An Interpretable Three-Dimensional Artificial Intelligence Model for Computer-Aided Diagnosis of Lung Nodules in Computed Tomography Images
Abstract
:Simple Summary
Abstract
1. Introduction
2. Related Work
3. Materials and Methods
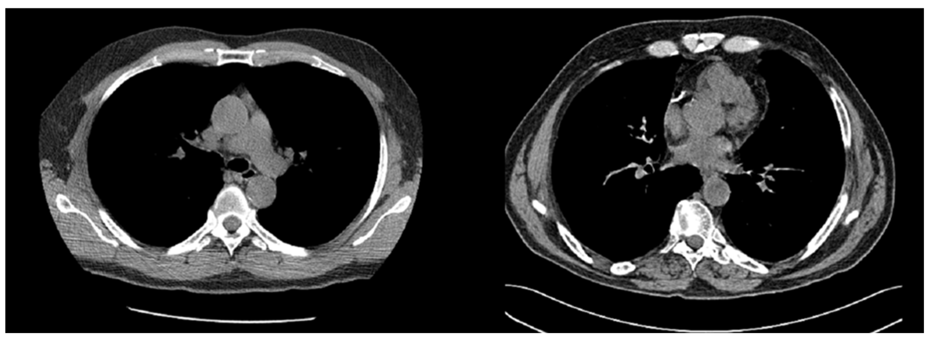
3.1. Lung Image Database Consortium Image Collection
3.2. Our Usage of the LIDC-IDRI Dataset
3.3. Interpretable Hierarchical Semantic Convolutional Neural Networks
3.4. Experimental Setup and Evaluation Measures
4. Results
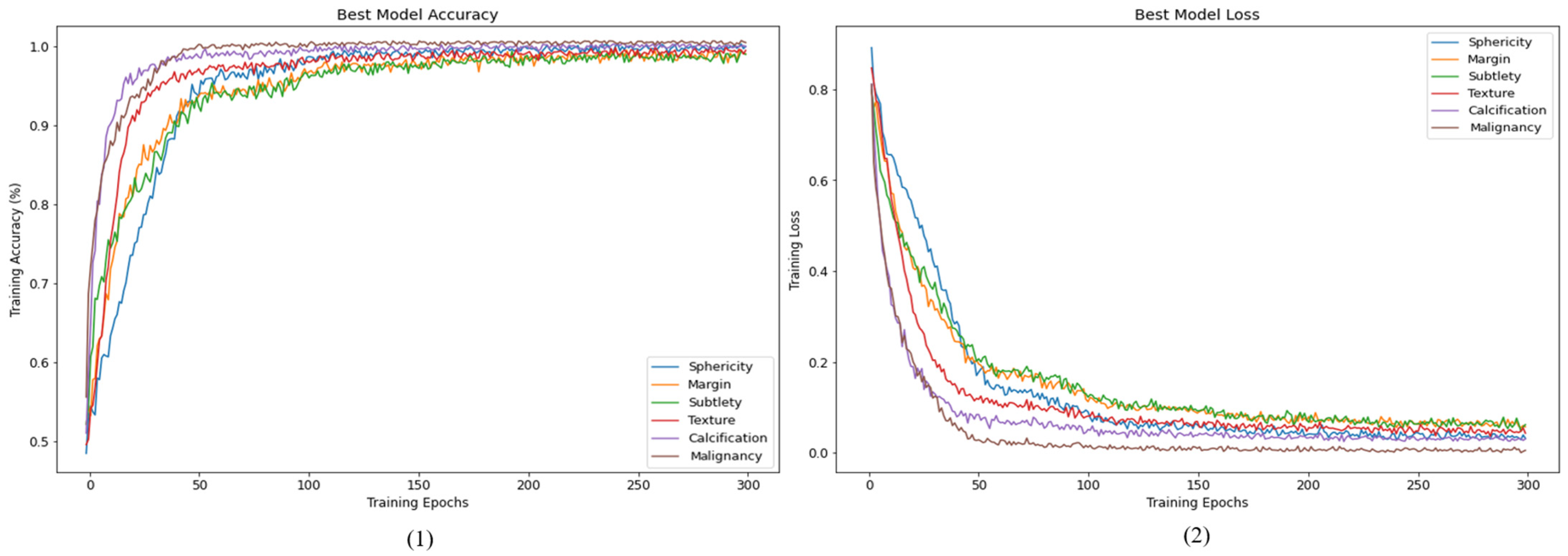
4.1. Effect of Optimization Strategies
4.2. Prediction Performance
5. Discussion
6. Conclusions
Author Contributions
Funding
Institutional Review Board Statement
Informed Consent Statement
Data Availability Statement
Acknowledgments
Conflicts of Interest
References
- Patz, E.F., Jr.; Goodman, P.C.; Bepler, G. Screening for lung cancer. N. Engl. J. Med. 2000, 343, 1627–1633. [Google Scholar] [CrossRef] [PubMed]
- Yang, P. PS01. 02 national lung cancer screening program in Taiwan: The TALENT study. J. Thorac. Oncol. 2021, 16, S58. [Google Scholar] [CrossRef]
- Wu, J.; Qian, T. A survey of pulmonary nodule detection, segmentation and classification in computed tomography with deep learning techniques. J. Med. Artif. Intell. 2019, 2. [Google Scholar] [CrossRef]
- de Margerie-Mellon, C.; Chassagnon, G. Artificial intelligence: A critical review of applications for lung nodule and lung cancer. Diagn. Interv. Imaging 2022, 104, 11–17. [Google Scholar] [CrossRef]
- Li, R.; Xiao, C.; Huang, Y.; Hassan, H.; Huang, B. Deep learning applications in computed tomography images for pulmonary nodule detection and diagnosis: A review. Diagnostics 2022, 12, 298. [Google Scholar] [CrossRef] [PubMed]
- Jin, H.; Yu, C.; Gong, Z.; Zheng, R.; Zhao, Y.; Fu, Q. Machine learning techniques for pulmonary nodule computer-aided diagnosis using CT images: A systematic review. Biomed. Signal Process. Control 2023, 79, 104104. [Google Scholar] [CrossRef]
- Khaleghi, B. The How of Explainable AI: Postmodelling Explainability. Available online: https://towardsdatascience.com/the-how-of-explainable-ai-post-modelling-explainability-8b4cbc7adf5f (accessed on 29 December 2019).
- Shen, S.; Han, S.X.; Aberle, D.R.; Bui, A.A.; Hsu, W. An interpretable deep hierarchical semantic convolutional neural network for lung nodule malignancy classification. Expert Syst. Appl. 2019, 128, 84–95. [Google Scholar] [CrossRef]
- Kanazawa, K.; Kawata, Y.; Niki, N.; Satoh, H.; Ohmatsu, H.; Kakinuma, R.; Kaneko, M.; Moriyama, N.; Eguchi, K. Computer-aided diagnosis for pulmonary nodules based on helical CT images. Comput. Med. Imaging Graph. 1998, 22, 157–167. [Google Scholar] [CrossRef] [PubMed]
- Murchison, J.T.; Ritchie, G.; Senyszak, D.; Nijwening, J.H.; van Veenendaal, G.; Wakkie, J.; van Beek, E.J. Validation of a deep learning computer aided system for CT based lung nodule detection, classification, and growth rate estimation in a routine clinical population. PLoS ONE 2022, 17, e0266799. [Google Scholar] [CrossRef]
- Shariaty, F.; Mousavi, M. Application of CAD systems for the automatic detection of lung nodules. Inform. Med. Unlocked 2019, 15, 100173. [Google Scholar] [CrossRef]
- Kaushal, C.; Bhat, S.; Koundal, D.; Singla, A. Recent trends in computer assisted diagnosis (CAD) system for breast cancer diagnosis using histopathological images. IRBM 2019, 40, 211–227. [Google Scholar] [CrossRef]
- Kumar, D.; Wong, A.; Clausi, D.A. Lung nodule classification using deep features in CT images. In Proceedings of the 2015 12th Conference on Computer and Robot Vision, Halifax, NS, Canada, 3–5 June 2015; pp. 133–138. [Google Scholar]
- Tomassini, S.; Falcionelli, N.; Sernani, P.; Burattini, L.; Dragoni, A.F. Lung nodule diagnosis and cancer histology classification from computed tomography data by convolutional neural networks: A survey. Comput. Biol. Med. 2022, 146, 105691. [Google Scholar] [CrossRef] [PubMed]
- Wang, L. Deep Learning Techniques to Diagnose Lung Cancer. Cancers 2022, 14, 5569. [Google Scholar] [CrossRef] [PubMed]
- Sourlos, N.; Wang, J.; Nagaraj, Y.; van Ooijen, P.; Vliegenthart, R. Possible Bias in Supervised Deep Learning Algorithms for CT Lung Nodule Detection and Classification. Cancers 2022, 14, 3867. [Google Scholar] [CrossRef] [PubMed]
- Shafi, I.; Din, S.; Khan, A.; Díez, I.D.L.T.; Casanova, R.d.J.P.; Pifarre, K.T.; Ashraf, I. An Effective Method for Lung Cancer Diagnosis from CT Scan Using Deep Learning-Based Support Vector Network. Cancers 2022, 14, 5457. [Google Scholar] [CrossRef]
- Naik, A.; Edla, D.R. Lung nodule classification on computed tomography images using deep learning. Wirel. Pers. Commun. 2021, 116, 655–690. [Google Scholar] [CrossRef]
- Halder, A.; Dey, D.; Sadhu, A.K. Lung nodule detection from feature engineering to deep learning in thoracic CT images: A comprehensive review. J. Digit. Imaging 2020, 33, 655–677. [Google Scholar] [CrossRef]
- Sun, W.; Zheng, B.; Qian, W. Computer aided lung cancer diagnosis with deep learning algorithms. In Proceedings of the Medical Imaging 2016: Computer-Aided Diagnosis, San Diego, CA, USA, 27 February–3 March 2016; p. 97850. [Google Scholar]
- Shen, C.; Tsai, M.-Y.; Chen, L.; Li, S.; Nguyen, D.; Wang, J.; Jiang, S.B.; Jia, X. On the robustness of deep learning-based lung-nodule classification for CT images with respect to image noise. Phys. Med. Biol. 2020, 65, 245037. [Google Scholar] [CrossRef]
- Wu, P.; Sun, X.; Zhao, Z.; Wang, H.; Pan, S.; Schuller, B. Classification of lung nodules based on deep residual networks and migration learning. Comput. Intell. Neurosci. 2020, 2020, 8975078. [Google Scholar] [CrossRef]
- Neal Joshua, E.S.; Bhattacharyya, D.; Chakkravarthy, M.; Byun, Y.-C. 3D CNN with visual insights for early detection of lung cancer using gradient-weighted class activation. J. Healthc. Eng. 2021, 2021, 6695518. [Google Scholar] [CrossRef]
- Armato, S.G., 3rd; McLennan, G.; Bidaut, L.; McNitt-Gray, M.F.; Meyer, C.R.; Reeves, A.P.; Zhao, B.; Aberle, D.R.; Henschke, C.I.; Hoffman, E.A.; et al. The Lung Image Database Consortium (LIDC) and Image Database Resource Initiative (IDRI): A completed reference database of lung nodules on CT scans. Med. Phys. 2011, 38, 915–931. [Google Scholar] [CrossRef]
- Roiger, R.J. Data Mining: A Tutorial-Based Primer; CRC Press: Boca Raton, FL, USA, 2017. [Google Scholar]
- Smith, L.N. Cyclical learning rates for training neural networks. In Proceedings of the 2017 IEEE Winter Conference on Applications of Computer Vision (WACV), Santa Rosa, CA, USA, 24–31 March 2017; pp. 464–472. [Google Scholar]
- Izmailov, P.; Podoprikhin, D.; Garipov, T.; Vetrov, D.; Wilson, A.G. Averaging weights leads to wider optima and better generalization. arXiv 2018, arXiv:1803.05407. [Google Scholar]
- Zhang, H.; Zhang, H. LungSeek: 3D Selective Kernel residual network for pulmonary nodule diagnosis. Vis. Comput. 2023, 39, 679–692. [Google Scholar] [CrossRef] [PubMed]
- Halder, A.; Chatterjee, S.; Dey, D. Adaptive morphology aided 2-pathway convolutional neural network for lung nodule classification. Biomed. Signal Process. Control 2022, 72, 103347. [Google Scholar] [CrossRef]
- Donga, H.V.; Karlapati, J.S.A.N.; Desineedi, H.S.S.; Periasamy, P.; TR, S. Effective Framework for Pulmonary Nodule Classification from CT Images Using the Modified Gradient Boosting Method. Appl. Sci. 2022, 12, 8264. [Google Scholar] [CrossRef]
- Zhang, G.; Lin, L.; Wang, J. Lung nodule classification in CT images using 3D DenseNet. In Journal of Physics: Conference Series; IOP Publishing: Bristol, UK, 2021; p. 012155. [Google Scholar]
- Agnes, S.A.; Anitha, J. Automatic 2D lung nodule patch classification using deep neural networks. In Proceedings of the 2020 Fourth International Conference on Inventive Systems and Control (ICISC), Coimbatore, India, 8–10 January 2020; pp. 500–504. [Google Scholar]
- Liu, H.; Cao, H.; Song, E.; Ma, G.; Xu, X.; Jin, R.; Liu, C.; Hung, C.-C. Multi-model ensemble learning architecture based on 3D CNN for lung nodule malignancy suspiciousness classification. J. Digit. Imaging 2020, 33, 1242–1256. [Google Scholar] [CrossRef]
- Xia, K.; Chi, J.; Gao, Y.; Jiang, Y.; Wu, C. Adaptive aggregated attention network for pulmonary nodule classification. Appl. Sci. 2021, 11, 610. [Google Scholar] [CrossRef]
- Ali, I.; Muzammil, M.; Haq, I.U.; Khaliq, A.A.; Abdullah, S. Efficient lung nodule classification using transferable texture convolutional neural network. IEEE Access 2020, 8, 175859–175870. [Google Scholar] [CrossRef]
- Al-Shabi, M.; Lan, B.L.; Chan, W.Y.; Ng, K.-H.; Tan, M. Lung nodule classification using deep local–global networks. Int. J. Comput. Assist. Radiol. Surg. 2019, 14, 1815–1819. [Google Scholar] [CrossRef]
- Al-Shabi, M.; Lee, H.K.; Tan, M. Gated-dilated networks for lung nodule classification in CT scans. IEEE Access 2019, 7, 178827–178838. [Google Scholar] [CrossRef]
- Dey, R.; Lu, Z.; Hong, Y. Diagnostic classification of lung nodules using 3D neural networks. In Proceedings of the 2018 IEEE 15th international symposium on biomedical imaging (ISBI 2018), Washington, DC, USA, 4–7 April 2018; pp. 774–778. [Google Scholar]
- Nibali, A.; He, Z.; Wollersheim, D. Pulmonary nodule classification with deep residual networks. Int. J. Comput. Assist. Radiol. Surg. 2017, 12, 1799–1808. [Google Scholar] [CrossRef] [PubMed]
- Shen, W.; Zhou, M.; Yang, F.; Yu, D.; Dong, D.; Yang, C.; Zang, Y.; Tian, J. Multi-crop convolutional neural networks for lung nodule malignancy suspiciousness classification. Pattern Recognit. 2017, 61, 663–673. [Google Scholar] [CrossRef]









| Semantic Features | Original Level | Two Level |
|---|---|---|
| Malignancy | 1. Highly unlikely | 0. Benign |
| 2. Moderately unlikely | ||
| 3. Indeterminate | ||
| 4. Moderately suspicious | 1. Malignant | |
| 5. Highly suspicious | ||
| Margin | 1. Poorly defined | 0. Poorly defined margin |
| 2. | ||
| 3. | ||
| 4. | 1. Sharp margin | |
| 5. Sharp | ||
| Sphericity | 1. Linear | 0. Lesser roundness |
| 2. | ||
| 3. Ovoid | ||
| 4. | 1. High degree of roundness | |
| 5. Round | ||
| Subtlety | 1. Extremely subtle | 0. Poor contrast between nodule and surroundings |
| 2. Moderately subtle | ||
| 3. Fairly subtle | ||
| 4. Moderately obvious | 1. High contrast between nodule and surroundings | |
| 5. Obvious | ||
| Texture | 1. Non-solid | 0. Non-solid internal density |
| 2. | ||
| 3. Part Solid | ||
| 4. | 1. Solid internal density | |
| 5. Solid | ||
| Calcification | 1. Popcorn | 0. Presence of calcification |
| 2. Laminated | ||
| 3. Solid | ||
| 4. Non-central | ||
| 5. Central | ||
| 6. Absent | 1. Absence of calcification |
| No | Iteration | Optimizer | SWA | Test Accuracy |
|---|---|---|---|---|
| Run1 | 300 | SGD | No | 96.98% |
| Run2 | 300 | Adam | No | 97.08% |
| Run3 | 300 | SGD-CLR | No | 97.17% |
| Run4 | 300 | SGD-CLR | Yes | 97.65% |
| Run5 | 300 | RMSProp-CLR | Yes | 97.18% |
| No | Training Set | Validation Set | Test Set | Test Accuracy |
|---|---|---|---|---|
| Exp1 | Fold2 + Fold3 | Fold4 | Fold1 | 97.84% |
| Exp2 | Fold3 + Fold4 | Fold1 | Fold2 | 96.61% |
| Exp3 | Fold4 + Fold1 | Fold2 | Fold3 | 96.52% |
| Exp4 | Fold1 + Fold2 | Fold3 | Fold4 | 96.43% |
| Semantic | Test1 | Test2 | Test3 | Test4 |
|---|---|---|---|---|
| Sphericity | 0.926 | 0.942 | 0.944 | 0.905 |
| Margin | 0.954 | 0.966 | 0.967 | 0.965 |
| Subtlety | 0.948 | 0.963 | 0.956 | 0.956 |
| Texture | 0.982 | 0.978 | 0.994 | 0.976 |
| Calcification | 0.990 | 0.999 | 0.996 | 0.992 |
| Malignancy | 0.991 | 0.980 | 0.988 | 0.977 |
| Semantic | Accuracy (SD) | Sensitivity (SD) | Specificity (SD) |
|---|---|---|---|
| Calcification | 0.9873 (0.006) | 0.9966 (0.002) | 0.9151 (0.041) |
| Margin | 0.9207 (0.009) | 0.9584 (0.016) | 0.8129 (0.021) |
| Subtlety | 0.9026 (0.014) | 0.9290 (0.016) | 0.8584 (0.032) |
| Texture | 0.9685 (0.006) | 0.9933 (0.002) | 0.7889 (0.049) |
| Sphericity | 0.8652 (0.021) | 0.8796 (0.038) | 0.8638 (0.033) |
| Malignancy | 0.9685 (0.006) | 0.9267 (0.029) | 0.9823 (0.004) |
| Test Set | HSNet AUC | HSCNN AUC | AUC Difference | Paired t-Test |
|---|---|---|---|---|
| Fold1 | 0.926 | 0.577 | 0.349 | p = 0.0004 mean difference 0.3207 95% CI [0.2635, 0.3780] |
| Fold2 | 0.942 | 0.590 | 0.352 | |
| Fold3 | 0.944 | 0.640 | 0.304 | |
| Fold4 | 0.905 | 0.627 | 0.278 |
| Test Set | HSNet AUC | HSCNN AUC | AUC Difference | Paired t-Test |
|---|---|---|---|---|
| Fold1 | 0.954 | 0.829 | 0.125 | p = 0.0037 mean difference 0.1725 95% CI [0.1059, 0.2391] |
| Fold2 | 0.966 | 0.739 | 0.227 | |
| Fold3 | 0.967 | 0.800 | 0.167 | |
| Fold4 | 0.965 | 0.794 | 0.171 |
| Test Set | HSNet AUC | HSCNN AUC | AUC Difference | Paired t-Test |
|---|---|---|---|---|
| Fold1 | 0.948 | 0.823 | 0.125 | p = 0.0002 mean difference 0.1293 95% CI [0.1110, 0.1475] |
| Fold2 | 0.963 | 0.817 | 0.146 | |
| Fold3 | 0.956 | 0.830 | 0.126 | |
| Fold4 | 0.956 | 0.836 | 0.120 |
| Test Set | HSNet AUC | HSCNN AUC | AUC Difference | Paired t-Test |
|---|---|---|---|---|
| Fold1 | 0.982 | 0.847 | 0.135 | p = 0.0005 mean difference 0.1642 95% CI [0.1325, 0.1960] |
| Fold2 | 0.978 | 0.801 | 0.177 | |
| Fold3 | 0.994 | 0.826 | 0.168 | |
| Fold4 | 0.976 | 0.799 | 0.177 |
| Test Set | HSNet AUC | HSCNN AUC | AUC Difference | Paired t-Test |
|---|---|---|---|---|
| Fold1 | 0.990 | 0.946 | 0.044 | p = 0.0049 mean difference 0.0418 95% CI [0.0241, 0.0594] |
| Fold2 | 0.999 | 0.969 | 0.030 | |
| Fold3 | 0.996 | 0.940 | 0.056 | |
| Fold4 | 0.992 | 0.955 | 0.037 |
| Test Set | HSNet AUC | HSCNN AUC | AUC Difference | Paired t-Test |
|---|---|---|---|---|
| Fold1 | 0.991 | 0.987 | 0.004 | p = 0.0469 mean difference 0.0040 95% CI [0.0001, 0.0079] |
| Fold2 | 0.980 | 0.976 | 0.004 | |
| Fold3 | 0.988 | 0.987 | 0.001 | |
| Fold4 | 0.977 | 0.970 | 0.007 |
| Semantic | HSCNN [8] AUC (SD) | HSNet AUC (SD) | Ps Value |
|---|---|---|---|
| Calcification | 0.930 (0.034) | 0.994 (0.004) | 7.717 |
| Margin | 0.776 (0.033) | 0.963 (0.005) | 12.798 |
| Subtlety | 0.803 (0.015) | 0.956 (0.005) | 10.835 |
| Texture | 0.850 (0.042) | 0.983 (0.007) | 11.084 |
| Sphericity | 0.568 (0.015) | 0.929 (0.016) | 19.182 |
| Malignancy | 0.856 (0.026) | 0.984 (0.006) | 10.877 |
| Year | Author | Dataset | Model | ACC (%) | SEN (%) | AUC (%) |
|---|---|---|---|---|---|---|
| 2023 | Our Method | LIDC-IDRI | 3D-White Box | 96.85 | 92.67 | 98.40 |
| 2023 | Zhang and Zhang [28] | LUNA16 | 3D-Black Box | 92.75 | - | - |
| 2022 | Halder et al. [29] | LIDC-IDRI | 2D-Black Box | 96.10 | 96.85 | 99.36 |
| 2022 | Donga et al. [30] | LIDC-IDRI | 2D-Black Box | 95.67 | 91.00 | - |
| 2021 | Zhang et al. [31] | LUNA16 | 3D-Black Box | 92.40 | 87.00 | - |
| 2020 | Agnes et al. [32] | LIDC- IDRI | 2D-Black Box | - | 81.00 | 94.40 |
| 2020 | Liu et al. [33] | LIDC-IDRI | 3D-Black Box | 90.60 | 83.70 | 93.90 |
| 2020 | Xia et al. [34] | LIDC-IDRI | 3D-Black Box | 91.90 | 91.30 | - |
| 2020 | Ali et al. [35] | LIDC-IDRI | 2D-Black Box | 96.69 | 98.10 | 99.11 |
| 2019 | Shen et al. [8] | LIDC- IDRI | 3D-White Box | 84.2 | 70.5 | 85.6 |
| 2019 | Al-Shabi et al. [36] | LIDC-IDRI | 2D-Black Box | 88.46 | 88.66 | 95.62 |
| 2019 | Al-Shabi et al. [37] | LIDC-IDRI | 2D-Black Box | 92.57 | 92.21 | 93.15 |
| 2018 | Dey et al. [38] | LIDC-IDRI | 3D-Black Box | 90.40 | - | 95.48 |
| 2017 | Nibali et al. [39] | LIDC-IDRI | 2D-Black Box | 89.90 | 91.07 | 94.59 |
| 2016 | Shen et al. [40] | LIDC-IDRI | 3D-Black Box | 87.14 | 77.00 | 93.00 |
| 2015 | Kumar et al. [13] | LIDC-IDRI | 2D-Black Box | 75.01 | 83.35 | - |
Disclaimer/Publisher’s Note: The statements, opinions and data contained in all publications are solely those of the individual author(s) and contributor(s) and not of MDPI and/or the editor(s). MDPI and/or the editor(s) disclaim responsibility for any injury to people or property resulting from any ideas, methods, instructions or products referred to in the content. |
© 2023 by the authors. Licensee MDPI, Basel, Switzerland. This article is an open access article distributed under the terms and conditions of the Creative Commons Attribution (CC BY) license (https://creativecommons.org/licenses/by/4.0/).
Share and Cite
Hung, S.-C.; Wang, Y.-T.; Tseng, M.-H. An Interpretable Three-Dimensional Artificial Intelligence Model for Computer-Aided Diagnosis of Lung Nodules in Computed Tomography Images. Cancers 2023, 15, 4655. https://doi.org/10.3390/cancers15184655
Hung S-C, Wang Y-T, Tseng M-H. An Interpretable Three-Dimensional Artificial Intelligence Model for Computer-Aided Diagnosis of Lung Nodules in Computed Tomography Images. Cancers. 2023; 15(18):4655. https://doi.org/10.3390/cancers15184655
Chicago/Turabian StyleHung, Sheng-Chieh, Yao-Tung Wang, and Ming-Hseng Tseng. 2023. "An Interpretable Three-Dimensional Artificial Intelligence Model for Computer-Aided Diagnosis of Lung Nodules in Computed Tomography Images" Cancers 15, no. 18: 4655. https://doi.org/10.3390/cancers15184655
APA StyleHung, S.-C., Wang, Y.-T., & Tseng, M.-H. (2023). An Interpretable Three-Dimensional Artificial Intelligence Model for Computer-Aided Diagnosis of Lung Nodules in Computed Tomography Images. Cancers, 15(18), 4655. https://doi.org/10.3390/cancers15184655

