Mutations in Homologous Recombination Genes and Loss of Heterozygosity Status in Advanced-Stage Breast Carcinoma †
Abstract
Simple Summary
Abstract
1. Introduction
2. Materials and Methods
2.1. Study Cohort and Clinical Data Collection
2.2. Histology
2.3. Comprehensive Genomic Profiling (CGP) by Next-Generation Sequencing
2.4. Treatment Effect of PARPi
2.5. Statistical Analysis
3. Results
3.1. Clinicopathological Features
3.2. Association between Pathologic Factors and HRD
3.3. Association between LOH and HRR Genes
3.4. Clinical Response of PARPi Therapy
4. Discussion
5. Conclusions
Supplementary Materials
Author Contributions
Funding
Institutional Review Board Statement
Informed Consent Statement
Data Availability Statement
Acknowledgments
Conflicts of Interest
References
- Breast Cancer Association Consortium; Dorling, L.; Carvalho, S.; Allen, J.; Gonzalez-Neira, A.; Luccarini, C.; Wahlström, C.; Pooley, K.A.; Parsons, M.T.; Fortuno, C.; et al. Breast Cancer Risk Genes—Association Analysis in More than 113,000 Women. N. Engl. J. Med. 2021, 384, 428–439. [Google Scholar]
- Hu, C.; Hart, S.N.; Gnanaolivu, R.; Huang, H.; Lee, K.Y.; Na, J.; Gao, C.; Lilyquist, J.; Yadav, S.; Boddicker, N.J.; et al. A Population-Based Study of Genes Previously Implicated in Breast Cancer. N. Engl. J. Med. 2021, 384, 440–451. [Google Scholar] [CrossRef]
- Chen, H.; Wu, J.; Zhang, Z.; Tang, Y.; Li, X.; Liu, S.; Cao, S.; Li, X. Association Between BRCA Status and Triple-Negative Breast Cancer: A Meta-Analysis. Front. Pharmacol. 2018, 9, 909. [Google Scholar] [CrossRef] [PubMed]
- Ha, S.M.; Chae, E.Y.; Cha, J.H.; Kim, H.H.; Shin, H.J.; Choi, W.J. Association of BRCA Mutation Types, Imaging Features, and Pathologic Findings in Patients With Breast Cancer With BRCA1 and BRCA2 Mutations. AJR Am. J. Roentgenol. 2017, 209, 920–928. [Google Scholar] [CrossRef]
- Tutt, A.; Ashworth, A. The relationship between the roles of BRCA genes in DNA repair and cancer predisposition. Trends Mol. Med. 2002, 8, 571–576. [Google Scholar] [CrossRef] [PubMed]
- Fong, P.C.; Boss, D.S.; Yap, T.A.; Tutt, A.; Wu, P.; Mergui-Roelvink, M.; Mortimer, P.; Swaisland, H.; Lau, A.; O’Connor, M.J.; et al. Inhibition of poly(ADP-ribose) polymerase in tumors from BRCA mutation carriers. N. Engl. J. Med. 2009, 361, 123–134. [Google Scholar] [CrossRef]
- Tutt, A.; Robson, M.; Garber, J.E.; Domchek, S.M.; Audeh, M.W.; Weitzel, J.N.; Friedlander, M.; Arun, B.; Loman, N.; Schmutzler, R.K.; et al. Oral poly(ADP-ribose) polymerase inhibitor olaparib in patients with BRCA1 or BRCA2 mutations and advanced breast cancer: A proof-of-concept trial. Lancet 2010, 376, 235–244. [Google Scholar] [CrossRef]
- Audeh, M.W.; Carmichael, J.; Penson, R.T.; Friedlander, M.; Powell, B.; Bell-McGuinn, K.M.; Scott, C.; Weitzel, J.N.; Oaknin, A.; Loman, N.; et al. Oral poly(ADP-ribose) polymerase inhibitor olaparib in patients with BRCA1 or BRCA2 mutations and recurrent ovarian cancer: A proof-of-concept trial. Lancet 2010, 376, 245–251. [Google Scholar] [CrossRef]
- Kaufman, B.; Shapira-Frommer, R.; Schmutzler, R.K.; Audeh, M.W.; Friedlander, M.; Balmana, J.; Mitchell, G.; Fried, G.; Stemmer, S.M.; Hubert, A.; et al. Olaparib monotherapy in patients with advanced cancer and a germline BRCA1/2 mutation. J. Clin. Oncol. 2015, 33, 244–250. [Google Scholar] [CrossRef]
- Tutt, A.N.J.; Garber, J.E.; Geyer, C.E., Jr. Adjuvant olaparib in BRCA-mutated breast cancer. Reply. N. Engl. J. Med. 2021, 385, 1440. [Google Scholar] [PubMed]
- Litton, J.K.; Rugo, H.S.; Ettl, J.; Hurvitz, S.A.; Goncalves, A.; Lee, K.H.; Fehrenbacher, L.; Yerushalmi, R.; Mina, L.A.; Martin, M.; et al. Talazoparib in patients with advanced breast cancer and a germline BRCA mutation. N. Engl. J. Med. 2018, 379, 753–763. [Google Scholar] [CrossRef]
- Miglietta, F.; Cinquini, M.; Dieci, M.V.; Cortesi, L.; Criscitiello, C.; Montemurro, F.; Del Mastro, L.; Zambelli, A.; Biganzoli, L.; Levaggi, A.; et al. PARP-inhibitors for BRCA1/2-related advanced HER2-negative breast cancer: A meta-analysis and GRADE recommendations by the Italian Association of Medical Oncology. Breast 2022, 66, 293–304. [Google Scholar] [CrossRef] [PubMed]
- Loveday, C.; Turnbull, C.; Ramsay, E.; Hughes, D.; Ruark, E.; Frankum, J.R.; Bowden, G.; Kalmyrzaev, B.; Warren-Perry, M.; Adlard, J.W.; et al. Germline mutations in RAD51D confer susceptibility to ovarian cancer. Nat. Genet. 2011, 43, 879–882. [Google Scholar] [CrossRef] [PubMed]
- McCabe, N.; Turner, N.C.; Lord, C.J.; Kluzek, K.; Bialkowska, A.; Swift, S.; Giavara, S.; O’Connor, M.J.; Tutt, A.N.; Zdzienicka, M.Z.; et al. Deficiency in the repair of DNA damage by homologous recombination and sensitivity to poly(ADP-ribose) polymerase inhibition. Cancer Res. 2006, 66, 8109–8115. [Google Scholar] [CrossRef] [PubMed]
- Miller, R.E.; Leary, A.; Scott, C.L.; Serra, V.; Lord, C.J.; Bowtell, D.; Chang, D.; Garsed, D.; Jonkers, J.; Ledermann, J.; et al. ESMO recommendations on predictive biomarker testing for homologous recombination deficiency and PARP inhibitor benefit in ovarian cancer. Ann. Oncol. 2020, 31, 1606–1622. [Google Scholar] [CrossRef]
- Ledermann, J.; Harter, P.; Gourley, C.; Friedlander, M.; Vergote, I.; Rustin, G.; Scott, C.L.; Meier, W.; Shapira-Frommer, R.; Safra, T.; et al. Olaparib maintenance therapy in patients with platinum-sensitive relapsed serous ovarian cancer: A preplanned retrospective analysis of outcomes by BRCA status in a randomised phase 2 trial. Lancet Oncol. 2014, 15, 852–861. [Google Scholar] [CrossRef]
- Coleman, R.L.; Oza, A.M.; Lorusso, D.; Aghajanian, C.; Oaknin, A.; Dean, A.; Colombo, N.; Weberpals, J.I.; Clamp, A.; Scambia, G.; et al. Rucaparib maintenance treatment for recurrent ovarian carcinoma after response to platinum therapy (ARIEL3): A randomised, double-blind, placebo-controlled, phase 3 trial. Lancet 2017, 390, 1949–1961. [Google Scholar] [CrossRef]
- Oshi, M.; Gandhi, S.; Wu, R.; Asaoka, M.; Yan, L.; Yamada, A.; Yamamoto, S.; Narui, K.; Chishima, T.; Ishikawa, T.; et al. Development of a novel BRCAness score that predicts response to PARP inhibitors. Biomark Res. 2022, 10, 80. [Google Scholar] [CrossRef]
- Davies, H.; Glodzik, D.; Morganella, S.; Yates, L.R.; Staaf, J.; Zou, X.; Ramakrishna, M.; Martin, S.; Boyault, S.; Sieuwerts, A.M.; et al. HRDetect is a predictor of BRCA1 and BRCA2 deficiency based on mutational signatures. Nat. Med. 2017, 23, 517–525. [Google Scholar] [CrossRef]
- Hoppe, M.M.; Sundar, R.; Tan, D.S.P.; Jeyasekharan, A.D. Biomarkers for homologous recombination deficiency in cancer. J. Natl. Cancer Inst. 2018, 110, 704–713. [Google Scholar] [CrossRef]
- Frey, M.K.; Pothuri, B. Homologous recombination deficiency (HRD) testing in ovarian cancer clinical practice: A review of the literature. Gynecol. Oncol. Res. Pract. 2017, 4, 4. [Google Scholar] [CrossRef] [PubMed]
- Hammond, M.E.; Hayes, D.F.; Dowsett, M.; Allred, D.C.; Hagerty, K.L.; Badve, S.; Fitzgibbons, P.L.; Francis, G.; Goldstein, N.S.; Hayes, M.; et al. American Society of Clinical Oncology/College of American Pathologists guideline recommendations for immunohistochemical testing of estrogen and progesterone receptors in breast cancer. Arch. Pathol. Lab. Med. 2010, 134, 907–922. [Google Scholar] [CrossRef]
- Wolff, A.C.; Hammond, M.E.; Schwartz, J.N.; Hagerty, K.L.; Allred, D.C.; Cote, R.J.; Dowsett, M.; Fitzgibbons, P.L.; Hanna, W.M.; Langer, A.; et al. American Society of Clinical Oncology/College of American Pathologists guideline recommendations for human epidermal growth factor receptor 2 testing in breast cancer. Arch. Pathol. Lab. Med. 2007, 131, 18–43. [Google Scholar] [CrossRef] [PubMed]
- Wolff, A.C.; Hammond, M.E.; Hicks, D.G.; Dowsett, M.; McShane, L.M.; Allison, K.H.; Allred, D.C.; Bartlett, J.M.; Bilous, M.; Fitzgibbons, P.; et al. Recommendations for human epidermal growth factor receptor 2 testing in breast cancer: American Society of Clinical Oncology/College of American Pathologists clinical practice guideline update. Arch. Pathol. Lab. Med. 2014, 138, 241–256. [Google Scholar] [CrossRef]
- Sokol, E.S.; Pavlick, D.; Khiabanian, H.; Frampton, G.M.; Ross, J.S.; Gregg, J.P.; Lara, P.N.; Oesterreich, S.; Agarwal, N.; Necchi, A.; et al. Pan-cancer analysis of BRCA1 and BRCA2 genomic alterations and their association with genomic instability as measured by genome-wide loss of heterozygosity. JCO Precis. Oncol. 2020, 4, 442–465. [Google Scholar] [CrossRef] [PubMed]
- Hodgson, D.R.; Dougherty, B.A.; Lai, Z.; Fielding, A.; Grinsted, L.; Spencer, S.; O’connor, M.J.; Ho, T.W.; Robertson, J.D.; Lanchbury, J.S.; et al. Candidate biomarkers of PARP inhibitor sensitivity in ovarian cancer beyond the BRCA genes. Br. J. Cancer 2018, 119, 1401–1409. [Google Scholar] [CrossRef] [PubMed]
- Tutt, A.N.J.; Garber, J.E.; Kaufman, B.; Viale, G.; Fumagalli, D.; Rastogi, P.; Gelber, R.D.; de Azambuja, E.; Fielding, A.; Balmaña, J.; et al. Adjuvant olaparib for patients with BRCA1- or BRCA2-mutated breast cancer. N. Engl. J. Med. 2021, 384, 2394–2405. [Google Scholar] [CrossRef]
- Dias, M.P.; Moser, S.C.; Ganesan, S.; Jonkers, J. Understanding and overcoming resistance to PARP inhibitors in cancer therapy. Nat. Rev. Clin. Oncol. 2021, 18, 773–791. [Google Scholar] [CrossRef]
- Lord, C.J.; Ashworth, A. Mechanisms of resistance to therapies targeting BRCA-mutant cancers. Nat. Med. 2013, 19, 1381–1388. [Google Scholar] [CrossRef]
- Singh, D.D.; Parveen, A.; Yadav, D.K. Role of PARP in TNBC: Mechanism of inhibition, clinical applications, and resistance. Biomedicines 2021, 9, 1512. [Google Scholar] [CrossRef]
- Mirza, M.R.; Monk, B.J.; Herrstedt, J.; Oza, A.M.; Mahner, S.; Redondo, A.; Fabbro, M.; Ledermann, J.A.; Lorusso, D.; Vergote, I.; et al. Niraparib maintenance therapy in platinum-sensitive, recurrent ovarian cancer. N. Engl. J. Med. 2016, 375, 2154–2164. [Google Scholar] [CrossRef] [PubMed]
- Mateo, J.; Carreira, S.; Sandhu, S.; Miranda, S.; Mossop, H.; Perez-Lopez, R.; Nava Rodrigues, D.; Robinson, D.; Omlin, A.; Tunariu, N.; et al. DNA-repair defects and olaparib in metastatic prostate cancer. N. Engl. J. Med. 2015, 373, 1697–1708. [Google Scholar] [CrossRef] [PubMed]
- Tung, N.M.; Robson, M.E.; Ventz, S.; Santa-Maria, C.A.; Nanda, R.; Marcom, P.K.; Shah, P.D.; Ballinger, T.J.; Yang, E.S.; Vinayak, S.; et al. TBCRC 048: Phase II study of olaparib for metastatic breast cancer and mutations in homologous recombination-related genes. J. Clin. Oncol. 2020, 38, 4274–4282. [Google Scholar] [CrossRef] [PubMed]
- Abdel-Razeq, H.; Tamimi, F.; Abujamous, L.; Abdel-Razeq, R.; Abunasser, M.; Edaily, S.; Abdulelah, H.; Abu Khashabeh, R.; Bater, R. Rates of variants of uncertain significance among patients with breast cancer undergoing genetic testing: Regional perspectives. Front. Oncol. 2022, 12, 673094. [Google Scholar] [CrossRef]
- Eoh, K.J.; Park, H.S.; Park, J.S.; Lee, S.T.; Han, J.; Lee, J.Y.; Kim, S.W.; Kim, S.; Kim, Y.T.; Nam, E.J. Comparison of clinical outcomes of BRCA1/2 pathologic mutation, variants of unknown significance, or wild type epithelial ovarian cancer patients. Cancer Res. Treat. 2017, 49, 408–415. [Google Scholar] [CrossRef]
- Uusitalo, E.; Kallionpaa, R.A.; Kurki, S.; Rantanen, M.; Pitkaniemi, J.; Kronqvist, P.; Härkönen, P.; Huovinen, R.; Carpen, O.; Pöyhönen, M.; et al. Breast cancer in neurofibromatosis type 1: Overrepresentation of unfavourable prognostic factors. Br. J. Cancer 2017, 116, 211–217. [Google Scholar] [CrossRef]
- Federici, G.; Soddu, S. Variants of uncertain significance in the era of high-throughput genome sequencing: A lesson from breast and ovary cancers. J. Exp. Clin. Cancer Res. 2020, 39, 46. [Google Scholar] [CrossRef]
- Seligson, N.D.; Tang, J.; Jin, D.X.; Bennett, M.P.; Elvin, J.A.; Graim, K.; Hays, J.L.; Millis, S.Z.; Miles, W.O.; Chen, J.L. Drivers of genomic loss of heterozygosity in leiomyosarcoma are distinct from carcinomas. NPJ Precis. Oncol. 2022, 6, 29. [Google Scholar] [CrossRef]





| Characteristic | All Patients (n = 63) | |
|---|---|---|
| Number | % | |
| Clinical stage | ||
| I and IIA | 0 | 0 |
| IIB | 3 | 5 |
| III | 4 | 6 |
| IV | 56 | 89 |
| T classification | ||
| pT1 | 10 | 16 |
| pT2 | 22 | 35 |
| pT3 | 13 | 21 |
| pT4 | 13 | 21 |
| Not available | 5 | 8 |
| N classification | ||
| pN0 | 18 | 29 |
| pN1 | 28 | 44 |
| pN2 | 4 | 6 |
| pN3 | 8 | 13 |
| Not available | 5 | 8 |
| M classification | ||
| pM0 | 7 | 11 |
| pM1 | 56 | 89 |
| Nottingham histological grade | ||
| 1 | 1 | 2 |
| 2 | 24 | 38 |
| 3 | 38 | 60 |
| Histological subtype | ||
| Ductal | 56 | 89 |
| Lobular | 7 | 11 |
| Estrogen Receptor status | ||
| Positive | 37 | 59 |
| Low positive | 2 | 3 |
| Negative | 24 | 38 |
| Progesterone Receptor status | ||
| Positive | 32 | 51 |
| Negative | 31 | 49 |
| HER2 status | ||
| Positive | 8 | 13 |
| Negative | 55 | 87 |
| Triple-negative type | ||
| Yes | 21 | 33 |
| No | 42 | 67 |
| History of chemoradiation therapy | ||
| Yes | 55 | 87 |
| No | 8 | 13 |
| History of hormonal therapy | ||
| Yes | 41 | 65 |
| No | 22 | 35 |
| History of immune checkpoint inhibitor therapy | ||
| Yes | 11 | 17 |
| No | 52 | 83 |
| PARPi therapy | ||
| Yes | 6 | 10 |
| No | 57 | 90 |
| Factors | HRR (n = 63) | LOH (16%Cutoff) (n = 32) ** | ||||||
|---|---|---|---|---|---|---|---|---|
| HRRmt | HRRwt | p Value | LOH (≥16%) | LOH (<16%) | p Value | |||
| Pathologic T classification * | T1T2T3 (n = 45) | 13 (29%) | 32 (71%) | 0.0169 | T1T2T3 (n = 23) | 6 (26%) | 17 (74%) | 0.0114 |
| T4 (n = 13) | 2 (15%) | 11 (85%) | T4 (n = 7) | 3 (43%) | 4 (57%) | |||
| Pathologic N classification * | N0N1N2 (n = 50) | 10 (20%) | 40 (80%) | <0.00001 | N0N1N2 (n = 26) | 7 (27%) | 19 (73%) | 0.0008 |
| N3 (n = 8) | 5 (63%) | 3 (38%) | N3 (n = 4) | 2 (50%) | 2 (50%) | |||
| Nottingham grade | 1 and 2 (n = 25) | 6 (24%) | 19 (76%) | 0.7440 | 1 and 2 (n = 11) | 2 (18%) | 9 (82%) | 0.01495 |
| 3 (n = 38) | 10 (26%) | 28 (74%) | 3 (n = 21) | 7 (33%) | 14 (67%) | |||
| Triple negativity | Yes (n = 21) | 7 (33%) | 14 (67%) | 0.0560 | Yes (n = 7) | 4 (57%) | 3 (43%) | <0.00001 |
| No (n = 42) | 9 (21%) | 33 (79%) | No (n = 25) | 5 (20%) | 20 (80%) | |||
| ER | Pos. (n = 39) | 8 (21%) | 31 (79%) | 0.0560 | Pos. (n = 22) | 4 (18%) | 18 (82%) | <0.00001 |
| Neg. (n = 24) | 8 (33%) | 16 (67%) | Neg. (n = 10) | 5 (50%) | 5 (50%) | |||
| PR | Pos. (n = 32) | 7 (22%) | 25 (78%) | 0.2561 | Pos. (n = 18) | 5 (28%) | 13 (72%) | 0.8755 |
| Neg. (n = 31) | 9 (29%) | 22 (71%) | Neg. (n = 14) | 4 (29%) | 10 (71%) | |||
| HER2 | Pos. (n = 8) | 1 (13%) | 7 (88%) | 0.0121 | Pos. (n = 6) | 2 (33%) | 4 (67%) | 0.3545 |
| Neg. (n = 55) | 15 (27%) | 40 (73%) | Neg. (n = 26) | 7 (27%) | 19 (73%) | |||
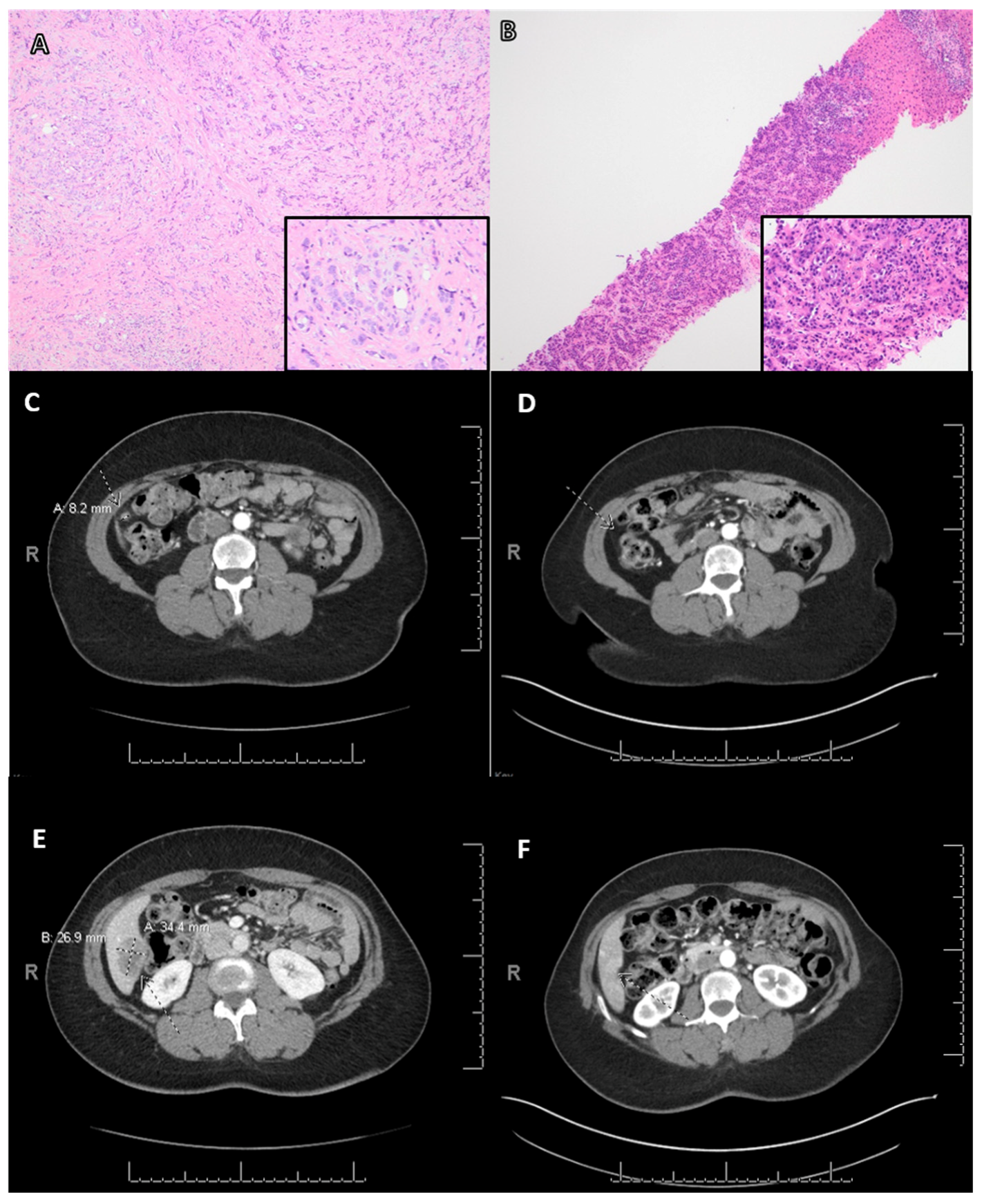
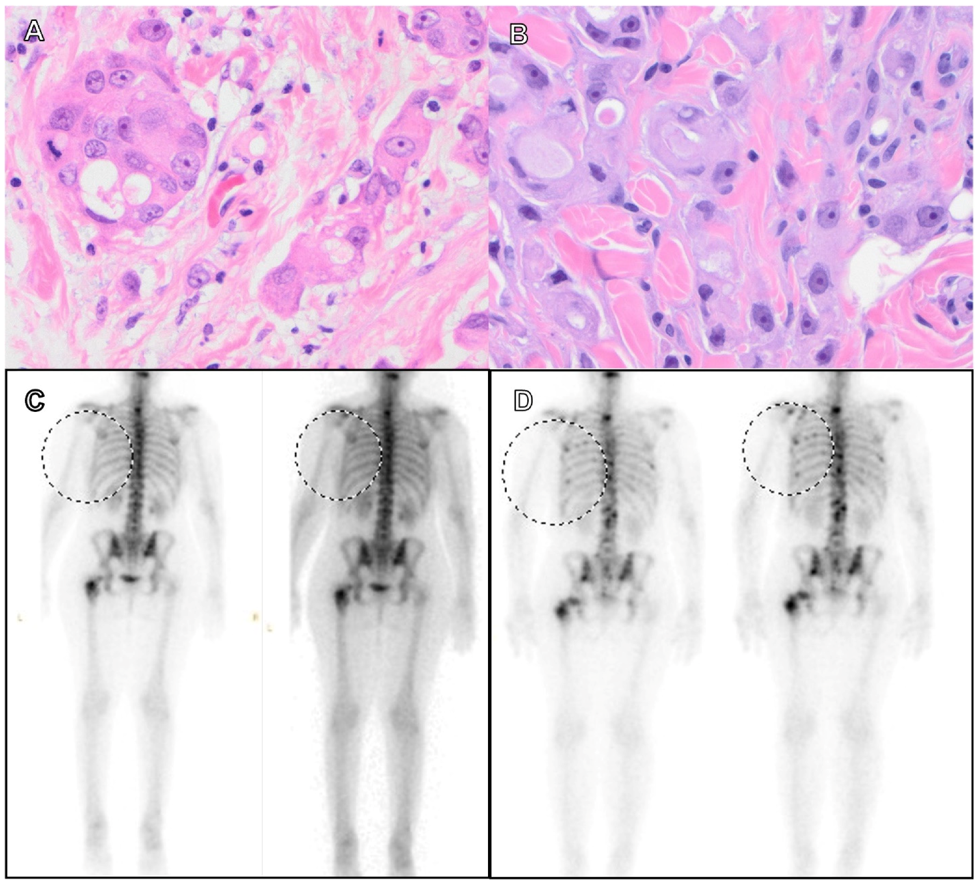
| Case | Age | Primary Tumor a | Lymph Node Status | History of Treatment | NGS g | LOH (%) | TMB (Muts/Mb) | PARPi d | Follow-Up e (Month) | Clinical Response f | ||||||||
|---|---|---|---|---|---|---|---|---|---|---|---|---|---|---|---|---|---|---|
| Diagnosis | NG | ER | PR | HER2 | Surgery b | Systemic Therapy c | Radiation | Method | HRR Gens | Non-HRR Gens | ||||||||
| 1 | 46 | IC-NST | 2 | Pos | Pos | Neg | Neg | PM | Docet Cytoxan Tamox | Yes | IVD | PALB2 p.Y1108fs*6 PALB2 p.K480fs*6 | Rad21 Amplified RARA p.M284I | N/A | 3 | O | 7 | PR |
| 2 | 59 | IC-NST | 3 | Neg | Neg | Neg | Neg | TM | Docet Cytoxan Doxor Pembro | Yes | IVD | BRCA1 p.V757fs*8 | PTEN loss MYC amplified CDKN2A/B loss EP300 truncation intron 27 FAS loss GATA6 amplified LRP1B p.R441* MCL1 amplified NUP93 p.R709T TP53 p.L257P | N/A | 5 | O | 40 | DF |
| 3 | 20 | IC-NST | 3 | Neg | Neg | Neg | Pos | TM | Doxor Cytoxan Carbo Taxol | Yes | IVD | BRCA1 p.R1751 | CTNNA1 p.E686fs*39 RB1 splice site 2063–2106+20del64 TP53 p.R175H | N/A | 1 | O | 6 | SD |
| 4 | 60 | IC-NST | 3 | Pos | Pos | Neg | Pos | TM | Doxor Carbo Tamox | Yes | IVD | BRCA1 p.C903fs*97 FANCA p.E63* | FGF12 amplified MYC amplified PIK3CA p.P104del SF3B1 p.K700E SOX2 amplified | N/A | 6 | O | 3 | PD |
| 5 | 47 | IC-NST | 3 | Neg | Neg | Neg | Pos | TM | Atezo Nab-p | Yes | IVD | BRCA1 p.K1183R VUS | AKT1 p.E17K TP53 p.C141Y NF1 p.E1334* | N/A | N/A | O | 4 | PD |
| 6 | 59 | IC-NST | 2 | Neg | Neg | Pos | Pos | TM | Docet Herce Pertu | Yes | WES | BRCA2 p.V188M VUS CHEK2 p.Y139H VUS | AKT1 p.E17K ERBB2 amplified SPEN c.1624–1635+1del13 TP53 p.R248Q | 6 | 3 | O | 1 | Discontinued |
Disclaimer/Publisher’s Note: The statements, opinions and data contained in all publications are solely those of the individual author(s) and contributor(s) and not of MDPI and/or the editor(s). MDPI and/or the editor(s) disclaim responsibility for any injury to people or property resulting from any ideas, methods, instructions or products referred to in the content. |
© 2023 by the authors. Licensee MDPI, Basel, Switzerland. This article is an open access article distributed under the terms and conditions of the Creative Commons Attribution (CC BY) license (https://creativecommons.org/licenses/by/4.0/).
Share and Cite
Bartow, B.B.; Siegal, G.P.; Yalniz, C.; Elkhanany, A.M.; Huo, L.; Ding, Q.; Sahin, A.A.; Guo, H.; Magi-Galluzzi, C.; Harada, S.; et al. Mutations in Homologous Recombination Genes and Loss of Heterozygosity Status in Advanced-Stage Breast Carcinoma. Cancers 2023, 15, 2524. https://doi.org/10.3390/cancers15092524
Bartow BB, Siegal GP, Yalniz C, Elkhanany AM, Huo L, Ding Q, Sahin AA, Guo H, Magi-Galluzzi C, Harada S, et al. Mutations in Homologous Recombination Genes and Loss of Heterozygosity Status in Advanced-Stage Breast Carcinoma. Cancers. 2023; 15(9):2524. https://doi.org/10.3390/cancers15092524
Chicago/Turabian StyleBartow, Brooke B., Gene P. Siegal, Ceren Yalniz, Ahmed M. Elkhanany, Lei Huo, Qingqing Ding, Aysegul A. Sahin, Hua Guo, Cristina Magi-Galluzzi, Shuko Harada, and et al. 2023. "Mutations in Homologous Recombination Genes and Loss of Heterozygosity Status in Advanced-Stage Breast Carcinoma" Cancers 15, no. 9: 2524. https://doi.org/10.3390/cancers15092524
APA StyleBartow, B. B., Siegal, G. P., Yalniz, C., Elkhanany, A. M., Huo, L., Ding, Q., Sahin, A. A., Guo, H., Magi-Galluzzi, C., Harada, S., & Huang, X. (2023). Mutations in Homologous Recombination Genes and Loss of Heterozygosity Status in Advanced-Stage Breast Carcinoma. Cancers, 15(9), 2524. https://doi.org/10.3390/cancers15092524

