Vi-PLUS: Pioneering Plane-Wave Ultrasound to Assess Breast Glandular Tissue in Healthy Women—A Pilot Study
Simple Summary
Abstract
1. Introduction
2. Materials and Methods
2.1. Population
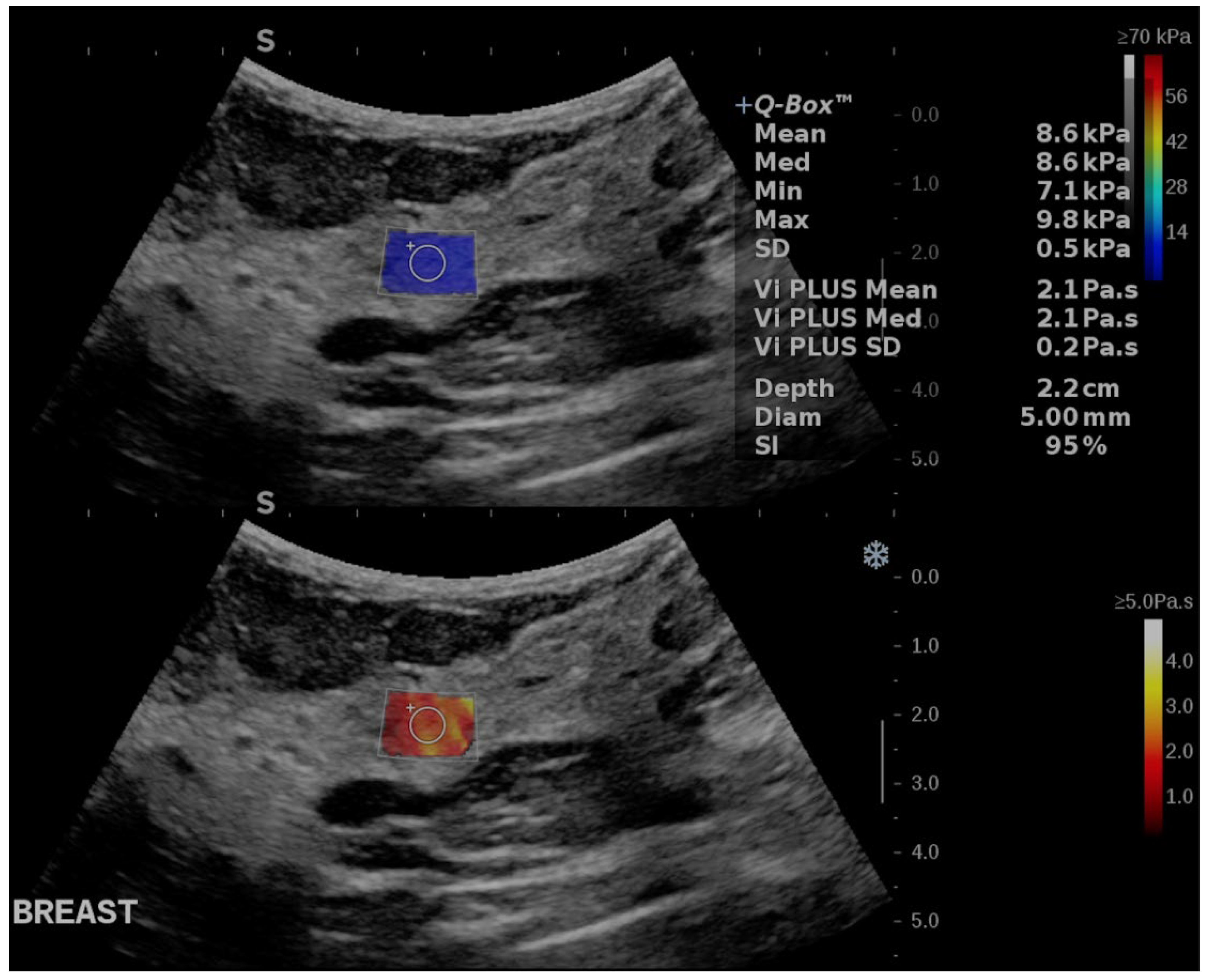
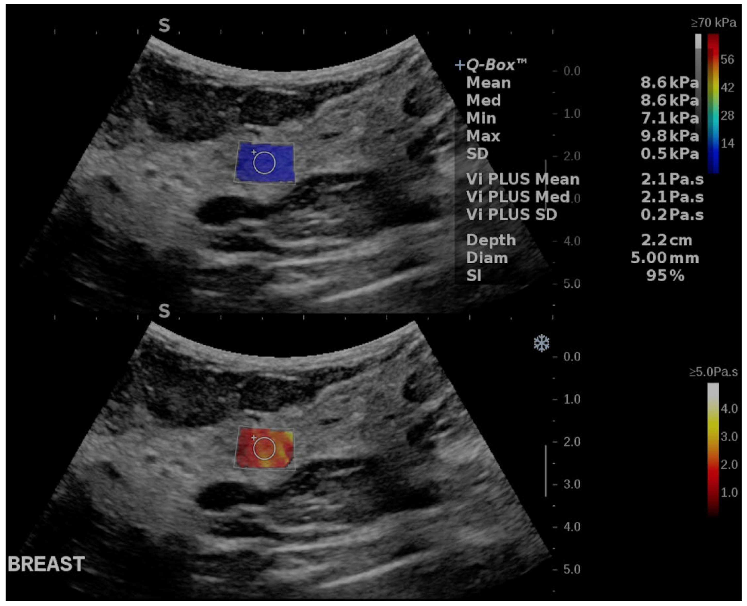
2.2. Ultrasound Acquisition Technique
2.3. Statistical Analysis
3. Results
4. Discussion
- 1.
- Integration into breast cancer risk assessment.
- 2.
- Correlation with tumor microenvironment changes.
- 3.
- Enhancing screening protocols for younger patients.
- 4.
- Monitoring of treatment response.
- 5.
- Development of high-resolution transducers.
5. Conclusions
Author Contributions
Funding
Institutional Review Board Statement
Informed Consent Statement
Data Availability Statement
Conflicts of Interest
References
- Shiina, T.; Nightingale, K.R.; Palmeri, M.L.; Hall, T.J.; Bamber, J.C.; Barr, R.G.; Castera, L.; Choi, B.I.; Chou, Y.-H.; Cosgrove, D.; et al. WFUMB Guidelines and Recommendations for Clinical Use of Ultrasound Elastography: Part 1: Basic Principles and Terminology. Ultrasound Med. Biol. 2015, 41, 1126–1147. [Google Scholar] [CrossRef] [PubMed]
- Bamber, J.; Cosgrove, D.; Dietrich, C.F.; Fromageau, J.; Bojunga, J.; Calliada, F.; Cantisani, V.; Correas, J.-M.; D’Onofrio, M.; Drakonaki, E.E.; et al. EFSUMB Guidelines and Recommendations on the Clinical Use of Ultrasound Elastography. Part 1: Basic Principles and Technology. Ultraschall Med. 2013, 34, 169–184. [Google Scholar] [CrossRef] [PubMed]
- Sugimoto, K.; Moriyasu, F.; Oshiro, H.; Takeuchi, H.; Yoshimasu, Y.; Kasai, Y.; Furuichi, Y.; Itoi, T. Viscoelasticity Measurement in Rat Livers Using Shear-Wave US Elastography. Ultrasound Med. Biol. 2018, 44, 2018–2024. [Google Scholar] [CrossRef] [PubMed]
- Sugimoto, K.; Moriyasu, F.; Oshiro, H.; Takeuchi, H.; Yoshimasu, Y.; Kasai, Y.; Itoi, T. Clinical utilization of shear wave dispersion imaging in diffuse liver disease. Ultrasonography 2020, 39, 3–10. [Google Scholar] [CrossRef] [PubMed] [PubMed Central]
- Rus, G.; Faris, I.H.; Torres, J.; Callejas, A.; Melchor, J. Why Are Viscosity and Nonlinearity Bound to Make an Impact in Clinical Elastographic Diagnosis? Sensors 2020, 20, 2379. [Google Scholar] [CrossRef] [PubMed]
- Lee, D.H.; Lee, J.Y.; Bae, J.S.; Yi, N.-J.; Lee, K.-W.; Suh, K.-S.; Kim, H.; Lee, K.B.; Han, J.K. Shear-Wave Dispersion Slope from US Shear-Wave Elastography: Detection of Allograft Damage after Liver Transplantation. Radiology 2019, 293, 327–333. [Google Scholar] [CrossRef] [PubMed]
- Sugimoto, K.; Moriyasu, F.; Oshiro, H.; Yoshimasu, Y.; Takeuchi, H.; Kasai, Y.; Furuichi, Y.; Itoi, T. Value of Viscosity and Viscoelasticity Measurement in Patients with NAFLD Using Shear Wave Ultrasound Elastography. Kanzo 2018, 59, 370–373. [Google Scholar] [CrossRef]
- Bodewes, F.; van Asselt, A.; Dorrius, M.D.; Greuter, M.; de Bock, G. Mammographic breast density and the risk of breast cancer: A systematic review and meta-analysis. Breast 2022, 66, 62–68. [Google Scholar] [CrossRef] [PubMed] [PubMed Central]
- Paterson, E.; Havrda, J.B. Breast Density: Assessment, Cancer Risk, and Reporting Regulations. Radiol. Technol. 2020, 91, 361M–375M. [Google Scholar] [PubMed]
- Lester, S.P.; Kaur, A.S.; Vegunta, S. Association Between Lifestyle Changes, Mammographic Breast Density, and Breast Cancer. Oncologist 2022, 27, 548–554. [Google Scholar] [CrossRef] [PubMed] [PubMed Central]
- Lynge, E.; Vejborg, I.; Lillholm, M.; Nielsen, M.; Napolitano, G.; von Euler-Chelpin, M. Breast density and risk of breast cancer. Int. J. Cancer 2023, 152, 1150–1158. [Google Scholar] [CrossRef] [PubMed] [PubMed Central]
- Bauer, E.; Levy, M.S.; Domachevsky, L.; Anaby, D.; Nissan, N. Background parenchymal enhancement and uptake as breast cancer imaging biomarkers: A state-of-the-art review. Clin. Imaging 2021, 83, 41–50. [Google Scholar] [CrossRef] [PubMed]
- Rella, R.; Contegiacomo, A.; Bufi, E.; Mercogliano, S.; Belli, P.; Manfredi, R. Background parenchymal enhancement and breast cancer: A review of the emerging evidences about its potential use as imaging biomarker. Br. J. Radiol. 2020, 94, 20200630. [Google Scholar] [CrossRef] [PubMed] [PubMed Central]
- Acciavatti, R.J.; Lee, S.H.; Reig, B.; Moy, L.; Conant, E.F.; Kontos, D.; Moon, W.K. Beyond Breast Density: Risk Measures for Breast Cancer in Multiple Imaging Modalities. Radiology 2023, 306, e222575. [Google Scholar] [CrossRef] [PubMed] [PubMed Central]
- Popa, A.; Bende, F.; Șirli, R.; Popescu, A.; Bâldea, V.; Lupușoru, R.; Cotrău, R.; Fofiu, R.; Foncea, C.; Sporea, I. Quantification of Liver Fibrosis, Steatosis, and Viscosity Using Multiparametric Ultrasound in Patients with Non-Alcoholic Liver Disease: A “Real-Life” Cohort Study. Diagnostics 2021, 11, 783. [Google Scholar] [CrossRef] [PubMed] [PubMed Central]
- Muntean, D.; Lenghel, M.; Ciurea, A.; Dudea, S. Viscosity Plane-wave UltraSound (ViPLUS) in the assessment of parotid and submandibular glands in healthy subjects—Preliminary results. Med. Ultrason. 2022, 24, 300–304. [Google Scholar] [CrossRef]
- Holmberg, K.V.; Hoffman, M.P. Anatomy, biogenesis, and regeneration of salivary glands. Monogr. Oral Sci. 2014, 24, 1–13. [Google Scholar] [CrossRef] [PubMed] [PubMed Central]
- Muntean, D.D.; Lenghel, M.L.; Petea-Balea, D.-R.; Ciurea, A.I.; Solomon, C.; Dudea, S.M. Functional Evaluation of Major Salivary Glands Using Viscosity PLUS and 2D Shear-Wave PLUS Elastography Techniques in Healthy Subjects—A Pilot Study. Diagnostics 2022, 12, 1963. [Google Scholar] [CrossRef] [PubMed]
- Dulgheriu, I.-T.; Solomon, C.; Muntean, D.D.; Petea-Balea, R.; Lenghel, M.; Ciurea, A.I.; Dudea, S.M. Shear-Wave Elastography and Viscosity PLUS for the Assessment of Peripheric Muscles in Healthy Subjects: A Pre- and Post-Contraction Study. Diagnostics 2022, 12, 2138. [Google Scholar] [CrossRef] [PubMed] [PubMed Central]
- Dominković, M.D.; Ivanac, G.; Brkljačić, B. Comparison of sonoelastographic values of breast tissue with mammographically and ultrasonically assessed density: A cross-sectional study. Croat. Med. J. 2020, 61, 223–229. [Google Scholar] [CrossRef] [PubMed] [PubMed Central]
- Clendenen, T.V.; Kim, S.; Moy, L.; Wan, L.; Rusinek, H.; Stanczyk, F.Z.; Pike, M.C.; Zeleniuch-Jacquotte, A. Magnetic Resonance Imaging (MRI) of hormone-induced breast changes in young premenopausal women. Magn. Reson. Imaging 2012, 31, 1–9. [Google Scholar] [CrossRef] [PubMed]
- Mokhtary, A.; Karakatsanis, A.; Valachis, A. Mammographic Density Changes over Time and Breast Cancer Risk: A Systematic Review and Meta-Analysis. Cancers 2021, 13, 4805. [Google Scholar] [CrossRef] [PubMed] [PubMed Central]
- Stoian, D.; Moisa, L.; Taban, L.; Sporea, I.; Popa, A.; Bende, F.; Popescu, A.; Borlea, A. Quantification of Thyroid Viscosity in Healthy Subjects Using Ultrasound Shear Wave Dispersion (Viscosity PLUS). Diagnostics 2022, 12, 2194. [Google Scholar] [CrossRef] [PubMed] [PubMed Central]
- Rella, R.; Belli, P.; Giuliani, M.; Bufi, E.; Carlino, G.; Rinaldi, P.; Manfredi, R. Automated Breast Ultrasonography (ABUS) in the Screening and Diagnostic Setting: Indications and Practical Use. Acad. Radiol. 2018, 25, 1457–1470. [Google Scholar] [CrossRef] [PubMed]
- Weigert, J.; Steenbergen, S. The Connecticut Experiment: The Role of Ultrasound in the Screening of Women With Dense Breasts. Breast J. 2012, 18, 517–522. [Google Scholar] [CrossRef] [PubMed]
- Zhang, Z.; Berg, W.A.; Lehrer, D.; Jong, R.A.; Pisano, E.D.; Barr, R.G.; Böhm-Vélez, M.; Mahoney, M.C.; Evans, W.P.; Larsen, L.H.; et al. Detection of Breast Cancer With Addition of Annual Screening Ultrasound or a Single Screening MRI to Mammography in Women With Elevated Breast Cancer Risk. JAMA 2012, 307, 1394–1404. [Google Scholar] [CrossRef] [PubMed] [PubMed Central]
- Brem, R.F.; Tabár, L.; Duffy, S.W.; Inciardi, M.F.; Guingrich, J.A.; Hashimoto, B.E.; Lander, M.R.; Lapidus, R.L.; Peterson, M.K.; Rapelyea, J.A.; et al. Assessing Improvement in Detection of Breast Cancer with Three-dimensional Automated Breast US in Women with Dense Breast Tissue: The SomoInsight Study. Radiology 2015, 274, 663–673. [Google Scholar] [CrossRef] [PubMed]
- Sessa, C.; Balmaña, J.; Bober, S.; Cardoso, M.; Colombo, N.; Curigliano, G.; Domchek, S.; Evans, D.; Fischerova, D.; Harbeck, N.; et al. Risk reduction and screening of cancer in hereditary breast-ovarian cancer syndromes: ESMO Clinical Practice Guideline. Ann. Oncol. 2023, 34, 33–47. [Google Scholar] [CrossRef] [PubMed]
- Bevers, T.B.; Niell, B.L.; Baker, J.L.; Bennett, D.L.; Bonaccio, E.; Camp, M.S.; Chikarmane, S.; Conant, E.F.; Eghtedari, M.; Flanagan, M.R.; et al. NCCN Guidelines® Insights: Breast Cancer Screening and Diagnosis, Version 1.2023. J. Natl. Compr. Cancer Netw. 2023, 21, 900–909. [Google Scholar] [CrossRef] [PubMed]




| Type of Breast Density | No. Patients | SWE (kPa) | Viscosity (Pa.s) |
|---|---|---|---|
| A | 16 | 6.46 (4.25, 7.88) | 1.63 (1.41, 1.81) |
| B | 59 | 5.9 (4.08, 8.65) | 1.56 (1.3, 2.06) |
| C | 78 | 6.45 (4.8, 9.86) | 1.86 (1.42, 2.1) |
| D | 26 | 6.26 (5.3, 9.03) | 1.75 (1.43, 2) |
| Reproductive Status | No. Patients | SWE (kPa) | Viscosity (Pa.s) |
|---|---|---|---|
| Reproductive age | 103 | 5.7 (4.65, 8.82) | 1.66 (1.43, 2.05) |
| Menopause | 142 | 6.45 (4.6, 9.3) | 1.75 (1.43, 2.06) |
| Phase of Menstrual Cycle | SWE (kPa) | Viscosity (Pa.s) |
|---|---|---|
| Premenstrual | 6.1 (4.92, 8.95) | 1.7 (1.43, 2.16) |
| Postmenstrual | 6.6 (4.5, 10.7) | 1.73 (1.53, 2.33) |
Disclaimer/Publisher’s Note: The statements, opinions and data contained in all publications are solely those of the individual author(s) and contributor(s) and not of MDPI and/or the editor(s). MDPI and/or the editor(s) disclaim responsibility for any injury to people or property resulting from any ideas, methods, instructions or products referred to in the content. |
© 2025 by the authors. Licensee MDPI, Basel, Switzerland. This article is an open access article distributed under the terms and conditions of the Creative Commons Attribution (CC BY) license (https://creativecommons.org/licenses/by/4.0/).
Share and Cite
Bene, I.; Donci, D.D.; Gherman, D.; Lenghel, M.L.; Solomon, C.; Dulgheriu, I.-T.; Petea-Balea, D.-R.; Ciortea, C.A.; Ciule, L.D.; Deac, A.-L.; et al. Vi-PLUS: Pioneering Plane-Wave Ultrasound to Assess Breast Glandular Tissue in Healthy Women—A Pilot Study. Cancers 2025, 17, 237. https://doi.org/10.3390/cancers17020237
Bene I, Donci DD, Gherman D, Lenghel ML, Solomon C, Dulgheriu I-T, Petea-Balea D-R, Ciortea CA, Ciule LD, Deac A-L, et al. Vi-PLUS: Pioneering Plane-Wave Ultrasound to Assess Breast Glandular Tissue in Healthy Women—A Pilot Study. Cancers. 2025; 17(2):237. https://doi.org/10.3390/cancers17020237
Chicago/Turabian StyleBene, Ioana, Delia Doris Donci, Diana Gherman, Manuela Lavinia Lenghel, Carolina Solomon, Ioana-Teofana Dulgheriu, Diana-Raluca Petea-Balea, Cristiana Augusta Ciortea, Larisa Dorina Ciule, Andrada-Larisa Deac, and et al. 2025. "Vi-PLUS: Pioneering Plane-Wave Ultrasound to Assess Breast Glandular Tissue in Healthy Women—A Pilot Study" Cancers 17, no. 2: 237. https://doi.org/10.3390/cancers17020237
APA StyleBene, I., Donci, D. D., Gherman, D., Lenghel, M. L., Solomon, C., Dulgheriu, I.-T., Petea-Balea, D.-R., Ciortea, C. A., Ciule, L. D., Deac, A.-L., & Ciurea, A. I. (2025). Vi-PLUS: Pioneering Plane-Wave Ultrasound to Assess Breast Glandular Tissue in Healthy Women—A Pilot Study. Cancers, 17(2), 237. https://doi.org/10.3390/cancers17020237

