac tumor masses or heart valve involvement. | Reduced ventricular filling, congestive heart failure, cardiogenic shock, valvular insufficiency, risk of cardiac rupture, and SCD. |
Disclaimer/Publisher’s Note: The statements, opinions and data contained in all publications are solely those of the individual author(s) and contributor(s) and not of MDPI and/or the editor(s). MDPI and/or the editor(s) disclaim responsibility for any injury to people or property resulting from any ideas, methods, instructions or products referred to in the content. |
© 2025 by the authors. Licensee MDPI, Basel, Switzerland. This article is an open access article distributed under the terms and conditions of the Creative Commons Attribution (CC BY) license (https://creativecommons.org/licenses/by/4.0/).
Share and Cite
Salzillo, C.; Lucà, S.; Ronchi, A.; Franco, R.; Iacobellis, G.; Leggio, A.; Marzullo, A. Cardiac Tumors Causing Sudden Cardiac Death: A State-of-the-Art Review in Pathology. Cancers 2025, 17, 669. https://doi.org/10.3390/cancers17040669
Salzillo C, Lucà S, Ronchi A, Franco R, Iacobellis G, Leggio A, Marzullo A. Cardiac Tumors Causing Sudden Cardiac Death: A State-of-the-Art Review in Pathology. Cancers. 2025; 17(4):669. https://doi.org/10.3390/cancers17040669
Chicago/Turabian StyleSalzillo, Cecilia, Stefano Lucà, Andrea Ronchi, Renato Franco, Giulia Iacobellis, Alessia Leggio, and Andrea Marzullo. 2025. "Cardiac Tumors Causing Sudden Cardiac Death: A State-of-the-Art Review in Pathology" Cancers 17, no. 4: 669. https://doi.org/10.3390/cancers17040669
APA StyleSalzillo, C., Lucà, S., Ronchi, A., Franco, R., Iacobellis, G., Leggio, A., & Marzullo, A. (2025). Cardiac Tumors Causing Sudden Cardiac Death: A State-of-the-Art Review in Pathology. Cancers, 17(4), 669. https://doi.org/10.3390/cancers17040669

