Interplay between Immune Cell Infiltration and Tumor Histological Subtype: A Case of Adrenocortical Cancer
Abstract
Simple Summary
Abstract
1. Introduction
2. Materials and Methods
2.1. Patients and Samples
2.2. Analysis of the TIIC Composition Using RNA-Seq Data
2.3. Immunohistochemistry and Histological Imaging
2.4. Immune Cells Counting
2.5. Statistical Analysis
3. Results
3.1. The Survival of Patients with Conventional and Oncocytic Variants of ACC Significantly Varies
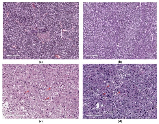
3.2. The Intensity of the Immune Infiltration Differs between Histological Variants of ACC
4. Discussion
5. Conclusions
Supplementary Materials
Author Contributions
Funding
Institutional Review Board Statement
Informed Consent Statement
Data Availability Statement
Conflicts of Interest
References
- Klöppel, G.; Couvelard, A.; Hruban, R.H.; Klimstra, D.S.; Komminoth, P.; Osamura, R.Y.; Perren, A.; Rindi, G. Neoplasms of the neuroendocrine pancreas. In WHO Classification of Tumours of the Endocrine Organs, 4th ed.; IARC Press: Lyon, France, 2017; ISBN 978-92-832-4493-6. [Google Scholar]
- Chandrasekar, T.; Goldberg, H.; Klaassen, Z.; Wallis, C.J.D.; Woon, D.T.S.; Herrera-Caceres, J.O.; Kulkarni, G.S.; Fleshner, N.E. The who, when, and why of primary adrenal malignancies: Insights into the epidemiology of a rare clinical entity. Cancer 2019, 125, 1050–1059. [Google Scholar] [CrossRef] [PubMed]
- Erickson, L.A.; Rivera, M.; Zhang, J. Adrenocortical Carcinoma: Review and update. Adv. Anat. Pathol. 2014, 21, 151–159. [Google Scholar] [CrossRef] [PubMed]
- Thampi, A.; Shah, E.; Elshimy, G.; Correa, R. Adrenocortical carcinoma: A literature review. Transl. Cancer Res. 2020, 9, 1253–1264. [Google Scholar] [CrossRef]
- Vaidya, A.; Nehs, M.; Kilbridge, K. Treatment of Adrenocortical Carcinoma. Surg. Pathol. Clin. 2019, 12, 997–1006. [Google Scholar] [CrossRef]
- Pegna, G.; Roper, N.; Kaplan, R.; Bergsland, E.; Kiseljak-Vassiliades, K.; Habra, M.; Pommier, Y.; Del Rivero, J. The Immunotherapy Landscape in Adrenocortical Cancer. Cancers 2021, 13, 2660. [Google Scholar] [CrossRef]
- Dickson, P.V.; Kim, L.; Yen, T.W.F.; Yang, A.; Grubbs, E.G.; Patel, D.; Solórzano, C.C. Adjuvant and Neoadjuvant Therapy, Treatment for Advanced Disease, and Genetic Considerations for Adrenocortical Carcinoma: An Update from the SSO Endocrine and Head and Neck Disease Site Working Group. Ann. Surg. Oncol. 2018, 25, 3453–3459. [Google Scholar] [CrossRef]
- Iacono, M.L.; Puglisi, S.; Perotti, P.; Saba, L.; Petiti, J.; Giachino, C.; Reimondo, G.; Terzolo, M. Molecular Mechanisms of Mitotane Action in Adrenocortical Cancer Based on In Vitro Studies. Cancers 2021, 13, 5255. [Google Scholar] [CrossRef]
- Hodgson, A.; Pakbaz, S.; Mete, O. A Diagnostic Approach to Adrenocortical Tumors. Surg. Pathol. Clin. 2019, 12, 967–995. [Google Scholar] [CrossRef]
- Bisceglia, M.; Ludovico, O.; Di Mattia, A.; Ben-Dor, D.; Sandbank, J.; Pasquinelli, G.; Lau, S.K.; Weiss, L.M. Adrenocortical Oncocytic Tumors: Report of 10 Cases and Review of the Literature. Int. J. Surg. Pathol. 2004, 12, 231–243. [Google Scholar] [CrossRef]
- Jeremie, G.; Lifante, J.C.; Chazot, F.B.; Sajous, C.; Raymond, P.; Decaussin-Petrucci, M. Myxoid variant of adrenocortical carcinoma. Ann. De Pathol. 2021, 41, 186–191. [Google Scholar] [CrossRef]
- Hsieh, M.-S.; Chen, J.-H.; Lin, L.-W. Myxoid Adrenal Cortical Carcinoma Presenting as Primary Hyperaldosteronism: Case report and review of the literature. Int. J. Surg. Pathol. 2011, 19, 803–807. [Google Scholar] [CrossRef] [PubMed]
- de Krijger, R.R.; Papathomas, T.G. Adrenocortical neoplasia: Evolving concepts in tumorigenesis with an emphasis on adrenal cortical carcinoma variants: Evolving concepts in tumorigenesis with an emphasis on adrenal cortical carcinoma variants. Virchows Arch. 2012, 460, 9–18. [Google Scholar] [CrossRef] [PubMed]
- Lam, A.K.-Y. Update on Adrenal Tumours in 2017 World Health Organization (WHO) of Endocrine Tumours. Endocr. Pathol. 2017, 28, 213–227. [Google Scholar] [CrossRef] [PubMed]
- Mete, O.; Erickson, L.A.; Juhlin, C.C.; de Krijger, R.R.; Sasano, H.; Volante, M.; Papotti, M.G. Overview of the 2022 WHO Classification of Adrenal Cortical Tumors. Endocr. Pathol. 2022, 33, 155–196. [Google Scholar] [CrossRef] [PubMed]
- Weiss, L.M.; Medeiros, L.J.; Vickery, A.L., Jr. Pathologic Features of Prognostic Significance in Adrenocortical Carcinoma. Am. J. Surg. Pathol. 1989, 13, 202–206. [Google Scholar] [CrossRef]
- Weiss, L.M. Comparative histologic study of 43 metastasizing and nonmetastasizing adrenocortical tumors. Am. J. Surg. Pathol. 1984, 8, 163–169. [Google Scholar] [CrossRef]
- Mete, O.; Gucer, H.; Kefeli, M.; Asa, S.L. Diagnostic and Prognostic Biomarkers of Adrenal Cortical Carcinoma. Am. J. Surg. Pathol. 2018, 42, 201–213. [Google Scholar] [CrossRef]
- Giordano, T.J.; Berney, D.; de Krijger, R.R.; Erickson, L.; Fassnacht, M.; Mete, O.; Papathomas, T.; Papotti, M.; Sasano, H.; Thompson, L.D.; et al. Data set for reporting of carcinoma of the adrenal cortex: Explanations and recommendations of the guidelines from the International Collaboration on Cancer Reporting. Hum. Pathol. 2020, 110, 50–61. [Google Scholar] [CrossRef]
- Pennanen, M.; Heiskanen, I.; Sane, T.; Remes, S.; Mustonen, H.K.; Haglund, C.; Arola, J. Helsinki score—A novel model for prediction of metastases in adrenocortical carcinomas. Hum. Pathol. 2015, 46, 404–410. [Google Scholar] [CrossRef]
- Duregon, E.; Cappellesso, R.; Maffeis, V.; Zaggia, B.; Ventura, L.; Berruti, A.; Terzolo, M.; Fassina, A.; Volante, M.; Papotti, M. Validation of the prognostic role of the “Helsinki Score” in 225 cases of adrenocortical carcinoma. Hum. Pathol. 2017, 62, 1–7. [Google Scholar] [CrossRef]
- Selivanova, L.S.; Abdulkhabirova, F.M.; Voronkova, I.A.; Kuznetsov, N.S.; Troshina, E.A.; Raikhman, A.O.; Birg, T.M.; Tertychnyi, A.S. Adrenocortical oncocytoma. Arkhiv Patol. 2015, 77, 55–59. [Google Scholar] [CrossRef] [PubMed]
- Song, S.Y.; Park, S.; Kim, S.R.; Suh, Y.-L. Oncocytic adrenocortical carcinomas: A pathological and immunohistochemical study of four cases in comparison with conventional adrenocortical carcinomas. Pathol. Int. 2004, 54, 603–610. [Google Scholar] [CrossRef] [PubMed]
- Lebastchi, A.H.; Kunstman, J.W.; Carling, T. Adrenocortical Carcinoma: Current Therapeutic State-of-the-Art. J. Oncol. 2012, 2012, 234726. [Google Scholar] [CrossRef] [PubMed]
- Mearini, L.; Del Sordo, R.; Costantini, E.; Nunzi, E.; Porena, M. Adrenal Oncocytic Neoplasm: A Systematic Review. Urol. Int. 2013, 91, 125–133. [Google Scholar] [CrossRef]
- Wong, D.D.; Spagnolo, D.V.; Bisceglia, M.; Havlat, M.; McCallum, D.; Platten, M.A. Oncocytic adrenocortical neoplasms—A clinicopathologic study of 13 new cases emphasizing the importance of their recognition. Hum. Pathol. 2011, 42, 489–499. [Google Scholar] [CrossRef]
- Duregon, E.; Molinaro, L.; Volante, M.; Ventura, L.; Righi, L.; Bolla, S.; Terzolo, M.; Sapino, A.; Papotti, M.G. Comparative diagnostic and prognostic performances of the hematoxylin-eosin and phospho-histone H3 mitotic count and Ki-67 index in adrenocortical carcinoma. Mod. Pathol. 2014, 27, 1246–1254. [Google Scholar] [CrossRef]
- Tkachuk, A.; Tertychnyi, A.; Beltsevich, D.; Roslyakova, A.; Belousov, P.; Selivanova, L. Adrenocortical cancer: Morphological variants, immunohistochemical characteristics. Arkhiv Patol. 2021, 83, 10–18. [Google Scholar] [CrossRef]
- Duregon, E.; Volante, M.; Rapa, I.; No, S.V.; Potti, M.P. Dissecting morphological and molecular heterogeneity in adrenocortical carcinoma. Turk. J. Pathol. 2015, 31, 98–104. [Google Scholar] [CrossRef]
- Whiteside, T.L. The tumor microenvironment and its role in promoting tumor growth. Oncogene 2008, 27, 5904–5912. [Google Scholar] [CrossRef]
- Georgantzoglou, N.; Kokkali, S.; Tsourouflis, G.; Theocharis, S. Tumor Microenvironment in Adrenocortical Carcinoma: Barrier to Immunotherapy Success? Cancers 2021, 13, 1798. [Google Scholar] [CrossRef]
- Newman, A.M.; Liu, C.L.; Green, M.R.; Gentles, A.J.; Feng, W.; Xu, Y.; Hoang, C.D.; Diehn, M.; Alizadeh, A.A. Robust enumeration of cell subsets from tissue expression profiles. Nat. Methods 2015, 12, 453–457. [Google Scholar] [CrossRef] [PubMed]
- Newman, A.M.; Steen, C.B.; Liu, C.L.; Gentles, A.J.; Chaudhuri, A.A.; Scherer, F.; Khodadoust, M.S.; Esfahani, M.S.; Luca, B.A.; Steiner, D.; et al. Determining cell type abundance and expression from bulk tissues with digital cytometry. Nat. Biotechnol. 2019, 37, 773–782. [Google Scholar] [CrossRef] [PubMed]
- Jiménez-Sánchez, A.; Cast, O.; Miller, M.L. Comprehensive Benchmarking and Integration of Tumor Microenvironment Cell Estimation Methods. Cancer Res. 2019, 79, 6238–6246. [Google Scholar] [CrossRef] [PubMed]
- Becht, E.; Giraldo, N.A.; Lacroix, L.; Buttard, B.; Elarouci, N.; Petitprez, F.; Selves, J.; Laurent-Puig, P.; Sautes-Fridman, C.; Fridman, W.H.; et al. Estimating the population abundance of tissue-infiltrating immune and stromal cell populations using gene expression. Genome Biol. 2016, 17, 218. [Google Scholar] [CrossRef]
- Li, B.; Severson, E.; Pignon, J.-C.; Zhao, H.; Li, T.; Novak, J.; Jiang, P.; Shen, H.; Aster, J.C.; Rodig, S.; et al. Comprehensive analyses of tumor immunity: Implications for cancer immunotherapy. Genome Biol. 2016, 17, 174. [Google Scholar] [CrossRef]
- Tian, X.; Xu, W.; Wang, Y.; Anwaier, A.; Wang, H.; Wan, F.; Zhu, Y.; Cao, D.; Shi, G.; Zhu, Y.; et al. Identification of tumor-infiltrating immune cells and prognostic validation of tumor-infiltrating mast cells in adrenocortical carcinoma: Results from bioinformatics and real-world data. OncoImmunology 2020, 9, 1784529. [Google Scholar] [CrossRef]
- Baechle, J.J.; Hanna, D.N.; Sekhar, K.R.; Rathmell, J.C.; Rathmell, W.K.; Baregamian, N. Multiplatform computational analysis of mast cells in adrenocortical carcinoma tumor microenvironment. Surgery 2021, 171, 111–118. [Google Scholar] [CrossRef]
- Gutman, D.A.; Khalilia, M.; Lee, S.; Nalisnik, M.; Mullen, Z.; Beezley, J.; Chittajallu, D.R.; Manthey, D.; Cooper, L.A.D. The Digital Slide Archive: A Software Platform for Management, Integration, and Analysis of Histology for Cancer Research. Cancer Res. 2017, 77, e75–e78. [Google Scholar] [CrossRef]
- Zheng, S.; Cherniack, A.D.; Dewal, N.; Moffitt, R.A.; Danilova, L.; Murray, B.A.; Lerario, A.M.; Else, T.; Knijnenburg, T.A.; Ciriello, G.; et al. Comprehensive Pan-Genomic Characterization of Adrenocortical Carcinoma. Cancer Cell 2016, 29, 723–736. [Google Scholar] [CrossRef]
- Bagaev, A.; Kotlov, N.; Nomie, K.; Svekolkin, V.; Gafurov, A.; Isaeva, O.; Osokin, N.; Kozlov, I.; Frenkel, F.; Gancharova, O.; et al. Conserved pan-cancer microenvironment subtypes predict response to immunotherapy. Cancer Cell 2021, 39, 845–865. [Google Scholar] [CrossRef]
- Bogolyubova, A.; Abrosimov, A.; Selivanova, L.; Dvinskikh, N.; Kuprash, D.; Belousov, P. Immunohistochemical characteristics of tumor-infiltrating T-lymphocyte subpopulations of the Warthin-like variant of papillary thyroid cancer. Russ. J. Immunol. 2019, 22, 24–30. [Google Scholar] [CrossRef]
- Marcq, E.; Siozopoulou, V.; De Waele, J.; Van Audenaerde, J.; Zwaenepoel, K.; Santermans, E.; Hens, N.; Pauwels, P.; van Meerbeeck, J.P.; Smits, E.L.J. Prognostic and predictive aspects of the tumor immune microenvironment and immune checkpoints in malignant pleural mesothelioma. Oncoimmunology 2016, 28, e1261241. [Google Scholar] [CrossRef] [PubMed]
- Huang, R.; Liu, Z.; Tian, T.; Song, D.; Yan, P.; Yin, H.; Hu, P.; Zhu, X.; Liu, Y.; Li, Z.; et al. The construction and analysis of tumor-infiltrating immune cells and ceRNA networks in metastatic adrenal cortical carcinoma. Biosci. Rep. 2020, 40, BSR20200049. [Google Scholar] [CrossRef]
- Li, X.; Gao, Y.; Xu, Z.; Zhang, Z.; Zheng, Y.; Qi, F. Identification of prognostic genes in adrenocortical carcinoma microenvironment based on bioinformatic methods. Cancer Med. 2019, 9, 1161–1172. [Google Scholar] [CrossRef]





| Count (Cells/0.25 mm2) | ||||
|---|---|---|---|---|
| All Cases | Conventional ACC | Oncocytic ACC | ||
| Parenchyma | CD45+ | 176 (range 23–560) | 153 (range 23–459) | 223 (range 27–560) |
| CD3+ | 41 (range 7–144) | 34 (range 7–135) | 50 (range 11–144) | |
| CD4+ | 13 (range 0–81) | 8 (range 0–33) | 21 (range 2–81) | |
| CD8+ | 21 (range 2–93) | 17 (range 2–93) | 28 (range 5–89) | |
| CD68+ | 47 (range 2–207) | 27 (range 2–106) | 75 (range 2–207) | |
| Stroma | CD45+ | 225 (range 50–570) | 250 (range 116–570) | 221 (range 115–317) |
| CD3+ | 125 (range 9–238) | 153 (range 69–232) | 113 (range 9–238) | |
| CD4+ | 47 (range 1–157) | 46 (range 1–73) | 58 (range 4–157) | |
| CD8+ | 54 (range 1–222) | 71 (range 23–222) | 39 (range 9–80) | |
| CD68+ | 58 (range 2–232) | 61 (range 2–168) | 64 (range 3–232) | |
Publisher’s Note: MDPI stays neutral with regard to jurisdictional claims in published maps and institutional affiliations. |
© 2022 by the authors. Licensee MDPI, Basel, Switzerland. This article is an open access article distributed under the terms and conditions of the Creative Commons Attribution (CC BY) license (https://creativecommons.org/licenses/by/4.0/).
Share and Cite
Bogolyubova, A.V.; Pachuashvili, N.V.; Tkachuk, A.V.; Mokrysheva, N.G.; Urusova, L.S. Interplay between Immune Cell Infiltration and Tumor Histological Subtype: A Case of Adrenocortical Cancer. Cancers 2022, 14, 5303. https://doi.org/10.3390/cancers14215303
Bogolyubova AV, Pachuashvili NV, Tkachuk AV, Mokrysheva NG, Urusova LS. Interplay between Immune Cell Infiltration and Tumor Histological Subtype: A Case of Adrenocortical Cancer. Cancers. 2022; 14(21):5303. https://doi.org/10.3390/cancers14215303
Chicago/Turabian StyleBogolyubova, Apollinariya V., Nano V. Pachuashvili, Arina V. Tkachuk, Natalia G. Mokrysheva, and Liliya S. Urusova. 2022. "Interplay between Immune Cell Infiltration and Tumor Histological Subtype: A Case of Adrenocortical Cancer" Cancers 14, no. 21: 5303. https://doi.org/10.3390/cancers14215303
APA StyleBogolyubova, A. V., Pachuashvili, N. V., Tkachuk, A. V., Mokrysheva, N. G., & Urusova, L. S. (2022). Interplay between Immune Cell Infiltration and Tumor Histological Subtype: A Case of Adrenocortical Cancer. Cancers, 14(21), 5303. https://doi.org/10.3390/cancers14215303

