Pathology and Classification of SCLC
Abstract
Simple Summary
Abstract
1. Introduction
2. Pathological Classification of SCLC
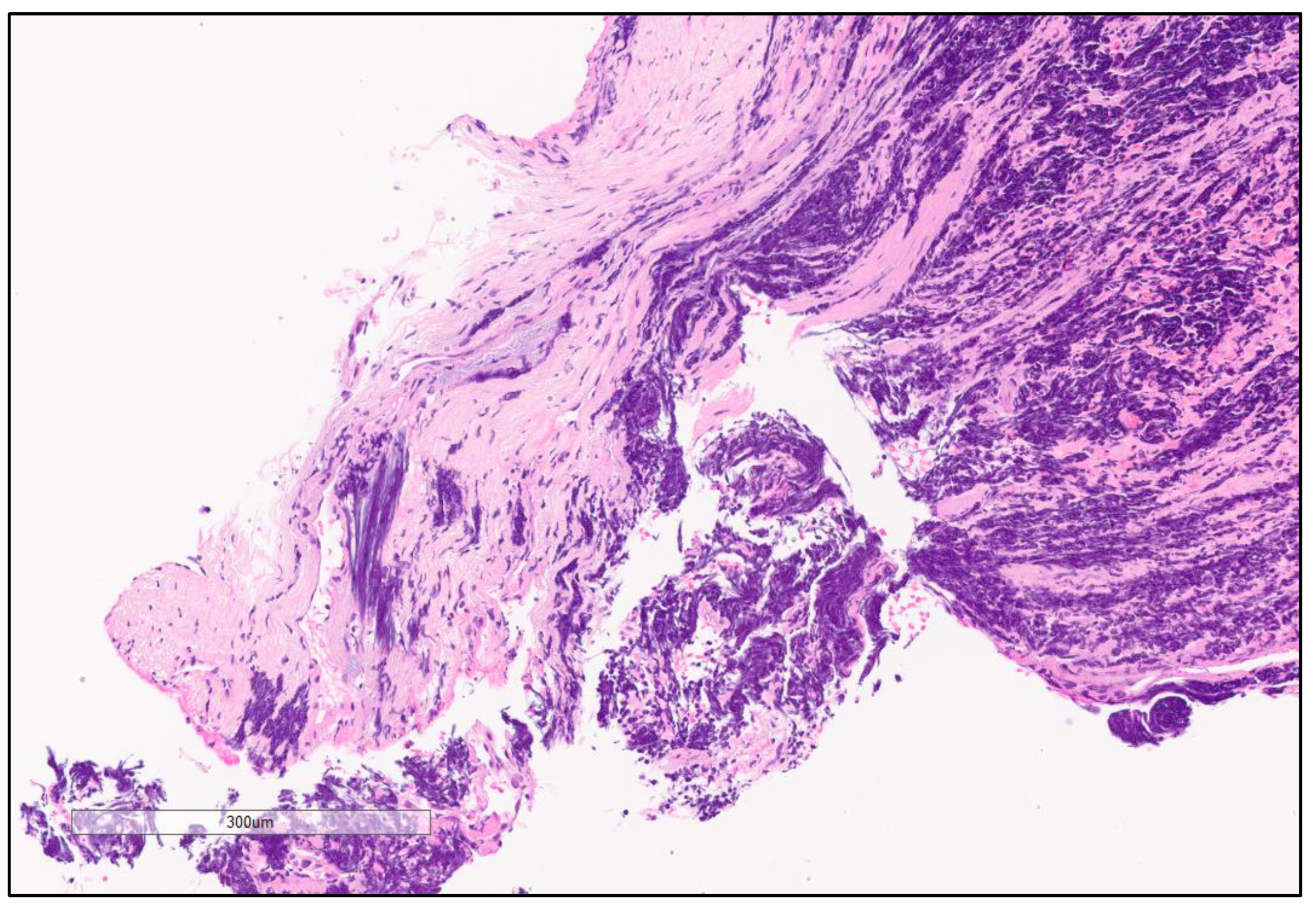
3. Macroscopic Features of SCLC
4. Microscopic Features of SCLC
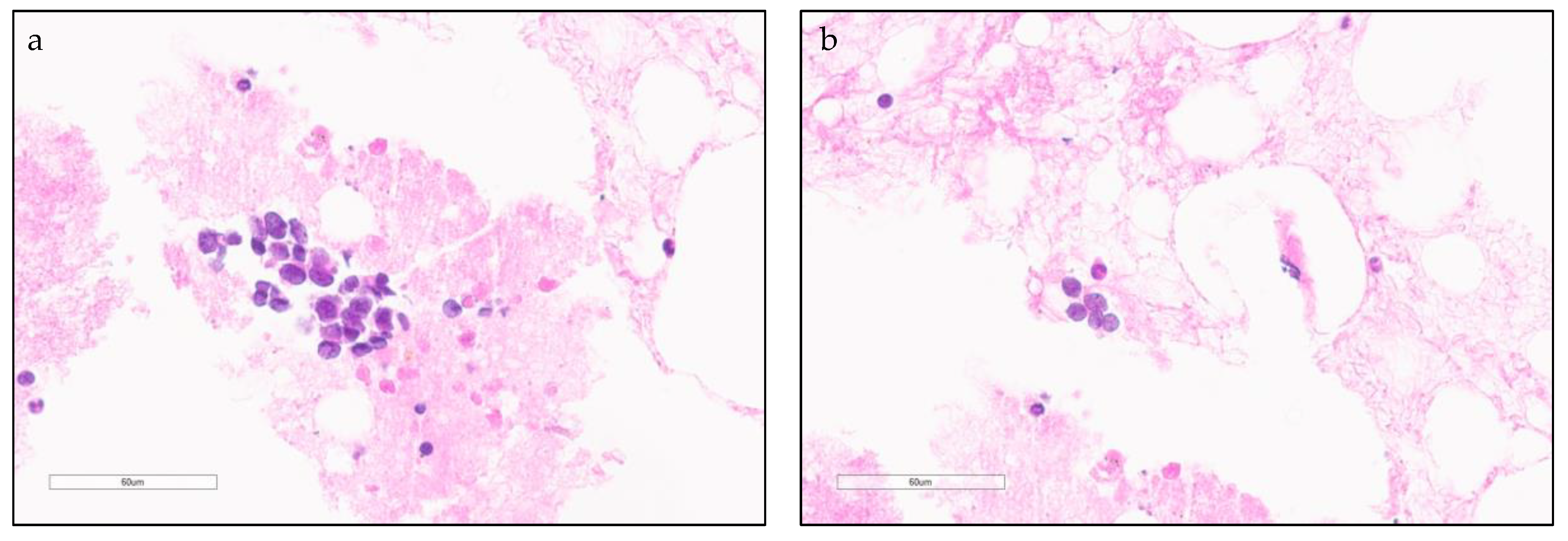
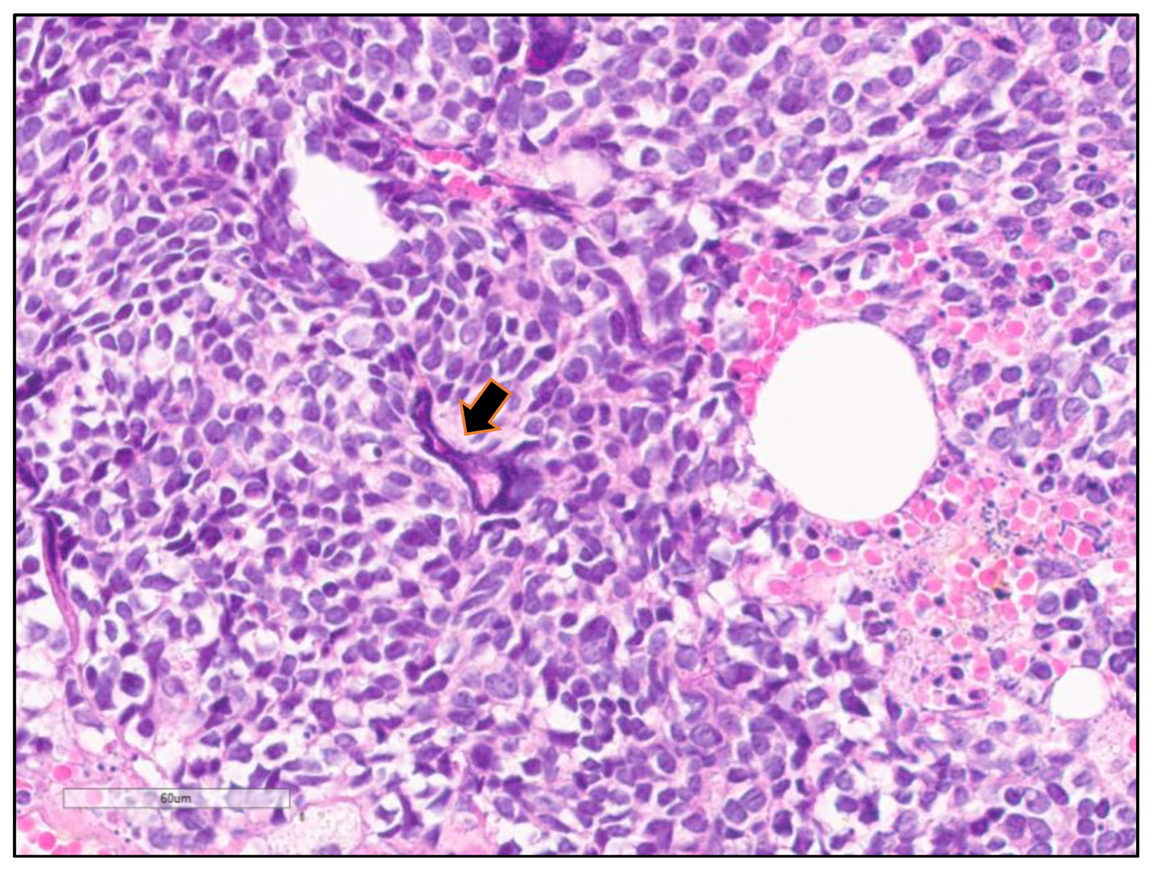
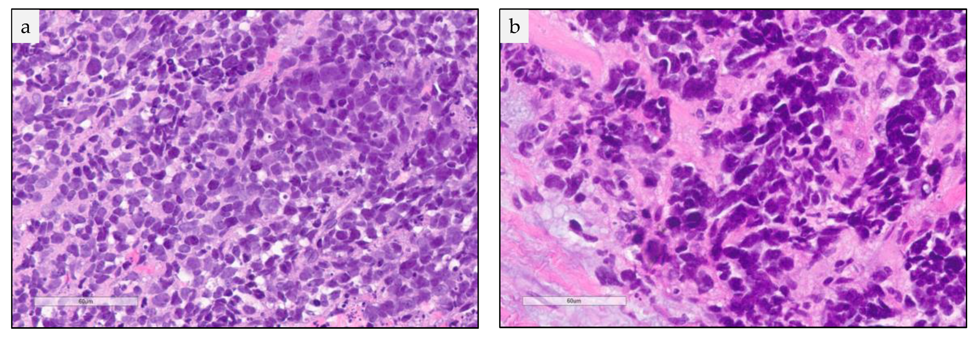
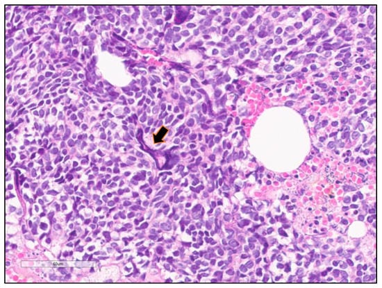
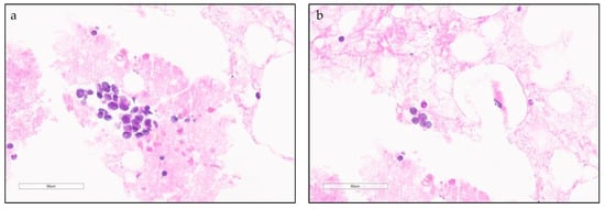
4.1. Cytological Features
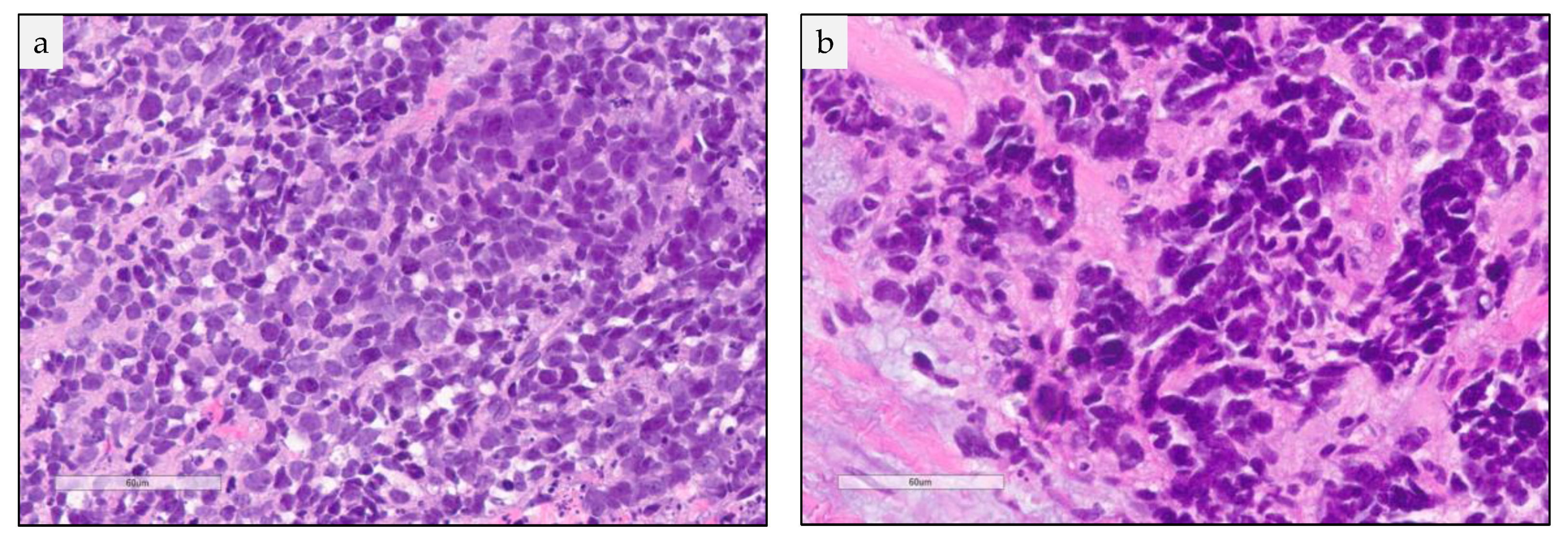
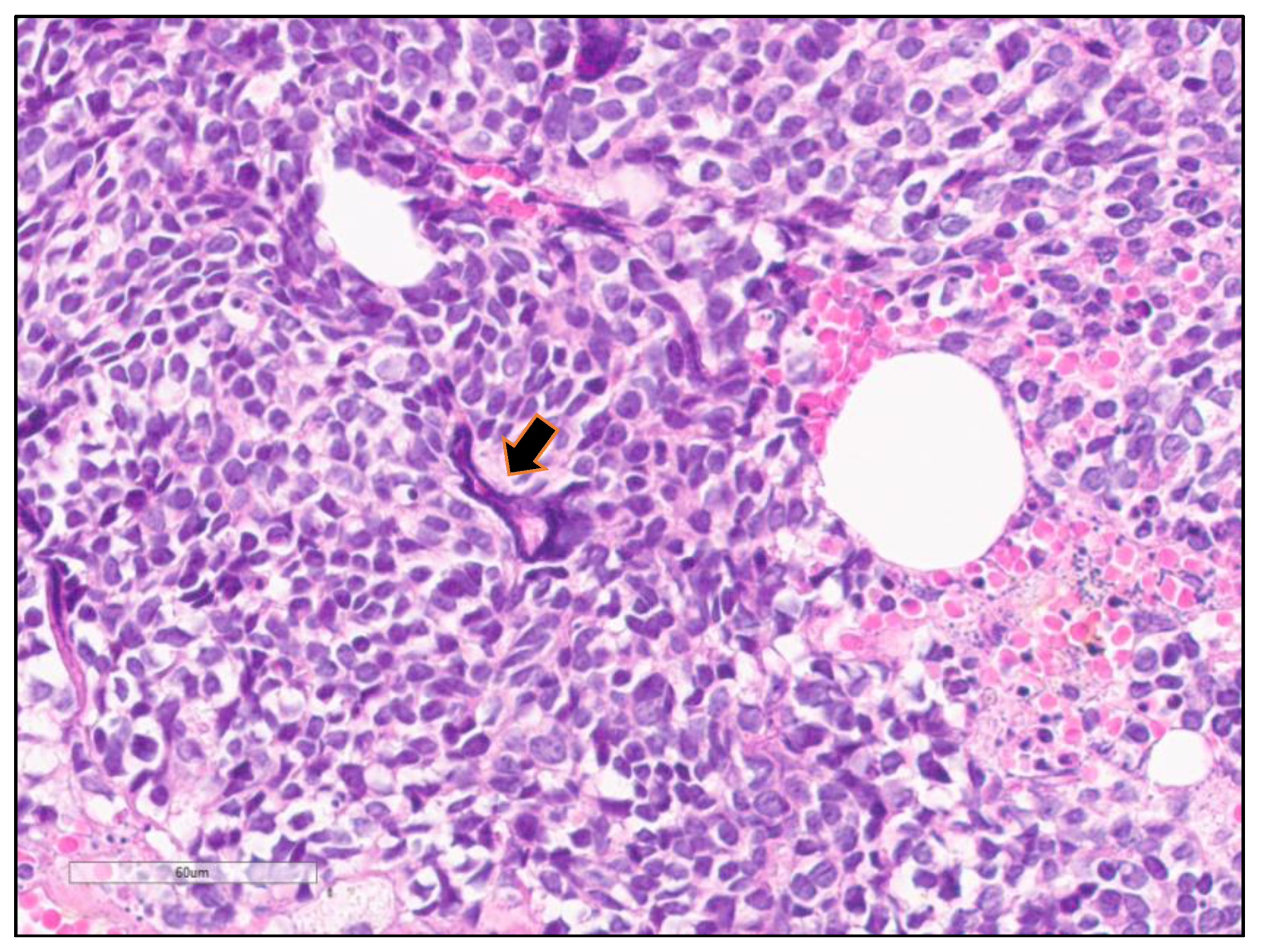
4.2. Histopathological Features
4.3. Immunohistochemistry
5. Differential Diagnosis of SCLC
6. Landscape of the Immune Tumor Microenvironment in SCLC
7. SCLC Tumor Heterogeneity
8. Genetic Variation of SCLC
9. Conclusions
Funding
Conflicts of Interest
References
- Bray, F.; Ferlay, J.; Soerjomataram, I.; Siegel, R.L.; Torre, L.A.; Jemal, A. Global cancer statistics 2018: GLOBOCAN estimates of incidence and mortality worldwide for 36 cancers in 185 countries. CA Cancer J.Clin. 2018, 68, 394–424. [Google Scholar] [CrossRef]
- International Agency for Research on Cancer (WHO). Available online: https://gco.iarc.fr/today/home (accessed on 11 December 2020).
- American Cancer Society. Key Statistics for Small Cell Lung Cancer. Available online: https://www.cancer.org/cancer/lung-cancer/about/key-statistics.html (accessed on 11 December 2020).
- National Health Institute. Surveillance, Edipemiology, and End Results Program (SEER). Available online: https://seer.cancer.gov/statfacts/html/lungb.html (accessed on 11 December 2020).
- Gibbons, D.L.; Byers, L.A.; Kurie, J.M. Smoking, p53 mutation, and lung cancer. Mol. Cancer Res. 2014, 12, 3–13. [Google Scholar] [CrossRef]
- Kadara, H.; Scheet, P.; Wistuba, I.I.; Spira, A.E. Early events in the molecular pathogenesis of lung cancer. Cancer Prev Res. 2016, 9, 518–527. [Google Scholar] [CrossRef]
- Carr, L.L.; Chung, J.H.; Duarte Achcar, R.; Lesic, Z.; Rho, J.Y.; Yagihashi, K.; Tate, R.M.; Swigris, J.J.; Kern, J.A. The clinical course of diffuse idiopathic pulmonary neuroendocrine cell hyperplasia. Chest 2015, 147, 415–422. [Google Scholar] [CrossRef]
- Rossi, G.; Cavazza, A.; Spagnolo, P.; Sverzellati, N.; Longo, L.; Jukna, A.; Montanari, G.; Carbonelli, C.; Vincenzi, G.; Bogina, G.; et al. Diffuse idiopathic pulmonary neuroendocrine cell hyperplasia syndrome. Eur. Respir. J. 2016, 47, 1829–1841. [Google Scholar] [CrossRef] [PubMed]
- Chen, H.J.; Poran, A.; Unni, A.M.; Huang, S.X.; Elemento, O.; Snoeck, H.W.; Varmus, H. Generation of pulmonary neuroendocrine cells and SCLC-like tumors from human embryonic stem cells. J. Exp. Med. 2019, 216, 674–687. [Google Scholar] [CrossRef]
- Augustyn, A.; Borromeo, M.; Wang, T.; Fujimoto, J.; Shao, C.; Dospoy, P.D.; Lee, V.; Tan, C.; Sullivan, J.P.; Larsen, J.E.; et al. ASCL1 is a lineage oncogene providing therapeutic targets for high-grade neuroendocrine lung cancers. Proc. Natl. Acad. Sci. USA 2014, 111, 14788–14793. [Google Scholar] [CrossRef] [PubMed]
- Borromeo, M.D.; Savage, T.K.; Kollipara, R.K.; He, M.; Augustyn, A.; Osborne, J.K.; Girard, L.; Minna, J.D.; Gazdar, A.F.; Cobb, M.H.; et al. ASCL1 and NEUROD1 Reveal heterogeneity in pulmonary neuroendocrine tumors and regulate distinct genetic programs. Cell Rep. 2016, 16, 1259–1272. [Google Scholar] [CrossRef]
- Huang, Y.H.; Klingbeil, O.; He, X.Y.; Wu, X.S.; Arun, G.; Lu, B.; Somerville, T.D.D.; Milazzo, J.P.; Wilkinson, J.E.; Demerdash, O.E.; et al. POU2F3 is a master regulator of a tuft cell-like variant of small cell lung cancer. Genes Dev. 2018, 32, 915–928. [Google Scholar] [CrossRef]
- Härting, F.H.; Hesse, W. Der Lungenkrebs, die Bergkrankheit in den Schneeberger Gruben; Gedruckt bei, L., Ed.; Schumacher: Berlin, Germany, 1879. [Google Scholar]
- Bernard, W.G. The nature of the ’oat-celled sarcoma’ of the mediastinum. J. Pathol. Bacteriol. 1926, 29, 241–244. [Google Scholar] [CrossRef]
- Azzopardi, J.G. Oat-cell carcinoma of the bronchus. J. Pathol. Bacteriol. 1959, 78, 513–519. [Google Scholar] [CrossRef] [PubMed]
- Watson, W.L.; Berg, J.W. Oat cell lung cancer. Cancer 1962, 15, 759–768. [Google Scholar] [CrossRef]
- Travis, W.D.; Brambilla, E.; Nicholson, A.G.; Yatabe, Y.; Austin, J.H.M.; Beasley, M.B.; Chirieac, L.R.; Dacic, S.; Duhig, E.; Flieder, D.B.; et al. The 2015 world health organization classification of lung tumors: Impact of genetic, clinical and radiologic advances since the 2004 classification. J. Thorac. Oncol. 2015, 10, 1243–1260. [Google Scholar] [CrossRef] [PubMed]
- Nicholson, S.A.; Beasley, M.B.; Brambilla, E.; Hasleton, P.S.; Colby, T.V.; Sheppard, M.N.; Falk, R.; Travis, W.D. Small cell lung carcinoma (SCLC): A clinicopathologic study of 100 cases with surgical specimens. Am. J. Surg. Pathol. 2002, 26, 1184–1197. [Google Scholar] [CrossRef]
- Travis, W.D. Update on small cell carcinoma and its differentiation from squamous cell carcinoma and other non-small cell carcinomas. Mod. Pathol. 2012, 25, S18–S30. [Google Scholar] [CrossRef]
- Hamilton, G.; Rath, B. Mesenchymal-epithelial transition and circulating tumor cells in small cell lung cancer. Adv. Exp. Med. Biol. 2017, 994, 229–245. [Google Scholar] [CrossRef]
- Mullins, R.K.; Thompson, S.K.; Coogan, P.S.; Shurbaji, M.S. Paranuclear blue inclusions: An aid in the cytopathologic diagnosis of primary and metastatic pulmonary small-cell carcinoma. Diagn. Cytopathol. 1994, 10, 332–335. [Google Scholar] [CrossRef]
- Wang, W.; Hodkinson, P.; McLaren, F.; Mackean, M.J.; Williams, L.; Howie, S.E.M.; Wallace, W.A.H.; Sethi, T. Histologic assessment of tumor-associated CD45+ cell numbers is an independent predictor of prognosis in small cell lung cancer. Chest 2013, 143, 146–151. [Google Scholar] [CrossRef] [PubMed]
- Travis, W.D. Lung tumours with neuroendocrine differentiation. Eur. J. Cancer 2009, 45, 251–266. [Google Scholar] [CrossRef]
- Travis, W.D. Pathology of lung cancer. Clin. Chest Med. 2011, 32, 669–692. [Google Scholar] [CrossRef]
- Moran, C.A.; Suster, S.; Coppola, D.; Wick, M.R. Neuroendocrine carcinomas of the lung: A critical analysis. Am. J. Clin. Pathol. 2009, 131, 206–221. [Google Scholar] [CrossRef] [PubMed]
- Weissferdt, A. Neuroendocrine tumors of the lung. In Diagnostic Thoracic Pathology; Springer: Cham, Switzerland, 2020. [Google Scholar]
- Baine, M.K.; Sinard, J.H.; Cai, G.; Homer, R.J. A semiquantitative scoring system may allow biopsy diagnosis of pulmonary large cell neuroendocrine carcinoma. Am. J. Clin. Pathol 2020, 153, 165–174. [Google Scholar] [CrossRef] [PubMed]
- Zheng, M. Classification and pathology of lung cancer. Surg. Oncol. Clin. N. Am. 2016, 25, 447–468. [Google Scholar] [CrossRef]
- Thunnissen, E.; Borczuk, A.C.; Flieder, D.B.; Witte, B.; Beasley, M.B.; Chung, J.H.; Dacic, S.; Lantuejoul, S.; Russell, P.A.; den Bakker, M.; et al. The use of immunohistochemistry improves the diagnosis of small cell lung cancer and its differential diagnosis. An international reproducibility study in a demanding set of cases. J. Thorac. Oncol. 2017, 12, 334–346. [Google Scholar] [CrossRef]
- Horn, L.; Reck, M.; Spigel, D.R. The future of immunotherapy in the treatment of small cell lung cancer. Oncologist 2016, 21, 910–921. [Google Scholar] [CrossRef]
- Tani, T.; Tanaka, K.; Idezuka, J.; Nishizawa, M. Regulatory T cells in paraneoplastic neurological syndromes. J. Neuroimmunol. 2008, 196, 166–169. [Google Scholar] [CrossRef]
- Koyama, K.; Kagamu, H.; Miura, S.; Hiura, T.; Miyabayashi, T.; Itoh, R.; Kuriyama, H.; Tanaka, H.; Tanaka, J.; Yoshizawa, H.; et al. Reciprocal CD4+ T-cell balance of effector CD62Llow CD4+ and CD62LhighCD25+ CD4+ regulatory T cells in small cell lung cancer reflects disease stage. Clin. Cancer Res. 2008, 14, 6770–6779. [Google Scholar] [CrossRef]
- Rizvi, N.A.; Hellmann, M.D.; Snyder, A.; Kvistborg, P.; Makarov, V.; Havel, J.J.; Lee, W.; Yuan, J.; Wong, P.; Ho, T.S.; et al. Mutational landscape determines sensitivity to PD-1 blockade in non–small cell lung cancer. Science 2015, 348, 124–128. [Google Scholar] [CrossRef] [PubMed]
- Willis, C.; Fiander, M.; Tran, D.; Korytowsky, B.; Thomas, J.-M.; Calderon, F.; Zyczynski, T.M.; Brixner, D.; Stenehjem, D.D. Tumor mutational burden in lung cancer: A systematic literature review. Oncotarget 2019, 10, 6604–6622. [Google Scholar] [CrossRef]
- Peifer, M.; Fernández-Cuesta, L.; Sos, M.L.; George, J.; Seidel, D.; Kasper, L.H.; Plenker, D.; Leenders, F.; Sun, R.; Zander, T.; et al. Integrative genome analyses identify key somatic driver mutations of small-cell lung cancer. Nat. Genet. 2012, 44, 1104–1110. [Google Scholar] [CrossRef]
- Hamilton, G.; Rath, B. Immunotherapy for small cell lung cancer: Mechanisms of resistance. Expert Opin. Biol. Ther. 2019, 19, 423–432. [Google Scholar] [CrossRef]
- Ishii, H.; Azuma, K.; Kawahara, A.; Yamada, K.; Imamura, Y.; Tokito, T.; Kinoshita, T.; Kage, M.; Hoshino, T. Significance of programmed cell death-ligand 1 expression and its association with survival in patients with small cell lung cancer. J. Thorac. Oncol. 2015, 10, 426–430. [Google Scholar] [CrossRef]
- Schultheis, A.M.; Scheel, A.H.; Ozretić, L.; George, J.; Thomas, R.K.; Hagemann, T.; Zander, T.; Wolf, J.; Buettner, R. PD-L1 expression in small cell neuroendocrine carcinomas. Eur. J. Cancer 2015, 51, 421–426. [Google Scholar] [CrossRef] [PubMed]
- Komiya, T.; Madan, R. PD-L1 expression in small cell lung cancer. Eur. J. Cancer 2015, 51, 1853–1855. [Google Scholar] [CrossRef] [PubMed]
- Ott, P.A.; Fernandez, M.E.E.; Hiret, S.; Kim, D.-W.; Moss, R.A.; Winser, T.; Yuan, S.; Cheng, J.D.; Piperdi, B.; Mehnert, J.M. Pembrolizumab (MK-3475) in patients (pts) with extensive-stage small cell lung cancer (SCLC): Preliminary safety and efficacy results from KEYNOTE-028. J. Clin. Oncol. 2015, 33, 7502. [Google Scholar] [CrossRef]
- Yu, H.; Boyle, T.A.; Zhou, C.; Rimm, D.L.; Hirsch, F.R. PD-L1 expression in lung cancer. J. Thorac. Oncol. 2016, 11, 964–975. [Google Scholar] [CrossRef]
- Wang, W.; Hodkinson, P.; McLaren, F.; MacKinnon, A.; Wallace, W.; Howie, S.; Sethi, T. Small cell lung cancer tumour cells induce regulatory T lymphocytes, and patient survival correlates negatively with FOXP3+ cells in tumour infiltrate. Int. J. Cancer 2012, 131, E928–E937. [Google Scholar] [CrossRef]
- Doyle, A.; Martin, W.J.; Funa, K.; Gazdar, A.; Carney, D.; Martin, S.E.; Linnoila, I.; Cuttitta, F.; Mulshine, J.; Bunn, P.; et al. Markedly decreased expression of class I histocompatibility antigens, protein, and mRNA in human small-cell lung cancer. J. Exp. Med. 1985, 161, 1135–1151. [Google Scholar] [CrossRef] [PubMed]
- He, Y.; Rozeboom, L.; Rivard, C.J.; Ellison, K.; Dziadziuszko, R.; Yu, H.; Zhou, C.; Hirsch, F.R. MHC class II expression in lung cancer. Lung Cancer 2017, 112, 75–80. [Google Scholar] [CrossRef]
- Fargion, S.; Carney, D.; Mulshine, J.; Rosen, S.; Bunn, P.; Jewett, P.; Cuttitta, F.; Gazdar, A.; Minna, J. Heterogeneity of cell surface antigen expression of human small cell lung cancer detected by monoclonal antibodies. Cancer Res. 1986, 46, 2633–2638. [Google Scholar]
- Shue, Y.T.; Lim, J.S.; Sage, J. Tumor heterogeneity in small cell lung cancer defined and investigated in pre-clinical mouse models. Transl. Lung Cancer Res. 2018, 7, 21–31. [Google Scholar] [CrossRef] [PubMed]
- Yang, D.; Denny, S.K.; Greenside, P.G.; Chaikovsky, A.C.; Brady, J.J.; Ouadah, Y.; Granja, J.M.; Jahchan, N.S.; Lim, J.S.; Kwok, S.; et al. Intertumoral heterogeneity in SCLC is influenced by the cell type of origin. Cancer Discov. 2018, 8, 1316–1331. [Google Scholar] [CrossRef]
- Arcaro, A. Targeted therapies for small cell lung cancer: Where do we stand? Crit. Rev. Oncol. Hematol. 2015, 95, 154–164. [Google Scholar] [CrossRef] [PubMed]
- D’Amico, D.; Carbone, D.; Mitsudomi, T.; Nau, M.; Fedorko, J.; Russell, E.; Johnson, B.; Buchhagen, D.; Bodner, S.; Phelps, R.; et al. High frequency of somatically acquired p53 mutations in small-cell lung cancer cell lines and tumors. Oncogene 1992, 7, 339–346. [Google Scholar]
- Helin, K.; Holm, K.; Niebuhr, A.; Eiberg, H.; Tommerup, N.; Hougaard, S.; Poulsen, H.S.; Spang-Thomsen, M.; Norgaard, P. Loss of the retinoblastoma protein-related p130 protein in small cell lung carcinoma. Proc. Natl. Acad. Sci. USA 1997, 94, 6933–6938. [Google Scholar] [CrossRef] [PubMed]
- George, J.; Lim, J.S.; Jang, S.J.; Cun, Y.; Ozretić, L.; Kong, G.; Leenders, F.; Lu, X.; Fernández-Cuesta, L.; Bosco, G.; et al. Comprehensive genomic profiles of small cell lung cancer. Nature 2015, 524, 47–53. [Google Scholar] [CrossRef]
- Meder, L.; König, K.; Ozretić, L.; Schultheis, A.M.; Ueckeroth, F.; Ade, C.P.; Albus, K.; Boehm, D.; Rommerscheidt-Fuss, U.; Florin, A.; et al. NOTCH, ASCL1, p53 and RB alterations define an alternative pathway driving neuroendocrine and small cell lung carcinomas. Int. J. Cancer 2016, 138, 927–938. [Google Scholar] [CrossRef]
- Rudin, C.M.; Durinck, S.; Stawiski, E.W.; Poirier, J.T.; Modrusan, Z.; Shames, D.S.; Bergbower, E.A.; Guan, Y.; Shin, J.; Guillory, J.; et al. Comprehensive genomic analysis identifies SOX2 as a frequently amplified gene in small-cell lung cancer. Nat. Genet. 2012, 44, 1111–1116. [Google Scholar] [CrossRef]
- Wistuba, I.I.; Gazdar, A.F.; Minna, J.D. Molecular genetics of small cell lung carcinoma. Semin. Oncol. 2001, 28, 3–13. [Google Scholar] [CrossRef]
- Byers, L.A.; Rudin, C.M. Small cell lung cancer: Where do we go from here? Cancer 2015, 121, 664–672. [Google Scholar] [CrossRef]
- Minna, J.D.; Roth, J.A.; Gazdar, A.F. Focus on lung cancer. Cancer Cell 2002, 1, 49–52. [Google Scholar] [CrossRef]
- Rohr, U.P.; Rehfeld, N.; Pflugfelder, L.; Geddert, H.; Müller, W.; Steidl, U.; Fenk, R.; Gräf, T.; Schott, M.; Thiele, K.P.; et al. Expression of the tyrosine kinase c-kit is an independent prognostic factor in patients with small cell lung cancer. Int. J. Cancer 2004, 111, 259–263. [Google Scholar] [CrossRef] [PubMed]
- Tamborini, E.; Bonadiman, L.; Negri, T.; Greco, A.; Staurengo, S.; Bidoli, P.; Pastorino, U.; Pierotti, M.A.; Pilotti, S. Detection of overexpressed and phosphorylated wild-type kit receptor in surgical specimens of small cell lung cancer. Clin. Cancer Res. 2004, 10, 8214–8219. [Google Scholar] [CrossRef] [PubMed][Green Version]
- Baine, M.K.; Hsieh, M.S.; Lai, W.V.; Egger, J.V.; Jungbluth, A.; Daneshbod, Y.; Beras, A.; Spencer, R.; Lopardo, J.; Bodd, F.; et al. Small cell lung carcinoma subtypes defined by ASCL1, NEUROD1, POU2F3 and YAP1: Comprehensive immunohistochemical and histopathologic characterization. J. Thorac. Oncol. 2020. [Google Scholar] [CrossRef]
- Rudin, C.M.; Poirier, J.T.; Byers, L.A.; Dive, C.; Dowlati, A.; George, J.; Heymach, J.V.; Johnson, J.E.; Lehman, J.M.; MacPherson, D.; et al. Molecular subtypes of small cell lung cancer: A synthesis of human and mouse model data. Nat. Rev. Cancer 2019, 19, 289–297. [Google Scholar] [CrossRef]
- McColl, K.; Wildey, G.; Sakre, N.; Lipka, M.B.; Behtaj, M.; Kresak, A.; Chen, Y.; Yang, M.; Velcheti, V.; Fu, P.; et al. Reciprocal expression of INSM1 and YAP1 defines subgroups in small cell lung cancer. Oncotarget 2017, 8, 73745–73756. [Google Scholar] [CrossRef]
- Sonkin, D.; Thomas, A.; Teicher, B.A. Are neuroendocrine negative small cell lung cancer and large cell neuroendocrine carcinoma with WT RB1 two faces of the same entity? Lung Cancer Manag. 2019, 8, Lmt13. [Google Scholar] [CrossRef]
- Wagner, P.L.; Kitabayashi, N.; Chen, Y.T.; Saqi, A. Combined small cell lung carcinomas: Genotypic and immunophenotypic analysis of the separate morphologic components. Am. J. Clin. Pathol. 2009, 131, 376–382. [Google Scholar] [CrossRef]
- Gay, C.M.; Stewart, C.A.; Park, E.M.; Diao, L.; Groves, S.M.; Heeke, S.; Nabet, B.Y.; Fujimoto, J.; Solis, L.M.; Lu, W.; et al. Patterns of transcription factor programs and immune pathway activation define four major subtypes of SCLC with distinct therapeutic vulnerabilities. Cancer Cell 2021. [Google Scholar] [CrossRef] [PubMed]
- Yu, H.A.; Arcila, M.E.; Rekhtman, N.; Sima, C.S.; Zakowski, M.F.; Pao, W.; Kris, M.G.; Miller, V.A.; Ladanyi, M.; Riely, G.J. Analysis of tumor specimens at the time of acquired resistance to EGFR-TKI therapy in 155 patients with EGFR-mutant lung cancers. Clin. Cancer Res. 2013, 19, 2240–2247. [Google Scholar] [CrossRef] [PubMed]
- Sequist, L.V.; Waltman, B.A.; Dias-Santagata, D.; Digumarthy, S.; Turke, A.B.; Fidias, P.; Bergethon, K.; Shaw, A.T.; Gettinger, S.; Cosper, A.K.; et al. Genotypic and histological evolution of lung cancers acquiring resistance to EGFR inhibitors. Sci. Transl. Med. 2011, 3, 75ra26. [Google Scholar] [CrossRef]
- Marcoux, N.; Gettinger, S.N.; O’Kane, G.; Arbour, K.C.; Neal, J.W.; Husain, H.; Evans, T.L.; Brahmer, J.R.; Muzikansky, A.; Bonomi, P.D.; et al. EGFR-mutant adenocarcinomas that transform to small-cell lung cancer and other neuroendocrine carcinomas: Clinical outcomes. J. Clin. Oncol. 2019, 37, 278–285. [Google Scholar] [CrossRef] [PubMed]
- Niederst, M.J.; Sequist, L.V.; Poirier, J.T.; Mermel, C.H.; Lockerman, E.L.; Garcia, A.R.; Katayama, R.; Costa, C.; Ross, K.N.; Moran, T.; et al. RB loss in resistant EGFR mutant lung adenocarcinomas that transform to small-cell lung cancer. Nat. Commun. 2015, 6, 6377. [Google Scholar] [CrossRef] [PubMed]
- Offin, M.; Chan, J.M.; Tenet, M.; Rizvi, H.A.; Shen, R.; Riely, G.J.; Rekhtman, N.; Daneshbod, Y.; Quintanal-Villalonga, A.; Penson, A.; et al. Concurrent RB1 and TP53 alterations define a subset of EGFR-mutant lung cancers at risk for histologic transformation and inferior clinical outcomes. J. Thorac. Oncol. 2019, 14, 1784–1793. [Google Scholar] [CrossRef] [PubMed]
- Iams, W.T.; Beckermann, K.E.; Almodovar, K.; Hernandez, J.; Vnencak-Jones, C.; Lim, L.P.; Raymond, C.K.; Horn, L.; Lovly, C.M. Small cell lung cancer transformation as a mechanism of resistance to PD-1 therapy in KRAS-mutant lung adenocarcinoma: A report of two cases. J. Thorac. Oncol. 2019, 14, e45–e48. [Google Scholar] [CrossRef] [PubMed]




| Marker | Stain | Comments |
|---|---|---|
| Keratin (MWlow) | + | Paranuclear/Cytoplasmatic diffuse |
| Keratin (MWhigh) | - | Not expressed in SCLC |
| Ki67 | + | At high levels, hallmark of SCLC vs NE tumors |
| NCAM/CD56 | + | Variable/Lower compared to other NE tumors |
| Chromogranin | + | Variable/Lower compared to other NE tumors |
| Synaptophysin | + | Variable/Lower compared to other NE tumors |
| INSM1 | + | Variable/Lower compared to other NE tumors |
| Napsin A | - | Presence of this marker favors LCNEC diagnosis |
| TTF-1 | + | Useful SCLC diagnosis vs NE tumors not originated in the lung |
| BCL-2 | + | Often expressed in SCLC |
| P16 | + | Expressed in >95% of SCLC |
| CD117/KIT | + | Expressed in 60% of SCLC |
| P-RB | - | Never expressed in SCLC |
| OTP | - | Never expressed in SCLC |
| Marker | Genetic Alteration | Comments |
|---|---|---|
| RB1 | Loss | 95% of SCLC |
| TP53 | Mutation | 65% of SCLC |
| Chromosome arm 3p | Deletion | 91% of SCLC |
| MYC | Mutation | Variable |
| BCL2 | Mutation | Variable |
| PTEN | Mutation | Variable |
| SLIT2 | Mutation | Variable |
| CREBBP | Mutation | Variable |
| EPHA7 | Mutation | Variable |
| FGFR1 | Mutation | Variable |
| c-KIT | Increased Expression | Described in some SCLC subsets |
| MYC, MYCL1, MYCN | Amplification | Described in some SCLC subsets |
| PTEN | Loss | Described in some SCLC subsets |
| SCLC Subtype | Markers | Characteristics |
|---|---|---|
| SCLC-A | ASCL1 | Pure SCLC histology; NE-markershigh/TTF-1high/DLL3high |
| SCLC-N | NEUROD1 | Enrichment in combined SCLC histology; NE-markershigh/TTF-1high/DLL3high |
| SCLC-P | POU2F3 | Low or absent expression of ASCL1 and NEUROD1, NE-markerslow/TTF-1low/DLL3low |
| SCLC-Y | YAP1 | Low or absent expression of ASCL1 and NEUROD1; RB1wt |
| SCLC-I | Inflamed Gene signature | Low expression of ASCL1, NEUROD1, and POU2F3 |
Publisher’s Note: MDPI stays neutral with regard to jurisdictional claims in published maps and institutional affiliations. |
© 2021 by the authors. Licensee MDPI, Basel, Switzerland. This article is an open access article distributed under the terms and conditions of the Creative Commons Attribution (CC BY) license (http://creativecommons.org/licenses/by/4.0/).
Share and Cite
Raso, M.G.; Bota-Rabassedas, N.; Wistuba, I.I. Pathology and Classification of SCLC. Cancers 2021, 13, 820. https://doi.org/10.3390/cancers13040820
Raso MG, Bota-Rabassedas N, Wistuba II. Pathology and Classification of SCLC. Cancers. 2021; 13(4):820. https://doi.org/10.3390/cancers13040820
Chicago/Turabian StyleRaso, Maria Gabriela, Neus Bota-Rabassedas, and Ignacio I. Wistuba. 2021. "Pathology and Classification of SCLC" Cancers 13, no. 4: 820. https://doi.org/10.3390/cancers13040820
APA StyleRaso, M. G., Bota-Rabassedas, N., & Wistuba, I. I. (2021). Pathology and Classification of SCLC. Cancers, 13(4), 820. https://doi.org/10.3390/cancers13040820

