Artificial Intelligence in the Management of Barrett’s Esophagus and Early Esophageal Adenocarcinoma
Abstract
:Simple Summary
Abstract
1. Introduction
2. Optimizing Screening for Barrett’s Metaplasia
2.1. AI Systems to Ameliorate the Quality of Upper Gastrointestinal (GI) Endoscopy
2.2. Identification of Individuals at Risk for Barrett’s Esophagus for Invasive (Endoscopic) Screening
2.3. Optimizing Surveillance in Patients with Barrett’s Esophagus
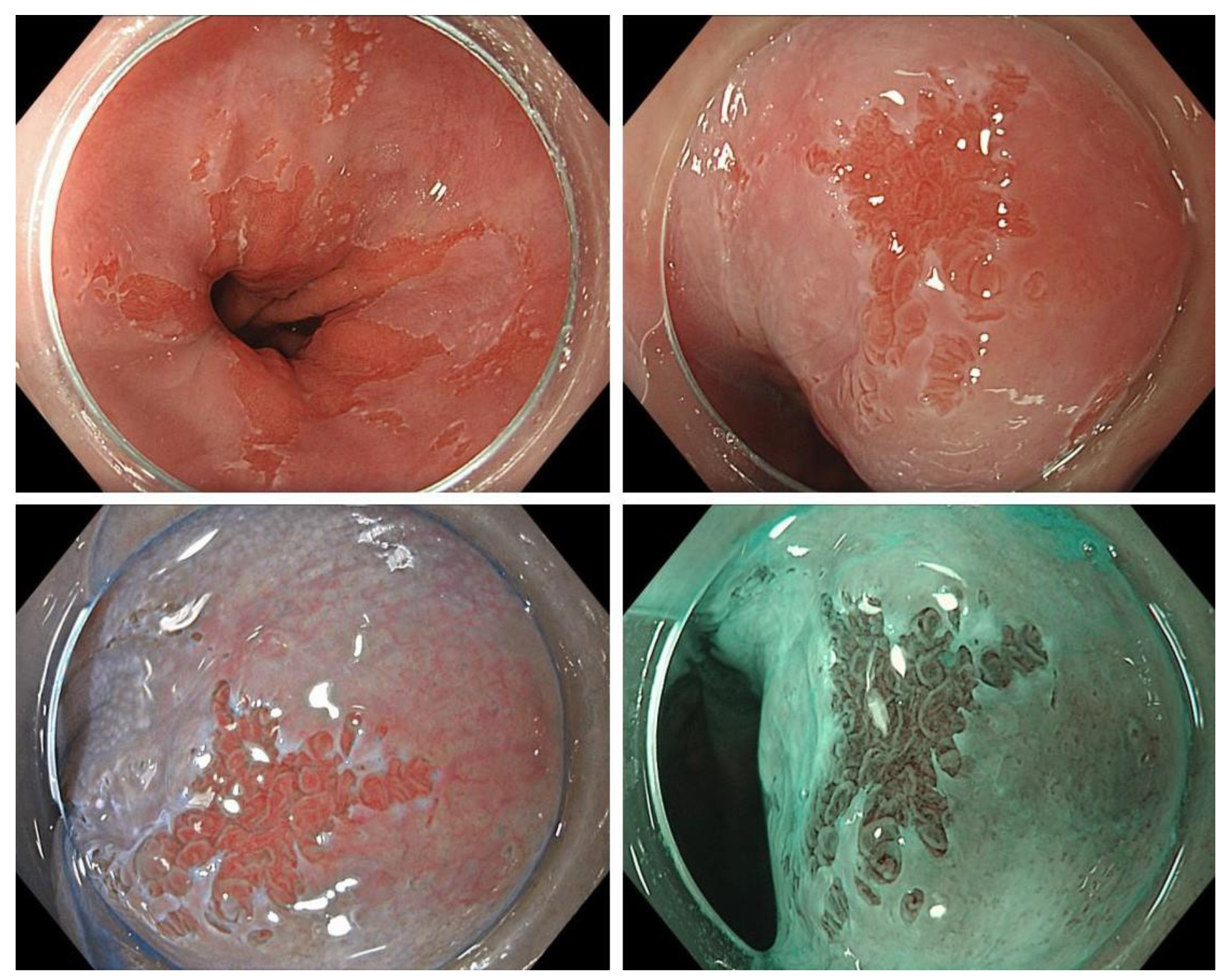
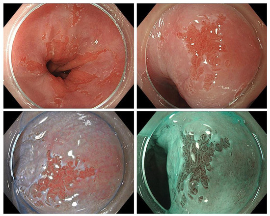
2.3.1. Improving the Detection of Neoplasia on High-Definition White Light Endoscopy (HD-WLE)
2.3.2. Volumetric Laser Endomicroscopy (VLE) and Spectral Endoscopy
2.3.3. The Wide-Area Transepithelial Sampling Three Dimensional (WATS 3D) Procedure
2.3.4. AI to Determine the Infiltration Depth of Neoplastic Lesions
3. Conclusions
Author Contributions
Funding
Conflicts of Interest
References
- Qumseya, B.; Sultan, S.; Bain, P.; Jamil, L.; Jacobson, B.; Anandasabapathy, S.; Agrawal, D.; Buxbaum, J.L.; Fishman, D.S.; Gurudu, S.R.; et al. ASGE guideline on screening and surveillance of Barrett’s esophagus. Gastrointest. Endosc. 2019, 90, 335–359.e2. [Google Scholar] [CrossRef] [Green Version]
- Thrift, A.P. Barrett’s Esophagus and Esophageal Adenocarcinoma: How Common Are They Really? Dig. Dis. Sci. 2018, 63, 1988–1996. [Google Scholar] [CrossRef]
- Weusten, B.; Bisschops, R.; Coron, E.; Dinis-Ribeiro, M.; Dumonceau, J.M.; Esteban, J.M.; Hassan, C.; Pech, O.; Repici, A.; Bergman, J.; et al. Endoscopic management of Barrett’s esophagus: European Society of Gastrointestinal Endoscopy (ESGE) Position Statement. Endoscopy 2017, 49, 191–198. [Google Scholar] [CrossRef] [Green Version]
- Sharma, P.; Shaheen, N.J.; Katzka, D.; Bergman, J. AGA Clinical Practice Update on Endoscopic Treatment of Barrett’s Esophagus With Dysplasia and/or Early Cancer: Expert Review. Gastroenterology 2020, 158, 760–769. [Google Scholar] [CrossRef] [Green Version]
- Ishihara, R.; Arima, M.; Iizuka, T.; Oyama, T.; Katada, C.; Kato, M.; Goda, K.; Goto, O.; Tanaka, K.; Yano, T.; et al. Endoscopic submucosal dissection/endoscopic mucosal resection guidelines for esophageal cancer. Dig. Endosc. 2020, 32, 452–493. [Google Scholar] [CrossRef] [Green Version]
- Marques de Sá, I.; Pereira, A.D.; Sharma, P.; Dinis-Ribeiro, M. Systematic review of the published guidelines on Barrett’s esophagus: Should we stress the consensus or the differences? Dis. Esophagus 2020, doaa115. [Google Scholar] [CrossRef]
- Le Berre, C.; Sandborn, W.J.; Aridhi, S.; Devignes, M.D.; Fournier, L.; Smaïl-Tabbone, M.; Danese, S.; Peyrin-Biroulet, L. Application of Artificial Intelligence to Gastroenterology and Hepatology. Gastroenterology 2020, 158, 76–94.e2. [Google Scholar] [CrossRef] [Green Version]
- Rodriguez de Santiago, E.; Hernanz, N.; Marcos-Prieto, H.M.; De-Jorge-Turrion, M.A.; Barreiro-Alonso, E.; Rodriguez-Escaja, C.; Jimenez-Jurado, A.; Sierra-Morales, M.; Perez-Valle, I.; Machado-Volpato, N.; et al. Rate of missed oesophageal cancer at routine endoscopy and survival outcomes: A multicentric cohort study. United Eur. Gastroenterol. J. 2019, 7, 189–198. [Google Scholar] [CrossRef] [Green Version]
- Chang, Y.Y.; Yen, H.H.; Li, P.C.; Chang, R.F.; Yang, C.W.; Chen, Y.Y.; Chang, W.Y. Upper endoscopy photodocumentation quality evaluation with novel deep learning system. Dig. Endosc. 2021. Online ahead of print. [Google Scholar] [CrossRef]
- Pan, W.; Li, X.; Wang, W.; Zhou, L.; Wu, J.; Ren, T.; Liu, C.; Lv, M.; Su, S.; Tang, Y. Identification of Barrett’s esophagus in endoscopic images using deep learning. BMC Gastroenterol. 2021, 21, 479. [Google Scholar] [CrossRef]
- Qumseya, B.J.; Bukannan, A.; Gendy, S.; Ahemd, Y.; Sultan, S.; Bain, P.; Gross, S.A.; Iyer, P.; Wani, S. Systematic review and meta-analysis of prevalence and risk factors for Barrett’s esophagus. Gastrointest. Endosc. 2019, 90, 707–717.e1. [Google Scholar] [CrossRef]
- Nguyen, T.H.; Thrift, A.P.; Rugge, M.; El-Serag, H.B. Prevalence of Barrett’s esophagus and performance of societal screening guidelines in an unreferred primary care population of U.S. veterans. Gastrointest. Endosc. 2021, 93, 409–419.e1. [Google Scholar] [CrossRef]
- Rosenfeld, A.; Graham, D.G.; Jevons, S.; Ariza, J.; Hagan, D.; Wilson, A.; Lovat, S.J.; Sami, S.S.; Ahmad, O.F.; Novelli, M.; et al. Development and validation of a risk prediction model to diagnose Barrett’s oesophagus (MARK-BE): A case-control machine learning approach. Lancet Digit. Health 2020, 2, e37–e48. [Google Scholar] [CrossRef] [Green Version]
- Peters, Y.; Schrauwen, R.W.M.; Tan, A.C.; Bogers, S.K.; de Jong, B.; Siersema, P.D. Detection of Barrett’s oesophagus through exhaled breath using an electronic nose device. Gut 2020, 69, 1169–1172. [Google Scholar] [CrossRef]
- Fitzgerald, R.C.; di Pietro, M.; O’Donovan, M.; Maroni, R.; Muldrew, B.; Debiram-Beecham, I.; Gehrung, M.; Offman, J.; Tripathi, M.; Smith, S.G.; et al. Cytosponge-trefoil factor 3 versus usual care to identify Barrett’s oesophagus in a primary care setting: A multicentre, pragmatic, randomised controlled trial. Lancet 2020, 396, 333–344. [Google Scholar] [CrossRef]
- Gehrung, M.; Crispin-Ortuzar, M.; Berman, A.G.; O’Donovan, M.; Fitzgerald, R.C.; Markowetz, F. Triage-driven diagnosis of Barrett’s esophagus for early detection of esophageal adenocarcinoma using deep learning. Nat. Med. 2021, 27, 833–841. [Google Scholar] [CrossRef]
- Parasa, S.; Vennalaganti, S.; Gaddam, S.; Vennalaganti, P.; Young, P.; Gupta, N.; Thota, P.; Cash, B.; Mathur, S.; Sampliner, R.; et al. Development and Validation of a Model to Determine Risk of Progression of Barrett’s Esophagus to Neoplasia. Gastroenterology 2018, 154, 1282–1289.e2. [Google Scholar] [CrossRef]
- Ali, S.; Bailey, A.; Ash, S.; Haghighat, M.; Leedham, S.J.; Lu, X.; East, J.E.; Rittscher, J.; Braden, B. A Pilot Study on Automatic Three-Dimensional Quantification of Barrett’s Esophagus for Risk Stratification and Therapy Monitoring. Gastroenterology 2021, 161, 865–878.e8. [Google Scholar] [CrossRef]
- Visrodia, K.; Singh, S.; Krishnamoorthi, R.; Ahlquist, D.A.; Wang, K.K.; Iyer, P.G.; Katzka, D.A. Magnitude of Missed Esophageal Adenocarcinoma After Barrett’s Esophagus Diagnosis: A Systematic Review and Meta-analysis. Gastroenterology 2016, 150, 599–607.e7. [Google Scholar] [CrossRef] [Green Version]
- Frazzoni, L.; Arribas, J.; Antonelli, G.; Libanio, D.; Ebigbo, A.; van der Sommen, F.; de Groof, A.J.; Fukuda, H.; Ohmori, M.; Ishihara, R.; et al. Endoscopists’ diagnostic accuracy in detecting upper gastrointestinal neoplasia in the framework of artificial intelligence studies. Endoscopy 2022, 54, 403–411. [Google Scholar] [CrossRef]
- Ebigbo, A.; Mendel, R.; Probst, A.; Manzeneder, J.; Souza, L.A., Jr.; Papa, J.P.; Palm, C.; Messmann, H. Computer-aided diagnosis using deep learning in the evaluation of early oesophageal adenocarcinoma. Gut 2019, 68, 1143–1145. [Google Scholar] [CrossRef] [Green Version]
- Ebigbo, A.; Mendel, R.; Probst, A.; Manzeneder, J.; Prinz, F.; de Souza, L.A., Jr.; Papa, J.; Palm, C.; Messmann, H. Real-time use of artificial intelligence in the evaluation of cancer in Barrett’s oesophagus. Gut 2020, 69, 615–616. [Google Scholar] [CrossRef]
- de Groof, A.J.; Struyvenberg, M.R.; van der Putten, J.; van der Sommen, F.; Fockens, K.N.; Curvers, W.L.; Zinger, S.; Pouw, R.E.; Coron, E.; Baldaque-Silva, F.; et al. Deep-Learning System Detects Neoplasia in Patients With Barrett’s Esophagus with Higher Accuracy Than Endoscopists in a Multistep Training and Validation Study With Benchmarking. Gastroenterology 2020, 158, 915–929.e4. [Google Scholar] [CrossRef]
- de Groof, A.J.; Struyvenberg, M.R.; Fockens, K.N.; van der Putten, J.; van der Sommen, F.; Boers, T.G.; Zinger, S.; Bisschops, R.; de With, P.H.; Pouw, R.E.; et al. Deep learning algorithm detection of Barrett’s neoplasia with high accuracy during live endoscopic procedures: A pilot study (with video). Gastrointest. Endosc. 2020, 91, 1242–1250. [Google Scholar] [CrossRef]
- Hashimoto, R.; Requa, J.; Dao, T.; Ninh, A.; Tran, E.; Mai, D.; Lugo, M.; El-Hage Chehade, N.; Chang, K.J.; Karnes, W.E.; et al. Artificial intelligence using convolutional neural networks for real-time detection of early esophageal neoplasia in Barrett’s esophagus (with video). Gastrointest. Endosc. 2020, 91, 1264–1271.e1. [Google Scholar] [CrossRef]
- Iwagami, H.; Ishihara, R.; Aoyama, K.; Fukuda, H.; Shimamoto, Y.; Kono, M.; Nakahira, H.; Matsuura, N.; Shichijo, S.; Kanesaka, T.; et al. Artificial intelligence for the detection of esophageal and esophagogastric junctional adenocarcinoma. J. Gastroenterol. Hepatol. 2021, 36, 131–136. [Google Scholar] [CrossRef]
- Ghatwary, N.; Zolgharni, M.; Ye, X. Early esophageal adenocarcinoma detection using deep learning methods. Int. J. Comput. Assist. Radiol. Surg. 2019, 14, 611–621. [Google Scholar] [CrossRef] [Green Version]
- Trindade, A.J.; Navaneethan, U.; Aslanian, H.R.; Bhutani, M.S.; Krishnan, K.; Lichtenstein, D.R.; Melson, J.; Pannala, R.; Parsi, M.A.; Schulman, A.R.; et al. Advances in the diagnosis and surveillance of Barrett’s esophagus (with videos). Gastrointest. Endosc. 2019, 90, 325–334. [Google Scholar] [CrossRef] [Green Version]
- Smith, M.S.; Cash, B.; Konda, V.; Trindade, A.J.; Gordon, S.; DeMeester, S.; Joshi, V.; Diehl, D.; Ganguly, E.; Mashimo, H.; et al. Volumetric laser endomicroscopy and its application to Barrett’s esophagus: Results from a 1000 patient registry. Dis. Esophagus 2019, 32, doz029. [Google Scholar] [CrossRef] [Green Version]
- Trindade, A.J.; McKinley, M.J.; Fan, C.; Leggett, C.L.; Kahn, A.; Pleskow, D.K. Endoscopic Surveillance of Barrett’s Esophagus Using Volumetric Laser Endomicroscopy With Artificial Intelligence Image Enhancement. Gastroenterology 2019, 157, 303–305. [Google Scholar] [CrossRef] [Green Version]
- Kamboj, A.K.; Hoversten, P.; Kahn, A.K.; Trindade, A.J.; Iyer, P.G.; Wang, K.K.; Leggett, C.L. Interpretation of volumetric laser endomicroscopy in Barrett’s esophagus using image enhancement software. Dis. Esophagus 2019, 32, doz037. [Google Scholar] [CrossRef]
- Struyvenberg, M.R.; van der Sommen, F.; Swager, A.F.; de Groof, A.J.; Rikos, A.; Schoon, E.J.; Bergman, J.J.; de With, P.H.N.; Curvers, W.L. Improved Barrett’s neoplasia detection using computer-assisted multiframe analysis of volumetric laser endomicroscopy. Dis. Esophagus 2020, 32, doz065. [Google Scholar] [CrossRef]
- Struyvenberg, M.R.; de Groof, A.J.; Fonollà, R.; van der Sommen, F.; de With, P.H.N.; Schoon, E.J.; Weusten, B.; Leggett, C.L.; Kahn, A.; Trindade, A.J.; et al. Prospective development and validation of a volumetric laser endomicroscopy computer algorithm for detection of Barrett’s neoplasia. Gastrointest. Endosc. 2021, 93, 871–879. [Google Scholar] [CrossRef]
- Waterhouse, D.J.; Januszewicz, W.; Ali, S.; Fitzgerald, R.C.; di Pietro, M.; Bohndiek, S.E. Spectral Endoscopy Enhances Contrast for Neoplasia in Surveillance of Barrett’s Esophagus. Cancer Res. 2021, 81, 3415–3425. [Google Scholar] [CrossRef]
- Vennalaganti, P.R.; Kaul, V.; Wang, K.K.; Falk, G.W.; Shaheen, N.J.; Infantolino, A.; Johnson, D.A.; Eisen, G.; Gerson, L.B.; Smith, M.S.; et al. Increased detection of Barrett’s esophagus-associated neoplasia using wide-area trans-epithelial sampling: A multicenter, prospective, randomized trial. Gastrointest. Endosc. 2018, 87, 348–355. [Google Scholar] [CrossRef]
- Raphael, K.L.; Stewart, M.; Sejpal, D.V.; Cheung, M.; Whitson, M.J.; Han, D.; Benias, P.C.; Lee, C.; Miller, L.S.; Trindade, A.J. Adjunctive Yield of Wide-Area Transepithelial Sampling for Dysplasia Detection After Advanced Imaging and Random Biopsies in Barrett’s Esophagus. Clin. Transl. Gastroenterol. 2019, 10, e00107. [Google Scholar] [CrossRef]
- Ebigbo, A.; Mendel, R.; Rückert, T.; Schuster, L.; Probst, A.; Manzeneder, J.; Prinz, F.; Mende, M.; Steinbrück, I.; Faiss, S.; et al. Endoscopic prediction of submucosal invasion in Barrett’s cancer with the use of artificial intelligence: A pilot study. Endoscopy 2021, 53, 878–883. [Google Scholar] [CrossRef]


| Study | Main Findings |
| Ebigbo et al., 2019[21] | Objective
Datasets (HD-WLE and NBI images)
Performance (binary task: detection of neoplasia)
Performance (object identification: localization of neoplasia)
|
| Ebigbo et al., 2020[22] | Objective
Datasets (HD-WLE videos)
Performance (binary task: detection of neoplasia)
|
| De Groof et al., 2020[23] | Objective
Datasets (HD-WLE images)
Performance (binary task: detection of neoplasia)
Performance (object identification: localization of neoplasia)
|
| De Groof et al., 2020[24] | Objective
Datasets (HD-WLE videos)
Performance (binary task: detection of neoplasia)
|
| Hashimoto et al., 2020[25] | Objective
Datasets (HD-WLE videos)
Performance (binary task: detection of neoplasia)
Performance (object identification: localization of neoplasia)
|
| Iwagami et al., 2021[26] | Objective
Datasets (HD-WLE images)
Performance (binary task: detection of neoplasia)
|
Publisher’s Note: MDPI stays neutral with regard to jurisdictional claims in published maps and institutional affiliations. |
© 2022 by the authors. Licensee MDPI, Basel, Switzerland. This article is an open access article distributed under the terms and conditions of the Creative Commons Attribution (CC BY) license (https://creativecommons.org/licenses/by/4.0/).
Share and Cite
Dumoulin, F.L.; Rodriguez-Monaco, F.D.; Ebigbo, A.; Steinbrück, I. Artificial Intelligence in the Management of Barrett’s Esophagus and Early Esophageal Adenocarcinoma. Cancers 2022, 14, 1918. https://doi.org/10.3390/cancers14081918
Dumoulin FL, Rodriguez-Monaco FD, Ebigbo A, Steinbrück I. Artificial Intelligence in the Management of Barrett’s Esophagus and Early Esophageal Adenocarcinoma. Cancers. 2022; 14(8):1918. https://doi.org/10.3390/cancers14081918
Chicago/Turabian StyleDumoulin, Franz Ludwig, Fabian Dario Rodriguez-Monaco, Alanna Ebigbo, and Ingo Steinbrück. 2022. "Artificial Intelligence in the Management of Barrett’s Esophagus and Early Esophageal Adenocarcinoma" Cancers 14, no. 8: 1918. https://doi.org/10.3390/cancers14081918
APA StyleDumoulin, F. L., Rodriguez-Monaco, F. D., Ebigbo, A., & Steinbrück, I. (2022). Artificial Intelligence in the Management of Barrett’s Esophagus and Early Esophageal Adenocarcinoma. Cancers, 14(8), 1918. https://doi.org/10.3390/cancers14081918

