Concomitant Hepatic Artery Resection for Advanced Perihilar Cholangiocarcinoma: A Narrative Review
Abstract
:Simple Summary
Abstract
1. Introduction
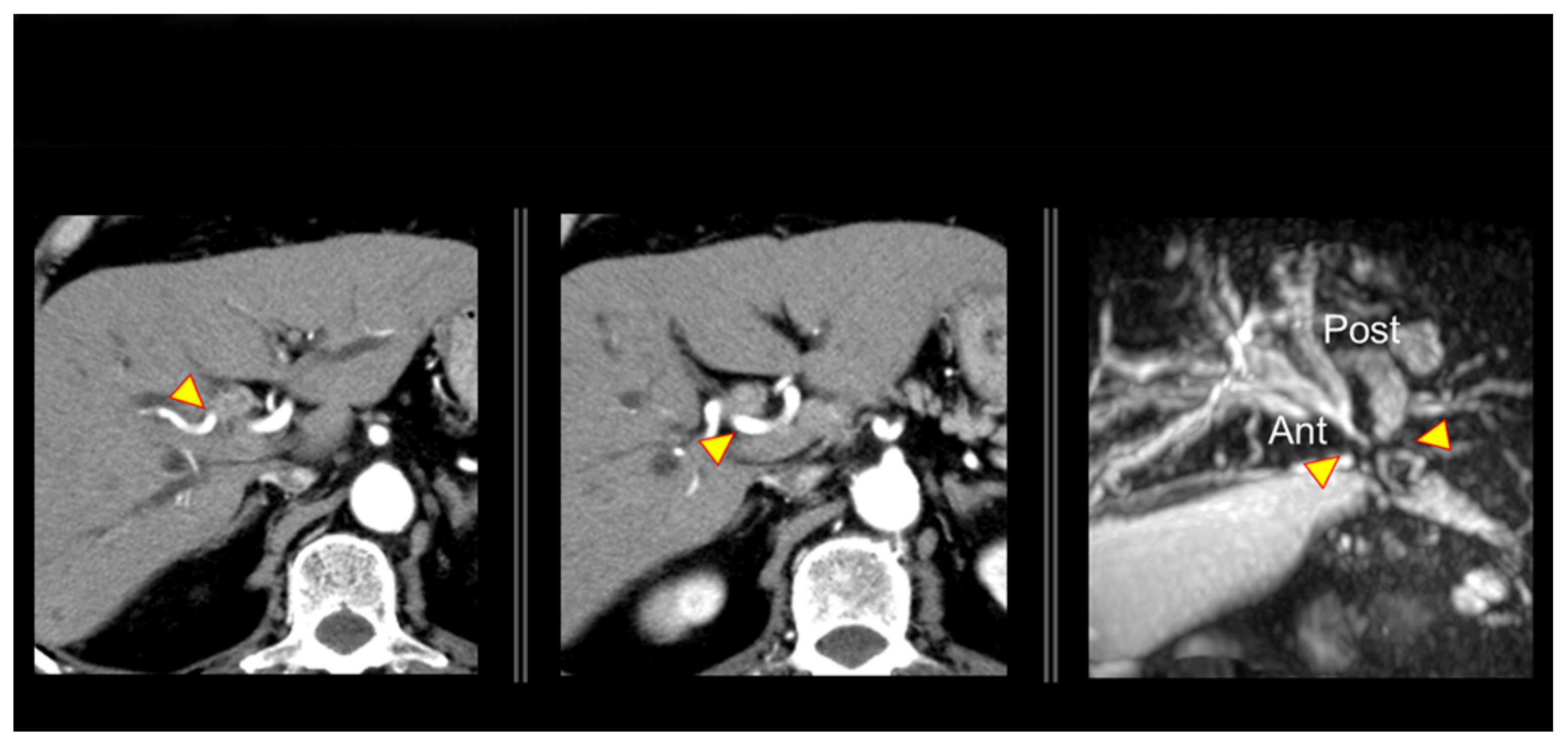
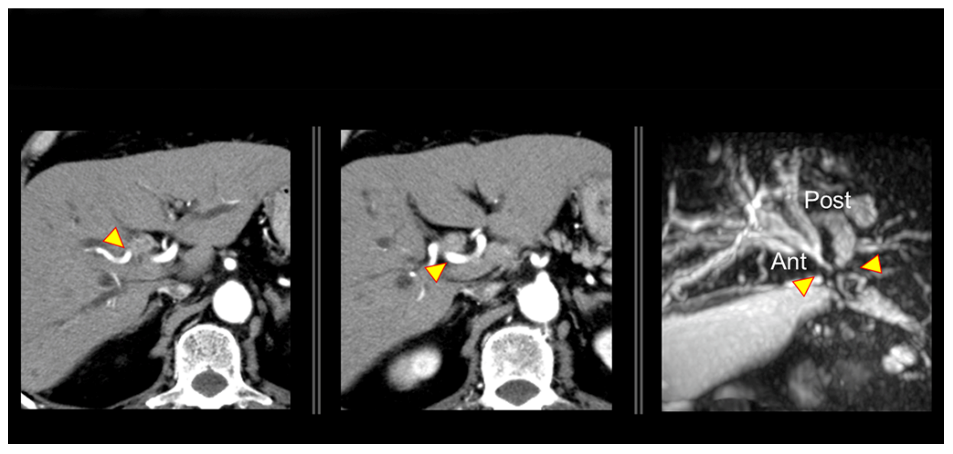
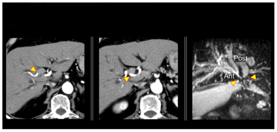
2. Anatomical Features of the Hepatic Hilum and Hepatic Artery
3. History of Concomitant HAR for PHCC (from the First Reported Case to 2009)
4. History and Current Status of HAR for PHCC (from 2010 to the Present)
5. Procedure for HAR and Vascular Reconstruction
6. Alternative Procedures for Arterial Reconstruction
6.1. Arterial Portal Shunting (APS)
6.2. Non-Vascular Reconstruction
7. Associating Liver Partition and Portal Vein Ligation for Staged Hepatectomy Procedures and Liver Transplantation for Unresectable PHCC
8. Future Vision
9. Conclusions
Supplementary Materials
Author Contributions
Funding
Data Availability Statement
Conflicts of Interest
References
- Mizuno, T.; Ebata, T.; Nagino, M. Advanced hilar cholangiocarcinoma: An aggressive surgical approach for the treatment of advanced hilar cholangiocarcinoma: Perioperative management, extended procedures, and multidisciplinary approaches. Surg. Oncol. 2019, 33, 201–206. [Google Scholar] [CrossRef] [PubMed]
- Serrablo, A.; Serrablo, L.; Alikhanov, R.; Tejedor, L. Vascular Resection in Perihilar Cholangiocarcinoma. Cancers 2021, 13, 5278. [Google Scholar] [CrossRef] [PubMed]
- Mizuno, T.; Ebata, T.; Yokoyama, Y.; Igami, T.; Yamaguchi, J.; Onoe, S.; Watanabe, N.; Kamei, Y.; Nagino, M. Combined Vascular Resection for Locally Advanced Perihilar Cholangiocarcinoma. Ann. Surg. 2020, 275, 382–390. [Google Scholar] [CrossRef] [PubMed]
- Nagino, M.; Ebata, T.; Yokoyama, Y.; Igami, T.; Sugawara, G.; Takahashi, Y.; Nimura, Y. Evolution of surgical treatment for perihilar cholangiocarcinoma: A single-center 34-year review of 574 consecutive resections. Ann. Surg. 2013, 258, 129–140. [Google Scholar] [CrossRef]
- Noji, T.; Tsuchikawa, T.; Okamura, K.; Tanaka, K.; Nakanishi, Y.; Asano, T.; Nakamura, T.; Shichinohe, T.; Hirano, S. Concomitant hepatic artery resection for advanced perihilar cholangiocarcinoma: A case-control study with propensity score matching. J. Hepato-Biliary-Pancreat. Sci. 2016, 23, 442–448. [Google Scholar] [CrossRef]
- Noji, T.; Tanaka, K.; Matsui, A.; Nakanishi, Y.; Asano, T.; Nakamura, T.; Tsuchikawa, T.; Okamura, K.; Hirano, S. Transhepatic Direct Approach to the “Limit of the Division of the Hepatic Ducts” Leads to a High R0 Resection Rate in Perihilar Cholangiocarcinoma. J. Gastrointest. Surg. 2021, 25, 2358–2367. [Google Scholar] [CrossRef]
- Mueller, M.; Breuer, E.; Mizuno, T.; Bartsch, F.; Ratti, F.; Benzing, C.; Ammar-Khodja, N.; Sugiura, T.; Takayashiki, T.; Hessheimer, A.; et al. Perihilar Cholangiocarcinoma—Novel Benchmark Values for Surgical and Oncological Outcomes From 24 Expert Centers. Ann. Surg. 2021, 274, 780–788. [Google Scholar] [CrossRef]
- Noji, T.; Tsuchikawa, T.; Okamura, K.; Shichinohe, T.; Tanaka, E.; Hirano, S. Surgical Outcome of Hilar Plate Resection: Extended Hilar Bile Duct Resection Without Hepatectomy. J. Gastrointest. Surg. 2014, 18, 1131–1137. [Google Scholar] [CrossRef]
- Kondo, S.; Hirano, S.; Ambo, Y.; Tanaka, E.; Okushiba, S.; Morikawa, T.; Katoh, H. Forty consecutive resections of hilar cholangiocarcinoma with no postoperative mortality and no positive ductal margins: Results of a prospective study. Ann Surg. 2004, 240, 95–101. [Google Scholar] [CrossRef]
- Ikeyama, T.; Nagino, M.; Oda, K.; Ebata, T.; Nishio, H.; Nimura, Y. Surgical approach to bismuth Type I and II hilar cholangiocarcinomas: Audit of 54 consecutive cases. Ann. Surg. 2007, 246, 1052–1057. [Google Scholar] [CrossRef]
- Nagino, M.; Ebata, T.; Yokoyama, Y.; Igami, T.; Mizuno, T.; Yamaguchi, J.; Onoe, S.; Watanabe, N. Hepatopancreatoduodenectomy with simultaneous resection of the portal vein and hepatic artery for locally advanced cholangiocarcinoma: Short- and long-term outcomes of superextended surgery. J. Hepato-Biliary-Pancreat. Sci. 2021, 28, 376–386. [Google Scholar] [CrossRef]
- Schimizzi, G.V.; Jin, L.X.; Davidson, J.T.; Krasnick, B.A.; Ethun, C.G.; Pawlik, T.M.; Poultsides, G.; Tran, T.; Idrees, K.; Isom, C.A.; et al. Outcomes after vascular resection during curative-intent resection for hilar cholangiocarcinoma: A multi-institution study from the US extrahepatic biliary malignancy consortium. HPB 2017, 20, 332–339. [Google Scholar] [CrossRef] [Green Version]
- Olthof, P.B.; Miyasaka, M.; Koerkamp, B.G.; Wiggers, J.K.; Jarnagin, W.R.; Noji, T.; Hirano, S.; van Gulik, T.M. A comparison of treatment and outcomes of perihilar cholangiocarcinoma between Eastern and Western centers. HPB 2018, 21, 345–351. [Google Scholar] [CrossRef] [Green Version]
- van Vugt, J.L.; Gaspersz, M.P.; Coelen, R.; Vugts, J.; Labeur, T.; de Jonge, J.; Polak, W.G.; Busch, O.R.; Besselink, M.G.; Ijzermans, J.N.; et al. The prognostic value of portal vein and hepatic artery involvement in patients with perihilar cholangiocarcinoma. HPB 2017, 20, 83–92. [Google Scholar] [CrossRef] [Green Version]
- Nagino, M.; Nimura, Y.; Nishio, H.; Ebata, T.; Igami, T.; Matsushita, M.; Nishikimi, N.; Kamei, Y. Hepatectomy with simultaneous resection of the portal vein and hepatic artery for advanced perihilar cholangiocarcinoma: An audit of 50 consecutive cases. Ann Surg. 2010, 252, 115–123. [Google Scholar] [CrossRef]
- Wang, S.-T.; Shen, S.-L.; Peng, B.-G.; Hua, Y.-P.; Chen, B.; Kuang, M.; Li, S.-Q.; He, Q.; Liang, L.-J. Combined vascular resection and analysis of prognostic factors for hilar cholangiocarcinoma. Hepatobiliary Pancreat. Dis. Int. 2015, 14, 626–632. [Google Scholar] [CrossRef]
- Matsuyama, R.; Mori, R.; Ota, Y.; Homma, Y.; Kumamoto, T.; Takeda, K.; Morioka, D.; Maegawa, J.; Endo, I. Significance of Vascular Resection and Reconstruction in Surgery for Hilar Cholangiocarcinoma: With Special Reference to Hepatic Arterial Resection and Reconstruction. Ann. Surg. Oncol. 2016, 23, 475–484. [Google Scholar] [CrossRef]
- Peng, C.; Li, C.; Wen, T.; Yan, L.; Li, B. Left hepatectomy combined with hepatic artery resection for hilar cholangiocarcinoma: A retrospective cohort study. Int. J. Surg. 2016, 32, 167–173. [Google Scholar] [CrossRef]
- Hu, H.J.; Jin, Y.W.; Zhou, R.X.; Shrestha, A.; Ma, W.J.; Yang, Q.; Wang, J.K.; Liu, F.; Cheng, N.S.; Li, F.Y. Hepatic Artery Resection for Bismuth Type III and IV Hilar Cholangiocarcinoma: Is Reconstruction Always Required? J. Gastrointest. Surg. 2018, 22, 1204–1212. [Google Scholar] [CrossRef]
- Higuchi, R.; Yazawa, T.; Uemura, S.; Izumo, W.; Ota, T.; Kiyohara, K.; Furukawa, T.; Egawa, H.; Yamamoto, M. Surgical Outcomes for Perihilar Cholangiocarcinoma with Vascular Invasion. J. Gastrointest. Surg. 2018, 23, 1443–1453. [Google Scholar] [CrossRef]
- Shindo, Y.; Kobayashi, S.; Wada, H.; Tokumitsu, Y.; Matsukuma, S.; Matsui, H.; Nakajima, M.; Yoshida, S.; Iida, M.; Suzuki, N.; et al. Short- and Long-Term Outcomes of Simultaneous Hepatic Artery Resection and Reconstruction for Perihilar Cholangiocarcinoma. Gastrointest. Tumors 2020, 8, 25–32. [Google Scholar] [CrossRef]
- Noji, T.; Tsuchikawa, T.; Okamura, K.; Nakamura, T.; Tamoto, E.; Shichinohe, T.; Hirano, S. Resection and Reconstruction of the Hepatic Artery for Advanced Perihilar Cholangiocarcinoma: Result of Arterioportal Shunting. J. Gastrointest. Surg. 2015, 19, 675–681. [Google Scholar] [CrossRef]
- Hiatt, J.R.; Gabbay, J.; Busuttil, R.W. Surgical Anatomy of the Hepatic Arteries in 1000 Cases. Ann. Surg. 1994, 220, 50–52. [Google Scholar] [CrossRef]
- Tsuzuki, T.; Ogata, Y.; Iida, S.; Nakanishi, I.; Takenaka, Y.; Yoshii, H. Carcinoma of the Bifurcation of the Hepatic Ducts. Arch. Surg. 1983, 118, 1147–1151. [Google Scholar] [CrossRef]
- Lee, S.G.; Lee, Y.J.; Park, K.M.; Hwang, S.; Min, P.C. One hundred and eleven liver resections for hilar bile duct cancer. J. Hepato-Biliary-Pancreat. Surg. 2000, 7, 135–141. [Google Scholar] [CrossRef]
- Yamanaka, N.; Yasui, C.; Yamanaka, J.; Ando, T.; Kuroda, N.; Maeda, S.; Ito, T.; Okamoto, E. Left hemihepatectomy with microsurgical reconstruction of the right-sided hepatic vasculature. Langenbeck’s Arch. Surg. 2001, 386, 364–368. [Google Scholar] [CrossRef]
- Shimada, H.; Endo, I.; Sugita, M.; Masunari, H.; Fujii, Y.; Tanaka, K.; Misuta, K.; Sekido, H.; Togo, S. Hepatic Resection Combined with Portal Vein or Hepatic Artery Reconstruction for Advanced Carcinoma of the Hilar Bile Duct and Gallbladder. World J. Surg. 2003, 27, 1137–1142. [Google Scholar] [CrossRef]
- Miyazaki, M.; Kato, A.; Ito, H.; Kimura, F.; Shimizu, H.; Ohtsuka, M.; Yoshidome, H.; Yoshitomi, H.; Furukawa, K.; Nozawa, S. Combined vascular resection in operative resection for hilar cholangiocarcinoma: Does it work or not? Surgery 2007, 141, 581–588. [Google Scholar] [CrossRef]
- Sakamoto, Y.; Sano, T.; Shimada, K.; Kosuge, T.; Kimata, Y.; Sakuraba, M.; Yamamoto, J.; Ojima, H. Clinical significance of reconstruction of the right hepatic artery for biliary malignancy. Langenbeck’s Arch. Surg. 2006, 391, 203–208. [Google Scholar] [CrossRef]
- Kuriyama, N.; Komatsubara, H.; Nakagawa, Y.; Maeda, K.; Shinkai, T.; Noguchi, D.; Ito, T.; Gyoten, K.; Hayasaki, A.; Fujii, T.; et al. Impact of Combined Vascular Resection and Reconstruction in Patients with Advanced Perihilar Cholangiocarcinoma. J. Gastrointest. Surg. 2021, 25, 3108–3118. [Google Scholar] [CrossRef]
- Sugiura, T.; Uesaka, K.; Okamura, Y.; Ito, T.; Yamamoto, Y.; Ashida, R.; Ohgi, K.; Otsuka, S.; Nakagawa, M.; Aramaki, T.; et al. Major hepatectomy with combined vascular resection for perihilar cholangiocarcinoma. BJS Open 2021, 5, zrab064. [Google Scholar] [CrossRef] [PubMed]
- Otsuka, S.; Kaneoka, Y.; Maeda, A.; Takayama, Y.; Fukami, Y.; Onoe, S. Hepatic Artery Reconstruction with a Continuous Suture Method for Hepato-Biliary-Pancreatic Surgery. World J. Surg. 2015, 40, 951–957. [Google Scholar] [CrossRef] [PubMed]
- Sheil, A.G.; Thompson, J.; Stephen, M.S.; Eyers, A.; Bookallil, M.; Mccaughan, G.; Dorney, S.F.; Bell, R.; Mears, D.; E Kelly, G. Donor portal vein arterialization during liver transplantation. Transplant. Proc. 1989, 21, 2343–2344. [Google Scholar] [PubMed]
- Bonnet, S.; Sauvanet, A.; Bruno, O.; Sommacale, D.; Francoz, C.; Dondero, F.; Durand, F.; Belghiti, J. Long-term survival after portal vein arterialization for portal vein thrombosis in orthotopic liver transplantation. Gastroentérol. Clin. Biol. 2010, 34, 23–28. [Google Scholar] [CrossRef] [PubMed]
- Kondo, S.; Hirano, S.; Ambo, Y.; Tanaka, E.; Kubota, T.; Katoh, H. Arterioportal shunting as an alternative to microvascular reconstruction after hepatic artery resection. Br. J. Surg. 2003, 91, 248–251. [Google Scholar] [CrossRef] [Green Version]
- Suzuki, O.; Takahashi, T.; Kitagami, H.; Manase, H.; Watanabe, S.; Kondo, S.; Kato, H. Appropriate Blood Flow for Arterio-Portal Shunt in Acute Hypoxic Liver Failure. Eur. Surg. Res. 1999, 31, 324–332. [Google Scholar] [CrossRef]
- Chen, Y.-L.; Huang, Z.-Q.; Huang, X.-Q.; Dong, J.-H.; Duan, W.-D.; Liu, Z.-W.; Zhang, X.; Liang, Y.-R.; Chen, M.-Y. Effect of arterioportal shunting in radical resection of hilar cholangiocarcinoma. Chin. Med J. 2010, 123, 3217–3219. [Google Scholar]
- Paloyo, S.; Nishida, S.; Fan, J.; Tekin, A.; Selvaggi, G.; Levi, D.; Tzakis, A. Portal vein arterialization using an accessory right hepatic artery in liver transplantation. Liver Transplant. 2013, 19, 773–775. [Google Scholar] [CrossRef]
- Del Basso, C.; Meniconi, R.L.; Usai, S.; Guglielmo, N.; Colasanti, M.; Ferretti, S.; Sandri, G.B.L.; Ettorre, G.M. Portal vein arterialization following a radical left extended hepatectomy for Klatskin tumor: A case report. Ann. Hepato-Biliary-Pancreat. Surg. 2021, 25, 426–430. [Google Scholar] [CrossRef]
- Olthof, P.B.; Coelen, R.; Wiggers, J.K.; Koerkamp, B.G.; Malago, M.; Hernandez-Alejandro, R.; Topp, S.A.; Vivarelli, M.; Aldrighetti, L.A.; Campos, R.R.; et al. High mortality after ALPPS for perihilar cholangiocarcinoma: Case-control analysis including the first series from the international ALPPS registry. HPB 2017, 19, 381–387. [Google Scholar] [CrossRef] [Green Version]
- Lauterio, A.; De Carlis, R.; Centonze, L.; Buscemi, V.; Incarbone, N.; Vella, I.; De Carlis, L. Current Surgical Management of Peri-Hilar and Intra-Hepatic Cholangiocarcinoma. Cancers 2021, 13, 3657. [Google Scholar] [CrossRef]
- Meyer, C.G.; Penn, I.; James, L. LIVER TRANSPLANTATION FOR CHOLANGIOCARCINOMA: RESULTS IN 207 PATIENTS1. Transplantation 2000, 69, 1633–1637. [Google Scholar] [CrossRef]
- Robles, R.; Marin, C.; Pastor, P.; Ramirez, P.; Sanchez-Bueno, F.; Pons, J.A.; Parrilla, P. Liver transplantation for Klatskin‘s tumor: Contraindicated, palliative, or indicated? Transplantation 2007, 39, 2293–2294. [Google Scholar] [CrossRef]
- Nakanishi, Y.; Hirano, S.; Okamura, K.; Tsuchikawa, T.; Nakamura, T.; Noji, T.; Asano, T.; Matsui, A.; Tanaka, K.; Murakami, S.; et al. Clinical and oncological benefits of left hepatectomy for Bismuth type I/II perihilar cholangiocarcinoma. Surg Today 2021, 52, 844–852. [Google Scholar] [CrossRef]
- Sugiura, T.; Okamura, Y.; Ito, T.; Yamamoto, Y.; Ashida, R.; Ohgi, K.; Nakagawa, M.; Uesaka, K. Left Hepatectomy with Combined Resection and Reconstruction of Right Hepatic Artery for Bismuth Type I and II Perihilar Cholangiocarcinoma. World J. Surg. 2018, 43, 894–901. [Google Scholar] [CrossRef]



| Author | Year | Number of Patients | Morbidity/Mortality | Long Term Prognosis |
|---|---|---|---|---|
| Tsuzuki [24] | 1983 | HA + PVR:2 | N.S/0% | 15 M and 18 M |
| Lee [25] | 2000 | HA: 4 | N.S/N.S | N.S |
| Yamanaka [26] | 2001 | 11 | N.S/18% | N.S |
| Shimada [27] | 2003 | (PHCC/GBC) HA + PVR:6 HA:6 | N.S/16.7% N.S/0% | N.S |
| Sakamoto [29] | 2006 | 6 | N.S/0% | 4 M to 31 M |
| Miyazaki [28] | 2007 | 9 | 78%/33% | MST:213 days |
| Author | Year | Number of Patients | Morbidity/Mortality | Long Term Prognosis |
|---|---|---|---|---|
| Nagino [15] | 2010 | 50 (APS:2) | 54%/2% | 5 years: 30.3% |
| Wang [16] | 2015 | 24 | 41.7/4.2% | 5 years: 25% |
| Noji [5] | 2016 | 28 (APS:11) | 51.3%/3.6% | 5 years: 25.5% |
| Matsuyama [17] | 2016 | 44 | 66%/9% | 5 years: 22.3% |
| Peng [18] | 2016 | 26 | 16.1%/8.6% | 5 years: 38.5% |
| Hu [19] | 2018 | 29 (reconstruction) 34 (non-reconstruction) | 20.7%/3.4% 17.6%/2.9% | 5 years: 19% 5 years: 25% |
| Schimizzi [12] | 2018 | 12 | 66%/N.S | MST: 33 months |
| Higuchi [20] | 2019 | 19 | 47%/16% | 5 years: 16% |
| Mizuno [3] | 2020 | 146 | 49%/2.1% | 5 years: 24.6% |
| Shindo [21] | 2021 | 13 | 69.2%/15.4% | 5 years: 0% (MST: 20.9 month) |
| Kuriyama [30] | 2021 | 17 | 47.1%/11.8% | 5 years: 26.9% |
| Sugiura [31] | 2021 | HA + PVR:17 HA:31 | 42%/6% 52%/0% | N.S |
Publisher’s Note: MDPI stays neutral with regard to jurisdictional claims in published maps and institutional affiliations. |
© 2022 by the authors. Licensee MDPI, Basel, Switzerland. This article is an open access article distributed under the terms and conditions of the Creative Commons Attribution (CC BY) license (https://creativecommons.org/licenses/by/4.0/).
Share and Cite
Noji, T.; Hirano, S.; Tanaka, K.; Matsui, A.; Nakanishi, Y.; Asano, T.; Nakamura, T.; Tsuchikawa, T. Concomitant Hepatic Artery Resection for Advanced Perihilar Cholangiocarcinoma: A Narrative Review. Cancers 2022, 14, 2672. https://doi.org/10.3390/cancers14112672
Noji T, Hirano S, Tanaka K, Matsui A, Nakanishi Y, Asano T, Nakamura T, Tsuchikawa T. Concomitant Hepatic Artery Resection for Advanced Perihilar Cholangiocarcinoma: A Narrative Review. Cancers. 2022; 14(11):2672. https://doi.org/10.3390/cancers14112672
Chicago/Turabian StyleNoji, Takehiro, Satoshi Hirano, Kimitaka Tanaka, Aya Matsui, Yoshitsugu Nakanishi, Toshimichi Asano, Toru Nakamura, and Takahiro Tsuchikawa. 2022. "Concomitant Hepatic Artery Resection for Advanced Perihilar Cholangiocarcinoma: A Narrative Review" Cancers 14, no. 11: 2672. https://doi.org/10.3390/cancers14112672
APA StyleNoji, T., Hirano, S., Tanaka, K., Matsui, A., Nakanishi, Y., Asano, T., Nakamura, T., & Tsuchikawa, T. (2022). Concomitant Hepatic Artery Resection for Advanced Perihilar Cholangiocarcinoma: A Narrative Review. Cancers, 14(11), 2672. https://doi.org/10.3390/cancers14112672

