Primary Effusion Lymphoma: A Clinicopathological Study of 70 Cases
Abstract
Simple Summary
Abstract
1. Introduction
2. Materials and Methods
2.1. Patients
2.2. Flow Cytometric Immunophenotyping
2.3. Histological Examination and Immunohistochemistry Analysis
2.4. Fluorescence In Situ Hybridization (FISH) Studies
2.5. Statistical Analysis
3. Results
3.1. Clinical Features
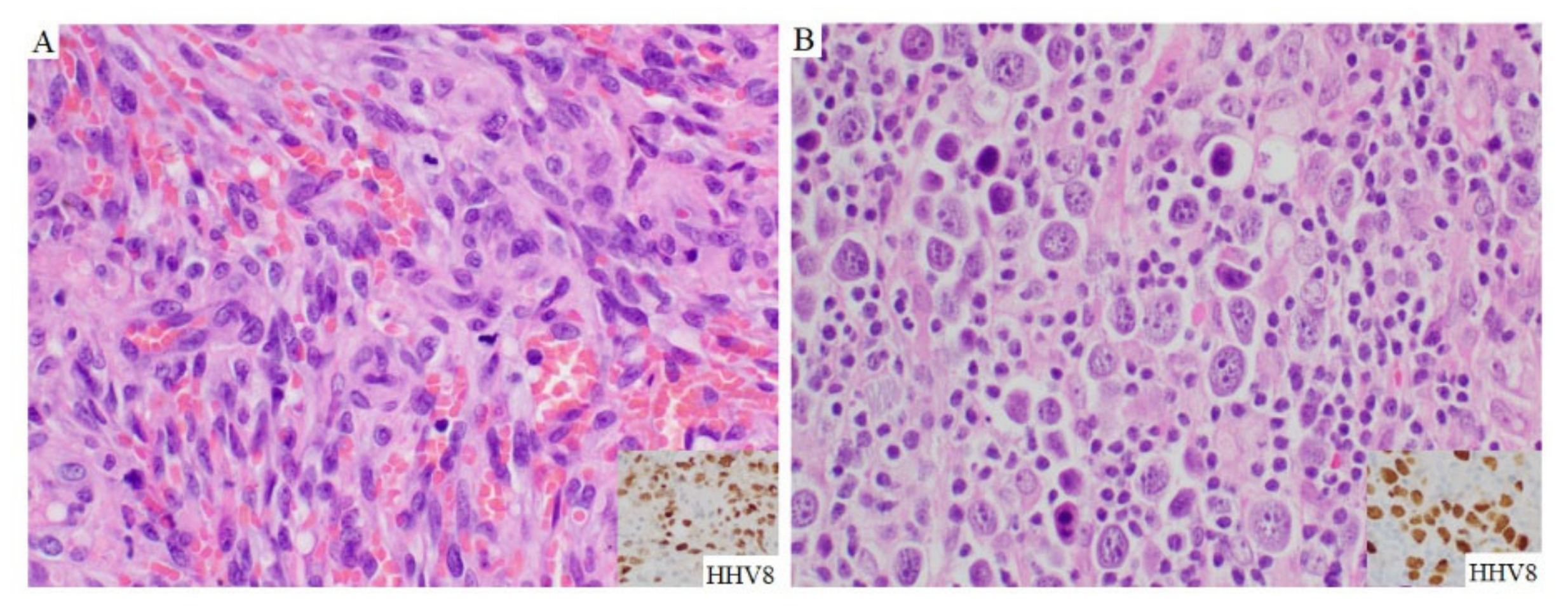
3.2. Morphology, Immunophenotype, and Cytogenetic Findings
3.3. Staging, Treatment, and Outcome
3.4. Clinicopathologic and Prognostic Difference between Patients with Effusion-Only versus with Extracavitary-Only PEL
3.5. Clinicopathologic and Prognostic Differences between PEL Patients with HIV versus without HIV Infection
4. Discussion
5. Conclusions
Author Contributions
Funding
Institutional Review Board Statement
Informed Consent Statement
Data Availability Statement
Conflicts of Interest
References
- Said, J. Primary effusion lymphoma. In WHO Classification of Tumours of Haematopoietic and Lymphoid Tissues; IARC Press: Lyon, France, 2017; pp. 323–324. [Google Scholar]
- Cesarman, E.; Chang, Y.; Moore, P.S.; Said, J.W.; Knowles, D.M. Kaposi’s Sarcoma–Associated Herpesvirus-Like DNA Sequences in AIDS-Related Body-Cavity–Based Lymphomas. N. Engl. J. Med. 1995, 332, 1186–1191. [Google Scholar] [CrossRef] [PubMed]
- Banks, P.M. Primary effusion lymphoma. In WHO Classifications of Tumours of Haematopoietic and Lymphoid Tissues; International Agency for Research on Cancer: Lyon, France, 2001; pp. 179–180. [Google Scholar]
- Pan, Z.-G.; Zhang, Q.-Y.; Lu, Z.-B.; Quinto, T.; Rozenvald, I.B.; Liu, L.-T.; Wilson, D.; Reddy, V.; Huang, Q.; Wang, H.-Y.; et al. Extracavitary KSHV-associated Large B-Cell Lymphoma. Am. J. Surg. Pathol. 2012, 36, 1129–1140. [Google Scholar] [CrossRef] [PubMed]
- Chang, Y.; Cesarman, E.; Pessin, M.S.; Lee, F.; Culpepper, J.; Knowles, D.M.A.; Moore, P.S. Identification of herpesvirus-like DNA sequences in AIDS-associated Kaposi’s sarcoma. Science 1994, 266, 1865–1869. [Google Scholar] [CrossRef] [PubMed]
- Vega, F.; Miranda, R.N.; Medeiros, L.J. KSHV/HHV8-positive large B-cell lymphomas and associated diseases: A heterogeneous group of lymphoproliferative processes with significant clinicopathological overlap. Mod. Pathol. 2019, 33, 18–28. [Google Scholar] [CrossRef]
- Cesarman, E.; Moore, P.S.; Rao, P.H.; Inghirami, G.; Knowles, D.M.; Chang, Y. In vitro establishment and characterization of two acquired immunodeficiency syndrome-related lymphoma cell lines (BC-1 and BC-2) containing Kaposi’s sarcoma-associated herpesvirus-like (KSHV) DNA sequences. Blood 1995, 86, 2708–2714. [Google Scholar] [CrossRef]
- Nador, R.G.; Cesarman, E.; Chadburn, A.; Dawson, D.B.; Ansari, M.Q.; Sald, J.; Knowles, D.M. Primary effusion lymphoma: A distinct clinicopathologic entity associated with the Kaposi’s sarcoma-associated herpes virus. Blood 1996, 88, 645–656. [Google Scholar] [CrossRef]
- Said, W.; Chien, K.; Takeuchi, S.; Tasaka, T.; Asou, H.; Cho, S.K.; de Vos, S.; Cesarman, E.; Knowles, D.M.; Koeffler, H.P. Kaposi’s sarcoma-associated herpesvirus (KSHV or HHV8) in primary effusion lymphoma: Ultrastructural demonstration of herpesvirus in lymphoma cells. Blood 1996, 87, 4937–4943. [Google Scholar] [CrossRef]
- Shimada, K.; Hayakawa, F.; Kiyoi, H. Biology and management of primary effusion lymphoma. Blood 2018, 132, 1879–1888. [Google Scholar] [CrossRef]
- Kim, Y.; Leventaki, V.; Bhaijee, F.; Jackson, C.C.; Medeiros, L.J.; Vega, F. Extracavitary/solid variant of primary effusion lymphoma. Ann. Diagn. Pathol. 2012, 16, 441–446. [Google Scholar] [CrossRef] [PubMed]
- Simonelli, C.; Spina, M.; Cinelli, R.; Talamini, R.; Tedeschi, R.; Gloghini, A.; Vaccher, E.; Carbone, A.; Tirelli, U. Clinical Features and Outcome of Primary Effusion Lymphoma in HIV-Infected Patients: A Single-Institution Study. J. Clin. Oncol. 2003, 21, 3948–3954. [Google Scholar] [CrossRef]
- Lurain, K.; Polizzotto, M.N.; Aleman, K.; Bhutani, M.; Wyvill, K.M.; Gonçalves, P.H.; Ramaswami, R.; Marshall, V.A.; Miley, W.; Steinberg, S.M.; et al. Viral, immunologic, and clinical features of primary effusion lymphoma. Blood 2019, 133, 1753–1761. [Google Scholar] [CrossRef]
- Martínez-Maza, O.; Widney, D.; Van Der Meijden, M.; Knox, R.; Echeverri, A.; Breen, E.C.; Magpantay, L.; Miles, S.A. Immune Dysfunction and the Pathogenesis of AIDS-associated non-Hodgkin’s Lymphoma. Memórias do Instituto Oswaldo Cruz 1998, 93, 373–381. [Google Scholar] [CrossRef][Green Version]
- Aoki, Y.; Yarchoan, R.; Braun, J.; Iwamoto, A.; Tosato, G. Viral and cellular cytokines in AIDS-related malignant lymphomatous effusions. Blood 2000, 96, 1599–1601. [Google Scholar] [CrossRef] [PubMed]
- Neipel, F.; Albrecht, J.C.; Ensser, A.; Huang, Y.Q.; Li, J.J.; Friedman-Kien, A.E.; Fleckenstein, B. Human herpesvirus 8 encodes a homolog of interleukin-6. J. Virol. 1997, 71, 839–842. [Google Scholar] [CrossRef] [PubMed]
- Polizzotto, M.N.; Uldrick, T.S.; Wang, V.; Aleman, K.; Wyvill, K.M.; Marshall, V.; Pittaluga, S.; O’Mahony, D.; Whitby, D.; Tosato, G.; et al. Human and viral interleukin-6 and other cytokines in Kaposi sarcoma herpesvirus-associated multicentric Castleman disease. Blood 2013, 122, 4189–4198. [Google Scholar] [CrossRef]
- Wies, E.; Mori, Y.; Hahn, A.; Kremmer, E.; Stürzl, M.; Fleckenstein, B.; Neipel, F. The viral interferon-regulatory factor-3 is required for the survival of KSHV-infected primary effusion lymphoma cells. Blood 2008, 111, 320–327. [Google Scholar] [CrossRef]
- Jones, J.L.; Hanson, D.L.; Chu, S.Y.; Ward, J.W.; Jaffe, H.W. AIDS-associated Kaposi’s sarcoma. Science 1995, 267, 1078–1079. [Google Scholar] [CrossRef]
- Jones, K.D.; Aoki, Y.; Chang, Y.; Moore, P.S.; Yarchoan, R.; Tosato, G. Involvement of interleukin-10 (IL-10) and viral IL-6 in the spontaneous growth of Kaposi’s sarcoma herpesvirus-associated infected primary effusion lymphoma cells. Blood 1999, 94, 2871–2879. [Google Scholar] [CrossRef] [PubMed]
- Oksenhendler, E.; Carcelain, G.; Aoki, Y.; Boulanger, E.; Maillard, A.; Clauvel, J.P.; Agbalika, F. High levels of human herpesvirus 8 viral load, human interleukin-6, interleukin-10, and C reactive protein correlate with exacerbation of multicentric castleman disease in HIV-infected patients. Blood 2000, 96, 2069–2073. [Google Scholar] [CrossRef]
- Cobo, F.; Pinyol, M.; Bosch, F.; Esteve, J.; Raffeld, M.; Montserrat, E.; Jaffe, E.S. Expression of potentially oncogenic HHV-8 genes in an EBV-negative primary effusion lymphoma occurring in an HIV-seronegative patient. J. Pathol. 1999, 189, 288–293. [Google Scholar] [CrossRef]
- Teruya-Feldstein, J.; Zauber, P.; Setsuda, J.E.; Berman, E.L.; Sorbara, L.; Raffeld, M.; Tosato, G.; Jaffe, E.S. Expression of human herpesvirus-8 oncogene and cytokine homologues in an HIV-seronegative patient with multicentric Castleman’s disease and primary effusion lymphoma. Lab Investig. 1998, 78, 1637–1642. [Google Scholar]
- Hatton, O.L.; Harris-Arnold, A.; Schaffert, S.; Krams, S.M.; Martinez, O.M. The interplay between Epstein–Barr virus and B lymphocytes: Implications for infection, immunity, and disease. Immunol. Res. 2014, 58, 268–276. [Google Scholar] [CrossRef]
- Thorley-Lawson, D.A. Epstein-Barr virus: Exploiting the immune system. Nat. Rev. Immunol. 2001, 1, 75–82. [Google Scholar] [CrossRef]
- Gonzalez-Farre, B.; Martinez, D.; Lopez-Guerra, M.; Xipell, M.; Monclus, E.; Rovira, J.; Garcia, F.; Lopez-Guillermo, A.; Colomo, L.; Campo, E.; et al. HHV8-related lymphoid proliferations: A broad spectrum of lesions from reactive lymphoid hyperplasia to overt lymphoma. Mod. Pathol. 2017, 30, 745–760. [Google Scholar] [CrossRef] [PubMed]
- Grogg, K.L.; Miller, R.F.; Dogan, A. HIV infection and lymphoma. J. Clin. Pathol. 2006, 60, 1365–1372. [Google Scholar] [CrossRef] [PubMed]
- Gonçalves, P.H.; Uldrick, T.S.; Yarchoan, R. HIV-associated Kaposi sarcoma and related diseases. AIDS 2017, 31, 1903–1916. [Google Scholar] [CrossRef] [PubMed]
- Hoffmann, C.; Sabranski, M.; Esser, S. HIV-Associated Kaposi’s Sarcoma. Oncol. Res. Treat. 2017, 40, 94–98. [Google Scholar] [CrossRef] [PubMed]
- Polizzotto, M.N.; Uldrick, T.S.; Wyvill, K.M.; Aleman, K.; Marshall, V.; Wang, V.; Whitby, D.; Pittaluga, S.; Jaffe, E.S.; Millo, C.; et al. Clinical Features and Outcomes of Patients With Symptomatic Kaposi Sarcoma Herpesvirus (KSHV)-associated Inflammation: Prospective Characterization of KSHV Inflammatory Cytokine Syndrome (KICS). Clin. Infect. Dis. 2016, 62, 730–738. [Google Scholar] [CrossRef]
- Sullivan, R.J.; Pantanowitz, L.; Casper, C.; Stebbing, J.; Dezube, B.J. HIV/AIDS: Epidemiology, Pathophysiology, and Treatment of Kaposi Sarcoma–Associated Herpesvirus Disease: Kaposi Sarcoma, Primary Effusion Lymphoma, and Multicentric Castleman Disease. Clin. Infect. Dis. 2008, 47, 1209–1215. [Google Scholar] [CrossRef]
- Mai, B.; Wang, W.; Lin, M.; Hu, S.; Wang, X.I.; Chen, L.; Wahed, A.; Nguyen, A.; Ma, H.Y.; Medeiros, L.J.; et al. HIV-Associated plasmablastic lymphoma in the era of highly active antiretroviral therapy. AIDS 2020, 34, 1735–1743. [Google Scholar] [CrossRef]
- Valera, A.; Balagué, O.; Colomo, L.; Martínez, A.; Delabie, J.; Taddesse-Heath, L.; Jaffe, E.S.; Campo, E. IG/MYC Rearrangements are the Main Cytogenetic Alteration in Plasmablastic Lymphomas. Am. J. Surg. Pathol. 2010, 34, 1686–1694. [Google Scholar] [CrossRef] [PubMed]
- Guillet, S.; Gérard, L.; Meignin, V.; Agbalika, F.; Cuccini, W.; Denis, B.; Katlama, C.; Galicier, L.; Oksenhendler, E. Classic and extracavitary primary effusion lymphoma in 51 HIV-infected patients from a single institution. Am. J. Hematol. 2016, 91, 233–237. [Google Scholar] [CrossRef]
- Campogiani, L.; Cerva, C.; Maffongelli, G.; Teti, E.; Pupo, L.; Vaccarini, S.; Cantonetti, M.; Pennica, A.; Andreoni, M.; Sarmati, L. Remission of an HHV8-related extracavitary primary effusion lymphoma in an HIV-positive patient during antiretroviral treatment containing dolutegravir. AIDS Res. Ther. 2019, 16, 1–7. [Google Scholar] [CrossRef] [PubMed]
- Oksenhendler, E.; Clauvel, J.-P.; Jouveshomme, S.; Davi, F.; Mansour, G. Complete remission of a primary effusion lymphoma with antiretroviral therapy. Am. J. Hematol. 1998, 57, 266. [Google Scholar] [CrossRef]






| Parameters | Results |
|---|---|
| Age, median (range) | 46 (26–91) |
| Gender, N (%) Male Female | 67 (95.7%) 3 (4.3%) |
| Immune status, N (%) HIV-positive 1 HIV-negative 2 Unknown | 56 (80%) 8 (11.4%) 6 (8.6%) |
| CBC, N (%) Anemia Leukocytosis Leukopenia Thrombocytopenia | 25/30 (83.3%) 4/30 (13.3%) 5/30 (16.7%) 14/29 (48.2%) |
| Disease presentation | |
| Effusion only, N (%) 3 Pleural Pericardial Peritoneal | 35/70 (50.0%) 24/35 (68.6%) 8/35 (22.9%) 7/35 (20.0%) |
| Extracavitary only, N (%) 4 Lymph node Gastrointestinal tract Perirenal Skin/buccal Pelvic Central nerve system Atrium | 27/70 (38.6%) 16/27 (59.3%) 8/27 (25.9%) 2/27 (7.5%) 2/27 (7.5%) 1/27 (3.7%) 1/27 (3.7%) 1/27 (3.7%) |
| Effusion and extracavitary, N (%) 5 | 8/70 (11.4%) |
| Treatment, N (%) EPOCH CHOP Other regimens 6 | 13/26 (50.0%) 8/26 (30.8%) 5/26 (19.2%) |
| Outcome Follow-up months, median (range) Medium OS (months) Deceased, N (%) | 40.0 (0–96) 42.5 26/52 (50%) |
| Markers | Overall | Effusion Only (n = 35) | Extracavitary Only (n = 27) | Both Effusion and Extracavitary (n = 8) | p-Value * |
|---|---|---|---|---|---|
| CD3 | 14/65 (21.5%) | 4/30 (13.3%) | 9/27 (33.3%) | 1/8 (12.5%) | 0.07 |
| CD20 | 5/66 (7.6%) | 1/32 (3.1%) | 1/27 (3.7%) | 3/7 (42.9%) | 0.90 |
| CD30 | 44/60 (73.3%) | 22/27 (81.5%) | 15/25 (60.0%) | 7/8 (87.5%) | 0.09 |
| CD38 | 32/34 (94.1%) | 19/20 (95.0%) | 10/11 (90.9%) | 3/3 (100%) | 0.89 |
| CD43 | 8/14 (57.1%) | 4/7 (57.1%) | 2/5 (40.0%) | 2/2 (100%) | 0.56 |
| CD45 | 50/59 (84.7%) | 25/26 (96.2%) | 18/26 (69.2%) | 7/7 (100%) | 0.01 |
| CD79a | 5/37 (13.5%) | 1/8 (12.5%) | 4/25 (16.0%) | 0/4 (0%) | 0.81 |
| CD138 | 30/58 (51.7%) | 12/26 (46.1%) | 15/25 (60.0%) | 3/7 (42.9%) | 0.32 |
| ALK-1 | 0/34 (0%) | 0/8 (0%) | 0/23 (0%) | 0/3 (0%) | NA |
| EMA | 16/28 (57.1%) | 10/10 (100%) | 4/15(26.7%) | 2/3 (66.7%) | 0.0005 *** |
| HHV8 | 70/70 (100%) | 35/35 (100%) | 27/27 (100%) | 8/8 (100%) | NA |
| PAX5 ** | 1/26 (3.8%) | 1/9 (11.1%) | 0/15 (0%) | 0/2 (0%) | 0.38 *** |
| MUM1 | 31/36 (86.1%) | 14/14 (100.0%) | 15/20 (72.2%) | 2/2 (100.0%) | 0.06 *** |
| Ki67 ≥ 70% | 25/26 (96.1%) | 6/6 (100%) | 15/15 (100%) | 4/5 (80.0%) | NA |
| EBER | 39/60 (65.0%) | 14/27 (51.9%) | 20/26 (76.9%) | 5/7 (71.4%) | 0.06 |
| K/L restriction | 15/37 (40.5%) | 6/20 (30.0%) | 6/11 (54.5%) | 3/6 (50%) | 0.18 |
| Parameters | Effusion Only (n = 35) | Extracavitary Only (n = 27) | Both Effusion and Extracavitary (n = 8) | p-Value * |
|---|---|---|---|---|
| Age (years) | 52 (32–91) | 42 (26–77) | 43 (36–50) | 0.001 |
| Gender | 33 M; 2 F | 26 M; 1 F | 8 M; 0 F | 0.71 |
| HIV-positive, N (%) | 24/35 (68.6%) | 24/27 (88.9%) | 8/8 (100%) | 0.06 |
| Kaposi sarcoma, N (%) | 9/19 (47.0%) | 7/10 (70%) | 3/5 (60%) | 0.24 |
| Elevated LDH, N (%) | 9/14 (64.3%) | 4/6 (66.7%) | 3/5 (60%) | 0.92 |
| CBC, N (%) Anemia Thrombocytopenia Leukopenia | 16/18 (88.9%) 7/17 (41.2%) 4/18 (22.2%) | 6/9 (66.7%) 4/9 (44.4%) 1/9 (11.1%) | 3/3 (100%) 3/3 (100%) 0/3 (0%) | 0.16 0.87 0.48 |
| Bone marrow involvement, N (%) | 0/10 (0%) | 0/9 (0%) | 0/4 (0%) | NA |
| Gain of MYC/8q by FISH, N (%) | 3/3 (100%) | 1/2 (50.0%) | NA | 0.40 ** |
| Treatment, N (%) CHOP EPOCH | 4/12 (33.3%) 4/12 (33.3%) | 2/9 (22.2%) 6/9 (66.7%) | 2/5 (40.0%) 3/5 (60.0%) | 0.58 0.13 |
| Outcome F/U time, median (range) (months) Mortality rate, N (%) Median OS (months) | 48.0 (0–96) 16/26 (61.5%) 30 | 26.9 (0–76) 7/20 (35%) 38.0 | 54.1 (0–88) 3/6 (50%) 48 | 0.21 0.07 0.34 |
| Parameters | HIV-Positive (n = 56) | HIV-Negative (n = 8) | p-Value |
|---|---|---|---|
| Age (years) | 45 (26–77) | 75 (51–88) | 0.005 |
| Gender | 55 M; 1 F | 8 M; 0 F | 1.00 |
| Disease presentation, N (%) | |||
| Effusion only | 24/56 (42.9%) | 7/8 (87.5%) | 0.02 * |
| Extracavitary only | 24/56 (42.9%) | 1/8 (12.5%) | 0.10 |
| Both effusion and extracavitary | 8/56 (14.3%) | 0/8 (0%) | 0.58 ** |
| Kaposi sarcoma, N (%) | 17/56 (30.4%) | 0/8 (0%) | 0.10 ** |
| EBER-positive, N (%) | 36/48 (75.0%) | 3/8 (37.5%) | 0.03 * |
| CBC, N (%) Anemia Thrombocytopenia Leukopenia | 17/25 (68.0%) 13/24 (54.2%) 6/25 (24.0%) | 6/6 (100%) 0/6 (0%) 0/6 (0%) | 0.30 ** 0.02 ** 0.31 ** |
| Bone marrow involvement, N (%) | 0/18 (0%) | 0/5 (0%) | NA |
| Gain of MYC/8q by FISH, N (%) | 3/4 (75%) | 1/1 (100.0%) | 1.00 |
| Treatment, N (%) CHOP EPOCH | 7/21 (33.3%) 11/21 (52.4%) | 1/5 (20.0%) 2/5 (40.0%) | 0.56 0.62 |
| Outcome F/U time, median (range) (months) Mortality rate, N (%) Median OS (months) | 40.0 (0–70) 21/42 (50.0%) 42.5 | 26.9 (0–96) 4/8 (50.0%) 6.8 | 0.33 1.0 0.57 |
Publisher’s Note: MDPI stays neutral with regard to jurisdictional claims in published maps and institutional affiliations. |
© 2021 by the authors. Licensee MDPI, Basel, Switzerland. This article is an open access article distributed under the terms and conditions of the Creative Commons Attribution (CC BY) license (http://creativecommons.org/licenses/by/4.0/).
Share and Cite
Hu, Z.; Pan, Z.; Chen, W.; Shi, Y.; Wang, W.; Yuan, J.; Wang, E.; Zhang, S.; Kurt, H.; Mai, B.; et al. Primary Effusion Lymphoma: A Clinicopathological Study of 70 Cases. Cancers 2021, 13, 878. https://doi.org/10.3390/cancers13040878
Hu Z, Pan Z, Chen W, Shi Y, Wang W, Yuan J, Wang E, Zhang S, Kurt H, Mai B, et al. Primary Effusion Lymphoma: A Clinicopathological Study of 70 Cases. Cancers. 2021; 13(4):878. https://doi.org/10.3390/cancers13040878
Chicago/Turabian StyleHu, Zhihong, Zenggang Pan, Weina Chen, Yang Shi, Wei Wang, Ji Yuan, Endi Wang, Shanxiang Zhang, Habibe Kurt, Brenda Mai, and et al. 2021. "Primary Effusion Lymphoma: A Clinicopathological Study of 70 Cases" Cancers 13, no. 4: 878. https://doi.org/10.3390/cancers13040878
APA StyleHu, Z., Pan, Z., Chen, W., Shi, Y., Wang, W., Yuan, J., Wang, E., Zhang, S., Kurt, H., Mai, B., Zhang, X., Liu, H., Rios, A. A., Ma, H. Y., Nguyen, N. D., Medeiros, L. J., & Hu, S. (2021). Primary Effusion Lymphoma: A Clinicopathological Study of 70 Cases. Cancers, 13(4), 878. https://doi.org/10.3390/cancers13040878

