Particle Swarm Optimization and Two-Way Fixed-Effects Analysis of Variance for Efficient Brain Tumor Segmentation
Abstract
Simple Summary
Abstract
1. Introduction
1.1. What Is a Brain Tumor?
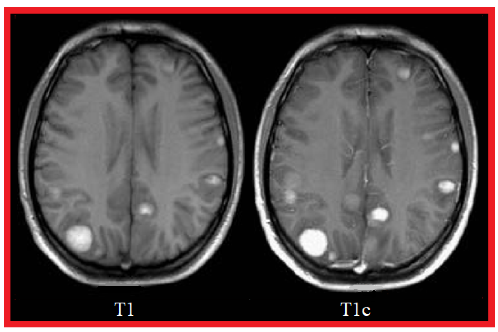
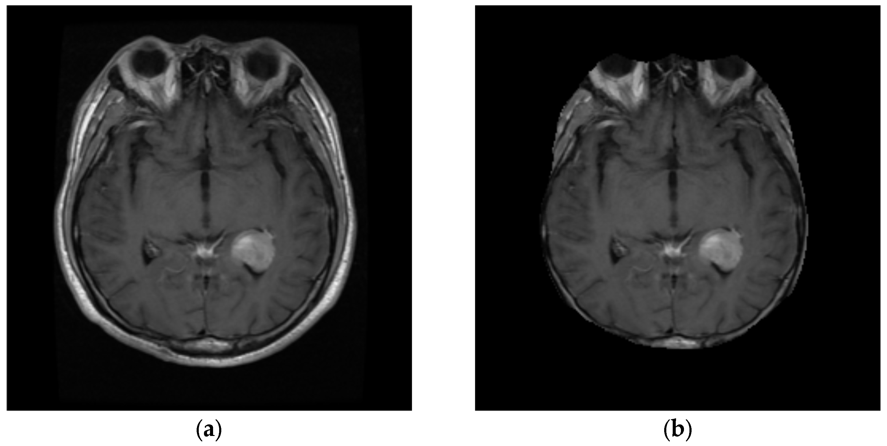
1.2. MRI Sequences for Brain Tumors
- -
- the localization of the expansive process of the tumor, and the specification of its local extension;
- -
- the specification of its characteristics, e.g., is it homogeneous or heterogeneous; is there perilesional edema, calcifications, necrosis, or intratumoral hemorrhage?;
- -
- the establishment of a differential diagnosis between a brain tumor and a circumscribed lesion of another nature, e.g., an abscess;
- -
- the establishment of the diagnosis of certain evolving tumor complications (hemorrhage, hydrocephalus, tumor meningitis, etc.).
- -
- the establishment of the histological grade, in cases of a glial tumor;
- -
- the definition of the quality of the tumor removal, and the continuation of the therapeutic strategy after the surgical time.
1.3. Why We Should Be Interested in Brain Tumor Segmentation?
1.4. Brain Tumor Segmentation Algorithms
- It is easy to implement, using simple algebra.
- It can be used to compare more than two samples.
- It can be applied to groups with different numbers of observations.
- It has been widely used, and has proven effective in various research fields, such as pharmacology and medicine.
1.5. Main Contributions
- The first step was to remove the skull bones from the image, to eliminate unnecessary information.
- In the second step, which was the main contribution of this study, the PSO technique was applied, to detect the lesion’s brain image block. The two-way fixed ANOVA technique used a fitness function to determine the best among all candidate blocks, resulting in automatic brain tumor segmentation comparable to the Ground Truth performed by radiologists. All image blocks were tested, and the one that gave the minimum variance was considered. To overcome the computational complexity, PSO was used as a metaheuristic technique, that identified the best block in minimum time. The choice of PSO was based on the high performance of this optimization technique, when applied to many real-world applications. The satisfactory solution to a complex optimization problem, which includes many sub-optimal solutions, justified using a powerful metaheuristic, like PSO. The PSO algorithm, which is simple to understand, program, and use in minimal time, is particularly effective for practical optimization problems, such as image segmentation [47]. Therefore, the problem was posed as a maximization of a fitness function, and the well-known ANOVA method was chosen to measure the variance between the candidate block and the non-diseased block.
- In the final step, K-means clustering—an efficient and straightforward partitioning technique—was applied to the lesion block, to classify it as tumor or non-tumor.
2. Review of the Background of the Proposed Approach
2.1. Particle Swarm Optimization
| Algorithm 1. PSO algorithm |
| 1: Initialize the total number of candidate solutions , and the maximum number of iterations 2: Random initializaiton of candidate solutions 3: for: do 4: Update the velocities V with (1) 5: Update the positions X with (2) 6: Evaluate the positions X with the fitness function 7: Update the individual and global (G) solutions 8: End for |
2.2. Analysis of Variance (ANOVA)
2.2.1. One-Way Fixed-Effects ANOVA
- -
- Each sample comes from a normally distributed population.
- -
- The variances of the populations from which the samples come are equal.
- -
- The observations in each group are independent, and the observations in the groups were obtained by random sampling.The null and alternative hypotheses defined in a one-way ANOVA are as follows:
- -
- Null hypothesis or : the means of the groups in the study population are equal.
- -
- Alternative hypothesis or : at least one group means differs from the others.
- -
- The total sum of squares () is the sum of the squared distances between each observed value and the overall mean; it is the sum of weight attributable to the factor () and weight attributable to the residues (); it can therefore be summarized by (3).
- -
- The factorial sum of squares (), which measures the differences between the group averages and the overall average, is defined in (4).
- -
- The residual sum of squares () is defined in (5).
- -
- is the -value corresponding to .
- -
- : factorial sum of squares.
- -
- : error sum of squares.
- -
- : index of the modalities (groups), i.e., from to .
- -
- : observation index in a modality.
- -
- : observations.
- -
- : overall mean of observations.
- -
- : numbers of data for each of the modalities.
- -
- : mean of the -values of the considered modality.
| Source of Variation | Sum of Squares | Degrees of Freedom | Mean Squares | -Value | -Value |
|---|---|---|---|---|---|
| Factor | (attributable to factor) | ||||
| Residues or error | (attributable to residues) | ||||
| Total |
2.2.2. Two-Way Fixed-Effects ANOVA
- -
- The first categorical variable studied (often called factor ) has modalities (we also say that the factor contains levels). The index of the modalities of this first categorical variable, noted , goes from to . Similarly, the second categorical variable studied (often called factor ) has modalities. The index of the modalities of this second categorical variable, noted , goes from to .
- -
- The total number of observations is always noted as , but the number of observations in each cell of the factorial design is noted as . Equation (6) defines the relationship between and . In the following, is the number of repetitions.
- -
- The observations in each cell of the factorial design (i.e., in each factorial combination) are denoted by , where is the replication index in each crossover. The overall average of the responses is defined in (7), where the two points (“..”) correspond to the indices of the first and second categorical variables.
- -
- The means of each cross of modalities are noted (see (8)).
- -
- The marginal means of the modalities of the first variable and those of the second variable are respectively noted and , and meet the definitions of Equations (9) and (10).
- -
- The marginal numbers of the modalities of the first variable and those of the second variable are respectively noted as and , and meet the definitions of Equations (11) and (12).
- -
- and degrees of freedom for the tests related to factor ;
- -
- and degrees of freedom for the tests related to factor ;
- -
- and degrees of freedom for the tests related to the interaction between the two factors, and .
| Source of Variation | Sum of Squares | Degrees of Freedom | Mean Squares | -Value | -Value |
|---|---|---|---|---|---|
| () | |||||
| () | |||||
| () | |||||
| Residues or error | (attributable to residues) |
2.3. K-Means Clustering Technique
| Algorithm 2. K-means Algorithm |
| 1: Initialize the number of clusters 2: Choose initial cluster centers 3: While The stopping criterion is not satisfied, do 4: Assign each data point to one cluster 5: Update the center of each cluster 6: End while |
3. Proposed Segmentation Method
3.1. Image Pre-Processing
3.2. ROI Detection
3.3. Tumor Segmentation
- 1.
- Dice similarity coefficient:
- 2.
- Jaccard distance:
- 3.
- Correlation coefficient:
- 4.
- Root Mean Squared Error (RMSE):
4. Experimental Analysis
4.1. Experiments on the KICA Database
4.1.1. Database Description
4.1.2. Experiments
- A.
- Experiment #1
- B.
- Experiment #2
4.2. Experiments on the BraTS 2015 Database
4.2.1. Database Description
4.2.2. Experiments
5. Conclusions
- -
- The skull bone is precisely removed from the image, to exclude irrelevant data.
- -
- The particle swarm optimization (PSO) technique is then applied, to detect the region of interest (ROI) that contains the brain lesion.
- -
- The fitness function used to evaluate the candidate blocks is based on a two-way fixed-effects analysis of variance (ANOVA).
- -
- Finally, in the last step of the method, the K-means segmentation method is used in the lesion block, to classify it into two possible categories: tumor and non-tumor.
Author Contributions
Funding
Institutional Review Board Statement
Informed Consent Statement
Data Availability Statement
Conflicts of Interest
Abbreviations
| ANOVA | Analysis of Variance |
| BRATS | Multimodal Brain Tumor Segmentation Challenge |
| CNN | Convolutional Neural Networks |
| CSF | Cerebrospinal Fluid |
| DICOM | Digital Imaging and Communications in Medicine |
| FCM | Fuzzy C-Means |
| FLAIR | Fluid Attenuated Inversion Recovery |
| FN | False Negatives |
| FP | False Positives |
| GA | Genetic Algorithm |
| Gd | Gadolinium-based Contrast Agents |
| HGG | High-Grade Gliomas (HGG) |
| LGG | Low-Grade Gliomas (LGG) |
| KICA | Kouba Imaging Center—Algiers |
| MRI | Magnetic Resonance Imaging |
| RMSE | Root Mean Squared Error |
| PSO | Particle Swarm Optimization |
| ROI | Region of Interest |
| SVM | Support Vector Machines |
| SA | Simulated Annealing |
| SAD | Sum-of-Absolute-Differences |
| SSE | Error Sum of Squares |
| SSF | Factorial Sum of Squares |
| SSR | Residual Sum of Squares |
| SST | Total Sum of Squares |
| T1 | T1-Weighted Imaging Sequence |
| T2 | T2-Weighted Imaging Sequences |
| T1c | T1-Weighted Contrast-Enhanced |
| TE | Echo Time |
| TR | Repetition Time |
| TP | True Positives |
| WHO | World Health Organization |
References
- Park, J.H.; de Lomana, A.L.G.; Marzese, D.M.; Juarez, T.; Feroze, A.; Hothi, P.; Cobbs, C.; Patel, A.P.; Kesari, S.; Huang, S.; et al. A Systems Approach to Brain Tumor Treatment. Cancers 2021, 13, 3152. [Google Scholar] [CrossRef] [PubMed]
- Sandler, C.X.; Matsuyama, M.; Jones, T.L.; Bashford, J.; Langbeker, D.; Hayes, S.C. Physical activity and exercise in adults diagnosed with primary brain cancer: A systematic review. J. Neuro-Oncol. 2021, 153, 1–14. [Google Scholar] [CrossRef] [PubMed]
- Kanmounye, U.S.; Karekezi, C.; Nyalundja, A.S.; Awad, A.K.; Laeke, T.; Balogun, J.A. Adult brain tumors in Sub–Saharan Africa: A scoping review. Neuro-Oncol. 2022, noac098. [Google Scholar] [CrossRef] [PubMed]
- Ali, S.; Li, J.; Pei, Y.; Khurram, R.; Rehman, K.U.; Mahmood, T. A Comprehensive Survey on Brain Tumor Diagnosis Using Deep Learning and Emerging Hybrid Techniques with Multi–modal MR Image. Arch. Computat. Methods Eng. 2022. [Google Scholar] [CrossRef]
- Bai, X.; Zhang, Y.; Liu, H.; Wang, Y. Intuitionistic Center–Free FCM Clustering for MR Brain Image Segmentation. IEEE J. Biomed. Health Inform. 2019, 23, 2039–2051. [Google Scholar] [CrossRef]
- Li, S.; Liu, J.; Song, Z. Brain tumor segmentation based on region of interest–aided localization and segmentation U–Net. Int. J. Mach. Learn. Cyber. 2022, 13, 2435–2445. [Google Scholar] [CrossRef]
- Di Ianni, T.; Airan, R.D. Deep–fUS: A Deep Learning Platform for Functional Ultrasound Imaging of the Brain Using Sparse Data. IEEE Trans. Med. Imaging 2022, 41, 1813–1825. [Google Scholar] [CrossRef]
- Sastry, R.; Bi, W.L.; Pieper, S.; Frisken, S.; Kapur, T.; Wells, W.; Golby, A.J. Applications of Ultrasound in the Resection of Brain Tumors. J. Neuroimaging 2017, 27, 5–15. [Google Scholar] [CrossRef]
- Guetbi, C.; Kouamé, D.; Ouahabi, A.; Remenieras, J.P. New emboli detection methods [Doppler ultrasound]. In Proceedings of the 1997 IEEE Ultrasonics Symposium Proceedings, An International Symposium (Cat. No.97CH36118), Toronto, ON, Canada, 5–8 October 1997; pp. 1119–1122. [Google Scholar]
- Girault, J.M.; Kouamé, D.; Ouahabi, A.; Patat, F. Estimation of the blood Doppler frequency shift by a time–varying parametric approach. Ultrasonics 2000, 38, 682–687. [Google Scholar] [CrossRef]
- Girault, J.M.; Ossant, F.; Ouahabi, A.; Kouame, D.; Patat, F. Time–varying autoregressive spectral estimation for ultrasound attenuation in tissue characterization. IEEE Trans. Ultrason Ferroelectr. Freq. Control 1998, 45, 650–659. [Google Scholar] [CrossRef]
- Girault, M.; Kouame, D.; Ouahabi, A.; Patat, F. Micro–emboli detection: An ultrasound Doppler signal processing viewpoint. IEEE Trans. Biomed. Eng. 2000, 47, 1431–1439. [Google Scholar] [CrossRef]
- Mesfin, F.B.; Al–Dhahir, M.A.; Gliomas. Treasure Island 2022. Available online: https://www.ncbi.nlm.nih.gov/books/NBK441874/ (accessed on 5 June 2022).
- Available online: https://www.arcagy.org/infocancer/localisations/autres–types–de–cancers/tumeurs–cerebrales/formes–de–la–maladie/les–gliomes.html/ (accessed on 6 July 2022).
- WHO. Central Nervous System Tumours. In WHO Classification of Tumours, 5th ed.; WHO: Geneve, Switzerland, 2022; Volume 8. [Google Scholar]
- Menze, B.H.; Jakab, A.; Bauer, S.; Kalpathy-Cramer, J.; Farahani, K.; Kirby, J.; Burren, Y.; Porz, N.; Slotboom, J.; Wiest, R.; et al. The Multimodal Brain Tumor Image Segmentation Benchmark (BRATS). IEEE Trans. Med. Imaging 2015, 34, 1993–2024. [Google Scholar] [CrossRef]
- Le, N.Q.K.; Hung, T.N.K.; Do, D.T.; Lam, L.H.T.; Dang, L.H.; Huynh, T.T. Radiomics–based machine learning model for efficiently classifying transcriptome subtypes in glioblastoma patients from MRI. Comput. Biol. Med. 2021, 132, 104320. [Google Scholar] [CrossRef]
- Lam, L.H.T.; Do, D.T.; Diep, D.T.N.; Nguyet, D.L.N.; Truong, Q.D.; Tri, T.T.; Thanh, H.N.; Le, N.Q.K. Molecular subtype classification of low–grade gliomas using magnetic resonance imaging–based radiomics and machine learning. NMR Biomed. 2022, e4792. [Google Scholar] [CrossRef]
- Yaseen, S.F.; Al–Araji, A.S.; Humaidi, A.J. Brain tumor segmentation and classification: A one–decade review. Int. J. Nonlinear Anal. Appl. 2022, 13, 1879–1891. [Google Scholar]
- Ouahabi, A. Image Denoising using Wavelets: Application in Medical Imaging. In Advances in Heuristic Signal Processing and Applications; Chatterjee, A., Nobahari, H., Siarry, P., Eds.; Springer: Basel, Switzerland, 2013; pp. 287–313. [Google Scholar]
- Razzak, I.; Imran, M.; Xu, G. Efficient Brain Tumor Segmentation with Multiscale Two–Pathway Group Conventional Neural Networks. IEEE J. Biomed. Health Inform. 2019, 23, 1911–1919. [Google Scholar] [CrossRef]
- Zehani, S.; Ouahabi, A.; Oussalah, M.; Mimi, M.; Taleb–Ahmed, A. Bone microarchitecture characterization based on fractal analysis in spatial frequency domain imaging. Int. J. Imaging Syst. Technol. 2021, 31, 141–159. [Google Scholar] [CrossRef]
- Vishnuvarthanan, G.; Rajasekaran, M.P.; Subbaraj, P.; Vishnuvarthanan, A. An unsupervised learning method with a clustering approach for tumor identification and tissue segmentation in magnetic resonance brain images. Appl. Soft Comput. 2016, 38, 190–212. [Google Scholar] [CrossRef]
- Sujan, M.; Alam, N.; Abdullah, S.; Jahirul, M. A segmentation based automated system for brain tumor detection. Int. J. Comput. Appl. 2016, 153, 41–49. [Google Scholar] [CrossRef]
- Ilhan, U.; Ilhan, A. Brain tumor segmentation based on a new threshold approach. Procedia Comput. Sci. 2017, 120, 580–587. [Google Scholar] [CrossRef]
- Djeddi, M.; Ouahabi, A.; Batatia, H.; Basarab, A.; Kouame, D. Discrete wavelet transform for multifractal texture classification: Application to ultrasound imaging. In Proceedings of the 2010 IEEE International Conference on Image Processing (ICIP), Hong Kong, China, 26–29 September 2010; pp. 637–640. [Google Scholar]
- Deng, W.; Xiao, W.; Deng, H.; Liu, J. MRI brain tumor segmentation with region growing method based on the gradients and variances along and inside of the boundary curve. In Proceedings of the 2010 3rd International Conference on Biomedical Engineering and Informatics, Yantai, China, 16–18 October 2010; pp. 393–396. [Google Scholar]
- Węgliński, T.; Fabijańska, A. Brain tumor segmentation from MRI data sets using region growing approach. In Proceedings of the 2011 Perspective Technologies and Methods in MEMS Design, Polyana, Ukraine, 11–14 May 2011; pp. 185–188. [Google Scholar]
- Biratu, E.S.; Schwenker, F.; Debelee, T.G.; Kebede, S.R.; Negera, W.G.; Molla, H.T. Enhanced Region Growing for Brain Tumor MR Image Segmentation. J. Imaging 2021, 7, 22. [Google Scholar] [CrossRef]
- Khosravanian, A.; Rahmanimanesh, M.; Keshavarzi, P.; Mozaffari, S. Fast Level Set Method for Glioma Brain Tumor Segmentation Based on Super Pixel Fuzzy Clustering and Lattice Boltzmann Method. Comput. Methods Programs Biomed. 2021, 198, 105809. [Google Scholar] [CrossRef]
- Hamiane, M.; Saeed, F. SVM Classification of MRI Brain Images for Computer–Assisted Diagnosis. Int. J. Electr. Comput. Eng. 2017, 7, 2555–2564. [Google Scholar] [CrossRef][Green Version]
- Zhang, N.; Ruan, S.; Lebonvallet, S.; Liao, Q.; Zhu, Y. Kernel feature selection to fuse multi–spectral MRI images for brain tumor segmentation. Comput. Vis. Image Underst. 2011, 115, 256–269. [Google Scholar] [CrossRef]
- Koley, S.; Sadhu, A.K.; Mitra, P.; Chakraborty, B.; Chakraborty, C. Delineation and diagnosis of brain tumors from post contrast T1–weighted MR images using rough granular computing and random forest. Appl. Soft Comput. 2016, 41, 453–465. [Google Scholar] [CrossRef]
- Srinivasu, P.N.; SivaSai, J.G.; Ijaz, M.F.; Bhoi, A.K.; Kim, W.; Kang, J.J. Classification of Skin Disease Using Deep Learning Neural Networks with MobileNet V2 and LSTM. Sensors 2021, 21, 2852. [Google Scholar] [CrossRef]
- Ijaz, M.F.; Attique, M.; Son, Y. Data–Driven Cervical Cancer Prediction Model with Outlier Detection and Over–Sampling Methods. Sensors 2020, 20, 2809. [Google Scholar] [CrossRef]
- Ali, F.; El–Sappagh, S.; Islam, S.M.R.; Kwak, D.; Ali, A.; Imran, A.; Kwak, K.S. A Smart Healthcare Monitoring System for Heart Disease Prediction Based On Ensemble Deep Learning and Feature Fusion. Inf. Fusion 2020, 63, 208–222. [Google Scholar] [CrossRef]
- Havaei, M.; Davy, A.; Warde–Farley, D.; Biard, A.; Courville, A.; Bengio, Y.; Pal, C.; Jodoin, P.M.; Larochelle, H. Brain tumor segmentation with Deep Neural Networks. Med. Image Anal. 2017, 35, 18–31. [Google Scholar] [CrossRef]
- Ma, C.; Luo, G.; Wang, K. Concatenated and connected random forests with multiscale patch driven active contour model for automated brain tumor segmentation of MR images. IEEE Trans. Med. Imaging 2018, 37, 1943–1954. [Google Scholar] [CrossRef]
- Hussain, S.; Anwar, S.M. Segmentation of Glioma Tumors in Brain Using Deep Convolutional Neural Network. Neurocomputing 2018, 282, 248–261. [Google Scholar] [CrossRef]
- Li, Q.; Yu, Z.; Wang, Y.; Zheng, H. TumorGAN: A Multi–Modal Data Augmentation Framework for Brain Tumor Segmentation. Sensors 2020, 20, 4203. [Google Scholar] [CrossRef] [PubMed]
- Arora, A.; Jayal, A.; Gupta, M.; Mittal, P.; Satapathy, S.C. Brain Tumor Segmentation of MRI Images Using Processed Image Driven U–Net Architecture. Computers 2021, 10, 139. [Google Scholar] [CrossRef]
- Nabizadeh, N.; Kubat, M. Automatic Tumor Segmentation in Single–spectral MRI Using A Texture–based and Contour–based Algorithm. Expert Syst. Appl. 2017, 77, 1–10. [Google Scholar] [CrossRef]
- Ben George, E.; Rosline, G.; Rajesh, D. Brain tumor segmentation using Cuckoo search optimization for magnetic resonance images. In Proceedings of the 2015 IEEE 8th GCC Conference & Exhibition, Muscat, Oman, 1–4 February 2015; pp. 1–6. [Google Scholar]
- Karnan, M.; Logheshwari, T. Improved implementation of brain MRI image segmentation using ant colony system. In Proceedings of the 2010 IEEE International Conference on Computational Intelligence and Computing Research (ICCIC), Coimbatore, India, 28–29 December 2010; pp. 1–4. [Google Scholar]
- Larson, M.G. Analysis of variance. Circulation 2008, 117, 115–121. [Google Scholar] [CrossRef] [PubMed]
- Sun, H.; Wang, W. A new algorithm for unsupervised image segmentation based on D–MRF model and ANOVA. In Proceedings of the 2009 IEEE International Conference on Network Infrastructure and Digital Content (IC–NIDC), Beijing, China, 6–8 November 2009; pp. 754–758. [Google Scholar]
- Farshi, T.R.; Drake, J.H.; Özcan, E. A multimodal particle swarm optimization–based approach for image segmentation. Expert Syst. Appl. 2020, 149, 113233. [Google Scholar] [CrossRef]
- Bonabeau, E.; Dorigo, M.; Theraulaz, G. Swarm intelligence: From natural to artificial systems. Connect. Sci. 2002, 14, 163–164. [Google Scholar]
- Eberhart, R.C.; Kennedy, J. Particle Swarm Optimization. In Proceedings of the 1995 IEEE International Conference on Neural Networks (ICNN), Perth, WA, Australia, 27 November–1 December 1995; pp. 1942–1948. [Google Scholar]
- Kirkpatrick, S.; Gelatt, C.D.; Vecchi, M.P. Optimization by simulated annealing. Science 1983, 220, 671–680. [Google Scholar] [CrossRef]
- Mirjalili, S.; Mirjalili, S.M.; Lewis, A. Grey wolf optimizer. Adv. Eng. Softw. 2014, 69, 46–61. [Google Scholar] [CrossRef]
- Salleh, M.N.M.; Hussain, K.; Cheng, S.; Shi, Y.; Muhammad, A.; Ullah, G.; Naseem, R. Exploration and Exploitation Measurement in Swarm–Based Metaheuristic Algorithms: An Empirical Analysis. In Advances in Intelligent Systems and Computing; Ghazali, R., Deris, M.M., Nawi, N.M., Abawajy, J.H., Eds.; Springer International Publishing: Berlin/Heidelberg, Germany, 2018; pp. 24–32. [Google Scholar]
- Boussaid, I.; Lepagnot, J.; Siarry, P. A survey on optimization metaheuristics. Inf. Sci. 2013, 237, 82–117. [Google Scholar] [CrossRef]
- Thangaraj, R.; Pant, M.; Abraham, A.; Bouvry, P. Particle swarm optimization: Hybridization perspectives and experimental illustrations. Appl. Math. Comput. 2011, 217, 5208–5226. [Google Scholar] [CrossRef]
- Abdulraqeb, A.R.A.; Al–Haidri, W.A.; Sushkova, L.T. A novel segmentation algorithm for MRI brain tumor images. In Proceedings of the 2018 Ural Symposium on Biomedical Engineering, Radioelectronics and Information Technology (USBEREIT), Yekaterinburg, Russia, 7–8 May 2018; pp. 1–4. [Google Scholar]
- Dhanve, V.; Kumar, M. Detection of brain tumor using k–means segmentation based on object labeling algorithm. In Proceedings of the 2017 IEEE International Conference on Power, Control, Signals and Instrumentation Engineering (ICPCSI), Chennai, India, 21–22 September 2017; pp. 944–951. [Google Scholar]
- Girault, J.M.; Kouame, D.; Ouahabi, A. Analytical formulation of the fractal dimension of filtered stochastic signals. Signal Processing 2010, 90, 2690–2697. [Google Scholar] [CrossRef]
- Ferroukhi, M.; Ouahabi, A.; Attari, M.; Habchi, Y.; Taleb–Ahmed, A. Medical video coding based on 2nd–generation wavelets: Performance evaluation. Electronics 2019, 8, 88. [Google Scholar] [CrossRef]
- Mahdaoui, A.E.; Ouahabi, A.; Moulay, M.S. Image Denoising Using a Compressive Sensing Approach Based on Regularization Constraints. Sensors 2022, 22, 2199. [Google Scholar] [CrossRef]
- Haneche, H.; Ouahabi, A.; Boudraa, B. New mobile communication system design for Rayleigh environments based on compressed sensing–source coding. IET Commun. 2019, 13, 2375–2385. [Google Scholar] [CrossRef]
- Haneche, H.; Boudraa, B.; Ouahabi, A. A new way to enhance speech signal based on compressed sensing. Measurement 2020, 151, 107–117. [Google Scholar] [CrossRef]
- Haneche, H.; Ouahabi, A.; Boudraa, B. Compressed sensing–speech coding scheme for mobile communications. Circuits Syst. Signal Process. 2021, 40, 5106–5126. [Google Scholar] [CrossRef]
- Kim, J.; Wang, Q.; Zhang, S.; Yoon, S. Compressed Sensing–Based Super–Resolution Ultrasound Imaging for Faster Acquisition and High Quality Images. IEEE Trans. Biomed. Eng. 2021, 68, 3317–3326. [Google Scholar] [CrossRef]
- Ouahabi, A. A review of wavelet denoising in medical imaging. In Proceedings of the 2013 8th International Workshop on Systems, Signal Processing and their Applications (WoSSPA), Algiers, Algeria, 12–15 May 2013; pp. 19–26. [Google Scholar]
- Sidahmed, S.; Messali, Z.; Ouahabi, A.; Trépout, S.; Messaoudi, C.; Marco, S. Nonparametric Denoising Methods Based on Contourlet Transform with Sharp Frequency Localization: Application to Low Exposure Time Electron Microscopy Images. Entropy 2015, 17, 3461–3478. [Google Scholar]
- Ouahabi, A. Signal and Image Multiresolution Analysis, 1st ed.; ISTE–Wiley: London, UK, 2012. [Google Scholar]
- Demirhan, A.; Törü, M.; Güler, I. Segmentation of tumor and edema along with healthy tissues of brain using wavelets and neural networks. IEEE J. Biomed. Health Inform. 2015, 19, 1451–1458. [Google Scholar] [CrossRef]
- Smith, S.M. Fast robust automated brain extraction. Hum. Brain Mapp. 2002, 17, 143–155. [Google Scholar] [CrossRef]
- Iglesias, J.E.; Liu, C.Y.; Thompson, P.M.; Tu, Z. Robust brain extraction across datasets and comparison with publicly available methods. IEEE Trans. Med. Imaging 2011, 30, 1617–1634. [Google Scholar] [CrossRef]
- Ashburner, J.; Friston, K.J. Unified segmentation. Neuroimage 2005, 26, 839–851. [Google Scholar] [CrossRef]
- Vishnuvarthanan, A.; Rajasekaran, M.P.; Vishnuvarthanan, G.; Zhang, Y.; Thiyagarajan, A. An automated hybrid approach using clustering and nature inspired optimization technique for improved tumor and tissue segmentation in magnetic resonance brain images. Appl. Soft Comput. 2017, 57, 399–426. [Google Scholar] [CrossRef]
- Akkus, A.; Galimzianova, A.; Hoogi, A.; Rubin, D.L.; Erickson, B.J. Deep learning for brain MRI segmentation: State of the art and future directions. J. Digit Imaging 2017, 30, 449–459. [Google Scholar] [CrossRef]
- Cai, J.; Pan, W.D. On fast and accurate block–based motion estimation algorithms using particle swarm optimization. Inf. Sci. 2012, 197, 53–64. [Google Scholar] [CrossRef]
- Goshtasby, A. Image Registration: Principles, Tools and Methods; Springer Science & Business Media: Berlin/Heidelberg, Germany, 2012. [Google Scholar]
- Center of Imaging of Kouba, Algeria Database. Available online: https://figshare.com/articles/brain_tumor_dataset/1512427 (accessed on 24 March 2022).
- Havaei, M.; Dutil, F.; Pal, C.; Larochelle, H.; Jodoin, P.M. A Convolutional Neural Network Approach to Brain Tumor Segmentation. In Brainlesion: Glioma, Multiple Sclerosis, Stroke and Traumatic Brain Injuries; Springer: Cham, Switzerland, 2016; pp. 195–208. [Google Scholar]
- Pereira, S.; Pinto, A.; Alves, V.; Silva, C.A. Deep Convolutional Neural Networks for the Segmentation of Gliomas in Multisequence MRI. In Brainlesion: Glioma, Multiple Sclerosis, Stroke and Traumatic Brain Injuries; Springer: Cham, Switzerland, 2016; pp. 131–143. [Google Scholar]
- Tseng, K.L.; Lin, Y.L.; Hsu, W.; Huang, C.Y. Joint Sequence Learning and Cross–Modality Convolution for 3D Biomedical Segmentation. In Proceedings of the IEEE Conference on Computer Vision and Pattern Recognition (CVPR), Honolulu, HI, USA, 21–26 July 2017. [Google Scholar]
- Iqbal, S.; Ghani, M.U.; Saba, T.; Rehman, A. Brain Tumor Segmentation in Multi–spectral MRI Using Convolutional Neural Networks (CNN). Microsc. Res. Technol. 2018, 81, 419–427. [Google Scholar] [CrossRef]
- Liu, D.; Zhang, H.; Zhao, M.; Yu, X.; Yao, S.; Zhou, W. Brain Tumor Segmentation Based on Dilated Convolution Refine Networks. In Proceedings of the 16th IEEE International Conference on Software Engineering Research, Management and Application, Kunming, China, 13–15 June 2018; pp. 113–120. [Google Scholar]
- Hu, K.; Deng, S.H. Brain Tumor Segmentation Using Multi–Cascaded Convolutional Neural Networks and Conditional Random Field. IEEE Access 2019, 7, 2615–2629. [Google Scholar] [CrossRef]
- Li, H.C.; Li, A.; Wang, M.H. A Novel End–to–end Brain Tumor Segmentation Method Using Improved Fully Convolutional Networks. Comput. Biol. Med. 2019, 108, 150–160. [Google Scholar] [CrossRef]
- Elmezain, M.; Mahmoud, A.; Mosa, D.T.; Said, W. Brain Tumor Segmentation Using Deep Capsule Network and Latent–Dynamic Conditional Random Fields. J. Imaging 2022, 8, 190. [Google Scholar] [CrossRef]
- Adjabi, I.; Ouahabi, A.; Benzaoui, A.; Taleb–Ahmed, A. Past, present, and future of face recognition: A Review. Electronics 2020, 9, 1188. [Google Scholar] [CrossRef]
- Adjabi, I.; Ouahabi, A.; Benzaoui, A.; Jacques, S. Multi–block color–binarized statistical images for single–sample face recognition. Sensors 2021, 21, 728. [Google Scholar] [CrossRef] [PubMed]
- El Morabit, S.; Rivenq, A.; Zighem, M.E.; Hadid, A.; Ouahabi, A.; Taleb–Ahmed, A. Automatic Pain Estimation from Facial Expressions: A Comparative Analysis Using Off–the–Shelf CNN Architectures. Electronics 2021, 10, 1926. [Google Scholar] [CrossRef]
- Khaldi, Y.; Benzaoui, A.; Ouahabi, A.; Jacques, S.; Taleb–Ahmed, A. Ear recognition based on deep unsupervised active learning. IEEE Sens. J. 2021, 21, 20704–20713. [Google Scholar] [CrossRef]
- Arbaoui, A.; Ouahabi, A.; Jacques, S.; Hamiane, M. Concrete Cracks Detection and Monitoring Using Deep Learning–Based Multiresolution Analysis. Electronics 2021, 10, 1772. [Google Scholar] [CrossRef]
- Arbaoui, A.; Ouahabi, A.; Jacques, S.; Hamiane, M. Wavelet–based multiresolution analysis coupled with deep learning to efficiently monitor cracks in concrete. Frat. Integrita Strutt. 2021, 58, 33–47. [Google Scholar] [CrossRef]
- Benlamoudi, A.; Bekhouche, S.E.; Korichi, M.; Bensid, K.; Ouahabi, A.; Hadid, A.; Taleb–Ahmed, A. Face Presentation Attack Detection Using Deep Background Subtraction. Sensors 2022, 22, 3760. [Google Scholar] [CrossRef]
- Souibgui, M.A.; Kessentini, Y. DE–GAN: A Conditional Generative Adversarial Network for Document Enhancement. IEEE Trans. Pattern Anal. Mach. Intell. 2022, 44, 1180–1191. [Google Scholar] [CrossRef]
- Gui, J.; Sun, Z.; Wen, Y.; Tao, T.; Ye, J. A Review on Generative Adversarial Networks: Algorithms, Theory, and Applications. IEEE Trans. Knowl. Data Eng. 2021. [Google Scholar] [CrossRef]
- Khaldi, Y.; Benzaoui, A. A new framework for grayscale ear images recognition using generative adversarial networks under unconstrained conditions. Evol. Syst. 2021, 12, 923–934. [Google Scholar] [CrossRef]
- Creswell, A.; Bharath, A.A. Inverting the Generator of a Generative Adversarial Network. IEEE Trans. Neural Netw. Learn. Syst. 2019, 30, 1967–1974. [Google Scholar] [CrossRef]






















| Tissue | T1-Weighted | T2-Weighted | FLAIR |
|---|---|---|---|
| White Matter | Light | Dark Gray | Dark Gray |
| Fat | Bright | Light | Light |
| CSF | Dark | Bright | Dark |
| Inflammation | Dark | Bright | Bright |
| Cortex | Gray | Light Gray | Light Gray |
| Images | Dice Similarity Coefficient (%) | Jaccard Distance (%) | Correlation Coefficient (−1 to +1) | RMSE Metric (%) | ||||
|---|---|---|---|---|---|---|---|---|
| ANOVA | SAD | ANOVA | SAD | ANOVA | SAD | ANOVA | SAD | |
| Image 1 | 62.008% | NRS | 44.936% | NRS | 0.673064 | 0.475478 | 0.0006647 | 0.0010605 |
| Image 2 | 78.997% | NRS | 65.285% | NRS | 0.790116 | 0.386167 | 0.0000158 | 0.0014934 |
| Image 3 | 73.276% | 24.432% | 57.823% | 13.916% | 0.761069 | 0.532032 | 0.0003579 | 0.0005049 |
| Image 4 | 83.265% | 78.242% | 71.329% | 64.26% | 0.870553 | 0.820469 | 0.0000657 | 0.0001091 |
| Image 5 | 88.252% | 87.581% | 78.974% | 77.907% | 0.897922 | 0.888510 | 0.0000398 | 0.0000464 |
| Image 6 | 87.844% | 85.748% | 78.323% | 75.051% | 0.891440 | 0.865518 | 0.0000243 | 0.0000361 |
| Image 7 | 91.919% | 88.809% | 85.046% | 79.871% | 0.925806 | 0.903027 | 0.0000686 | 0.0001325 |
| Image 8 | 94.535% | 93.593% | 89.637% | 87.959% | 0.952524 | 0.942536 | 0.0001223 | 0.0002402 |
| Image 9 | 96.211% | 90.469% | 92.699% | 82.598% | 0.953663 | 0.66343 | 0.0000498 | 0.0004337 |
| Image 10 | 95.154% | NRS | 90.756% | NRS | 0.950669 | 0.94286 | 0.0000414 | 0.0133088 |
| Images | Our Method | FCM | K-Means | Otsu Thresholding | Local Thresholding | Watershed Thresholding |
|---|---|---|---|---|---|---|
| Image 1 | 62.008% | 2.9106% | 6.858% | 0.044% | 0.303% | NRS |
| Image 2 | 78.997% | NRS | NRS | NRS | NRS | NRS |
| Image 3 | 73.276% | 1.127% | 6.690% | NRS | NRS | NRS |
| Image 4 | 83.265% | 25.948% | 24.823% | 5.750% | 0.906% | 8.297% |
| Image 5 | 88.252% | 38.213% | 38.137% | 6.130% | 20.762% | 7.738% |
| Image 6 | 87.844% | 42.716% | 35.910% | 4.683% | 4.088% | 5.357% |
| Image 7 | 91.919% | 44.635% | 40.291% | 10.921% | 35.751% | 13.968% |
| Image 8 | 94.535% | 50.052% | 79.763% | 25.940% | 11.712% | 27.638% |
| Image 9 | 96.211% | 1.476% | 56.53% | 25.038% | 23.014% | 25.643% |
| Image 10 | 95.154% | 0.810% | 48.957% | 18.878% | NRS | 28.530% |
| Images | Our Method | FCM | K-Means | Otsu Thresholding | Local Thresholding | Watershed Thresholding |
|---|---|---|---|---|---|---|
| Image 1 | 44.936% | 1.4768% | 3.551% | 0.022% | 0.151% | NRS |
| Image 2 | 65.285% | NRS | NRS | NRS | NRS | NRS |
| Image 3 | 57.823% | 0.566% | 3.461% | NRS | NRS | NRS |
| Image 4 | 71.329% | 14.908% | 14.17% | 2.96% | 0.455% | 4.328% |
| Image 5 | 78.974% | 23.619% | 23.561% | 3.161% | 11.583% | 4.025% |
| Image 6 | 78.323% | 27.159% | 21.885% | 2.398% | 2.087% | 2.752% |
| Image 7 | 85.046% | 28.729% | 25.228% | 5.776% | 21.766% | 7.508% |
| Image 8 | 89.637% | 33.38% | 66.339% | 14.903% | 6.220% | 16.035% |
| Image 9 | 92.699% | 0.7438% | 39.402% | 14.310% | 13.003% | 14.707% |
| Image 10 | 90.756% | 0.406% | 32.413% | 10.423% | NRS | 16.639% |
| Images | Our Method | FCM | K-Means | Otsu Thresholding | Local Thresholding | Watershed Thresholding |
|---|---|---|---|---|---|---|
| Image 1 | 0.673064 | 0.157563 | 0.293867 | 0.275414 | 0.196262 | 0.214095 |
| Image 2 | 0.790116 | 0.239039 | 0.250315 | 0.219895 | 0.138782 | 0.160484 |
| Image 3 | 0.761069 | 0.182389 | 0.253495 | 0.243609 | 0.129738 | 0.243366 |
| Image 4 | 0.870553 | 0.289513 | 0.417104 | 0.159479 | 0.175391 | 0.192943 |
| Image 5 | 0.897922 | 0.378542 | 0.561895 | 0.164128 | 0.249723 | 0.177235 |
| Image 6 | 0.891440 | 0.502674 | 0.557390 | 0.135842 | 0.154660 | 0.142385 |
| Image 7 | 0.925806 | 0.537026 | 0.560681 | 0.224682 | 0.356487 | 0.281344 |
| Image 8 | 0.952524 | 0.474860 | 0.822597 | 0.328776 | 0.188492 | 0.3892 |
| Image 9 | 0.966158 | 0.255578 | 0.593773 | 0.333411 | 0.236488 | 0.3951 |
| Image 10 | 0.953663 | 0.300080 | 0.602117 | 0.271452 | 0.084133 | 0.3824 |
| Images | Our Method | FCM | K-Means | Otsu Thresholding | Local Thresholding | Watershed Thresholding |
|---|---|---|---|---|---|---|
| Image 1 | 0.0006647 | 0.0012972 | 0.0021345 | 0.0057836 | 0.0020789 | 0.0031144 |
| Image 2 | 0.0000158 | 0.0000920 | 0.0005815 | 0.0040139 | 0.0001327 | 0.0011636 |
| Image 3 | 0.0003579 | 0.0008458 | 0.0046264 | 0.0242370 | 0.0024103 | 0.0155236 |
| Image 4 | 0.0000657 | 0.0005798 | 0.0013554 | 0.0915980 | 0.0010545 | 0.0589136 |
| Image 5 | 0.0000399 | 0.0005223 | 0.0006572 | 0.0973590 | 0.0006525 | 0.0915326 |
| Image 6 | 0.0000243 | 0.0002296 | 0.0003564 | 0.1246628 | 0.0005443 | 0.1213210 |
| Image 7 | 0.0000686 | 0.0007301 | 0.0018533 | 0.0672948 | 0.0017184 | 0.0423277 |
| Image 8 | 0.0001223 | 0.0049038 | 0.0004566 | 0.0636407 | 0.0068672 | 0.0722 |
| Image 9 | 0.0000498 | 0.0073548 | 0.0018346 | 0.1033327 | 0.0065827 | 0.0887 |
| Image 10 | 0.0000414 | 0.0060980 | 0.0040885 | 0.1220065 | 0.0062485 | 0.0533 |
| Authors | Year | Methods | Dice | ||
|---|---|---|---|---|---|
| Complete | Core | Enhancing | |||
| Havaei et al. [76] | 2016 | CNN (Two-Phase Patch-Wise Training Procedure) | 88% | 79% | 73% |
| Pereira et al. [77] | 2016 | CNN | 87% | 73% | 68% |
| Tseng et al. [78] | 2017 | CNN (Encoder-Decoder Architecture) | 85% | 68% | 68% |
| Hussain et al. [39] | 2018 | ILinear | 86% | 87% | 90% |
| Iqbal et al. [79] | 2018 | CNN (Sequential Multiple Neural Network Layers) | 87% | 86% | 79% |
| Liu et al. [80] | 2018 | CNN (ResNet-50) | 87% | 62% | 68% |
| Hu and Deng [81] | 2019 | MCCNN + CRFs | 87% | 76% | 75% |
| Li et al. [82] | 2019 | CNN (Modified U-Net Architecture) | 89% | 73% | 73% |
| Elmezain et al. [83] | 2022 | CapsNet + LDCRF + Post-processing | 91% | 86% | 85% |
| Atia et al. | 2022 | Our Method | 91% | 87% | 86% |
Publisher’s Note: MDPI stays neutral with regard to jurisdictional claims in published maps and institutional affiliations. |
© 2022 by the authors. Licensee MDPI, Basel, Switzerland. This article is an open access article distributed under the terms and conditions of the Creative Commons Attribution (CC BY) license (https://creativecommons.org/licenses/by/4.0/).
Share and Cite
Atia, N.; Benzaoui, A.; Jacques, S.; Hamiane, M.; Kourd, K.E.; Bouakaz, A.; Ouahabi, A. Particle Swarm Optimization and Two-Way Fixed-Effects Analysis of Variance for Efficient Brain Tumor Segmentation. Cancers 2022, 14, 4399. https://doi.org/10.3390/cancers14184399
Atia N, Benzaoui A, Jacques S, Hamiane M, Kourd KE, Bouakaz A, Ouahabi A. Particle Swarm Optimization and Two-Way Fixed-Effects Analysis of Variance for Efficient Brain Tumor Segmentation. Cancers. 2022; 14(18):4399. https://doi.org/10.3390/cancers14184399
Chicago/Turabian StyleAtia, Naoual, Amir Benzaoui, Sébastien Jacques, Madina Hamiane, Kaouther El Kourd, Ayache Bouakaz, and Abdeldjalil Ouahabi. 2022. "Particle Swarm Optimization and Two-Way Fixed-Effects Analysis of Variance for Efficient Brain Tumor Segmentation" Cancers 14, no. 18: 4399. https://doi.org/10.3390/cancers14184399
APA StyleAtia, N., Benzaoui, A., Jacques, S., Hamiane, M., Kourd, K. E., Bouakaz, A., & Ouahabi, A. (2022). Particle Swarm Optimization and Two-Way Fixed-Effects Analysis of Variance for Efficient Brain Tumor Segmentation. Cancers, 14(18), 4399. https://doi.org/10.3390/cancers14184399

