E. coli Phagelysate: A Primer to Enhance Nanoparticles and Drug Deliveries in Tumor
Abstract
Simple Summary
Abstract
1. Introduction
2. Materials and Methods
2.1. Animals
2.2. Cell Lines
2.3. Tumor Propagation
- Group I: control group, no treatment.
- Group II: treatment with anti-tumor immunomodulator—EcPHL.
- Group III: treatment with Fe-containing magnetic nanoparticles—mNP.
- Group IV: combined treatment—EcPHL plus mNP.
2.4. Tumor Size Measurements
2.5. Biopreparation
2.6. Immunomodulation
2.7. Magnetic Nanoparticles
2.8. Histological Estimation
2.9. Statistical Analysis
3. Results
3.1. Tumor Growth
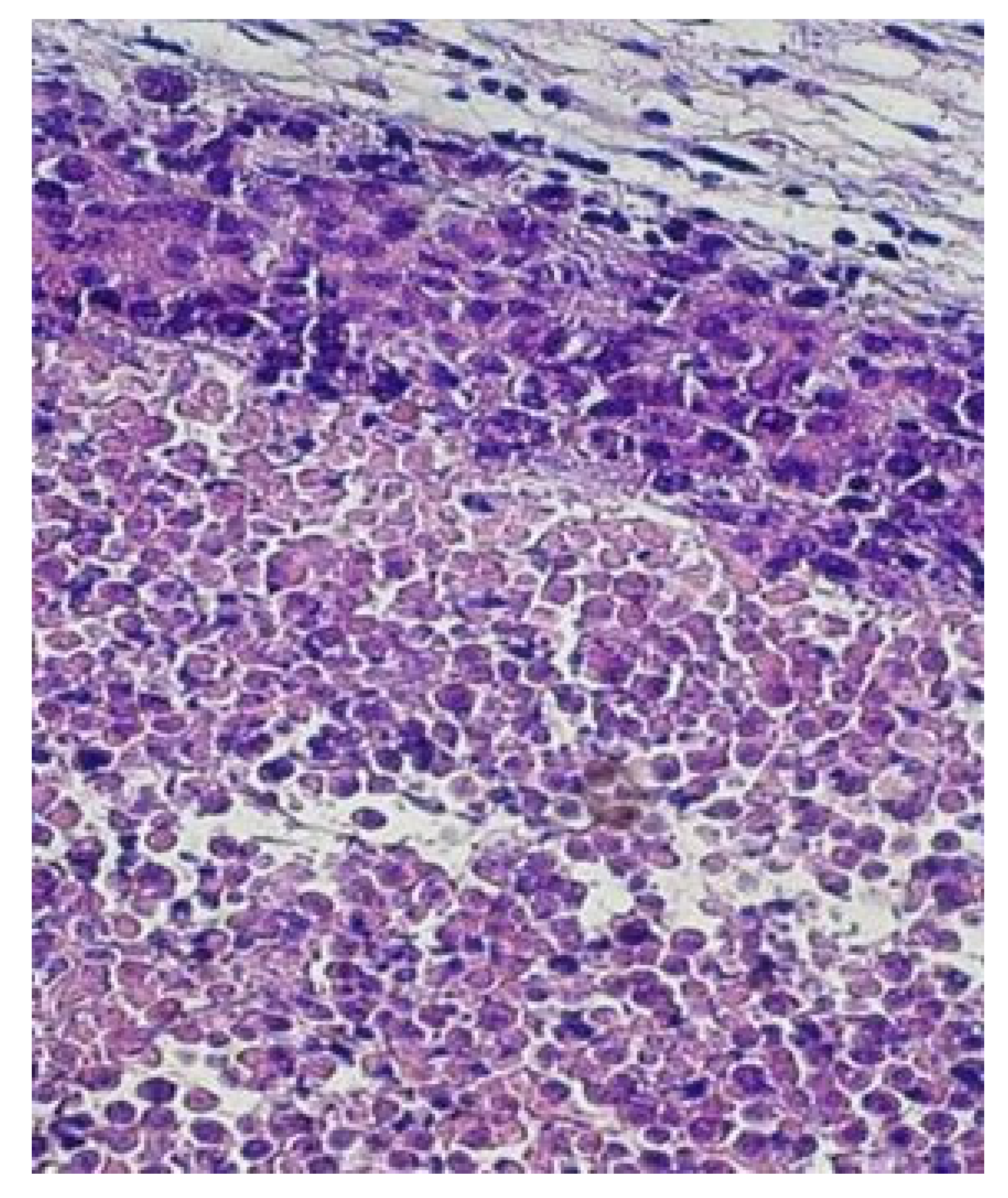
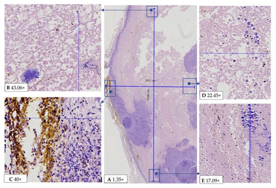
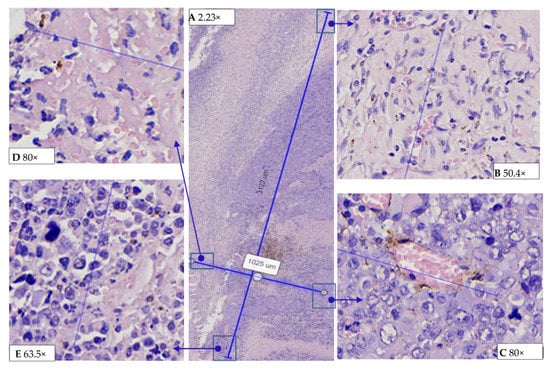
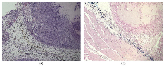
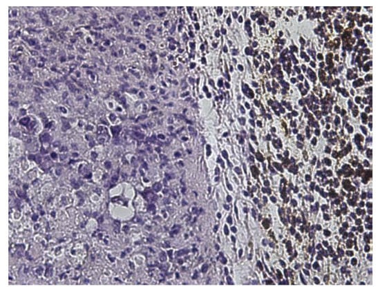
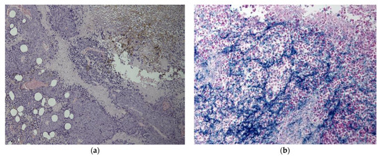
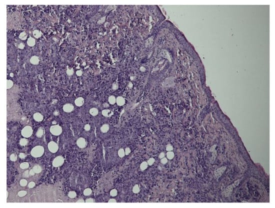
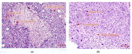
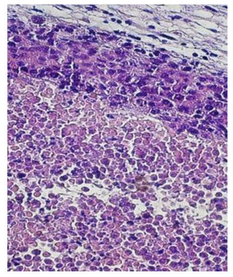
3.2. Histological Analysis of Mice Tissue
3.2.1. Control: Group I
3.2.2. Group II: Mice Vaccinated with EcPHL Immune Modulator
3.2.3. Group III: EcPHL-Untreated Mice Administered with mNP via Local Intratumor Injection
3.2.4. Group IV: EcPHL- and mNP-Treated Mice
3.3. EcPHL Immunomodulator Treatment Effect
4. Discussion
- (a)
- EcPHL exhibits strong anticancer immunomodulatory properties affecting the TME. The EcPHL efficacy was strongest on the 9th and 12th days of Ehrlich carcinoma growth, after the first and second EcPHL vaccinations, which could be related to the increased ratio of M1/M2 macrophages in the TME [45,46].
- (b)
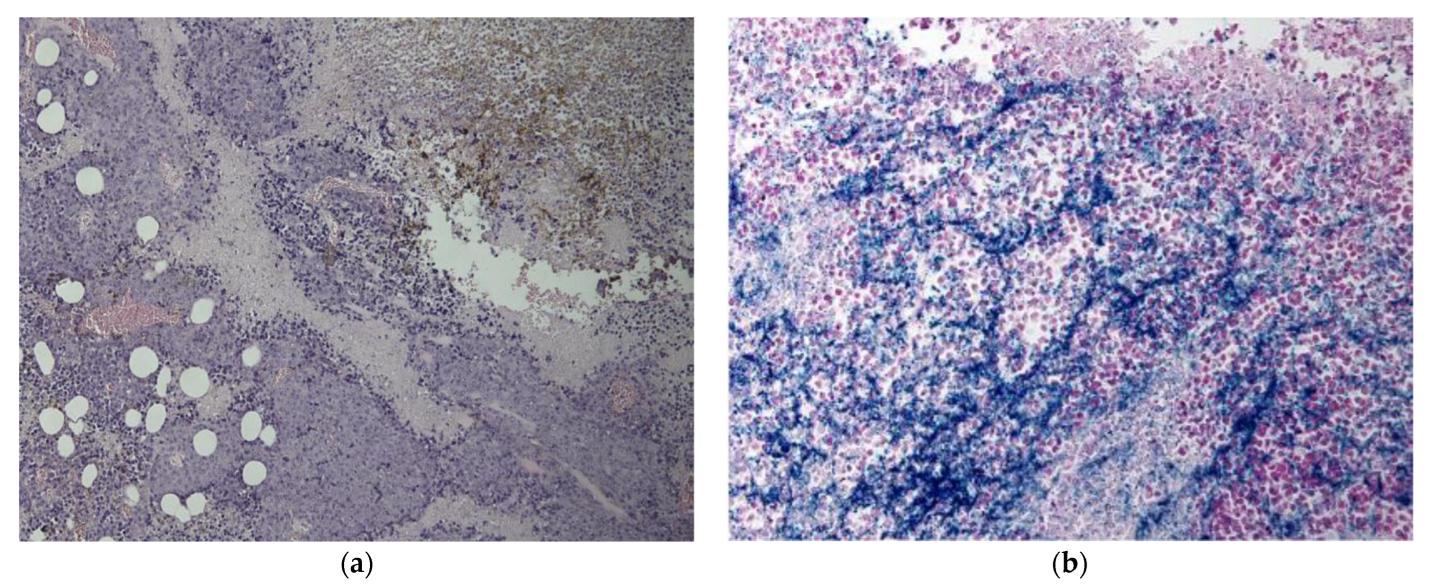
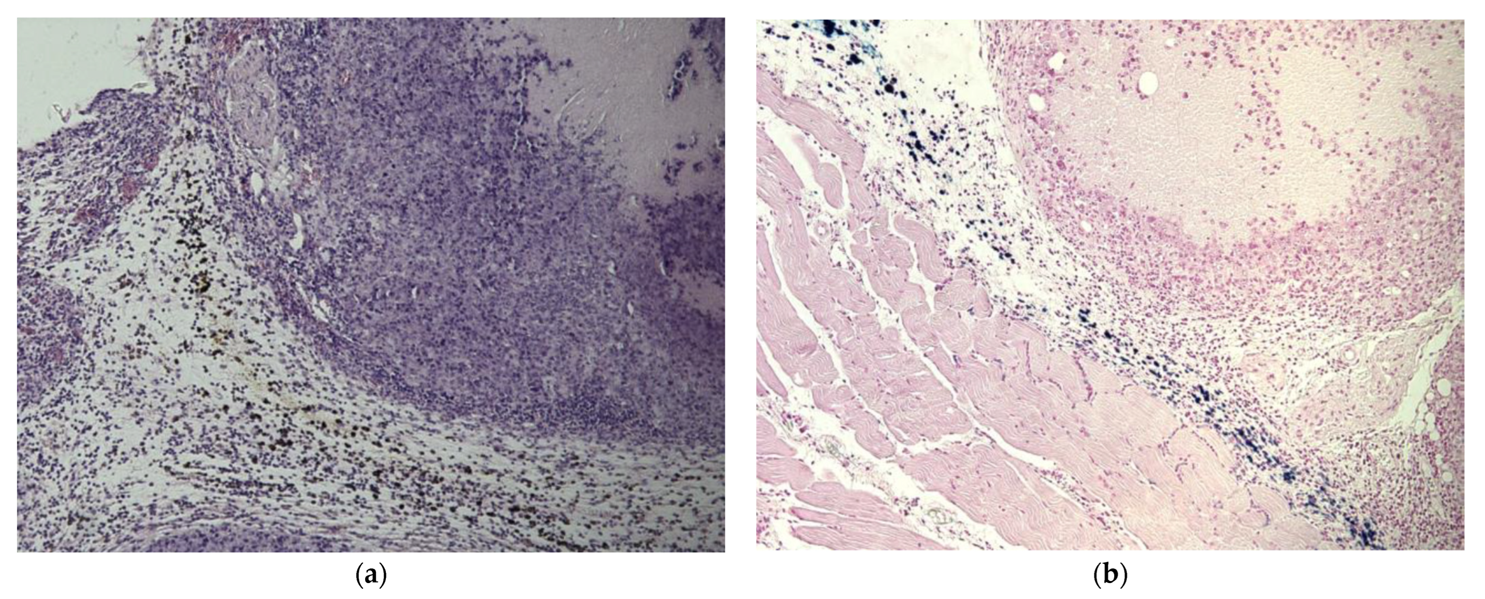
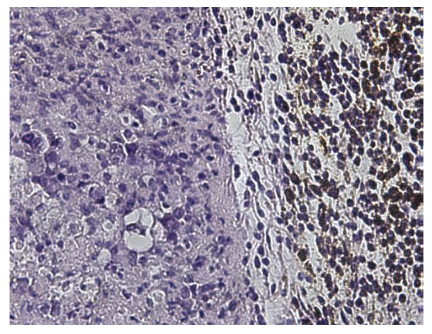
- Histological analyses of the EcPHL-treated mice tumor tissue samples (see Figure 5, Figure 6, Figure 7 and Figure 8) show an increased number of macrophages (supposedly M1 phenotype), which, in turn, release cytokines (e.g., IL-12, TFN-α, and IFN-γ), stimulate further immune system responses, specifically in and around the tumor lesions, and promote tumor cell killing. The observed EcPHL efficacy and the effect of the macrophages on Ehrlich carcinoma are consistent with the view that M1 macrophages possess anti-tumor properties [24,47,48,49].
- (c)
- Although an increase in the M1/M2 ratio in the TME should provide better clinical outcomes in cancer [46], the balance between M1 and M2 macrophage polarization in the TME is influenced by a range of factors, including cytokines, chemokines, and other signaling molecules produced by tumor cells. Even though, at present, we cannot determine which factors of the exogenous EcPHL vaccine activated M1 macrophages and how they impacted Ehrlich carcinoma growth, we hypothesize that EcPHL overdose can reduce the ratio of M1/M2 macrophage polarization in the TME, and as a result, it can decrease EcPHL vaccination efficacy.
- (d)
- EcPHL improves mNP distributions and the spread radius in the tumor tissue from the local inoculation point in comparison to mice tumor tissue without immunomodulation. The mNP were observed in the necrotic areas and fatty and connective tissues, as well as in the TAMs, both intra- and extracellularly. Intracellular iron-containing exogenous pigments were visible in the cytoplasmic granule. A large number of mNP were observed in inflammatory infiltrates, necrotic areas, and macrophages.
5. Conclusions
Author Contributions
Funding
Institutional Review Board Statement
Informed Consent Statement
Data Availability Statement
Acknowledgments
Conflicts of Interest
References
- Siegel, R.L.; Miller, K.D.; Fuchs, H.E.; Jemal, A. Cancer statistics, 2022. CA Cancer J. Clin. 2022, 72, 7–33. [Google Scholar] [CrossRef] [PubMed]
- Anderson, N.M.; Simon, M.C. The tumor microenvironment. Curr. Biol. 2020, 30, R921–R925. [Google Scholar] [CrossRef] [PubMed]
- Ho, W.J.; Jaffee, E.M.; Zheng, L. The tumour microenvironment in pancreatic cancer—Clinical challenges and opportunities. Nat. Rev. Clin. Oncol. 2020, 17, 527–540. [Google Scholar] [CrossRef] [PubMed]
- Larionova, I.; Tuguzbaeva, G.; Ponomaryova, A.; Stakheyeva, M.; Cherdyntseva, N.; Pavlov, V.; Choinzonov, E.; Kzhyshkowska, J. Tumor-Associated Macrophages in Human Breast, Colorectal, Lung, Ovarian and Prostate Cancers. Front. Oncol. 2020, 10, 566511. [Google Scholar] [CrossRef]
- Alibakhshi, A.; Bandehpour, M.; Sharifnia, Z.; Kazemi, B. Development of a multi-epitope antigen as a serodiagnosis marker of Toxoplasma gondii infection. Adv. Clin. Exp. Med. 2020, 29, 669–675. [Google Scholar] [CrossRef]
- Gambashidze, K.; Khorava, P.; Azaladze, T.; Kalandarishvili, K.; Jaiani, E.; Lasareishvil, B.; Azaladze, A.; Tediashvili, M. Antitumor and adjuvant effects of phagelysates of E.coli in mice with Ehrlich carcinoma. Exp. Oncol. 2012, 34, 1–5. [Google Scholar]
- Loughlin, K.R.; William, B. Coley: His Hypothesis, His Toxin, and the Birth of Immunotherapy. Urol. Clin. N. Am. 2020, 47, 413–417. [Google Scholar] [CrossRef]
- Jeong, H.; Hwang, I.; Kang, S.H.; Shin, H.C.; Kwon, S.Y. Tumor-Associated Macrophages as Potential Prognostic Biomarkers of Invasive Breast Cancer. J. Breast Cancer 2019, 22, 38–51. [Google Scholar] [CrossRef]
- Deng, X.; Liang, H.; Yang, W.; Shao, Z. Polarization and function of tumor-associated macrophages mediate graphene oxide-induced photothermal cancer therapy. J. Photochem. Photobiol. B Biol. 2020, 208, 111913. [Google Scholar] [CrossRef]
- Adams, N. Bacteriophages; Interscience Publishers, Inc.: New York, NY, USA, 1959; pp. 27–31. [Google Scholar]
- Clokie, M.; Kropinski, A. Isolation, characterization, and interactions. In Bacteriophages: Methods and Protocols; Springer: Berlin/Heidelberg, Germany, 2009; Volume 1. [Google Scholar] [CrossRef]
- Mdzinarashvili, T.; Mrevlishvili, G.; Khvedelidze, M.; Ivanova, A.; Janelidze, N.; Kiziria, E.; Tushishvili, D.; Tediashvili, M.; Kemp, R. Pycnometric, viscometric and calorimetric studies of the process to release the double-stranded DNA from the Un bacteriophage. Biophys. Chem. 2006, 124, 43–51. [Google Scholar] [CrossRef]
- Bradford, M. Rapid and sensitive method for the quantitation of microgram quantities of protein utilizing the principle of protein-dye binding. Anal. Biochem. 1976, 72, 248–254. [Google Scholar] [CrossRef]
- Shubitidze, F.; Kekalo, K.; Stigliano, R.; Baker, I. Magnetic nanoparticles with high specific absorption rate of electromagnetic energy at low field strength for hyperthermia therapy. J. Appl. Phys. 2015, 117, 094302. [Google Scholar] [CrossRef] [PubMed]
- Kekalo, K.; Baker, I.; Meyers, R.; Shyong, J. Magnetic Nanoparticles with High Specific Absorption Rate at Low Alternating Magnetic Field. Nano Life 2014, 5, 1550002. [Google Scholar] [CrossRef] [PubMed]
- Mishra, S.; Tamta, A.K.; Sarikhani, M.; Desingu, P.A.; Kizkekra, S.M.; Pandit, A.S.; Kumar, S.; Khan, D.; Raghavan, S.C.; Sundaresan, N.R. Subcutaneous Ehrlich Ascites Carcinoma mice model for studying cancer-induced cardiomyopathy. Sci. Rep. 2018, 8, 5599. [Google Scholar] [CrossRef]
- Egawa, J.; Ishioka, K.; Ogata, T. Effect of Irradiation and Chemotherapeutic Agents on the Capillaries of Ehrlich Ascites Carcinoma of Mice. Acta Radiol. Oncol. Radiat. Phys. Biol. 1979, 18, 535–543. [Google Scholar] [CrossRef]
- Simon, P.; Burlingham, W.J.; Conklin, R.; Fondy, T.P. N-bromoacetyl-beta-D-glucosamine tetra-O-acetate and N-bromoacetyl-beta-D-galactosamine tetra-O-acetate as chemotherapeutic agents with immunopotentiating effects in Ehrlich ascites tumor-bearing mice. Cancer Res. 1979, 39, 3897–3902. [Google Scholar] [PubMed]
- Ambrus, J.L.; Ambrus, C.M.; Byron, J.W.; Goldberg, M.E.; Harrisson, J.W. Study of metastasis with the aid of labeled ascites tumor cells. Ann. N. Y. Acad. Sci. 1956, 63, 938–961. [Google Scholar] [CrossRef] [PubMed]
- Saif, M.W.; Siddiqui, I.A.; Sohail, M.A. Management of ascites due to gastrointestinal malignancy. Ann. Saudi Med. 2009, 29, 369–377. [Google Scholar] [CrossRef]
- Wang, X.; Deavers, M.; Patenia, R.; Bassett, R.L., Jr.; Mueller, P.; Ma, Q.; Wang, E. Freedman RS Monocyte ⁄ macrophage and T-cell infiltrates in peritoneum of patients with ovarian cancer or benign pelvic disease. J. Transl. Med. 2006, 4, 30. [Google Scholar] [CrossRef]
- Takaishi, K.; Komohara, Y.; Tashiro, H.; Ohtake, H.; Nakagawa, T.; Katabuchi, H.; Takeya, M. Involvement of M2-polarized macrophages in the ascites from advanced epithelial ovarian carcinoma in tumor progression via Stat3 activation. Cancer Sci. 2010, 101, 2128–2136. [Google Scholar] [CrossRef]
- Na, Y.R.; Yoon, Y.N.; Son, D.I.; Seok, S.H. Cyclooxygenase-2 inhibition blocks M2 macrophage differentiation and suppresses metastasis in murine breast cancer model. PLoS ONE 2013, 8, e63451. [Google Scholar] [CrossRef] [PubMed]
- Kalish, S.V.; Lyamina, S.V.; Usanova, E.A.; Manukhina, E.B.; Larionov, N.P.; Malyshev, I.Y. Macrophages Reprogrammed In Vitro Towards the M1 Phenotype and Activated with LPS Extend Lifespan of Mice with Ehrlich Ascites Carcinoma. Med. Sci. Monit. Basic Res. 2015, 21, 226–234. [Google Scholar] [CrossRef] [PubMed]
- Hassan, S.T.; Mohamed, A.F.; AbdelAllah, N.H.; Zedan, H. Evaluation of MMR live attenuated vaccine oncolytic potential using Ehrlich ascites carcinoma in a murine model. Med. Oncol. 2022, 40, 6. [Google Scholar] [CrossRef] [PubMed]
- Brito, W.; Freund, E.; Nascimento, T.; Pasqual-Melo, G.; Sanches, L.; Dionísio, J.; Fumegali, W.; Miebach, L.; Cecchini, A.; Bekeschus, S. The Anticancer Efficacy of Plasma-Oxidized Saline (POS) in the Ehrlich Ascites Carcinoma Model In Vitro and In Vivo. Biomedicines 2021, 9, 932. [Google Scholar] [CrossRef] [PubMed]
- Morsi, D.S.; El-Nabi, S.H.; Elmaghraby, M.A.; Abu Ali, O.A.; Fayad, E.; Khalifa, S.A.M.; El-Seedi, H.R.; El-Garawani, I.M. Anti-proliferative and immunomodulatory potencies of cinnamon oil on Ehrlich ascites carcinoma bearing mice. Sci. Rep. 2022, 12, 11839. [Google Scholar] [CrossRef]
- Barka, T.; Henderson, S.; Van Der Noen, H.M. Passive immunotherapy of mice bearing Ehrlich ascites tumor expressing human, membrane-bound placental alkaline phosphatase. Tumor Biol. 2000, 21, 145–152. [Google Scholar] [CrossRef]
- Zhong, Z.; Vong, C.T.; Chen, F.; Tan, H.; Zhang, C.; Wang, N.; Cui, L.; Wang, Y.; Feng, Y. Immunomodulatory potential of natural products from herbal medicines as immune checkpoints inhibitors: Helping to fight against cancer via multiple targets. Med. Res. Rev. 2022, 42, 1246–1279. [Google Scholar] [CrossRef]
- Stolyar, S.V.; Kryukova, O.V.; Yaroslavtsev, R.N.; Bayukov, O.A.; Knyazev, Y.V.; Gerasimova, Y.V.; Pyankov, V.F.; Latyshev, N.V.; Shestakov, N.P. Influence of magnetic nanoparticles on cells of Ehrlich ascites carcinoma. AIP Adv. 2021, 11, 015019. [Google Scholar] [CrossRef]
- Gambashidze, K.; Sepashvili, A.; Khorava, P.; Pantsulai, I.; Iobadze, M.; Lasareishvili, B.; Jaiani, E.; Tediashvili, M. Effect of E. coli phage lysate vaccinations on IL-12 and IFN-γ secretion and parameters of cancer growth in lab. mice with Ehrlich carcinoma. Exp. Clin. Med. 2018, N1, 90–97. Available online: http://www.jecm.ge (accessed on 12 January 2022).
- Gowda, N.G.S.; Shiragannavar, V.D.; Prabhuswamimath, S.C.; Tuladhar, S.; Chidambaram, S.B.; Santhekadur, P.K. Ehrlich Ascites carcinoma mice model for studying liver inflammation and fibrosis. Adv. Cancer Biol. Metastasis 2022, 4, 100029. [Google Scholar] [CrossRef]
- Feitosa, I.B.; Mori, B.; Teles, C.B.G.; da Costa, A.G. What are the immune responses during the growth of Ehrlich’s tumor in ascitic and solid form? Life Sci. 2020, 264, 118578. [Google Scholar] [CrossRef] [PubMed]
- Duan, Z.; Luo, Y. Targeting macrophages in cancer immunotherapy. Signal Transduct. Target. Ther. 2021, 6, 127. [Google Scholar] [CrossRef] [PubMed]
- Boutilier, A.; Elsawa, S. Macrophage Polarization States in the Tumor Microenvironment. Int. J. Mol. Sci. 2021, 22, 6995. [Google Scholar] [CrossRef] [PubMed]
- Pan, Y.; Yu, Y.; Wang, X.; Zhang, T. Tumor-Associated Macrophages in Tumor Immunity. Front. Immunol. 2020, 11, 583084. [Google Scholar] [CrossRef]
- Kumari, N.; Choi, S.H. Tumor-associated macrophages in cancer: Recent advancements in cancer nanoimmunotherapies. J. Exp. Clin. Cancer Res. 2022, 41, 68. [Google Scholar] [CrossRef]
- Oshi, M.; Tokumaru, Y.; Asaoka, M.; Yan, L.; Satyananda, V.; Matsuyama, R.; Matsuhashi, N.; Futamura, M.; Ishikawa, T.; Yoshida, K.; et al. M1 Macrophage and M1/M2 ratio defined by transcriptomic signatures resemble only part of their conventional clinical characteristics in breast cancer. Sci. Rep. 2020, 10. [Google Scholar] [CrossRef]
- Vinogradov, S.; Warren, G.; Wei, X. Macrophages associated with tumors as potential targets and therapeutic intermediates. Nanomedicine 2014, 9, 695–707. [Google Scholar] [CrossRef]
- Bauer, S.; Kirschning, C.J.; Häcker, H.; Redecke, V.; Hausmann, S.; Akira, S.; Wagner, H.; Lipford, G.B. Human TLR9 confers responsiveness to bacterial DNA via species-specific CpG motif recognition. Proc. Natl. Acad. Sci. USA 2001, 98, 9237–9242. [Google Scholar] [CrossRef]
- Kaczynska, A.; Klosinska, M.; Janeczek, K.; Zarobkiewicz, M.; Emeryk, A. Promising Immunomodulatory Effects of Bacterial Lysates in Allergic Diseases. Front. Immunol. 2022, 13, 907149. [Google Scholar] [CrossRef]
- Przerwa, A.; Zimecki, M.; Świtała-Jeleń, K.; Dąbrowska, K.; Krawczyk, E.; Łuczak, M.; Weber-Dąbrowska, B.; Syper, D.; Międzybrodzki, R.; Górski, A. Effects of bacteriophages on free radical production and phagocytic functions. Med. Microbiol. Immunol. 2006, 195, 143–150. [Google Scholar] [CrossRef]
- Gambashidze, K.; Sepashvili, A.; Khorava, P.; Azaladze, T.; Jaiani, E.; Lasareishvili, B.; Tediashvili, M. Gram-negative bacterial phagelysates in anticancer therapy. J. Med. Microb. Diagn. 2017, 6 (Suppl. 2), 51–72. [Google Scholar]
- Gambashidze, K.; Pantsulaia, I.; Iobadze, M.; Azaladze, T.; Azaladze, A.; Kalandarishvili, K.; Khorava, P.; Jaiani, E.; Lasareishvili, B.; Tediashvili, M. Effect of E.Coli Phage Lysate Vaccinations on Cd4+ Cd25+ Foxp3+ T-Regulatory Cells and Cytokine Levels in Cancer Bearing Mice. Ann. Oncol. 2014, 25, iv55. [Google Scholar] [CrossRef]
- Liu, J.; Geng, X.; Hou, J.; Wu, G. New insights into M1/M2 macrophages: Key modulators in cancer progression. Cancer Cell Int. 2021, 21, 389. [Google Scholar] [CrossRef] [PubMed]
- Yuan, A.; Hsiao, Y.-J.; Chen, H.-Y.; Chen, H.-W.; Ho, C.-C.; Chen, Y.-Y.; Liu, Y.-C.; Hong, T.-H.; Yu, S.-L.; Chen, J.J.; et al. Opposite Effects of M1 and M2 Macrophage Subtypes on Lung Cancer Progression. Sci. Rep. 2015, 5, 14273. [Google Scholar] [CrossRef] [PubMed]
- Sica, A.; Mantovani, A. Macrophage plasticity and polarization: In vivo veritas. J. Clin. Investig. 2012, 122, 787–795. [Google Scholar] [CrossRef] [PubMed]
- Zhang, J.; Gao, J.; Cui, J.; Wang, Y.; Jin, Y.; Zhang, D.; Lin, D.; Lin, J. Tumor-associated macrophages in tumor progression and the role of traditional Chinese medicine in regulating TAMs to enhance antitumor effects. Front. Immunol. 2022, 13, 1026898. [Google Scholar] [CrossRef]
- Frey, B.; Vehlow, A.; Eke, I. Radiochemotherapy in Multimodal Cancer Therapy Frontiers Research Topics; Frontiers Media SA: Lausanne, Switzerland, 2022; Available online: https://books.google.com/books?id=sg5iEAAAQBAJ (accessed on 15 January 2023).











Disclaimer/Publisher’s Note: The statements, opinions and data contained in all publications are solely those of the individual author(s) and contributor(s) and not of MDPI and/or the editor(s). MDPI and/or the editor(s) disclaim responsibility for any injury to people or property resulting from any ideas, methods, instructions or products referred to in the content. |
© 2023 by the authors. Licensee MDPI, Basel, Switzerland. This article is an open access article distributed under the terms and conditions of the Creative Commons Attribution (CC BY) license (https://creativecommons.org/licenses/by/4.0/).
Share and Cite
Ghambashidze, K.; Chikhladze, R.; Saladze, T.; Hoopes, P.J.; Shubitidze, F. E. coli Phagelysate: A Primer to Enhance Nanoparticles and Drug Deliveries in Tumor. Cancers 2023, 15, 2315. https://doi.org/10.3390/cancers15082315
Ghambashidze K, Chikhladze R, Saladze T, Hoopes PJ, Shubitidze F. E. coli Phagelysate: A Primer to Enhance Nanoparticles and Drug Deliveries in Tumor. Cancers. 2023; 15(8):2315. https://doi.org/10.3390/cancers15082315
Chicago/Turabian StyleGhambashidze, Ketevan, Ramaz Chikhladze, Tamar Saladze, P. Jack Hoopes, and Fridon Shubitidze. 2023. "E. coli Phagelysate: A Primer to Enhance Nanoparticles and Drug Deliveries in Tumor" Cancers 15, no. 8: 2315. https://doi.org/10.3390/cancers15082315
APA StyleGhambashidze, K., Chikhladze, R., Saladze, T., Hoopes, P. J., & Shubitidze, F. (2023). E. coli Phagelysate: A Primer to Enhance Nanoparticles and Drug Deliveries in Tumor. Cancers, 15(8), 2315. https://doi.org/10.3390/cancers15082315

