Relationship of Desmoplastic Reaction and Tumour Budding in Primary and Lung Metastatic Lesions of Colorectal Cancer and Their Prognostic Significance
Simple Summary
Abstract
1. Introduction
2. Materials and Methods
2.1. Patient Selection
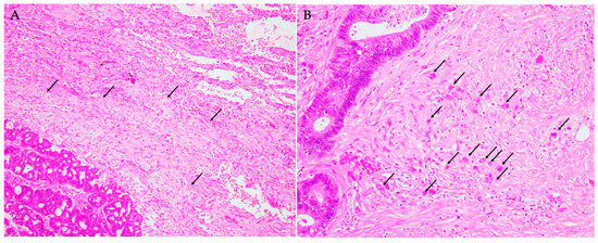
2.2. Histopathological Analysis
2.3. Statistical Analyses
3. Results
3.1. Patient Characteristics
3.1.1. DR and TB in the Primary CRC
3.1.2. DR and TB in the Lung Metastasis Lesions
3.2. Relationship Between DR in the Lung Metastatic Lesions and Clinicopathological Parameters
3.3. Relationship of DR and TB in the Primary and Lung Metastatic Lesions
3.4. Prognostic Impact on DR and TB
4. Discussion
5. Conclusions
Author Contributions
Funding
Institutional Review Board Statement
Informed Consent Statement
Data Availability Statement
Conflicts of Interest
References
- Morgan, E.; Arnold, M.; Gini, A.; Lorenzoni, V.; Cabasag, C.J.; Laversanne, M.; Vignat, J.; Ferlay, J.; Murphy, N.; Bray, F. Global burden of colorectal cancer in 2020 and 2040: Incidence and mortality estimates from GLOBOCAN. Gut 2023, 72, 338–344. [Google Scholar] [CrossRef] [PubMed]
- Zhang, C.; Tan, Y.; Xu, H. Does adjuvant chemotherapy improve the prognosis of patients after resection of pulmonary metastasis from colorectal cancer? A systematic review and meta-analysis. Int. J. Color. Dis. 2019, 34, 1661–1671. [Google Scholar] [CrossRef]
- Kim, S.; Huh, J.W.; Lee, W.Y.; Yun, S.H.; Kim, H.C.; Cho, Y.B.; Park, Y.; Shin, J.K. Pulmonary Metastasis as the First Site of Metastasis After Curative Surgery for Colon Cancer: Incidence and Risk Factors According to the TNM Stage. Dis. Colon. Rectum 2024, 67, 523–530. [Google Scholar] [CrossRef] [PubMed]
- Ge, Y.; Lei, S.; Cai, B.; Gao, X.; Wang, G.; Wang, L.; Wang, Z. Incidence and prognosis of pulmonary metastasis in colorectal cancer: A population-based study. Int. J. Color. Dis. 2020, 35, 223–232. [Google Scholar] [CrossRef] [PubMed]
- Mitry, E.; Guiu, B.; Cosconea, S.; Jooste, V.; Faivre, J.; Bouvier, A.M. Epidemiology, management and prognosis of colorectal cancer with lung metastases: A 30-year population-based study. Gut 2010, 59, 1383–1388. [Google Scholar] [CrossRef]
- Itatani, Y.; Kawada, K.; Sakai, Y. Transforming growth factor-β signaling pathway in colorectal cancer and its tumor microenvironment. Int. J. Mol. Sci. 2019, 20, 5822. [Google Scholar] [CrossRef]
- Jackstadt, R.; van Hooff, S.R.; Leach, J.D.; Cortes-Lavaud, X.; Lohuis, J.O.; Ridgway, R.A.; Wouters, V.M.; Roper, J.; Kendall, T.J.; Roxburgh, C.S.; et al. Epithelial NOTCH signaling rewires the tumor microenvironment of colorectal cancer to drive poor-prognosis subtypes and metastasis. Cancer Cell 2019, 36, 319–336.e7. [Google Scholar] [CrossRef] [PubMed]
- de Visser, K.E.; Joyce, J.A. The evolving tumor microenvironment: From cancer initiation to metastatic outgrowth. Cancer Cell 2023, 41, 374–403. [Google Scholar] [CrossRef]
- Balkwill, F.R.; Capasso, M.; Hagemann, T. The tumor microenvironment at a glance. J. Cell Sci. 2012, 125, 5591–5596. [Google Scholar] [CrossRef] [PubMed]
- Whiteside, T.L. The tumor microenvironment and its role in promoting tumor growth. Oncogene 2008, 27, 5904–5912. [Google Scholar] [CrossRef]
- Sainio, A.; Järveläinen, H. Extracellular matrix macromolecules: Potential tools and targets in cancer gene therapy. Mol. Cell. Ther. 2014, 2, 14. [Google Scholar] [CrossRef] [PubMed]
- Ueno, H.; Shinto, E.; Shimazaki, H.; Kajiwara, Y.; Sueyama, T.; Yamamoto, J.; Hase, K. Histologic categorization of desmoplastic reaction: Its relevance to the colorectal cancer microenvironment and prognosis. Ann. Surg. Oncol. 2015, 22, 1504–1512. [Google Scholar] [CrossRef]
- Ueno, H.; Ishiguro, M.; Nakatani, E.; Ishikawa, T.; Uetake, H.; Murotani, K.; Matsui, S.; Teramukai, S.; Sugai, T.; Ajioka, Y.; et al. Prognostic value of desmoplastic reaction characterisation in stage II colon cancer: Prospective validation in a Phase 3 study (SACURA Trial). Br. J. Cancer 2021, 124, 1088–1097. [Google Scholar] [CrossRef]
- Noda, Y.; Ishida, M.; Ueno, Y.; Fujisawa, T.; Iwai, H.; Tsuta, K. Novel pathological predictive factors for extranodal extension in oral squamous cell carcinoma: A retrospective cohort study based on tumor budding, desmoplastic reaction, tumor-infiltrating lymphocytes, and depth of invasion. BMC Cancer 2022, 22, 402. [Google Scholar] [CrossRef] [PubMed]
- Yanai, H.; Yoshikawa, K.; Ishida, M.; Tsuta, K.; Sekimoto, M.; Sugie, T. Presence of myxoid stromal change and fibrotic focus in pathological examination are prognostic factors of triple-negative breast cancer: Results from a retrospective single-center study. PLoS ONE 2021, 16, e0245725. [Google Scholar] [CrossRef] [PubMed]
- Li, Z.W.; He, L.; Zheng, Z.; Zhang, Q.; Xu, Y.T.; Chen, J.Y.; Shi, J.; Huang, W.B.; Fan, X.S. Combined assessment of tumour cell nest size and desmoplastic reaction as an excellent prognostic predictor in oesophageal squamous cell carcinoma. Histopathology 2022, 80, 1112–1120. [Google Scholar] [CrossRef] [PubMed]
- Ao, T.; Kajiwara, Y.; Yonemura, K.; Shinto, E.; Mochizuki, S.; Okamoto, K.; Aosasa, S.; Ueno, H. Prognostic significance of histological categorization of desmoplastic reaction in colorectal liver metastases. Virchows Arch. 2019, 475, 341–348. [Google Scholar] [CrossRef]
- Ao, T.; Kajiwara, Y.; Yonemura, K.; Shinto, E.; Mochizuki, S.; Okamoto, K.; Kishi, Y.; Ueno, H. Morphological consistency of desmoplastic reactions between the primary colorectal cancer lesion and associated metastatic lesions. Virchows Arch. 2020, 477, 47–55. [Google Scholar] [CrossRef] [PubMed]
- Lugli, A.; Zlobec, I.; Berger, M.D.; Kirsch, R.; Nagtegaal, I.D. Tumour budding in solid cancers. Nat. Rev. Clin. Oncol. 2021, 18, 101–115. [Google Scholar] [CrossRef] [PubMed]
- Karjula, T.; Kemi, N.; Niskakangas, A.; Mustonen, O.; Puro, I.; Pohjanen, V.M.; Kuopio, T.; Elomaa, H.; Ahtiainen, M.; Mecklin, J.P.; et al. The prognostic role of tumor budding and tumor-stroma ratio in pulmonary metastasis of colorectal carcinoma. Eur. J. Surg. Oncol. 2023, 49, 1298–1306. [Google Scholar] [CrossRef] [PubMed]
- Amin, M.B. AJCC Cancer Staging Manual, 8th ed.; Springer: New York, NY, USA, 2017. [Google Scholar]
- Lugli, A.; Kirsch, R.; Ajioka, Y.; Bosman, F.; Cathomas, G.; Dawson, H.; El Zimaity, H.; Fléjou, J.F.; Hansen, T.P.; Hartmann, A.; et al. Recommendations for reporting tumor budding in colorectal cancer based on the International Tumor Budding Consensus Conference (ITBCC) 2016. Mod. Pathol. 2017, 30, 1299–1311. [Google Scholar] [CrossRef] [PubMed]
- Kobayashi, T.; Ishida, M.; Miki, H.; Yamamoto, N.; Harino, T.; Yagyu, T.; Hori, S.; Hatta, M.; Hashimoto, Y.; Kotsuka, M.; et al. Prognostic scoring system based on indicators reflecting the tumor glandular differentiation and microenvironment for patients with colorectal cancer. Sci. Rep. 2024, 14, 14188. [Google Scholar] [CrossRef] [PubMed]
- Ailia, M.J.; Thakur, N.; Chong, Y.; Yim, K. Tumor budding in gynecologic cancer as a marker for poor survival: A systematic review and meta-analysis of the perspectives of epithelial-mesenchymal transition. Cancers 2022, 14, 1431. [Google Scholar] [CrossRef] [PubMed]
- Lawlor, R.T.; Veronese, N.; Nottegar, A.; Malleo, G.; Smith, L.; Demurtas, J.; Cheng, L.; Wood, L.D.; Silvestris, N.; Salvia, R.; et al. Prognostic role of high-grade tumor budding in pancreatic ductal adenocarcinoma: A systematic review and meta-analysis with a focus on epithelial to mesenchymal transition. Cancers 2019, 11, 113. [Google Scholar] [CrossRef]
- Lian, J.; Zhang, W.; Wang, C.; Zhang, Y.; Wang, L.; Nan, P.; Li, X. Quantifying Tumor Budding: Implications for Prognosis in Gastric Adenocarcinoma. Am. J. Surg. Pathol. 2025. Online ahead of print. [Google Scholar] [CrossRef]
- Gil-Pallares, P.; Gil-Pallares, M.E.; Navarro-Bielsa, A.; Figueroa-Silva, O.; Taboada-Paz, L.; Suárez-Peñaranda, J.M. Tumour budding as a risk factor for lymph node metastases in cutaneous squamous cell carcinoma: A systematic review and meta-analysis. Clin. Exp. Dermatol. 2024, 49, 1301–1308. [Google Scholar] [CrossRef]
- Park, J.H.; Shin, J.I.; Lim, B.J. Prognostic significance of tumour budding in noncolorectal gastrointestinal tract and pancreatobiliary tract: A systematic review and meta-analysis. Histopathology 2024, 84, 1079–1091. [Google Scholar] [CrossRef] [PubMed]
- Shi, R.; Le Tan, M.T.; Lim, G.H.; Du, J.; Zhang, L.; Zeng, L.; Tan, P.H. Prognostic value of tumor budding in urothelial carcinoma: A meta-analysis and systematic review. Lab. Investig. 2023, 103, 100136. [Google Scholar] [CrossRef]
- Kosaka, H.; Ishida, M.; Ueno, M.; Komeda, K.; Hokutou, D.; Iida, H.; Hirokawa, F.; Matsui, K.; Sekimoto, M.; Kaibori, M. Tumor budding may be a promising prognostic indicator in intrahepatic cholangiocarcinoma: A multicenter retrospective study. Ann. Gastroenterol. Surg. 2022, 7, 138–146. [Google Scholar] [CrossRef]
- Sakaguchi, T.; Satoi, S.; Hashimoto, D.; Yamamoto, T.; Yamaki, S.; Hirooka, S.; Ishida, M.; Ikeura, T.; Inoue, K.; Naganuma, M.; et al. High tumor budding predicts a poor prognosis in resected duodenal adenocarcinoma. Surg. Today 2022, 52, 931–940. [Google Scholar] [CrossRef] [PubMed]
- Yonemura, K.; Kajiwara, Y.; Ao, T.; Mochizuki, S.; Shinto, E.; Okamoto, K.; Hase, K.; Ueno, H. Prognostic value of poorly differentiated clusters in liver metastatic lesions of colorectal carcinoma. Am. J. Surg. Pathol. 2019, 43, 1341–1348. [Google Scholar] [CrossRef] [PubMed]
- Blank, A.; Schenker, C.; Dawson, H.; Beldi, G.; Zlobec, I.; Lugli, A. Evaluation of tumor budding in primary colorectal cancer and corresponding liver metastases based on H&E and pancytokeratin staining. Front. Med. 2019, 6, 247. [Google Scholar] [CrossRef]



| All patients | |||
| n = 40 | |||
| Age (years) | Median (range) | 70 (47–88) | |
| Sex | Male/Female | 21/19 | |
| Primary tumour | |||
| Location | Right-sided/Left-sided/Rectum | 6/9/25 | |
| Histological type | Well-/Moderately/Poorly differentiated | 13/27/0 | |
| T stage | 3/4 | 31/9 | |
| N stage | 0/1/2 | 17/15/8 | |
| Tumour budding | TB 1/2/3 | 15/8/17 | |
| Desmoplastic reaction | Immature/Non-Immature | 32/8 | |
| Lung metastasis | |||
| Timing of metastasis | Synchronous/Metachronous | 14/26 | |
| Histological type | Well-/Moderately/Poorly differentiated | 11/29/0 | |
| Tumour budding | TB 1/2/3 | 31/7/2 | |
| Desmoplastic reaction | Immature/Non-Immature | 6/34 |
| Desmoplastic Reaction of Lung Metastasis | |||||
|---|---|---|---|---|---|
| Non-Immature | Immature | p Value | |||
| n | 34 | 6 | |||
| Age (years) | Median (range) | 69.5 (47–88) | 72 (63–83) | 0.50 | |
| Sex | Male/Female | 19/15 | 2/4 | 0.30 | |
| Lung metastasis | |||||
| Timing of metastasis | Synchronous/Metachronous | 11/23 | 3/3 | 0.40 | |
| Histological type | Well-/Moderately Differentiated | 11/23 | 0 / 6 | 0.039 | |
| Tumour budding | TB 1/2/3 | 29/3/2 | 2/4/0 | 0.009 | |
| Primary tumour | |||||
| Location | Right-sided/Left-sided/Rectum | 5/7/22 | 1/2/3 | 0.76 | |
| Histological type | Well-/Moderately Differentiated | 13/21 | 0/6 | 0.022 | |
| T stage | ¾ | 28/6 | 3/3 | 0.10 | |
| N stage | 0/1/2 | 16/14/4 | 1/1/4 | 0.020 | |
| Tumour budding | TB 1/2/3 | 15/6/13 | 0/2/4 | 0.043 | |
| Desmoplastic reaction | Non-immature/Immature | 8/26 | 0/6 | 0.086 | |
| Cohen’s kappa (κ) for desmoplastic reaction | 0.08 (slight agreement) | ||||
| Tumour Budding of Lung Metastasis | ||||||
|---|---|---|---|---|---|---|
| BD1 | BD2 | BD3 | p Value | |||
| n | 31 | 7 | 2 | |||
| Age (years) | Median (range) | 68 (47–87) | 73.5 (58–83) | 68 | 0.79 | |
| Sex | Male/Female | 14/17 | 4/3 | 1/1 | 0.84 | |
| Lung metastasis | ||||||
| Timing of metastasis | Synchronous/Metachronous | 10/21 | 3/4 | 1/1 | 0.78 | |
| Histological type | Well-/Moderately Differentiated | 11/20 | 0/7 | 0/2 | 0.034 | |
| Desmoplastic reaction | Non-immature/Immature | 29/2 | 3/4 | 2/0 | 0.009 | |
| Primary tumour | ||||||
| Location | Right-sided/Left-sided/Rectum | 5/4/22 | 1/4/2 | 0/1/1 | 0.12 | |
| Histological type | Well-/Moderately Differentiated | 11/20 | 0/7 | 2/0 | 0.0063 | |
| T stage | 3/4 | 25/6 | 4/3 | 2/0 | 0.26 | |
| N stage | 0/1/2 | 13/14/4 | 2/1/4 | 2/0/0 | 0.046 | |
| Desmoplastic reaction | Non-immature/Immature | 6/25 | 1/6 | 1/1 | 0.58 | |
| Tumour budding | BD 1/2/3 | 13/7/11 | 0/1/6 | 2/0/0 | 0.015 | |
| Cohen’s kappa (κ) for tumour budding | 0.47 (moderate agreement) | |||||
Disclaimer/Publisher’s Note: The statements, opinions and data contained in all publications are solely those of the individual author(s) and contributor(s) and not of MDPI and/or the editor(s). MDPI and/or the editor(s) disclaim responsibility for any injury to people or property resulting from any ideas, methods, instructions or products referred to in the content. |
© 2025 by the authors. Licensee MDPI, Basel, Switzerland. This article is an open access article distributed under the terms and conditions of the Creative Commons Attribution (CC BY) license (https://creativecommons.org/licenses/by/4.0/).
Share and Cite
Kobayashi, T.; Ishida, M.; Matsui, H.; Uehara, H.; I, S.; Yamada, N.; Igarashi, Y.; Hagiwara, C.; Mori, Y.; Taniguchi, Y.; et al. Relationship of Desmoplastic Reaction and Tumour Budding in Primary and Lung Metastatic Lesions of Colorectal Cancer and Their Prognostic Significance. Cancers 2025, 17, 583. https://doi.org/10.3390/cancers17040583
Kobayashi T, Ishida M, Matsui H, Uehara H, I S, Yamada N, Igarashi Y, Hagiwara C, Mori Y, Taniguchi Y, et al. Relationship of Desmoplastic Reaction and Tumour Budding in Primary and Lung Metastatic Lesions of Colorectal Cancer and Their Prognostic Significance. Cancers. 2025; 17(4):583. https://doi.org/10.3390/cancers17040583
Chicago/Turabian StyleKobayashi, Toshinori, Mitsuaki Ishida, Hiroshi Matsui, Hiroki Uehara, Shoichiro I, Norikazu Yamada, Yuto Igarashi, Chie Hagiwara, Yoshihiro Mori, Yohei Taniguchi, and et al. 2025. "Relationship of Desmoplastic Reaction and Tumour Budding in Primary and Lung Metastatic Lesions of Colorectal Cancer and Their Prognostic Significance" Cancers 17, no. 4: 583. https://doi.org/10.3390/cancers17040583
APA StyleKobayashi, T., Ishida, M., Matsui, H., Uehara, H., I, S., Yamada, N., Igarashi, Y., Hagiwara, C., Mori, Y., Taniguchi, Y., Saito, T., Hino, H., Hirose, Y., Murakawa, T., & Watanabe, J. (2025). Relationship of Desmoplastic Reaction and Tumour Budding in Primary and Lung Metastatic Lesions of Colorectal Cancer and Their Prognostic Significance. Cancers, 17(4), 583. https://doi.org/10.3390/cancers17040583

