Blood Vessel Invasion Is an Independent Prognostic Factor in Endometrial Endometrioid Carcinoma Compared to Lymph Vessel Invasion and Myometrial Invasion Pattern
Abstract
Simple Summary
Abstract
1. Introduction
2. Materials and Methods
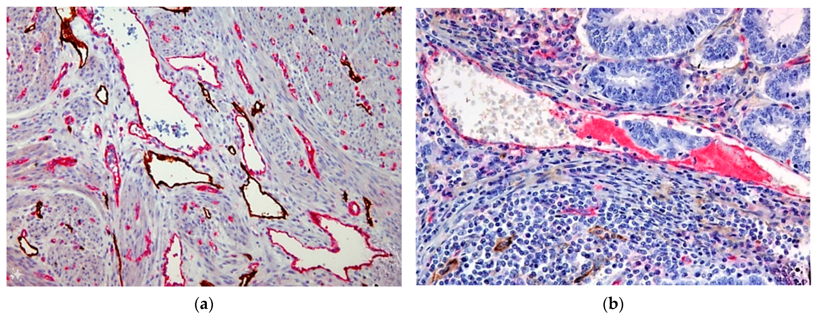
2.1. Immunohistochemistry
2.2. Statistical Analysis
3. Results
4. Discussion
5. Conclusions
Author Contributions
Funding
Institutional Review Board Statement
Informed Consent Statement
Data Availability Statement
Conflicts of Interest
References
- Sung, H.; Ferlay, J.; Siegel, R.L.; Laversanne, M.; Soerjomataram, I.; Jemal, A.; Bray, F. Global Cancer Statistics 2020: GLOBOCAN Estimates of Incidence and Mortality Worldwide for 36 Cancers in 185 Countries. CA Cancer J. Clin. 2021, 71, 209–249. [Google Scholar] [CrossRef] [PubMed]
- Sato, M.; Taguchi, A.; Fukui, Y.; Kawata, A.; Taguchi, S.; Kashiyama, T.; Eguchi, S.; Inoue, T.; Tomio, K.; Tanikawa, M.; et al. Blood Vessel Invasion Is a Strong Predictor of Postoperative Recurrence in Endometrial Cancer. Int. J. Gynecol. Cancer 2018, 28, 875–881. [Google Scholar] [CrossRef]
- Visser, N.C.M.; Werner, H.M.J.; Krakstad, C.; Mauland, K.K.; Trovik, J.; Massuger, L.F.A.G.; Nagtegaal, I.D.; Pijnenborg, J.M.A.; Salvesen, H.B.; Bulten, J.; et al. Type of vascular invasion in association with progress of endometrial cancer. APMIS 2017, 125, 1084–1091. [Google Scholar] [CrossRef]
- Kimyon Comert, G.; Basaran, D.; Ergin Akkoz, H.; Celik, B.; Sinaci, S.; Turkmen, O.; Karalok, A.; Kandemir, O.; Turan, T. Blood Vessel Invasion in Endometrial Cancer Is One of the Mechanisms of Spread to the Cervix. Pathol. Oncol. Res. 2019, 25, 1431–1436. [Google Scholar] [CrossRef] [PubMed]
- Williams, J.W.; Hirschowitz, L. Assessment of uterine wall thickness and position of the vascular plexus in the deep myometrium: Implications for the measurement of depth of myometrial invasion of endometrial carcinomas. Int. J. Gynecol. Pathol. 2006, 25, 59–64. [Google Scholar] [CrossRef]
- Ali, A.; Black, D.; Soslow, R.A. Difficulties in assessing the depth of myometrial invasion in endometrial carcinoma. Int. J. Gynecol. Pathol. 2007, 26, 115–123. [Google Scholar] [CrossRef]
- Cole, A.J.; Quick, C.M. Patterns of myoinvasion in endometrial adenocarcinoma: Recognition and implications. Adv. Anat. Pathol. 2013, 25, 141–147. [Google Scholar] [CrossRef]
- Concin, N.; Matias-Guiu, X.; Vergote, I.; Cibula, D.; Mirza, M.R.; Marnitz, S.; Ledermann, J.; Bosse, T.; Chargari, C.; Fagotti, A.; et al. ESGO/ESTRO/ESP guidelines for the management of patients with endometrial carcinoma. Int. J. Gynecol. Cancer 2021, 31, 12–39. [Google Scholar] [CrossRef]
- Berek, J.S.; Matias-Guiu, X.; Creutzberg, C.; Fotopoulou, C.; Gaffney, D.; Kehoe, S.; Lindemann, K.; Mutch, D.; Concin, N. FIGO staging of endometrial cancer: 2023. Int. J. Gynecol. Obstet. 2023, 162, 383–394. [Google Scholar] [CrossRef] [PubMed]
- Dogan, A.M.; Kir, G.; Topal, C.S.; Cetiner, H.; Gocmen, A. The association of the microcystic, elongated and fragmented (MELF) invasion pattern in endometrial carcinomas with deep myometrial invasion, lymphovascular space invasion and lymph node metastasis. J. Obstet. Gynaecol. 2015, 35, 397–402. [Google Scholar] [CrossRef]
- Pelletier, M.P.; Trinh, V.Q.; Stephenson, P.; Mes-Masson, A.M.; Samouelian, V.; Provencher, D.M.; Rahimi, K. Microcystic, elongated, and fragmented pattern invasion is mainly associated with isolated tumor cell pattern metastases in International Federation of Gynecology and Obstetrics grade I endometrioid endometrial cancer. Hum. Pathol. 2017, 62, 33–39. [Google Scholar] [CrossRef] [PubMed]
- Okcu, O.; Askan, G.; Sen, B.; Ozturk, C.; Duman Ozturk, S.; Fındık Guvendi, G. Prognositc Significance of Microcystic Elongated and Fragmanted (MELF) Myometrial Invasion Pattern: A Retrospective Study. Medeni. Med. J. 2022, 37, 212–219. [Google Scholar] [CrossRef] [PubMed]
- van den Heerik, A.S.V.M.; Aiyer, K.T.S.; Stelloo, E.; Jürgenliemk-Schulz, I.M.; Lutgens, L.C.H.W.; Jobsen, J.J.; Mens, J.W.M.; van der Steen-Banasik, E.M.; Creutzberg, C.L.; Smit, V.T.H.B.M.; et al. Microcystic elongated and fragmented (MELF) pattern of invasion: Molecular features and prognostic significance in the PORTEC-1 and -2 trials. Gynecol. Oncol. 2022, 166, 530–537. [Google Scholar] [CrossRef] [PubMed]
- Pavlakis, K.; Messini, I.; Vrekoussis, T.; Panoskaltsis, T.; Chrysanthakis, D.; Yiannou, P.; Voulgaris, Z. MELF invasion in endometrial cancer as a risk factor for lymph node metastasis. Histopathology 2011, 58, 966–973. [Google Scholar] [CrossRef] [PubMed]
- Euscher, E.; Fox, P.; Bassett, R.; Al-Ghawi, H.; Ali-Fehmi, R.; Barbuto, D.; Djordjevic, B.; Frauenhoffer, E.; Kim, I.; Hong, S.R.; et al. The pattern of myometrial invasion as a predictor of lymph node metastasis or extrauterine disease in low-grade endometrial carcinoma. Am. J. Surg. Pathol. 2013, 37, 1728–1736. [Google Scholar] [CrossRef] [PubMed]
- Murray, S.K.; Young, R.H.; Scully, R.E. Unusual epithelial and stromal changes in myoinvasive endometrioid adenocarcinoma: A study of their frequency, associated diagnostic problems, and prognostic significance. Int. J. Gynecol. Pathol. 2003, 22, 324–333. [Google Scholar] [CrossRef] [PubMed]
- Eriksson, L.S.E.; Nastic, D.; Frühauf, F.; Fischerova, D.; Nemejcova, K.; Bono, F.; Franchi, D.; Fruscio, R.; Ghioni, M.; Haak, L.A.; et al. Clinical and Ultrasound Characteristics of the Microcystic Elongated and Fragmented (MELF) Pattern in Endometrial Cancer According to the International Endometrial Tumor Analysis (IETA) criteria. Int. J. Gynecol. Cancer 2019, 29, 119–125. [Google Scholar] [CrossRef] [PubMed]
- Ozguli, N.; Talay, F.; Boyrazi, G.; Usubutun, A.; Akgori, U.; Gultekin, M.; Salmani, M.C. Clinical Significance of the MELF Pattern Myometrial Invasion in Low-Grade Endometrioid Type Endometrial Carcinoma. UHOD (Intern. J. Hematol. Oncol.) 2020, 30, 139–147. [Google Scholar]
- Segura, S.E.; Hoang, L.; Boros, M.; Terinte, C.; Pesci, A.; Aviel-Ronen, S.; Kiyokawa, T.; Alvarado-Cabrero, I.; Oliva, E.; Park, K.J.; et al. Clinicopathologic Association and Prognostic Value of MELF Pattern in Invasive Endocervical Adenocarcinoma (ECA) as Classified by IECC. Int. J. Gynecol. Pathol. 2020, 39, 436–442. [Google Scholar] [CrossRef]
- Song, J.; Li, H.; Guo, H.; Cai, Y. Microcystic, elongated and fragmented (MELF) pattern in endometrial carcinoma: Clinicopathologic analysis and prognostic implications. Medicine 2022, 101, e31369. [Google Scholar] [CrossRef]
- Raffone, A.; Travaglino, A.; Raimondo, D.; Neola, D.; Maletta, M.; Santoro, A.; Insabato, L.; Casadio, P.; Fanfani, F.; Zannoni, G.F.; et al. Lymphovascular space invasion in endometrial carcinoma: A prognostic factor independent from molecular signature. Gynecol. Oncol. 2022, 165, 192–197. [Google Scholar] [CrossRef] [PubMed]




| Features | All | MELF-Negative | MELF-Positive | p Value |
|---|---|---|---|---|
| Patients | 115 | 91 (79%) | 24 (21%) | |
| Age (years) Median (Range) | 62 (44–79) | 61 (46–76) | 63.5 (44–79) | |
| Myometrial invasion | N (%) | N (%) | N(%) | |
| <50% | 74 (64) | 66 (73) | 8 (33) | 0.0006 ± |
| ≥50% | 41 (36) | 25 (27) | 16 (67) | |
| Grade | ||||
| Low grade | 102 (89) | 80 (88) | 22 (92) | 0.044 ¶ |
| High grade | 13 (11) | 11 (12) | 2 (8) | |
| Lymph nodes | ||||
| Negative | 109 (95) | 87 (96) | 22 (92) | 0.603 ± |
| Positive | 6 (5) | 4 (4) | 2 (8) | |
| FIGO stage | ||||
| IA | 64 (56) | 59 (65) | 5 (21) | 0.0016 ¶ |
| IB | 31 (27) | 20 (22) | 11 (47) | |
| II | 11 (9) | 7 (8) | 4 (16) | |
| III and IV | 9 (8) | 5 (5) | 4 (16) | |
| T-stage | ||||
| 1a | 64 (56) | 59 (65) | 5 (21) | 0.0016 ¶ |
| 1b | 31 (27) | 20 (22) | 11 (46) | |
| 2 | 14 (12) | 8 (9) | 6 (25) | |
| 3 and 4 | 6 (5) | 4 (4) | 2 (8) | |
| LVSI | ||||
| negative | 63 (55) | 59 (65) | 4 (17) | 0.0001 ¶ |
| LVI positive | 35 (30) | 21 (23) | 14 (58) | |
| LVI + BVI positive | 17 (15) | 11 (12) | 6 (25) | |
| Site of recurrence | ||||
| No recurrence | 104 (90) | 83 (91) | 21 (88) | |
| Vagina + other site | 2 (2) | 2 (2) | 0 (0) | 0.495 ¶ |
| Metastasis other locations | 9 (8) | 6 (7) | 3 (12) | |
| Recurrence | ||||
| No | 104 (90) | 83 (91) | 21 (88) | 0.695 ± |
| Yes | 11 (10) | 8 (9) | 3 (12) | |
| Died of disease, N (%) | 12 (10) | 8 (9) | 4 (17) |
| Factor | N | Died of the Disease | % 5-Year Survival | Log-Rank Test (χ2-Test) p Value | |
|---|---|---|---|---|---|
| Age (years) | ≤62 | 64 | 5 | 96 | 0.268 |
| >62 | 51 | 7 | 90 | ||
| Grade | <0.0001 | ||||
| Low grade | 102 | 7 | 90 | ||
| High grade | 13 | 5 | 68 | ||
| FIGO stage | 1A | 64 | 1 | 98 | <0.0001 |
| 1B | 31 | 4 | 94 | ||
| 2 | 11 | 1 | 91 | ||
| 3 and 4 | 9 | 6 | 55 | ||
| pT stage | 1a | 64 | 1 | 98 | <0.0001 |
| 1b | 31 | 4 | 94 | ||
| 2 | 14 | 3 | 77 | ||
| 3 and 4 | 6 | 4 | 65 | ||
| LVSI | Negative | 63 | 1 | 98 | <0.0001 |
| LVI | 35 | 2 | 97 | ||
| LVI +BVI | 17 | 9 | 63 | ||
| Lymph nodes | Negative | 109 | 8 | 96 | <0.0001 |
| Positive | 6 | 4 | 50 | ||
| MELF | Absent | 91 | 8 | 94.5 | 0.211 |
| Present | 24 | 4 | 87 | ||
| Recurrence | No | 104 | 1 | 99 | <0.0001 |
| Yes | 11 | 11 | 50 | ||
| Predictor | OR | 95% CI | p Value |
|---|---|---|---|
| Age > 62 | 3.32 | 1.14–9.63 | 0.241 |
| FIGO | 3.64 | 1.55–8.52 | 0.0029 |
| LVI | 0.97 | 0.61–1.30 | 0.44 |
| LVI + BVI | 9.27 | 4.47–19.22 | <0.0001 |
Disclaimer/Publisher’s Note: The statements, opinions and data contained in all publications are solely those of the individual author(s) and contributor(s) and not of MDPI and/or the editor(s). MDPI and/or the editor(s) disclaim responsibility for any injury to people or property resulting from any ideas, methods, instructions or products referred to in the content. |
© 2024 by the authors. Licensee MDPI, Basel, Switzerland. This article is an open access article distributed under the terms and conditions of the Creative Commons Attribution (CC BY) license (https://creativecommons.org/licenses/by/4.0/).
Share and Cite
Eminović, S.; Babarović, E.; Klarić, M.; Fučkar Čupić, D. Blood Vessel Invasion Is an Independent Prognostic Factor in Endometrial Endometrioid Carcinoma Compared to Lymph Vessel Invasion and Myometrial Invasion Pattern. Cancers 2024, 16, 2385. https://doi.org/10.3390/cancers16132385
Eminović S, Babarović E, Klarić M, Fučkar Čupić D. Blood Vessel Invasion Is an Independent Prognostic Factor in Endometrial Endometrioid Carcinoma Compared to Lymph Vessel Invasion and Myometrial Invasion Pattern. Cancers. 2024; 16(13):2385. https://doi.org/10.3390/cancers16132385
Chicago/Turabian StyleEminović, Senija, Emina Babarović, Marko Klarić, and Dora Fučkar Čupić. 2024. "Blood Vessel Invasion Is an Independent Prognostic Factor in Endometrial Endometrioid Carcinoma Compared to Lymph Vessel Invasion and Myometrial Invasion Pattern" Cancers 16, no. 13: 2385. https://doi.org/10.3390/cancers16132385
APA StyleEminović, S., Babarović, E., Klarić, M., & Fučkar Čupić, D. (2024). Blood Vessel Invasion Is an Independent Prognostic Factor in Endometrial Endometrioid Carcinoma Compared to Lymph Vessel Invasion and Myometrial Invasion Pattern. Cancers, 16(13), 2385. https://doi.org/10.3390/cancers16132385

