Disruption of Her2-Induced PD-L1 Inhibits Tumor Cell Immune Evasion in Patient-Derived Gastric Cancer Organoids
Abstract
:Simple Summary
Abstract
1. Introduction
2. Materials and Methods
2.1. Selection of the Patient Population for the Study
2.2. Generation of Human Resected Tumor Derived Organoids
2.3. Generation of PBMCs (Peripheral Blood Mononuclear Cells) from Human Blood
2.4. Isolation and Culture of Human Immune Cells
2.4.1. Dendritic Cells (DCs)
2.4.2. Cytotoxic T Lymphocytes (CTLs)
2.4.3. Myeloid-Derived Suppressor Cells (MDSCs)
2.5. Establishment of Organoids and Immune Cells in Co-Culture
2.6. Orthotopic Transplantation of Gastric Organoids
2.7. Knocking down of ERBB2 (HER2) Expression in Gastric Tumor-Derived Organoids
2.8. Immunofluorescent Staining of Whole-Mount Organoids
2.9. Immunohistochemistry
2.10. Flow Cytometryic Analysis
2.11. Western Blot Analysis of huTGOs
2.12. Establishment of an HER2 Knockdown (KD) Gastric Tumor Spheroid and Immune Cell Co-Cultures Using AggreWell™ Microwell Plates
2.13. Morphology-Driven High-Plex Digital Spatial Analysis (DSP) of Tissue Microarrays (TMAs) to Study Gastric Cancer Tissue Microenvironments
2.14. Statistical Analysis
3. Results
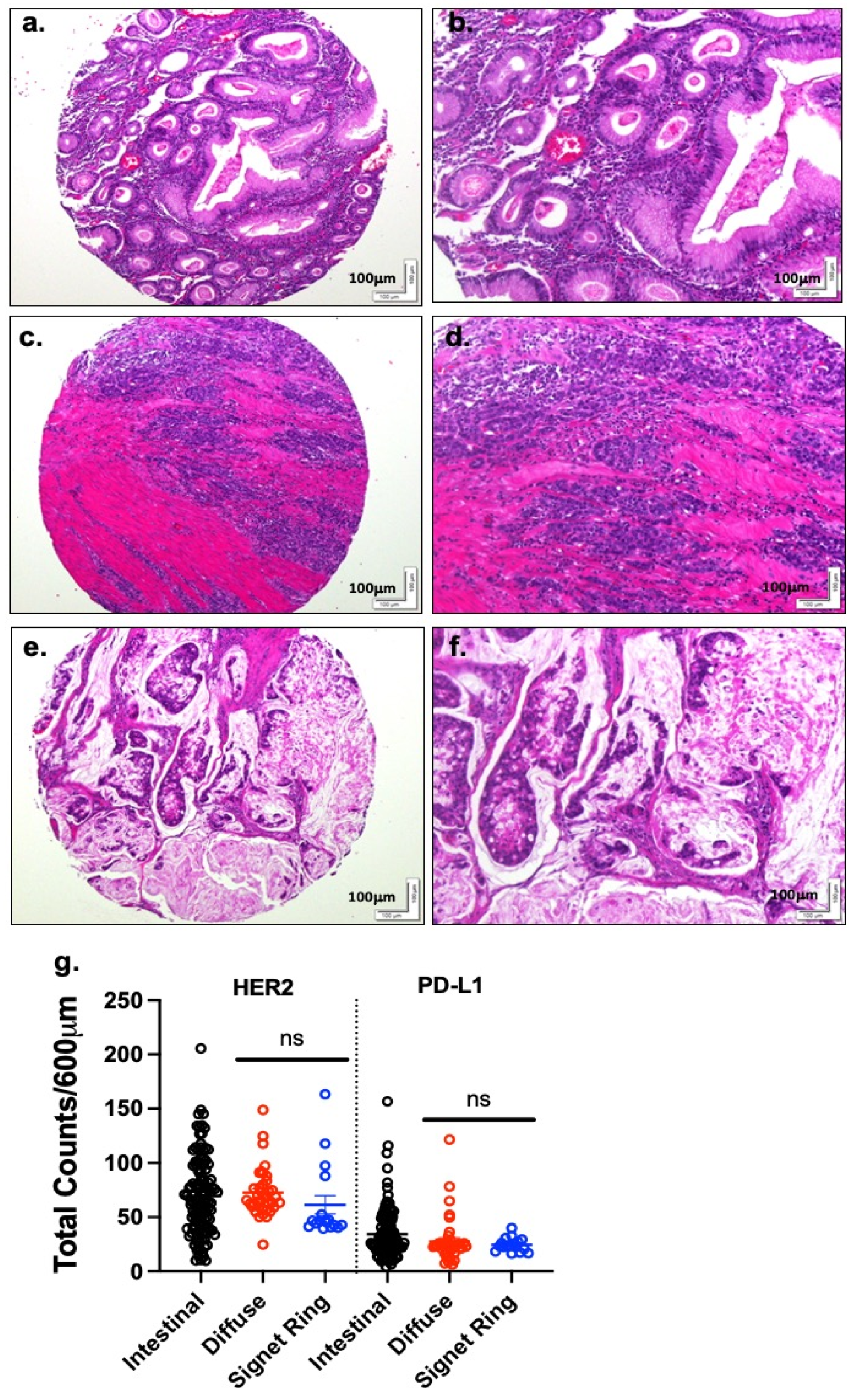
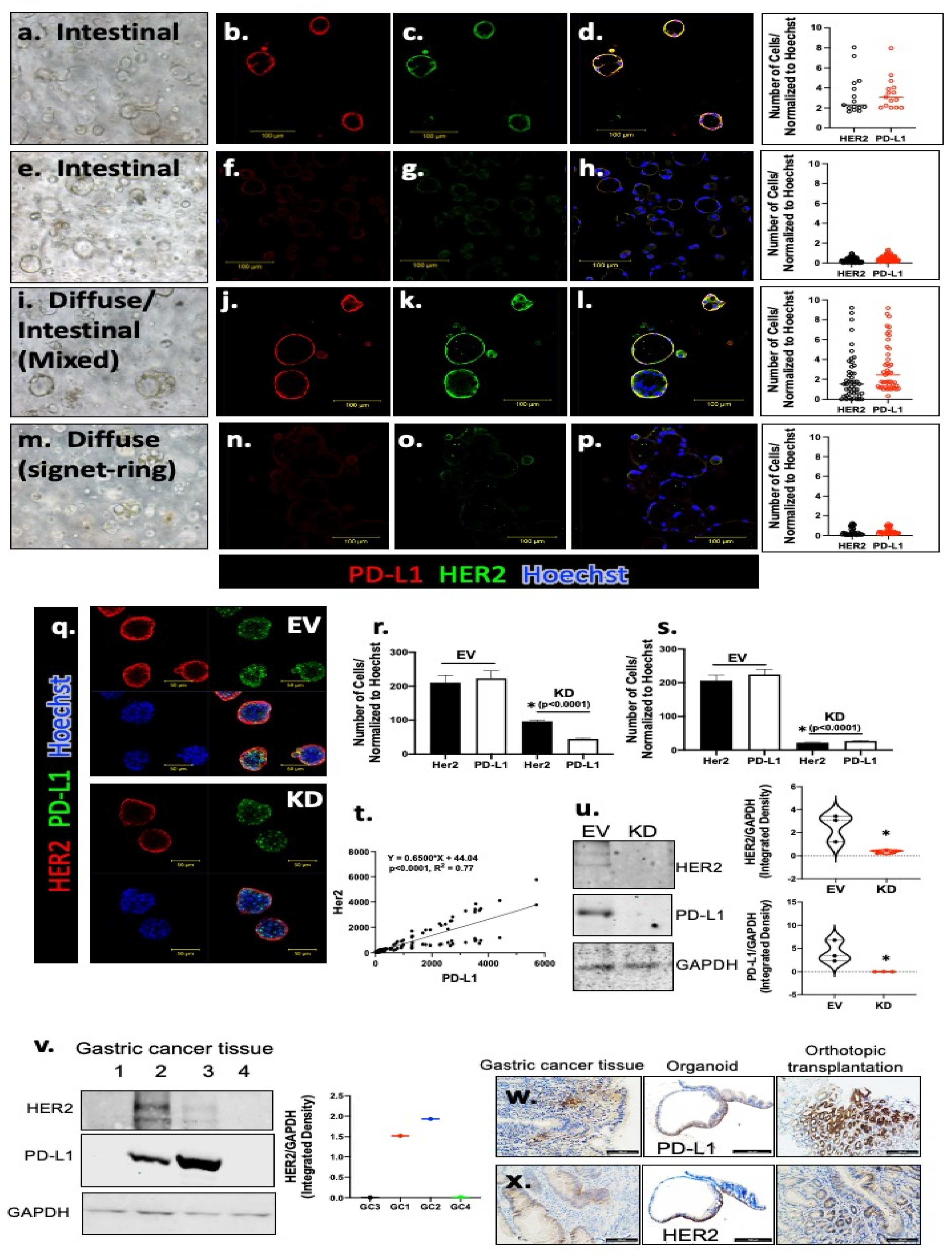
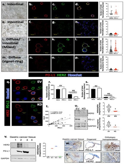
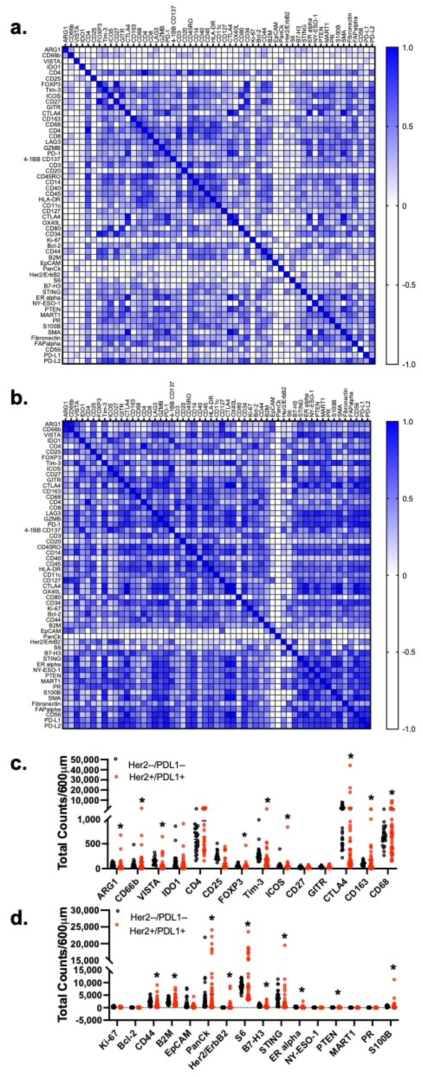
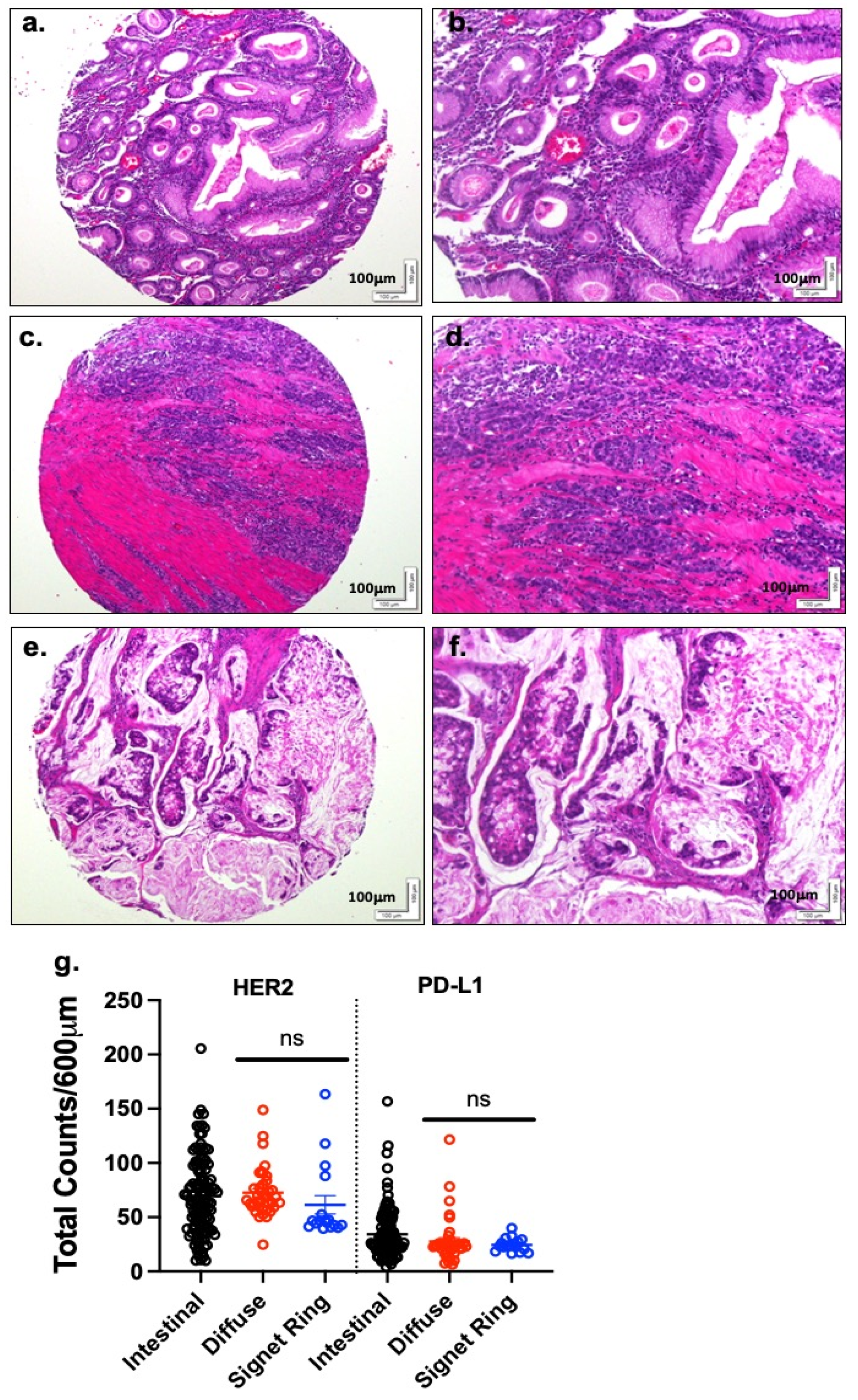
3.1. HER2 Was Significantly Expressed in the Intestinal Subtype of Gastric Cancer and Correlated with a Higher Expression of PD-L1 in the Commercial Gastric Cancer TMAs
3.2. Disruption of HER2 Signaling Drives Cancer Cell Death in Patient-Derived Gastric Cancer Organoid/Immune Cell Co-Cultures, Regardless of the Gastric Cancer Subtypes
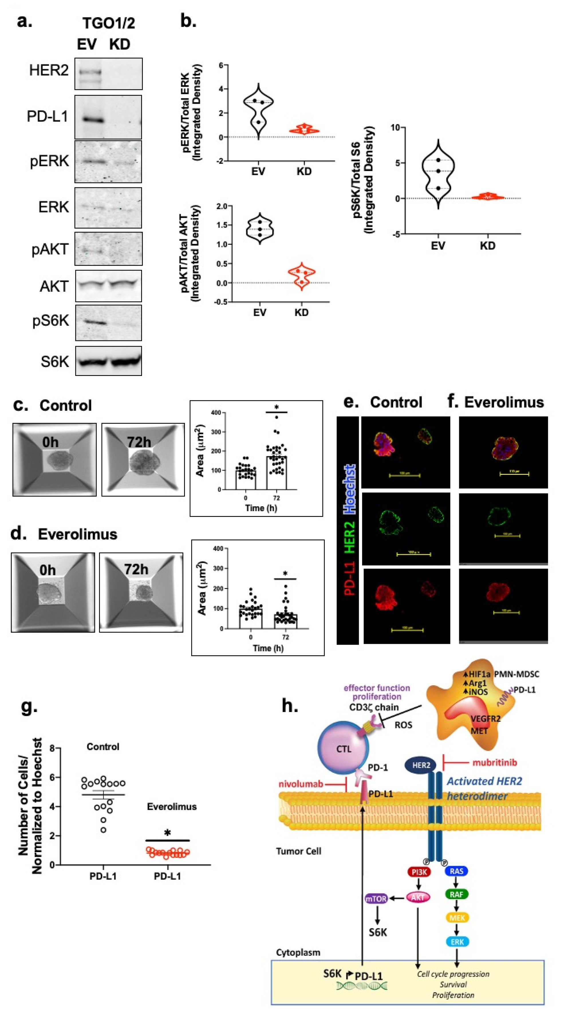
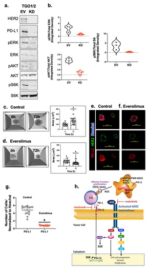
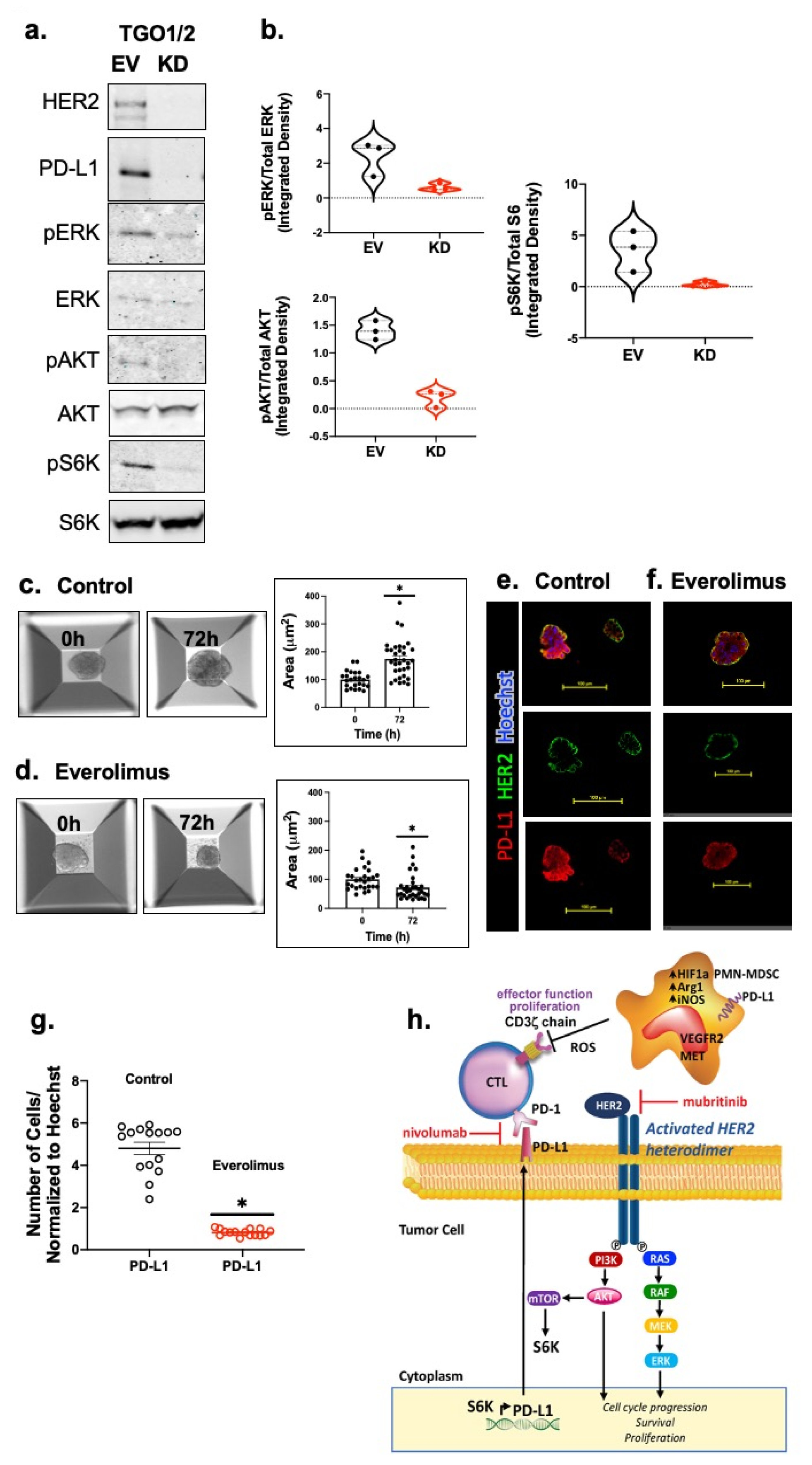
3.3. Knockdown of HER2 Disrupts AKT/mTOR Signaling and Correlates with a Loss of PD-L1 Expression
3.4. Knockdown of HER2 Sensitizes Patient-Derived huTGOs to PD-1/PD-L1 Checkpoint Inhibition
3.5. Knockdown of HER2 Results in the Loss of AKT-mTOR Signaling as Well as a Decrease in PD-L1 Expression in Patient-Derived Gastric Cancer Organoids
4. Discussion
5. Conclusions
Supplementary Materials
Author Contributions
Funding
Institutional Review Board Statement
Data Availability Statement
Acknowledgments
Conflicts of Interest
Abbreviations
| CFSE | Carboxyfluorescein succinimidyl ester |
| CTL | Cytotoxic T- Lymphocyte |
| DC | Dendritic Cell |
| DMEM/F12 | Dulbecco’s Modified Eagle Medium/Nutrient Mixture F-12 |
| DPBS | Dulbecco’s Phosphate-Buffered Saline |
| DSP | Digital Spatial Profiling |
| EV | Empty Vector |
| FCS | Fetal Bovine Serum |
| FGF-10 | Fibroblast Growth Factor 10 |
| GMCSF | Granulocyte-Macrophage Colony Stimulating Factor |
| HBSS | Hank’s Balanced Salt Solution |
| HER2 | Human epidermal growth factor receptor 2 |
| huTGO | Human gastric tumor-derived organoids |
| IDO-1 | Indoleamine 2,3-Dioxygenase 1 |
| KD | Knock Down |
| MDSC | Myeloid-Derived Suppressor Cell |
| NAF | Nuclear area factor |
| NSG | NOD Scid Gamma |
| PD-1 | Program Death 1 |
| PD-l1 | Program Death Ligand 1 |
| PMN-MDSC | Polymorphonuclear MDSC |
| ROI | Region of Interest |
| ROS | Reactive Oxygen Species |
| SMA | Smooth Muscle Actin |
| TAM | Tumor-associated macrophages |
| TGFβ | Transforming Growth Factor beta |
| TMA | Tissue microarrays |
| TME | Tumor Microenvironment |
| Treg | Regulatory T cell |
| VEGF | Vascular Endothelial Growth Factor |
| VISTA | V-domain Ig Suppressor of T Cell Activation |
References
- Ferlay, J.; Soerjomataram, I.; Dikshit, R.; Eser, S.; Mathers, C.; Rebelo, M.; Parkin, D.M.; Forman, D.; Bray, F. Cancer incidence and mortality worldwide: Sources, methods and major patterns in GLOBOCAN 2012. Int. J. Cancer 2015, 136, E359–E386. [Google Scholar] [CrossRef]
- Smyth, E.C.; Nilsson, M.; Grabsch, H.I.; van Grieken, N.C.; Lordick, F. Gastric cancer. Lancet 2020, 396, 635–648. [Google Scholar] [CrossRef]
- Piazuelo, M.B.; Epplein, M.; Correa, P. Gastric cancer: An infectious disease. Infect. Dis. Clin. North Am. 2010, 24, 853–869. [Google Scholar] [CrossRef] [PubMed] [Green Version]
- Siegel, R.; Naishadham, D.; Jemal, A. Cancer statistics, 2013. CA Cancer J. Clin. 2013, 63, 11–30. [Google Scholar] [CrossRef] [PubMed] [Green Version]
- Ahmadzadeh, M.; Johnson, L.A.; Heemskerk, B.; Wunderlich, J.R.; Dudley, M.E.; White, D.E.; Rosenberg, S.A. Tumor antigen-specific CD8 T cells infiltrating the tumor express high levels of PD-1 and are functionally impaired. Blood 2009, 114, 1537–1544. [Google Scholar] [CrossRef]
- Chen, X.; Fosco, D.; Kline, D.E.; Meng, L.; Nishi, S.; Savage, P.A.; Kline, J. PD-1 regulates extrathymic regulatory T-cell differentiation. Eur. J. Immunol. 2014, 44, 2603–2616. [Google Scholar] [CrossRef] [PubMed] [Green Version]
- Reissfelder, C.; Stamova, S.; Gossmann, C.; Braun, M.; Bonertz, A.; Walliczek, U.; Grimm, M.; Rahbari, N.N.; Koch, M.; Saadati, M.; et al. Tumor-specific cytotoxic T lymphocyte activity determines colorectal cancer patient prognosis. J. Clin. Invest. 2015, 125, 739–751. [Google Scholar] [CrossRef] [PubMed]
- Hamid, O.; Carvajal, R.D. Anti-programmed death-1 and anti-programmed death-ligand 1 antibodies in cancer therapy. Expert Opin. Biol. Ther. 2013, 13, 847–861. [Google Scholar] [CrossRef]
- Hamid, O.; Robert, C.; Daud, A.; Hodi, F.S.; Hwu, W.J.; Kefford, R.; Wolchok, J.D.; Hersey, P.; Joseph, R.W.; Weber, J.S.; et al. Safety and tumor responses with lambrolizumab (anti-PD-1) in melanoma. N. Engl. J. Med. 2013, 369, 134–144. [Google Scholar] [CrossRef] [PubMed] [Green Version]
- Iwai, Y.; Ishida, M.; Tanaka, Y.; Okazaki, T.; Honjo, T.; Minato, N. Involvement of PD-L1 on tumor cells in the escape from host immune system and tumor immunotherapy by PD-L1 blockade. Proc. Natl. Acad. Sci. USA 2002, 99, 12293–12297. [Google Scholar] [CrossRef] [PubMed] [Green Version]
- Topalian, S.L.; Drake, C.G.; Pardoll, D.M. Targeting the PD-1/B7-H1(PD-L1) pathway to activate anti-tumor immunity. Curr. Opin. Immunol. 2012, 24, 207–212. [Google Scholar] [CrossRef] [Green Version]
- Muro, K.; Van Cutsem, E.; Narita, Y.; Pentheroudakis, G.; Baba, E.; Li, J.; Ryu, M.H.; Zamaniah, W.I.W.; Yong, W.P.; Yeh, K.H.; et al. Pan-Asian adapted ESMO Clinical Practice Guidelines for the management of patients with metastatic gastric cancer: A JSMO-ESMO initiative endorsed by CSCO, KSMO, MOS, SSO and TOS. Ann. Oncol. 2019, 30, 19–33. [Google Scholar] [CrossRef]
- Subhash, V.V.; Yeo, M.S.; Tan, W.L.; Yong, W.P. Strategies and Advancements in Harnessing the Immune System for Gastric Cancer Immunotherapy. J. Immunol. Res. 2015, 2015, 308574. [Google Scholar] [CrossRef] [PubMed] [Green Version]
- Muro, K.; Chung, H.C.; Shankaran, V.; Geva, R.; Catenacci, D.; Gupta, S.; Eder, J.P.; Golan, T.; Le, D.T.; Burtness, B.; et al. Pembrolizumab for patients with PD-L1-positive advanced gastric cancer (KEYNOTE-012): A multicentre, open-label, phase 1b trial. Lancet Oncol. 2016, 17, 717–726. [Google Scholar] [CrossRef]
- Boger, C.; Behrens, H.M.; Mathiak, M.; Kruger, S.; Kalthoff, H.; Rocken, C. PD-L1 is an independent prognostic predictor in gastric cancer of Western patients. Oncotarget 2016, 7, 24269–24283. [Google Scholar] [CrossRef] [PubMed] [Green Version]
- Fuchs, C.S.; Doi, T.; Jang, R.W.; Muro, K.; Satoh, T.; Machado, M.; Sun, W.; Jalal, S.I.; Shah, M.A.; Metges, J.P.; et al. Safety and Efficacy of Pembrolizumab Monotherapy in Patients with Previously Treated Advanced Gastric and Gastroesophageal Junction Cancer: Phase 2 Clinical KEYNOTE-059 Trial. JAMA Oncol. 2018, 4, e180013. [Google Scholar] [CrossRef] [PubMed]
- Kang, Y.K.; Boku, N.; Satoh, T.; Ryu, M.H.; Chao, Y.; Kato, K.; Chung, H.C.; Chen, J.S.; Muro, K.; Kang, W.K.; et al. Nivolumab in patients with advanced gastric or gastro-oesophageal junction cancer refractory to, or intolerant of, at least two previous chemotherapy regimens (ONO-4538-12, ATTRACTION-2): A randomised, double-blind, placebo-controlled, phase 3 trial. Lancet 2017, 390, 2461–2471. [Google Scholar] [CrossRef]
- Slamon, D.J.; Clark, G.M.; Wong, S.G.; Levin, W.J.; Ullrich, A.; McGuire, W.L. Human breast cancer: Correlation of relapse and survival with amplification of the HER-2/neu oncogene. Science 1987, 235, 177–182. [Google Scholar] [CrossRef] [Green Version]
- Ricci, A.D.; Rizzo, A.; Rojas Llimpe, F.L.; Di Fabio, F.; De Biase, D.; Rihawi, K. Novel HER2-Directed Treatments in Advanced Gastric Carcinoma: AnotHER Paradigm Shift? Cancers 2021, 13, 1664. [Google Scholar] [CrossRef] [PubMed]
- Bang, Y.J.; Van Cutsem, E.; Feyereislova, A.; Chung, H.C.; Shen, L.; Sawaki, A.; Lordick, F.; Ohtsu, A.; Omuro, Y.; Satoh, T.; et al. Trastuzumab in combination with chemotherapy versus chemotherapy alone for treatment of HER2-positive advanced gastric or gastro-oesophageal junction cancer (ToGA): A phase 3, open-label, randomised controlled trial. Lancet 2010, 376, 687–697. [Google Scholar] [CrossRef]
- Abrahao-Machado, L.F.; Jacome, A.A.; Wohnrath, D.R.; dos Santos, J.S.; Carneseca, E.C.; Fregnani, J.H.; Scapulatempo-Neto, C. HER2 in gastric cancer: Comparative analysis of three different antibodies using whole-tissue sections and tissue microarrays. World J. Gastroenterol. 2013, 19, 6438–6446. [Google Scholar] [CrossRef]
- Hudis, C.A. Trastuzumab—Mechanism of action and use in clinical practice. N. Engl. J. Med. 2007, 357, 39–51. [Google Scholar] [CrossRef] [Green Version]
- Chaganty, B.K.R.; Qiu, S.; Gest, A.; Lu, Y.; Ivan, C.; Calin, G.A.; Weiner, L.M.; Fan, Z. Trastuzumab upregulates PD-L1 as a potential mechanism of trastuzumab resistance through engagement of immune effector cells and stimulation of IFNgamma secretion. Cancer Lett. 2018, 430, 47–56. [Google Scholar] [CrossRef]
- Foy, S.P.; Sennino, B.; dela Cruz, T.; Cote, J.J.; Gordon, E.J.; Kemp, F.; Xavier, V.; Franzusoff, A.; Rountree, R.B.; Mandl, S.J. Poxvirus-Based Active Immunotherapy with PD-1 and LAG-3 Dual Immune Checkpoint Inhibition Overcomes Compensatory Immune Regulation, Yielding Complete Tumor Regression in Mice. PLoS ONE 2016, 11, e0150084. [Google Scholar] [CrossRef] [PubMed]
- Stagg, J.; Loi, S.; Divisekera, U.; Ngiow, S.F.; Duret, H.; Yagita, H.; Teng, M.W.; Smyth, M.J. Anti-ErbB-2 mAb therapy requires type I and II interferons and synergizes with anti-PD-1 or anti-CD137 mAb therapy. Proc. Natl. Acad. Sci. USA 2011, 108, 7142–7147. [Google Scholar] [CrossRef] [PubMed] [Green Version]
- Ahmad, S.A.; Xia, B.T.; Bailey, C.E.; Abbott, D.E.; Helmink, B.A.; Daly, M.C.; Thota, R.; Schlegal, C.; Winer, L.K.; Ahmad, S.A.; et al. An update on gastric cancer. Curr. Probl. Surg. 2016, 53, 449–490. [Google Scholar] [CrossRef]
- Bertaux-Skeirik, N.; Feng, R.; Schumacher, M.A.; Li, J.; Mahe, M.M.; Engevik, A.C.; Javier, J.E.; Peek, R.M.J.; Ottemann, K.; Orian-Rousseau, V.; et al. CD44 plays a functional role in Helicobacter pylori-induced epithelial cell proliferation. PLoS Pathog. 2015, 11, e1004663. [Google Scholar] [CrossRef] [PubMed] [Green Version]
- Engevik, A.C.; Feng, R.; Choi, E.; White, S.; Bertaux-Skeirik, N.; Li, J.; Mahe, M.M.; Aihara, E.; Yang, L.; DiPasquale, B.; et al. The Development of Spasmolytic Polypeptide/TFF2-Expressing Metaplasia (SPEM) During Gastric Repair Is Absent in the Aged Stomach. Cell Mol. Gastroenterol. Hepatol. 2016, 2, 605–624. [Google Scholar] [CrossRef] [PubMed] [Green Version]
- Steele, N.G.; Chakrabarti, J.; Wang, J.; Biesiada, J.; Holokai, L.; Chang, J.; Nowacki, L.M.; Hawkins, J.; Mahe, M.; Sundaram, N.; et al. An Organoid-Based Preclinical Model of Human Gastric Cancer. Cell Mol. Gastroenterol. Hepatol. 2019, 7, 161–184. [Google Scholar] [CrossRef] [PubMed] [Green Version]
- Koh, V.; Chakrabarti, J.; Torvund, M.; Steele, N.; Hawkins, J.A.; Ito, Y.; Wang, J.; Helmrath, M.A.; Merchant, J.L.; Ahmed, S.A.; et al. Hedgehog transcriptional effector GLI mediates mTOR-Induced PD-L1 expression in gastric cancer organoids. Cancer Lett. 2021, 518, 59–71. [Google Scholar] [CrossRef] [PubMed]
- Nair, S.; Archer, G.E.; Tedder, T.F. Isolation and generation of human dendritic cells. Curr. Protoc. Immunol. 2012, 99, 7.32.1–7.32.23. [Google Scholar] [CrossRef] [PubMed]
- Lechner, M.G.; Liebertz, D.J.; Epstein, A.L. Characterization of cytokine-induced myeloid-derived suppressor cells from normal human peripheral blood mononuclear cells. J. Immunol. 2010, 185, 2273–2284. [Google Scholar] [CrossRef] [PubMed]
- Chakrabarti, J.; Holokai, L.; Syu, L.; Steele, N.; Chang, J.; Dlugosz, A.; Zavros, Y. Mouse-Derived Gastric Organoid and Immune Cell Co-culture for the Study of the Tumor Microenvironment. Methods Mol. Biol. 2018, 1817, 157–168. [Google Scholar] [CrossRef]
- Toki, M.I.; Merritt, C.R.; Wong, P.F.; Smithy, J.W.; Kluger, H.M.; Syrigos, K.N.; Ong, G.T.; Warren, S.E.; Beechem, J.M.; Rimm, D.L. High-Plex Predictive Marker Discovery for Melanoma Immunotherapy-Treated Patients Using Digital Spatial Profiling. Clin. Cancer Res. 2019, 25, 5503–5512. [Google Scholar] [CrossRef] [PubMed]
- Saeki, H.; Oki, E.; Kashiwada, T.; Arigami, T.; Makiyama, A.; Iwatsuki, M.; Narita, Y.; Satake, H.; Matsuda, Y.; Sonoda, H.; et al. Re-evaluation of HER2 status in patients with HER2-positive advanced or recurrent gastric cancer refractory to trastuzumab (KSCC1604). Eur. J. Cancer 2018, 105, 41–49. [Google Scholar] [CrossRef] [PubMed]
- Suh, K.J.; Sung, J.H.; Kim, J.W.; Han, S.H.; Lee, H.S.; Min, A.; Kang, M.H.; Kim, J.E.; Kim, J.W.; Kim, S.H.; et al. EGFR or HER2 inhibition modulates the tumor microenvironment by suppression of PD-L1 and cytokines release. Oncotarget 2017, 8, 63901–63910. [Google Scholar] [CrossRef] [PubMed] [Green Version]
- Angell, H.K.; Lee, J.; Kim, K.M.; Kim, K.; Kim, S.T.; Park, S.H.; Kang, W.K.; Sharpe, A.; Ogden, J.; Davenport, A.; et al. PD-L1 and immune infiltrates are differentially expressed in distinct subgroups of gastric cancer. Oncoimmunology 2019, 8, e1544442. [Google Scholar] [CrossRef] [Green Version]
- Beer, A.; Taghizadeh, H.; Schiefer, A.I.; Puhr, H.C.; Karner, A.K.; Jomrich, G.; Schoppmann, S.F.; Kain, R.; Preusser, M.; Ilhan-Mutlu, A. PD-L1 and HER2 Expression in Gastroesophageal Cancer: A Matched Case Control Study. Pathol. Oncol. Res. 2020, 26, 2225–2235. [Google Scholar] [CrossRef] [PubMed]
- Subasinghe, D.; Acott, N.; Kumarasinghe, M.P. A survival guide to HER2 testing in gastric/gastroesophageal junction carcinoma. Gastrointest. Endosc. 2019, 90, 44–54. [Google Scholar] [CrossRef]
- Wang, Y.K.; Wang, S.N.; Li, Y.Y.; Wang, G.P.; Yun, T.; Zhu, C.Y.; Yang, B.F.; Li, C.Y.; Jiang, B.; Zhu, M.L. Methods and significance of the combined detection of HER2 gene amplification and chemosensitivity in gastric cancer. Cancer Biomark. 2018, 21, 439–447. [Google Scholar] [CrossRef]
- Yun, T.; Wang, S.; Jiang, B.; Wang, C.; Meng, N.; Yuan, X.; Wang, Y. Significance of Detection of the HER2 Gene and PD-1/PD-L1 in Gastric Cancer. J. Oncol. 2020, 2020, 8678945. [Google Scholar] [CrossRef] [PubMed]
- Oki, E.; Okano, S.; Saeki, H.; Umemoto, Y.; Teraishi, K.; Nakaji, Y.; Ando, K.; Zaitsu, Y.; Yamashita, N.; Sugiyama, M.; et al. Protein Expression of Programmed Death 1 Ligand 1 and HER2 in Gastric Carcinoma. Oncology 2017, 93, 387–394. [Google Scholar] [CrossRef] [PubMed]
- Kai, K.; Yoda, Y.; Kawaguchi, A.; Minesaki, A.; Iwasaki, H.; Aishima, S.; Noshiro, H. Formalin fixation on HER-2 and PD-L1 expression in gastric cancer: A pilot analysis using the same surgical specimens with different fixation times. World J. Clin. Cases 2019, 7, 419–430. [Google Scholar] [CrossRef] [PubMed]
- Ding, L.; Hayes, M.M.; Photenhauer, A.; Eaton, K.A.; Li, Q.; Ocadiz-Ruiz, R.; Merchant, J.L. Schlafen 4-expressing myeloid-derived suppressor cells are induced during murine gastric metaplasia. J. Clin. Invest. 2016, 126, 2867–2880. [Google Scholar] [CrossRef]
- Ding, L.; Li, Q.; Chakrabarti, J.; Munoz, A.; Faure-Kumar, E.; Ocadiz-Ruiz, R.; Razumilava, N.; Zhang, G.; Hayes, M.H.; Sontz, R.A.; et al. MiR130b from Schlafen4(+) MDSCs stimulates epithelial proliferation and correlates with preneoplastic changes prior to gastric cancer. Gut 2020, 69, 1750–1761. [Google Scholar] [CrossRef] [Green Version]
- Schouppe, E.; Van Overmeire, E.; Laoui, D.; Keirsse, J.; Van Ginderachter, J.A. Modulation of CD8+ T-cell activation events by monocytic and granulocytic myeloid-derived suppressor cells. Immunobiology 2013, 218, 1385–1391. [Google Scholar] [CrossRef]
- Zhang, Y.; Velez-Delgado, A.; Mathew, E.; Li, D.; Mendez, F.M.; Flannagan, K.; Rhim, A.D.; Simeone, D.M.; Beatty, G.L.; Pasca di Magliano, M. Myeloid cells are required for PD-1/PD-L1 checkpoint activation and the establishment of an immunosuppressive environment in pancreatic cancer. Gut 2017, 66, 124–136. [Google Scholar] [CrossRef] [Green Version]
- Steelman, L.S.; Chappell, W.H.; Abrams, S.L.; Kempf, R.C.; Long, J.; Laidler, P.; Mijatovic, S.; Maksimovic-Ivanic, D.; Stivala, F.; Mazzarino, M.C.; et al. Roles of the Raf/MEK/ERK and PI3K/PTEN/Akt/mTOR pathways in controlling growth and sensitivity to therapy-implications for cancer and aging. Aging 2011, 3, 192–222. [Google Scholar] [CrossRef] [Green Version]
- Okita, R.; Maeda, A.; Shimizu, K.; Nojima, Y.; Saisho, S.; Nakata, M. PD-L1 overexpression is partially regulated by EGFR/HER2 signaling and associated with poor prognosis in patients with non-small-cell lung cancer. Cancer Immunol. Immunother. 2017, 66, 865–876. [Google Scholar] [CrossRef]
- Onishi, H.; Fujimura, A.; Oyama, Y.; Yamasaki, A.; Imaizumi, A.; Kawamoto, M.; Katano, M.; Umebayashi, M.; Morisaki, T. Hedgehog signaling regulates PDL-1 expression in cancer cells to induce anti-tumor activity by activated lymphocytes. Cell Immunol. 2016, 310, 199–204. [Google Scholar] [CrossRef]
- Grullich, C. Cabozantinib: A MET, RET, and VEGFR2 tyrosine kinase inhibitor. Recent Results Cancer Res. 2014, 201, 207–214. [Google Scholar] [CrossRef] [PubMed]
- Moasser, M.M. The oncogene HER2: Its signaling and transforming functions and its role in human cancer pathogenesis. Oncogene 2007, 26, 6469–6487. [Google Scholar] [CrossRef] [PubMed] [Green Version]
- Roy, S.; Narang, B.K.; Rastogi, S.K.; Rawal, R.K. A novel multiple tyrosine-kinase targeted agent to explore the future perspectives of anti-angiogenic therapy for the treatment of multiple solid tumors: Cabozantinib. Anticancer Agents Med. Chem. 2015, 15, 37–47. [Google Scholar] [CrossRef] [PubMed]
- Mishra, R.; Hanker, A.B.; Garrett, J.T. Genomic alterations of ERBB receptors in cancer: Clinical implications. Oncotarget 2017, 8, 114371–114392. [Google Scholar] [CrossRef] [PubMed] [Green Version]
- Chua, T.C.; Merrett, N.D. Clinicopathologic factors associated with HER2-positive gastric cancer and its impact on survival outcomes—A systematic review. Int. J. Cancer 2012, 130, 2845–2856. [Google Scholar] [CrossRef]
- Pereira, M.A.; Ramos, M.; Dias, A.R.; Faraj, S.F.; Ribeiro, R.R.E.; de Castria, T.B.; Zilberstein, B.; Alves, V.A.F.; Ribeiro, U., Jr.; de Mello, E.S. Expression Profile of Markers for Targeted Therapy in Gastric Cancer Patients: HER-2, Microsatellite Instability and PD-L1. Mol. Diagn. Ther. 2019, 23, 761–771. [Google Scholar] [CrossRef] [PubMed]
- Mehta, R.; Shah, A.; Almhanna, K. Pembrolizumab for the treatment of patients with recurrent locally advanced or metastatic gastric or gastroesophageal junction cancer: An evidence-based review of place in therapy. OncoTargets Ther. 2018, 11, 6525–6537. [Google Scholar] [CrossRef] [PubMed] [Green Version]
- Catenacci, D.V.T.; Kang, Y.K.; Park, H.; Uronis, H.E.; Lee, K.W.; Ng, M.C.H.; Enzinger, P.C.; Park, S.H.; Gold, P.J.; Lacy, J.; et al. Margetuximab plus pembrolizumab in patients with previously treated, HER2-positive gastro-oesophageal adenocarcinoma (CP-MGAH22-05): A single-arm, phase 1b-2 trial. Lancet Oncol. 2020, 21, 1066–1076. [Google Scholar] [CrossRef]








| Patient ID | Sex | Age | Subtype | Histological Grade | Stage (TNM) | HER2 Expression | PD-L1 Expression |
|---|---|---|---|---|---|---|---|
| SC046 | F | 67 | Intestinal | Moderately to poorly differentiated | T3N0M0 | Positive | Positive |
| SC047 | M | 59 | Intestinal | Moderately differentiated | T3N3bMx | Positive | Positive |
| SC049 | M | 36 | Intestinal | Moderately differentiated | T4bN3b | Positive | Positive |
| SC052 | F | 66 | Diffuse | Poorly differentiated | T1bN0 | Positive | Positive |
| SC054 | F | 85 | Intestinal | Well differentiated | T3N2 | Positive | Positive |
| SC055 | M | 74 | Mixed | Moderately differentiated | T4aN3a | Positive | Positive |
| SC061 | M | 84 | Intestinal | Well differentiated | T1bN0 | Negative | Positive |
| huTGO1 | F | 65 | Mixed | Poorly differentiated | T3N1M1 | Positive | Positive |
| huTGO2 | F | 82 | Intestinal | Well differentiated | T1bN0M0 | Positive | Positive |
| huTGO4 | M | 56 | Diffuse | Poorly differentiated | T4N3M0 | Positive | Positive |
| huTGO5 | M | 75 | Intestinal | Moderately differentiated | T3N0M0 | Negative | Negative |
| Reagents | Final Concentration | Manufacturer |
|---|---|---|
| Advanced DMEM/F12 | Thermo Fisher Scientific Waltham, MA, USA | |
| Penicillin/Streptomycin | 1% | Thermo Fisher Scientific Waltham, MA, USA |
| Hepes | 10 mM | Thermo Fisher Scientific Waltham, MA, USA |
| Glutamax | 1× | Thermo Fisher Scientific Waltham, MA, USA |
| B27 | 1× | Thermo Fisher Scientific Waltham, MA, USA |
| N2 | 1× | Thermo Fisher Scientific Waltham, MA, USA |
| Nicotinamide | 10 mM | Sigma-Aldrich St. Louis, MI, USA |
| N-Acetyl cysteine | 1 mM | Sigma-Aldrich St. Louis, MI, USA |
| Y-27632 | 10 µM | Sigma-Aldrich St. Louis, MI, USA |
| Noggin | 100 ng/mL | Peprotech Cranbury, NJ, USA |
| FGF-10 | 200 ng/mL | Peprotech Cranbury, NJ, USA |
| EGF | 50 ng/mL | Peprotech Cranbury, NJ, USA |
| Gastrin 1 | 1 nM | TOCRIS Bioscience |
| Wnt Conditioned Medium | 50% | |
| R-Spondin Conditioned Medium | 10% |
Publisher’s Note: MDPI stays neutral with regard to jurisdictional claims in published maps and institutional affiliations. |
© 2021 by the authors. Licensee MDPI, Basel, Switzerland. This article is an open access article distributed under the terms and conditions of the Creative Commons Attribution (CC BY) license (https://creativecommons.org/licenses/by/4.0/).
Share and Cite
Chakrabarti, J.; Koh, V.; Steele, N.; Hawkins, J.; Ito, Y.; Merchant, J.L.; Wang, J.; Helmrath, M.A.; Ahmad, S.A.; So, J.B.Y.; et al. Disruption of Her2-Induced PD-L1 Inhibits Tumor Cell Immune Evasion in Patient-Derived Gastric Cancer Organoids. Cancers 2021, 13, 6158. https://doi.org/10.3390/cancers13246158
Chakrabarti J, Koh V, Steele N, Hawkins J, Ito Y, Merchant JL, Wang J, Helmrath MA, Ahmad SA, So JBY, et al. Disruption of Her2-Induced PD-L1 Inhibits Tumor Cell Immune Evasion in Patient-Derived Gastric Cancer Organoids. Cancers. 2021; 13(24):6158. https://doi.org/10.3390/cancers13246158
Chicago/Turabian StyleChakrabarti, Jayati, Vivien Koh, Nina Steele, Jennifer Hawkins, Yoshiaki Ito, Juanita L. Merchant, Jiang Wang, Michael A. Helmrath, Syed A Ahmad, Jimmy Bok Yan So, and et al. 2021. "Disruption of Her2-Induced PD-L1 Inhibits Tumor Cell Immune Evasion in Patient-Derived Gastric Cancer Organoids" Cancers 13, no. 24: 6158. https://doi.org/10.3390/cancers13246158
APA StyleChakrabarti, J., Koh, V., Steele, N., Hawkins, J., Ito, Y., Merchant, J. L., Wang, J., Helmrath, M. A., Ahmad, S. A., So, J. B. Y., Yong, W. P., & Zavros, Y. (2021). Disruption of Her2-Induced PD-L1 Inhibits Tumor Cell Immune Evasion in Patient-Derived Gastric Cancer Organoids. Cancers, 13(24), 6158. https://doi.org/10.3390/cancers13246158

