Feasibility of Non-Invasive Sentinel Lymph Node Identification in Early-Stage NSCLC Through Ultrasound Guided Intra-Tumoral Injection of 99mTc-Nanocolloid and Iodinated Contrast Agent During Navigation Bronchoscopy
Simple Summary
Abstract
1. Introduction
2. Materials and Methods
2.1. Study Design and Patient Cohort
2.2. Navigation Bronchoscopy Procedure
2.3. Study Procedure
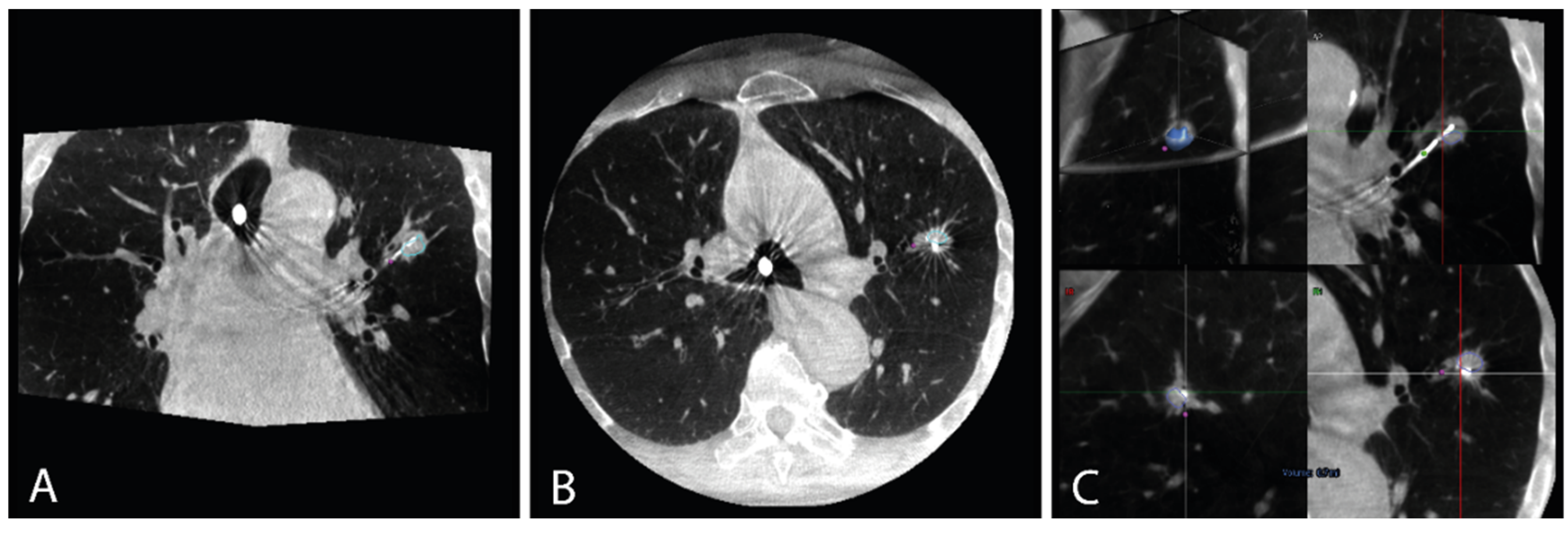
2.3.1. Pioneer Plus Radial Ultrasound
2.3.2. Imaging Tracer Injection
2.3.3. Protocol Amendment
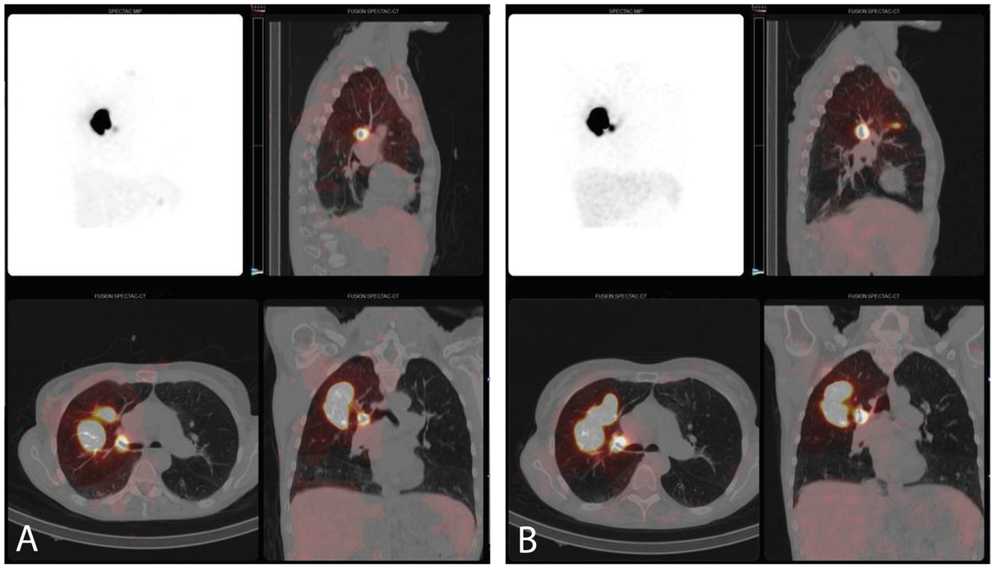
2.3.4. SPECT/CT Imaging and SLN Identification
2.4. Data Analysis
3. Results
3.1. Pioneer Plus Radial Ultrasound
3.2. Imaging Tracer Injection
3.2.1. 99mTc-Nanocolloid Injection
3.2.2. Iodinated Contrast Injection
3.3. SPECT/CT Imaging and SLN Identification
3.4. Lesion and Lymph Node Outcomes
3.5. Safety, Risks, and Adverse Events
4. Discussion
4.1. Real-Time US-Guided Endobronchial Injection
4.2. Imaging Tracers and Other Particles
4.3. Imaging Modalities
4.4. Strengths and Limitations
5. Conclusions
Author Contributions
Funding
Institutional Review Board Statement
Informed Consent Statement
Data Availability Statement
Acknowledgments
Conflicts of Interest
Appendix A. SPECT/CT Imaging Parameters
Appendix B





References
- Postmus, P.E.; Kerr, K.M.; Oudkerk, M.; Senan, S.; Waller, D.A.; Vansteenkiste, J.; Escriu, C.; Peters, S.; Committee, E.G. Early and locally advanced non-small-cell lung cancer (NSCLC): ESMO Clinical Practice Guidelines for diagnosis, treatment and follow-up. Ann. Oncol. 2017, 28, iv1–iv21. [Google Scholar] [CrossRef] [PubMed]
- Rami-Porta, R.; Nishimura, K.K.; Giroux, D.J.; Detterbeck, F.; Cardillo, G.; Edwards, J.G.; Fong, K.M.; Giuliani, M.; Huang, J.; Kernstine, K.H.S.; et al. The International Association for the Study of Lung Cancer Lung Cancer Staging Project: Proposals for Revision of the TNM Stage Groups in the Forthcoming (Ninth) Edition of the TNM Classification for Lung Cancer. J. Thorac. Oncol. 2024, 19, 1007–1027. [Google Scholar] [CrossRef] [PubMed]
- Beyaz, F.; Verhoeven, R.L.J.; Schuurbiers, O.C.J.; Verhagen, A.; van der Heijden, E. Occult lymph node metastases in clinical N0/N1 NSCLC., A single center in-depth analysis. Lung Cancer 2020, 150, 186–194. [Google Scholar] [CrossRef]
- Bousema, J.E.; Dijkgraaf, M.G.W.; van der Heijden, E.; Verhagen, A.; Annema, J.T.; van den Broek, F.J.C.; MEDIASTrial Study group. Endosonography With or Without Confirmatory Mediastinoscopy for Resectable Lung Cancer: A Randomized Clinical Trial. J. Clin. Oncol. 2023, 41, 3805–3815. [Google Scholar] [CrossRef]
- Steinfort, D.P. Systematic mediastinal staging in non-small cell lung cancer: Filling in the guideline evidence gap. Respirology 2023, 29, 89–91. [Google Scholar] [CrossRef] [PubMed]
- Gregor, A.; Ujiie, H.; Yasufuku, K. Sentinel lymph node biopsy for lung cancer. Gen. Thorac. Cardiovasc. Surg. 2020, 68, 1061–1078. [Google Scholar] [CrossRef] [PubMed]
- Thongvitokomarn, S.; Polchai, N. Indocyanine Green Fluorescence Versus Blue Dye or Radioisotope Regarding Detection Rate of Sentinel Lymph Node Biopsy and Nodes Removed in Breast Cancer: A Systematic Review and Meta-Analysis. Asian Pac. J. Cancer Prev. 2020, 21, 1187–1195. [Google Scholar] [CrossRef]
- Niebling, M.G.; Pleijhuis, R.G.; Bastiaannet, E.; Brouwers, A.H.; van Dam, G.M.; Hoekstra, H.J. A systematic review and meta-analyses of sentinel lymph node identification in breast cancer and melanoma, a plea for tracer mapping. Eur. J. Surg. Oncol. 2016, 42, 466–473. [Google Scholar] [CrossRef]
- Persico, M.G.; Lodola, L.; Buroni, F.E.; Morandotti, M.; Pallavicini, P.; Aprile, C. (99m)Tc-human serum albumin nanocolloids: Particle sizing and radioactivity distribution. J. Label. Comp. Radiopharm. 2015, 58, 376–382. [Google Scholar] [CrossRef]
- Khandhar, S.J.; Bowling, M.R.; Flandes, J.; Gildea, T.R.; Hood, K.L.; Krimsky, W.S.; Minnich, D.J.; Murgu, S.D.; Pritchett, M.; Toloza, E.M.; et al. Electromagnetic navigation bronchoscopy to access lung lesions in 1,000 subjects: First results of the prospective, multicenter NAVIGATE study. BMC Pulm. Med. 2017, 17, 59. [Google Scholar] [CrossRef]
- Gonzalez, A.V.; Silvestri, G.A.; Korevaar, D.A.; Gesthalter, Y.B.; Almeida, N.D.; Chen, A.; Gilbert, C.R.; Illei, P.B.; Navani, N.; Pasquinelli, M.M.; et al. Assessment of Advanced Diagnostic Bronchoscopy Outcomes for Peripheral Lung Lesions: A Delphi Consensus Definition of Diagnostic Yield and Recommendations for Patient-centered Study Designs. An Official American Thoracic Society/American College of Chest Physicians Research Statement. Am. J. Respir. Crit. Care Med. 2024, 209, 634–646. [Google Scholar] [CrossRef] [PubMed]
- Yu Lee-Mateus, A.; Reisenauer, J.; Garcia-Saucedo, J.C.; Abia-Trujillo, D.; Buckarma, E.H.; Edell, E.S.; Grage, R.A.; Bowman, A.W.; Labarca, G.; Johnson, M.M.; et al. Robotic-assisted bronchoscopy versus CT-guided transthoracic biopsy for diagnosis of pulmonary nodules. Respirology 2023, 28, 66–73. [Google Scholar] [CrossRef] [PubMed]
- Mori, V.; DuComb, E.A.; Wagner, S.; Khan, F.; Bates, J.H.T.; Kinsey, C.M. Visualizing intratumoral injections in lung tumors by endobronchial ultrasound. J. Cancer 2023, 14, 544–553. [Google Scholar] [CrossRef]
- DuComb, E.A.; Collins, C.C.; Cupak, D.; Wagner, S.; Khan, F.B.; Budd, R.C.; Kinsey, C.M. Endobronchial ultrasound-guided transbronchial needle injection of cisplatin results in dynamic changes in the tumor immune microenvironment. Respir. Med. Res. 2023, 84, 100994. [Google Scholar] [CrossRef]
- DeMaio, A.; Sterman, D. Bronchoscopic intratumoural therapies for non-small cell lung cancer. Eur. Respir. Rev. 2020, 29, 200028. [Google Scholar] [CrossRef]
- Uribe-Etxebarria Lugariza-Aresti, N.; Barceló Galíndez, R.; Pac Ferrer, J.; Méndez Martín, J.; Genollá Subirats, J.; Casanova Viudez, J. Biopsy of the sentinel node in lung cancer. Med. Clínica (Engl. Ed.) 2017, 148, 257–259. [Google Scholar] [CrossRef]
- Verhoeven, R.L.J.; Kops, S.E.P.; Wijma, I.N.; ter Woerds, D.K.M.; van der Heijden, E.H.F.M. Cone-beam CT in lung biopsy: A clinical practice review on lessons learned and future perspectives. Ann. Transl. Med. 2022, 11, 361. [Google Scholar] [CrossRef] [PubMed]
- Association, W.M. World Medical Association Declaration of Helsinki: Ethical Principles for Medical Research Involving Human Subjects. JAMA 2013, 310, 2191–2194. [Google Scholar] [CrossRef]
- Beyaz, F.; Verhoeven, R.L.J.; Hoogerwerf, N.; Mourisse, J.M.J.; van der Heijden, E. Cone Beam Computed Tomography-guided Navigation Bronchoscopy with Augmented Fluoroscopy for the Diagnosis of Peripheral Pulmonary Nodules: A step-by-step guide. Respiration 2024, 1–24. [Google Scholar] [CrossRef]
- ter Woerds, D.K.M.; Verhoeven, R.L.J.; van der Heide, S.M.; Verhagen, A.F.T.M.; Aarntzen, E.H.J.G.; van der Heijden, E.H.F.M. Ex-vivo exploration of an endobronchial sentinel lymph node procedure in lung cancer for optimizing workflow and evaluating feasibility of novel imaging tools. J. Thorac. Dis. 2023, 15, 291–299. [Google Scholar] [CrossRef]
- Philips. Pioneer Plus IVUS-Guided Re-Entry Catheter. Available online: https://www.philips.nl/healthcare/product/HCIGTDPPLUS/pioneer-plus-ivus-guided-re-entry-catheter (accessed on 12 December 2021).
- Celikoglu, F.; Celikoglu, S.I.; Goldberg, E.P. Intratumoural chemotherapy of lung cancer for diagnosis and treatment of draining lymph node metastasis. J. Pharm. Pharmacol. 2010, 62, 287–295. [Google Scholar] [CrossRef]
- Park, J.; Kim, C.; Jang, J.G.; Lee, S.S.; Hong, K.S.; Ahn, J.H. Endobronchial Ultrasound Using Guide Sheath-Guided Transbronchial Lung Biopsy in Ground-Glass Opacity Pulmonary Lesions without Fluoroscopic Guidance. Cancers 2024, 16, 1203. [Google Scholar] [CrossRef]
- Verhoeven, R.L.J.; van der Sterren, W.; Kong, W.; Langereis, S.; van der Tol, P.; van der Heijden, E. Cone-beam CT and Augmented Fluoroscopy-guided Navigation Bronchoscopy: Radiation Exposure and Diagnostic Accuracy Learning Curves. J. Bronchol. Interv. Pulmonol. 2021, 28, 262–271. [Google Scholar] [CrossRef]
- Wijma, I.N.; Casal, R.F.; Cheng, G.Z.; Einsiedel, P.F.; Fantin, A.; Hall, D.J.; Herth, F.J.F.; Ng, C.S.H.; Pritchett, M.A.; Shah, P.L.; et al. Radiation Principles, Protection and Reporting for Interventional Pulmonology. Respiration 2024, 103, 707–721. [Google Scholar] [CrossRef]
- Folch, E.E.; Mahajan, A.K.; Oberg, C.L.; Maldonado, F.; Toloza, E.; Krimsky, W.S.; Oh, S.; Bowling, M.R.; Benzaquen, S.; Kinsey, C.M.; et al. Standardized Definitions of Bleeding After Transbronchial Lung Biopsy: A Delphi Consensus Statement From the Nashville Working Group. Chest 2020, 158, 393–400. [Google Scholar] [CrossRef]
- Boston Scientific. iNod™|Ultrasound Guided System. Available online: https://www.bostonscientific.com/en-US/products/ultrasound-guidance-system/inod-ultrasound-guided-biopsy-needle.html (accessed on 9 November 2023).
- Mlosek, R.K.; Migda, B.; Migda, M. High-frequency ultrasound in the 21(st) century. J. Ultrason. 2021, 20, e233–e241. [Google Scholar] [CrossRef]
- Liptay, M.J.; Grondin, S.C.; Fry, W.A.; Pozdol, C.; Carson, D.; Knop, C.; Masters, G.A.; Perlman, R.M.; Watkin, W. Intraoperative Sentinel Lymph Node Mapping in Non–Small-Cell Lung Cancer Improves Detection of Micrometastases. J. Clin. Oncol. 2002, 20, 1984–1988. [Google Scholar] [CrossRef]
- Sugi, K.; Kaneda, Y.; Sudoh, M.; Sakano, H.; Hamano, K. Effect of radioisotope sentinel node mapping in patients with cT1 N0 M0 lung cancer. J. Thorac. Cardiovasc. Surg. 2003, 126, 568–573. [Google Scholar] [CrossRef]
- Nomori, H.; Watanabe, K.; Ohtsuka, T.; Naruke, T.; Suemasu, K. In vivo identification of sentinel lymph nodes for clinical stage I non-small cell lung cancer for abbreviation of mediastinal lymph node dissection. Lung Cancer 2004, 46, 49–55. [Google Scholar] [CrossRef]
- Nomori, H.; Ikeda, K.; Mori, T.; Kobayashi, H.; Iwatani, K.; Kawanaka, K.; Shiraishi, S.; Kobayashi, T. Sentinel node navigation segmentectomy for clinical stage IA non-small cell lung cancer. J. Thorac. Cardiovasc. Surg. 2007, 133, 780–785. [Google Scholar] [CrossRef]
- Nomori, H.; Ikeda, K.; Mori, T.; Shiraishi, S.; Kobayashi, H.; Iwatani, K.; Kawanaka, K.; Kobayashi, T. Sentinel node identification in clinical stage Ia non-small cell lung cancer by a combined single photon emission computed tomography/computed tomography system. J. Thorac. Cardiovasc. Surg. 2007, 134, 182–187. [Google Scholar] [CrossRef]
- Sugi, K.; Kobayashi, S.; Yagi, R.; Matsuoka, T. Usefulness of sentinel lymph node biopsy for the detection of lymph node micrometastasis in early lung cancer. Interact. Cardiovasc. Thorac. Surg 2008, 7, 913–915. [Google Scholar] [CrossRef]
- Liptay, M.J.; D’Amico, T.A.; Nwogu, C.; Demmy, T.L.; Wang, X.F.; Gu, L.; Litle, V.R.; Swanson, S.J.; Kohman, L.J. Intraoperative sentinel node mapping with technitium-99 in lung cancer: Results of CALGB 140203 multicenter phase II trial. J. Thorac. Oncol. 2009, 4, 198–202. [Google Scholar] [CrossRef]
- Kim, E.M.; Lim, S.T.; Sohn, M.H.; Jeong, H.J. Size Control of (99m)Tc-tin Colloid Using PVP and Buffer Solution for Sentinel Lymph Node Detection. J. Korean Med. Sci. 2015, 30, 816–822. [Google Scholar] [CrossRef]
- International Atomic Energy Agency. Radiopharmaceuticals for Sentinel Lymph Node Detection: Status and Trends; Duatti, A., Ed.; IAEA Headquarters: Vienna, Austria, 2015. [Google Scholar]
- Kjellman, P.; In ‘t Zandt, R.; Fredriksson, S.; Strand, S.E. Optimizing retention of multimodal imaging nanostructures in sentinel lymph nodes by nanoscale size tailoring. Nanomedicine 2014, 10, 1089–1095. [Google Scholar] [CrossRef]
- Romano, G.; Zirafa, C.C.; Calabrò, F.; Alì, G.; Manca, G.; De Liperi, A.; Proietti, A.; Manfredini, B.; Di Stefano, I.; Marciano, A.; et al. Sentinel Lymph Node Mapping in Lung Cancer: A Pilot Study for the Detection of Micrometastases in Stage I Non-Small Cell Lung Cancer. Tomography 2024, 10, 761–772. [Google Scholar] [CrossRef]
- Abele, J.T.; Allred, K.; Clare, T.; Bedard, E.L. Lymphoscintigraphy in early-stage non-small cell lung cancer with technetium-99m nanocolloids and hybrid SPECT/CT: A pilot project. Ann. Nucl. Med. 2014, 28, 477–483. [Google Scholar] [CrossRef]



| Characteristic | Frequency | ||
|---|---|---|---|
| Patient characteristics | Age, median (±IQR) | 71 (±14) | |
| Gender, n (%) | Male | 21 (67.7%) | |
| Female | 10 (32.3%) | ||
| BMI, median (±IQR) | 26 (±5) | ||
| FEV1, median (±IQR) | 88 (±31) | ||
| DLCO, median (±IQR) | 84 (±23) | ||
| Lesion characteristics | Lesion size on CT, median (±IQR) | 18.7 (±9.6) | |
| Lobe, n (%) | Upper | 25 (80.6%) | |
| Lower | 6 (19.4%) | ||
| Lesion type, n (%) | Solid | 19 (61.3%) | |
| Part-Solid | 4 (12.9%) | ||
| GGO | 7 (22.6%) | ||
| Cystic | 1 (3.2%) | ||
| Cyst/cavity, n (%) 1 | 5 (16.1%) | ||
| Imaging-based pre-procedural stage, n (%) | iN0 | 24 (77.4%) | |
| iN0-1 | 5 (16.1%) | ||
| iN1-2 2 | 2 (6.5%) | ||
| Characteristics | Frequency | ||
| Duration of NB, hh:mm, median (±IQR) | 01:45 (±00:26) | ||
| (Intraparenchymal) bleeding after biopsies, n (%) 3 | 11 (35.5%) | ||
| Pioneer Plus catheter | Tracer injection device, n (%) | Pioneer Plus catheter | 30 (96.8%) |
| Conventional TBNA needle | 1 (3.2%) | ||
| Tumor visibility on radial US imaging, n (%) | 29 (96.7%) | ||
| Real-time radial US visibility of tracer injection, n (%) | 0 (0.0%) | ||
| Multi-depot placement, n (%) | Yes (>1 injection) | 22 (73.3%) | |
| No (1 injection) | 8 (26.7%) | ||
| 99mTc-nanocolloid | Number of patients with injection(s), n (%) | 31 (100%) | |
| Number of injections, median (±IQR) | 2 (±1) | ||
| Injection type, n (%) | Intratumoral | 16 (51.6%) | |
| Peritumoral | 7 (22.6%) | ||
| Intra- and peritumoral | 8 (25.8%) | ||
| Injection volume, mL, median (±IQR) | 0.43 (±0.5) | ||
| Radioactivity, MBq, median (±IQR) | 28.0 (±21.7) | ||
| Total injection time per depot, seconds, median (±IQR) | 9 (±9) | ||
| Iomeron 300 | Number of patients with injection(s), n (%) | 15 (48.4%) | |
| Number of injections, median (±IQR) | 1 (±1) | ||
| Injection type, n (%) | Intratumoral | 11 (73.3%) | |
| Peritumoral | 3 (20.0%) | ||
| Intra- and peritumoral | 1 (6.7%) | ||
| Injection volume, mL, median (±IQR) | 0.30 (±0.20) | ||
| Injection visible on fluoroscopy, n (%) | 15 (100%) | ||
| Total injection time per depot, seconds, median (±IQR) | 12 (±7.25) | ||
| Leakage visible on fluoroscopy, n (%) | 4 (26.7%) | ||
| Characteristics | Frequency | ||
|---|---|---|---|
| SPECT/CT imaging | Patients with an early scan, n (%) | 10 (32.3%) | |
| 02:28 (±01:02) | ||
| Patients with a late scan time, n (%) | 30 (96.8%) | ||
| 04:19 (±00:55) | ||
| SLN identification, all scan times, n (%) | 10 (32.3%) | ||
| 5 (50.0%) | ||
| 9 (30.0%) | ||
| Endobronchial leakage, n (%) 6 | 9 (29.0%) | ||
| Staging and treatment | Pathology outcome of lesion after NB, n (%) | AC | 19 (61.3%) |
| SCC | 5 (16.1%) | ||
| NSCLC | 2 (6.5%) | ||
| Benign | 4 (12.9%) | ||
| Non-representative | 1 (3.2%) | ||
| Treatment, n (%) | Surgery | 15 (48.4%) | |
| Other | 16 (51.6%) | ||
| pN0 | 12 (80.0%) | |
| pN0(i+)/isolated tumor cells | 2 (13.3%) | ||
| pN1 | 0 (0.0%) | ||
| pN2 | 1 (6.7%) | ||
Disclaimer/Publisher’s Note: The statements, opinions and data contained in all publications are solely those of the individual author(s) and contributor(s) and not of MDPI and/or the editor(s). MDPI and/or the editor(s) disclaim responsibility for any injury to people or property resulting from any ideas, methods, instructions or products referred to in the content. |
© 2024 by the authors. Licensee MDPI, Basel, Switzerland. This article is an open access article distributed under the terms and conditions of the Creative Commons Attribution (CC BY) license (https://creativecommons.org/licenses/by/4.0/).
Share and Cite
ter Woerds, D.K.M.; Verhoeven, R.L.J.; Aarntzen, E.H.J.G.; van der Heijden, E.H.F.M. Feasibility of Non-Invasive Sentinel Lymph Node Identification in Early-Stage NSCLC Through Ultrasound Guided Intra-Tumoral Injection of 99mTc-Nanocolloid and Iodinated Contrast Agent During Navigation Bronchoscopy. Cancers 2024, 16, 3868. https://doi.org/10.3390/cancers16223868
ter Woerds DKM, Verhoeven RLJ, Aarntzen EHJG, van der Heijden EHFM. Feasibility of Non-Invasive Sentinel Lymph Node Identification in Early-Stage NSCLC Through Ultrasound Guided Intra-Tumoral Injection of 99mTc-Nanocolloid and Iodinated Contrast Agent During Navigation Bronchoscopy. Cancers. 2024; 16(22):3868. https://doi.org/10.3390/cancers16223868
Chicago/Turabian Styleter Woerds, Desi K. M., Roel L. J. Verhoeven, Erik H. J. G. Aarntzen, and Erik H. F. M. van der Heijden. 2024. "Feasibility of Non-Invasive Sentinel Lymph Node Identification in Early-Stage NSCLC Through Ultrasound Guided Intra-Tumoral Injection of 99mTc-Nanocolloid and Iodinated Contrast Agent During Navigation Bronchoscopy" Cancers 16, no. 22: 3868. https://doi.org/10.3390/cancers16223868
APA Styleter Woerds, D. K. M., Verhoeven, R. L. J., Aarntzen, E. H. J. G., & van der Heijden, E. H. F. M. (2024). Feasibility of Non-Invasive Sentinel Lymph Node Identification in Early-Stage NSCLC Through Ultrasound Guided Intra-Tumoral Injection of 99mTc-Nanocolloid and Iodinated Contrast Agent During Navigation Bronchoscopy. Cancers, 16(22), 3868. https://doi.org/10.3390/cancers16223868

