Esophageal Squamous Papilloma and Papillomatosis: Current Evidence of HPV Involvement and Malignant Potential
Simple Summary
Abstract
1. Introduction
2. Human Papillomavirus Infection
2.1. Biology and Oncogenesis
2.2. HPV Detection Methods
3. HPV-Related Esophageal Lesions
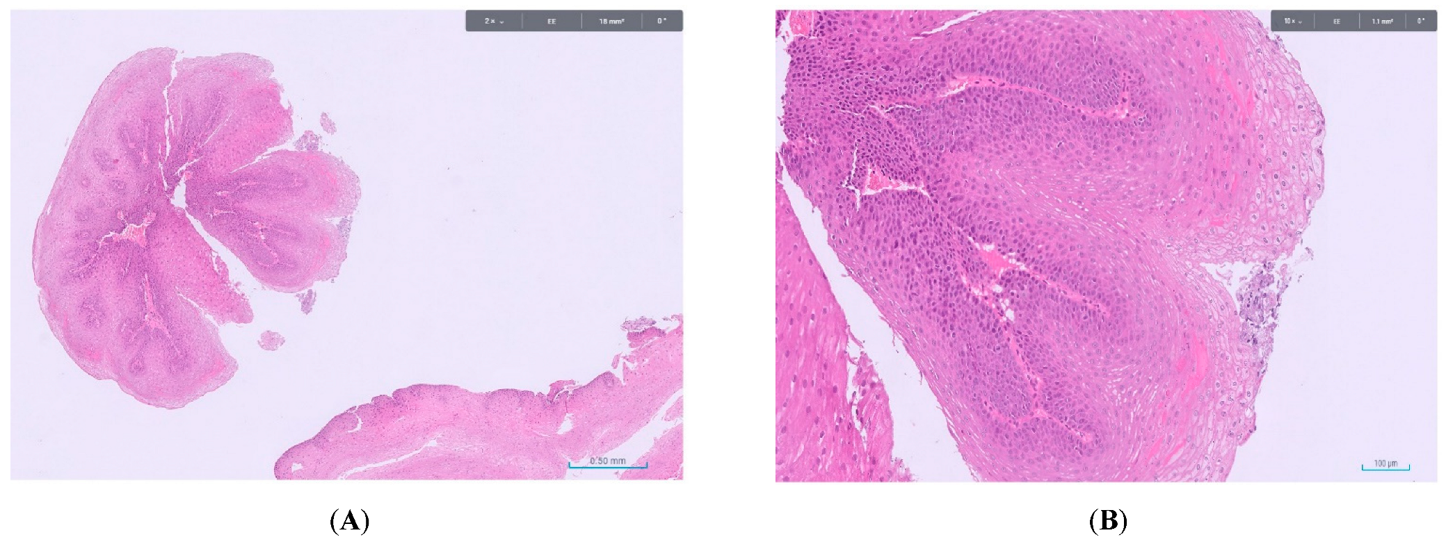
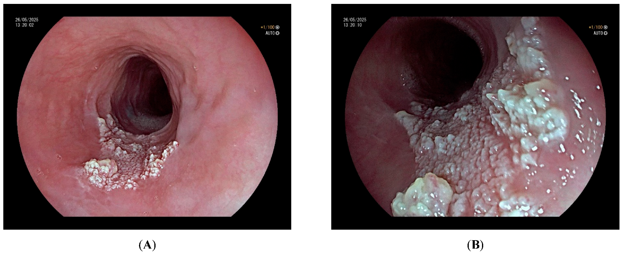
3.1. Esophageal Squamous Papilloma
3.2. Esophageal Squamous Papillomatosis
4. Advanced Endoscopic Techniques for Lesion Characterization
4.1. Lugol’s Chromoendoscopy
4.2. Virtual Chromoendoscopy (NBI and BLI)
- Type A microvessels (without severe irregularity) suggest non-neoplastic or low-grade dysplastic lesions.
- Type B microvessels (with severe irregularity) indicate cancerous changes and are subdivided into the following:
5. Recurrence and Malignant Potential
5.1. Esophageal Squamous Papilloma
5.2. Esophageal Squamous Papillomatosis
6. Treatment and Surveillance
6.1. Esophageal Squamous Papilloma
6.2. Esophageal Squamous Papillomatosis
7. Conclusions
Author Contributions
Funding
Conflicts of Interest
Abbreviations
| HPV | Human Papillomavirus |
| Hr-HPV | High-risk Human Papillomavirus |
| ESP | Esophageal Squamous Papilloma |
| RRP | Recurrent Respiratory Papillomatosis |
| ESCC | Esophageal Squamous Cell Carcinoma |
| PCR | Polymerase Chain Reaction |
| ISH | In Situ Hybridization |
| IHC | Immunohistochemistry |
| NBI | Narrow-Band Imaging |
| BLI | Blue Light Imaging |
| WLE | White Light Endoscopy |
| EGD | Esophagogastroduodenoscopy |
| GERD | Gastroesophageal Reflux Disease |
| ESD | Endoscopic Submucosal Dissection |
| EMR | Endoscopic Mucosal Resection |
| RFA | Radiofrequency Ablation |
| APC | Argon Plasma Coagulation |
| PDT | Photodynamic Therapy |
| IPCL | Intrapapillary Capillary Loop |
| JES | Japan Esophageal Society |
| ESGE | European Society of Gastrointestinal Endoscopy |
References
- Oyouni, A.A.A. Human Papillomavirus in Cancer: Infection, Disease Transmission, and Progress in Vaccines. J Infect. Public Health 2023, 16, 626–631. [Google Scholar] [CrossRef] [PubMed]
- Li, D.; Li, C.; Yan, Y.; Liu, M. Esophageal Papillomatosis: An Exceedingly Rare Disease. Orphanet J. Rare Dis. 2023, 18, 99. [Google Scholar] [CrossRef] [PubMed]
- Ahmad, A.I.; Lee, A.; Nithagon, P.; Ayaz, O.; Altork, N.; Peppas, S.; Alzraikat Sayel Ayoubi, R.; Smith, A.; Dhanjal, R.; Jassal, A.; et al. Esophageal Squamous Papilloma: Literature Review and Case-Control Study with Histopathological Exam of Human. JGH Open 2023, 7, 674–681. [Google Scholar] [CrossRef] [PubMed]
- Brianti, P.; De Flammineis, E.; Mercuri, S.R. Review of HPV-Related Diseases and Cancers. New Microbiol. 2017, 40, 80–85. [Google Scholar] [PubMed]
- Chelimo, C.; Wouldes, T.A.; Cameron, L.D.; Elwood, J.M. Risk Factors for and Prevention of Human Papillomaviruses (HPV), Genital Warts and Cervical Cancer. J. Infect. 2013, 66, 207–217. [Google Scholar] [CrossRef] [PubMed]
- De Vuyst, H.; Lillo, F.; Broutet, N.; Smith, J.S. HIV, Human Papillomavirus, and Cervical Neoplasia and cancer in the Era of Highly Active Antiretroviral Therapy. Eur. J. Cancer Prev. 2008, 17, 545–554. [Google Scholar] [CrossRef] [PubMed]
- Derkay, C.S.; Darrow, D.H. Recurrent Respiratory Papillomatosis. Ann. Otol. Rhinol. Laryngol. 2006, 115, 1–11. [Google Scholar] [CrossRef] [PubMed]
- Ardekani, A.; Taherifard, E.; Mollalo, A.; Hemadi, E.; Roshanshad, A.; Fereidooni, R.; Rouholamin, S.; Rezaeinejad, M.; Farid-Mojtahedi, M.; Razavi, M.; et al. Human Papillomavirus Infection during Pregnancy and Childhood: A Review. Microorganisms 2022, 10, 1932. [Google Scholar] [CrossRef] [PubMed]
- Morris, H.; Price, S. Langerhans’ Cells, Papillomaviruses and Oesophageal Carcinoma. A Hypothesis. South. Afr. Med. J. 1986, 69, 413–417. [Google Scholar]
- Sichero, L.; Ferreira, S.; López, R.V.M.; Mello, B.P.; Costa, V.; El-Achkar, V.N.R.; Carlos, R.; Ribeiro-Silva, A.; Pignatari, S.; Kaminagakura, E.; et al. Prevalence of Human Papillomavirus 6 and 11 Variants in Recurrent Respiratory Papillomatosis. J. Med. Virol. 2021, 93, 3835–3840. [Google Scholar] [CrossRef] [PubMed]
- Batra, P.S.; Hebert, R.L.; Haines, G.K.; Holinger, L.D. Recurrent Respiratory Papillomatosis with Esophageal Involvement. Int. J. Pediatr. Otorhinolaryngol. 2001, 58, 233–238. [Google Scholar] [CrossRef] [PubMed]
- Mészner, Z.; Jankovics, I.; Nagy, A.; Gerlinger, I.; Katona, G. Recurrent Laryngeal Papillomatosis with Oesophageal Involvement in a 2 Year Old Boy: Successful Treatment with the Quadrivalent Human Papillomatosis Vaccine. Int. J. Pediatr. Otorhinolaryngol. 2015, 79, 262–266. [Google Scholar] [CrossRef] [PubMed]
- Ravakhah, K.; Midamba, F.; West, B.C. Esophageal Papillomatosis from Human Papilloma Virus Proven by polymerase Chain Reaction. Am. J. Med. Sci. 1998, 316, 285–288. [Google Scholar] [CrossRef] [PubMed]
- Singhal, S.; Baker, R.D.; Khan, A.; Baker, S.S.; Gelfond, D.; Alkhouri, R.H. A Rare Case of Esophageal Papilloma Due to Human Papillomavirus with Uncommon Presentation of Dysphagia in a 2-Year-Old Child. Clin. Pediatr. 2016, 55, 1168–1170. [Google Scholar] [CrossRef] [PubMed]
- Nuwayhid, N.S.; Ballard, E.T.; Cotton, R. Esophageal Papillomatosis: Case Report. Ann. Otol. Rhinol. Laryngol. 1977, 86, 623–625. [Google Scholar] [CrossRef] [PubMed]
- Mistry, H.B.; Lebelo, R.L.; Matshonyonge, F.; Nchabeleng, M.; Mathebula, M.; Bogers, J.-P.; Wood, N.H. Oral and Oropharyngeal High-Risk HPV Prevalence, HIV Status, and Risk Behaviours in a Cohort of South African Men Who Have Sex with Men. AIMS Public. Health 2022, 9, 129–141. [Google Scholar] [CrossRef] [PubMed]
- Dalla Torre, D.; Burtscher, D.; Sölder, E.; Widschwendter, A.; Rasse, M.; Puelacher, W. The Impact of Sexual Behavior on Oral HPV Infections in Young Unvaccinated Adults. Clin. Oral. Investig. 2016, 20, 1551–1557. [Google Scholar] [CrossRef] [PubMed]
- Zandberg, D.P.; Bhargava, R.; Badin, S.; Cullen, K.J. The Role of Human Papillomavirus in Nongenital Cancers. CA Cancer J. Clin. 2013, 63, 57–81. [Google Scholar] [CrossRef] [PubMed]
- Bouvard, V.; Baan, R.; Straif, K.; Grosse, Y.; Secretan, B.; El Ghissassi, F.; Benbrahim-Tallaa, L.; Guha, N.; Freeman, C.; Galichet, L.; et al. A Review of Human Carcinogens–Part B: Biological Agents. Lancet Oncol. 2009, 10, 321–322. [Google Scholar] [CrossRef] [PubMed]
- Bucchi, D.; Stracci, F.; Buonora, N.; Masanotti, G. Human Papillomavirus and Gastrointestinal Cancer: A Review. World J. Gastroenterol. 2016, 22, 7415–7430. [Google Scholar] [CrossRef] [PubMed]
- Tonon, S.A.; Picconi, M.A.; Bos, P.D.; Zinovich, J.B.; Galuppo, J.; Alonio, L.V.; Teyssie, A.R. Physical Status of the E2 Human Papilloma Virus 16 Viral gene in Cervical Preneoplastic and Neoplastic Lesions. J. Clin. Virol. 2001, 21, 129–134. [Google Scholar] [CrossRef] [PubMed]
- Schiffman, M.; Castle, P.E.; Jeronimo, J.; Rodriguez, A.C.; Wacholder, S. Human Papillomavirus and Cervical Cancer. Lancet 2007, 370, 890–907. [Google Scholar] [CrossRef] [PubMed]
- McLaughlin-Drubin, M.E.; Meyers, J.; Munger, K. Cancer Associated Human Papillomaviruses. Curr. Opin. Virol. 2012, 2, 459–466. [Google Scholar] [CrossRef] [PubMed]
- Moody, C.A.; Laimins, L.A. Human Papillomavirus Oncoproteins: Pathways to Transformation. Nat. Rev. Cancer 2010, 10, 550–560. [Google Scholar] [CrossRef] [PubMed]
- Lakshmi, S.; Rema, P.; Somanathan, T. P16ink4a Is a Surrogate Marker for High-Risk and Malignant Lesions in the Presence of Human Papillomavirus. Pathobiology 2009, 76, 141–148. [Google Scholar] [CrossRef] [PubMed]
- Venuti, A.; Paolini, F. HPV Detection Methods in Head and Neck Cancer. Head. Neck Pathol. 2012, 6 (Suppl. S1), S63–S74. [Google Scholar] [CrossRef] [PubMed]
- Burd, E.M. Human Papillomavirus Laboratory Testing: The Changing Paradigm. Clin. Microbiol. Rev. 2016, 29, 291–319. [Google Scholar] [CrossRef] [PubMed]
- Ishikawa, M.; Fujii, T.; Saito, M.; Nindl, I.; Ono, A.; Kubushiro, K.; Tsukazaki, K.; Mukai, M.; Nozawa, S. Overexpression of P16 INK4a as an Indicator for Human Oncogenic Activity in Cervical Squamous Neoplasia. Int. J. Gynecol. Cancer 2006, 16, 347–353. [Google Scholar] [CrossRef] [PubMed]
- Zhang, C.J.; Zhang, J.X.; Wang, Z.Z.; Li, P.; Shang, J.W.; Guo, Y.J. Prognostic Evaluation of Human Papillomavirus and P16 in esophageal Squamous Cell Carcinoma. Chin. Med. J. 2020, 133, 751–752. [Google Scholar] [CrossRef] [PubMed]
- Petrelli, F.; De Santi, G.; Rampulla, V.; Ghidini, A.; Mercurio, P.; Mariani, M.; Manara, M.; Rausa, E.; Lonati, V.; Viti, M.; et al. Human Papillomavirus (HPV) Types 16 and 18 Infection and esophageal Squamous Cell Carcinoma: A Systematic Review and meta-Analysis. J. Cancer Res. Clin. Oncol. 2021, 147, 3011–3023. [Google Scholar] [CrossRef] [PubMed]
- Buckle, G.C.; Mmbaga, E.J.; Paciorek, A.; Akoko, L.; Deardorff, K.; Mgisha, W.; Mushi, B.P.; Mwaiselage, J.; Hiatt, R.A.; Zhang, L.; et al. Risk Factors Associated with Early-Onset Esophageal Cancer In. JCO Glob. Oncol. 2022, 8, e2100256. [Google Scholar] [CrossRef] [PubMed]
- Bohn, O.-L.; Navarro, L.; Saldivar, J.; Sanchez-Sosa, S. Identification of Human Papillomavirus in Esophageal Squamous. World J. Gastroenterol. 2008, 14, 7107–7111. [Google Scholar] [CrossRef] [PubMed]
- Adler, R.H.; Carberry, D.M.; Ross, C.A. Papilloma of the Esophagus: Association with Hiatal Hernia. J. Thorac. Surg. 1959, 37, 625–635. [Google Scholar] [CrossRef] [PubMed]
- d’Huart, M.-C.; Chevaux, J.B.; Bressenot, A.M.; Froment, N.; Vuitton, L.; Degano, S.V.; Latarche, C.; Bigard, M.A.; Courrier, A.; Hudziak, H.; et al. Prevalence of Esophageal Squamous Papilloma (ESP) and associated Cancer in Northeastern France. Endosc. Int. Open 2015, 3, E101–E106. [Google Scholar] [CrossRef] [PubMed][Green Version]
- Takeshita, K.; Murata, S.-I.; Mitsufuji, S.; Wakabayashi, N.; Kataoka, K.; Tsuchihashi, Y.; Okanoue, T. Clinicopathological Characteristics of Esophageal Squamous in Japanese Patients–with Comparison of Findings from Western Countries. Acta Histochem. Cytochem. 2006, 39, 23–30. [Google Scholar] [CrossRef] [PubMed]
- Mosca, S.; Manes, G.; Monaco, R.; Bellomo, P.F.; Bottino, V.; Balzano, A. Squamous Papilloma of the Esophagus: Long-Term Follow Up. J. Gastroenterol. Hepatol. 2001, 16, 857–861. [Google Scholar] [CrossRef] [PubMed]
- Wong, M.-W.; Bair, M.-J.; Shih, S.-C.; Chu, C.-H.; Wang, H.-Y.; Wang, T.-E.; Chang, C.-W.; Chen, M.-J. Using Typical Endoscopic Features to Diagnose Esophageal Papilloma. World J. Gastroenterol. 2016, 22, 2349–2356. [Google Scholar] [CrossRef] [PubMed]
- Tou, A.M.; Al-Nimr, A.O. Esophageal Squamous Papilloma in Children: A Single-Center Case. J. Pediatr. Gastroenterol. Nutr. 2021, 72, 690–692. [Google Scholar] [CrossRef] [PubMed]
- Pantham, G.; Ganesan, S.; Einstadter, D.; Jin, G.; Weinberg, A.; Fass, R. Assessment of the Incidence of Squamous Cell Papilloma of the esophagus and the Presence of High-Risk Human Papilloma Virus. Dis. Esophagus 2017, 30, 1–5. [Google Scholar] [CrossRef] [PubMed]
- Li, J.X.J.; Pham, T.; Newstead, G. Oesophageal Squamous Papilloma: A Rare Finding on oesophago-Gastro-Duodenoscopy with Malignant Potential. J. Surg. Case Rep. 2023, 2023, rjac620. [Google Scholar] [CrossRef] [PubMed]
- Carr, N.J.; Bratthauer, G.L.; Lichy, J.H.; Taubenberger, J.K.; Monihan, J.M.; Sobin, L.H. Squamous Cell Papillomas of the Esophagus: A Study of 23 Lesions for Human Papillomavirus by in Situ Hybridization and the Polymerase Chain Reaction. Hum. Pathol. 1994, 25, 536–540. [Google Scholar] [CrossRef] [PubMed]
- Talamini, G.; Capelli, P.; Zamboni, G.; Mastromauro, M.; Pasetto, M.; Castagnini, A.; Angelini, G.; Bassi, C.; Scarpa, A. Alcohol, Smoking and Papillomavirus Infection as Risk factors for Esophageal Squamous-Cell Papilloma and Esophageal-Cell Carcinoma in Italy. Int. J. Cancer 2000, 86, 874–878. [Google Scholar] [CrossRef]
- Jideh, B.; Weltman, M.; Wu, Y.; Chan, C.H.Y. Esophageal Squamous Papilloma Lacks Clear Clinicopathological. World J. Clin. Cases 2017, 5, 134–139. [Google Scholar] [CrossRef] [PubMed]
- Ekin, N.; Bestas, R.; Cetin, A. Clinicopathological Characteristics of Patients with Oesophageal Papilloma in Turkey and Comparison with the Literature: The Largest Case Series Ever Reported from Turkey. Int. J. Clin. Pract. 2021, 75, e14420. [Google Scholar] [CrossRef] [PubMed]
- Kim, E.; Byrne, M.F.; Donnellan, F. Endoscopic Mucosal Resection of Esophageal Squamous. Can. J. Gastroenterol. 2012, 26, 780–781. [Google Scholar] [CrossRef] [PubMed]
- Corredine, T.J.; Bortniker, E.; Birk, J. A Rare Cause of Dysphagia: Squamous Papillomatosis of The Esophagus. Clin. Gastroenterol. Hepatol. 2016, 14, A21–A22. [Google Scholar] [CrossRef] [PubMed][Green Version]
- Odze, R.; Antonioli, D.; Shocket, D.; Noble-Topham, S.; Goldman, H.; Upton, M. Esophageal Squamous Papillomas. Am. J. Surg. Pathol. 1993, 17, 803–812. [Google Scholar] [CrossRef] [PubMed]
- Yamada, Y.; Ninomiya, M.; Kato, T.; Nagaki, M.; Kato, M.; Hatakeyama, H.; Moriwaki, H.; Muto, Y. Human Papillomavirus Type 16-Positive Esophageal Papilloma at an endoscopic Injection Sclerotherapy Site. Gastroenterology 1995, 108, 550–553. [Google Scholar] [CrossRef] [PubMed]
- Karras, P.J.; Barawi, M.; Webb, B.; Michalos, A. Squamous Cell Papillomatosis of Esophagus Following Placement of a Self-Expanding Metal Stent. Dig. Dis. Sci. 1999, 44, 457–461. [Google Scholar] [CrossRef] [PubMed]
- Syrjänen, K.; Pyrhönen, S.; Aukee, S.; Koskela, E. Squamous Cell Papilloma of the Esophagus: A Tumour Probably by Human Papilloma Virus (HPV). Diagn. Histopathol. 1982, 5, 291–296. [Google Scholar] [PubMed]
- Aladham, Y.; Ahmed, O.; Laycock, J. Squamous Cell Papilloma of the Oesophagus: A Human Papilloma Lesion. Cureus 2021, 13, e19903. [Google Scholar] [CrossRef] [PubMed]
- Tiftikci, A.; Kutsal, E.; Altiok, E.; Ince Umit Cicek, B.; Saruc, M.; Turkel, N.; Ersoy, O.; Yenmis, G.; Tozun, N. Analyzing Esophageal Squamous Cell Papillomas for the presence of Human Papilloma Virus. Turk. J. Gastroenterol. 2017, 28, 176–178. [Google Scholar] [CrossRef] [PubMed]
- Mavilia, M.G.; Wu, G.Y. Esophageal Squamous Papilloma: A Case Series and Literature. J. Dig. Dis. 2018, 19, 254–256. [Google Scholar] [CrossRef] [PubMed]
- Sablich, R.; Benedetti, G.; Bignucolo, S.; Serraino, D. Squamous Cell Papilloma of the Esophagus. Report on 35 Cases. Endoscopy 1988, 20, 5–7. [Google Scholar] [CrossRef] [PubMed]
- Chang, F.; Janatuinen, E.; Pikkarainen, P.; Syrjänen, S.; Syrjänen, K. Esophageal Squamous Cell Papillomas. Failure to Detect Human DNA by in Situ Hybridization and Polymerase Reaction. Scand. J. Gastroenterol. 1991, 26, 535–543. [Google Scholar] [CrossRef] [PubMed]
- Syrjänen, S.; Syrjänen, K. HPV-Associated Benign Squamous Cell Papillomas in the Upper-Digestive Tract and Their Malignant Potential. Viruses 2021, 13, 1624. [Google Scholar] [CrossRef] [PubMed]
- Makise, S.; Hiraka, K.; Watanabe, H.; Atsumi, K.; Inoue, K.; Miyajima, K.; Makisumi, K.; Mizushima, A.; Sasaguri, T.; Tsurumaru, D.; et al. Multiple Esophageal Squamous Papillomas. ACG Case Rep. J. 2019, 6, e00180. [Google Scholar] [CrossRef] [PubMed]
- Park, S.-H.; Bang, B.-W.; Kim, H.-G.; Shin, Y.-W.; Kim, L. A Case of Esophageal Squamous Papillomatosis. Korean J. Intern. Med. 2012, 27, 243. [Google Scholar] [CrossRef] [PubMed]
- Amano, T.; Nishida, T.; Inada, M. Diffuse Esophageal Papillomatosis in a Patient with Acanthosis. Dig. Endosc. 2016, 28, 685. [Google Scholar] [CrossRef] [PubMed]
- Ferrari, A.P.; Martins, F.P. Endoscopic Surveillance of Extensive Esophageal Papillomatosis Amenable to Endoscopic Therapy. Einstein 2017, 15, 363–365. [Google Scholar] [CrossRef] [PubMed][Green Version]
- Waluga, M.; Hartleb, M.; Sliwiński, Z.K.; Romańczyk, T.; Wodołazski, A. Esophageal Squamous-Cell Papillomatosis Complicated by Carcinoma. Am. J. Gastroenterol. 2000, 95, 1592–1593. [Google Scholar] [CrossRef] [PubMed]
- Narayani, R.I.; Young, G.S. Recurrent Proximal Esophageal Stricture Associated with dysplasia in Squamous Cell Papillomatosis. Gastrointest. Endosc. 2002, 56, 591–594. [Google Scholar] [CrossRef] [PubMed]
- Tanimu, S.; Rafiullah; Resnick, J.; Onitilo, A.A. Oesophageal Papillomatosis, Not Amenable to Endoscopic, Treated with Oesophagectomy. BMJ Case Rep. 2014, 2014, bcr2013200195. [Google Scholar] [CrossRef] [PubMed]
- Kao, P.C.; Vecchio, J.A.; Schned, L.M.; Blaszyk, H. Esophageal Squamous Papillomatosis. Eur. J. Gastroenterol. Hepatol. 2005, 17, 1233–1237. [Google Scholar] [CrossRef] [PubMed]
- Bruzzi, M.; Duboc, H.; Gronnier, C.; Rainteau, D.; Couvelard, A.; Le Gall, M.; Bado, A.; Chevallier, J.-M. Long-Term Evaluation of Biliary Reflux after Experimental-Anastomosis Gastric Bypass in Rats. Obes. Surg. 2017, 27, 1119–1122. [Google Scholar] [CrossRef] [PubMed]
- Lorenzo Melo, L.; Kruel, C.D.; Kliemann, L.M.; Cavazzola, L.T.; da Luz Boeno, R.; Silber, P.C.; Grossi, R.S. Influence of Surgically Induced Gastric and Gastroduodenal Reflux on Esophageal Carcinogenesis–Experimental model in Wistar Female Rats. Dis. Esophagus 1999, 12, 106–115. [Google Scholar] [CrossRef] [PubMed]
- Selvan, B.; Ramachandran, A.; Korula, A.; Amirtharaj, G.J.; Kettimuthu, K.; Nair, S.; Nair, A.; Samuel, P.; Mathew, G. Low Dose Aspirin Prevents Duodenoesophageal Reflux Induced Changes in Wistar Rat Esophagus by MAP Kinase Mediated. Int. J. Surg. 2012, 10, 73–79. [Google Scholar] [CrossRef] [PubMed]
- Saravanan, R.; Youshya, S.; Campbell, F.; Ran, H.; Morris, A.I.; Proby, C. Unique Expression of Human Papilloma Virus Type 5 and Type 16 in esophageal Squamous Cell Carcinoma-a Case Report. Am. J. Gastroenterol. 2006, 101, 2423–2426. [Google Scholar] [CrossRef] [PubMed]
- Van Cutsem, E.; Snoeck, R.; Van Ranst, M.; Fiten, P.; Opdenakker, G.; Geboes, K.; Janssens, J.; Rutgeerts, P.; Vantrappen, G.; de Clercq, E. Successful Treatment of a Squamous Papilloma of The-Esophagus by Local Injections of (S)-1-(3-Hydroxy-2-Phosphonylmethoxypropyl)Cytosine. J. Med. Virol. 1995, 45, 230–235. [Google Scholar] [CrossRef] [PubMed]
- Buyruk, A.M.; Erdoğan, Ç. Esophageal Squamous Papillomatosis Associated Low-Grade Treated with Endoscopic Submucosal Dissection Turk, J. Gastroenterol. 2024, 35, 752–754. [Google Scholar] [CrossRef]
- Codipilly, D.C.; Qin, Y.; Dawsey, S.M.; Kisiel, J.; Topazian, M.; Ahlquist, D.; Iyer, P.G. Screening for Esophageal Squamous Cell Carcinoma: Recent. Gastrointest. Endosc. 2018, 88, 413–426. [Google Scholar] [CrossRef] [PubMed]
- Chinzon, M.; Barbosa Marques, S.; de Moura, E. Extensive Esophageal Papillomatosis: A Rare Disease with difficult Diagnosis. ACG Case Rep. J. 2025, 12, e01638. [Google Scholar] [CrossRef] [PubMed]
- Pimentel-Nunes, P.; Dinis-Ribeiro, M.; Ponchon, T.; Repici, A.; Vieth, M.; De Ceglie, A.; Amato, A.; Berr, F.; Bhandari, P.; Bialek, A.; et al. Endoscopic Submucosal Dissection: European Society of Gastrointestinal Endoscopy (ESGE) Guideline. Endoscopy 2015, 47, 829–854. [Google Scholar] [CrossRef] [PubMed]
- Morita, F.H.A.; Bernardo, W.; Marques Ide, E.; Rocha, R.S.P.; Aquino, J.C.M.; Minata, M.K.; Yamazaki, K.; Marques, S.B.; Sakai, P.; de Moura, E.G.H. Narrow Band Imaging versus Lugol Chromoendoscopy to Diagnose Cell Carcinoma of the Esophagus: A Systematic review and Meta-Analysis. BMC Cancer 2017, 17, 54. [Google Scholar] [CrossRef] [PubMed]
- Inoue, H.; Kaga, M.; Ikeda, H.; Sato, C.; Sato, H.; Minami, H.; Santi, E.G.; Hayee, B.; Eleftheriadis, N. Magnification Endoscopy in Esophageal Squamous Cell Carcinoma: A of the Intrapapillary Capillary Loop Classification. Ann. Gastroenterol. 2015, 28, 41–48. [Google Scholar] [PubMed]
- Goda, K.; Oyama, T. Esophagus: The Japan Esophageal Society (JES) Classification. In Atlas of Advanced Endoscopy; Springer Nature Singapore: Singapore, 2024; pp. 47–53. [Google Scholar]
- Goda, K.; Irisawa, A. Japan Esophageal Society Classification for Predicting the invasion Depth of Superficial Esophageal Squamous Cell: Should It Be Modified Now? Dig. Endosc. 2020, 32, 37–38. [Google Scholar] [CrossRef] [PubMed]
- Pimentel-Nunes, P.; Libânio, D.; Bastiaansen, B.A.J.; Bhandari, P.; Bisschops, R.; Bourke, M.J.; Esposito, G.; Lemmers, A.; Maselli, R.; Messmann, H.; et al. Endoscopic Submucosal Dissection for Superficial Lesions: European Society of Gastrointestinal (ESGE) Guideline-Update 2022. Endoscopy 2022, 54, 591–622. [Google Scholar] [CrossRef] [PubMed]
- Oyama, T.; Inoue, H.; Arima, M.; Momma, K.; Omori, T.; Ishihara, R.; Hirasawa, D.; Takeuchi, M.; Tomori, A.; Goda, K. Prediction of the Invasion Depth of Superficial Squamous Cell Based on Microvessel Morphology: Magnifying Endoscopic of the Japan Esophageal Society. Esophagus 2017, 14, 105–112. [Google Scholar] [CrossRef] [PubMed]
- Liyanage, S.S.; Rahman, B.; Ridda, I.; Newall, A.T.; Tabrizi, S.N.; Garland Suzanne, M.; Segelov, E.; Seale, H.; Crowe, P.J.; Moa, A.; et al. The Aetiological Role of Human Papillomavirus in Oesophageal Cell Carcinoma: A Meta-Analysis. PLoS ONE 2013, 8, e69238. [Google Scholar] [CrossRef] [PubMed]
- Hardefeldt, H.A.; Cox, M.R.; Eslick, G.D. Association between Human Papillomavirus (HPV) and Oesophageal Cell Carcinoma: A Meta-Analysis. Epidemiol. Infect. 2014, 142, 1119–1137. [Google Scholar] [CrossRef] [PubMed]
- Wang, J.; Zhao, L.; Yan, H.; Che, J.; Huihui, L.; Jun, W.; Liu, B.; Cao, B. A Meta-Analysis and Systematic Review on the Association between human Papillomavirus (Types 16 and 18) Infection and Esophageal Worldwide. PLoS ONE 2016, 11, e0159140. [Google Scholar] [CrossRef] [PubMed]
- Szántó, I.; Szentirmay, Z.; Banai, J.; Nagy, P.; Gonda, G.; Vörös, A.; Kiss, J.; Bajtai, A. Squamous papilloma of the esophagus. Clinical and pathological observations based on 172 papillomas in 155 patients. Orv. Hetil. 2005, 146, 547–552. [Google Scholar] [PubMed]
- Cho, J.Y.; Cheung, D.Y.; Kim, T.J.; Kim, J.K. A Case of Esophageal Squamous Cell Carcinoma in Situ arising from Esophageal Squamous Papilloma. Clin. Endosc. 2019, 52, 72–75. [Google Scholar] [CrossRef] [PubMed]
- Hafiz, M.; Sundaram, S.; Naqash, A.R.; Speicher, J.; Sutton, A.; Walker, P.; Talaat, N. A Rare Case of Squamous Cell Carcinoma of the Esophagus in a patient with Goltz Syndrome. ACG Case Rep. J. 2019, 6, e00045. [Google Scholar] [CrossRef] [PubMed]
- Wolfsen, H.C.; Hemminger, L.L.; Geiger, X.J.; Krishna, M.; Woodward, T.A. Photodynamic Therapy and Endoscopic Metal Stent Placement for esophageal Papillomatosis Associated with Squamous Cell. Dis. Esophagus 2004, 17, 187–190. [Google Scholar] [CrossRef] [PubMed]
- Reynoso, J.; Davis, R.E.; Daniels, W.W.; Awad, Z.T.; Gatalica, Z.; Filipi, C.J. Esophageal Papillomatosis Complicated by Squamous Cell carcinoma in Situ. Dis. Esophagus 2004, 17, 345–347. [Google Scholar] [CrossRef] [PubMed]
- Attila, T.; Fu, A.; Gopinath, N.; Streutker, C.J.; Marcon, N.E. Esophageal Papillomatosis Complicated by Squamous Cell Carcinoma. Can. J. Gastroenterol. 2009, 23, 415–419. [Google Scholar] [CrossRef] [PubMed]
- Donnellan, F.; Walker, B.; Enns, R. Esophageal Papillomatosis Complicated by Squamous Cell Carcinoma. Endoscopy 2012, 44 (Suppl. S2), E110–E111. [Google Scholar] [CrossRef] [PubMed]
- Pohl, J. Extensive Squamous Papillomatosis of the Esophagus. Video J. Encycl. GI Endosc. 2013, 1, 71–72. [Google Scholar] [CrossRef]
- Bronswijk, M.; Christiaens, P.; Moons, V. Diffuse Esophageal Papillomatosis Complicated by Squamous Cell. Dig. Liver Dis. 2019, 51, 1197. [Google Scholar] [CrossRef] [PubMed]
- Fekete, F.; Chazouillères, O.; Ganthier, V.; Molas, G.; Potet, F. [A case of esophageal papillomatosis in adults]. Gastroenterol. Clin. Biol. 1988, 12, 66–70. [Google Scholar] [PubMed]
- Romano, A.; Grassia, M.; Esposito, G.; Petrillo, M.; Pezzella, M.; Et, A. Total Esophagectomy and Endoscopic Radiofrequency Ablation for a case of Diffuse Esophageal Papillomatosis: Case Report. J. Gastrointest. Dig. Syst. 2016, 6, 478. [Google Scholar] [CrossRef]
- Tsai, S.-J.; Lin, C.-C.; Chang, C.-W.; Hung, C.-Y.; Shieh, T.-Y.; Wang, H.-Y.; Shih, S.-C.; Chen, M.-J. Benign Esophageal Lesions: Endoscopic and Pathologic Features. World J. Gastroenterol. 2015, 21, 1091–1098. [Google Scholar] [CrossRef] [PubMed]
- Uhlenhopp, D.J.; Olson, K.M.; Sunkara, T. Squamous Cell Papilloma of the Esophagus: A Case Series Endoscopic and Histologic Features. Case Rep. Gastrointest. Med. 2020, 2020, 7645926. [Google Scholar] [CrossRef] [PubMed]
- Al Juboori, A.M.; Afzal, Z.; Ahmed, N. Esophageal Squamous Cell Papilloma: A Not-so-Rare Cause Of. Gastroenterol. Hepatol. 2015, 11, 815–816. [Google Scholar]
- Ergenç, M.; Gülşen, T.; Bahadr, F. Esophageal Squamous Cell Papilloma: A Report of Three Cases. Cureus 2022, 14, e25115. [Google Scholar] [CrossRef] [PubMed]
- Del Genio, G.; Del Genio, F.; Schettino, P.; Limongelli, P.; Tolone, S.; Brusciano, L.; Avellino, M.; Vitiello, C.; Docimo, G.; Pezzullo, A.; et al. Esophageal Papilloma: Flexible Endoscopic Ablation By. World J. Gastrointest. Endosc. 2015, 7, 290–294. [Google Scholar] [CrossRef] [PubMed]
- Bertani, H.; Mirante, V.G.; Caruso Angelo Manno, M.; Brancaccio, M.L.; Conigliaro, R. Successful Treatment of Diffuse Esophageal Papillomatosis With-Assisted Radiofrequency Ablation in a Patient with Goltz. Endoscopy 2014, 46 (Suppl. S1), E404–E405. [Google Scholar] [CrossRef] [PubMed]
- Pasman, E.A.; Heifert, T.A.; Nylund, C.M. Esophageal Squamous Papillomas with Focal Dermal Hypoplasia and eosinophilic Esophagitis. World J. Gastroenterol. 2017, 23, 2246. [Google Scholar] [CrossRef] [PubMed]
- Alomari, M.; Wadhwa, V.; Bejarano, P.; Amar, P.; Erim, T. Successful Treatment of Extensive Esophageal Squamous with Cryotherapy. ACG Case Rep. J. 2019, 6, e00036. [Google Scholar] [CrossRef] [PubMed]
- McDonald, N.M.; Amateau, S.K. Treatment of Diffuse Esophageal Squamous Papillomatosis With. Am. J. Gastroenterol. 2016, 111, 1378. [Google Scholar] [CrossRef] [PubMed]



Disclaimer/Publisher’s Note: The statements, opinions and data contained in all publications are solely those of the individual author(s) and contributor(s) and not of MDPI and/or the editor(s). MDPI and/or the editor(s) disclaim responsibility for any injury to people or property resulting from any ideas, methods, instructions or products referred to in the content. |
© 2025 by the authors. Licensee MDPI, Basel, Switzerland. This article is an open access article distributed under the terms and conditions of the Creative Commons Attribution (CC BY) license (https://creativecommons.org/licenses/by/4.0/).
Share and Cite
Mercurio, M.; de Sire, R.; Campagnoli, P.; Fante, M.D.; Fazzini, L.; Guerra, L.; Primignani, M.; Tatarella, M.G.; Sollai, M.; Ardizzone, S.; et al. Esophageal Squamous Papilloma and Papillomatosis: Current Evidence of HPV Involvement and Malignant Potential. Cancers 2025, 17, 2404. https://doi.org/10.3390/cancers17142404
Mercurio M, de Sire R, Campagnoli P, Fante MD, Fazzini L, Guerra L, Primignani M, Tatarella MG, Sollai M, Ardizzone S, et al. Esophageal Squamous Papilloma and Papillomatosis: Current Evidence of HPV Involvement and Malignant Potential. Cancers. 2025; 17(14):2404. https://doi.org/10.3390/cancers17142404
Chicago/Turabian StyleMercurio, Miriana, Roberto de Sire, Paola Campagnoli, Marco Dal Fante, Linda Fazzini, Luciano Guerra, Massimo Primignani, Maria Giuseppina Tatarella, Mauro Sollai, Sandro Ardizzone, and et al. 2025. "Esophageal Squamous Papilloma and Papillomatosis: Current Evidence of HPV Involvement and Malignant Potential" Cancers 17, no. 14: 2404. https://doi.org/10.3390/cancers17142404
APA StyleMercurio, M., de Sire, R., Campagnoli, P., Fante, M. D., Fazzini, L., Guerra, L., Primignani, M., Tatarella, M. G., Sollai, M., Ardizzone, S., & Maselli, R. (2025). Esophageal Squamous Papilloma and Papillomatosis: Current Evidence of HPV Involvement and Malignant Potential. Cancers, 17(14), 2404. https://doi.org/10.3390/cancers17142404

