It Looks Like a Spinal Cord Tumor but It Is Not
Abstract
Simple Summary
Abstract
1. Introduction
2. Radiological Diagnostic Approach
2.1. Detecting the Spinal Cord Lesion
2.2. Localizing the Spinal Cord Lesion
2.3. Assessing the Lesion’s Signal Intensity Characteristics
2.4. Evaluating the Lesion Environment and Associated Anomalies in Spinal Cord MRI
2.5. Evaluating Associated Anomalies at Cerebral MRI
2.6. Features Distinguishing Spinal Cord Tumors from Pseudotumors
3. Main Pathologies Mimicking Spinal Cord Tumors
3.1. Inflammatory Myelitis
3.1.1. Short Myelitis
Multiple Sclerosis
Other Inflammatory Causes of Short Myelitis
3.1.2. Longitudinally Extensive Myelitis
Neuromyelitis Optica Spectrum Disorders Positive for Aquaporin-4 IgG
Myelin-Oligodendrocyte Glycoprotein Antibody Associated Disease
Neurosarcoidosis
Acute Demyelinating Encephalomyelitis
Neuro-Behçet’s Disease
Anti-GFAP Encephalomyelitis
Autoimmune Myelitis
3.2. Degenerative Compressive Myelopathy
3.3. Vascular Myelopathies
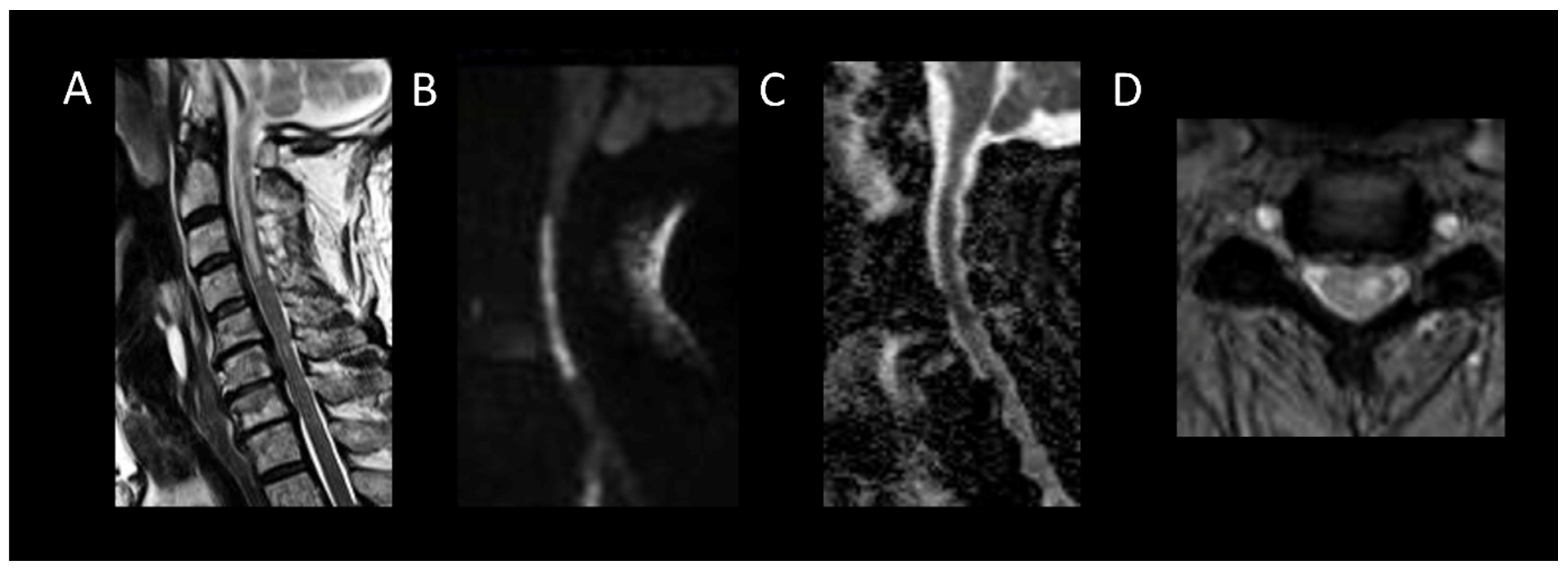
3.3.1. Spinal Cord Infarction
3.3.2. Spinal Dural Arteriovenous Fistula
3.3.3. Spinal Cavernous Malformation
3.3.4. Hematomyelia
3.4. Infectious Myelopathies
3.4.1. Bacterial Myelitis
3.4.2. Viral Myelitis
3.4.3. Parasitic Myelitis
3.4.4. Fungal Myelitis
3.5. Metabolic and Toxic Myelopathies
Subacute Combined Degeneration of the Spinal Cord and Mimics
3.6. Congenital Spine and Spinal Cord Malformations
3.6.1. Hydromyelia and Syringomyelia
3.6.2. Spinal Dysraphisms
4. Discussion
5. Conclusions
6. Key Points
Author Contributions
Funding
Conflicts of Interest
References
- Samartzis, D.; Gillis, C.C.; Shih, P.; O’Toole, J.E.; Fessler, R.G. Intramedullary Spinal Cord Tumors: Part I—Epidemiology, Pathophysiology, and Diagnosis. Glob. Spine J. 2015, 5, 425–435. [Google Scholar] [CrossRef]
- Cohen-Gadol, A.A.; Zikel, O.M.; Miller, G.M.; Aksamit, A.J.; Scheithauer, B.W.; Krauss, W.E. Spinal Cord Biopsy: A Review of 38 Cases. Neurosurgery 2003, 52, 806–815. [Google Scholar] [CrossRef] [PubMed]
- Dormegny, L.; Chibbaro, S.; Ganau, M.; Santin, M.; Kremer, L.; Proust, F. Biopsying a Spinal Cord Lesion: A Diagnostic Dilemma. Case Report and Review of Literature. Neurochirurgie 2018, 64, 425–430. [Google Scholar] [CrossRef] [PubMed]
- Michelini, G.; Corridore, A.; Torlone, S.; Bruno, F.; Marsecano, C.; Capasso, R.; Caranci, F.; Barile, A.; Masciocchi, C.; Splendiani, A. Dynamic MRI in the Evaluation of the Spine: State of the Art. Acta Biomed. Atenei Parm. 2018, 89, 89–101. [Google Scholar]
- Noguerol, T.M.; Barousse, R.; Amrhein, T.J.; Royuela-del-Val, J.; Montesinos, P.; Luna, A. Optimizing Diffusion-Tensor Imaging Acquisition for Spinal Cord Assessment: Physical Basis and Technical Adjustments. RadioGraphics 2020, 40, 403–427. [Google Scholar] [CrossRef] [PubMed]
- Patel, D.M.; Weinberg, B.D.; Hoch, M.J. CT Myelography: Clinical Indications and Imaging Findings. RadioGraphics 2020, 40, 470–484. [Google Scholar] [CrossRef]
- Dubey, D.; Pittock, S.J.; Krecke, K.N.; Morris, P.P.; Sechi, E.; Zalewski, N.L.; Weinshenker, B.G.; Shosha, E.; Lucchinetti, C.F.; Fryer, J.P.; et al. Clinical, Radiologic, and Prognostic Features of Myelitis Associated With Myelin Oligodendrocyte Glycoprotein Autoantibody. JAMA Neurol. 2019, 76, 301–309. [Google Scholar] [CrossRef]
- Flanagan, E.P.; McKeon, A.; Lennon, V.A.; Kearns, J.; Weinshenker, B.G.; Krecke, K.N.; Matiello, M.; Keegan, B.M.; Mokri, B.; Aksamit, A.J.; et al. Paraneoplastic Isolated Myelopathy: Clinical Course and Neuroimaging Clues. Neurology 2011, 76, 2089–2095. [Google Scholar] [CrossRef]
- Murphy, O.C.; Salazar-Camelo, A.; Jimenez, J.A.; Barreras, P.; Reyes, M.I.; Garcia, M.A.; Moller, D.R.; Chen, E.S.; Pardo, C.A. Clinical and MRI Phenotypes of Sarcoidosis-Associated Myelopathy. Neurol. Neuroimmunol. Neuroinflamm. 2020, 7, e722. [Google Scholar] [CrossRef]
- Lee, M.J.; Aronberg, R.; Manganaro, M.S.; Ibrahim, M.; Parmar, H.A. Diagnostic Approach to Intrinsic Abnormality of Spinal Cord Signal Intensity. Radiographics 2019, 39, 1824–1839. [Google Scholar] [CrossRef]
- Jakimovski, D.; Bittner, S.; Zivadinov, R.; Morrow, S.A.; Benedict, R.H.; Zipp, F.; Weinstock-Guttman, B. Multiple Sclerosis. Lancet 2024, 403, 183–202. [Google Scholar] [CrossRef]
- West, T.W.; Hess, C.; Cree, B.A.C. Acute Transverse Myelitis: Demyelinating, Inflammatory, and Infectious Myelopathies. Semin. Neurol. 2012, 32, 97–113. [Google Scholar] [CrossRef] [PubMed]
- Zalewski, N.L.; Rabinstein, A.A.; Krecke, K.N.; Brown, R.D.J.; Wijdicks, E.F.M.; Weinshenker, B.G.; Kaufmann, T.J.; Morris, J.M.; Aksamit, A.J.; Bartleson, J.D.; et al. Characteristics of Spontaneous Spinal Cord Infarction and Proposed Diagnostic Criteria. JAMA Neurol. 2019, 76, 56–63. [Google Scholar] [CrossRef] [PubMed]
- Murphy, O.C.; Messacar, K.; Benson, L.; Bove, R.; Carpenter, J.L.; Crawford, T.; Dean, J.; DeBiasi, R.; Desai, J.; Elrick, M.J.; et al. Acute Flaccid Myelitis: Cause, Diagnosis, and Management. Lancet 2021, 397, 334–346. [Google Scholar] [CrossRef] [PubMed]
- Petropoulou, K.A.; Gordon, S.M.; Prayson, R.A.; Ruggierri, P.M. West Nile Virus Meningoencephalitis: MR Imaging Findings. Am. J. Neuroradiol. 2005, 26, 1986–1995. [Google Scholar] [PubMed]
- Ciccarelli, O.; Cohen, J.A.; Reingold, S.C.; Weinshenker, B.G.; Amato, M.P.; Banwell, B.; Barkhof, F.; Bebo, B.; Becher, B.; Bethoux, F.; et al. Spinal Cord Involvement in Multiple Sclerosis and Neuromyelitis Optica Spectrum Disorders. Lancet Neurol. 2019, 18, 185–197. [Google Scholar] [CrossRef] [PubMed]
- Masson, C. Spinal Cord Infarction: Clinical and Magnetic Resonance Imaging Findings and Short Term Outcome. J. Neurol. Neurosurg. Psychiatry 2004, 75, 1431–1435. [Google Scholar] [CrossRef] [PubMed]
- You, J.Y.; Lee, J.W.; Lee, E.; Lee, G.Y.; Yeom, J.S.; Kang, H.S. MR Classification System Based on Axial Images for Cervical Compressive Myelopathy. Radiology 2015, 276, 553–561. [Google Scholar] [CrossRef] [PubMed]
- Morris, J.M. Imaging of Dural Arteriovenous Fistula. Radiol. Clin. N. Am. 2012, 50, 823–839. [Google Scholar] [CrossRef]
- Kreppel, D.; Antoniadis, G.; Seeling, W. Spinal Hematoma: A Literature Survey with Meta-Analysis of 613 Patients. Neurosurg. Rev. 2003, 26, 1–49. [Google Scholar] [CrossRef]
- Agarwal, A.; Kanekar, S.; Thamburaj, K.; Vijay, K. Radiation-Induced Spinal Cord Hemorrhage (Hematomyelia). Neurol. Int. 2014, 6, 5553. [Google Scholar] [CrossRef] [PubMed]
- Lee, M.; Rezai, A.R.; Abbott, R.; Coelho, D.H.; Epstein, F.J. Intramedullary Spinal Cord Lipomas. J. Neurosurg. 1995, 82, 394–400. [Google Scholar] [CrossRef]
- Hyun, J.-W.; Lee, H.L.; Park, J.; Kim, J.; Min, J.-H.; Kim, B.J.; Kim, S.W.; Shin, H.Y.; Huh, S.-Y.; Kim, W.; et al. Brighter Spotty Lesions on Spinal MRI Help Differentiate AQP4 Antibody-Positive NMOSD from MOGAD. Mult. Scler. 2022, 28, 989–992. [Google Scholar] [CrossRef]
- Rabasté, S.; Cobo-Calvo, A.; Nistiriuc-Muntean, V.; Vukusic, S.; Marignier, R.; Cotton, F. Diagnostic Value of Bright Spotty Lesions on MRI after a First Episode of Acute Myelopathy. J. Neuroradiol. 2021, 48, 28–36. [Google Scholar] [CrossRef]
- Nogueira, R.G.; Ferreira, R.; Grant, P.E.; Maier, S.E.; Koroshetz, W.J.; Gonzalez, R.G.; Sheth, K.N. Restricted Diffusion in Spinal Cord Infarction Demonstrated by Magnetic Resonance Line Scan Diffusion Imaging. Stroke 2012, 43, 532–535. [Google Scholar] [CrossRef] [PubMed]
- Dumont, R.A.; Keen, N.N.; Bloomer, C.W.; Schwartz, B.S.; Talbott, J.; Clark, A.J.; Wilson, D.M.; Chin, C.T. Clinical Utility of Diffusion-Weighted Imaging in Spinal Infections. Clin. Neuroradiol. 2019, 29, 515–522. [Google Scholar] [CrossRef] [PubMed]
- Cacciaguerra, L.; Sechi, E.; Rocca, M.A.; Filippi, M.; Pittock, S.J.; Flanagan, E.P. Neuroimaging Features in Inflammatory Myelopathies: A Review. Front. Neurol. 2022, 13, 993645. [Google Scholar] [CrossRef]
- Shih, R.Y.; Koeller, K.K. Intramedullary Masses of the Spinal Cord: Radiologic-Pathologic Correlation. RadioGraphics 2020, 40, 1125–1145. [Google Scholar] [CrossRef]
- Jeon, I.; Jung, W.S.; Suh, S.H.; Chung, T.-S.; Cho, Y.-E.; Ahn, S.J. MR Imaging Features That Distinguish Spinal Cavernous Angioma from Hemorrhagic Ependymoma and Serial MRI Changes in Cavernous Angioma. J. Neurooncol. 2016, 130, 229–236. [Google Scholar] [CrossRef]
- Webb, L.; Cacciaguerra, L.; Chen, J.; Sechi, E.; Redenbaugh, V.; Dubey, D.; Pittock, S.; Flanagan, E. Spinal Central Canal Dilation in MOG Antibody-Associated Disease Versus Other CNS Demyelinating Disorders. Neurology 2022, 99, S21–S22. [Google Scholar] [CrossRef]
- Cerretti, G.; Pessina, F.; Franceschi, E.; Barresi, V.; Salvalaggio, A.; Padovan, M.; Manara, R.; Di Nunno, V.; Bono, B.C.; Librizzi, G.; et al. Spinal Ependymoma in Adults: From Molecular Advances to New Treatment Perspectives. Front. Oncol. 2023, 13, 1301179. [Google Scholar] [CrossRef]
- Laur, O.; Nandu, H.; Titelbaum, D.S.; Nunez, D.B.; Khurana, B. Nontraumatic Spinal Cord Compression: MRI Primer for Emergency Department Radiologists. Radiographics 2019, 39, 1862–1880. [Google Scholar] [CrossRef]
- Tachibana, N.; Oichi, T.; Kato, S.; Sato, Y.; Hasebe, H.; Hirai, S.; Taniguchi, Y.; Matsubayashi, Y.; Mori, H.; Tanaka, S.; et al. Spinal Cord Swelling in Patients with Cervical Compression Myelopathy. BMC Musculoskelet. Disord. 2019, 20, 284. [Google Scholar] [CrossRef]
- Trapp, B.; De Andrade Lourenção Freddi, T.; De Oliveira Morais Hans, M.; Fonseca Teixeira Lemos Calixto, I.; Fujino, E.; Alves Rojas, L.C.; Burlin, S.; Cerqueira Costa, D.M.; Carrete Junior, H.; Abdala, N.; et al. A Practical Approach to Diagnosis of Spinal Dysraphism. RadioGraphics 2021, 41, 559–575. [Google Scholar] [CrossRef] [PubMed]
- Banker, P.; Sonni, S.; Kister, I.; Loh, J.P.; Lui, Y.W. Pencil-Thin Ependymal Enhancement in Neuromyelitis Optica Spectrum Disorders. Mult. Scler. 2012, 18, 1050–1053. [Google Scholar] [CrossRef] [PubMed]
- Kim, H.J.; Paul, F.; Lana-Peixoto, M.A.; Tenembaum, S.; Asgari, N.; Palace, J.; Klawiter, E.C.; Sato, D.K.; De Seze, J.; Wuerfel, J.; et al. MRI Characteristics of Neuromyelitis Optica Spectrum Disorder: An International Update. Neurology 2015, 84, 1165–1173. [Google Scholar] [CrossRef]
- Bradshaw, M.J.; Pawate, S.; Koth, L.L.; Cho, T.A.; Gelfand, J.M. Neurosarcoidosis: Pathophysiology, Diagnosis, and Treatment. Neurol. Neuroimmunol. Neuroinflamm. 2021, 8, e1084. [Google Scholar] [CrossRef]
- Borhani-Haghighi, A.; Kardeh, B.; Banerjee, S.; Yadollahikhales, G.; Safari, A.; Sahraian, M.A.; Shapiro, L. Neuro-Behcet’s Disease: An Update on Diagnosis, Differential Diagnoses, and Treatment. Mult. Scler. Relat. Disord. 2020, 39, 101906. [Google Scholar] [CrossRef] [PubMed]
- Pohl, D.; Alper, G.; Van Haren, K.; Kornberg, A.J.; Lucchinetti, C.F.; Tenembaum, S.; Belman, A.L. Acute Disseminated Encephalomyelitis: Updates on an Inflammatory CNS Syndrome. Neurology 2016, 87, S38–S45. [Google Scholar] [CrossRef]
- Bani-Sadr, A.; Ruitton-Allinieu, M.-C.; Brisset, J.-C.; Ducray, F.; Joubert, B.; Picard, G.; Cotton, F. Contribution of Diffusion-Weighted Imaging to Distinguish Herpetic Encephalitis from Auto-Immune Encephalitis at an Early Stage. J. Neuroradiol. 2023, 50, 288–292. [Google Scholar] [CrossRef]
- Fang, B.; McKeon, A.; Hinson, S.R.; Kryzer, T.J.; Pittock, S.J.; Aksamit, A.J.; Lennon, V.A. Autoimmune Glial Fibrillary Acidic Protein Astrocytopathy: A Novel Meningoencephalomyelitis. JAMA Neurol. 2016, 73, 1297–1307. [Google Scholar] [CrossRef]
- Lee, M.; Epstein, F.J.; Rezai, A.R.; Zagzag, D. Nonneoplastic Intramedullary Spinal Cord Lesions Mimicking Tumors. Neurosurgery 1998, 43, 788–794. [Google Scholar] [CrossRef]
- Kajikawa, K.; Nagoshi, N.; Tsuji, O.; Suzuki, S.; Ozaki, M.; Takahashi, Y.; Yagi, M.; Matsumoto, M.; Nakamura, M.; Watanabe, K. Clinical and Imaging Characteristics of Non-Neoplastic Spinal Lesions: A Comparative Study with Intramedullary Tumors. Diagnostics 2022, 12, 2969. [Google Scholar] [CrossRef] [PubMed]
- Abbatemarco, J.R.; Galli, J.R.; Sweeney, M.L.; Carlson, N.G.; Samara, V.C.; Davis, H.; Rodenbeck, S.; Wong, K.-H.; Paz Soldan, M.M.; Greenlee, J.E.; et al. Modern Look at Transverse Myelitis and Inflammatory Myelopathy: Epidemiology of the National Veterans Health Administration Population. Neurol. Neuroimmunol. Neuroinflamm. 2021, 8, e1071. [Google Scholar] [CrossRef] [PubMed]
- Jiao, Y.; Fryer, J.P.; Lennon, V.A.; Jenkins, S.M.; Quek, A.M.L.; Smith, C.Y.; McKeon, A.; Costanzi, C.; Iorio, R.; Weinshenker, B.G.; et al. Updated Estimate of AQP4-IgG Serostatus and Disability Outcome in Neuromyelitis Optica. Neurology 2013, 81, 1197–1204. [Google Scholar] [CrossRef] [PubMed]
- Pekcevik, Y.; Mitchell, C.H.; Mealy, M.A.; Orman, G.; Lee, I.H.; Newsome, S.D.; Thompson, C.B.; Pardo, C.A.; Calabresi, P.A.; Levy, M.; et al. Differentiating Neuromyelitis Optica from Other Causes of Longitudinally Extensive Transverse Myelitis on Spinal Magnetic Resonance Imaging. Mult. Scler. 2016, 22, 302–311. [Google Scholar] [CrossRef] [PubMed]
- Asgari, N.; Flanagan, E.P.; Fujihara, K.; Kim, H.J.; Skejoe, H.P.; Wuerfel, J.; Kuroda, H.; Kim, S.H.; Maillart, E.; Marignier, R.; et al. Disruption of the Leptomeningeal Blood Barrier in Neuromyelitis Optica Spectrum Disorder. Neurol. Neuroimmunol. Neuroinflamm. 2017, 4, e343. [Google Scholar] [CrossRef] [PubMed]
- Flanagan, E.P.; Weinshenker, B.G. Neuromyelitis Optica Spectrum Disorders. Curr. Neurol. Neurosci. Rep. 2014, 14, 483. [Google Scholar] [CrossRef] [PubMed]
- Wingerchuk, D.M.; Banwell, B.; Bennett, J.L.; Cabre, P.; Carroll, W.; Chitnis, T.; de Seze, J.; Fujihara, K.; Greenberg, B.; Jacob, A.; et al. International Consensus Diagnostic Criteria for Neuromyelitis Optica Spectrum Disorders. Neurology 2015, 85, 177–189. [Google Scholar] [CrossRef] [PubMed]
- Cobo-Calvo, A.; Ruiz, A.; Rollot, F.; Arrambide, G.; Deschamps, R.; Maillart, E.; Papeix, C.; Audoin, B.; Lépine, A.F.; Maurey, H.; et al. Clinical Features and Risk of Relapse in Children and Adults with Myelin Oligodendrocyte Glycoprotein Antibody-Associated Disease. Ann. Neurol. 2021, 89, 30–41. [Google Scholar] [CrossRef]
- Etemadifar, M.; Salari, M.; Kargaran, P.K.; Sigari, A.A.; Nouri, H.; Etemadifar, F.; Ebrahimi, S.; Sayahi, N.; Sedaghat, N. Conus Medullaris Involvement in Demyelinating Disorders of the CNS: A Comparative Study. Mult. Scler. Relat. Disord. 2021, 54, 103127. [Google Scholar] [CrossRef]
- Vazquez Do Campo, R.; Stephens, A.; Marin Collazo, I.V.; Rubin, D.I. MOG Antibodies in Combined Central and Peripheral Demyelination Syndromes. Neurol. Neuroimmunol. Neuroinflamm. 2018, 5, e503. [Google Scholar] [CrossRef] [PubMed]
- Rinaldi, S.; Davies, A.; Fehmi, J.; Beadnall, H.N.; Wang, J.; Hardy, T.A.; Barnett, M.H.; Broadley, S.A.; Waters, P.; Reddel, S.W.; et al. Overlapping Central and Peripheral Nervous System Syndromes in MOG Antibody-Associated Disorders. Neurol. Neuroimmunol. Neuroinflamm. 2021, 8, e924. [Google Scholar] [CrossRef]
- Fadda, G.; Alves, C.A.; O’Mahony, J.; Castro, D.A.; Yeh, E.A.; Marrie, R.A.; Arnold, D.L.; Waters, P.; Bar-Or, A.; Vossough, A.; et al. Comparison of Spinal Cord Magnetic Resonance Imaging Features Among Children with Acquired Demyelinating Syndromes. JAMA Netw. Open 2021, 4, e2128871. [Google Scholar] [CrossRef] [PubMed]
- Denève, M.; Biotti, D.; Patsoura, S.; Ferrier, M.; Meluchova, Z.; Mahieu, L.; Heran, F.; Vignal, C.; Deschamps, R.; Gout, O.; et al. MRI Features of Demyelinating Disease Associated with Anti-MOG Antibodies in Adults. J. Neuroradiol. 2019, 46, 312–318. [Google Scholar] [CrossRef] [PubMed]
- Banwell, B.; Bennett, J.L.; Marignier, R.; Kim, H.J.; Brilot, F.; Flanagan, E.P.; Ramanathan, S.; Waters, P.; Tenembaum, S.; Graves, J.S.; et al. Diagnosis of Myelin Oligodendrocyte Glycoprotein Antibody-Associated Disease: International MOGAD Panel Proposed Criteria. Lancet Neurol. 2023, 22, 268–282. [Google Scholar] [CrossRef]
- Zalewski, N.L.; Krecke, K.N.; Weinshenker, B.G.; Aksamit, A.J.; Conway, B.L.; McKeon, A.; Flanagan, E.P. Central Canal Enhancement and the Trident Sign in Spinal Cord Sarcoidosis. Neurology 2016, 87, 743–744. [Google Scholar] [CrossRef]
- Sarbu, N.; Shih, R.Y.; Jones, R.V.; Horkayne-Szakaly, I.; Oleaga, L.; Smirniotopoulos, J.G. White Matter Diseases with Radiologic-Pathologic Correlation. Radiographics 2016, 36, 1426–1447. [Google Scholar] [CrossRef]
- Román, G.C.; Gracia, F.; Torres, A.; Palacios, A.; Gracia, K.; Harris, D. Acute Transverse Myelitis (ATM):Clinical Review of 43 Patients With COVID-19-Associated ATM and 3 Post-Vaccination ATM Serious Adverse Events With the ChAdOx1 nCoV-19 Vaccine (AZD1222). Front. Immunol. 2021, 12, 653786. [Google Scholar] [CrossRef]
- Al-Araji, A.; Kidd, D.P. Neuro-Behçet’s Disease: Epidemiology, Clinical Characteristics, and Management. Lancet Neurol. 2009, 8, 192–204. [Google Scholar] [CrossRef]
- Lee, H.S.; Kim, D.Y.; Shin, H.Y.; Choi, Y.-C.; Kim, S.M. Spinal Cord Involvement in Behçet’s Disease. Mult. Scler. 2016, 22, 960–963. [Google Scholar] [CrossRef]
- Uygunoglu, U.; Zeydan, B.; Ozguler, Y.; Ugurlu, S.; Seyahi, E.; Kocer, N.; Islak, C.; Kantarci, K.; Saip, S.; Siva, A.; et al. Myelopathy in Behçet’s Disease: The Bagel Sign. Ann. Neurol. 2017, 82, 288–298. [Google Scholar] [CrossRef] [PubMed]
- Shan, F.; Long, Y.; Qiu, W. Autoimmune Glial Fibrillary Acidic Protein Astrocytopathy: A Review of the Literature. Front. Immunol. 2018, 9, 2802. [Google Scholar] [CrossRef] [PubMed]
- Flanagan, E.P.; Hinson, S.R.; Lennon, V.A.; Fang, B.; Aksamit, A.J.; Morris, P.P.; Basal, E.; Honorat, J.A.; Alfugham, N.B.; Linnoila, J.J.; et al. Glial Fibrillary Acidic Protein Immunoglobulin G as Biomarker of Autoimmune Astrocytopathy: Analysis of 102 Patients. Ann. Neurol. 2017, 81, 298–309. [Google Scholar] [CrossRef] [PubMed]
- Long, Y.; Liang, J.; Xu, H.; Huang, Q.; Yang, J.; Gao, C.; Qiu, W.; Lin, S.; Chen, X. Autoimmune Glial Fibrillary Acidic Protein Astrocytopathy in Chinese Patients: A Retrospective Study. Eur. J. Neurol. 2018, 25, 477–483. [Google Scholar] [CrossRef] [PubMed]
- Sechi, E.; Morris, P.P.; McKeon, A.; Pittock, S.J.; Hinson, S.R.; Weinshenker, B.G.; Aksamit, A.J.; Krecke, K.N.; Kaufmann, T.J.; Jolliffe, E.A.; et al. Glial Fibrillary Acidic Protein IgG Related Myelitis: Characterisation and Comparison with Aquaporin-4-IgG Myelitis. J. Neurol. Neurosurg. Psychiatry 2019, 90, 488–490. [Google Scholar] [CrossRef]
- Vaišvilas, M.; Ciano-Petersen, N.L.; Macarena Villagrán-García, M.D.; Muñiz-Castrillo, S.; Vogrig, A.; Honnorat, J. Paraneoplastic Encephalitis: Clinically Based Approach on Diagnosis and Management. Postgrad. Med. J. 2023, 99, 669–678. [Google Scholar] [CrossRef] [PubMed]
- Carvajal-González, A.; Leite, M.I.; Waters, P.; Woodhall, M.; Coutinho, E.; Balint, B.; Lang, B.; Pettingill, P.; Carr, A.; Sheerin, U.-M.; et al. Glycine Receptor Antibodies in PERM and Related Syndromes: Characteristics, Clinical Features and Outcomes. Brain 2014, 137, 2178–2192. [Google Scholar] [CrossRef] [PubMed]
- McKeon, A.; Pittock, S.J.; Lennon, V.A. CSF Complements Serum for Evaluating Paraneoplastic Antibodies and NMO-IgG. Neurology 2011, 76, 1108–1110. [Google Scholar] [CrossRef]
- Lee, C.H.; Bharwani, L.; Sullivan, T. Paraneoplastic Necrotizing Myelopathy in a Patient With Newly Diagnosed Diffuse Large B Cell Lymphoma. World J. Oncol. 2011, 2, 195–198. [Google Scholar]
- Badhiwala, J.H.; Ahuja, C.S.; Akbar, M.A.; Witiw, C.D.; Nassiri, F.; Furlan, J.C.; Curt, A.; Wilson, J.R.; Fehlings, M.G. Degenerative Cervical Myelopathy—Update and Future Directions. Nat. Rev. Neurol. 2020, 16, 108–124. [Google Scholar] [CrossRef]
- Mehalic, T.F.; Pezzuti, R.T.; Applebaum, B.I. Magnetic Resonance Imaging and Cervical Spondylotic Myelopathy. Neurosurgery 1990, 26, 217–226. [Google Scholar] [CrossRef]
- Kim, H.J.; Tetreault, L.A.; Massicotte, E.M.; Arnold, P.M.; Skelly, A.C.; Brodt, E.D.; Riew, K.D. Differential Diagnosis for Cervical Spondylotic Myelopathy: Literature Review. Spine 2013, 38, S78–S88. [Google Scholar] [CrossRef]
- Nouri, A.; Martin, A.R.; Mikulis, D.; Fehlings, M.G. Magnetic Resonance Imaging Assessment of Degenerative Cervical Myelopathy: A Review of Structural Changes and Measurement Techniques. Neurosurg. Focus. 2016, 40, E5. [Google Scholar] [CrossRef]
- Ozawa, H.; Sato, T.; Hyodo, H.; Ishii, Y.; Morozumi, N.; Koizumi, Y.; Matsumoto, F.; Kasama, F.; Aizawa, T.; Itoi, E.; et al. Clinical Significance of Intramedullary Gd-DTPA Enhancement in Cervical Myelopathy. Spinal Cord. 2010, 48, 415–422. [Google Scholar] [CrossRef]
- Wang, Y.; Newsome, S.D. Cervical Spondylotic Myelopathy Mimicking Transverse Myelitis. Mult. Scler. Relat. Disord. 2019, 31, 131–133. [Google Scholar] [CrossRef] [PubMed]
- Flanagan, E.P.; Krecke, K.N.; Marsh, R.W.; Giannini, C.; Keegan, B.M.; Weinshenker, B.G. Specific Pattern of Gadolinium Enhancement in Spondylotic Myelopathy. Ann. Neurol. 2014, 76, 54–65. [Google Scholar] [CrossRef]
- Syc-Mazurek, S.B.; Montenegro, M.; Clarke, M.J.; Flanagan, E.P. MRI with Neck Extension to Diagnose Cervical Spondylotic Myelopathy. Pract. Neurol. 2022, 22, 162–163. [Google Scholar] [CrossRef] [PubMed]
- Barreras, P.; Fitzgerald, K.C.; Mealy, M.A.; Jimenez, J.A.; Becker, D.; Newsome, S.D.; Levy, M.; Gailloud, P.; Pardo, C.A. Clinical Biomarkers Differentiate Myelitis from Vascular and Other Causes of Myelopathy. Neurology 2018, 90, e12–e21. [Google Scholar] [CrossRef] [PubMed]
- Yadav, N.; Pendharkar, H.; Kulkarni, G.B. Spinal Cord Infarction: Clinical and Radiological Features. J. Stroke Cerebrovasc. Dis. 2018, 27, 2810–2821. [Google Scholar] [CrossRef]
- Mariano, R.; Flanagan, E.P.; Weinshenker, B.G.; Palace, J. A Practical Approach to the Diagnosis of Spinal Cord Lesions. Pract. Neurol. 2018, 18, 187–200. [Google Scholar] [CrossRef]
- Clarençon, F.; Di Maria, F.; Sourour, N.-A.; Gabrieli, J.; Nouet, A.; Shotar, E.; Cormier, E.; Fahed, R.; Cornu, P.; Chiras, J. Evaluation of Intra-Aortic CT Angiography Performances for the Visualisation of Spinal Vascular Malformations’ Angioarchitecture. Eur. Radiol. 2016, 26, 3336–3344. [Google Scholar] [CrossRef]
- De Grado, A.; Manfredi, C.; Brugnera, A.; Groppo, E.; Valvassori, L.; Cencini, F.; Erbetta, A.; Ciceri, E.; Lerario, R.; Priori, A.; et al. Watch Brain Circulation in Unexplained Progressive Myelopathy: A Review of Cognard Type V Arterio-Venous Fistulas. Neurol. Sci. 2023, 44, 3457–3480. [Google Scholar] [CrossRef] [PubMed]
- Badhiwala, J.H.; Farrokhyar, F.; Alhazzani, W.; Yarascavitch, B.; Aref, M.; Algird, A.; Murty, N.; Kachur, E.; Cenic, A.; Reddy, K.; et al. Surgical Outcomes and Natural History of Intramedullary Spinal Cord Cavernous Malformations: A Single-Center Series and Meta-Analysis of Individual Patient Data: Clinic Article. J. Neurosurg. Spine 2014, 21, 662–676. [Google Scholar] [CrossRef] [PubMed]
- Saliou, G.; Krings, T. Vascular Diseases of the Spine. Handb. Clin. Neurol. 2016, 136, 707–716. [Google Scholar] [PubMed]
- Shaban, A.; Moritani, T.; Al Kasab, S.; Sheharyar, A.; Limaye, K.S.; Adams, H.P.J. Spinal Cord Hemorrhage. J. Stroke Cerebrovasc. Dis. 2018, 27, 1435–1446. [Google Scholar] [CrossRef] [PubMed]
- Collignon, F.; Martin, D.; Lénelle, J.; Stevenaert, A. Acute Traumatic Central Cord Syndrome: Magnetic Resonance Imaging and Clinical Observations. J. Neurosurg. 2002, 96, 29–33. [Google Scholar] [CrossRef] [PubMed]
- Asundi, A.; Cervantes-Arslanian, A.M.; Lin, N.H.; Barbosa, F. Infectious Myelitis. Semin. Neurol. 2019, 39, 472–481. [Google Scholar] [CrossRef] [PubMed]
- Kanaheswari, Y.; Lai, C.; Raja Lope, R.J.; Azizi, A.B.; Zulfiqar, M.A. Intramedullary Spinal Cord Abscess: The Result of a Missed Congenital Dermal Sinus. J. Paediatr. Child. Health 2015, 51, 223–225. [Google Scholar] [CrossRef] [PubMed]
- Do-Dai, D.D.; Brooks, M.K.; Goldkamp, A.; Erbay, S.; Bhadelia, R.A. Magnetic Resonance Imaging of Intramedullary Spinal Cord Lesions: A Pictorial Review. Curr. Probl. Diagn. Radiol. 2010, 39, 160–185. [Google Scholar] [CrossRef]
- Verdier, E.P.; Konsol, O.; Portillo, S. Intramedullary Cervical Abscess Mimicking a Spinal Cord Tumor in a 10-Year-Old Girl: A Case-Based Review. Childs Nerv. Syst. 2018, 34, 2143–2147. [Google Scholar] [CrossRef]
- Stepper, F.; Schroth, G.; Sturzenegger, M. Neurosyphilis Mimicking Miller-Fisher Syndrome: A Case Report and MRI Findings. Neurology 1998, 51, 269–271. [Google Scholar] [CrossRef] [PubMed]
- Tsui, E.Y.K.; Ng, S.H.; Chow, L.; Lai, K.F.; Fong, D.; Chan, J.H.M. Syphilitic Myelitis with Diffuse Spinal Cord Abnormality on MR Imaging. Eur. Radiol. 2002, 12, 2973–2976. [Google Scholar] [CrossRef] [PubMed]
- Wasay, M.; Arif, H.; Khealani, B.; Ahsan, H. Neuroimaging of Tuberculous Myelitis: Analysis of Ten Cases and Review of Literature. J. Neuroimaging 2006, 16, 197–205. [Google Scholar] [CrossRef] [PubMed]
- Nardone, R.; Versace, V.; Brigo, F.; Tezzon, F.; Zuccoli, G.; Pikija, S.; Hauer, L.; Sellner, J. Herpes Simplex Virus Type 2 Myelitis: Case Report and Review of the Literature. Front. Neurol. 2017, 8, 199. [Google Scholar] [CrossRef] [PubMed]
- Ross, A.G.; McManus, D.P.; Farrar, J.; Hunstman, R.J.; Gray, D.J.; Li, Y.-S. Neuroschistosomiasis. J. Neurol. 2012, 259, 22–32. [Google Scholar] [CrossRef] [PubMed]
- Saleem, S.; Belal, A.I.; El-Ghandour, N.M. Spinal Cord Schistosomiasis: MR Imaging Appearance with Surgical and Pathologic Correlation. AJNR Am. J. Neuroradiol. 2005, 26, 1646–1654. [Google Scholar]
- Kumar, N. Metabolic and Toxic Myelopathies. Semin. Neurol. 2012, 32, 123–136. [Google Scholar] [CrossRef]
- Jaiser, S.R.; Winston, G.P. Copper Deficiency Myelopathy. J. Neurol. 2010, 257, 869–881. [Google Scholar] [CrossRef]
- Pinnix, C.C.; Chi, L.; Jabbour, E.J.; Milgrom, S.A.; Smith, G.L.; Daver, N.; Garg, N.; Cykowski, M.D.; Fuller, G.; Cachia, D.; et al. Dorsal Column Myelopathy after Intrathecal Chemotherapy for Leukemia. Am. J. Hematol. 2017, 92, 155–160. [Google Scholar] [CrossRef]
- Leclerc, A.; Matveeff, L.; Emery, E. Syringomyelia and Hydromyelia: Current Understanding and Neurosurgical Management. Rev. Neurol. 2021, 177, 498–507. [Google Scholar] [CrossRef]
- Tortori-Donati, P.; Rossi, A.; Cama, A. Spinal Dysraphism: A Review of Neuroradiological Features with Embryological Correlations and Proposal for a New Classification. Neuroradiology 2000, 42, 471–491. [Google Scholar] [CrossRef] [PubMed]
- McNutt, S.E.; Mrowczynski, O.D.; Lane, J.; Jafrani, R.; Rohatgi, P.; Specht, C.; Tubbs, R.S.; Zacharia, T.T.; Rizk, E.B. Congenital Spinal Cysts: An Update and Review of the Literature. World Neurosurg. 2021, 145, 480–491.e9. [Google Scholar] [CrossRef]
- Tomura, N.; Ito, Y.; Matsuoka, H.; Saginoya, T.; Numazawa, S.-i.; Mizuno, Y.; Watanabe, K. PET Findings of Intramedullary Tumors of the Spinal Cord Using [18F] FDG and [11C] Methionine. AJNR Am. J. Neuroradiol. 2013, 34, 1278–1283. [Google Scholar] [CrossRef] [PubMed]
- Mostardi, P.M.; Diehn, F.E.; Rykken, J.B.; Eckel, L.J.; Schwartz, K.M.; Kaufmann, T.J.; Wood, C.P.; Wald, J.T.; Hunt, C.H. Intramedullary Spinal Cord Metastases: Visibility on PET and Correlation with MRI Features. AJNR Am. J. Neuroradiol. 2014, 35, 196–201. [Google Scholar] [CrossRef] [PubMed]
- Vargas, M.I.; Delattre, B.M.A.; Boto, J.; Gariani, J.; Dhouib, A.; Fitsiori, A.; Dietemann, J.L. Advanced Magnetic Resonance Imaging (MRI) Techniques of the Spine and Spinal Cord in Children and Adults. Insights Imaging 2018, 9, 549–557. [Google Scholar] [CrossRef] [PubMed]
- Lévy, S.; Roche, P.-H.; Guye, M.; Callot, V. Feasibility of Human Spinal Cord Perfusion Mapping Using Dynamic Susceptibility Contrast Imaging at 7T: Preliminary Results and Identified Guidelines. Magn. Reson. Med. 2021, 85, 1183–1194. [Google Scholar] [CrossRef] [PubMed]
- Barry, R.L.; Vannesjo, S.J.; By, S.; Gore, J.C.; Smith, S.A. Spinal Cord MRI at 7T. Neuroimage 2018, 168, 437–451. [Google Scholar] [CrossRef]
- Clarke, M.A.; Witt, A.A.; Robison, R.K.; Fleishman, S.; Combes, A.J.E.; Houston, D.; Prock, L.E.; Sweeney, G.; O’Grady, K.P.; McKnight, C.D.; et al. Cervical Spinal Cord Susceptibility-Weighted MRI at 7T: Application to Multiple Sclerosis. NeuroImage 2023, 284, 120460. [Google Scholar] [CrossRef]


















| Disease | Long or Short | Typical Location | Enhancement | Characteristic Feature | Associated Spinal Anomalies | Associated Cerebral Anomalies |
|---|---|---|---|---|---|---|
| Multiple Sclerosis | Short | Cervical spinal cord | Non-specific: nodular, patchy, or annular enhancement | Multiple short lesions | Multiple brain lesions in periventricular, subcortical, and posterior fossa regions | |
| Progressive solitary sclerosis | Short | Cervical spinal cord | - | |||
| AQP4 + NMOSD | Long | All spinal cord segments | Incomplete ring enhancement | “Bright spotty lesions” | Bilateral optic neuritis, | |
| Leptomeningeal enhancement | Focal lesions in specific areas: area postrema, midbrain, and diencephalon | |||||
| “Pencil-thin” subependymal enhancement | ||||||
| MOGAD | Long | Conus medullaris | Rare | “Ventral sagittal line” | Cerebellar lesions extending to the cerebellar peduncles. | |
| Leptomeningeal enhancement | “H-shaped” | Uni- or bilateral optic neuritis | ||||
| “Pseudodilatation” of the spinal canal | ||||||
| Neurosarcoidosis | Long | Cervical and high thoracic spinal cord | Dorsal or ventral subpial enhancement | “Trident sign” | Dural masses | Meningeal enhancement of the basal cranium |
| Ependymal enhancement | Intra- or extra-axial masses | |||||
| Leptomeningeal enhancement | ||||||
| ADEM | Variable | All spinal cord segments | Inconstant enhancement | Synchronous nature of the lesions | Multiple supratentorial and infratentorial lesions | |
| Neuro-Behçet’s Disease | Variable | All spinal cord segments | Inconstant enhancement | “Bagel-like” | Enhanced lesions in the brainstem, basal ganglia, subcortical matte | |
| Meningeal enhancement of the basal cranium | ||||||
| Anti-GFAP encephalomyelitis | Long | All spinal cord segments | Central canal and leptomeningeal enhancement | - | T2/FLAIR hyperintensities of the semi-oval centers. | |
| Radial perivascular enhancement | ||||||
| Auto immune myelitis | Long | All spinal cord segments | Patchy enhancement in about half of the cases | - | ||
| Degenerative compressive myelopathy | Variable | Cervical spinal cord | Inconstant enhancement | “Pancake-like” enhancement | Spinal canal stenosis | |
| Degenerative spinal features | ||||||
| Spinal cord infarction | Variable | All spinal cord segments | Inconstant enhancement | Restricted diffusion | Adjacent vertebral body infarction | |
| “Pencil-like” | ||||||
| “Owl-eye” | ||||||
| Spinal dural arteriovenous fistula | Long | Conus medullaris | Inconstant enhancement | Perimedullary dilated vessels | ||
| Spinal cavernous malformation | Variable | Cervico-thoracic spinal cord | No | Mixed signal of blood products | ||
| Hemosiderin ring | ||||||
| Hematomyelia | Variable | None | No | None | ||
| Subacute combined degeneration of the spinal cord | Long | Cervical and upper thoracic regions | Inconstant enhancement | “Chevron” |
Disclaimer/Publisher’s Note: The statements, opinions and data contained in all publications are solely those of the individual author(s) and contributor(s) and not of MDPI and/or the editor(s). MDPI and/or the editor(s) disclaim responsibility for any injury to people or property resulting from any ideas, methods, instructions or products referred to in the content. |
© 2024 by the authors. Licensee MDPI, Basel, Switzerland. This article is an open access article distributed under the terms and conditions of the Creative Commons Attribution (CC BY) license (https://creativecommons.org/licenses/by/4.0/).
Share and Cite
Fournel, J.; Hermier, M.; Martin, A.; Gamondès, D.; Tommasino, E.; Broussolle, T.; Morgado, A.; Baassiri, W.; Cotton, F.; Berthezène, Y.; et al. It Looks Like a Spinal Cord Tumor but It Is Not. Cancers 2024, 16, 1004. https://doi.org/10.3390/cancers16051004
Fournel J, Hermier M, Martin A, Gamondès D, Tommasino E, Broussolle T, Morgado A, Baassiri W, Cotton F, Berthezène Y, et al. It Looks Like a Spinal Cord Tumor but It Is Not. Cancers. 2024; 16(5):1004. https://doi.org/10.3390/cancers16051004
Chicago/Turabian StyleFournel, Julien, Marc Hermier, Anna Martin, Delphine Gamondès, Emanuele Tommasino, Théo Broussolle, Alexis Morgado, Wassim Baassiri, Francois Cotton, Yves Berthezène, and et al. 2024. "It Looks Like a Spinal Cord Tumor but It Is Not" Cancers 16, no. 5: 1004. https://doi.org/10.3390/cancers16051004
APA StyleFournel, J., Hermier, M., Martin, A., Gamondès, D., Tommasino, E., Broussolle, T., Morgado, A., Baassiri, W., Cotton, F., Berthezène, Y., & Bani-Sadr, A. (2024). It Looks Like a Spinal Cord Tumor but It Is Not. Cancers, 16(5), 1004. https://doi.org/10.3390/cancers16051004

