Prognostic Value of 5-ALA Fluorescence, Tumor Cell Infiltration and Angiogenesis in the Peritumoral Brain Tissue of Brain Metastases
Abstract
Simple Summary
Abstract
1. Introduction
2. Results
2.1. Characteristics of BM
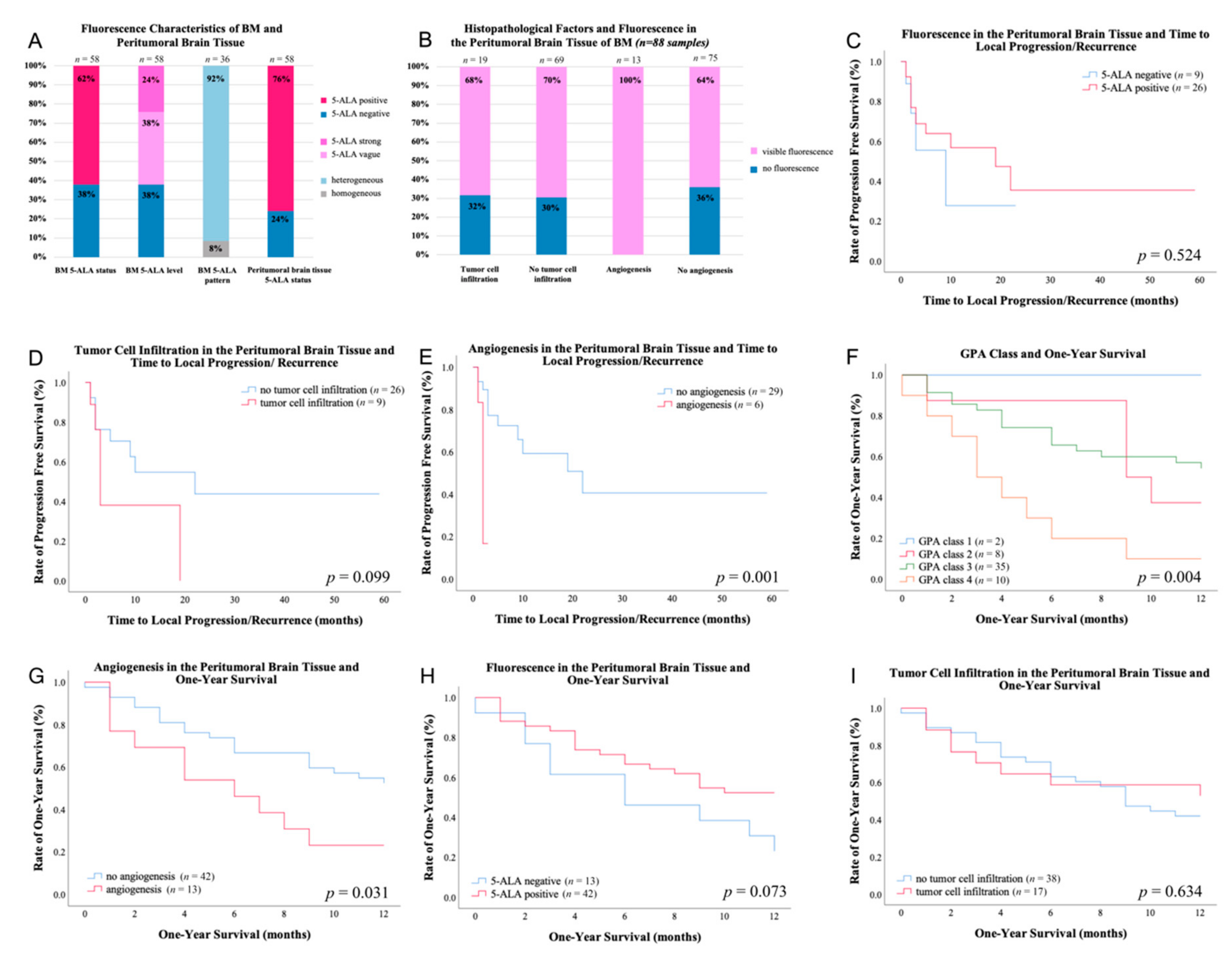
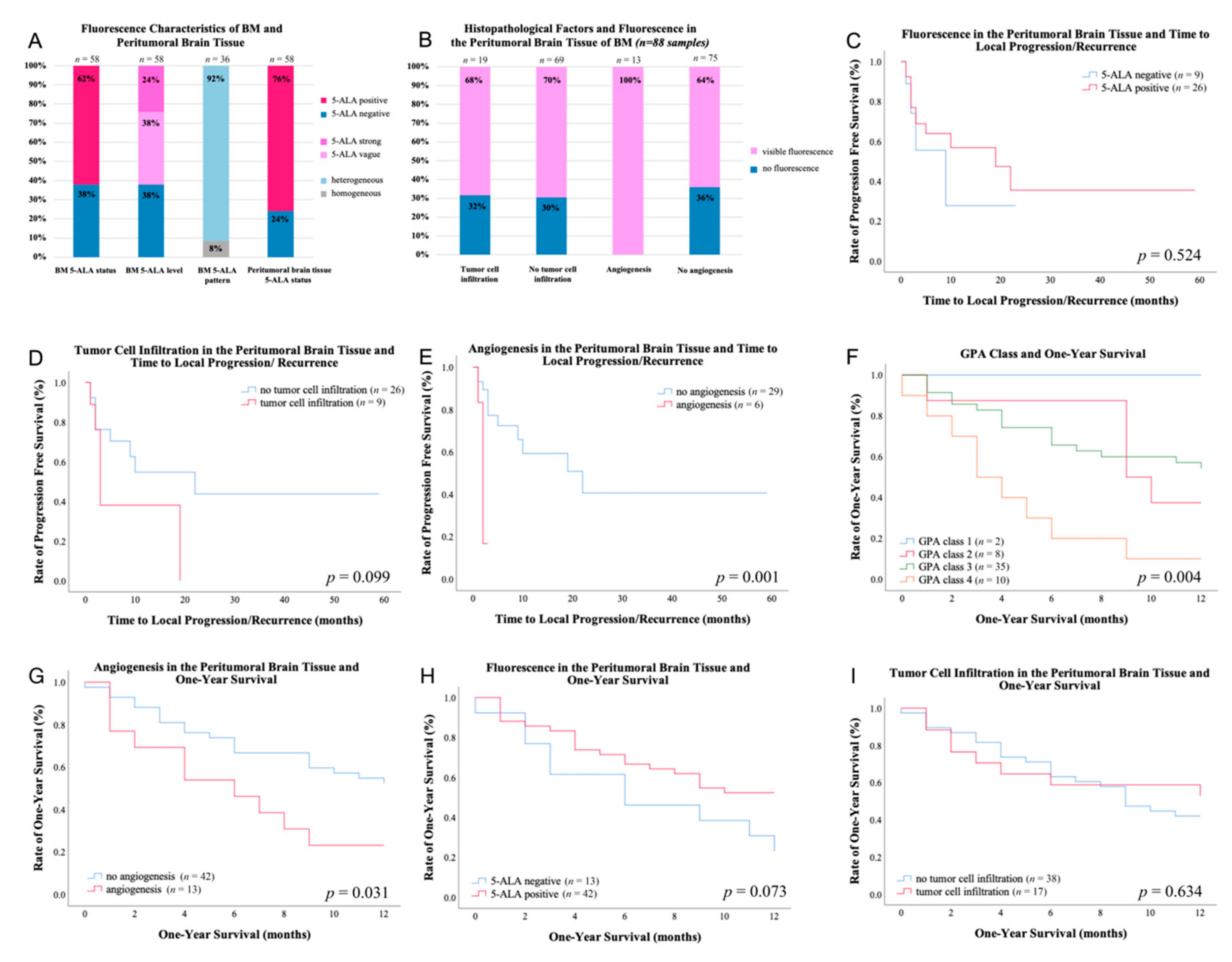
2.2. 5-ALA Fluorescence Characteristics of BM
2.3. 5-ALA Fluorescence Characteristics of Peritumoral Brain Tissue
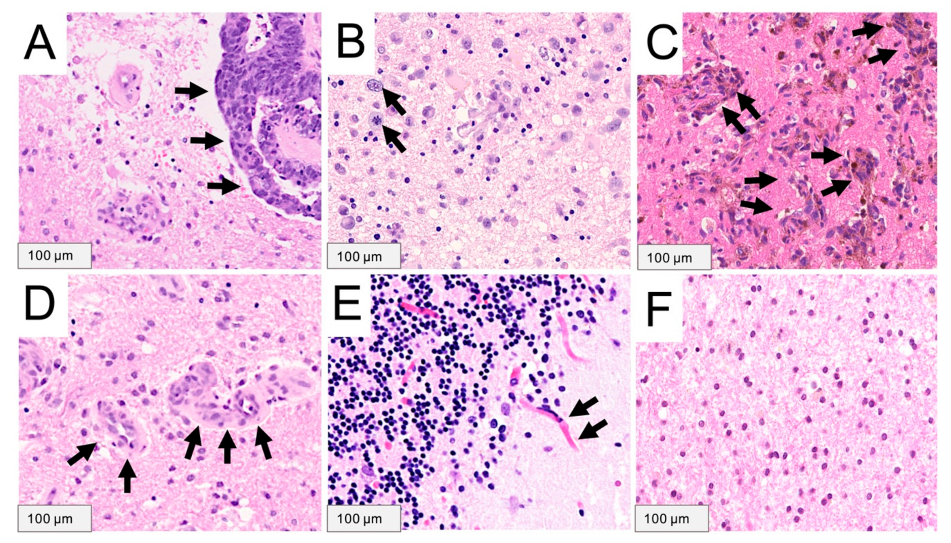
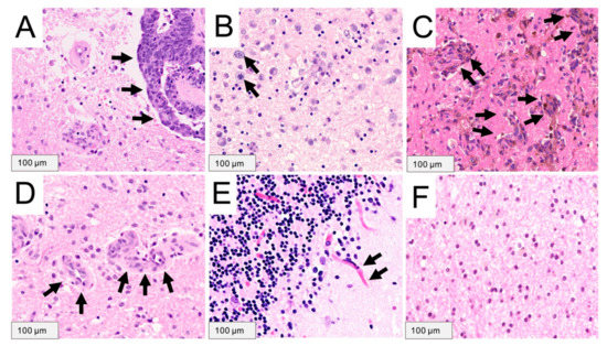
2.4. Tissue Samples from Peritumoral Brain Tissue and Histopathology
2.4.1. Tumor Cell Infiltration
2.4.2. Angiogenesis
2.5. Extent of Resection, Postoperative Course and Treatment
2.6. Postoperative Follow-Up of BM
2.6.1. Time to Local Progression/Recurrence or Distant Recurrence
2.6.2. Survival Rate
3. Discussion
4. Materials and Methods
4.1. Preoperative Imaging and Clinical Data
4.2. 5-ALA Management and Neurosurgical Resection of BM
4.3. Histopathological Assessment
4.4. Postoperative Course
4.5. Statistical Analyses
5. Conclusions
Supplementary Materials
Author Contributions
Funding
Institutional Review Board Statement
Informed Consent Statement
Data Availability Statement
Acknowledgments
Conflicts of Interest
References
- Nayak, L.; Lee, E.Q.; Wen, P.Y. Epidemiology of Brain Metastases. Curr. Oncol. Rep. 2012, 14, 48–54. [Google Scholar] [CrossRef] [PubMed]
- Weinberg, J.; Lang, F.F.; Sawaya, R. Surgical management of brain metastases. Curr. Oncol. Rep. 2001, 3, 476–483. [Google Scholar] [CrossRef] [PubMed]
- Gavrilovic, I.T.; Posner, J.B. Brain metastases: Epidemiology and pathophysiology. J Neurooncol. 2005, 75, 5–14. [Google Scholar] [CrossRef] [PubMed]
- Kocher, M.; Soffietti, R.; Abacioglu, U.M.; Villà, S.; Fauchon, F.; Baumert, B.G.; Fariselli, L.; Tzuk-Shina, T.; Kortmann, R.-D.; Carrie, C.; et al. Adjuvant Whole-Brain Radiotherapy Versus Observation After Radiosurgery or Surgical Resection of One to Three Cerebral Metastases: Results of the EORTC 22952–26001 Study. J. Clin. Oncol. 2011, 29, 134–141. [Google Scholar] [CrossRef] [PubMed]
- Kamp, M.; Fischer, I.; Bühner, J.; Turowski, B.; Cornelius, J.F.; Steiger, H.-J.; Rapp, M.; Slotty, P.J.; Sabel, M. 5-ALA fluorescence of cerebral metastases and its impact for the local-in-brain progression. Oncotarget 2016, 7, 66776–66789. [Google Scholar] [CrossRef]
- Patchell, R.A.; Tibbs, P.A.; Regine, W.F.; Dempsey, R.J.; Mohiuddin, M.; Kryscio, R.J.; Markesbery, W.R.; Foon, K.A.; Young, B. Postoperative radiotherapy in the treatment of single metastases to the brain: A randomized trial. JAMA 1998, 280, 1485–1489. [Google Scholar] [CrossRef]
- Kamp, M.; Rapp, M.; Bühner, J.; Slotty, P.J.; Reichelt, D.; Sadat, H.; Dibué-Adjei, M.; Steiger, H.-J.; Turowski, B.; Sabel, M. Early postoperative magnet resonance tomography after resection of cerebral metastases. Acta Neurochir. 2015, 157, 1573–1580. [Google Scholar] [CrossRef]
- Olesrud, I.; Schulz, M.K.; Marcovic, L.; Kristensen, B.W.; Pedersen, C.B.; Kristiansen, C.; Poulsen, F.R. Early postoperative MRI after resection of brain metastases—Complete tumour resection associated with prolonged survival. Acta Neurochir. 2019, 161, 555–565. [Google Scholar] [CrossRef]
- Berghoff, A.S.; Rajky, O.; Winkler, F.; Bartsch, R.; Furtner, J.; Hainfellner, J.A.; Goodman, S.L.; Weller, M.; Schittenhelm, J.; Preusser, M. Invasion patterns in brain metastases of solid cancers. Neuro-Oncology 2013, 15, 1664–1672. [Google Scholar] [CrossRef]
- Baumert, B.G.; Rutten, I.; Dehing-Oberije, C.; Twijnstra, A.; Dirx, M.J.; Debougnoux-Huppertz, R.M.; Lambin, P.; Kubat, B. A pathology-based substrate for target definition in radiosurgery of brain metastases. Int. J. Radiat. Oncol. 2006, 66, 187–194. [Google Scholar] [CrossRef]
- Preusser, M.; Capper, D.; Ilhan-Mutlu, A.; Berghoff, A.S.; Birner, P.; Bartsch, R.; Marosi, C.; Zielinski, C.; Mehta, M.P.; Winkler, F.; et al. Brain metastases: Pathobiology and emerging targeted therapies. Acta Neuropathol. 2012, 123, 205–222. [Google Scholar] [CrossRef] [PubMed]
- Berghoff, A.S.; Preusser, M. Anti-angiogenic therapies in brain metastases. Memo Mag. Eur. Med. Oncol. 2018, 11, 14–17. [Google Scholar] [CrossRef] [PubMed]
- Obwegeser, A.; Jakober, R.; Kostron, H. Uptake and kinetics of 14C-labelled meta-tetrahydroxyphenylchlorin and 5-aminolaevulinic acid in the C6 rat glioma model. Br. J. Cancer 1998, 78, 733–738. [Google Scholar] [CrossRef] [PubMed]
- Stummer, W.; Pichlmeier, U.; Meinel, T.; Wiestler, O.D.; Zanella, F.; Reulen, H.-J. Fluorescence-guided surgery with 5-aminolevulinic acid for resection of malignant glioma: A randomised controlled multicentre phase III trial. Lancet Oncol. 2006, 7, 392–401. [Google Scholar] [CrossRef]
- Hadjipanayis, C.; Widhalm, G.; Stummer, W. What is the Surgical Benefit of Utilizing 5-Aminolevulinic Acid for Fluorescence-Guided Surgery of Malignant Gliomas? Neurosurgery 2015, 77, 663–673. [Google Scholar] [CrossRef]
- Kamp, M.; Grosser, P.; Felsberg, J.; Slotty, P.J.; Steiger, H.-J.; Reifenberger, G.; Sabel, M. 5-Aminolevulinic acid (5-ALA)-induced fluorescence in intracerebral metastases: A retrospective study. Acta Neurochir. 2011, 154, 223–228. [Google Scholar] [CrossRef]
- Marhold, F.; Mercea, P.A.; Scheichel, F.; Berghoff, A.S.; Heicappell, P.; Kiesel, B.; Mischkulnig, M.; Borkovec, M.; Wolfsberger, S.; Woehrer, A.; et al. Detailed analysis of 5-aminolevulinic acid induced fluorescence in different brain metastases at two specialized neurosurgical centers: Experience in 157 cases. J. Neurosurg. 2020, 133, 1032–1043. [Google Scholar] [CrossRef]
- Spanberger, T.; Berghoff, A.S.; Dinhof, C.; Ilhan-Mutlu, A.; Magerle, M.; Hutterer, M.; Pichler, J.; Woehrer, A.; Hackl, M.; Widhalm, G.; et al. Extent of peritumoral brain edema correlates with prognosis, tumoral growth pattern, HIF1a expression and angiogenic activity in patients with single brain metastases. Clin. Exp. Metastasis 2012, 30, 357–368. [Google Scholar] [CrossRef]
- Berghoff, A.S.; Ilhan-Mutlu, A.; Dinhof, C.; Magerle, M.; Hackl, M.; Widhalm, G.; Hainfellner, J.A.; Dieckmann, K.; Pichler, J.; Hutterer, M.; et al. Differential role of angiogenesis and tumour cell proliferation in brain metastases according to primary tumour type: Analysis of 639 cases. Neuropathol. Appl. Neurobiol. 2014, 41, e41–e55. [Google Scholar] [CrossRef]
- Bender, R.; Lange, S. Adjusting for multiple testing—When and how? J. Clin. Epidemiol. 2001, 54, 343–349. [Google Scholar] [CrossRef]
- Siam, L.; Bleckmann, A.; Chaung, H.-N.; Mohr, A.; Klemm, F.; Barrantes-Freer, A.; Blazquez, R.; Wolff, H.A.; Lüke, F.; Rohde, V.; et al. The metastatic infiltration at the metastasis/brain parenchyma-interface is very heterogeneous and has a significant impact on survival in a prospective study. Oncotarget 2015, 6, 29254–29267. [Google Scholar] [CrossRef] [PubMed]
- Schatlo, B.; Stockhammer, F.; Barrantes-Freer, A.; Bleckmann, A.; Siam, L.; Pukrop, T.; Rohde, V. 5-Aminolevulinic Acid Fluorescence Indicates Perilesional Brain Infiltration in Brain Metastases. World Neurosurg. X 2020, 5, 100069. [Google Scholar] [CrossRef] [PubMed]
- Roberts, D.W.; Valdés, P.A.; Harris, B.T.; Fontaine, K.M.; Hartov, A.; Fan, X.; Ji, S.; Lollis, S.S.; Pogue, B.W.; Leblond, F.; et al. Coregistered fluorescence-enhanced tumor resection of malignant glioma: Relationships between δ-aminolevulinic acid-induced protoporphyrin IX fluorescence, magnetic resonance imaging enhancement, and neuropathological parameters: Clinical article. J. Neurosurg. 2011, 114, 595–603. [Google Scholar] [CrossRef] [PubMed]
- Kamp, M.; Munoz-Bendix, C.; Mijderwijk, H.-J.; Turowski, B.; Dibué-Adjei, M.; Von Saβ, C.; Cornelius, J.F.; Steiger, H.-J.; Rapp, M.; Sabel, M. Is 5-ALA fluorescence of cerebral metastases a prognostic factor for local recurrence and overall survival? J. Neuro-Oncol. 2019, 141, 547–553. [Google Scholar] [CrossRef]
- Rodewald, A.; Rushing, E.J.; Kirschenbaum, D.; Mangana, J.; Mittmann, C.; Moch, H.; Lugassy, C.; Barnhill, R.L.; Mihic-Probst, D. Eight autopsy cases of melanoma brain metastases showing angiotropism and pericytic mimicry. Implications for extravascular migratory metastasis. J. Cutan. Pathol. 2019, 46, 570–578. [Google Scholar] [CrossRef]
- Yoo, H.; Kim, Y.Z.; Nam, B.H.; Shin, S.H.; Yang, H.S.; Lee, J.S.; Zo, J.I.; Lee, S.H. Reduced local recurrence of a single brain metastasis through microscopic total resection. J. Neurosurg. 2009, 110, 730–736. [Google Scholar] [CrossRef]




| n | % | ||
|---|---|---|---|
| Number of patients | 55 | (100) | |
| Gender | male:female | 1:1.04 | |
| Age | median (range) | 62 years (27–82) | |
| GPA class | 1 | 2 | (4) |
| 2 | 8 | (15) | |
| 3 | 35 | (64) | |
| 4 | 10 | (18) | |
| Number of BM per patient | |||
| single | 31 | (56) | |
| multiple | 24 | (44) | |
| Extracranial metastases | |||
| yes | 31 | (56) | |
| no | 24 | (44) | |
| Primary tumor | |||
| lung cancer | 23 | (42) | |
| NSCLC | 22 | (96) | |
| SCLC | 1 | (4) | |
| melanoma | 8 | (14) | |
| breast cancer | 7 | (13) | |
| luminal | 2 | (29) | |
| Her2 | 2 | (29) | |
| triple negative | 2 | (29) | |
| unknown | 1 | (13) | |
| colorectal | 5 | (9) | |
| renal cell cancer | 3 | (5) | |
| ovarian cancer | 1 | (2) | |
| cervical cancer | 1 | (2) | |
| gastric cancer | 1 | (2) | |
| testicular cancer | 1 | (2) | |
| urothelium cancer | 1 | (2) | |
| sarcoma | 1 | (2) | |
| cancer of unknown origin | 3 | (5) | |
| Treatment before BM resection | |||
| Chemotherapy | |||
| yes | 33 | (60) | |
| no | 21 | (38) | |
| n.d. | 1 | (2) | |
| Previous local treatment of BM | |||
| No previous local therapy | 45 | (82) | |
| Primary resection only | 1 | (2) | |
| Surgery + local radiation therapy | 4 | (7) | |
| SRS | 1 | (2) | |
| WBRT | 1 | (2) | |
| WBRT + local radiation therapy | 2 | (4) | |
| n.d. | 1 | (2) | |
| Postoperative KPS | median (range) | 80 (30–100) | |
| n | % | |
|---|---|---|
| Number of resected BM | 58 | (100) |
| Primary resection of BM | ||
| yes | 53 | (91) |
| no | 5 | (9) |
| Tumor volume | ||
| median (range) | 13.7 cm3 (0.4–60.5) | |
| Localization | ||
| frontal | 16 | (28) |
| cerebellar | 13 | (22) |
| parietal | 13 | (22) |
| temporal | 7 | (12) |
| occipital | 7 | (12) |
| central | 2 | (3) |
| CE pattern on MRI | ||
| heterogeneous | 27 | (47) |
| cystic | 25 | (43) |
| solid | 6 | (10) |
| Volume of edema | ||
| median (range) | 45.2 cm3 | (3.9–211) |
| 5-ALA fluorescence in BM | ||
| visible fluorescence | 36 | (62) |
| vague | 22 | (61) |
| strong | 14 | (39) |
| no fluorescence | 22 | (38) |
| 5-ALA homogeneity | ||
| heterogeneous | 33 | (92) |
| homogeneous | 3 | (8) |
| 5-ALA fluorescence in peritumoral brain tissue | ||
| positive | 44 | (76) |
| negative | 14 | (24) |
| Peritumoral brain tissue—characteristics of tissue samples | ||
| Number of samples | 88 | (100) |
| 5-ALA fluorescence status | ||
| positive | 61 | (69) |
| negative | 27 | (31) |
| Tumor cell infiltration | ||
| present | 19 | (22) |
| diffuse single cell infiltration | 14 | (74) |
| vascular co-option | 5 | (26) |
| absent | 69 | (78) |
| Angiogenesis | ||
| present | 13 | (15) |
| absent | 75 | (85) |
Publisher’s Note: MDPI stays neutral with regard to jurisdictional claims in published maps and institutional affiliations. |
© 2021 by the authors. Licensee MDPI, Basel, Switzerland. This article is an open access article distributed under the terms and conditions of the Creative Commons Attribution (CC BY) license (http://creativecommons.org/licenses/by/4.0/).
Share and Cite
Mercea, P.A.; Mischkulnig, M.; Kiesel, B.; Wadiura, L.I.; Roetzer, T.; Prihoda, R.; Heicappell, P.; Kreminger, J.; Furtner, J.; Woehrer, A.; et al. Prognostic Value of 5-ALA Fluorescence, Tumor Cell Infiltration and Angiogenesis in the Peritumoral Brain Tissue of Brain Metastases. Cancers 2021, 13, 603. https://doi.org/10.3390/cancers13040603
Mercea PA, Mischkulnig M, Kiesel B, Wadiura LI, Roetzer T, Prihoda R, Heicappell P, Kreminger J, Furtner J, Woehrer A, et al. Prognostic Value of 5-ALA Fluorescence, Tumor Cell Infiltration and Angiogenesis in the Peritumoral Brain Tissue of Brain Metastases. Cancers. 2021; 13(4):603. https://doi.org/10.3390/cancers13040603
Chicago/Turabian StyleMercea, Petra A., Mario Mischkulnig, Barbara Kiesel, Lisa I. Wadiura, Thomas Roetzer, Romana Prihoda, Patricia Heicappell, Judith Kreminger, Julia Furtner, Adelheid Woehrer, and et al. 2021. "Prognostic Value of 5-ALA Fluorescence, Tumor Cell Infiltration and Angiogenesis in the Peritumoral Brain Tissue of Brain Metastases" Cancers 13, no. 4: 603. https://doi.org/10.3390/cancers13040603
APA StyleMercea, P. A., Mischkulnig, M., Kiesel, B., Wadiura, L. I., Roetzer, T., Prihoda, R., Heicappell, P., Kreminger, J., Furtner, J., Woehrer, A., Preusser, M., Roessler, K., Berghoff, A. S., & Widhalm, G. (2021). Prognostic Value of 5-ALA Fluorescence, Tumor Cell Infiltration and Angiogenesis in the Peritumoral Brain Tissue of Brain Metastases. Cancers, 13(4), 603. https://doi.org/10.3390/cancers13040603

