Prospective Image Quality and Lesion Assessment in the Setting of MR-Guided Radiation Therapy of Prostate Cancer on an MR-Linac at 1.5 T: A Comparison to a Standard 3 T MRI
Abstract
Simple Summary
Abstract
1. Introduction
2. Materials and Methods
2.1. Study Design and Patient Population
2.2. MRI Technique and Acquisition Parameters
2.2.1. MRI Examination at MRL
2.2.2. MRI Examinations at 3T
2.3. MR-Image Evaluation
2.3.1. Qualitative Image Analysis
2.3.2. Quantitative Image Analysis
2.3.3. Lesion Analysis on MRL with and without MRI3T
2.4. Statistical Analysis
3. Results
3.1. Qualitative Image Analysis
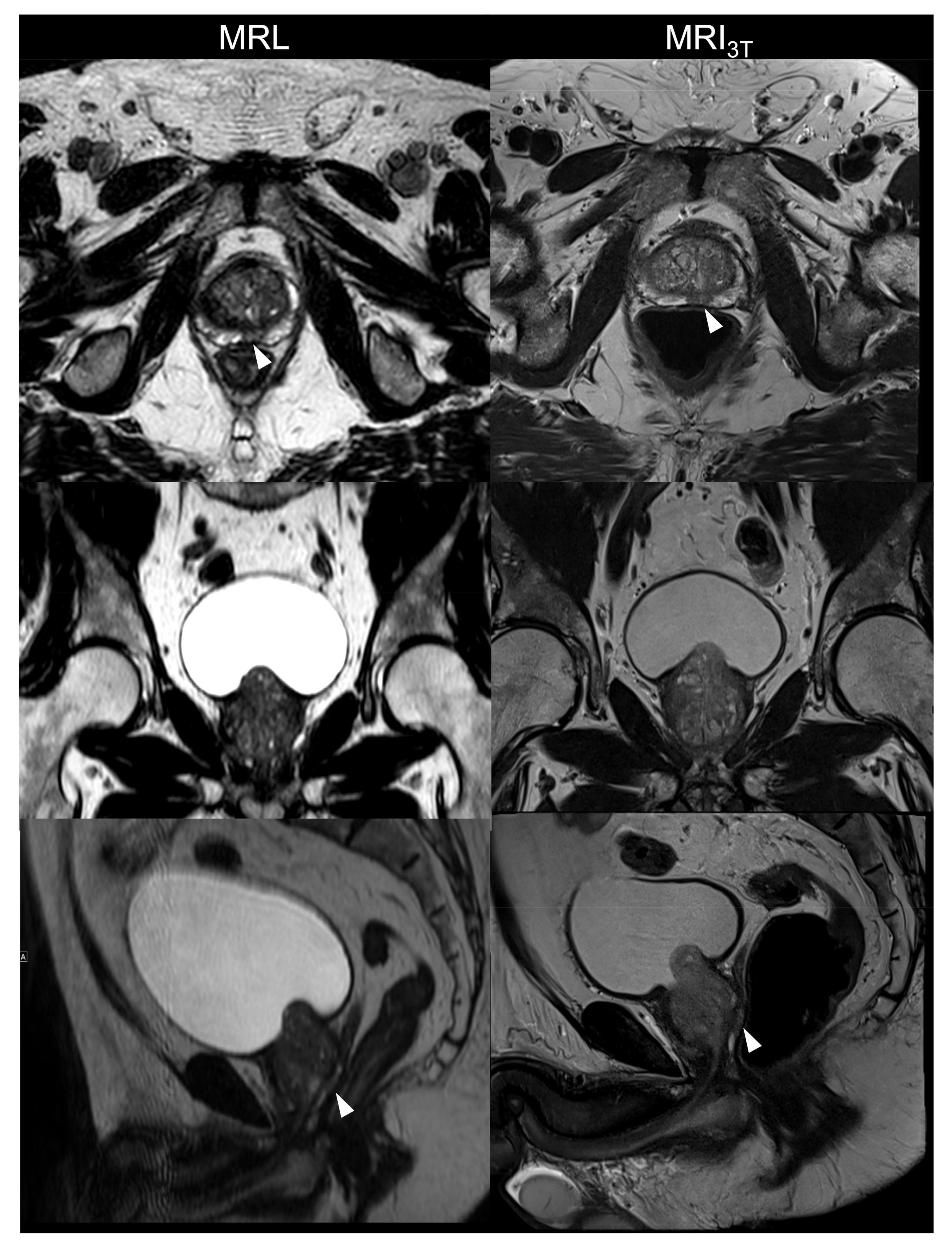
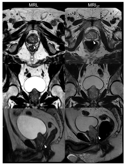
3.1.1. Image Quality
3.1.2. Lesion Conspicuity and Diagnostic Confidence on MRL Alone and in Consensus with MRI3T
3.2. Quantitative Analysis
3.2.1. Lesion Size, Prostate Diameter and Geometric Distortion
3.2.2. PIRADS Scoring
3.2.3. Lesion ADC Measurements
4. Discussion
5. Conclusions
Supplementary Materials
Author Contributions
Funding
Institutional Review Board Statement
Informed Consent Statement
Data Availability Statement
Acknowledgments
Conflicts of Interest
References
- Kooreman, E.S.; van Houdt, P.J.; Nowee, M.E.; van Pelt, V.W.; Tijssen, R.H.; Paulson, E.S.; Gurney-Champion, O.J.; Wang, J.; Koetsveld, F.; van Buuren, L.D.; et al. Feasibility and accuracy of quantitative imaging on a 1.5 T MR-linear accelerator. Radiother. Oncol. 2019, 133, 156–162. [Google Scholar] [CrossRef] [PubMed]
- Beyersdorff, D.; Taymoorian, K.; Knösel, T.; Schnorr, D.; Felix, R.; Hamm, B.; Bruhn, H. MRI of Prostate Cancer at 1.5 and 3.0 T: Comparison of Image Quality in Tumor Detection and Staging. Am. J. Roentgenol. 2005, 185, 1214–1220. [Google Scholar] [CrossRef] [PubMed]
- Herk, M.V.; McWilliam, A.; Dubec, M.; Faivre-Finn, C.; Choudhury, A. Magnetic Resonance Imaging-Guided Radiation Therapy: A Short Strengths, Weaknesses, Opportunities, and Threats Analysis. Int. J. Radiat. Oncol. Biol. Phys. 2018, 101, 1057–1060. [Google Scholar] [CrossRef]
- Hehakaya, C.; Zyp, J.R.V.D.V.V.; Lagendijk, J.J.W.; Grobbee, D.E.; Verkooijen, H.M.; Moors, E.H.M. Problems and Promises of Introducing the Magnetic Resonance Imaging Linear Accelerator Into Routine Care: The Case of Prostate Cancer. Front. Oncol. 2020, 10, 1741. [Google Scholar] [CrossRef] [PubMed]
- Grégoire, V.; Guckenberger, M.; Haustermans, K.; Lagendijk, J.J.W.; Ménard, C.; Pötter, R.; Slotman, B.J.; Tanderup, K.; Thorwarth, D.; Van Herk, M.; et al. Image guidance in radiation therapy for better cure of cancer. Mol. Oncol. 2020, 14, 1470–1491. [Google Scholar] [CrossRef]
- Weinreb, J.C.; Barentsz, J.O.; Choyke, P.L.; Cornud, F.; Haider, M.A.; Macura, K.J.; A Margolis, D.J.; Schnall, M.D.; Shtern, F.; Tempany, C.M.; et al. PI-RADS Prostate Imaging–Reporting and Data System: 2015, Version 2. Eur. Urol. 2016, 69, 16–40. [Google Scholar] [CrossRef]
- Wang, J.; Yung, J.; Kadbi, M.; Hwang, K.; Ding, Y.; Ibbott, G.S. Assessment of image quality and scatter and leakage radiation of an integrated MR-LINAC system. Med. Phys. 2018, 45, 1204–1209. [Google Scholar] [CrossRef] [PubMed]
- Stocker, D.; Manoliu, A.; Becker, A.S.; Barth, B.K.; Nanz, D.; Klarhöfer, M.; Donati, O.F. Image Quality and Geometric Distortion of Modern Diffusion-Weighted Imaging Sequences in Magnetic Resonance Imaging of the Prostate. Investig. Radiol. 2018, 53, 200–206. [Google Scholar] [CrossRef]
- Barth, B.K.; Cornelius, A.; Nanz, D.; Eberli, D.; Donati, O.F. Diffusion-weighted imaging of the prostate: Image quality and geometric distortion of readout-segmented versus selective-excitation accelerated acquisitions. Investig. Radiol. 2015, 50, 785–791. [Google Scholar] [CrossRef]
- Kromrey, J.D.; Rendina-Gobioff, G. An empirical comparison of regression analysis strategies with discrete ordinal variables. Mult. Linear Regres. Viewp. 2002, 28, 30–43. [Google Scholar]
- Mccullagh, P. Regression Models for Ordinal Data. J. R. Stat. Soc. Ser. B Stat. Methodol. 1980, 42, 109–127. [Google Scholar] [CrossRef]
- Landis, J.R.; Koch, G.G. The Measurement of Observer Agreement for Categorical Data. Biometrics 1977, 33, 159–174. [Google Scholar] [CrossRef] [PubMed]
- Hallgren, K.A. Computing inter-rater reliability for observational data: An overview and tutorial. Tutor. Quant. Methods Psychol. 2012, 8, 23–24. [Google Scholar] [CrossRef]
- Keizer, D.D.M.; Kerkmeijer, L.; Willigenburg, T.; Van Lier, A.; Hartogh, M.D.; Zyp, J.V.D.V.V.; Breugel, E.D.G.-V.; Raaymakers, B.; Lagendijk, J.; De Boer, J. Prostate intrafraction motion during the preparation and delivery of MR-guided radiotherapy sessions on a 1.5T MR-Linac. Radiother. Oncol. 2020, 151, 88–94. [Google Scholar] [CrossRef] [PubMed]
- Pommer, T.; Oh, J.H.; Rosenschöld, P.M.A.; Deasy, J.O. Simulating intrafraction prostate motion with a random walk model. Adv. Radiat. Oncol. 2017, 2, 429–436. [Google Scholar] [CrossRef]
- Donati, O.F.; Mazaheri, Y.; Afaq, A.; Vargas, H.A.; Zheng, J.; Moskowitz, C.S.; Hricak, H.; Akin, O. Prostate Cancer Aggressiveness: Assessment with Whole-Lesion Histogram Analysis of the Apparent Diffusion Coefficient. Radiology 2014, 271, 143–152. [Google Scholar] [CrossRef] [PubMed]
- Scheenen, T.W.; Rosenkrantz, A.B.; Haider, M.A.; Fütterer, J.J. Multiparametric magnetic resonance imaging in prostate cancer management: Current status and future perspectives. Investig. Radiol. 2015, 50, 594–600. [Google Scholar] [CrossRef]
- Van Der Heide, U.A.; Houweling, A.C.; Groenendaal, G.; Beets-Tan, R.G.H.; Lambin, P. Functional MRI for radiotherapy dose painting. Magn. Reson. Imaging 2012, 30, 1216–1223. [Google Scholar] [CrossRef]
- Attenberger, U.I.; Rathmann, N.; Sertdemir, M.; Riffel, P.; Weidner, A.; Kannengiesser, S.; Morelli, J.N.; Schoenberg, S.O.; Hausmann, D. Small Field-of-view single-shot EPI-DWI of the prostate: Evaluation of spatially-tailored two-dimensional radiofrequency excitation pulses. Z. Med. Phys. 2016, 26, 168–176. [Google Scholar] [CrossRef]
- Torfeh, T.; Hammoud, R.; McGarry, M.; Al-Hammadi, N.; Perkins, G. Development and validation of a novel large field of view phantom and a software module for the quality assurance of geometric distortion in magnetic resonance imaging. Magn. Reson. Imaging 2015, 33, 939–949. [Google Scholar] [CrossRef] [PubMed]
- Fransson, A.; Andreo, P.; Pötter, R. Aspects of MR Image Distortions in Radiotherapy Treatment Planning. Strahlenther. Onkol. 2001, 177, 59–73. [Google Scholar] [CrossRef]
- Raaymakers, B.W.; Jürgenliemk-Schulz, I.M.; Bol, G.H.; Glitzner, M.; Kotte, A.N.T.J.; Van Asselen, B.; De Boer, J.C.J.; Bluemink, J.J.; Hackett, S.L.; A Moerland, M.; et al. First patients treated with a 1.5 T MRI-Linac: Clinical proof of concept of a high-precision, high-field MRI guided radiotherapy treatment. Phys. Med. Biol. 2017, 62, L41–L50. [Google Scholar] [CrossRef] [PubMed]
- Das, I.J.; McGee, K.P.; Tyagi, N.; Wang, H. Role and future of MRI in radiation oncology. Br. J. Radiol. 2019, 92, 20180505. [Google Scholar] [CrossRef] [PubMed]
- Keesman, R.; Van De Lindt, T.N.; Juan-Cruz, C.; Wollenberg, W.V.D.; Van Der Bijl, E.; Nowee, M.E.; Sonke, J.; Van Der Heide, U.A.; Fast, M.F. Correcting geometric image distortions in slice-based 4D-MRI on the MR-linac. Med. Phys. 2019, 46, 3044–3054. [Google Scholar] [CrossRef] [PubMed]
- Ullrich, T.; Quentin, M.; Oelers, C.; Dietzel, F.; Sawicki, L.; Arsov, C.; Rabenalt, R.; Albers, P.; Antoch, G.; Blondin, D.; et al. Magnetic resonance imaging of the prostate at 1.5 versus 3.0 T: A prospective comparison study of image quality. Eur. J. Radiol. 2017, 90, 192–197. [Google Scholar] [CrossRef] [PubMed]



| Parameter | MR-Linac | MRI3T | ||
|---|---|---|---|---|
| 3D T2 | DWI-SPAIR | T2—TSE | DWI | |
| Field of view (mm) | 400 × 400 | 430 × 430 | 200 × 200 | 256 × 192 |
| Acquisition voxel size (mm3) | 1.5 × 1.5 × 2 | 3 × 3 × 4.5 | 0.65 × 0.52 × 3 | 1.67 × 1.33 × 4 |
| Repetition time (msec) | 1535 | 8907 | 4000–8000 | 5930 |
| Echo time (msec) | 278 | 77 | 90 | 76 |
| Refocusing flip angle (degrees) | 100 | 180 | 120 | 180 |
| Section thickness (mm) | 2 | 4.5 | 3 | 4 |
| Time for acquisition (min:sec) | 01:57 | 05:30 | 3:40–5:00 | 5:00–06:00 |
| Bandwidth | 740.3 Hz/Pixel | 1902 Hz/Pixel | 200 Hz/Pixel | 1976 Hz/Pixel |
| Characteristics | Values (mean ± SD, (range)) |
|---|---|
| Age (years) | 69 ± 7 (59–79) |
| Prostate-specific antigen (ng/mL) | 8.95 ± 4.95 (2.28–20.60) |
| Prostate volume (cm3) | 40.8 ± 20.6 (14–83) |
| Gleason score | Number of MRI examinations (n = 13) |
| • 6 | 4 |
| • 7a | 5 |
| • 7b | 3 |
| • 8 | 1 |
| Prostate cancer stage | Number of MRI examinations (n = 13) |
| • c T2a | 3 |
| • c T2b | 2 |
| • c T2c | 8 |
| Patients who underwent androgen suppression therapy | 7/13 |
| Outcome Parameters | T2wMRL | T2w MRI-3T | p Value * | DWIMRL | DWIMRI-3T | p Value * |
|---|---|---|---|---|---|---|
| Reader 1 | Reader 1 | Reader 1 | Reader 1 | Reader 1 | Reader 1 | |
| Reader 2 | Reader 2 | Reader 2 | Reader 2 | Reader 2 | Reader 2 | |
| Reader 3 | Reader 3 | Reader 3 | Reader 3 | Reader 3 | Reader 3 | |
| Zonal anatomy | 3 (0) | 4 (0) | 0.002 | 2 (1) | 4 (1) | 0.003 |
| 3 (1) | 4 (0) | 0.001 | 2(0) | 4 (0) | 0.001 | |
| 3 (0) | 4 (0) | 0.001 | 2 (1) | 4 (0) | 0.001 | |
| Resolution | 3 (1) | 4 (0) | 0.003 | 2 (0) | 4 (0) | 0.001 |
| 3 (1) | 4 (0) | 0.001 | 2 (0) | 4 (0) | <0.001 | |
| 3 (0) | 4 (0) | <0.001 | 2 (0) | 4 (0) | 0.001 | |
| Capsule demarcation | 4 (0) | 4 (0) | 0.157 | 3 (1) | 4 (1) | 0.01 |
| 4 (0) | 4 (0) | 0.317 | 3 (1) | 4 (1) | 0.002 | |
| 4 (1) | 4 (0) | 0.083 | 3 (1) | 4 (1) | 0.004 | |
| Visibility of seminal vesicles | 4 (1) | 4 (0) | 0.083 | 2 (1) | 4 (0) | 0.002 |
| 3(1) | 4(0) | 0.001 | 2 (1) | 4 (0) | 0.001 | |
| 3(0) | 4(0) | <0.001 | 3 (1) | 4 (0) | 0.001 | |
| Artifacts | 3 (0) | 4 (0) | 0.001 | 3 (1) | 4 (0) | 0.01 |
| 3 (1) | 4 (0) | 0.001 | 3 (1) | 4 (0) | 0.004 | |
| 3 (1) | 4 (0) | 0.001 | 3 (0) | 4 (0) | 0.002 | |
| Geometric distortion | 4 (1) | 4 (0) | 0.157 | 4 (0) | 4 (0) | 0.317 |
| 4 (0) | 4 (0) | 0.157 | 4 (0) | 4 (0) | 0.157 | |
| 4 (1) | 4 (1) | 0.655 | 4 (0) | 4 (0) | 0.083 | |
| Overall image quality | 3 (0) | 4 (0) | 0.001 | 2 (1) | 4 (0) | 0.002 |
| 3 (1) | 4 (0) | 0.001 | 2 (1) | 4 (0) | 0.002 | |
| 3 (0) | 4 (0) | < 0.001 | 2 (1) | 4 (0) | 0.002 |
| Outcome Parameters | T2wMRL | T2w MRL with T2MRI-3T | p Value * | DWIMRL | DWIMRL with DWIMRI-3T | p Value |
|---|---|---|---|---|---|---|
| Reader 1 | Reader 1 | Reader 1 | Reader 1 | Reader 1 | Reader 1 | |
| Reader 2 | Reader 2 | Reader 2 | Reader 2 | Reader 2 | Reader 2 | |
| Reader 3 | Reader 3 | Reader 3 | Reader 3 | Reader 3 | Reader 3 | |
| Lesion Conspicuity | 3 (1) | 4 (1) | 0.014 | 2 (3) | 3 (2) | 0.023 |
| 3 (1) | 3 (1) | 0.004 | 1 (1) | 3 (1) | 0.004 | |
| 3 (1) | 4 (1) | 0.002 | 2 (1) | 3 (1) | 0.006 | |
| Diagnostic Confidence | 3 (1) | 4 (1) | 0.004 | 2 (3) | 3 (2) | 0.011 |
| 3 (1) | 4 (1) | 0.005 | 2 (1) | 3 (1) | 0.004 | |
| 3 (1) | 4 (1) | 0.001 | 3 (1) | 3 (1) | 0.003 |
| Outcome Parameters | Likelihood Ratio-Chi-Square | Estimate (B) | SE | Wald-Chi-Square | p Value | Odds Ratio Exp(B) | 95%CI |
|---|---|---|---|---|---|---|---|
| Lesion conspicuity T2w | 22.271 | 2.197 | 0.516 | 18.117 | p < 0.001 | 8.997 | (3.272–24.742) |
| Lesion conspicuity DWI | 25.528 | 2.063 | 0.475 | 18.836 | p < 0.001 | 7.870 | (3.1–19.98) |
| Diagnostic confidence T2w | 26.987 | 2.445 | 0.522 | 21.935 | p < 0.001 | 11.527 | (4.144–32.065) |
| Diagnostic confidence DWI | 16.379 | 1.617 | 0.453 | 12.728 | p < 0.001 | 5.036 | (2.072–12.239) |
| Reader 1 | ||||||||
|---|---|---|---|---|---|---|---|---|
| T2MRL | T2MRI-3T | p Value | ICC * | DWIMRL | DWI MRI-3T | p Value | ICC * | |
| Lesion size (mm) | 13.4 ± 4.7 | 13.2 ± 4.6 | 0.48 | 0.98 | 13.5 ± 4.6 | 13 ± 4.8 | 0.13 | 0.98 |
| AP Diameter | 36 ± 8.4 | 35.8 ± 8.4 | 0.61 | 0.99 | 35.9 ± 8.5 | 35.2 ± 9.1 | 0.25 | 0.98 |
| RL Diameter | 46.7 ± 6.6 | 46.6 ± 7.2 | 0.85 | 0.98 | 47.9 ± 7.2 | 46.1 ± 8.6 | 0.17 | 0.91 |
| Reader 2 | ||||||||
| Lesion size (mm) | 13 ± 5.1 | 12.7 ± 4.9 | 0.41 | 0.98 | 12.9 ± 4.9 | 13.1 ± 4.8 | 0.27 | 0.99 |
| AP Diameter | 35.7 ± 7.9 | 35.8 ± 7.2 | 0.84 | 0.99 | 36.08 ± 8.9 | 36 ± 9.1 | 0.85 | 0.99 |
| RL Diameter | 46.3 ± 6.6 | 46.5 ± 7.3 | 0.78 | 0.98 | 47.9 ± 7.1 | 46.7 ± 8.1 | 0.33 | 0.92 |
| Reader 3 | ||||||||
| Lesion size (mm) | 13.1 ± 4.2 | 13.4 ± 5 | 0.55 | 0.95 | 12.8 ± 5.2 | 13 ± 4.9 | 0.65 | 0.98 |
| AP Diameter | 36.1 ± 8.5 | 36 ± 8.5 | 0.73 | 0.99 | 35.9 ± 9 | 36.08 ± 8.9 | 0.74 | 0.99 |
| RL Diameter | 46.3 ± 6.4 | 46.2 ± 7.1 | 0.72 | 0.98 | 47.9 ± 7.7 | 46.6 ± 8.7 | 0.31 | 0.91 |
| PIRADS | Reader 1 | Reader 2 | Reader 3 | |||
|---|---|---|---|---|---|---|
| T2-Score | T2MRL | T2MRI-3T | T2MRL | T2MRI-3T | T2MRL | T2MRI-3T |
| 0 | 0 | 0 | 0 | 0 | 0 | 0 |
| 1 | 0 | 0 | 0 | 0 | 0 | 0 |
| 3 | 1 | 1 | 1 | 0 | 0 | 0 |
| 4 | 7 | 7 | 8 | 9 | 8 | 8 |
| 5 | 5 | 5 | 4 | 4 | 5 | 5 |
| p value | 1 | 0.317 | 1 | |||
| Inter-sequence agreement | 1 | 0.840 | 1 | |||
| DWI-Score | DWIMRL | DWIMRI-3T | DWIMRL | DWIMRI-3T | DWIMRL | DWIMRI-3T |
| 0 | 0 | 0 | 0 | 0 | 0 | 0 |
| 1 | 2 | 1 | 2 | 1 | 2 | 1 |
| 3 | 1 | 2 | 1 | 1 | 1 | 2 |
| 4 | 6 | 5 | 7 | 6 | 4 | 5 |
| 5 | 4 | 5 | 3 | 5 | 6 | 5 |
| p value | 0.157 | 0.102 | 1 | |||
| Inter-sequence agreement | 0.774 | 0.64 | 0.774 | |||
Publisher’s Note: MDPI stays neutral with regard to jurisdictional claims in published maps and institutional affiliations. |
© 2021 by the authors. Licensee MDPI, Basel, Switzerland. This article is an open access article distributed under the terms and conditions of the Creative Commons Attribution (CC BY) license (http://creativecommons.org/licenses/by/4.0/).
Share and Cite
Almansour, H.; Afat, S.; Fritz, V.; Schick, F.; Nachbar, M.; Thorwarth, D.; Zips, D.; Müller, A.-C.; Nikolaou, K.; Othman, A.E.; et al. Prospective Image Quality and Lesion Assessment in the Setting of MR-Guided Radiation Therapy of Prostate Cancer on an MR-Linac at 1.5 T: A Comparison to a Standard 3 T MRI. Cancers 2021, 13, 1533. https://doi.org/10.3390/cancers13071533
Almansour H, Afat S, Fritz V, Schick F, Nachbar M, Thorwarth D, Zips D, Müller A-C, Nikolaou K, Othman AE, et al. Prospective Image Quality and Lesion Assessment in the Setting of MR-Guided Radiation Therapy of Prostate Cancer on an MR-Linac at 1.5 T: A Comparison to a Standard 3 T MRI. Cancers. 2021; 13(7):1533. https://doi.org/10.3390/cancers13071533
Chicago/Turabian StyleAlmansour, Haidara, Saif Afat, Victor Fritz, Fritz Schick, Marcel Nachbar, Daniela Thorwarth, Daniel Zips, Arndt-Christian Müller, Konstantin Nikolaou, Ahmed E. Othman, and et al. 2021. "Prospective Image Quality and Lesion Assessment in the Setting of MR-Guided Radiation Therapy of Prostate Cancer on an MR-Linac at 1.5 T: A Comparison to a Standard 3 T MRI" Cancers 13, no. 7: 1533. https://doi.org/10.3390/cancers13071533
APA StyleAlmansour, H., Afat, S., Fritz, V., Schick, F., Nachbar, M., Thorwarth, D., Zips, D., Müller, A.-C., Nikolaou, K., Othman, A. E., & Wegener, D. (2021). Prospective Image Quality and Lesion Assessment in the Setting of MR-Guided Radiation Therapy of Prostate Cancer on an MR-Linac at 1.5 T: A Comparison to a Standard 3 T MRI. Cancers, 13(7), 1533. https://doi.org/10.3390/cancers13071533

