Sign in to use this feature.

Years

Between: -

Subjects

remove_circle_outline
remove_circle_outline
remove_circle_outline
remove_circle_outline
remove_circle_outline
remove_circle_outline
remove_circle_outline
remove_circle_outline
remove_circle_outline

Journals

remove_circle_outline
remove_circle_outline
remove_circle_outline
remove_circle_outline
remove_circle_outline
remove_circle_outline
remove_circle_outline
remove_circle_outline
remove_circle_outline
remove_circle_outline
remove_circle_outline

Article Types

Countries / Regions

remove_circle_outline
remove_circle_outline
remove_circle_outline
remove_circle_outline

Search Results (1,690)

Search Parameters:
Keywords = BRCA

Order results
Result details
Results per page
Select all
Export citation of selected articles as:
19 pages, 2615 KB  
Article
Oxidative Stress, DNA Damage, DNA Repair Inhibition, and Apoptosis Induced by Lead and Cadmium Combined Exposure in TK6 Cells
by Xin Liu, Zhiyuan Han, Kuibin Han, Yuhan Pang, Xiaoyue Zhao, Yuting Wang, Xiaoyan Wu and Tuanwei Wang
Toxics 2026, 14(4), 341; https://doi.org/10.3390/toxics14040341 (registering DOI) - 18 Apr 2026
Abstract
Lead (Pb) and cadmium (Cd) are common environmental pollutants. Our previous population study revealed a significant positive association between Pb and Cd exposure and the micronuclei frequency among lead smelting workers. However, the underlying mechanisms remain unclear. In this study, human lymphoblastoid TK6 [...] Read more.
Lead (Pb) and cadmium (Cd) are common environmental pollutants. Our previous population study revealed a significant positive association between Pb and Cd exposure and the micronuclei frequency among lead smelting workers. However, the underlying mechanisms remain unclear. In this study, human lymphoblastoid TK6 cells were used to investigate the genotoxicity and its mechanisms induced by individual or combined exposure to Pb and Cd. Our results showed that Pb and Cd exposure, alone or in combination, triggered oxidative stress, as evidenced by reduced antioxidant enzyme activity (GSH, SOD and CAT) and increased content of ROS and GSSG. Both metals induced pronounced DNA damage, as shown by elevated Tail DNA% in the Comet assay and γ-H2AX fluorescence intensity. Furthermore, Pb and/or Cd exposure caused inhibition of the DNA repair proteins, including BRCA1, CtIP, RAD52, and XRCC2, indicating impaired DNA repair capacity; and upregulated Bax expression and the Bax/Bcl-2 ratio and Caspase-3 with downregulation of Bcl-2. Notably, Pb and Cd co-exposure produced an antagonistic effect, modulating oxidative stress indicators, cell-cycle arrest, DNA damage markers, DNA repair and apoptosis-related proteins. These findings demonstrate that Pb and Cd induce oxidative stress, DNA damage, inhibition of DNA repair, and apoptosis in TK6 cells. Our study provides new insights into the mechanisms of heavy metal combined exposure–induced genotoxicity and identifies potential molecular targets for intervention. Full article
(This article belongs to the Special Issue Exposure Level and Risk Assessment of Lead (Pb))
Show Figures

Figure 1

21 pages, 7364 KB  
Article
Identification of Key Genes Regulated by Lactylation Modification and Associated with Tumor Immune Microenvironment in Breast Cancer
by Yaohong Xie, Yi Ge, Na Miao, Pengxia Zhang and Jiaqi Xia
Curr. Issues Mol. Biol. 2026, 48(4), 416; https://doi.org/10.3390/cimb48040416 - 17 Apr 2026
Abstract
Breast cancer (BRCA) is the most common cancer worldwide, with an incidence exceeding that of lung cancer. Protein lactylation, a newly identified post-translational modification involving the binding of lactic acid to lysine residues, plays an important role in BRCA. However, its role in [...] Read more.
Breast cancer (BRCA) is the most common cancer worldwide, with an incidence exceeding that of lung cancer. Protein lactylation, a newly identified post-translational modification involving the binding of lactic acid to lysine residues, plays an important role in BRCA. However, its role in BRCA progression remains largely unexplored. This study aims to identify and characterize the lactylation-related genes involved in BRCA biology. Transcriptomic and clinical data of BRCA and normal breast tissues were obtained from TCGA and GEO. Lactylation-related genes were curated from literature and intersected with BRCA datasets to identify candidates. A prognostic risk model was constructed using LASSO and Cox regression. Functional enrichment was performed using KEGG, GSVA, and GSEA. Immune correlations were evaluated by ESTIMATE, CIBERSORT. Single-cell RNA-seq data were integrated to assess gene expression heterogeneity across tumor and immune compartments. In vitro, MDA-MB-231 cells were treated with sodium L-lactate and lactylation-inducing agents, and gene expression was validated by Western blot and RT-qPCR, while EdU and wound healing assays evaluated proliferation and migration. We identified six hub genes associated with the immune microenvironment. Notably, S100A4 is significantly underexpressed, suggesting their potential regulatory roles in BRCA. Further analysis demonstrated that lactylation-related genes are closely linked to immune regulation in BRCA, indicating a possible crosstalk between metabolic modification and tumor immunity. Additionally, we found that lactylation significantly influences gene expression patterns and immune infiltration in BRCA. Importantly, lactic acid ions were shown to upregulate lactylation levels in BRCA cells, underscoring the functional impact of metabolic signals on post-translational modifications in tumorigenesis. Our findings indicate a potential mechanism wherein lactylation affects BRCA progression via lactic acid-driven regulation of the immune microenvironment; they also highlight the possible involvement of S100A4 in this process and offer new insights that could contribute to the diagnosis and treatment of BRCA. Full article
(This article belongs to the Section Molecular Medicine)
13 pages, 7366 KB  
Article
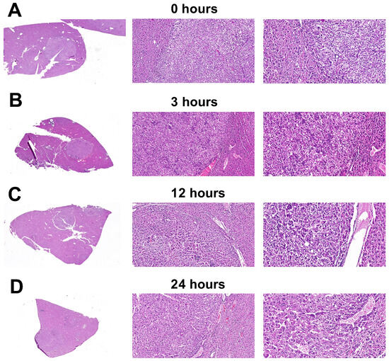
Dynamics of Postmortem Gene Expression in Normal and Neoplastic Murine Liver
by Evgeny E. Buyko, Ekaterina A. Perina, Danil S. Sobakin, Matvey M. Tsyganov, Dmitry V. Vasilchenko, Sergey V. Vtorushin, Alexander A. Ufandeev, Elena B. Diksas, Olga A. Kaidash, Ekaterina S. Hmelevskaya, Ekaterina V. Parochkina, Igor A. Popov, Vladimir V. Ivanov, Stanislav I. Pekov and Elena V. Udut
Life 2026, 16(4), 683; https://doi.org/10.3390/life16040683 - 16 Apr 2026
Viewed by 151
Abstract
The use of postmortem (autopsy) material in fundamental and applied biomedical research significantly facilitates the collection of biomaterial for statistically robust sample cohorts. However, natural adaptive processes to developing cellular stress in the early postmortem period, caused by oxygen and nutrient deprivation, trigger [...] Read more.
The use of postmortem (autopsy) material in fundamental and applied biomedical research significantly facilitates the collection of biomaterial for statistically robust sample cohorts. However, natural adaptive processes to developing cellular stress in the early postmortem period, caused by oxygen and nutrient deprivation, trigger the activation of numerous genes promoting cell survival under stress. Many of these activated pathways are also crucial for tumor cell survival in vivo, as evidenced by various transcriptomic studies. This study aimed to investigate the potential influence of postmortem interval (PMI) duration on gene expression in normal and tumor tissues. Using a model of chemically induced hepatocellular carcinoma in mouse liver, we comparatively analyzed the dynamics of transcript levels for several genes (BRCA1, BRCA2, CHEK1, CHEK2, ATM, CDK12) in paired samples of normal and tumor tissue over a 24-h PMI using RT-qPCR. In normal tissue, gene expression increased significantly, while tumor tissue demonstrated relative transcriptional stability, with no substantial changes in the studied transcript levels. A critical finding was the observed convergence of expression profiles: initial differences between the tissues were completely eliminated by 24 h PMI. This pattern developed despite formally adequate RNA quality (RQN) and the absence of clear signs of progressive autolysis in histology, indicating the insufficiency of standard quality criteria for detecting postmortem changes. These findings collectively underscore the critical importance of minimizing and controlling PMI during the biobanking of oncological samples for reliable transcriptomic research. Full article
Show Figures

Figure 1

27 pages, 1090 KB  
Review
Advances in Breast Cancer Diagnostics: From Screening to Precision Medicine
by Klaudia Kubiak, Joanna Bidzińska, Marta Bednarek and Edyta Szurowska
Diagnostics 2026, 16(8), 1181; https://doi.org/10.3390/diagnostics16081181 - 16 Apr 2026
Viewed by 256
Abstract
Breast cancer remains the most frequently diagnosed malignancy in women worldwide, accounting for approximately 2.3 million new cases and 670,000 deaths annually. The diagnostic landscape has undergone a paradigm shift over the past two decades, evolving from morphology-based classification toward molecularly informed, precision-guided [...] Read more.
Breast cancer remains the most frequently diagnosed malignancy in women worldwide, accounting for approximately 2.3 million new cases and 670,000 deaths annually. The diagnostic landscape has undergone a paradigm shift over the past two decades, evolving from morphology-based classification toward molecularly informed, precision-guided strategies. Early and accurate diagnosis is fundamental to improving outcomes; advances in imaging technology, including digital breast tomosynthesis (DBT), contrast-enhanced mammography (CEM), and abbreviated magnetic resonance imaging (MRI), have improved sensitivity and specificity in diverse patient populations. Simultaneously, the integration of artificial intelligence (AI) and radiomics into screening workflows offers unprecedented potential for risk stratification and a reduction in false-positives. At the pathological level, multi-gene expression profiling assays such as Oncotype DX, MammaPrint, Prosigna, and EndoPredict have refined prognostic classification and guide adjuvant chemotherapy decisions in early-stage hormone receptor-positive disease. The emergence of liquid biopsy, circulating tumor DNA (ctDNA), circulating tumor cells (CTCs), and exosomal biomarkers provides minimally invasive tools for real-time monitoring of response, residual disease, and the evolution of resistance mechanisms. Precision diagnostics now encompass next-generation sequencing (NGS)-based comprehensive genomic profiling, enabling identification of actionable alterations such as PIK3CA mutations, HER2 amplification, BRCA1/2 pathogenic variants, and NTRK fusions, each linked to approved therapeutic agents. The purpose of this review is to provide a comprehensive synthesis of current and emerging diagnostic modalities in breast cancer—from population-level screening to individualized molecular profiling—and to examine how integrative, multimodal diagnostic platforms are reshaping clinical decision-making in the era of precision medicine. Full article
(This article belongs to the Section Clinical Diagnosis and Prognosis)
Show Figures

Figure 1

16 pages, 862 KB  
Article
Characteristics and Clinical Outcomes of BRCA Germline Mutation Carriers with Advanced Breast Cancer Treated with PARP (Poly ADP-Ribose Polymerase) Inhibitors: A Single-Institution Experience
by Fatma Nihan Akkoc Mustafayev, Elena Fountzilas, Mark F. Munsell, Rachel M. Layman, Clinton Yam, Angelica M. Gutierrez, Constance T. Albarracin, Zamal Ahmed, Katharina Schlacher, John A. Tainer and Banu K. Arun
Cancers 2026, 18(8), 1258; https://doi.org/10.3390/cancers18081258 - 16 Apr 2026
Viewed by 196
Abstract
Background/Objectives: Several trials have highlighted the importance of PARP inhibitors (PARPi) in the treatment of BRCA-associated breast cancers (BC), initiating changes in practice. However, data on the real-life outcomes of PARPi therapy is limited. In this study, we characterized the clinical [...] Read more.
Background/Objectives: Several trials have highlighted the importance of PARP inhibitors (PARPi) in the treatment of BRCA-associated breast cancers (BC), initiating changes in practice. However, data on the real-life outcomes of PARPi therapy is limited. In this study, we characterized the clinical characteristics and outcomes of patients with advanced BC and germline BRCA pathogenic variants (PVs) who received PARPi therapy. Methods: We conducted a retrospective single-institution cohort study of patients with advanced BC and germline BRCA1/2 PVs treated with PARPi. Outcomes included objective response rate (ORR), progression-free survival (PFS), and overall survival (OS). Survival was estimated using Kaplan–Meier methods, and prognostic factors were evaluated using Cox regression analysis. Results: Of the 107 patients treated with PARPi, 48 (44.9%) and 59 (55.1%) had BRCA1 and BRCA2 PVs, respectively. Ninety-seven patients (90.7%) had invasive ductal carcinoma and 42 (39.3%) had triple-negative BC. Nineteen (17.8%) patients had de novo metastatic BC. Sixty-two (57.9%) patients received at least one line of systemic therapy before PARPi; 24 (22.4%) patients received prior platinum. ORR was 62.6%, and the median duration of response (DoR) was 7 months (range, 2.1–96.2). The median PFS was 9 months (95% CI, 6.9–10.5) and median OS was 25.8 months (95% CI, 18.7–31.5). In multivariable models for PFS, bone metastases (HR = 2.25; 95% CI, 1.40–3.61; p = 0.0008) and lung metastases (HR = 2.40; 95% CI, 1.45–3.98; p = 0.0007) were independently associated with increased risk of progression or death. In multivariable models for OS, brain metastases (HR = 3.54; 95% CI, 1.59–7.90; p = 0.0020), bone metastases (HR = 2.22; 95% CI, 1.27–3.88; p = 0.0050), and lung metastases (HR = 2.38; 95% CI, 1.38–4.11; p = 0.0018), were independently associated with increased risk of death. Conclusions: The clinical outcomes of our real-world patients are similar to those reported in previous clinical trials. In addition, metastatic site distribution was independently prognostic for survival outcomes and may support baseline risk stratification at the time of PARPi initiation. Further studies of predictive markers of response and resistance, as well as sequencing with platinums and combinations with other targeted agents, are needed to optimize the benefits of PARPi in this patient population. Full article
(This article belongs to the Section Clinical Research of Cancer)
Show Figures

Figure 1

15 pages, 908 KB  
Article
Gene-Specific Outcomes After Central Nervous System Metastases in Germline BRCA1- and BRCA2-Associated Breast Cancer
by Alice Decaminada, Raute Sunder-Plassmann, Weang-Kee Ho, Daniela Muhr, Angelika M. Starzer, Anna Sophie Berghoff, Rupert Bartsch, Christian F. Singer, kConFab Investigators and Yen Y. Tan
Cancers 2026, 18(8), 1240; https://doi.org/10.3390/cancers18081240 - 14 Apr 2026
Viewed by 254
Abstract
Background: Many studies evaluating central nervous system (CNS) metastases in breast cancer (BC) combine germline BRCA1 and BRCA2 pathogenic variant carriers, limiting gene-specific interpretation. We evaluated gene-specific overall survival (OS) after CNS metastasis and time to CNS involvement. Methods: We retrospectively identified BC [...] Read more.
Background: Many studies evaluating central nervous system (CNS) metastases in breast cancer (BC) combine germline BRCA1 and BRCA2 pathogenic variant carriers, limiting gene-specific interpretation. We evaluated gene-specific overall survival (OS) after CNS metastasis and time to CNS involvement. Methods: We retrospectively identified BC patients with confirmed CNS metastases (1995–2022) from the Medical University of Vienna and the kConFab consortium. Germline status was classified as gBRCA1 PV, gBRCA2 PV, or non-carrier. Primary endpoint was OS from CNS metastasis diagnosis; secondary endpoint was CNS metastasis-free interval from primary BC diagnosis. Kaplan–Meier/log-rank tests were used for group comparisons. Multivariable Cox models assessed OS in complete cases, stratified by molecular subtype and adjusted for prognostic factors. Sensitivity analyses included subtype-adjusted and time-period models. Results: Among 115 patients (gBRCA1 n = 32, gBRCA2 n = 18, and non-carriers n = 65), median OS differed by germline status (p = 0.019): 20.0 months (95% CI 6.7–60.0) for gBRCA2 versus 7.1 months (95% CI 3.7–10.0) for gBRCA1 and 7.6 months (95% CI 3.4–12.0) for non-carriers. In subtype-stratified analyses, gBRCA1 showed similar mortality to non-carriers (HR 0.90, 95% CI 0.49–1.64, p = 0.730), while gBRCA2 showed a lower but non-significant hazard (HR 0.48, 95% CI 0.18–1.25, p = 0.131). Median CNS metastasis-free interval was longer for gBRCA2 (8.4 years) versus gBRCA1 (3.0 years) and non-carriers (3.1 years; p = 0.020). Sensitivity analyses were consistent. Conclusions: gBRCA2 carriers demonstrated longer unadjusted OS after CNS metastasis and a longer CNS metastasis-free interval compared with gBRCA1 carriers and non-carriers. However, these associations were attenuated and not statistically significant after adjustment, and should therefore be interpreted as hypothesis-generating. These findings supports further investigation of gene-specific CNS disease trajectories in larger cohorts. Full article
(This article belongs to the Section Cancer Epidemiology and Prevention)
Show Figures

Figure 1

17 pages, 2021 KB  
Article
Clinicopathological Characteristics and BAP1 Expression in an Enucleation-Based Uveal Melanoma Cohort: A Single-Center Croatian Experience with Long-Term Follow-Up
by Domagoj Vlašić, Mira Knežić Zagorec, Antonia Jakovčević, Dina Lešin Gaćina, Marijana Ćorić and Tomislav Jukić
Cancers 2026, 18(8), 1211; https://doi.org/10.3390/cancers18081211 - 10 Apr 2026
Viewed by 289
Abstract
Background/Objectives: Loss of nuclear BAP1 (BRCA1-associated protein 1) expression is a well-established adverse prognostic marker in uveal melanoma (UM). However, data from Central and Southeastern European populations are limited. This descriptive study aimed to evaluate BAP1 immunohistochemical expression in a Croatian enucleation-based UM [...] Read more.
Background/Objectives: Loss of nuclear BAP1 (BRCA1-associated protein 1) expression is a well-established adverse prognostic marker in uveal melanoma (UM). However, data from Central and Southeastern European populations are limited. This descriptive study aimed to evaluate BAP1 immunohistochemical expression in a Croatian enucleation-based UM cohort, characterize its associations with clinicopathological parameters, and contextualize the findings within the published literature. Methods: Formalin-fixed, paraffin-embedded tumor tissue from 58 consecutive patients with primary choroidal and ciliary body melanoma treated with enucleation at University Hospital Centre Zagreb (2006–2016) was analyzed immunohistochemically for BAP1 nuclear expression. Associations with clinicopathological parameters were assessed using chi-square and Fisher’s exact tests. Survival analysis was performed using Kaplan–Meier estimation, log-rank tests, and Cox proportional hazards regression with a median follow-up of 11.2 years. Results: Loss of nuclear BAP1 expression was observed in 53/58 (91.4%) specimens, resulting in a severely imbalanced distribution (53 versus 5 patients) precluding meaningful comparative survival analysis. Five-year and 10-year overall survival rates were 72.4% and 51.7%, respectively, with a median overall survival of 14.5 years. BAP1 loss was associated with longer disease-free survival (log-rank p = 0.020); however, this finding likely reflects a statistical artifact attributable to the extremely small BAP1-retained group (n = 5) harboring concurrent adverse features and should not be interpreted biologically. The study was underpowered to draw prognostic inferences regarding BAP1 status. Exploratory survival analyses are presented for transparency but should not be interpreted inferentially. Conclusions: The exceptionally high prevalence of BAP1 loss reflects the selection bias inherent in enucleation-based cohorts, which are enriched for large, molecularly high-risk tumors. This study provides the first comprehensive BAP1 immunohistochemical data from Croatia, contributing to the growing evidence that enucleation cohorts represent a distinct, biologically high-risk subgroup in which BAP1 immunohistochemistry offers limited discriminatory value. The extended follow-up of 11.2 years confirms the prolonged natural history of UM. Future multi-center studies incorporating molecular validation and diverse treatment modalities are needed to establish the prognostic utility of BAP1 across the full spectrum of UM disease. Full article
(This article belongs to the Special Issue Advances in Uveal Melanoma)
Show Figures

Figure 1

22 pages, 2547 KB  
Article
Functional CRISPR Screens Define Genetic Drivers for Cancer Transformation and Progression from Non-Cancerous Cells
by Shixin Ma, You Li and Teng Fei
Int. J. Mol. Sci. 2026, 27(7), 3223; https://doi.org/10.3390/ijms27073223 - 2 Apr 2026
Viewed by 348
Abstract
Tumor initiation and metastatic progression are driven by context-dependent genetic alterations that disrupt tumor suppressor pathways, metabolic homeostasis, and signaling networks. However, the initial drivers that transform normal cells into malignant ones and their context dependency remain elusive. To address this, we aimed [...] Read more.
Tumor initiation and metastatic progression are driven by context-dependent genetic alterations that disrupt tumor suppressor pathways, metabolic homeostasis, and signaling networks. However, the initial drivers that transform normal cells into malignant ones and their context dependency remain elusive. To address this, we aimed to systematically identify and characterize these drivers across cancer types, species, and microenvironments. We constructed customized clustered regularly interspaced short palindromic repeats (CRISPR)/CRISPR-associated protein 9 (Cas9) knockout (KO) libraries targeting high-frequency mutated and downregulated genes associated with liver hepatocellular carcinoma (LIHC) and breast carcinoma (BRCA) and conducted parallel functional screens in non-cancerous mouse and human fibroblast cell lines under two-dimensional (2D), three-dimensional (3D), and in vivo conditions. Strikingly, TP53 and NF1 emerged as pan-context drivers consistently enriched across immortalization, tumorigenesis, and metastasis in both LIHC and BRCA settings, while most other identified drivers were largely species-, tissue-, and microenvironment-specific with limited cross-model overlap. Despite this heterogeneity, all drivers converge on core pathways including epigenetic regulation, metabolic reprogramming, and growth factor signaling. Unlike prior studies on established cancer cells, this work defines the genetic barriers restricting the malignant transformation of primary normal cells, offering a new framework for early cancer evolution. Full article
(This article belongs to the Section Molecular Oncology)
Show Figures

Figure 1

16 pages, 1683 KB  
Article
BRCA1 Promoter CpG Methylation in Breast Cancer: A Pilot Study in African Women
by Tarryn Willmer, Mpoi Makhetha, Ayesha Rasheed Shaik, Lawrence Mabasa, Ines Buccimazza and Colleen Aldous
Genes 2026, 17(4), 407; https://doi.org/10.3390/genes17040407 - 31 Mar 2026
Viewed by 326
Abstract
Background: Breast cancer susceptibility gene 1 (BRCA1) is a pivotal regulator of DNA repair, and its loss through germline mutations is strongly linked to the development of aggressive breast cancers with characteristic clinical and pathological features. Beyond genetic disruption, epigenetic [...] Read more.
Background: Breast cancer susceptibility gene 1 (BRCA1) is a pivotal regulator of DNA repair, and its loss through germline mutations is strongly linked to the development of aggressive breast cancers with characteristic clinical and pathological features. Beyond genetic disruption, epigenetic silencing via promoter hypermethylation has emerged as a non-mutational mechanism of tumour suppressor inactivation and a potential biomarker for guiding therapeutic decisions. Here, we investigate BRCA1 promoter methylation, its impact on gene expression, and its association with clinicopathological features in a cohort of African women with breast cancer. Methods: Matched tumour and adjacent normal tissues from 27 Black African women with breast cancer were analysed for BRCA1 promoter methylation and gene expression using bisulfite pyrosequencing and quantitative real-time PCR. Associations with clinicopathological variables were assessed using Spearman’s correlation analyses. Results: Five CpG sites within the BRCA1 promoter were significantly hypermethylated in breast tumours compared with matched adjacent normal tissues and showed an inverse association with BRCA1 mRNA expression. Elevated promoter methylation was enriched in hormone receptor-negative and triple-negative breast cancer subtypes and was not influenced by neoadjuvant chemotherapy. BRCA1 promoter methylation occurred independently of BRCA1 mutational status. No significant associations were observed between BRCA1 methylation and age, body mass index, smoking status, or alcohol consumption. Conclusions: Our findings provide evidence of BRCA1 epigenetic silencing in breast tumours from African women, particularly within aggressive hormone receptor-negative subtypes. These results suggest that BRCA1 promoter methylation may represent a clinically informative biomarker for patient stratification and highlight the importance of validation in larger, population-representative cohorts before clinical translation. Full article
(This article belongs to the Special Issue Epigenetic Regulation in Tumors)
Show Figures

Graphical abstract

24 pages, 3457 KB  
Article
Hypoxia and DNA-Repair Radiosensitivity Signatures Are Associated with Radiotherapy-Modified Survival in TCGA Breast Cancer, with External Prognostic Validation of the Hypoxia Score in METABRIC
by Jimmy Carter Osei, Mei-Han Chen and Tim A. D. Smith
BioTech 2026, 15(2), 28; https://doi.org/10.3390/biotech15020028 - 31 Mar 2026
Viewed by 287
Abstract
Radiotherapy (RT) is one of the main treatments for breast cancer, but response varies between patients. Tumour hypoxia and intrinsic radiosensitivity are major determinants of response to RT. Using TCGA-BRCA, a 563-gene hypoxia meta-signature was built by combining curated hypoxia gene sets from [...] Read more.
Radiotherapy (RT) is one of the main treatments for breast cancer, but response varies between patients. Tumour hypoxia and intrinsic radiosensitivity are major determinants of response to RT. Using TCGA-BRCA, a 563-gene hypoxia meta-signature was built by combining curated hypoxia gene sets from MSigDB with published hypoxia metagenes (Buffa, Winter, Elvidge, Fardin, and related sets). After Cox screening and penalised regression, a simple three-gene hypoxia score (CP, GPC3, STC1) was derived. In parallel, based on DSB-repair factors highlighted by Mladenov et al. as key regulators of intrinsic radiosensitivity, a four-gene radiosensitivity (RS) signature (ATR, RPA2, BLM, MRE11A) was trained using only RT-treated patients. In TCGA, both signatures were prognostic and showed significant interaction with RT status in Cox models. The hypoxia score was strongly associated with worse outcomes in RT-untreated patients, but this effect was much weaker in RT-treated patients (Hypoxia × RT HR = 0.009, p = 0.044). The RS score showed a similarly strong interaction with RT (RS × RT HR = 0.011, p = 0.003). When we combined both signatures into one interaction model, it gave the best performance (C-index = 0.785), and both interaction terms stayed independently significant. The hypoxia score was then validated externally in METABRIC (N = 1979; 1143 events), where it remained associated with overall survival, although more weakly than in TCGA (HR = 1.34, 95% CI: 1.10–1.63; p = 0.0042). Overall, these results suggest that hypoxia and DSB-repair capacity capture two complementary sides of radiosensitivity and RT-modified survival patterns, and they support further prospective testing and validation in independent datasets with strong RT annotation. Full article
(This article belongs to the Special Issue The Emerging Role of Bioinformatics in Biotechnology)
Show Figures

Figure 1

27 pages, 17215 KB  
Article
Integrated Multi-Omics and Machine Learning Framework Identifies Diagnostic Signatures and Druggable Targets in Breast Cancer
by Zifu Wang, Jinqi Hou, Yimin Chen, Jundi Li and Sivakumar Vengusamy
Genes 2026, 17(4), 396; https://doi.org/10.3390/genes17040396 - 30 Mar 2026
Viewed by 533
Abstract
Background: Breast cancer (BC) is one of the most diagnosed malignancies and a leading cause of cancer-related mortality among women worldwide, thereby posing a substantial threat to women’s health worldwide. However, clinically robust diagnostic biomarkers with high sensitivity and specificity, as well as [...] Read more.
Background: Breast cancer (BC) is one of the most diagnosed malignancies and a leading cause of cancer-related mortality among women worldwide, thereby posing a substantial threat to women’s health worldwide. However, clinically robust diagnostic biomarkers with high sensitivity and specificity, as well as well-validated molecular targets for targeted therapy, remain limited. Methods: BC transcriptomic data from seven GEO datasets and the TCGA-BRCA cohort (n = 1231) were integrated for analysis. After batch-effect correction, candidate genes were screened through DEA, WGCNA, and PPI networks analysis. An ensemble machine learning (ML) framework incorporating 127 algorithmic combinations was constructed, and SHAP analysis was applied to identify hub genes. Further analyses included functional enrichment, immune infiltration, miRNA regulatory network analysis, and SMR analysis. The expression patterns were validated using single-cell transcriptome data. Drug repositioning analysis and AI-assisted virtual screening were performed to prioritize compounds with favorable drug-like properties. The predicted binding modes of candidate compounds with CHEK1 were assessed by molecular docking. Results: Thirty core genes were obtained through differential expression, WGCNA, and PPI screening. Integrated ML (127 algorithms) determined the optimal model (AUC = 0.919), and SHAP identified nine feature genes, among which CHEK1 and KIF23 showed preliminary diagnostic potential across four external cohorts (AUC: 0.625–0.938). Functional enrichment indicated that both are enriched in the cell cycle and p53 pathways, closely associated with BRCA1/ATR; immune infiltration revealed significant correlations with macrophages and CD8+ T cells, with hsa-miR-15a-5p and hsa-miR-607 being common upstream regulatory miRNAs. SMR analysis supported a causal relationship between CHEK1 expression and BC genetic susceptibility (p_SMR < 0.05, p_HEIDI > 0.05); single-cell analysis confirms its heterogeneous expression. AI-assisted virtual screening identified 25 A-grade computational candidate compounds from 171 candidates. Molecular docking suggested that Olaparib and LY294002 can form favorable interactions with the CHEK1 active pocket. Conclusions: The study identified CHEK1 as a key diagnostic gene for BC through 127 ML algorithms and SMR causal inference. By combining AI-assisted virtual screening and molecular docking, computational candidate compounds targeting CHEK1 were prioritized. These findings represent hypothesis-generating in silico predictions and require experimental validation before any therapeutic conclusions can be drawn. Full article
(This article belongs to the Section Molecular Genetics and Genomics)
Show Figures

Figure 1

20 pages, 3177 KB  
Systematic Review
Risk of Radiation-Associated Contralateral Breast Cancer in Germline Mutation Carriers: A Meta-Analysis and Systematic Review
by Christina Hari Nawangsih Prihharsanti, Yan Wisnu Prajoko, Danendra Rakha Putra Respati, Kevin Christian Tjandra, Fitri Mutmainnah, Maritza Bintang Rismadha, Annisa Salsabilla Dwi Nugrahani, Davendra Putra Aryasatya, Andrea Valerie Manik, Fahrul Nurkolis and Edward Kurnia Setiawan Limijadi
Cancers 2026, 18(7), 1106; https://doi.org/10.3390/cancers18071106 - 29 Mar 2026
Viewed by 547
Abstract
Background/Objectives: Contralateral breast cancer (CBC) is a significant concern among breast cancer survivors, particularly in those with moderator-high penetrance germline mutations such as BRCA1, BRCA2, CHEK2, and ATM. While radiotherapy (RT) is a crucial component of breast cancer (BC) treatment, its potential [...] Read more.
Background/Objectives: Contralateral breast cancer (CBC) is a significant concern among breast cancer survivors, particularly in those with moderator-high penetrance germline mutations such as BRCA1, BRCA2, CHEK2, and ATM. While radiotherapy (RT) is a crucial component of breast cancer (BC) treatment, its potential role in increasing CBC risk remains unclear. This systematic review and meta-analysis aim to evaluate the incidence of radiation-induced CBC in germline mutation carriers. Methods: Following PRISMA guidelines, we conducted a comprehensive search in six electronic databases (PubMed, Scopus, Cochrane Library, ProQuest, EBSCO, and Epistemonikos) for studies published fifteen years prior, up to August 2025. We included cohort and case–control studies assessing the association between RT and CBC incidence in germline mutation carriers. A meta-analysis was performed using a random-effects model to estimate cumulative risk (CR) and rate ratios (RR). Results: Seven studies were included. The 5-year cumulative risk (CR) of contralateral breast cancer (CBC) was 0.55 for BRCA1/2, 0.89 for ATM, and 0.80 for CHEK2 carriers. At 10 years, overall CR increased to 0.65, with ATM and CHEK2 remaining high. Rate ratio (RR) analysis showed a significant risk for ATM (2.98), while overall RR indicated more than a two-fold increased CBC risk with radiotherapy (RR = 2.70 common-effect; 2.53 random-effects). Conclusions: Radiotherapy significantly increases contralateral breast cancer risk, particularly in ATM and CHEK2 carriers, emphasizing the importance of personalized genetic risk stratification in treatment decisions. Full article
(This article belongs to the Special Issue Personalized Radiotherapy in Cancer Care (2nd Edition))
Show Figures

Figure 1

24 pages, 1297 KB  
Review
PARP Inhibition in Prostate Cancer: Current Status, Resistance Mechanisms, and Clinical Challenges
by Takashi Matsuoka, Shusuke Akamatsu, Christopher J. Ong, Martin E. Gleave and Yuzhuo Wang
Cells 2026, 15(7), 588; https://doi.org/10.3390/cells15070588 - 26 Mar 2026
Viewed by 780
Abstract
Poly(ADP-ribose) polymerase inhibitors (PARPi) have reshaped therapy for advanced prostate cancer, yet durable benefit remains concentrated in BRCA1/2-altered tumors, especially BRCA2, and most responders eventually relapse. Here, we frame PARPi response and resistance through a unifying model in which DNA damage response (DDR) [...] Read more.
Poly(ADP-ribose) polymerase inhibitors (PARPi) have reshaped therapy for advanced prostate cancer, yet durable benefit remains concentrated in BRCA1/2-altered tumors, especially BRCA2, and most responders eventually relapse. Here, we frame PARPi response and resistance through a unifying model in which DNA damage response (DDR) rewiring (e.g., homologous recombination repair (HRR) restoration, fork protection, checkpoint tolerance, and altered drug handling) converges with treatment-induced dormancy and quiescent therapy-tolerant residual states that sustain minimal residual disease (MRD) under androgen receptor pathway inhibition (ARPI) and PARP blockade. We synthesize clinical and translational evidence for PARPi monotherapy and PARPi-based combinations across disease states. In first-line metastatic castration-resistant prostate cancer (mCRPC), PARPi plus ARPI consistently prolongs radiographic progression-free survival, with the greatest benefit in HRR-altered tumors, and emerging overall-survival signals in selected subgroups. In later-line settings, monotherapy activity is most robust in BRCA2-mutated disease, whereas non-BRCA HRR alterations show heterogeneous and often modest responses, underscoring the need for biomarkers beyond gene panels. We also discuss combination strategies with DDR-targeting agents, radioligand therapies, and immunotherapy, and summarize ongoing phase III programs in metastatic castration-sensitive prostate cancer (mCSPC). Finally, we outline practical considerations for biomarker-informed patient selection, monitoring, sequencing, and toxicity management, with particular emphasis on intercepting MRD and resistance evolution. Full article
(This article belongs to the Special Issue Molecular Mechanisms of Treatment Resistance in Prostate Cancer)
Show Figures

Graphical abstract

18 pages, 560 KB  
Article
Suboptimal Adherence to Hereditary Cancer Risk Management Guidelines: A Cohort Study of High-Risk Individuals in Newfoundland and Labrador, Canada
by Holly Etchegary, Rebecca Puddester, Zhiwei Gao, Vanessa Francis, Mike Warren, T. Nadine Burry, Melanie Seal, Michael Woods, Kathy Watkins, April Pike, Susan Avery, Jerry McGrath, Andree MacMillan and Lesa Dawson
Curr. Oncol. 2026, 33(4), 184; https://doi.org/10.3390/curroncol33040184 - 26 Mar 2026
Viewed by 298
Abstract
Hereditary cancer syndromes (HCSs), including BRCA 1/2-associated hereditary breast and ovarian cancer (HBOC) and Lynch syndrome (LS), confer substantial lifetime cancer risks, yet adherence to recommended risk-management strategies remains variable. This population-based retrospective cohort study examined cancer prevention practices, outcomes, and predictors [...] Read more.
Hereditary cancer syndromes (HCSs), including BRCA 1/2-associated hereditary breast and ovarian cancer (HBOC) and Lynch syndrome (LS), confer substantial lifetime cancer risks, yet adherence to recommended risk-management strategies remains variable. This population-based retrospective cohort study examined cancer prevention practices, outcomes, and predictors of cancer occurrence among 476 BRCA and LS carriers identified through the Provincial Medical Genetics Program in Newfoundland and Labrador, Canada (2001–2022). Linked genetic, surgical, screening, and cancer registry data were evaluated, with adherence assessed during two intervals (2018–2020 and 2020–2022) based on NCCN guidelines. Participants were predominantly female (69%), with a mean age of 48.5 years at genetic testing; nearly 70% of primary cancers were already diagnosed at the time of testing. BRCA carriers demonstrated higher uptake of breast MRI (58–61%) and risk-reducing salpingo-oophorectomy (63–66%) compared with LS carriers’ colonoscopy uptake (42–44%). In univariate analyses, non-adherence during 2018–2020 was associated with increased odds of cancer after testing (OR ≈ 4.43, p < 0.001); this remained significant in the multivariate model (OR = 8.70; p = 0.0004). Individuals who did not follow recommended risk-management guidelines had nearly nine times greater odds of developing cancer after genetic testing than those who fully adhered to guidelines. Older age at referral (OR = 1.07/year, p < 0.001) also increased the odds of developing cancer. Study findings indicate that late referral and pre-existing cancers diminish the preventive impact of guideline-based risk management. System-level initiatives to promote earlier genetic testing, enhance cascade outreach, and strengthen surveillance pathways are needed to optimize cancer prevention and earlier cancer detection in high-risk populations. Full article
(This article belongs to the Special Issue Advanced Research on Breast Cancer Genes in Cancers)
Show Figures

Figure 1

24 pages, 23493 KB  
Article
Pancancer Analysis and the Oncogenic Role of UBTF in Breast Invasive Carcinoma
by Mingang He, Yi Wu, Simeng Liu, Yifeng Hou, Hefen Sun and Wei Jin
Int. J. Mol. Sci. 2026, 27(6), 2909; https://doi.org/10.3390/ijms27062909 - 23 Mar 2026
Viewed by 446
Abstract
Upstream binding transcription factor (UBTF) is a nuclear transcription factor implicated in ribosome biogenesis, yet its pancancer relevance and immunological associations remain incompletely understood. We integrated datasets from The Cancer Genome Atlas (TCGA), Genotype-Tissue Expression (GTEx), Human Protein Atlas (HPA), Cancer [...] Read more.
Upstream binding transcription factor (UBTF) is a nuclear transcription factor implicated in ribosome biogenesis, yet its pancancer relevance and immunological associations remain incompletely understood. We integrated datasets from The Cancer Genome Atlas (TCGA), Genotype-Tissue Expression (GTEx), Human Protein Atlas (HPA), Cancer Cell Line Encyclopedia (CCLE), and cBioPortal databases to characterize UBTF expression, genomic alterations, and prognostic value across 33 cancer types. Immune microenvironment analyses were performed using ESTIMATE and multiple deconvolution algorithms. CRISPR-Cas9–mediated UBTF depletion was conducted in breast invasive carcinoma (BRCA) cell lines to evaluate functional roles. UBTF was broadly upregulated in multiple tumors with recurrent copy number gains. Survival analyses revealed cancer type–dependent prognostic associations. UBTF expression correlated with immune/stromal contexture, checkpoint features, and predicted immunotherapy response. In BRCA, UBTF depletion reduced proliferation and migration while increasing apoptosis. A UBTF-related prognostic signature effectively stratified patient outcomes and was associated with immune infiltration and predicted immunotherapy response. UBTF represents a pancancer biomarker linked to tumor immunity, with validated functional significance in BRCA and potential utility for risk stratification. Full article
(This article belongs to the Special Issue Molecular Research and Immune Landscape of Breast Cancer)
Show Figures

Graphical abstract

Back to TopTop