Non-Invasive Imaging Including Line-Field Confocal Optical Coherence Tomography (LC-OCT) for Diagnosis of Cutaneous Lymphomas
Simple Summary
Abstract
1. Introduction
2. Materials and Methods
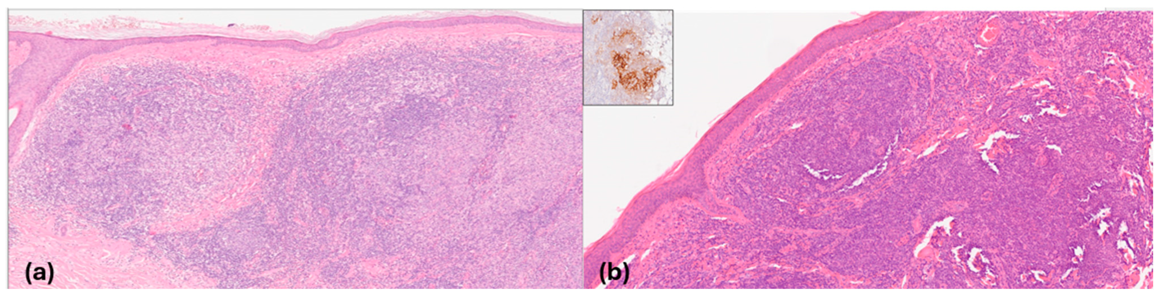
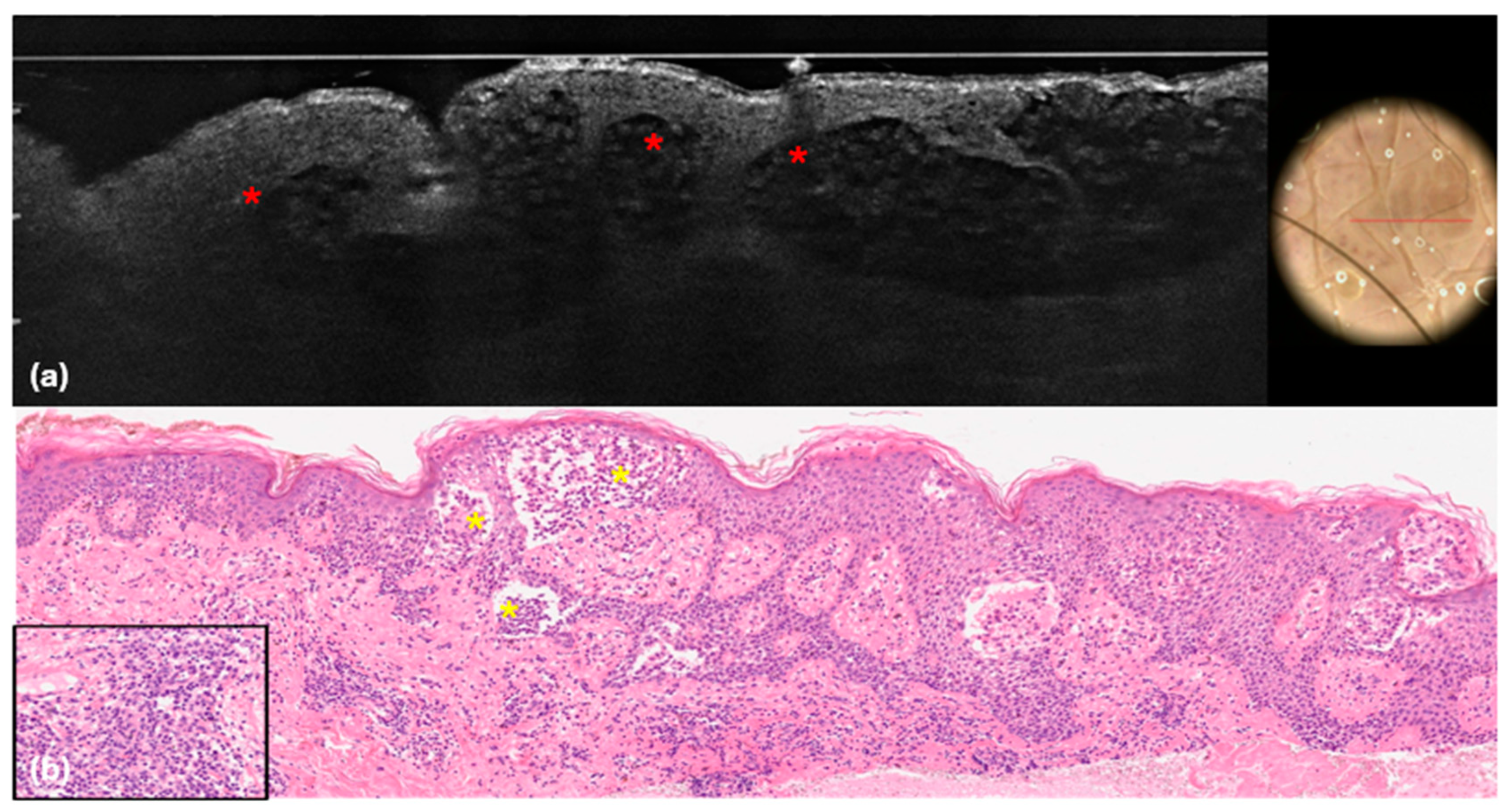
3. Results
4. Discussion
5. Conclusions
Supplementary Materials
Author Contributions
Funding
Institutional Review Board Statement
Informed Consent Statement
Data Availability Statement
Conflicts of Interest
References
- Kempf, W.; Mitteldorf, C.; Cerroni, L.; Willemze, R.; Berti, E.; Guenova, E.; Scarisbrick, J.J.; Battistella, M. Classifications of cutaneous lymphomas and lymphoproliferative disorders: An update from the EORTC cutaneous lymphoma histopathology group. J. Eur. Acad. Dermatol. Venereol. 2024, 38, 1491–1503. [Google Scholar] [CrossRef] [PubMed]
- Stoll, J.R.; Willner, J.; Oh, Y.; Pulitzer, M.; Moskowitz, A.; Horwitz, S.; Myskowski, P.; Noor, S.J. Primary cutaneous T-cell lymphomas other than mycosis fungoides and Sezary syndrome. Part I: Clinical and histologic features and diagnosis. J. Am. Acad. Dermatol. 2021, 85, 1073–1090. [Google Scholar] [CrossRef]
- Hristov, A.C.; Tejasvi, T.; Ryan, A.W. Cutaneous T-cell lymphomas: 2021 update on diagnosis, risk-stratification, and management. Am. J. Hematol. 2021, 96, 1313–1328. [Google Scholar] [CrossRef]
- Glass, L.F.; Keller, K.L.; Messina, J.L.; Dalton, J.; Yag-Howard, C.; Fenske, N.A. Cutaneous T-cell Lymphoma. Cancer Control 1998, 5, 11–18. [Google Scholar] [CrossRef]
- Agar, N.S.; Wedgeworth, E.; Crichton, S.; Mitchell, T.J.; Cox, M.; Ferreira, S.; Robson, A.; Calonje, E.; Stefanato, C.M.; Wain, E.M.; et al. Survival outcomes and prognostic factors in mycosis fungoides/Sezary syndrome: Validation of the revised International Society for Cutaneous Lymphomas/European Organisation for Research and Treatment of Cancer staging proposal. J. Clin. Oncol. 2010, 28, 4730–4739. [Google Scholar] [CrossRef]
- Pulitzer, M. Cutaneous T-cell Lymphoma. Clin. Lab. Med. 2017, 37, 527–546. [Google Scholar] [CrossRef] [PubMed]
- Hoppe, R.T.; Wood, G.S.; Abel, E.A. Mycosis fungoides and the Sezary syndrome: Pathology, staging, and treatment. Curr. Probl. Cancer. 1990, 14, 293–371. [Google Scholar] [CrossRef] [PubMed]
- Hodak, E.; Geskin, L.; Guenova, E.; Ortiz-Romero, P.L.; Willemze, R.; Zheng, J.; Cowan, R.; Foss, F.; Mangas, C.; Querfeld, C. Real-Life Barriers to Diagnosis of Early Mycosis Fungoides: An International Expert Panel Discussion. Am. J. Clin. Dermatol. 2023, 24, 5–14. [Google Scholar] [CrossRef]
- Hristov, A.C.; Tejasvi, T.; Wilcox, R.A. Cutaneous B-cell lymphomas: 2023 update on diagnosis, risk-stratification, and management. Am. J. Hematol. 2023, 98, 1326–1332. [Google Scholar] [CrossRef]
- Laurent, C.; Cook, J.R.; Yoshino, T.; Quintanilla-Martinez, L.; Jaffe, E.S. Follicular lymphoma and marginal zone lymphoma: How many diseases? Virchows Arch. 2023, 482, 149–162. [Google Scholar] [CrossRef]
- Villasenor-Park, J.; Chung, J.; Kim, E.J. Cutaneous B-Cell Lymphomas. Hematol. Oncol. Clin. N. Am. 2024, 38, 1111–1131. [Google Scholar] [CrossRef] [PubMed]
- Scarisbrick, J.J.; Quaglino, P.; Prince, H.M.; Papadavid, E.; Hodak, E.; Bagot, M.; Servitje, O.; Berti, E.; Ortiz-Romero, P.; Stadler, R.; et al. The PROCLIPI international registry of early-stage mycosis fungoides identifies substantial diagnostic delay in most patients. Br. J. Dermatol. 2019, 181, 350–357. [Google Scholar] [CrossRef] [PubMed]
- Stevens, S.R.; Ke, M.S.; Parry, E.J.; Mark, J.; Cooper, K.D. Quantifying skin disease burden in mycosis fungoides-type cutaneous T-cell lymphomas: The severity-weighted assessment tool (SWAT). Arch. Dermatol. 2002, 138, 42–48. [Google Scholar] [CrossRef] [PubMed]
- Pavlotsky, F.; Hodak, E.; Dawood, M.; Barzilai, A. Stage IA mycosis fungoides should be treated until proven otherwise. J. Am. Acad. Dermatol. 2020, 82, e19–e20. [Google Scholar] [CrossRef]
- Amitay-Laish, I.; Guenova, E.; Ortiz-Romero, P.L.; Cristina, V.A.; Rozati, S.; Geskin, L.J.; Nikolaou, V.; Papadavid, E.; Barzilai, A.; Pavlovsky, L.; et al. The Course of Mycosis Fungoides under Cytokine Pathway Blockers: A Multicentre Analysis of Real-life Clinical Data. Acta Derm. Venereol. 2020, 100, adv00277. [Google Scholar] [CrossRef]
- D’Onghia, M.; Cartocci, A.; Calabrese, L.; Maio, D.; Sirchio, A.; Erasti, M.; Tognetti, L.; Rubegni, P.; Bocchia, M.; Cencini, E.; et al. Characteristics of Primary Cutaneous Lymphoma in Italy: A Tertiary Care, Single-Center Study. Curr. Oncol. 2023, 30, 9813–9823. [Google Scholar] [CrossRef]
- Zic, J.A. Diagnosis and Management of Cutaneous Lymphomas Including Cutaneous T-cell Lymphoma. Med. Clin. N. Am. 2021, 105, 737–755. [Google Scholar] [CrossRef] [PubMed]
- Heibel, H.D.; Hooey, L.; Cockerell, C.J. A Review of Noninvasive Techniques for Skin Cancer Detection in Dermatology. Am. J. Clin. Dermatol. 2020, 21, 513–524. [Google Scholar] [CrossRef]
- Slawinska, M.; Sokolowska-Wojdylo, M.; Olszewska, B.; Nowicki, R.J.; Sobjanek, M.; Zalaudek, I. Dermoscopic and trichoscopic features of primary cutaneous lymphomas—Systematic review. J. Eur. Acad. Dermatol. Venereol. 2021, 35, 1470–1484. [Google Scholar] [CrossRef]
- Taleb, E.; Yelamos, O.; Ardigo, M.; Christensen, R.E.; Geller, S. Non-invasive Skin Imaging in Cutaneous Lymphomas. Am. J. Clin. Dermatol. 2024, 25, 79–89. [Google Scholar] [CrossRef]
- Ruini, C.; Schuh, S.; Sattler, E.; Welzel, J. Line-field confocal optical coherence tomography-Practical applications in dermatology and comparison with established imaging methods. Skin Res. Technol. 2021, 27, 340–352. [Google Scholar] [CrossRef] [PubMed]
- Chauvel-Picard, J.; Bérot, V.; Tognetti, L.; Orte Cano, C.; Fontaine, M.; Lenoir, C.; Pérez-Anker, J.; Puig, S.; Dubois, A.; Forestier, S.; et al. Line-field confocal optical coherence tomography as a tool for three-dimensional in vivo quantification of healthy epidermis: A pilot study. J. Biophotonics. 2022, 15, e202100236. [Google Scholar] [CrossRef]
- Ruini, C.; Schuh, S.; Gust, C.; Kendziora, B.; Frommherz, L.; French, L.E.; Hartmann, D.; Welzel, J.; Sattler, E. Line-field optical coherence tomography: In vivo diagnosis of basal cell carcinoma subtypes compared with histopathology. Clin. Exp. Dermatol. 2021, 46, 1471–1481. [Google Scholar] [CrossRef]
- Cappilli, S.; Paradisi, A.; Di Stefani, A.; Palmisano, G.; Pellegrino, L.; D’Onghia, M.; Ricci, C.; Tognetti, L.; Verzì, A.E.; Rubegni, P.; et al. Line-Field Confocal Optical Coherence Tomography: A New Skin Imaging Technique Reproducing a “Virtual Biopsy” with Evolving Clinical Applications in Dermatology. Diagnostics 2024, 14, 1821. [Google Scholar] [CrossRef] [PubMed]
- Errichetti, E.; Geller, S.; Zalaudek, I.; Longo, C.; Kyrgidis, A.; Akay, B.N.; Piccolo, V.; Myskowski, P.; Vitiello, P.; Russo, T.; et al. Dermatoscopy of nodular/plaque-type primary cutaneous T- and B-cell lymphomas: A retrospective comparative study with pseudolymphomas and tumoral/inflammatory mimickers by the International Dermoscopy Society. J. Am. Acad. Dermatol. 2022, 86, 774–781. [Google Scholar] [CrossRef]
- Errichetti, E.; Apalla, Z.; Geller, S.; Sławińska, M.; Kyrgidis, A.; Kaminska-Winciorek, G.; Jurakic Toncic, R.; Bobos, M.; Rados, J.; Ledic Drvar, D.; et al. Dermoscopic spectrum of mycosis fungoides: A retrospective observational study by the International Dermoscopy Society. J. Eur. Acad. Dermatol. Venereol. 2022, 36, 1045–1053. [Google Scholar] [CrossRef]
- Laghi, A.; Lee, C.; Witkowski, A.; Hsu, M.; Pellacani, G.; Ludzik, J. The role of dermatoscopy and reflectance confocal microscopy in the assessment of relapsing secondary cutaneous follicular B-cell lymphoma. JAAD Case Rep. 2022, 24, 91–93. [Google Scholar] [CrossRef]
- Lange-Asschenfeldt, S.; Babilli, J.; Beyer, M.; Ríus-Diaz, F.; González, S.; Stockfleth, E.; Ulrich, M. Consistency and distribution of reflectance confocal microscopy features for diagnosis of cutaneous T cell lymphoma. J. Biomed. Opt. 2012, 17, 016001. [Google Scholar] [CrossRef] [PubMed]
- Melhoranse Gouveia, B.; Wells, J.; Kim, J.; Consuegra, G.; Longo, C.; Fernandez-Penas, P. Systematic review and proposal of an in vivo reflectance confocal microscopy assessment tool for cutaneous lymphoma. J. Cutan. Pathol. 2020, 47, 295–304. [Google Scholar] [CrossRef]
- Menzies, S.W. Evidence-based dermoscopy. Dermatol. Clin. 2013, 31, 521–524,vii. [Google Scholar] [CrossRef]
- Ungureanu, L.; Vasilovici, A.; Senila, S.C.; Cosgarea, I.; Boda, D. Dermoscopy in the diagnosis of cutaneous lymphoma (Review). Exp. Ther. Med. 2022, 23, 377. [Google Scholar] [CrossRef] [PubMed]
- Bombonato, C.; Pampena, R.; Lallas, A.; Giovanni, P.; Longo, C. Dermoscopy of Lymphomas and Pseudolymphomas. Dermatol. Clin. 2018, 36, 377–388. [Google Scholar] [CrossRef] [PubMed]
- Soglia, S.; Perez-Anker, J.; Lobos Guede, N.; Giavedoni, P.; Puig, S.; Malvehy, J. Diagnostics Using Non-Invasive Technologies in Dermatological Oncology. Cancers 2022, 14, 5886. [Google Scholar] [CrossRef]
- Lallas, A.; Apalla, Z.; Lefaki, I.; Tzellos, T.; Karatolias, A.; Sotiriou, E.; Lazaridou, E.; Ioannides, D.; Zalaudek, I.; Argenziano, G. Dermoscopy of early stage mycosis fungoides. J. Eur. Acad. Dermatol. Venereol. 2013, 27, 617–621. [Google Scholar] [CrossRef]
- Mascolo, M.; Piccolo, V.; Argenziano, G.; Costa, C.; Lo Presti, M.; De Rosa, G.; Scalvenzi, M.; Staibano, S. Dermoscopy Pattern, Histopathology and Immunophenotype of Primary Cutaneous B-Cell Lymphoma Presenting as a Solitary Skin Nodule. Dermatology 2016, 232, 203–207. [Google Scholar] [CrossRef]
- Geller, S.; Marghoob, A.A.; Scope, A.; Braun, R.P.; Myskowski, P.L. Dermoscopy and the diagnosis of primary cutaneous B-cell lymphoma. J. Eur. Acad. Dermatol. Venereol. 2018, 32, 53–56. [Google Scholar] [CrossRef] [PubMed]
- Geller, S.; Rishpon, A.; Myskowski, P.L. Dermoscopy in folliculotropic mycosis fungoides-A possible mimicker of follicle-based inflammatory and infectious disorders. J. Am. Acad. Dermatol. 2019, 81, e75–e76. [Google Scholar] [CrossRef]
- Lboukili, I.; Stamatas, G.; Descombes, X. Automating reflectance confocal microscopy image analysis for dermatological research: A review. J. Biomed. Opt. 2022, 27, 070902. [Google Scholar] [CrossRef] [PubMed]
- Shahriari, N.; Grant-Kels, J.M.; Rabinovitz, H.; Oliviero, M.; Scope, A. Reflectance confocal microscopy: Principles, basic terminology, clinical indications, limitations, and practical considerations. J. Am. Acad. Dermatol. 2021, 84, 1–14. [Google Scholar] [CrossRef]
- Ilie, M.A.; Caruntu, C.; Lupu, M.; Lixandru, D.; Tampa, M.; Georgescu, S.R.; Bastian, A.; Constantin, C.; Neagu, M.; Zurac, S.A.; et al. Current and future applications of confocal laser scanning microscopy imaging in skin oncology. Oncol. Lett. 2019, 17, 4102–4111. [Google Scholar] [CrossRef]
- Broggi, G.; Verzi, A.E.; Caltabiano, R.; Micali, G.; Lacarrubba, F. Correlation Between In Vivo Reflectance Confocal Microscopy and Horizontal Histopathology in Skin Cancer: A Review. Front. Oncol. 2021, 11, 653140. [Google Scholar] [CrossRef] [PubMed]
- Agero, A.L.; Gill, M.; Ardigo, M.; Myskowski, P.; Halpern, A.C.; Gonzalez, S. In vivo reflectance confocal microscopy of mycosis fungoides: A preliminary study. J. Am. Acad. Dermatol. 2007, 57, 435–441. [Google Scholar] [CrossRef] [PubMed]
- Hoogedoorn, L.; Peppelman, M.; van de Kerkhof, P.C.; van Erp, P.E.; Gerritsen, M.J. The value of in vivo reflectance confocal microscopy in the diagnosis and monitoring of inflammatory and infectious skin diseases: A systematic review. Br. J. Dermatol. 2015, 172, 1222–1248. [Google Scholar] [CrossRef]
- Koller, S.; Gerger, A.; Ahlgrimm-Siess, V.; Weger, W.; Smolle, J.; Hofmann-Wellenhof, R. In vivo reflectance confocal microscopy of erythematosquamous skin diseases. Exp. Dermatol. 2009, 18, 536–540. [Google Scholar] [CrossRef]
- Mancebo, S.E.; Cordova, M.; Myskowski, P.L.; Flores, E.S.; Busam, K.; Jawed, S.I.; Skripnik, A.; Rajadhyaksha, M.; Querfeld, C. Reflectance confocal microscopy features of mycosis fungoides and Sezary syndrome: Correlation with histopathologic and T-cell receptor rearrangement studies. J. Cutan. Pathol. 2016, 43, 505–515. [Google Scholar] [CrossRef]
- Navarrete-Dechent, C.; Liopyris, K.; Monnier, J.; Aleissa, S.; Boyce, L.M.; Longo, C.; Oliviero, M.; Rabinovitz, H.; Marghoob, A.A.; Halpern, A.C.; et al. Reflectance confocal microscopy terminology glossary for melanocytic skin lesions: A systematic review. J. Am. Acad. Dermatol. 2021, 84, 102–119. [Google Scholar] [CrossRef] [PubMed]
- Kerl, H.; Cerroni, L. Primary cutaneous B-cell lymphomas: Then and now. J. Cutan. Pathol. 2006, 33 (Suppl. S1), 1–5. [Google Scholar] [CrossRef]
- Kim, D.H.; Medeiros, L.J.; Aung, P.P.; Young, K.H.; Miranda, R.N.; Ok, C.Y. Mantle Cell Lymphoma Involving Skin: A Clinicopathologic Study of 37 Cases. Am. J. Surg. Pathol. 2019, 43, 1421–1428. [Google Scholar] [CrossRef]
- Gonzalez, S.; Sanchez, V.; Gonzalez-Rodriguez, A.; Parrado, C.; Ullrich, M. Confocal microscopy patterns in nonmelanoma skin cancer and clinical applications. Actas Dermosifiliogr. 2014, 105, 446–458. [Google Scholar] [CrossRef]
- Melhoranse Gouveia, B.; Wells, J.; Kim, J.; Collgros, H.; Guitera, P.; Longo, C.; Fernandez-Penas, P. Reflectance confocal microscopy role in mycosis fungoides follow-up. Skin Res. Technol. 2021, 27, 414–421. [Google Scholar] [CrossRef]
- Fabbrocini, G.; Mazzella, C.; Cantelli, M.; Baldo, A.; Russo, D.; De Rosa, G.; Monfrecola, G. Reflectance Confocal Microscopy as New Diagnostic Tool in Folliculotropic Mycosis Fungoides. Skin Appendage Disord. 2018, 4, 118–121. [Google Scholar] [CrossRef] [PubMed]










| CTCL |
|---|
| Epidermis |
| Parakeratosis Small hypo-reflective areas corresponding to cell nuclei are visible inside keratinocytes of the stratum corneum. |
| Hyperkeratosis Stratum corneum thicker than 20 μm. It is measured on a stack in RCM and on a vertical section in LC-OCT. |
| Epidermal thickness Variation in thickness of epidermis (normal; atrophy; acanthosis). It is measured on a stack in RCM and on a vertical section in LC-OCT. |
| Epidermal architecture Atypical epidermis: variation in shape and size of epidermal keratinocytes (irregular honeycomb pattern) in RCM and of nuclei of epidermal keratinocytes in LC-OCT (normal, atypical, disarray). Disarray: disarranged epidermis. |
| Epidermotropism Hyper-reflective round cells 5 to 10 μm in diameter inside the epidermis. |
| Pautrier’s microabscesses Hypo-reflective roundish areas in the epidermis with hyper-reflective small round cells inside. |
| Spongiosis Hypo-reflective areas among epidermal keratinocytes with hyper-reflective small round cells inside. |
| Dendritic Cells Hyper-reflective stellate cells. |
| Erosion or ulceration Hypo-reflective areas with sharp borders and irregular contours in the upper part of the skin, filled with amorphous material and cellular debris. |
| DEJ |
| Interface dermatitis/non-edged papillae Not defined DEJ. |
| Junctional sparse lymphocytes Hyper-reflective round cells 5 to 10 μm in diameter at the DEJ. |
| Dermis |
| Blood vessel dilatation Elongated large hypo-reflective structures with possible visible blood cell flow inside the dermis. |
| Lymphocyte infiltration Hyper-reflective round cells 5 to 10 μm in diameter in the dermis. |
| Fibrosis Increased number of refractile fibrous bundles in RCM and increased refractivity of the dermis in LC-OCT. |
| Folliculotropism Hyper-reflective round cells 5 to 10 μm in diameter around hair follicles |
| CBCL |
| Blood vessel dilatation Elongated large hypo-reflective structures with possible visible blood cell flow inside the dermis. |
| Lymphocyte infiltration Well-defined hypo-reflective areas filled with hyper-reflective round cells 5 to 10 μm in diameter inside of the dermis. At RCM these areas can be delineated by hyper-reflective collagen bundles. |
| Dermatoscopic Features | CBCL (n = 7) | CTCL (n = 29) |
|---|---|---|
| Vessels | ||
| Dotted | ||
| Uniform, n (%) | 0 | 10 (35.7) |
| Clustered, n (%) | 0 | 5 (17.9) |
| Linear, n (%) | 5 (71.4) | 4 (13.8) |
| Linear vessels with branches, n (%) | 2(28.5) | 0 |
| Linear curved (spermatozoa-like structures), n (%) | 0 | 7 (24.1) |
| White scale, n (%) | 1 (14.3) | 9 (31) |
| Yellow scale/crusts, n (%) | 0 | 2 (6.9) |
| White structureless patches, n (%) | 1 (14.4) | 3 (10.3) |
| Orange-yellow structureless areas, n (%) | 4 (57.1) | 0 |
| Bright red structureless areas, n (%) | 3 (42.9) | 2(6.9) |
| Pinkish structureless areas, n (%) | 2 (28.6) | 17 (58.6) |
| Ulceration, n (%) | 0 | 1 (3.4) |
| Shiny white structures (crystalline structures or chrysalis), n (%) | 3 (42.9) | 3 (10.3) |
| PCL Criteria | LC-OCT | RCM | p-Value |
|---|---|---|---|
| CTCL | |||
| Epidermis | |||
| Parakeratosis, n (%) | 14 (51.9) | 1 (5.6) | 0.003 |
| Hyperkeratosis, n (%) | 22 (84.6) | 2 (11.1) | <0.001 |
| Epidermal thickness | |||
| Normal, n (%) | 8 (30.8) | 17 (94.4) | Na |
| Atrophy, n (%) | 9 (34.6) | 1 (5.6) | |
| Acanthosis, n (%) | 9 (34.6) | 0 (0) | |
| Epidermal architecture | |||
| Normal, n(%) | 13 (50) | 6 (33.3) | 0.008 |
| Atypical, n (%) | 13 (50) | 12 (66.6) | |
| Epidermotropism, n (%) | 19 (73.1) | 13 (72.2) | 0.686 |
| Pautrier’s microabscesses, n (%) | 1 (3.8) | 4 (22.3) | 0.333 |
| Spongiosis, n (%) | 2 (7.7) | 4 (22.2) | 0.333 |
| Dendritic Cells, n (%) | 1 (3.8) | 6 (37.5) | 0.089 |
| Erosion/Ulceration, n (%) | 3 (11.1) | 0 | Na |
| DEJ | |||
| Interface dermatitis/non-edged papillae, n (%) | 7 (28) | 3 (16.7) | Na |
| Junctional lymphocytes, n (%) | 18 (66.7) | 10 (55.6) | 0.999 |
| Dermis | |||
| Blood vessels dilatation, n (%) | 21 (77.8) | 10 (58.8) | Na |
| Lymphocyte infiltration, n (%) | 14 (51.9) | 11 (61.1) | Na |
Disclaimer/Publisher’s Note: The statements, opinions and data contained in all publications are solely those of the individual author(s) and contributor(s) and not of MDPI and/or the editor(s). MDPI and/or the editor(s) disclaim responsibility for any injury to people or property resulting from any ideas, methods, instructions or products referred to in the content. |
© 2024 by the authors. Licensee MDPI, Basel, Switzerland. This article is an open access article distributed under the terms and conditions of the Creative Commons Attribution (CC BY) license (https://creativecommons.org/licenses/by/4.0/).
Share and Cite
D’Onghia, M.; Mendonça-Sanches, M.; Erasti, M.; Cartocci, A.; Calabrese, L.; Sirchio, A.; Tognetti, L.; Batsikosta, A.; Lazzi, S.; Suppa, M.; et al. Non-Invasive Imaging Including Line-Field Confocal Optical Coherence Tomography (LC-OCT) for Diagnosis of Cutaneous Lymphomas. Cancers 2024, 16, 3608. https://doi.org/10.3390/cancers16213608
D’Onghia M, Mendonça-Sanches M, Erasti M, Cartocci A, Calabrese L, Sirchio A, Tognetti L, Batsikosta A, Lazzi S, Suppa M, et al. Non-Invasive Imaging Including Line-Field Confocal Optical Coherence Tomography (LC-OCT) for Diagnosis of Cutaneous Lymphomas. Cancers. 2024; 16(21):3608. https://doi.org/10.3390/cancers16213608
Chicago/Turabian StyleD’Onghia, Martina, Maria Mendonça-Sanches, Maria Erasti, Alessandra Cartocci, Laura Calabrese, Azzurra Sirchio, Linda Tognetti, Anastasia Batsikosta, Stefano Lazzi, Mariano Suppa, and et al. 2024. "Non-Invasive Imaging Including Line-Field Confocal Optical Coherence Tomography (LC-OCT) for Diagnosis of Cutaneous Lymphomas" Cancers 16, no. 21: 3608. https://doi.org/10.3390/cancers16213608
APA StyleD’Onghia, M., Mendonça-Sanches, M., Erasti, M., Cartocci, A., Calabrese, L., Sirchio, A., Tognetti, L., Batsikosta, A., Lazzi, S., Suppa, M., Soglia, S., Malvehy, J., Perez-Anker, J., Cencini, E., Fabbri, A., Rubegni, P., & Cinotti, E. (2024). Non-Invasive Imaging Including Line-Field Confocal Optical Coherence Tomography (LC-OCT) for Diagnosis of Cutaneous Lymphomas. Cancers, 16(21), 3608. https://doi.org/10.3390/cancers16213608

