G-Protein-Coupled Receptor-Associated Sorting Protein 1 Overexpression Is Involved in the Progression of Benign Prostatic Hyperplasia, Early-Stage Prostatic Malignant Diseases, and Prostate Cancer
Simple Summary
Abstract
1. Introduction
2. Materials and Methods
2.1. Antibody Production
2.2. Prostate Tissue Microarray
2.3. Tissue Staining
2.4. GASP-1 IHC Scoring
2.5. GASP-1 ELISA
2.6. Statistical Analysis
2.7. Image Analysis: Tissue Microarray (TMA) De-Arraying
2.8. Digital Stain Separation
3. Results
3.1. Differentiating BPH from Prostate Cancer via GASP-1 ELISA
3.2. Confirmation of ELISA Results via GASP-1 Immunohistochemistry
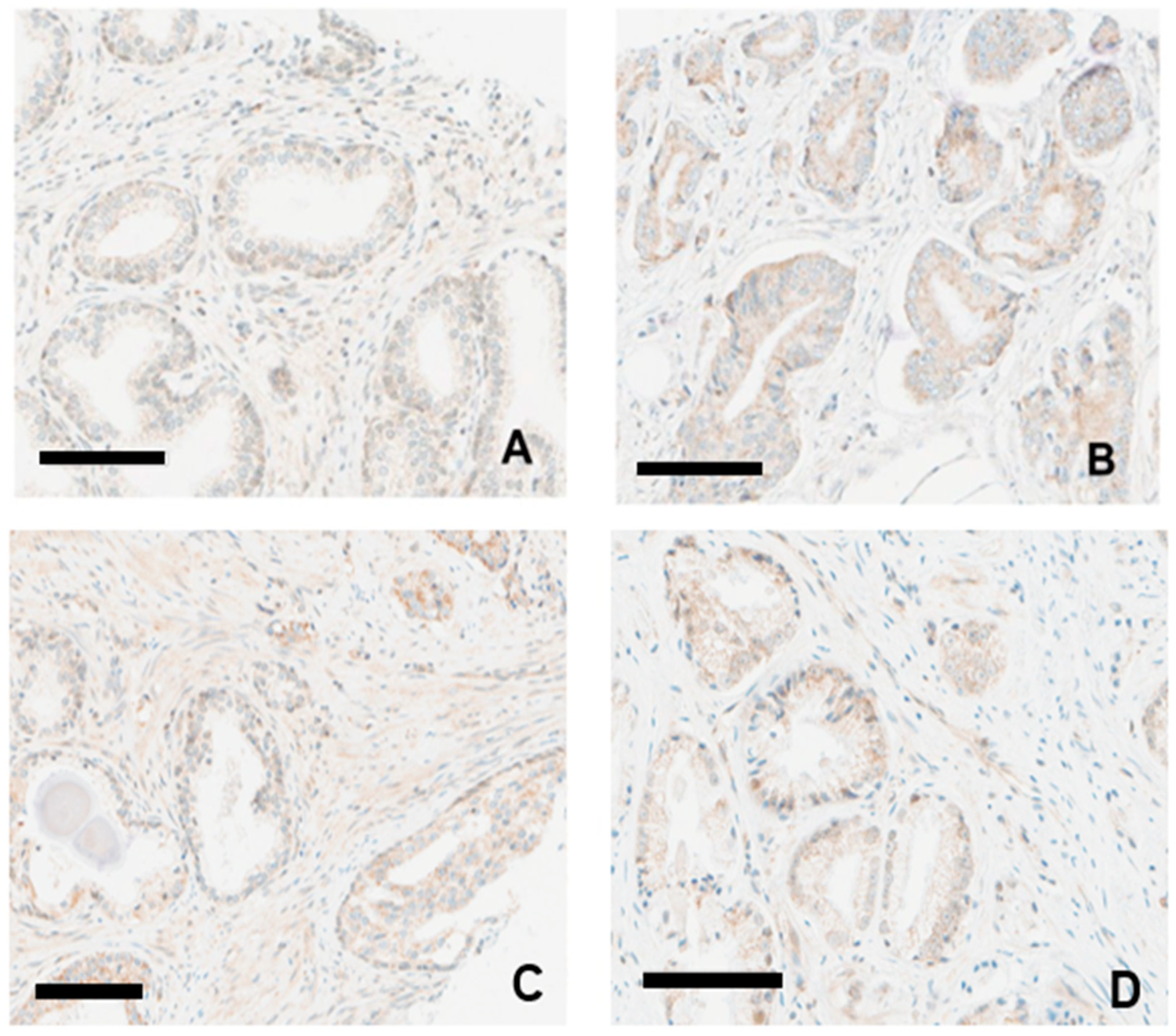
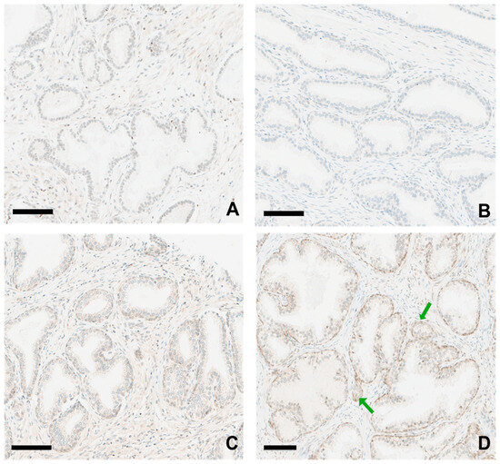
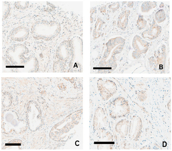
3.3. GASP-1 Expression in Normal and BPH Tissues
3.4. GASP-1 Granules Can Be Used to Differentiate Benign Condition from Early-Stage Prostate Cancer
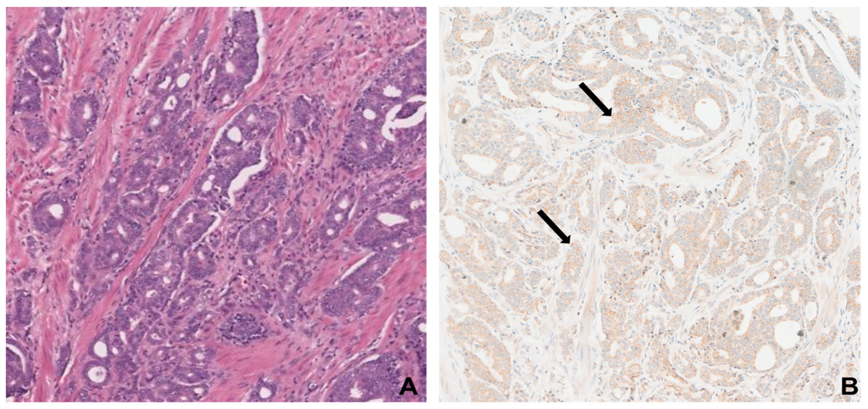
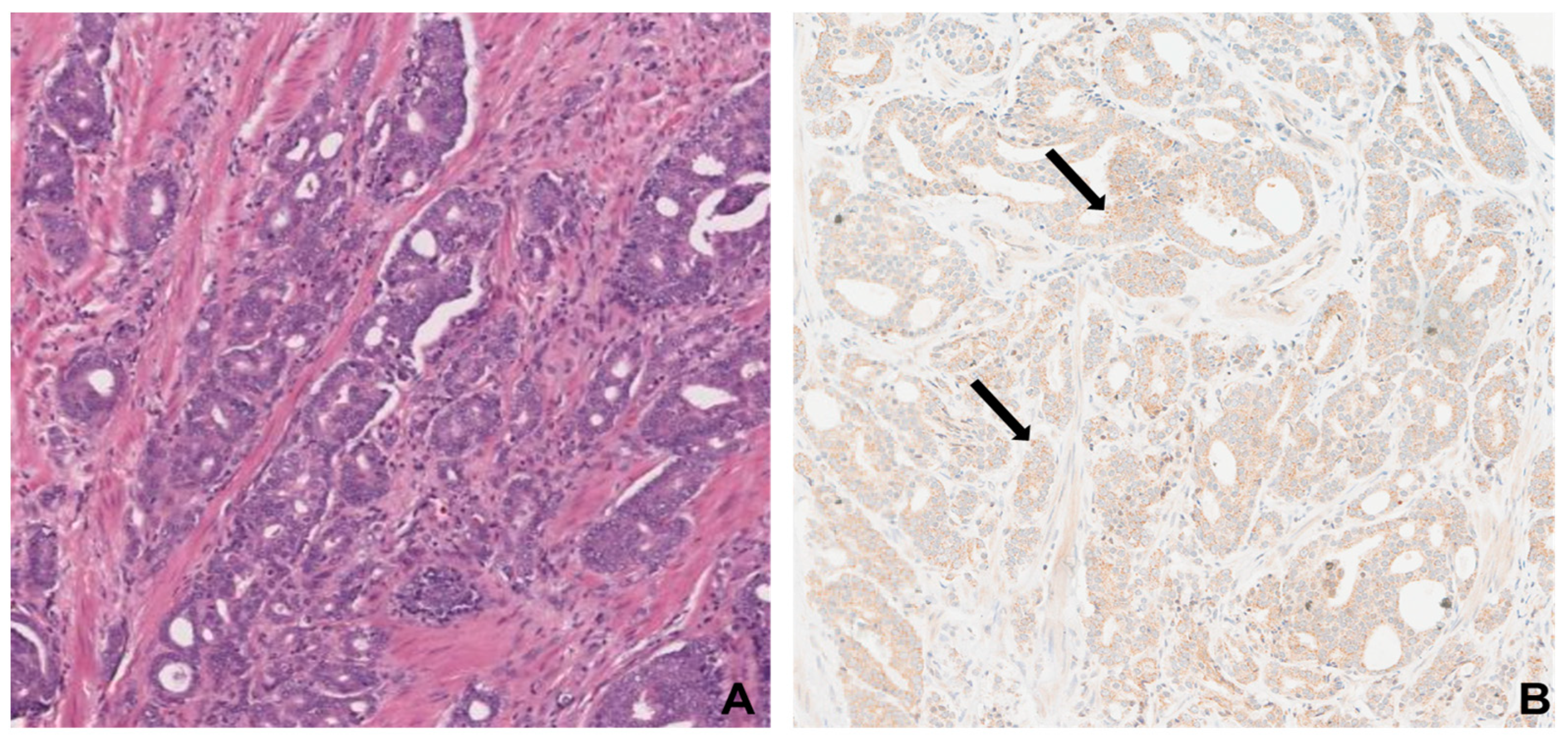
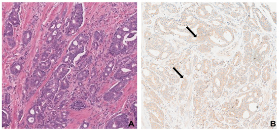
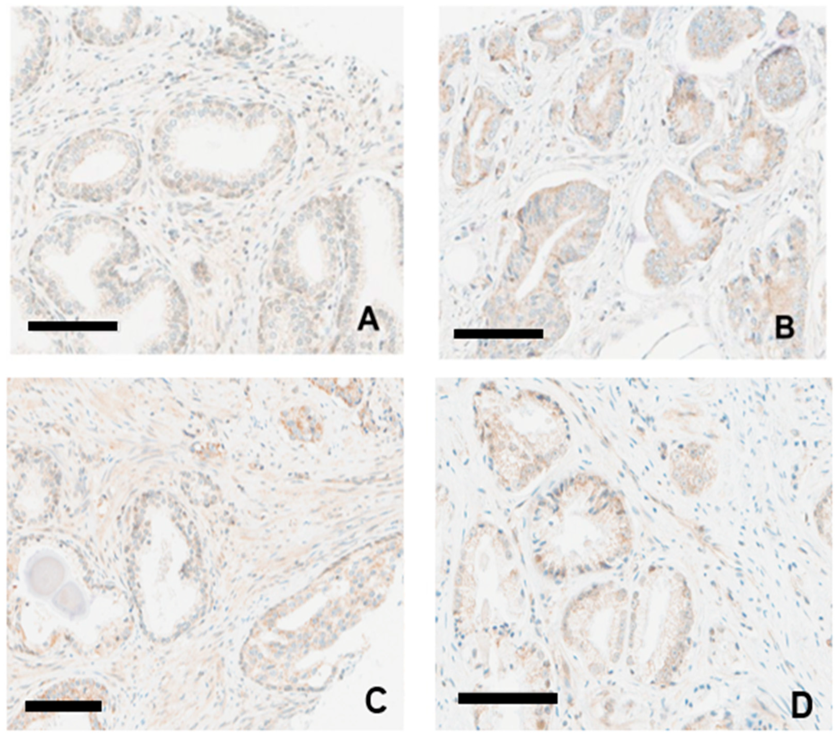
3.5. GASP-1 IHC Is Superior to Conventional H&E Stain in Identifying Prostate Cancer
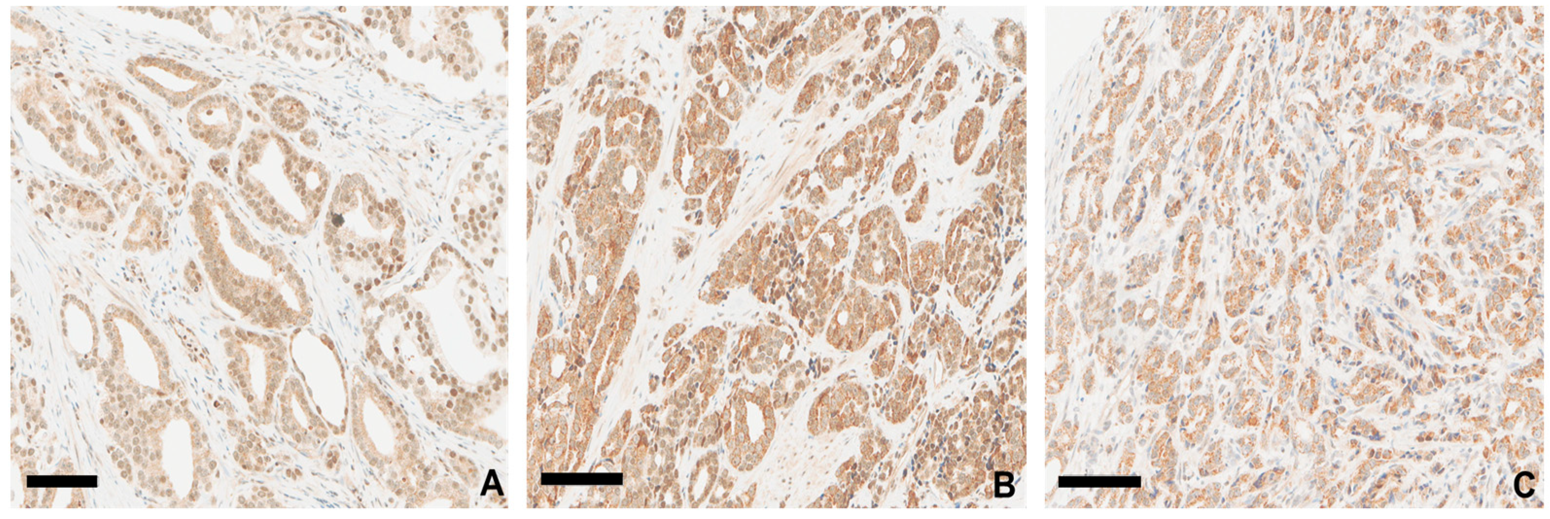
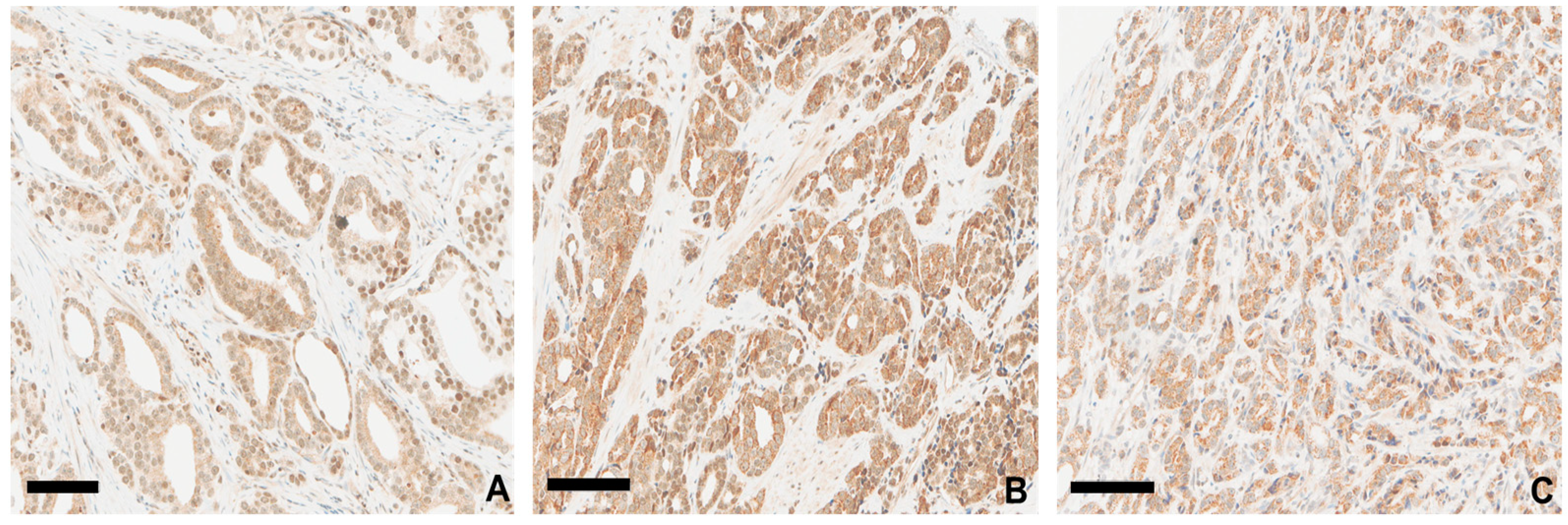
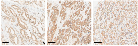
3.6. Continuous Overexpression of GASP-1 in Advanced Stages of Prostate Cancer
3.7. Color Segregation for Analysis of Progression of GASP-1 Granules
4. Discussion
5. Conclusions
Author Contributions
Funding
Institutional Review Board Statement
Informed Consent Statement
Data Availability Statement
Acknowledgments
Conflicts of Interest
References
- Guo, C.C.; Czerniak, B. Updates of Prostate Cancer from the 2022 World Health Organization Classification of the Urinary and Male Genital Tumors. J. Clin. Transl. Pathol. 2023, 3, 26–34. [Google Scholar] [CrossRef] [PubMed]
- McNally, C.J.; Ruddock, M.W.; Moore, T.; McKenna, D.J. Biomarkers That Differentiate Benign Prostatic Hyperplasia from Prostate Cancer: A Literature Review. Cancer Manag. Res. 2020, 12, 5225–5241. [Google Scholar] [CrossRef]
- Chung, J.H.; Yu, J.; Song, W.; Kang, M.; Sung, H.H.; Jeon, H.G.; Jeong, B.C.; Seo, S.I.; Lee, H.M.; Jeon, S.S. Strategy for Prostate Cancer Patients with Low Prostate Specific Antigen Level (2.5 to 4.0 ng/mL). J. Korean Med. Sci. 2020, 35, e342. [Google Scholar] [CrossRef]
- Babaian, R.; Fritsche, H.; Ayala, A.; Bhadkamkar, V.; Johnston, D.; Naccarato, W.; Zhang, Z. Performance of a neural network in detecting prostate cancer in the prostate-specific antigen reflex range of 2.5 to 4.0 ng/mL. Urology 2000, 56, 1000–1006. [Google Scholar] [CrossRef]
- Balk, S.P.; Ko, Y.-J.; Bubley, G.J. Biology of Prostate-Specific Antigen. J. Clin. Oncol. 2003, 21, 383–391. [Google Scholar] [CrossRef]
- Raja, N.; Russell, C.M.; George, A.K. Urinary markers aiding in the detection and risk stratification of prostate cancer. Transl. Androl. Urol. 2018, 7, S436–S442. [Google Scholar] [CrossRef]
- Ng, M.; Baradhi, K. Benign Prostatic Hyperplasia. National Library of Medicine. 2022. Available online: https://www.ncbi.nlm.nih.gov/books/NBK558920/ (accessed on 4 December 2023).
- Dai, X.; Fang, X.; Ma, Y.; Xianyu, J. Benign Prostatic Hyperplasia and the Risk of Prostate Cancer and Bladder Cancer: A Meta-Analysis of Observational Studies. Medicine 2016, 95, e3493. [Google Scholar] [CrossRef]
- Lawrence, M.G.; Porter, L.H.; Clouston, D.; Murphy, D.G.; Frydenberg, M.; Taylor, R.A.; Risbridger, G.P. Knowing what’s growing: Why ductal and intraductal prostate cancer matter. Sci. Transl. Med. 2020, 12, eaaz0152. [Google Scholar] [CrossRef]
- Montironi, R.; Cheng, L.; Cimadamore, A.; Mazzucchelli, R.; Scarpelli, M.; Santoni, M.; Massari, F.; Lopez-Beltran, A. Narrative review of prostate cancer grading systems: Will the Gleason scores be replaced by the Grade Groups? Transl. Androl. Urol. 2021, 10, 1530–1540. [Google Scholar] [CrossRef]
- Pantazopoulos, H.; Diop, M.-K.; Grosset, A.-A.; Rouleau-Gagné, F.; Al-Saleh, A.; Boblea, T.; Trudel, D. Intraductal Carcinoma of the Prostate as a Cause of Prostate Cancer Metastasis: A Molecular Portrait. Cancers 2022, 14, 820. [Google Scholar] [CrossRef]
- Swanson, G.P.; Kingman, A.T.; Shaver, C.N.; Maldonado, Y.M.; Reilly, T.P. High Grade Prostatic Intraepithelial Neoplasia and the Risk of Prostate Cancer. Open J. Urol. 2018, 8, 67–76. [Google Scholar] [CrossRef]
- Bostwick, D.G.; Liu, L.; Brawer, M.K.; Qian, J. High-Grade Prostatic Intraepithelial Neoplasia. Mod. Pathol. 2004, 17, 360–379. [Google Scholar] [CrossRef] [PubMed]
- Chang, F.; Tuszynski, G.P. G Protein Coupled Receptor-Associated Sorting Protein 1 (GASP-1) Granule as a Cancer Invasion and Progression Biomarker. Br. J. Cancer Res. 2020, 3, 349–356. [Google Scholar] [CrossRef]
- Tuszynski, G.P.; Rothman, V.L.; Zheng, X.; Gutu, M.; Zhang, X.; Chang, F. G-protein coupled receptor-associated sorting protein 1 (GASP-1), a potential biomarker in breast cancer. Exp. Mol. Pathol. 2011, 91, 608–613. [Google Scholar] [CrossRef]
- Zheng, X.; Chang, F.; Zhang, X.; Rothman, V.L.; Tuszynski, G.P. G-protein coupled receptor-associated sorting protein 1 (GASP-1), a ubiquitous tumor marker. Exp. Mol. Pathol. 2012, 93, 111–115. [Google Scholar] [CrossRef]
- Zheng, X.; Chang, F.; Rong, Y.; Tuszynski, G.P. G-protein coupled receptor-associated sorting protein 1 (GASP-1), a ubiquitous tumor marker, promotes proliferation and invasion of triple negative breast cancer. Exp. Mol. Pathol. 2022, 125, 104751. [Google Scholar] [CrossRef]
- Rong, Y.; Torres-Luna, C.; Tuszynski, G.; Siderits, R.; Chang, F.N. Differentiating Thyroid Follicular Adenoma from Follicular Carcinoma via G-Protein Coupled Receptor-Associated Sorting Protein 1 (GASP-1). Cancers 2023, 15, 3404. [Google Scholar] [CrossRef]
- Chang, F.N.; Yonan, C. System and Methods for Electrophoretic Separation of Proteins on Protein Binding Membranes. U.S. Patent 7,326,326, 5 February 2008. [Google Scholar]
- Epstein, J.; Egevad, L.; Amin, M.; Delahunt, B.; Srigley, J.; Humphrey, P. Grading Committee The 2014 International Society of Urological Pathology (ISUP) consensus conference on Gleason grading of prostatic carcinoma: Definition of grading patterns and proposal for a new grading system. Am. J. Surg. Pathol. 2016, 40, 244–252. [Google Scholar] [CrossRef]
- WHO Classification of Tumors Editorial Board. WHO Urinary and Male Genital Tumours, 5th ed.; International Agency for Research on Cancer: Lyon, France, 2022. [Google Scholar]
- Bankhead, P.; Loughrey, M.B.; Fernández, J.A.; Dombrowski, Y.; McArt, D.G.; Dunne, P.D.; McQuaid, S.; Gray, R.T.; Murray, L.J.; Coleman, H.G.; et al. QuPath: Open source software for digital pathology image analysis. Sci. Rep. 2017, 7, 16878. [Google Scholar] [CrossRef]
- Ruifrok, A.C. Quantification of histochemical staining by color deconvolution. Anal. Quant. Cytol. Histol. 2001, 23, 291–299. [Google Scholar]
- Van Der Walt, S.; Schönberger, J.L.; Nunez-Iglesias, J.; Boulogne, F.; Warner, J.D.; Yager, N.; Gouillart, E.; Yu, T. Scikit-image: Image processing in Python. PeerJ 2014, 2, e453. [Google Scholar] [CrossRef] [PubMed]
- Berges, R.; Vukanovic, J.; Epstein, J.; CarMichel, M.; Cisek, L.; Johnson, D.; Veltri, R.; Walsh, P.; Isaacs, J. Implication of cell kinetic changes during the progression of human prostatic cancer. Clin. Cancer Res. 1995, 1, 473–480. [Google Scholar] [PubMed]
- Merriel, S.W.D.; Pocock, L.; Gilbert, E.; Creavin, S.; Walter, F.M.; Spencer, A.; Hamilton, W. Systematic review and meta-analysis of the diagnostic accuracy of prostate-specific antigen (PSA) for the detection of prostate cancer in symptomatic patients. BMC Med. 2022, 20, 54. [Google Scholar] [CrossRef]
- Tidd-Johnson, A.; Sebastian, S.A.; Co, E.L.; Afaq, M.; Kochhar, H.; Sheikh, M.; Mago, A.; Poudel, S.; Fernandez, J.A.; Rodriguez, I.D.; et al. Prostate cancer screening: Continued controversies and novel biomarker advancements. Curr. Urol. 2022, 16, 197–206. [Google Scholar] [CrossRef] [PubMed]
- Klotz, L. Prostate cancer overdiagnosis and overtreatment. Curr. Opin. Endocrinol. Diabetes Obes. 2013, 20, 204–209. [Google Scholar] [CrossRef] [PubMed]
- Leyten, G.; Hessels, D.; Jannink, S.; Smit, F.; de Jong, H.; Cornel, E.; de Reijke, T.; Vergunst, H.; Kil, P.; Knipscheer, B.; et al. Prospective multicentre evaluation of PCA3 and TMPRSS2-ERG gene fusions as diagnostic and prognostic urinary biomarkers for prostate cancer. Eur. Urol. 2014, 65, 534–542. [Google Scholar] [CrossRef]
- Boegemann, M.; Stephan, C.; Cammann, H.; Vincendeau, S.; Houlgatte, A.; Jung, K.; Blanchet, J.; Semjonow, A. The percentage of prostate-specific antigen (PSA) isoform [–2]pro PSA and the Prostate Health Index improve the diagnostic accuracy for clinically relevant prostate cancer at initial and repeat biopsy compared with total PSA and percentage free PSA in men aged ≤65 years. BJU Int. 2016, 117, 72–79. [Google Scholar] [CrossRef]
- Tan, G.H.; Nason, G.; Ajib, K.; Woon, D.T.S.; Herrera-Caceres, J.; Alhunaidi, O.; Perlis, N. Smarter screening for prostate cancer. World J. Urol. 2019, 37, 991–999. [Google Scholar] [CrossRef]
- Osses, D.; Roobol, M.; Schoots, I. Prediction Medicine: Biomarkers, Risk Calculators and Magnetic Resonance Imaging as Risk Stratification Tools in Prostate Cancer Diagnosis. Int. J. Mol. Sci. 2019, 20, 1637. [Google Scholar] [CrossRef]
- Torabinejad, S.; Miro, C.; Barone, B.; Imbimbo, C.; Crocetto, F.; Dentice, M. The androgen-thyroid hormone crosstalk in prostate cancer and the clinical implications. Eur. Thyroid J. 2023, 12, e220228. [Google Scholar] [CrossRef]
- La Civita, E.; Liotti, A.; Cennamo, M.; Crocetto, F.; Ferro, M.; Liguoro, P.; Cimmino, A.; Imbimbo, C.; Beguinot, F.; Formisano, P.; et al. Peri-Prostatic Adipocyte-Released TGFβ Enhances Prostate Cancer Cell Motility by Upregulation of Connective Tissue Growth Factor. Biomedicines 2021, 9, 1692. [Google Scholar] [CrossRef]







Disclaimer/Publisher’s Note: The statements, opinions and data contained in all publications are solely those of the individual author(s) and contributor(s) and not of MDPI and/or the editor(s). MDPI and/or the editor(s) disclaim responsibility for any injury to people or property resulting from any ideas, methods, instructions or products referred to in the content. |
© 2024 by the authors. Licensee MDPI, Basel, Switzerland. This article is an open access article distributed under the terms and conditions of the Creative Commons Attribution (CC BY) license (https://creativecommons.org/licenses/by/4.0/).
Share and Cite
Torres-Luna, C.; Wei, S.; Bhattiprolu, S.; Tuszynski, G.; Rothman, V.L.; McNulty, D.; Yang, J.; Chang, F.N. G-Protein-Coupled Receptor-Associated Sorting Protein 1 Overexpression Is Involved in the Progression of Benign Prostatic Hyperplasia, Early-Stage Prostatic Malignant Diseases, and Prostate Cancer. Cancers 2024, 16, 3659. https://doi.org/10.3390/cancers16213659
Torres-Luna C, Wei S, Bhattiprolu S, Tuszynski G, Rothman VL, McNulty D, Yang J, Chang FN. G-Protein-Coupled Receptor-Associated Sorting Protein 1 Overexpression Is Involved in the Progression of Benign Prostatic Hyperplasia, Early-Stage Prostatic Malignant Diseases, and Prostate Cancer. Cancers. 2024; 16(21):3659. https://doi.org/10.3390/cancers16213659
Chicago/Turabian StyleTorres-Luna, Cesar, Shuanzeng Wei, Sreenivas Bhattiprolu, George Tuszynski, Vicki L. Rothman, Declan McNulty, Jeff Yang, and Frank N. Chang. 2024. "G-Protein-Coupled Receptor-Associated Sorting Protein 1 Overexpression Is Involved in the Progression of Benign Prostatic Hyperplasia, Early-Stage Prostatic Malignant Diseases, and Prostate Cancer" Cancers 16, no. 21: 3659. https://doi.org/10.3390/cancers16213659
APA StyleTorres-Luna, C., Wei, S., Bhattiprolu, S., Tuszynski, G., Rothman, V. L., McNulty, D., Yang, J., & Chang, F. N. (2024). G-Protein-Coupled Receptor-Associated Sorting Protein 1 Overexpression Is Involved in the Progression of Benign Prostatic Hyperplasia, Early-Stage Prostatic Malignant Diseases, and Prostate Cancer. Cancers, 16(21), 3659. https://doi.org/10.3390/cancers16213659
