You are currently viewing a new version of our website. To view the old version click .
Cancers
  • Article
  • Open Access

30 January 2025

A TaqMan-Based qRT-PCR Assay for Accurate Evaluation of the Oncogenic TrkAIII Splice Variant in Tumor cDNAs

,
,
,
,
,
,
and
Department of Biotechnological and Applied Clinical Sciences, University of L’Aquila, Via Vetoio, 67100 L’Aquila, Italy
*
Author to whom correspondence should be addressed.
These authors contributed equally to this work.
These authors contributed equally to this work.
This article belongs to the Special Issue Application of Large-Scale Genome Data in Identifying Clinically Actionable Targets in Cancer

Simple Summary

We have developed and validated a novel TaqMan-based qRT-PCR assay to detect and quantify expression of the oncogenic NTRK1/TrkA splice variant TrkAIII in tumor tissues. This assay was developed based on the discovery that TrkAIII is a potentially frequent and actionable oncogenic equivalent to TrkA-fused genes in neuroblastomas and other tumor types and is highly efficient, reproducible, and specific in detecting as few as 10 TrkAIII copies in complex tumor cDNAs. Inclusion of this assay into precision oncology algorithms will make it easier to identify patients with therapy-resistant, advanced stage, metastatic Trk-fused gene negative tumors potentially driven by TrkAIII, for whom approval of third-line effective Trk inhibitors could be extended.

Abstract

Background: Alternative NTRK1/TrkA splicing resulting in TrkAIII expression, originally discovered in advanced-stage metastatic neuroblastomas, is also pronounced in prostate, medullary thyroid, glioblastoma multiforme, MCPyV-positive Merkel cell, cutaneous malignant melanoma, and pituitary neuroendocrine tumor subsets. In tumor models, TrkAIII exhibits actionable oncogenic activity equivalent to the TrkT3-fused oncogene, and in tumor cell lines, alternative TrkAIII splicing is promoted by hypoxia, nutrient deprivation, endoplasmic reticulum stress, and SV40 large T antigen, implicating tumor microenvironmental conditions and oncogenic polyoma viruses in tumor-associated TrkAIII expression. Collectively, these observations characterize TrkAIII as a potentially frequent, actionable oncogenic alternative to TrkA gene fusion in different tumor types. Currently, therapeutic approval for efficacious Trk inhibitors is restricted to Trk-fused gene positive tumors and not for tumors potentially driven by TrkAIII. Methods: With the therapeutically relevant aim of improving the identification of tumors potentially driven by TrkAIII, we have developed a TaqMan-based qRT-PCR assay for evaluating TrkAIII expression in tumor cDNAs. Results: This assay, validated using gel-purified fs-TrkA and TrkAIII cDNAs alone and in complex cDNA mixtures, employs primers and probes designed from fs-TrkA and TrkAIII sequences, with specificity provided by a TaqMan probe spanning the TrkAIII exon 5–8 splice junction. It is highly efficient, reproducible, and specific and can detect as few as 10 TrkAIII copies in complex RNAs extracted from either fresh or FFPE tumor tissues. Conclusions: Inclusion of this assay into precision oncology algorithms, when paired with fs-TrkA qRT-PCR and TrkA immune histochemistry, will make it easier to identify patients with therapy-resistant, advanced-stage metastatic Trk-fused gene-negative tumors potentially driven by TrkAIII, for whom approval of third-line effective Trk inhibitors could be extended.

1. Introduction

The discovery and characterization of human Trk and TrkT1-3 as novel fused oncogenes containing the same tyrosine kinase domain in colon and papillary thyroid tumors [1,2] preceded and facilitated the identification of the NTRK1/TrkA gene (NG_007493.1) [3], which encodes tropomyosin-related kinase A (TrkA), the high-affinity tyrosine kinase receptor for the neurotrophin nerve growth factor, which is localized on chromosome 1p23.1 and is composed of 17 exons [4,5,6,7]. Additional TrkA-fused oncogenes have since been identified, with low frequencies in many common adult cancers and with higher frequencies in some rare tumor types, including secretory breast carcinoma, mammary analogue secretory carcinoma, and congenital infantile fibrosarcoma [8,9]. Subsequent development of small-molecule Trk inhibitors has led to breakthrough clinical studies in Trk-fused gene-positive pediatric and adult cancers, which have reported profound durable responses to the Trk inhibitors larotrectinib and entrectinib [10,11]. These studies accelerated the clinical approval of both drugs for the treatment of therapy-resistant, advanced-stage, metastatic pediatric and adult Trk-fused gene-positive cancers, and these drugs continue to elicit profound durable responses (see clinical trials NCT05192642, NCT02650401, NCT04589845, and NCT02568267) [8,9,10,11,12,13]. However, these inhibitors are not currently FDA approved for the treatment of Trk-fused gene-negative tumors driven by alternative oncogenic NTRK1/TrkA activation mechanisms [14,15].
Alternative NTRK1/TrkA splicing, resulting in expression of the TrkAIII splice variant (GeneBank OP866787), represents a potential oncogenic alternative to Trk-fused genes in different tumor types [16,17,18,19,20,21,22,23,24]. Alternative TrkAIII splicing was originally discovered in human neuroblastomas (NBs) [16], and it has been reported to significantly correlate with advanced-stage metastatic disease and post-therapeutic relapse [16,17]. TrkAIII mRNA exhibits cassette exons 6–7 and exon 9 skipping and is expressed as an in-frame receptor variant characterized by the omission of the extracellular D4 domain and associated N-glycosylation sites cell, required for surface expression and the prevention of the ligand-independent activation of fully spliced TrkA [18,19]. As a consequence, TrkAIII is not expressed at the cell surface but re-localizes to pre-Golgi membranes, centrosomes, and mitochondria, where it exhibits a ligand-independent cell cycle and stress-regulated activation, resulting in oncogenic activity [16,20,21,22,23,24]. In tumor models, TrkAIII transforms NIH-3T3 cells and promotes primary and metastatic tumorigenicity in nude mouse NB models through mechanisms that include pro-survival and pro-angiogenic PI3K/Akt signaling; increased SOD2 and stem cell-associated gene expression; centrosome amplification, leading to increased chromosome instability; stress-induced metabolic glycolytic adaptation; and enhanced mitochondrial protection against deregulated Ca2+ homeostasis [16,20,21,22,23,24]. In these models, TrkAIII also exhibits oncogenic equivalence to the TrkA-fused oncogene TrkT3 and is inhibited by approved entrectinib and lestaurtinib Trk inhibitors [16,20,21,22,23,24]. Collectively, these observations characterize TrkAIII as an actionable pathological equivalent to TrkA-fused oncogenes in addition to being the pathological version of a previously described engineered D4 domain-deleted TrkA oncogene [16,17].
TrkAIII involvement in tumors other than NB is supported by reports of pronounced alternative TrkAIII splicing and exclusive TrkAIII mRNA expression in subsets of prostate carcinoma (PRC), medullary thyroid carcinoma (MTC) [16], glioblastoma multiforme (GBM) [21], MCPyV-positive Merkel cell carcinoma (MCC), cutaneous malignant melanoma (CMM), and pituitary neuroendocrine tumors (PitNET), and of frequent association with evidence of intracellular TrkAIII activation in MCPyV MCCs, CMMs, and PitNETs [25,26,27,28]. The actionable potential of TrkAIII, confirmed by its inhibition by approved Trk inhibitors [16,20,23,24,27], is also supported by the promotion of tumor cell alternative TrkAIII splicing by conditions that characterize tumor microenvironments (TMEs) (hypoxia, nutrient deprivation, and ER stress response activation) and by SV40 polyomavirus large T antigen, implicating oncogenic poliomaviruses in promoting sustained alternative TrkAIII splicing in tumors and providing a potential explanation for the pronounced alternative TrkA splicing detected in MCPyV-positive (but not -negative) MCCs [25,26]. Furthermore, a remarkable and durable response to entrectinib Alk-Trk inhibitory therapy has been reported in an infant with therapy-resistant, advanced stage 4 metastatic NB exhibiting a molecular profile consistent with TrkAIII expression and activation [29]. Moreover, sequence analyses have so far identified TrkAIII mRNA as the only NTRK1/TrkA splice variant in tumor samples with an in-frame tyrosine kinase domain and, therefore, oncogenic tyrosine kinase potential [16,20,25,26,27,28], which reinforces this hypothesis. Collectively, these observations support a potentially frequent and actionable role for alternative TrkAIII splicing as an oncogenic alternative to TrkA-gene fusion in different tumor types, consistent with a report that alternative splicing is a significantly frequent oncogene activation mechanism in a wide variety of tumor types [30] and in particular tumors with low mutation burdens, such as NBs, MCPyV-positive MCCs, PRCs, GBMs, and MTCs [30,31,32].
Trk inhibitors, which work at the protein level, are currently FDA approved for third-line treatment of therapy-resistant, advanced-stage, metastatic Trk-fused gene-positive tumors [14,15]. These tumors are identified by precision oncology algorithms that include next-generation sequencing, fluorescent in situ hybridization, qRT-PCR and immunohistochemistry [33,34]. Considering that TrkAIII is a potentially actionable TrkA-fused oncogene equivalent and that alternative TrkAIII splicing is pronounced and occasionally exclusive in advanced-stage, metastatic and relapsed NBs, PRCs, MTC, GBs, MCCs, CMMs, and PitNET tumors [16,17,20,25,26,27,28], and considering the current lack of a TrkAIII-specific real-time qPCR detection method, we have developed a sensitive TrkAIII-specific TaqMan-based qRT-PCR assay for quantifying TrkAIII expression in complex tumor cDNAs. The inclusion of this assay into precision oncology algorithms will make it easier to identify patients with Trk-fused gene-negative tumors, potentially driven by TrkAIII, for whom approval of third-line effective Trk inhibitors could be extended.

2. Materials and Methods

2.1. fs-TrkA and TrkAIII cDNA Purification and Sequencing for TaqMan qRT-PCR Validation

Fully spliced (fs-) TrkA and alternatively spliced TrkAIII cDNAs from previously characterized stable transfected TrkA and TrkAIII SH-SY5Y cell lines [16] were PCR amplified using the primer sets 5′-ATGCTGCGAGGCGGACGGCGC-3′ and 5′-GGAGGCCTGGCCGAAGGGGTT-3′, separated by 1.5% agarose gel electrophoresis, and purified from gel slices using the ReliaPrep™ DNA Clean-Up and Concentration System, as described by the manufacturer (Promega, Madison, WI, USA). PCR product quantity and purity were then determined by Nanodrop spectrophotometry, as directed by the manufacturer (Thermo Fisher Scientific, Waltham, MA, USA), and the region of interest for TrkAIII-specific qRT-PCR reactions was confirmed to be non-mutated by double-stranded Sanger sequencing using BigDye Terminator V.2.1. Cycle Sequencing kit in an ABI PRISM 310 Genetic Analyzer, as described by the manufacturer (Thermo Fisher Scientific, Waltham, MA, USA) (Figure 1) (sequence data was generated using ABI Prism GeneScan Analysis 3500 Series Data Collect software version 3.1). The Sanger sequence and Blast of the TrkAIII cDNA region corresponding to the Assay 1 qRT-PCR amplicon are presented in Supplementary Figure S1.
Figure 1. (a) Agarose gel of purified fs-TrkA and TrkAIII fragments generated using primers spanning TrkA exons 1–8. (b) Fragment quality assessed by Nanodrop spectrophotometry. (c) Sequences of purified fs-TrkA exon 6–7 and TrkAIII exon 5–8 splice junctions.

2.2. Cell Lines, Tumor Tissues, RNA Purification, and Reverse Transcription Reactions

IMR32 [CCL-127] and HEPG2 (HB-8065) cell lines were obtained from ATCC (Manassas, VI, USA); the NB1 cell line (CVCL_1440) was obtained from Riken BRC (Tsukuba, Japan); and the stable transfected pcDNA, TrkA, and TrkAIII SH-SY5Y cell lines have been previously described [16]. Cell lines were routinely cultured at 37 °C in a 5% CO2 atmosphere, in either RPMI 1640 or DMEM medium (Euroclone, Milan, Italy) supplemented with 10% fetal bovine serum, 1% glutamine, and 1% penicillin/streptomycin (Euroclone, Milan, Italy). Stable pcDNA, TrkA, and TrkAIII SH-SY5Y transfectants were also cultured with zeocin (200 μg/mL) (Thermo Fisher Scientific, Waltham, MA, USA). Saccharomyces boulardii yeast cells were cultured to stationary phase in YPD broth containing 1% w/v yeast extract, 2% w/v peptone, and 2% w/v D-glucose (Biolife Italiana, Milan, Italy) at 30 °C in a horizontal shaking incubator. The fresh and formalin-fixed paraffin-embedded (FFPE) human CMM tissues used in this study have been previously described [27] and are presented in Supplementary Table S1.
For RNA extractions, fresh tumor surgical specimens were placed in RNAse-free tubes, snap-frozen in liquid nitrogen, and stored at −80 °C until used. Tumor regions were selected macroscopically and macro-dissected into 3 mm2 pieces in order to minimize non-tumor tissue contamination. Tissues were then pulverized in a Tissue Lyser LT (Quiagen, Milan, Italy), at 5 oscillations per second for 2 min, lysed in Quick-RNATM Miniprep Kit lysis buffer and RNAs purified from lysates, as directed by the manufacturer (Zymo Research, Freiberg im Breisgau, Germany). For FFPE tumor samples, RNAs were purified from 50 μm FFPE sections using PureLinkTM FFPE RNA isolation kit as directed by the manufacturer (Thermo Fisher Scientific, Waltham, MA, USA). For tumor cell lines and Saccharomyces boulardii yeast, cells were lysed in Quick-RNATM Miniprep kit lysis buffer and RNAs purified from lysates as directed by the manufacturer (Zymo Research, Freiberg im Breisgau, Germany). RNA purity and concentration were evaluated by Nanodrop spectrophotometry, as directed by the manufacturer (Thermo Fisher Scientific, Waltham, MA, USA). Purified RNAs (500 ng) exhibiting spectrophotometer 260/280 values > 1.9 were then reverse transcribed using a Superscript IV VILO MasterMix reverse transcription kit as directed by the manufacturer (Thermo Fischer Scientific, Waltham, MA, USA).

2.3. Assay Design

Assay primers and probes were selected from NTRK1/TrkA (NM_001012331.1) and TrkAIII (GenBank: OP866787.1) sequences using Custom TaqMan® Assay Design Tool software (https://www.thermofisher.com/order/custom-genomic-products/tools/genotyping/, accessed on 7 March 2023) and were synthesized by Thermo Fisher Scientific (Waltham, MA, USA). A 473 base pair (bp) region spanning the TrkAIII exon 5–8 junction was selected as the target sequence for primer and probe design, and 2 independent qRT-PCR assays (Assay 1 and Assay 2) were evaluated utilizing TaqManTM probes with 5′ 6-carboxyfluoroscein dye labels and 3′ minor groove binder non-fluorescent quenchers. For Assay 1 (cat. number 4331348, assay ID APRWNPP), the forward NTRK1/TrkA exon 5 primer (5′-GCCCACATGCCCAATGC-3′) and reverse NTRK1/TrkA exon 8 primer (5′-CACCGCCGTGTGCAG-3′) were designed to amplify a 57 bp product to be used in conjunction with a TaqMan probe (5′-CTGTGTCCCGGCCAGTGT-3′) spanning the TrkAIII exon 5–8 splice junction. For Assay 2 (cat. number 4331348, assay ID AP2XGU9), the forward NTRK1/TrkA exon 5 primer (5′-GAACAGAAGCTGCAGTGTCATG-3′) and reverse TrkAIII exon 5–8 splice junction primer (5′-CACTGGCCGGGACACA-3′) were designed to amplify a 73 bp product to be used in conjunction with the TaqMan probe (5′-CACATGCCCAATGCCA-3′) localized within NTRK1/TrkA exon 5 sequence (Figure 2). Therefore, TrkAIII specificity in Assay 1 was determined by the probe and in Assay 2 by the antisense primer.
Figure 2. (a) Comparative representation of TrkAIII and fs-TrkA exon structures. (b) TrkAIII qRT-PCR Assay 1 and 2 strategies, illustrating TrkAIII specificity provided by the TaqMan probe and by the antisense primer (R), respectively.

2.4. Real-Time qPCR Analysis

Quantitative (q)RT-PCR analyses were performed in a final volume of 20 μL containing 10 μL of TaqMan Universal Master Mix II (2×) without uracil-N-glycosylase (TaqMan Universal Master Mix II, No UNG. Thermo Fisher Scientific, Waltham, MA, USA), 1 μL of Custom TaqMan Gene Expression Assay (20×), and 1 μL of sample template and nuclease-free water to adjust reaction volumes. Reactions were then amplified in a 7500 Fast Real-Time PCR System (Thermo Fisher Scientific, Waltham, MA, USA) as follows: 10 min incubation at 95 °C followed by 40 cycles of 15 s at 95 °C and 1 min at 60 °C. All reactions were performed in triplicate, and a negative control was included in each experiment. In selected cell lines and tumor samples, β-actin expression was also evaluated in parallel to TrkAIII, under identical PCR conditions, using the Human ACTB (β-actin) Endogenous Control Assay, as directed by the manufacturer (Hs01060665_g1, Thermo Fisher Scientific, Waltham, MA, USA).
Analytical performance parameters were assessed using 7 different concentrations of purified TrkAIII PCR fragments ranging from 10 to 107 copies alone or added to 25 ng of TrkAIII-negative Saccharomyces boulardii yeast cDNAs, and for confirmation of specificity, capacity to amplify and detect 107 and 106 copies of either purified fs-TrkA or TrkAIII PCR fragments were compared. The number of copies per μL (C) was calculated using the following equation: C = PA ÷ GMX (where P = PCR product concentration (ng/μL); A = Avogadro′s constant (6 × 1023); G = the amplicon size in bp; M = multiplying constant (1 × 109), and X = the average molecular weight of 1 bp in the amplicon (650 Daltons)). Amplification efficiency was also evaluated in 5 different concentrations of TrkAIII SH-SY5Y cell cDNA ranging from 0.0005 to 5 ng. Specificity was determined by detection of TrkAIII but not fs-TrkA cDNA.

2.5. Real-Time PCR Analysis of Cell Line and Tumor Tissue cDNAs

TrkAIII copy numbers were evaluated in complex cDNAs, including cDNAs from cell lines and fresh and FFPE tumor tissues and confirmed to express different levels of TrkAIII by semi-quantitative RT-PCR [25,27]. Briefly, experiments contained 1–3 μL of sample template (25 ng of cell line and fresh tumor tissue cDNAs or 70 ng of FFPE tissue cDNAs), and reactions were performed as described above. Absolute quantification of TrkAIII copy numbers was deduced from standard curves prepared using serial dilutions of the purified TrkAIII cDNA fragment.
Accompanying semi-quantitative RT-PCR analyses of cell line and fresh tumor tissue cDNAs utilized the primer set 5′-AGAAGCTGCAGTGTCATGGG-3′ and 5′-ATTGAGCACGGAGCCATTGA-3′; consisted of 35 cycles of 40 s denaturation at 95 °C, 30 s annealing at 58 °C, and 40 s of elongation at 72 °C; and generated a 452 bp fs-TrkA amplicon and a 176 bp TrkAIII amplicon. In order to mitigate fixative-dependent RNA degradation [35], semi-quantitative RT-PCR of FFPE tumor cDNAs used the primer set 5′-AATGCCAGCTGTGTCCCG-3′ and 5′-TGGTCTCATTGAGCACGGAG-3′ and consisted of 40 cycles of 30 s denaturation at 95 °C, 30 s of annealing at 60 °C, and 30 s of elongation at 72 °C and generated a 139 bp TrkAIII amplicon. As a general rule, annealing temperatures for semi-quantitative PCR and RT-PCR reactions were set 2 °C lower than the lowest melting temperature of the two oligonucleotide primers used, provided by the manufacturer (Integrated DNA Technologies, TEMA Ricerca, Bologna Italy). Semi-quantitative RT-PCR products were separated by 1.5% agarose gel electrophoresis and digitally photographed in a ChemiDoc MP Basic Imaging System (Bio-Rad, Hercules, CA, USA).

2.6. Data Analysis

TaqMan qRT-PCR data were captured and analyzed by 7500 Software version 2.3 (Thermo Fisher Scientific, Waltham, MA, USA), and the following parameters were evaluated: (i) Amplification efficiency (optimal values: 100 ± 10% with correlation coefficient R2 values > 0.985), determined by 7500 Software version 2.3, was calculated from the formula E = (10−1/slope) − 1, where E is presented as a percentage (slope values close to −3.32 indicate optimal, close to 100%, amplification efficiency, and they may exceed 100%). Amplification efficiency values between 90 and 105% indicate high efficiency. Regression coefficient R2 values, also determined by 7500 Software version 2.3, indicate the closeness of fit between the standard curve regression line and the individual standard curve Ct data points, and should be > 0.985 (R2 values of 1.00 indicate a perfect fit) [36]; (ii) sensitivity (minimum number of copies detectable); (iii) specificity for TrkAIII but not fs-TrkA; and (iv) reproducibility of mean cycle threshold (Ct) values, standard deviation (SD), and coefficients of variation (CVs) in 3 experiments, each performed in triplicate under identical conditions. Graphical illustrations were prepared using GraphPad Prism 10 software version 10.1.1 (GraphPad Software Inc., San Diego, CA, USA). Relative quantification of TrkAIII expression in selected cell lines and tumor samples were determined by the Ct normalization algorithm [37] using β-actin expression as the endogenous control.

3. Results

3.1. Evaluation of TrkAIII Real-Time PCR Assays Analytical Performance

Purified TrkAIII PCR fragments (Figure 1), containing target regions for primer and probe sets and at concentrations ranging from 10 to 107 copies, were subjected to TaqMan qRT-PCR in order to produce standard curves (Figure 3).
Figure 3. Efficiency and sensitivity of (a) Assay 1 and (b) Assay 2 in detecting different concentrations of purified TrkAIII cDNA fragments ranging from 10 to 107 copies, displayed as amplification plots (left panels, with threshold values indicated in red), a line graph of Ct values (right panels), and tables displaying slope, Y-intercept, R2, and efficiency (%) values.
In these reactions, Assay 1 efficiency was calculated to be 93.823% (slope = −3.479 and R2 = 0.993) (Figure 3a), and Assay 2 efficiency was calculated to be 103.398% (slope = −3.243, R2 = 0.988) (Figure 3b). Both assays detected as few as 10 TrkAIII copies, confirming high sensitivity.
With respect to specificity, Assay 1 and Assay 2 were compared in their capacity to specifically detect 107 and 106 copies of purified TrkAIII but not 107 and 106 copies of purified fs-TrkA PCR fragments. In Assay 1 (specificity provided by the TaqMan probe), both TrkAIII and fs-TrkA cDNAs were amplified, but only the TrkAIII product was detected by the TaqMan probe. In Assay 2 (specificity provided by the reverse primer), significant unexpected fs-TrkA amplification occurred and was detected by the TaqMan probe. These data confirm the optimum specificity for Assay 1 but not Assay 2 (Figure 4).
Figure 4. Comparison of Assay 1 and Assay 2 specificity in detecting TrkAIII but not fs-TrkA cDNA. Amplification plots demonstrating (a) TrkAIII-specific qRT-PCR signals from TrkAIII but not fs-TrkA cDNAs in Assay 1, and (b) qRT-PCR signals for both TrkAIII and fs-TrkA plus an agarose gel demonstrating both expected TrkAIII and unexpected (*) fs-TrkA amplification in Assay 2.
In Assay 1, intra-assay and inter-assay reproducibility was determined in three independent experiments under identical conditions, each performed in triplicate. These experiments produced coefficients of variation (CVs) from Ct values of <0.005 and <0.04, respectively (Table 1). The calculated efficiencies of the three independent experiments were 93.823% (R2 = 0.993, slope −3.479) (Figure 3), 94.773% (R2 = 0.992, slope −3.454), and 90.475% (R2 = 0.995, slope −3.573), resulting in a mean (±s.e.) calculated efficiency of 93.024 (±1.303)%. As qRT-PCR CV values < 0.1 indicate low variability [38], the data confirm optimal reproducibility and reliability in detecting and quantifying TrkAIII.
Table 1. Assay 1: Intra-assay and inter-assay reproducibility of purified TrkAIII cDNA.
Assay 1’s efficiency and sensitivity were subsequently investigated in complex TrkAIII-negative Saccharomyces boulardii cDNA spiked with different concentrations of purified TrkAIII fragments ranging from 10 to 107 copies. The calculated efficiencies of the two independent experiments were 99.334% (R2 = 0.99, slope −3.338) (Figure 5) and 90.427% (R2 = 0.993, slope −3.575) for the duplicate experiment, resulting in a mean (±s.e.) calculated efficiency of 94.88 (±3.363)%. These data confirm that cDNA complexity does not interfere with either the efficiency or sensitivity of TrkAIII detection (Figure 5).
Figure 5. Evaluation of Assay 1’s efficiency and sensitivity in detecting different concentrations of purified TrkAIII cDNA fragments, ranging from 10 to 107 copies added to 25 ng of TrkAIII-free Saccharomyces boulardii cDNA, in one of the two independent experiments, displayed as amplification plots (left panel, with the threshold value indicated in red), a line graph of Ct values (right panel), and a table displaying slope, Y-intercept, R2, and efficiency (%) values.
Assay 1’s intra-assay and inter-assay reproducibility in detecting TrkAIII cDNA in TrkAIII-free Saccharomyces boulardii cDNA was determined in duplicate independent experiments, each performed in triplicate under identical conditions. These experiments produced coefficients of variation (CVs) from Ct values of <0.01 and <0.028, respectively, confirming optimal reproducibility and reliability in detecting and quantifying TrkAIII in complex cDNAs (Table 2).
Table 2. Assay 1: Intra-assay and inter-assay reproducibility in detecting purified TrkAIII cDNA in Saccharomyces boulardii cDNAs.
In addition, Assay 1’s efficiency was also evaluated in different concentrations of stable transfected TrkAIII SH-SY5Y cDNA, ranging from 0.0005 to 5 ng. The calculated efficiencies of the two independent experiments were 97.616% (R2 = 0.995, slope −3.380) (Figure 6) and 90.609% (R2 = 0.986, slope −3.570) for the duplicate experiment, resulting in a mean (±s.e.) calculated efficiency of 94.112 (±2.860)%. These data further confirm the optimum Assay 1 efficiency in detecting TrkAIII in complex cell line cDNAs.
Figure 6. Assay 1 efficiency and sensitivity in detecting TrkAIII in different concentrations of TrkAIII SH-SY5Y cDNAs ranging from 0.0005 to 5 ng in one of the two independent experiments, displayed as amplification plots (left panel, with threshold value indicated in red), a line graph of Ct values (right panel), and a table displaying slope, Y-intercept, R2, and efficiency (%) values.
Assay 1’s intra-assay and inter-assay reproducibility in detecting TrkAIII in different concentrations of TrkAIII SH-SY5Y cDNAs was determined in independent experiments, each performed in triplicate under identical conditions. These experiments produced coefficients of variation (CVs) from Ct values of <0.013 and <0.039, respectively, further confirming optimal reproducibility and reliability in detecting and quantifying TrkAIII in complex cDNAs (Table 3) [36].
Table 3. Assay 1: Intra-assay and inter-assay reproducibility of detecting TrkAIII in purified TrkAIII SH-SY5Y cDNA.

3.2. Detection of TrkAIII in Complex Tumor Cell Lines and in Fresh and FFPE Tumor cDNAs

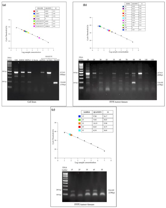
Assay 1 was subsequently evaluated in its ability to detect TrkAIII expression in complex cDNAs from tumor cell lines (n = 6), fresh tumor tissues (n = 11), and FFPE tumor tissues (n = 5) in comparison with semi-quantitative RT-PCR. In terms of absolute quantification and signal intensity, Assay 1 detected TrkAIII expression in cell lines, in 10 of 11 fresh tumor samples (not detected in 10B), in all FFPE tumor tissue samples, and in all samples positive for TrkAIII by semi-quantitative RT-PCR (Figure 7). Absolute TrkAIII copy numbers in 25 ng of cell line cDNAs, calculated from Ct standard curves, were ≈657 in NB1 cDNA, ≈420 in IMR32 cDNA, and ≈1805 in 25 ng of HEPG2 cDNA, and in the SH-SY5Y transfectants they were ≈670 in pcDNA SH-SY5Y cDNA, ≈284 in fs-TrkA SH-SY5Y, and ≈203,807 in TrkAIII SH-SY5Y cDNA (Figure 7a). In 25 ng of fresh tumor cDNAs, TrkAIII copy numbers ranged from ≈19 in sample 11B to 2480 in sample 8B, and TrkAIII was not detected in sample 10B (Figure 7b). In 70 ng of FFPE tumor cDNAs, TrkAIII was detected in all 5 samples and ranged from ≈62 copies in sample 5F to ≈116 copies in sample 3F (Figure 7c). TaqMan qRT-PCR detected TrkAIII in two FFPE samples (2F and 5F), negative for TrkAIII expression by semi-quantitative RT-PCR, confirming enhanced sensitivity in TrkAIII detection, and no false negatives were detected, confirming the suitability of this assay for detecting TrkAIII in clinical samples.
Figure 7. Diagnostic potential of Assay 1 in absolute quantification of TrkAIII mRNA levels in cDNAs from (a) NB1, IMR32, HEPG2, Saccharomyces boulardii (S. boula), pcDNA SH-SY5Y, fs-TrkA SH-SY5Y, and TrkAIII SH-SY5Y cell lines; (b) cDNAs from 11 fresh CMM tissues (1–11B); and (c) cDNAs from 5 FFPE CMM tissues (1–5F), plus agarose gel images demonstrating 452 bp fs-TrkA and 176 bp TrkAIII products amplified by semi-quantitative PCR in cell lines and fresh tumor cDNAs and 139 bp product amplified by semi-quantitative PCR in FFPE tumor cDNAs using the primer sets reported in Section 2.5.

3.3. Normalization of TrkAIII to β-actin Expression in TaqMan qRT-PCRs

To illustrate and highlight the importance of normalizing TrkAIII expression in comparative TaqMan qRT-PCR reactions, TrkAIII Ct values in pcDNA SH-SY5Y, TrkA SH-SY5Y, and TrkAIII SH-SY5Y cDNAs were normalized for β-actin expression [37,39]. Normalized TrkAIII expression in 25 ng of pcDNA SH-SY5Y controls, given the arbitrary value of 1, was 5.216-fold higher in 25 ng of TrkA SH-SY5Y cDNA and 2608.4-fold higher in 25 ng of TrkAIII SH-SY5Y cDNAs (Table 4). In addition, as TrkAIII was not detected in normal skin cDNA, comparisons of normalized TrkAIII expression in 25 ng of tumor 7B cDNA (low-level minor alternative TrkAIII splicing) and tumor 8B cDNA (high-level predominant alternative TrkAIII splicing), selected by semi-quantitative RT-PCR (Figure 7b), were made to 25 ng of normal skin cDNA spiked with 100 copies of purified TrkAIII PCR fragments. Compared with this control, given the arbitrary value of 1, TrkAIII expression in tumor 7B cDNA was 215.74-fold higher and in tumor 8B cDNA was 1313.16-fold higher (Table 4), which equated to ≈6-fold higher TrkAIII expression in tumor 8B compared with 7B. Notably, semi-quantitative RT-PCR barely detected TrkAIII expression in pcDNA or TrkA SH-SY5Y cDNAs, negating accurate comparisons.
Table 4. Fold change in TrkAIII expression normalized for β-actin expression.
The enhanced ability of TaqMan Assay 1 to detect TrkAIII mRNA, particularly in FFPE tumor RNAs, compared with semi-quantitative RT-PCR, supports the preferential use for this assay for the detection of TrkAIII mRNA expression in clinical samples.

4. Discussion

The real-time TaqMan-based qPCR assay described in this study provides a novel efficient, reproducible, specific, and sensitive method for detecting and quantifying TrkAIII mRNA expression in complex tumor cDNAs. Development of a TaqMan-based qRT-PCR approach to quantify TrkAIII expression followed the initial failure to accurately quantify TrkAIII expression in tumor RNAs by SYBR Green qRT-PCR, which we attribute to the high GC content (>60%) of the TrkAIII specific exon 5–8 splice junction target sequence [40], which led to the design of two potential TaqMan-based qRT-PCR strategies. The first strategy (Assay 1), in which TrkAIII specificity was provided by the TaqMan probe, exhibited optimal efficiency and specificity with high sensitivity, was able to detect as few as 10 TrkAIII copies in complex cDNAs, and was developed. The second strategy (Assay 2), in which TrkAIII specificity was provided by the reverse PCR primer, despite optimal efficiency and sensitivity in detecting TrkAIII, also consistently exhibited low-level amplification and detection of fs-TrkA and was discontinued. The reason for the elevated 103.398% amplification efficiency calculated for Assay 2 was not investigated, but it falls within the 90–105% range considered to represent high amplification efficiency (https://assets.fishersci.com/TFS-Assets/LSG/manuals/4387785c.pdf, accessed on 14 January 2025) and is likely to be attributable to the different primers and probes used in Assay 2.
The sensitivity of Assay 1 in detecting TrkAIII was superior to that of semi-quantitative RT-PCR; readily detected 10 copies of purified TrkAIII; was not compromised by increased cDNA complexity, as demonstrated by TrkAIII addition to TrkAIII-negative Saccharomyces boulardii (yeast) cDNA; and readily detected TrkAIII expression in tumor cell lines, fresh tumor tissue, and FFPE tumor tissue cDNAs, the latter being of importance for retrospective studies. With respect to the purification of RNA from FFPE tumor tissues, commercial kits are widely used, but they often vary in the quantity and quality of purified RNA obtained. The Thermo Fisher PureLink FFPE RNA isolation kit used in this study was chosen based upon previous experience in terms of RNA purity and quantity [25,27] and is supported by the recent confirmation that this particular kit is among the best in terms of RNA quality score and the percentage of RNA fragments > 200 nucleotides [41]. Collectively, these observations confirm the accuracy of this assay in comparative analyses of TrkAIII expression in clinical samples, which holds diagnostic, prognostic, and therapeutic relevance.
As detailed in the introduction, the development and validation of this TrkAIII-specific, highly sensitive TaqMan-based qRT-PCR method arises from semi-quantitative RT-PCR detection of TrkAIII in different tumor types, TrkAIII oncogenic activity and equivalence to a TrkA-fused oncogene in tumor models, expression promoted by conditions that characterize TMEs, inhibition by clinically approved Trk inhibitors, and recognition that TrkAIII is the only TrkA splice variant so far detected in tumor RNAs with oncogenic tyrosine kinase potential [16,17,20,21,25,26,27,28]. Collectively, these observations strongly suggest that oncogenic alternative TrkAIII splicing represents a frequent alternative to TrkA-fused oncogenes in different tumor types, which is consistent with the recognition that alternative splicing is an oncogene activation alternative to gene mutation in a wide variety of cancers, and in particular, tumors with low mutational burdens [30,31,32]. The actionable potential of TrkAIII, although mitigated by production via alternative splicing rather than gene mutation, is also supported by these observations and endows this assay with the potential to identify patients with therapy-resistant, advanced-stage, metastatic Trk-fused gene-negative tumors potentially driven by TrkAIII, for whom approval of third-line Trk inhibitor therapy could be extended.

5. Conclusions

We have successfully developed and validated a new, highly efficient, reproducible, and sensitive TaqMan-based qRT-PCR assay for the precise detection, quantification, and comparison of TrkAIII mRNA expression in complex RNAs extracted from either fresh or FFPE tumor tissues. When included in current precision oncology algorithms [33,34] and paired with fs-TrkA qRT-PCR and immunohistochemistry or phosphoproteomics to evaluate the level of alternative TrkAIII splicing and intracellular TrkA isoform(s) expression and activation, this assay will make it easier to identify patients with therapy-resistant, advanced-stage, metastatic Trk-fused gene-negative tumors potentially driven by TrkAIII, for whom approval of third-line effective Trk inhibitors could be extended.

Supplementary Materials

The following supporting information can be downloaded at: https://www.mdpi.com/article/10.3390/cancers17030471/s1, Table S1: Details of the 11 fresh and 5 FFPE cutaneous malignant melanoma samples (CMMs) used in the development and validation of the TrkAIII-specific TaqMan-based qRT-PCR assay including tumor type, whether primary or metastatic; tumor stage; and reference to previously published patient numbers for these samples [27]. Figure S1: (a) Sanger sequence data printout of the TrkAIII cDNA region corresponding to the qRT-PCR amplicon in Assay 1 and (b) Nucleotide Blast of the sequence.

Author Contributions

Conceptualization, L.C., A.R.F., A.R.M. and V.Z.; methodology, M.S., L.C., I.M., A.R.F., A.R.M. and V.Z.; validation, M.S., L.C. and V.Z.; formal analysis, M.S., L.C. and V.Z.; investigation, M.S., L.C., I.M. and V.Z.; resources, E.P. and S.G.; data curation, M.S., L.C., S.G. and V.Z.; writing—original draft preparation, M.S., A.R.M. and V.Z.; writing—review and editing, M.S., L.C., I.M., S.G., E.P., A.R.F., A.R.M. and V.Z.; funding acquisition, A.R.M. and L.C. All authors have read and agreed to the published version of the manuscript.

Funding

This research was funded by intramural grants from the Department of Biotechnological and Applied Clinical Sciences of the University of L’Aquila: “DISCAB GRANTS 2024”: 07_DG-2024_01 and 07_DG-2024_06.

Institutional Review Board Statement

Human tissues used in this study have been previously described [27] and approved by the L’Aquila University Ethics committee (protocol number 50/2018.19, approved on 11 December 2018). The study was conducted in accordance with the Declaration of Helsinki.

Data Availability Statement

Data presented in this study are available from the corresponding author upon reasonable request.

Conflicts of Interest

The authors declare no conflicts of interest.

References

  1. Martin-Zanca, D.; Hughes, S.H.; Barbacid, M. A human oncogene formed by the fusion of truncated tropomyosin and protein tyrosine kinase sequences. Nature 1986, 319, 743–748. [Google Scholar] [CrossRef] [PubMed]
  2. Greco, A.; Roccato, E.; Pierotti, M.A. TRK oncogenes in papillary thyroid carcinoma. Cancer Treat. Res. 2004, 122, 207–219. [Google Scholar] [CrossRef] [PubMed]
  3. Martin-Zanca, D.; Oskam, R.; Mitra, G.; Copeland, T.; Barbacid, M. Molecular and biochemical characterization of the human trk proto-oncogene. Mol. Cell. Biol. 1989, 9, 24–33. [Google Scholar] [CrossRef] [PubMed]
  4. Klein, R.; Jing, S.Q.; Nanduri, V.; O’Rourke, E.; Barbacid, M. The trk proto-oncogene encodes a receptor for nerve growth factor. Cell 1991, 65, 189–197. [Google Scholar] [CrossRef]
  5. Kaplan, D.R.; Hempstead, B.L.; Martin-Zanca, D.; Chao, M.V.; Parada, L.F. The trk proto-oncogene product: A signal transducing receptor for nerve growth factor. Science 1991, 252, 554–558. [Google Scholar] [CrossRef]
  6. Hempstead, B.L.; Martin-Zanca, D.; Kaplan, D.R.; Parada, L.F.; Chao, M.V. High-affinity NGF binding requires coexpression of the trk proto-oncogene and the low-affinity NGF receptor. Nature 1991, 350, 678–683. [Google Scholar] [CrossRef]
  7. Indo, Y.; Mardy, S.; Tsuruta, M.; Karim, M.A.; Matsuda, I. Structure and organization of the human TRKA gene encoding a high affinity receptor for nerve growth factor. Jpn. J. Hum. Genet. 1997, 42, 343–351. [Google Scholar] [CrossRef]
  8. Cocco, E.; Scaltriti, M.; Drilon, A. NTRK fusion-positive cancers and TRK inhibitor therapy. Nat. Rev. Clin. Oncol. 2018, 15, 731–747. [Google Scholar] [CrossRef]
  9. Iannantuono, G.M.; Riondino, S.; Sganga, S.; Rosenfeld, R.; Guerriero, S.; Carlucci, M.; Capotondi, B.; Torino, F.; Roselli, M. NTRK Gene Fusions in Solid Tumors and TRK Inhibitors: A Systematic Review of Case Reports and Case Series. J. Pers. Med. 2022, 12, 1819. [Google Scholar] [CrossRef]
  10. Drilon, A.; Laetsch, T.W.; Kummar, S.; DuBois, S.G.; Lassen, U.N.; Demetri, G.D.; Nathenson, M.; Doebele, R.C.; Farago, A.F.; Pappo, A.S.; et al. Efficacy of Larotrectinib in TRK Fusion-Positive Cancers in Adults and Children. N. Engl. J. Med. 2018, 378, 731–739. [Google Scholar] [CrossRef]
  11. Liu, D.; Offin, M.; Harnicar, S.; Li, B.T.; Drilon, A.E. Entrectinib: An orally available, selective tyrosine kinase inhibitor for the treatment of NTRK, ROS1, and ALK fusion-positive solid tumors. Ther. Clin. Risk Manag. 2018, 14, 1247–1252. [Google Scholar] [CrossRef] [PubMed]
  12. Brose, M.C.; Westphalen, B.C.; Kehl, K.L.; Bernard-Gauthier, V.; Kurtinecz, M.; Brett, R.; Majdi, A.A.; Subbiah, V.; Pennell, N.A.; Drilon, A.E. Outcomes of larotrectinib compared with real-world data from non-TRK inhibitor therapies in patients with TRK fusion cancer: VICTORIA study. J. Clin. Oncol. 2024, 16, 3105. [Google Scholar] [CrossRef]
  13. Desai, A.V.; Robinson, G.W.; Wu, Y.; Wang, H.; Basu, E.M.; Bagchi, A.; Casanova, M.; van Tilburg, C.M.; Campbell-Hewson, Q.; Armstrong, A.E.; et al. Efficacy and safety of entrectinib in children with extracranial solid or primary central nervous system (CNS) tumors harboring NTRK or ROS1 fusions. J. Clin. Oncol. 2024, 16, 10000. [Google Scholar] [CrossRef]
  14. Roche. Entrectinib (Rozyltrek). U.S. Food and Drug Administration Website. Available online: https://www.accessdata.fda.gov/drugsatfda_docs/label/2019/212725s000lbl.pdf (accessed on 15 January 2025).
  15. Bayer. Larotrectinib (Vitrakvi). U.S. Food and Drug Administration Website. Available online: https://www.accessdata.fda.gov/drugsatfda_docs/label/2018/210861s000lbl.pdf (accessed on 15 January 2025).
  16. Tacconelli, A.; Farina, A.R.; Cappabianca, L.; Desantis, G.; Tessitore, A.; Vetuschi, A.; Sferra, R.; Rucci, N.; Argenti, B.; Screpanti, I.; et al. TrkA alternative splicing: A regulated tumor-promoting switch in human neuroblastoma. Cancer Cell 2004, 6, 347–360. [Google Scholar] [CrossRef]
  17. Schramm, A.; Schowe, B.; Fielitz, K.; Heilmann, M.; Martin, M.; Marschall, T.; Köster, J.; Vandesompele, J.; Vermeulen, J.; de Preter, K.; et al. Exon-level expression analyses identify MYCN and NTRK1 as major determinants of alternative exon usage and robustly predict primary neuroblastoma outcome. Br. J. Cancer 2012, 107, 1409–1417. [Google Scholar] [CrossRef] [PubMed]
  18. Arevalo, J.C.; Conde, B.; Hempstead, B.L.; Chao, M.V.; Martin-Zanca, D.; Perez, P. TrkA immunoglobulin-like ligand binding domains inhibit spontaneous activation of the receptor. Mol. Cell. Biol. 2000, 20, 5908–5916. [Google Scholar] [CrossRef]
  19. Watson, F.L.; Porcionatto, M.A.; Bhattacharyya, A.; Stiles, C.D.; Segal, R.A. TrkA glycosylation regulates receptor localization and activity. J. Neurobiol. 1999, 39, 323–336. [Google Scholar] [CrossRef]
  20. Farina, A.R.; Cappabianca, L.; Ruggeri, P.; Gneo, L.; Pellegrini, C.; Fargnoli, M.C.; Mackay, A.R. The oncogenic neurotrophin receptor tropomyosin-related kinase variant, TrkAIII. J. Exp. Clin. Cancer Res. 2018, 37, 119. [Google Scholar] [CrossRef]
  21. Farina, A.R.; Cappabianca, L.; Ruggeri, P.; Di Ianni, N.; Ragone, M.; Merolla, M.; Gulino, A.; Mackay, A.R. Alternative TrkA Splicing and Neuroblastoma. In Neuroblastoma—Present and Future; InTechOpen Limited: London, UK, 2012. [Google Scholar] [CrossRef][Green Version]
  22. Ruggeri, P.; Farina, A.R.; Di Ianni, N.; Cappabianca, L.; Ragone, M.; Ianni, G.; Gulino, A.; Mackay, A.R. The TrkAIII oncoprotein inhibits mitochondrial free radical ROS-induced death of SH-SY5Y neuroblastoma cells by augmenting SOD2 expression and activity at the mitochondria, within the context of a tumour stem cell-like phenotype. PLoS ONE 2014, 9, e94568. [Google Scholar] [CrossRef]
  23. Farina, A.R.; Cappabianca, L.; Gneo, L.; Ruggeri, P.; Mackay, A.R. TrkAIII signals endoplasmic reticulum stress to the mitochondria in neuroblastoma cells, resulting in glycolytic metabolic adaptation. Oncotarget 2017, 9, 8368–8390. [Google Scholar] [CrossRef]
  24. Cappabianca, L.; Ruggieri, M.; Sebastiano, M.; Sbaffone, M.; Martelli, I.; Ruggeri, P.; Di Padova, M.; Farina, A.R.; Mackay, A.R. Molecular Characterization and Inhibition of a Novel Stress-Induced Mitochondrial Protecting Role for Misfolded TrkAIII in Human SH-SY5Y Neuroblastoma Cells. Int. J. Mol. Sci. 2024, 25, 5475. [Google Scholar] [CrossRef] [PubMed]
  25. Cappabianca, L.; Guadagni, S.; Maccarone, R.; Sebastiano, M.; Chiominto, A.; Farina, A.R.; Mackay, A.R. A pilot study of alternative TrkAIII splicing in Merkel cell carcinoma: A potential oncogenic mechanism and novel therapeutic target. J. Exp. Clin. Cancer Res. 2019, 38, 424. [Google Scholar] [CrossRef] [PubMed]
  26. Guadagni, S.; Farina, A.R.; Cappabianca, L.; Sebastiano, M.; Maccarone, R.; Zelli, V.; Clementi, M.; Chiominto, A.; Bruera, G.; Ricevuto, E.; et al. Multidisciplinary Treatment, Including Locoregional Chemotherapy, for Merkel-Polyomavirus-Positive Merkel Cell Carcinomas: Perspectives for Patients Exhibiting Oncogenic Alternative Δ exon 6-7 TrkAIII Splicing of Neurotrophin Receptor Tropomyosin-Related Kinase A. Int. J. Mol. Sci. 2020, 21, 8222. [Google Scholar] [CrossRef]
  27. Cappabianca, L.; Zelli, V.; Pellegrini, C.; Sebastiano, M.; Maccarone, R.; Clementi, M.; Chiominto, A.; Ruggeri, P.; Cardelli, L.; Ruggieri, M.; et al. The Alternative TrkAIII Splice Variant, a Targetable Oncogenic Participant in Human Cutaneous Malignant Melanoma. Cells 2023, 12, 237. [Google Scholar] [CrossRef] [PubMed]
  28. Sbaffone, M.; Jaffrain-Rea, M.L.; Cappabianca, L.; Carbonara, F.; Gianno, F.; Feola, T.; Ruggieri, M.; Zelli, V.; Maccarone, R.; Guadagni, S.; et al. A study of alternative TrkA splicing identifies TrkAIII as a novel potentially targetable participant in PitNET progression. Biology 2024, 13, 171. [Google Scholar] [CrossRef] [PubMed]
  29. Treis, D.; Umapathy, G.; Fransson, S.; Guan, J.; Mendoza-García, P.; Siaw, J.T.; Wessman, S.; Gordon Murkes, L.; Stenman, J.J.E.; Djos, A.; et al. Sustained Response to Entrectinib in an Infant With a Germline ALKAL2 Variant and Refractory Metastatic Neuroblastoma With Chromosomal 2p Gain and Anaplastic Lymphoma Kinase and Tropomyosin Receptor Kinase Activation. JCO Precis. Oncol. 2022, 6, e2100271. [Google Scholar] [CrossRef]
  30. Siddaway, R.; Milos, S.; Vadivel, A.K.A.; Dobson, T.H.W.; Swaminathan, J.; Ryall, S.; Pajovic, S.; Patel, P.G.; Nazarian, J.; Becher, O.; et al. Splicing is an alternate oncogenic pathway activation mechanism in glioma. Nat. Commun. 2022, 13, 588. [Google Scholar] [CrossRef]
  31. Hwang, W.L.; Wolfson, R.L.; Niemierko, A.; Marcus, K.J.; DuBois, S.G.; Haas-Kogan, D. Clinical Impact of Tumor Mutational Burden in Neuroblastoma. J. Natl. Cancer Inst. 2019, 111, 695–699. [Google Scholar] [CrossRef]
  32. Castle, J.C.; Uduman, M.; Pabla, S.; Stein, R.B.; Buell, J.S. Mutation-Derived Neoantigens for Cancer Immunotherapy. Front. Immunol. 2019, 10, 1856. [Google Scholar] [CrossRef]
  33. Lim, K.H.T.; Kong, H.L.; Chang, K.T.E.; Tan, D.S.W.; Tan, I.B.H.; Mohamad, F.; Soh, S.Y.; Pang, B.N.; Soo, R.A.; Choo, S.P.; et al. Recommended testing algorithms for NTRK gene fusions in pediatric and selected adult cancers: Consensus of a Singapore Task Force. Asia Pac. J. Clin. Oncol. 2022, 18, 394–403. [Google Scholar] [CrossRef]
  34. Nguyen, M.A.; Colebatch, A.J.; Van Beek, D.; Tierney, G.; Gupta, R.; Cooper, W.A. NTRK fusions in solid tumours: What every pathologist needs to know. Pathology 2023, 55, 596–609. [Google Scholar] [CrossRef] [PubMed]
  35. Srinivasan, M.; Sedmak, D.; Jewell, S. Effect of fixatives and tissue processing on the content and integrity of nucleic acids. Am. J. Pathol. 2002, 161, 1961–1971. [Google Scholar] [CrossRef] [PubMed]
  36. Rogers-Broadway, K.R.; Karteris, E. Amplification efficiency and thermal stability of rPCR instrumentation: Current landscape and future perspectives. Exp. Ther. Med. 2015, 10, 1261–1264. [Google Scholar] [CrossRef] [PubMed]
  37. Ramezani, A. CtNorm: Real time PCR cycle of threshold (Ct) normalization algorithm. J. Microbiol. Methods 2021, 187, 106267. [Google Scholar] [CrossRef]
  38. Shechtman, O. The Coefficient of Variation as an Index of Measurement Reliability. In Methods of Clinical Epidemiology; Doi, S., Williams, G., Eds.; Springer: Berlin/Heidelberg, Germany, 2013; pp. 39–49. ISBN 978-3-642-37131-8. [Google Scholar] [CrossRef]
  39. Gur-Dedeoglu, B.; Konu, O.; Bozkurt, B.; Ergul, G.; Seckin, S.; Yulug, I.G. Identification of endogenous reference genes for qRT-PCR analysis in normal matched breast tumor tissues. Oncol. Res. 2009, 17, 353–365. [Google Scholar] [CrossRef]
  40. Mamedov, T.G.; Pienaar, E.; Whitney, S.E.; TerMaat, J.R.; Carvill, G.; Goliath, R.; Subramanian, A.; Viljoen, H.J. A fundamental study of the PCR amplification of GC-rich DNA templates. Comput. Biol. Chem. 2008, 32, 452–457. [Google Scholar] [CrossRef]
  41. Dube, S.; Al-Mannai, S.; Liu, L.; Tomei, S.; Hubrack, S.; Sherif, S.; Jabeen, A.; Ahmed, E.I.; Sanchez, A.; Mifsud, W.; et al. Systemic comparison of quantity and quality of RNA recovered with commercial tissue extraction kits. J. Transl. Med. 2025, 23, 11. [Google Scholar] [CrossRef]
Disclaimer/Publisher’s Note: The statements, opinions and data contained in all publications are solely those of the individual author(s) and contributor(s) and not of MDPI and/or the editor(s). MDPI and/or the editor(s) disclaim responsibility for any injury to people or property resulting from any ideas, methods, instructions or products referred to in the content.

Article Metrics

Citations

Article Access Statistics

Multiple requests from the same IP address are counted as one view.