Spine Metastases in Immunocompromised Mice after Intracardiac Injection of MDA-MB-231-SCP2 Breast Cancer Cells
Abstract
Simple Summary
Abstract
1. Introduction
2. Materials and Methods
2.1. Xenograft Experiments
2.2. Skeletal Phenotyping
2.3. Tumor Cell Detection
2.4. Osteocyte Staining
2.5. Serum Analysis
2.6. Data Analysis
3. Results
3.1. The Col1a1-Krm2 Transgene Does Not Affect Metastatic Outgrowth of Bone-Seeking Breast Cancer Cells in Femora of NSG Mice
3.2. MDA-MB-231-SCP2 Cells Form Various Metastases in the Lumbar Spine Independent of Trabecular Bone Mass
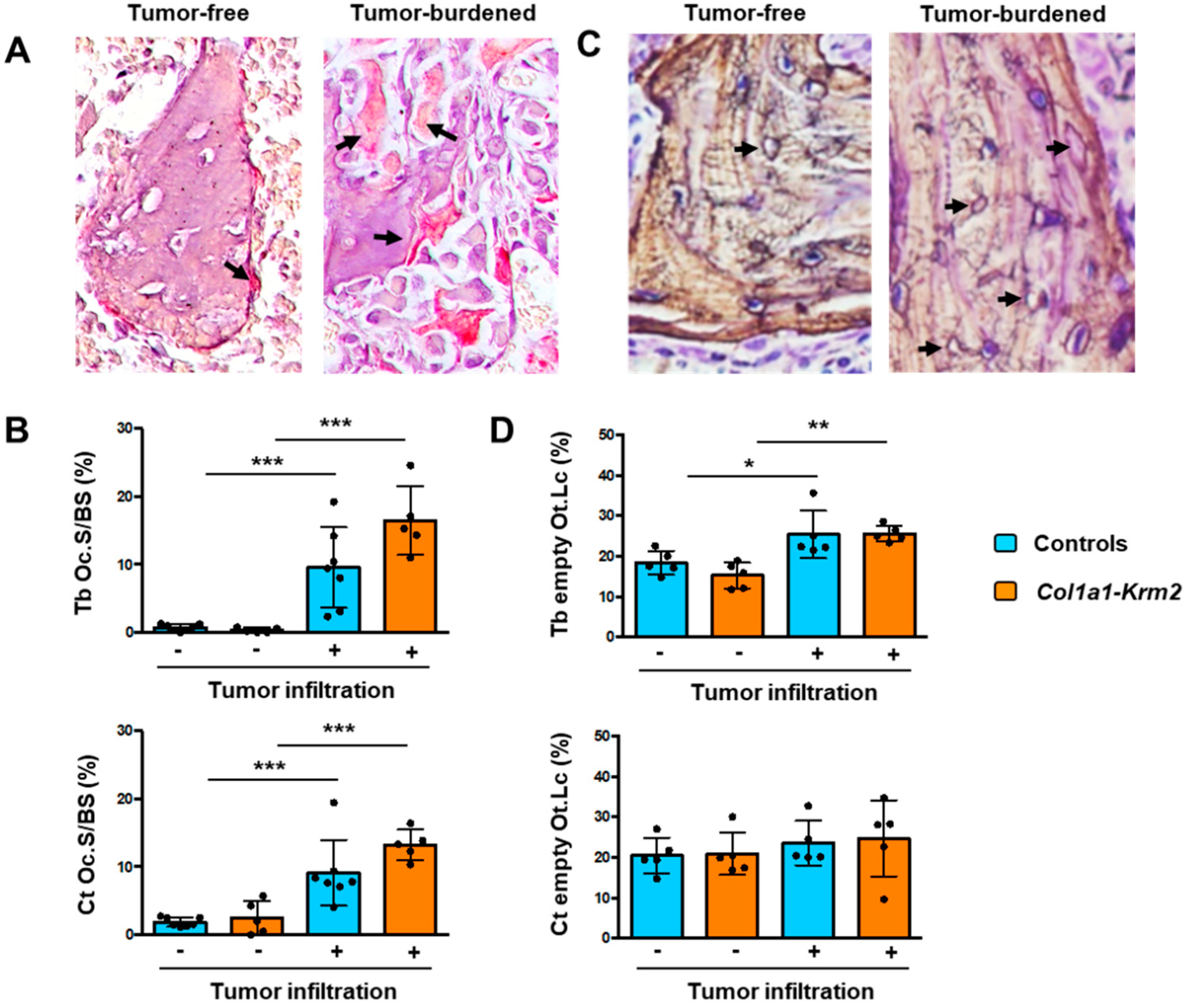
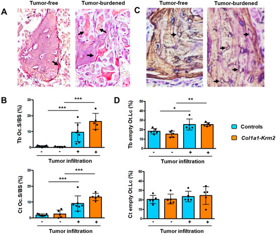
3.3. MDA-MB-231-SCP2 Metastases Affect Osteoclastogenesis and the Osteocyte Network
4. Discussion
5. Conclusions
Supplementary Materials
Author Contributions
Funding
Institutional Review Board Statement
Informed Consent Statement
Data Availability Statement
Acknowledgments
Conflicts of Interest
References
- Keller, L.; Pantel, K. Unravelling Tumour Heterogeneity by Single-Cell Profiling of Circulating Tumour Cells. Nat. Rev. Cancer 2019, 19, 553–567. [Google Scholar] [CrossRef] [PubMed]
- Phan, T.G.; Croucher, P.I. The Dormant Cancer Cell Life Cycle. Nat. Rev. Cancer 2020, 20, 398–411. [Google Scholar] [CrossRef]
- Kakonen, S.M.; Mundy, G.R. Mechanisms of Osteolytic Bone Metastases in Breast Carcinoma. Cancer 2003, 97, 834–839. [Google Scholar] [CrossRef]
- Weilbaecher, K.N.; Guise, T.A.; McCauley, L.K. Cancer to Bone: A Fatal Attraction. Nat. Rev. Cancer 2011, 11, 411–425. [Google Scholar] [CrossRef]
- Fisher, J.L.; Thomas-Mudge, R.J.; Elliott, J.; Hards, D.K.; Sims, N.A.; Slavin, J.; Martin, T.J.; Gillespie, M.T. Osteoprotegerin Overexpression by Breast Cancer Cells Enhances Orthotopic and Osseous Tumor Growth and Contrasts with That Delivered Therapeutically. Cancer Res. 2006, 66, 3620–3628. [Google Scholar] [CrossRef][Green Version]
- Haider, M.T.; Holen, I.; Dear, T.N.; Hunter, K.; Brown, H.K. Modifying the Osteoblastic Niche with Zoledronic Acid in Vivo-Potential Implications for Breast Cancer Bone Metastasis. Bone 2014, 66, 240–250. [Google Scholar] [CrossRef]
- Schramek, D.; Sigl, V.; Penninger, J.M. Rankl and Rank in Sex Hormone-Induced Breast Cancer and Breast Cancer Metastasis. Trends Endocrinol. Metab. 2011, 22, 188–194. [Google Scholar] [CrossRef]
- Hofbauer, L.C.; Bozec, A.; Rauner, M.; Jakob, F.; Perner, S.; Pantel, K. Novel Approaches to Target the Microenvironment of Bone Metastasis. Nat. Rev. Clin. Oncol. 2021, 18, 488–505. [Google Scholar] [CrossRef]
- Ming, J.; Cronin, S.J.F.; Penninger, J.M. Targeting the Rankl/Rank/Opg Axis for Cancer Therapy. Front. Oncol. 2020, 10, 1283. [Google Scholar] [CrossRef]
- Casimiro, S.; Ferreira, A.R.; Mansinho, A.; Alho, I.; Costa, L. Molecular Mechanisms of Bone Metastasis: Which Targets Came from the Bench to the Bedside? Int. J. Mol. Sci. 2016, 17, 1415. [Google Scholar] [CrossRef]
- Wright, L.E.; Ottewell, P.D.; Rucci, N.; Peyruchaud, O.; Pagnotti, G.M.; Chiechi, A.; Buijs, J.T.; Sterling, A.J. Murine Models of Breast Cancer Bone Metastasis. Bonekey Rep. 2016, 5, 804. [Google Scholar] [CrossRef]
- Reuten, R.; Zendehroud, S.; Nicolau, M.; Fleischhauer, L.; Laitala, A.; Kiderlen, S.; Nikodemus, D.; Wullkopf, L.; Nielsen, S.R.; McNeilly, S.; et al. Basement Membrane Stiffness Determines Metastases Formation. Nat. Mater. 2021, 20, 892–903. [Google Scholar] [CrossRef]
- Sethi, N.; Dai, X.; Winter, C.G.; Kang, Y. Tumor-Derived Jagged1 Promotes Osteolytic Bone Metastasis of Breast Cancer by Engaging Notch Signaling in Bone Cells. Cancer Cell 2011, 19, 192–205. [Google Scholar] [CrossRef]
- Yin, J.J.; Selander, K.; Chirgwin, J.M.; Dallas, M.; Grubbs, B.G.; Wieser, R.; Massague, J.; Mundy, G.R.; Guise, T.A. Tgf-Beta Signaling Blockade Inhibits Pthrp Secretion by Breast Cancer Cells and Bone Metastases Development. J. Clin. Investig. 1999, 103, 197–206. [Google Scholar] [CrossRef]
- Zhuang, X.; Zhang, H.; Li, X.; Li, X.; Cong, M.; Peng, F.; Yu, J.; Zhang, X.; Yang, Q.; Hu, G. Differential Effects on Lung and Bone Metastasis of Breast Cancer by Wnt Signalling Inhibitor Dkk1. Nat. Cell Biol. 2017, 19, 1274–1285. [Google Scholar] [CrossRef]
- Minn, A.J.; Kang, Y.; Serganova, I.; Gupta, G.P.; Giri, D.D.; Doubrovin, M.; Ponomarev, V.; Gerald, W.L.; Blasberg, R.; Massague, J. Distinct Organ-Specific Metastatic Potential of Individual Breast Cancer Cells and Primary Tumors. J. Clin. Investig. 2005, 115, 44–55. [Google Scholar] [CrossRef] [PubMed]
- Wang, N.; Reeves, K.J.; Brown, H.K.; Fowles, A.C.; Docherty, F.E.; Ottewell, P.D.; Croucher, P.I.; Holen, I.; Eaton, C.L. The Frequency of Osteolytic Bone Metastasis Is Determined by Conditions of the Soil, Not the Number of Seeds; Evidence from in Vivo Models of Breast and Prostate Cancer. J. Exp. Clin. Cancer Res. 2015, 34, 124. [Google Scholar] [CrossRef] [PubMed]
- Kakhki, V.R.; Anvari, K.; Sadeghi, R.; Mahmoudian, A.S.; Torabian-Kakhki, M. Pattern and Distribution of Bone Metastases in Common Malignant Tumors. Nucl. Med. Rev. Cent. East. Eur. 2013, 16, 66–69. [Google Scholar] [CrossRef]
- Ottewell, P.D.; Wang, N.; Brown, H.K.; Fowles, C.A.; Croucher, P.I.; Eaton, C.L.; Holen, I. Opg-Fc Inhibits Ovariectomy-Induced Growth of Disseminated Breast Cancer Cells in Bone. Int. J. Cancer 2015, 137, 968–977. [Google Scholar] [CrossRef] [PubMed]
- Mao, B.; Wu, W.; Davidson, G.; Marhold, J.; Li, M.; Mechler, B.M.; Delius, H.; Hoppe, D.; Stannek, P.; Walter, C.; et al. Kremen Proteins Are Dickkopf Receptors That Regulate Wnt/Beta-Catenin Signalling. Nature 2002, 417, 664–667. [Google Scholar] [CrossRef]
- Schulze, J.; Seitz, S.; Saito, H.; Schneebauer, M.; Marshall, R.P.; Baranowsky, A.; Busse, B.; Schilling, A.F.; Friedrich, F.W.; Albers, J.; et al. Negative Regulation of Bone Formation by the Transmembrane Wnt Antagonist Kremen-2. PLoS ONE 2010, 5, e10309. [Google Scholar] [CrossRef] [PubMed]
- Yorgan, T.A.; Peters, S.; Jeschke, A.; Benisch, P.; Jakob, F.; Amling, M.; Schinke, T. The Anti-Osteoanabolic Function of Sclerostin Is Blunted in Mice Carrying a High Bone Mass Mutation of Lrp5. J. Bone Miner. Res. 2015, 30, 1175–1183. [Google Scholar] [CrossRef]
- Zaidi, M. Skeletal Remodeling in Health and Disease. Nat. Med. 2007, 13, 791–801. [Google Scholar] [CrossRef]
- Cappariello, A.; Maurizi, A.; Veeriah, V.; Teti, A. The Great Beauty of the Osteoclast. Arch. Biochem. Biophys. 2014, 558, 70–78. [Google Scholar] [CrossRef] [PubMed]
- Karsenty, G.; Kronenberg, H.M.; Settembre, C. Genetic Control of Bone Formation. Annu. Rev. Cell Dev. Biol. 2009, 25, 629–648. [Google Scholar] [CrossRef] [PubMed]
- Goldring, S.R. The Osteocyte: Key Player in Regulating Bone Turnover. RMD Open 2015, 1, e000049. [Google Scholar] [CrossRef]
- Riquelme, M.A.; Cardenas, E.R.; Jiang, J.X. Osteocytes and Bone Metastasis. Front. Endocrinol. 2020, 11, 567844. [Google Scholar] [CrossRef] [PubMed]
- Ru, J.Y.; Wang, Y.F. Osteocyte Apoptosis: The Roles and Key Molecular Mechanisms in Resorption-Related Bone Diseases. Cell Death Dis. 2020, 11, 846. [Google Scholar] [CrossRef]
- Robling, A.G.; Bonewald, L.F. The Osteocyte: New Insights. Annu. Rev. Physiol. 2020, 82, 485–506. [Google Scholar] [CrossRef] [PubMed]
- Brown, H.K.; Ottewell, P.D.; Evans, C.A.; Holen, I. Location Matters: Osteoblast and Osteoclast Distribution Is Modified by the Presence and Proximity to Breast Cancer Cells in Vivo. Clin. Exp. Metastasis 2012, 29, 927–938. [Google Scholar] [CrossRef] [PubMed]
- Chen, H.M.; Chen, F.P.; Yang, K.C.; Yuan, S.S. Association of Bone Metastasis with Early-Stage Breast Cancer in Women with and without Precancer Osteoporosis According to Osteoporosis Therapy Status. JAMA Netw. Open 2019, 2, e190429. [Google Scholar] [CrossRef] [PubMed]






Publisher’s Note: MDPI stays neutral with regard to jurisdictional claims in published maps and institutional affiliations. |
© 2022 by the authors. Licensee MDPI, Basel, Switzerland. This article is an open access article distributed under the terms and conditions of the Creative Commons Attribution (CC BY) license (https://creativecommons.org/licenses/by/4.0/).
Share and Cite
Brylka, L.; Jähn-Rickert, K.; Baranowsky, A.; Neven, M.; Horn, M.; Yorgan, T.; Wikman, H.; Werner, S.; Lübke, A.; Amling, M.; et al. Spine Metastases in Immunocompromised Mice after Intracardiac Injection of MDA-MB-231-SCP2 Breast Cancer Cells. Cancers 2022, 14, 556. https://doi.org/10.3390/cancers14030556
Brylka L, Jähn-Rickert K, Baranowsky A, Neven M, Horn M, Yorgan T, Wikman H, Werner S, Lübke A, Amling M, et al. Spine Metastases in Immunocompromised Mice after Intracardiac Injection of MDA-MB-231-SCP2 Breast Cancer Cells. Cancers. 2022; 14(3):556. https://doi.org/10.3390/cancers14030556
Chicago/Turabian StyleBrylka, Laura, Katharina Jähn-Rickert, Anke Baranowsky, Mona Neven, Michael Horn, Timur Yorgan, Harriet Wikman, Stefan Werner, Andreas Lübke, Michael Amling, and et al. 2022. "Spine Metastases in Immunocompromised Mice after Intracardiac Injection of MDA-MB-231-SCP2 Breast Cancer Cells" Cancers 14, no. 3: 556. https://doi.org/10.3390/cancers14030556
APA StyleBrylka, L., Jähn-Rickert, K., Baranowsky, A., Neven, M., Horn, M., Yorgan, T., Wikman, H., Werner, S., Lübke, A., Amling, M., Busse, B., Pantel, K., & Schinke, T. (2022). Spine Metastases in Immunocompromised Mice after Intracardiac Injection of MDA-MB-231-SCP2 Breast Cancer Cells. Cancers, 14(3), 556. https://doi.org/10.3390/cancers14030556

