Leveraging Marine Predators Algorithm with Deep Learning for Lung and Colon Cancer Diagnosis
Abstract
:Simple Summary
Abstract
1. Introduction
2. Related Works
3. The Proposed Model
3.1. Contrast Enhancement
3.2. Feature Extraction Using Optimal MobileNet
3.3. Classification Model Using DBN Model
4. Results and Discussion
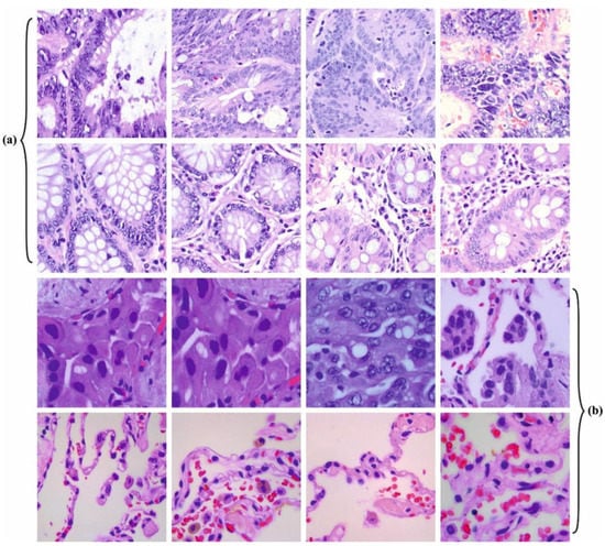
4.1. Data Used
4.2. Result Analysis
4.3. Discussion
5. Conclusions
Author Contributions
Funding
Institutional Review Board Statement
Informed Consent Statement
Data Availability Statement
Conflicts of Interest
References
- Talukder, M.A.; Islam, M.M.; Uddin, M.A.; Akhter, A.; Hasan, K.F.; Moni, M.A. Machine learning-based lung and colon cancer detection using deep feature extraction and ensemble learning. Expert Syst. Appl. 2022, 205, 117695. [Google Scholar] [CrossRef]
- Veeresha, P.; Ilhan, E.; Prakasha, D.G.; Baskonus, H.M.; Gao, W. Regarding on the fractional mathematical model of Tumour invasion and metastasis. Comput. Model. Eng. Sci. 2021, 127, 1013–1036. [Google Scholar] [CrossRef]
- Hage Chehade, A.; Abdallah, N.; Marion, J.M.; Oueidat, M.; Chauvet, P. Lung and colon cancer classification using medical imaging: A feature engineering approach. Phys. Eng. Sci. Med. 2022, 45, 729–746. [Google Scholar] [CrossRef] [PubMed]
- Dubey, R.S.; Goswami, P.; Baskonus, H.M.; Gomati, A.T. On the existence and uniqueness analysis of fractional blood glucose-insulin minimal model. Int. J. Model. Simul. Sci. Comput. 2022, 2350008. [Google Scholar] [CrossRef]
- Hasan, I.; Ali, S.; Rahman, H.; Islam, K. Automated Detection and Characterization of Colon Cancer with Deep Convolutional Neural Networks. J. Healthc. Eng. 2022, 2022, 5269913. [Google Scholar] [CrossRef]
- Bawankar, B.U.; Chinnaiah, K. Implementation of Ensemble Method on DNA Data Using Various cross Validation Techniques. BMC Bioinform. 2022, 23, 496. [Google Scholar] [CrossRef]
- Pacal, I.; Karaboga, D.; Basturk, A.; Akay, B.; Nalbantoglu, U. A comprehensive review of deep learning in colon cancer. Comput. Biol. Med. 2020, 126, 104003. [Google Scholar] [CrossRef]
- Gao, W.; Baskonus, H.M. Deeper investigation of modified epidemiological computer virus model containing the Caputo operator. Chaos Solitons Fractals 2022, 158, 112050. [Google Scholar] [CrossRef]
- Masud, M.; Sikder, N.; Nahid, A.A.; Bairagi, A.K.; AlZain, M.A. A machine learning approach to diagnosing lung and colon cancer using a deep learning-based classification framework. Sensors 2021, 21, 748. [Google Scholar] [CrossRef]
- Trejos, D.Y.; Valverde, J.C.; Venturino, E. Dynamics of infectious diseases: A review of the main biological aspects and their mathematical translation. Appl. Math. Nonlinear Sci. 2022, 7, 1–26. [Google Scholar] [CrossRef]
- Jia, X.; Xing, X.; Yuan, Y.; Xing, L.; Meng, M.Q.H. Wireless capsule endoscopy: A new tool for cancer screening in the colon with deep-learning-based polyp recognition. Proc. IEEE 2019, 108, 178–197. [Google Scholar] [CrossRef]
- Sabir, Z.; Umar, M.; Raja, M.A.Z.; Fathurrochman, I.; Hasan, H. Design of Morlet wavelet neural network to solve the non-linear influenza disease system. Appl. Math. Nonlinear Sci. 2022; ahead of print. [Google Scholar]
- Ali, M.; Ali, R. Multi-input dual-stream capsule network for improved lung and colon cancer classification. Diagnostics 2021, 11, 1485. [Google Scholar] [CrossRef]
- Chen, Q. Research on identifying psychological health problems of college students by logistic regression model based on data mining. Appl. Math. Nonlinear Sci. 2022; ahead of print. [Google Scholar]
- Al-Barzinji, S.M. Diagnosis Lung Cancer Disease Using Machine Learning Techniques. Iraqi J. Inf. Technol. V 2018, 8, 110–130. [Google Scholar] [CrossRef]
- Ghufran, M.; Khan, H.A.; Ullah, M.; Ghufran, S.; Ayaz, M.; Siddiq, M.; Hassan, S.S.U.; Bungau, S. In Silico Strategies for Designing of Peptide Inhibitors of Oncogenic K-Ras G12V Mutant: Inhibiting Cancer Growth and Proliferation. Cancers 2022, 14, 4884. [Google Scholar] [CrossRef] [PubMed]
- Jiao, Y.; Li, J.; Qian, C.; Fei, S. Deep learning-based tumor microenvironment analysis in colon adenocarcinoma histopathological whole-slide images. Comput. Methods Programs Biomed. 2021, 204, 106047. [Google Scholar] [CrossRef]
- Sharma, A.; Sharma, L.; Nandy, S.K.; Payal, N.; Yadav, S.; Vargas-De-La-Cruz, C.; Anwer, M.K.; Khan, H.; Behl, T.; Bungau, S.G. Molecular Aspects and Therapeutic Implications of Herbal Compounds Targeting Different Types of Cancer. Molecules 2023, 28, 750. [Google Scholar] [CrossRef]
- Jiang, D.; Liao, J.; Duan, H.; Wu, Q.; Owen, G.; Shu, C.; Chen, L.; He, Y.; Wu, Z.; He, D.; et al. A machine learning-based prognostic predictor for stage III colon cancer. Sci. Rep. 2020, 10, 10333. [Google Scholar] [CrossRef]
- Rahman, M.M.; Behl, T.; Islam, M.R.; Alam, M.N.; Islam, M.M.; Albarrati, A.; Albratty, M.; Meraya, A.M.; Bungau, S.G. Emerging management approach for the adverse events of immunotherapy of cancer. Molecules 2022, 27, 3798. [Google Scholar] [CrossRef]
- Naga Raju, M.S.; Srinivasa Rao, B. Lung and colon cancer classification using hybrid principle component analysis network-extreme learning machine. Concurr. Comput. Pract. Exp. 2023, 35, e7361. [Google Scholar] [CrossRef]
- Hoang, T.H.; Binh, N.T.; Van, V.; Tan, N.Q. Lung and Colon Tumor Classification Based on Transfer Learning-Based Techniques. In Proceedings of the International Conference on Future Data and Security Engineering, Ho Chi Minh City, Vietnam, 23–25 November 2022; Springer: Singapore, 2022; pp. 614–624. [Google Scholar]
- Attallah, O.; Aslan, M.F.; Sabanci, K. A framework for lung and colon cancer diagnosis via lightweight deep learning models and transformation methods. Diagnostics 2022, 12, 2926. [Google Scholar] [CrossRef]
- Toğaçar, M. Disease type detection in lung and colon cancer images using the complement approach of inefficient sets. Comput. Biol. Med. 2021, 137, 104827. [Google Scholar] [CrossRef] [PubMed]
- Mangal, S.; Chaurasia, A.; Khajanchi, A. Convolution neural networks for diagnosing colon and lung cancer histopathological images. arXiv 2020, arXiv:2009.03878. [Google Scholar]
- Mehmood, S.; Ghazal, T.M.; Khan, M.A.; Zubair, M.; Naseem, M.T.; Faiz, T.; Ahmad, M. Malignancy Detection in Lung and Colon Histopathology Images Using Transfer Learning with Class Selective Image Processing. IEEE Access 2022, 10, 25657–25668. [Google Scholar] [CrossRef]
- Zafar, A.; Nadeem, M. Performance Evaluation of 2D CNN Optimizers for Lung and Colon Cancer Image Classification. In Proceedings of the International Conference on Communication and Artificial Intelligence, Kumamoto, Japan, 23–25 November 2022; Springer: Singapore, 2022; pp. 515–525. [Google Scholar]
- Sahu, S.; Singh, A.K.; Ghrera, S.P.; Elhoseny, M. An approach for de-noising and contrast enhancement of retinal fundus image using CLAHE. Opt. Laser Technol. 2019, 110, 87–98. [Google Scholar]
- Kumar, A.; Sharma, A.; Bharti, V.; Singh, A.K.; Singh, S.K.; Saxena, S. MobiHisNet: A lightweight CNN in mobile edge computing for histopathological image classification. IEEE Internet Things J. 2021, 8, 17778–17789. [Google Scholar] [CrossRef]
- Ahmad, R.; Awais, M.; Kausar, N.; Akram, T. White Blood Cells Classification Using Entropy-Controlled Deep Features Optimization. Diagnostics 2023, 13, 352. [Google Scholar] [CrossRef]
- Nandakumar, P.; Narayan, S. Cardiac disease detection using cuckoo search enabled deep belief network. Intell. Syst. Appl. 2022, 16, 200131. [Google Scholar]
- Lian, J.; Dong, P.; Zhang, Y.; Pan, J. A novel deep learning approach for tropical cyclone track prediction based on auto-encoder and gated recurrent unit networks. Appl. Sci. 2020, 10, 3965. [Google Scholar] [CrossRef]
- Borkowski, A.A.; Bui, M.M.; Thomas, L.B.; Wilson, C.P.; DeLand, L.A.; Mastorides, S.M. Lung and Colon Cancer Histopathological Image Dataset (LC25000). Available online: https://www.kaggle.com/datasets/andrewmvd/lung-and-colon-cancer-histopathological-images?resource=download (accessed on 12 September 2022).











| Class Name | Description | No. of Samples |
|---|---|---|
| Col_Ad | Colon Adenocarcinoma | 5000 |
| Col_Be | Colon Benign Tissue | 5000 |
| Lun_Ad | Lung Adenocarcinoma | 5000 |
| Lun_Be | Lung Benign Tissue | 5000 |
| Lun_SC | Lung Squamous Cell Carcinoma | 5000 |
| Total Number of Samples | 25,000 | |
| Labels | |||||
|---|---|---|---|---|---|
| Training Phase (80%) | |||||
| Col_Ad | 99.35 | 98.28 | 98.41 | 98.35 | 98.99 |
| Col_Be | 99.10 | 98.21 | 97.30 | 97.76 | 98.43 |
| Lun_Ad | 99.29 | 98.24 | 98.19 | 98.21 | 98.87 |
| Lun_Be | 99.19 | 97.73 | 98.24 | 97.98 | 98.83 |
| Lun_SC | 99.30 | 98.13 | 98.44 | 98.28 | 98.98 |
| Average | 99.25 | 98.12 | 98.12 | 98.12 | 98.82 |
| Testing Phase (20%) | |||||
| Col_Ad | 99.28 | 97.73 | 98.85 | 98.29 | 99.12 |
| Col_Be | 99.08 | 98.07 | 97.28 | 97.67 | 98.40 |
| Lun_Ad | 99.42 | 98.64 | 98.55 | 98.59 | 99.10 |
| Lun_Be | 99.30 | 98.45 | 97.95 | 98.20 | 98.79 |
| Lun_SC | 99.28 | 98.02 | 98.23 | 98.12 | 98.88 |
| Average | 99.27 | 98.18 | 98.17 | 98.17 | 98.86 |
| Labels | |||||
|---|---|---|---|---|---|
| Training Phase (70%) | |||||
| Col_Ad | 98.94 | 97.63 | 97.04 | 97.33 | 98.23 |
| Col_Be | 99.32 | 98.18 | 98.48 | 98.33 | 99.01 |
| Lun_Ad | 99.17 | 98.10 | 97.80 | 97.95 | 98.66 |
| Lun_Be | 99.25 | 98.00 | 98.20 | 98.10 | 98.85 |
| Lun_SC | 99.35 | 98.17 | 98.57 | 98.37 | 99.05 |
| Average | 99.21 | 98.02 | 98.02 | 98.02 | 98.76 |
| Testing Phase (30%) | |||||
| Col_Ad | 98.84 | 97.93 | 96.31 | 97.11 | 97.90 |
| Col_Be | 99.17 | 97.47 | 98.27 | 97.87 | 98.83 |
| Lun_Ad | 98.96 | 97.39 | 97.25 | 97.32 | 98.31 |
| Lun_Be | 99.05 | 97.46 | 98.02 | 97.74 | 98.67 |
| Lun_SC | 99.31 | 98.09 | 98.48 | 98.28 | 99.00 |
| Average | 99.07 | 97.67 | 97.67 | 97.66 | 98.54 |
| Methods | Accuracy | Precision | Recall | F-Score |
|---|---|---|---|---|
| MPADL-LC3 | 99.27 | 98.18 | 98.17 | 98.17 |
| mSRC | 88.31 | 85.14 | 91.66 | 86.70 |
| Faster R-CNN | 98.64 | 96.52 | 97.75 | 97.19 |
| DAELGNN | 98.73 | 97.98 | 96.47 | 96.65 |
| RESNET-50 | 93.81 | 96.20 | 97.56 | 96.90 |
| CNN | 97.13 | 97.02 | 97.36 | 97.79 |
| DL Model | 96.34 | 96.94 | 96.31 | 98.03 |
Disclaimer/Publisher’s Note: The statements, opinions and data contained in all publications are solely those of the individual author(s) and contributor(s) and not of MDPI and/or the editor(s). MDPI and/or the editor(s) disclaim responsibility for any injury to people or property resulting from any ideas, methods, instructions or products referred to in the content. |
© 2023 by the authors. Licensee MDPI, Basel, Switzerland. This article is an open access article distributed under the terms and conditions of the Creative Commons Attribution (CC BY) license (https://creativecommons.org/licenses/by/4.0/).
Share and Cite
Mengash, H.A.; Alamgeer, M.; Maashi, M.; Othman, M.; Hamza, M.A.; Ibrahim, S.S.; Zamani, A.S.; Yaseen, I. Leveraging Marine Predators Algorithm with Deep Learning for Lung and Colon Cancer Diagnosis. Cancers 2023, 15, 1591. https://doi.org/10.3390/cancers15051591
Mengash HA, Alamgeer M, Maashi M, Othman M, Hamza MA, Ibrahim SS, Zamani AS, Yaseen I. Leveraging Marine Predators Algorithm with Deep Learning for Lung and Colon Cancer Diagnosis. Cancers. 2023; 15(5):1591. https://doi.org/10.3390/cancers15051591
Chicago/Turabian StyleMengash, Hanan Abdullah, Mohammad Alamgeer, Mashael Maashi, Mahmoud Othman, Manar Ahmed Hamza, Sara Saadeldeen Ibrahim, Abu Sarwar Zamani, and Ishfaq Yaseen. 2023. "Leveraging Marine Predators Algorithm with Deep Learning for Lung and Colon Cancer Diagnosis" Cancers 15, no. 5: 1591. https://doi.org/10.3390/cancers15051591
APA StyleMengash, H. A., Alamgeer, M., Maashi, M., Othman, M., Hamza, M. A., Ibrahim, S. S., Zamani, A. S., & Yaseen, I. (2023). Leveraging Marine Predators Algorithm with Deep Learning for Lung and Colon Cancer Diagnosis. Cancers, 15(5), 1591. https://doi.org/10.3390/cancers15051591

