Evaluation of Hedgehog Pathway Inhibition on Nevoid Basal Cell Carcinoma Syndrome Fibroblasts and Basal Cell Carcinoma-Associated Fibroblasts: Are Vismodegib and Sonidegib Useful to Target Cancer-Prone Fibroblasts?
Abstract
Simple Summary
Abstract
1. Introduction
2. Materials and Methods
2.1. Isolation of Primary Fibroblastic Population from Human Tissue Skin
2.2. Nevoid Basal Cell Carcinoma Syndrome (NBCCS) Patients’ Genomic Characterization
2.3. MMT Assays
2.4. Flow Cytometry Analysis
2.5. Semi-Quantitative Real-Time Polymerase Chain Reaction (RT-PCR) and Gene Expression Array Cards Analysis
2.6. Western Blot Analysis
2.7. Immunofluorescence Analysis
2.8. Cytokines Protein Array
2.9. Quantification of Vismodegib and Sonidegib Uptake
2.10. Statistical Analysis
2.11. Ethics Statement
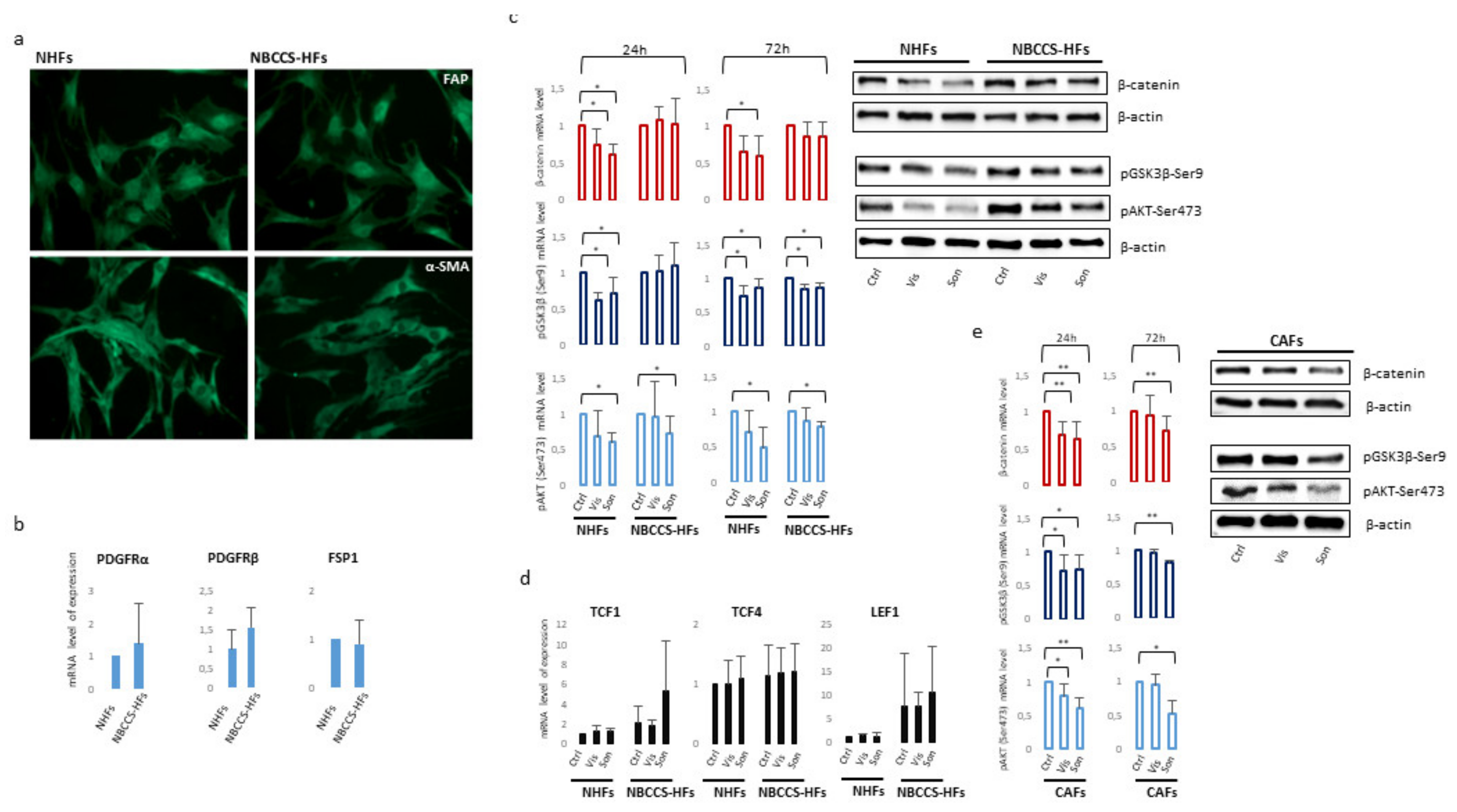
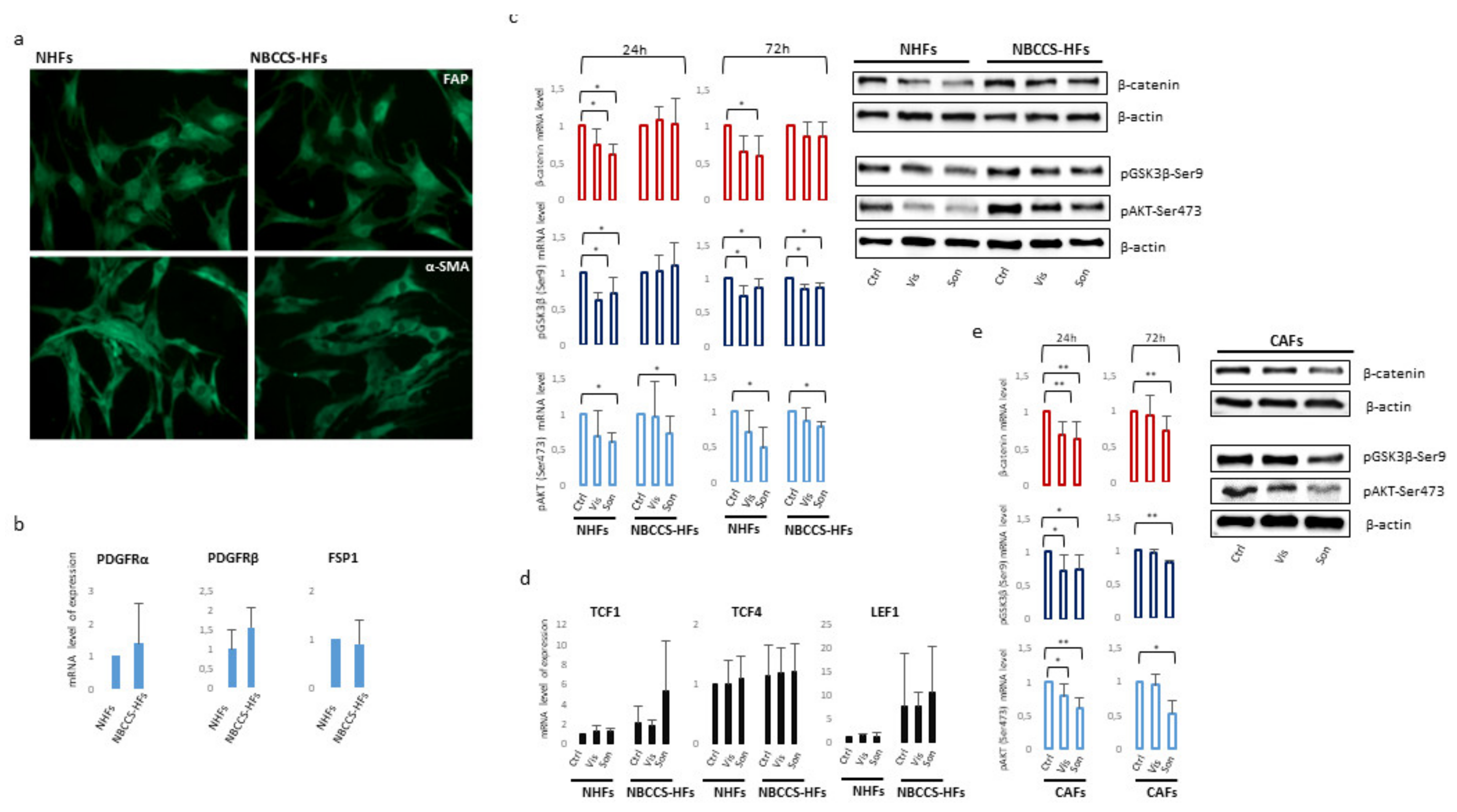
3. Results
3.1. Patients’ Demographic and Genetic Characterization
| Patients | Age | Sex | Affected Exon | DNA/Protein Change | Effect on Sequence |
|---|---|---|---|---|---|
| NBCCS-HF1 | 63 | F | Exon 17 | c.2635G > T p.Asp879Tyr | missense |
| NBCCS-HF2 | 76 | M | Exon 12 | c.1510T > C (p.Leu503Ser)# | missense |
| NBCCS-HF6 | 25 | F | Exon 10 | c.1309G > A (p.Val437Ile) | missense |
| NBCCS-HF7 | 57 | F | Exon 15 | c.1510T> C (p.Leu503Ser)# | missense |
| NBCCS-HF8 | 64 | F | Exon 5 | c.653delA (p.Gln218Gln fsX219) | deletion |
| NBCCS-HF9 | 69 | M | Exon 1 | c.113G > T (p.Gly38Val) | missense |
| NBCCS-HF10 | 78 | F | Exon 24 | c.4172G > A (p.Arg1391Gln) | missense |
| NBCCS-HF11 | 32 | M | Exon 10 | c.1309G > A p.Val437Ile | missense |
| NBCCS-HF12 | 57 | F | Exon 2 | c.-6_-4dupGGC[1] | 5′ untranslated region cis-regulatory element |
| NBCCS-HF13 | 56 | M | Exon 19 | c.3227T > C (p.Ile1076Ser) | missense |
3.2. Comparative In Vitro Evaluation of Vismodegib and Sonidegib on Fibroblasts Proliferation
3.3. Analysis of Smoothened (SMO) Antagonists on Normal Human Fibroblasts (NHFs), NBCCS-HFs and CAFs Gene Expression Profile
| Gene | NBCCS-HF | NBCCS-HF | NBCCS-HF | CAF | CAF | CAF | NHF | NHF | NHF |
|---|---|---|---|---|---|---|---|---|---|
| Vis | Son | Vis | Son | Vis | Son | ||||
| IL1α | 252.3 | 48.1 | 23.5 | 10.0 | 2.1 | 6.1 | 1.0 | 1.0 | 1.7 |
| HHIP | 195.5 | 122.9 | 42.7 | 4.8 | 6.0 | 1.9 | 1.0 | 0.32 | 0.54 |
| IL18 | 54.4 | 10.9 | 11.5 | 5.1 | 13.5 | 20.0 | 1.0 | 2.7 | 2.7 |
| A2M | 47.1 | 21.2 | 8.4 | 54.2 | 57.9 | 52.8 | 1.0 | 1.4 | 2.2 |
| CSF2 | 13.6 | 6.7 | 28.4 | 0.57 | 0.29 | 0.62 | 1.0 | 1.3 | 0.52 |
| IGF2 | 10.6 | 6.6 | 11.8 | 7.4 | 7.6 | 8.4 | 1.0 | 0.87 | 0.96 |
| CCL5 | 9.3 | 4.3 | 3.6 | 3.4 | 3.8 | 3.4 | 1.0 | 1.3 | 1.6 |
| IGF1 | 7.3 | 4.7 | 8.0 | 6.6 | 6.7 | 6.8 | 1.0 | 0.63 | 1.3 |
| CCL2 | 7.1 | 7.2 | 6.9 | 2.5 | 1.7 | 1.8 | 1.0 | 0.58 | 0.59 |
| ICAM1 | 6.5 | 4.4 | 4.1 | 2.6 | 3.2 | 2.7 | 1.0 | 0.95 | 0.7 |
| MTSS1 | 6.0 | 5.5 | 3.9 | 2.9 | 2.3 | 2.8 | 1.0 | 0.83 | 0.32 |
| HGF | 5.1 | 2.5 | 2.5 | 2.0 | 0.87 | 1.6 | 1.0 | 0.82 | 0.71 |
| MMP1 | 4.0 | 2.7 | 3.3 | 0.91 | 0.53 | 1.1 | 1.0 | 0.96 | 0.61 |
| IL6 | 3.7 | 3.6 | 3.3 | 2.5 | 2.3 | 2.4 | 1.0 | 1.1 | 0.94 |
| IL1β | 11.5 | 3.9 | 3.7 | 0.55 | 0.19 | 0.60 | 1.0 | 0.32 | 0.17 |
| SFRP2 | 2.9 | 7.5 | 9.1 | 3.9 | 5.4 | 4.1 | 1.0 | 0.42 | 0.32 |
| VCAM1 | 2.4 | 10.1 | 6.9 | 0.25 | 2.1 | 1.1 | 1.0 | 0.59 | 0.29 |
| CXCL16 | 2.4 | 4.5 | 3.7 | 2.9 | 2.8 | 2.8 | 1.0 | 0.74 | 0.98 |
| CSF3 | 1.2 | 6.1 | 5.5 | 0.75 | 0.27 | 0.12 | 1.0 | 2.1 | 0.34 |
| Gli2 | 2.1 | 0.7 | 1.9 | 3.0 | 3.3 | 1.9 | 1.0 | 1.5 | 1.4 |
| FGF9 | 2.0 | 2.2 | 3.0 | 4.0 | 2.2 | 2.0 | 1.0 | 1.0 | 1.5 |
| PTCH2 | 1.1 | 1.5 | 1.4 | 2.1 | 1.8 | 2.4 | 1.0 | 1.8 | 4.9 |
| WIF1 | 0.18 | 0.46 | 0.75 | 0.03 | 0.03 | 0.02 | 1.0 | 2.1 | 0.08 |
| PTGER3 | 0.2 | 0.57 | 0.45 | 0.28 | 0.24 | 0.22 | 1.0 | 0.82 | 0.7 |
| CES1 | 0.41 | 1.6 | 2.0 | 4.3 | 3.4 | 3.5 | 1.0 | 1.3 | 0.8 |
| Gli3 | 0.47 | 0.64 | 0.84 | 0.66 | 0.58 | 0.64 | 1.0 | 1.0 | 0.91 |
| BDKRB2 | 0.47 | 0.54 | 0.63 | 0.67 | 0.56 | 0.57 | 1.0 | 0.72 | 0.62 |
| SMO | 1.7 | 0.77 | 0.87 | 2.9 | 1.7 | 1.4 | 1.0 | 0.79 | 1.4 |
| Wnt7a | 1.1 | 1.6 | 3.25 | 0.26 | 0.28 | 0.31 | 1.0 | 0.54 | 0.57 |
| CASP1 | 0.59 | 0.9 | 0.69 | 0.45 | 0.38 | 0.35 | 1.0 | 1.0 | 0.65 |
| PTGIS | 1.1 | 1.7 | 1.1 | 0.14 | 0.16 | 0.19 | 1.0 | 0.68 | 0.97 |
| CD40 | 1.3 | 1.6 | 2.7 | 0.96 | 0.75 | 1.0 | 1.0 | 0.77 | 0.59 |
| LTC4S | 0.87 | 0.62 | 2.3 | 1.3 | 1.1 | 1.3 | 1.0 | 0.85 | 1.6 |
| Gene | NBCCS-HF | NBCCS-HF | NBCCS-HF | CAF | CAF | CAF | NHF | NHF | NHF |
|---|---|---|---|---|---|---|---|---|---|
| Vis | Son | Vis | Son | Vis | Son | ||||
| a-SMA | 0.73 | 0.88 | 1.0 | 0.58 | 0.54 | 0.63 | 1.0 | 1.0 | 0.86 |
| FAP | 1.1 | 1.23 | 1.8 | 1.0 | 0.86 | 0.94 | 1.0 | 1.2 | 0.98 |
| Wnt1 | 0.98 | 3.1 | 0.98 | 0.44 | 0.47 | 0.30 | 1.0 | 0.84 | 0.54 |
| Wnt2b | 1.2 | 0.96 | 0.77 | 0.87 | 0.82 | 0.92 | 1.0 | 1.1 | 1.1 |
| Wnt5a | 1.5 | 1.2 | 1.5 | 0.2 | 0.42 | 0.47 | 1.0 | 1.0 | 1.0 |
| Wnt6 | 3.1 | 1.2 | 12.3 | 0.67 | 0.34 | 0.95 | 1.0 | 0.59 | 0.76 |
| Wnt9a | 0.9 | 0.40 | 0.25 | 0.88 | 0.88 | 0.88 | 1.0 | 0.51 | 0.75 |
| Wnt9b | 0.01 | 0.22 | 0.27 | 1.0 | 0.22 | 0.12 | 1.0 | 0.17 | 0.53 |
| Wnt10b | 0.21 | 0.54 | 0.21 | 0.09 | 0.51 | 0.122 | 1.0 | 0.85 | 0.59 |
| Wnt11 | 0.53 | 1.6 | 1.6 | 0.64 | 0.61 | 0.31 | 1.0 | 0.74 | 0.8 |
| Wnt16 | 0.38 | 1.2 | 3.5 | 0.44 | 0.48 | 0.53 | 1.0 | 1.4 | 1.3 |
| TIMP1 | 1.8 | 1.4 | 1.9 | 1.4 | 0.89 | 1.7 | 1.0 | 1.3 | 1.2 |
| TIMP2 | 0.84 | 1.1 | 1.3 | 0.93 | 1.0 | 1.0 | 1.0 | 1.1 | 1.0 |
| TGFβ1 | 0.72 | 1.1 | 0.77 | 0.77 | 0.77 | 1.2 | 1.0 | 1.0 | 0.97 |
| VEGFA | 1.3 | 1.4 | 1.9 | 1.3 | 1.2 | 1.2 | 1.0 | 0.83 | 1.0 |
| TNFSF13B | 1.85 | 2.76 | 1.86 | 1.6 | 1.9 | 1.5 | 1.0 | 0.98 | 1.2 |
| TNFSF1B | 0.40 | 0.80 | 0.64 | 0.93 | 1.3 | 1.7 | 1.0 | 0.43 | 0.37 |
| TNFSF1A | 0.91 | 0.78 | 1.2 | 0.54 | 0.49 | 0.49 | 1.0 | 0.63 | 0.75 |
| TNF | 3.8 | 6.1 | 11.9 | 1.1 | 1.4 | 1.7 | 1.0 | 0.88 | 0.52 |
| SUFU | 1.0 | 1.0 | 1.0 | 0.96 | 0.99 | 0.94 | 1.0 | 1.1 | 1.1 |
| SMAD7 | 0.94 | 1.8 | 1.9 | 1.1 | 0.97 | 1.1 | 1.0 | 0.13 | 0.58 |
| SMAD3 | 1.9 | 1.3 | 1.5 | 1.3 | 1.3 | 1.3 | 1.0 | 1.1 | 1.2 |
| SHH | 0.11 | 0.75 | 1.1 | 0.29 | 1.1 | 0.16 | 1.0 | 0.61 | 4.2 |
| SFRP1 | 1.1 | 0.34 | 0.47 | 1.9 | 1.2 | 1.9 | 1.0 | 0.77 | 0.25 |
| PTGS2 | 5.4 | 5.1 | 2.6 | 1.8 | 1.9 | 1.6 | 1.0 | 0.83 | 0.43 |
| PTGS1 | 1.4 | 1.0 | 1.3 | 0.54 | 0.51 | 0.36 | 1.0 | 0.91 | 0.76 |
| PTGIR | 1.5 | 1.2 | 2.1 | 1.04 | 1.1 | 1.2 | 1.0 | 2.1 | 1.2 |
| PTGFR | 0.38 | 0.59 | 0.89 | 0.7 | 0.77 | 0.59 | 1.0 | 1.1 | 1.2 |
| PTGER2 | 0.86 | 1.3 | 1.7 | 0.46 | 0.54 | 0.32 | 1.0 | 0.41 | 0.30 |
| PTCH1 | 0.92 | 0.69 | 0.92 | 1.3 | 1.4 | 1.3 | 1.0 | 1.0 | 0.95 |
| PLA2G1B | 0.28 | 0.30 | 0.38 | 0.96 | 0.06 | 1.5 | 1.0 | 0.46 | 0.30 |
| PDE4B | 0.48 | 0.59 | 0.67 | 0.50 | 0.44 | 0.49 | 1.0 | 0.93 | 0.97 |
| PDE4A | 0.7 | 1.2 | 1.8 | 1.0 | 1.1 | 1.1 | 1.0 | 1.0 | 0.86 |
| MMP3 | 0.86 | 1.0 | 1.8 | 0.74 | 0.6 | 0.54 | 1.0 | 1.2 | 0.81 |
| MAPK8 | 0.81 | 0.80 | 1.0 | 0.80 | 0.81 | 0.86 | 1.0 | 1.0 | 0.85 |
| MAPK3 | 0.86 | 0.88 | 1.1 | 0.87 | 0.89 | 1.1 | 1.0 | 0.98 | 1.1 |
| MAPK14 | 0.76 | 0.89 | 1.1 | 0.69 | 0.67 | 0.72 | 1.0 | 0.95 | 0.99 |
| MAPK1 | 0.89 | 0.91 | 0.92 | 0.64 | 0.65 | 0.62 | 1.0 | 0.81 | 0.74 |
| IL7 | 0.34 | 0.76 | 3.4 | 0.52 | 0.96 | 1.5 | 1.0 | 0.95 | 1.2 |
| IGFBP6 | 1.0 | 1.3 | 1.9 | 0.61 | 0.67 | 0.90 | 1.0 | 1.0 | 1.6 |
| IGFBP3 | 0.89 | 0.98 | 1.6 | 0.64 | 0.50 | 0.69 | 1.0 | 0.80 | 1.2 |
| Gli1 | 1.4 | 1.2 | 0.32 | 1.4 | 1.9 | 0.94 | 1.0 | 1.7 | 1.2 |
| FGF7 | 0.98 | 0.93 | 1.5 | 1.1 | 2.4 | 1.4 | 1.0 | 1.2 | 1.1 |
| FGF2 | 1.2 | 1.2 | 1.1 | 1.4 | 1.2 | 1.6 | 1.0 | 0.86 | 1.2 |
| FAP | 1.1 | 1.2 | 1.8 | 1.03 | 0.86 | 0.94 | 1.0 | 1.2 | 0.98 |
| EGF | 2.3 | 0.65 | 0.59 | 2.3 | 1.7 | 0.32 | 1.0 | 2.7 | 0.30 |
| DKK3 | 0.87 | 0.59 | 0.71 | 0.54 | 0.53 | 0.60 | 1.0 | 0.96 | 1.2 |
| DKK1 | 0.53 | 0.72 | 0.91 | 1.7 | 0.77 | 0.59 | 1.0 | 0.8 | 0.93 |
| CXCL8 | 19.2 | 7.4 | 9.5 | 1.8 | 1.4 | 0.82 | 1.0 | 0.7 | 1.4 |
| CXCL10 | 3.2 | 3.9 | 14.1 | 19.0 | 3.3 | 1.3 | 1.0 | 2.8 | 1.4 |
| CTNNB1 | 0.94 | 1.5 | 1.8 | 0.82 | 1.0 | 1.1 | 1.0 | 1.2 | 1.0 |
| CSF1 | 0.71 | 0.97 | 1.1 | 0.81 | 0.72 | 0.79 | 1.0 | 1.1 | 1.0 |
| COL1A2 | 0.58 | 0.99 | 1.1 | 1.2 | 0.66 | 0.62 | 1.0 | 1.3 | 1.6 |
| COL1A1 | 1.2 | 0.88 | 0.93 | 1.1 | 1.6 | 1.4 | 1.0 | 1.3 | 1.4 |
| CCNB1 | 1.5 | 1.8 | 1.2 | 0.85 | 0.89 | 0.53 | 1.0 | 0.86 | 0.65 |
| CCL3 | 0.38 | 1.2 | 3.5 | 0.44 | 0.48 | 0.91 | 1.0 | 1.4 | 1.4 |
| CCL19 | 7.1 | 0.64 | 6.1 | 1.3 | 0.24 | 0.64 | 1.0 | 1.7 | 1.8 |
| CACNA2D1 | 0.86 | 1.3 | 1.2 | 2.2 | 1.2 | 1.6 | 1.0 | 1.5 | 1.0 |
| CACNA1C | 0.95 | 1.1 | 0.64 | 1.3 | 1.3 | 1.4 | 1.0 | 1.2 | 1.2 |
| BDKRB1 | 0.48 | 0.92 | 1.1 | 0.47 | 0.48 | 0.37 | 1.0 | 1.3 | 0.77 |
| Gene | NBCCS-HF | NBCCS-HF | NBCCS-HF | NBCCS-HF | NBCCS-HF |
|---|---|---|---|---|---|
| Vis 72 h | Vis 2 weeks | Son 72 h | Son 2 weeks | ||
| IL1α | 252.3 | 48.1 | 2.4 | 23.5 | 4.0 |
| HHIP | 195.5 | 122.9 | 49.0 | 42.7 | 72.3 |
| IL18 | 54.4 | 10.9 | 60.7 | 11.5 | 1.1 |
| A2M | 47.1 | 21.2 | 13.0 | 8.4 | 13.1 |
| CSF2 | 13.6 | 6.7 | 7.8 | 28.4 | 2.2 |
| IGF2 | 10.6 | 6.6 | 1.9 | 11.8 | 3.7 |
| CCL5 | 9.3 | 4.3 | 0.28 | 3.6 | 3.3 |
| IGF1 | 7.3 | 4.7 | 0.8 | 8.0 | 2.9 |
| CCL2 | 7.1 | 7.2 | 2.0 | 6.9 | 0.9 |
| ICAM1 | 6.5 | 4.4 | 3.5 | 4.1 | 2.7 |
| MTSS1 | 6.0 | 5.5 | 1.2 | 3.9 | 0.28 |
| HGF | 5.1 | 2.5 | 4.2 | 2.5 | 2.5 |
| MMP1 | 4.0 | 2.7 | 1.4 | 3.3 | 1.8 |
| IL6 | 3.7 | 3.6 | 1.2 | 3.3 | 0.6 |
| IL1β | 11.5 | 3.9 | 8.2 | 3.7 | 7.5 |
| SFRP2 | 2.9 | 7.5 | 0.6 | 9.1 | 0.4 |
| VCAM1 | 2.4 | 10.1 | 6.4 | 6.9 | 11.9 |
| CXCL16 | 2.4 | 4.5 | 2.8 | 3.7 | 0.49 |
| CSF3 | 2.2 | 6.1 | 0.17 | 5.5 | 0.28 |
| Gli2 | 2.1 | 0.52 | 1.8 | 1.9 | 3.1 |
| FGF9 | 2.0 | 2.2 | 1.6 | 3.0 | 3.6 |
| PTCH2 | 1.1 | 1.5 | 0.2 | 1.4 | 1.0 |
| WIF1 | 0.18 | 0.46 | 0.12 | 0.75 | 0.06 |
| PTGER3 | 0.2 | 0.57 | 1.4 | 0.45 | 1.3 |
| CES1 | 0.41 | 1.6 | 0.8 | 2.0 | 0.83 |
| Gli3 | 0.47 | 0.64 | 0.65 | 0.84 | 0.66 |
| BDKRB2 | 0.47 | 0.54 | 0.88 | 0.63 | 0.62 |
| SMO | 1.7 | 0.77 | 1.5 | 0.87 | 1.7 |
| Wnt7a | 1.1 | 1.6 | 0.43 | 3.25 | 0.7 |
| CASP1 | 0.59 | 0.9 | 0.56 | 0.69 | 0.29 |
| PTGIS | 1.1 | 1.7 | 0.35 | 1.1 | 0.71 |
| CD40 | 1.3 | 1.6 | 0.82 | 2.7 | 0.66 |
| LTC4S | 0.87 | 0.62 | 1.1 | 2.3 | 1.6 |
3.4. Vismodegib and Sonidegib Uptake Revealed Profound Differences
4. Discussion
5. Conclusions
Supplementary Materials
Author Contributions
Funding
Institutional Review Board Statement
Informed Consent Statement
Data Availability Statement
Acknowledgments
Conflicts of Interest
References
- Bath-Hextall, F.; Leonardi-Bee, J.; Smith, C.; Meal, A.; Hubbard, R. Trends in Incidence of Skin Basal Cell Carcinoma. Additional Evidence from a UK Primary Care Database Study. Int. J. Cancer 2007, 121, 2105–2108. [Google Scholar] [CrossRef] [PubMed]
- Telfer, N.R.; Colver, G.B.; Morton, C.A.; British Association of Dermatologists. Guidelines for the Management of Basal Cell Carcinoma. Br. J. Dermatol. 2008, 159, 35–48. [Google Scholar] [CrossRef] [PubMed]
- Mathias, S.D.; Chren, M.M.; Colwell, H.H.; Yim, Y.M.; Reyes, C.; Chen, D.M.; Fosko, S.W. Assessing Health-Related Quality of Life for Advanced Basal Cell Carcinoma and Basal Cell Carcinoma Nevus Syndrome: Development of the First Disease-Specific Patient-Reported Outcome Questionnaires. JAMA Dermatol. 2014, 150, 169–176. [Google Scholar] [CrossRef] [PubMed]
- Steele, N.G.; Biffi, G.; Kemp, S.B.; Zhang, Y.; Drouillard, D.; Syu, L.; Hao, Y.; Oni, T.E.; Brosnan, E.; Elyada, E.; et al. Inhibition of Hedgehog Signaling Alters Fibroblast Composition in Pancreatic Cancer. Clin. Cancer Res. 2021, 27, 2023–2037. [Google Scholar] [CrossRef]
- Wu, F.; Zhang, Y.; Sun, B.; McMahon, A.P.; Wang, Y. Hedgehog Signaling: From Basic Biology to Cancer Therapy. Cell. Chem. Biol. 2017, 24, 252–280. [Google Scholar] [CrossRef]
- Matise, M.P.; Joyner, A.L. Gli Genes in Development and Cancer. Oncogene 1999, 18, 7852–7859. [Google Scholar] [CrossRef]
- Regl, G.; Kasper, M.; Schnidar, H.; Eichberger, T.; Neill, G.W.; Ikram, M.S.; Quinn, A.G.; Philpott, M.P.; Frischauf, A.M.; Aberger, F. The Zinc-Finger Transcription Factor GLI2 Antagonizes Contact Inhibition and Differentiation of Human Epidermal Cells. Oncogene 2004, 23, 1263–1274. [Google Scholar] [CrossRef]
- Kasper, M.; Regl, G.; Frischauf, A.M.; Aberger, F. GLI Transcription Factors: Mediators of Oncogenic Hedgehog Signalling. Eur. J. Cancer 2006, 42, 437–445. [Google Scholar] [CrossRef]
- Bigelow, R.L.; Chari, N.S.; Unden, A.B.; Spurgers, K.B.; Lee, S.; Roop, D.R.; Toftgard, R.; McDonnell, T.J. Transcriptional Regulation of Bcl-2 Mediated by the Sonic Hedgehog Signaling Pathway through Gli-1. J. Biol. Chem. 2004, 279, 1197–1205. [Google Scholar] [CrossRef]
- Pelullo, M.; Zema, S.; Nardozza, F.; Checquolo, S.; Screpanti, I.; Bellavia, D. Wnt, Notch, and TGF-β Pathways Impinge on Hedgehog Signaling Complexity: An Open Window on Cancer. Front. Genet. 2019, 10, 711. [Google Scholar] [CrossRef]
- Bijlsma, M.F.; Roelink, H. Skin-Derived Vitamin D(3) Protects Against Basal Cell Carcinoma. J. Invest. Dermatol. 2017, 137, 2469–2471. [Google Scholar] [CrossRef][Green Version]
- Cai, K.; Na, W.; Guo, M.; Xu, R.; Wang, X.; Qin, Y.; Wu, Y.; Jiang, J.; Huang, H. Targeting the Cross-Talk between the Hedgehog and NF-κB Signaling Pathways in Multiple Myeloma. Leuk. Lymphoma 2019, 60, 772–781. [Google Scholar] [CrossRef]
- Ng, J.M.; Curran, T. The Hedgehog’s Tale: Developing Strategies for Targeting Cancer. Nat. Rev. Cancer. 2011, 11, 493–501. [Google Scholar] [CrossRef]
- Epstein, E.H. Basal cell carcinomas: Attack of the hedgehog. Nat. Rev. Cancer. 2008, 10, 743–754. [Google Scholar] [CrossRef]
- Lam, C.W.; Xie, J.; To, K.F.; Ng, H.K.; Lee, K.C.; Yuen, N.W.; Lim, P.L.; Chan, L.Y.; Tong, S.F.; McCormick, F. A Frequent Activated Smoothened Mutation in Sporadic Basal Cell Carcinomas. Oncogene 1999, 18, 833–836. [Google Scholar] [CrossRef]
- Bonilla, X.; Parmentier, L.; King, B.; Bezrukov, F.; Kaya, G.; Zoete, V.; Seplyarskiy, V.B.; Sharpe, H.J.; McKee, T.; Letourneau, A.; et al. Genomic Analysis Identifies New Drivers and Progression Pathways in Skin Basal Cell Carcinoma. Nat. Genet. 2016, 48, 398–406. [Google Scholar] [CrossRef]
- Crowson, A.N. Basal Cell Carcinoma: Biology, Morphology and Clinical Implications. Mod. Pathol. 2006, 19 (Suppl. 2), S127–S147. [Google Scholar] [CrossRef]
- Heitzer, E.; Lassacher, A.; Quehenberger, F.; Kerl, H.; Wolf, P. UV Fingerprints Predominate in the PTCH Mutation Spectra of Basal Cell Carcinomas Independent of Clinical Phenotype. J. Investig. Dermatol. 2007, 127, 2872–2881. [Google Scholar] [CrossRef]
- D’Amato, C.; Rosa, R.; Marciano, R.; D’Amato, V.; Formisano, L.; Nappi, L.; Raimondo, L.; Di Mauro, C.; Servetto, A.; Fulciniti, F.; et al. Inhibition of Hedgehog Signalling by NVP-LDE225 (Erismodegib) Interferes with Growth and Invasion of Human Renal Cell Carcinoma Cells. Br. J. Cancer 2014, 111, 1168–1179. [Google Scholar] [CrossRef]
- Freitas, R.D.; Dias, R.B.; Vidal, M.T.A.; Valverde, L.F.; Gomes Alves Costa, R.; Damasceno, A.K.A.; Sales, C.B.S.; Siquara da Rocha, L.O.; Dos Reis, M.G.; Soares, M.B.P.; et al. Inhibition of CAL27 Oral Squamous Carcinoma Cell by Targeting Hedgehog Pathway with Vismodegib or Itraconazole. Front. Oncol. 2020, 10, 563838. [Google Scholar] [CrossRef]
- Benvenuto, M.; Masuelli, L.; De Smaele, E.; Fantini, M.; Mattera, R.; Cucchi, D.; Bonanno, E.; Di Stefano, E.; Frajese, G.V.; Orlandi, A.; et al. In Vitro and in Vivo Inhibition of Breast Cancer Cell Growth by Targeting the Hedgehog/GLI Pathway with SMO (GDC-0449) Or GLI (GANT-61) Inhibitors. Oncotarget 2016, 7, 9250–9270. [Google Scholar] [CrossRef]
- Williams, J.A. Hedgehog Signaling Pathway as a Target for Therapeutic Intervention in Basal Cell Carcinoma. Drug News. Perspect. 2003, 16, 657–662. [Google Scholar] [CrossRef]
- Maas, S.M.; Lombardi, M.P.; van Essen, A.J.; Wakeling, E.L.; Castle, B.; Temple, I.K.; Kumar, V.K.; Writzl, K.; Hennekam, R.C. Phenotype and Genotype in 17 Patients with Goltz-Gorlin Syndrome. J. Med. Genet. 2009, 46, 716–720. [Google Scholar] [CrossRef]
- Onodera, S.; Saito, A.; Hasegawa, D.; Morita, N.; Watanabe, K.; Nomura, T.; Shibahara, T.; Ohba, S.; Yamaguchi, A.; Azuma, T. Multi-Layered Mutation in Hedgehog-Related Genes in Gorlin Syndrome may Affect the Phenotype. PLoS ONE 2017, 12, e0184702. [Google Scholar] [CrossRef]
- Johnson, R.L.; Rothman, A.L.; Xie, J.; Goodrich, L.V.; Bare, J.W.; Bonifas, J.M.; Quinn, A.G.; Myers, R.M.; Cox, D.R.; Epstein, E.H., Jr.; et al. Human Homolog of Patched, a Candidate Gene for the Basal Cell Nevus Syndrome. Science 1996, 272, 1668–1671. [Google Scholar] [CrossRef]
- Evans, D.G.; Farndon, P.A.; Burnell, L.D.; Gattamaneni, H.R.; Birch, J.M. The Incidence of Gorlin Syndrome in 173 Consecutive Cases of Medulloblastoma. Br. J. Cancer 1991, 64, 959–961. [Google Scholar] [CrossRef]
- Kimonis, V.E.; Goldstein, A.M.; Pastakia, B.; Yang, M.L.; Kase, R.; DiGiovanna, J.J.; Bale, A.E.; Bale, S.J. Clinical Manifestations in 105 Persons with Nevoid Basal Cell Carcinoma Syndrome. Am. J. Med. Genet. 1997, 69, 299–308. [Google Scholar] [CrossRef]
- Shanley, S.; Ratcliffe, J.; Hockey, A.; Haan, E.; Oley, C.; Ravine, D.; Martin, N.; Wicking, C.; Chenevix-Trench, G. Nevoid Basal Cell Carcinoma Syndrome: Review of 118 Affected Individuals. Am. J. Med. Genet. 1994, 50, 282–290. [Google Scholar] [CrossRef]
- Lo Muzio, L. Nevoid Basal Cell Carcinoma Syndrome (Gorlin Syndrome). Orphanet J. Rare Dis. 2008, 3, 32. [Google Scholar] [CrossRef]
- Quinn, A.G.; Campbell, C.; Healy, E.; Rees, J.L. Chromosome 9 Allele Loss Occurs in both Basal and Squamous Cell Carcinomas of the Skin. J. Investig. Dermatol. 1994, 102, 300–303. [Google Scholar] [CrossRef][Green Version]
- Tang, J.Y.; Ally, M.S.; Chanana, A.M.; Mackay-Wiggan, J.M.; Aszterbaum, M.; Lindgren, J.A.; Ulerio, G.; Rezaee, M.R.; Gildengorin, G.; Marji, J.; et al. Inhibition of the Hedgehog Pathway in Patients with Basal-Cell Nevus Syndrome: Final Results from the Multicentre, Randomised, Double-Blind, Placebo-Controlled, Phase 2 Trial. Lancet Oncol. 2016, 17, 1720–1731. [Google Scholar] [CrossRef]
- Skvara, H.; Kalthoff, F.; Meingassner, J.G.; Wolff-Winiski, B.; Aschauer, H.; Kelleher, J.F.; Wu, X.; Pan, S.; Mickel, L.; Schuster, C.; et al. Topical Treatment of Basal Cell Carcinomas in Nevoid Basal Cell Carcinoma Syndrome with a Smoothened Inhibitor. J. Invest. Dermatol. 2011, 131, 1735–1744. [Google Scholar] [CrossRef] [PubMed]
- Sekulic, A.; Migden, M.R.; Lewis, K.; Hainsworth, J.D.; Solomon, J.A.; Yoo, S.; Arron, S.T.; Friedlander, P.A.; Marmur, E.; Rudin, C.M.; et al. Pivotal ERIVANCE Basal Cell Carcinoma (BCC) Study: 12-Month Update of Efficacy and Safety of Vismodegib in Advanced BCC. J. Am. Acad. Dermatol. 2015, 72, 1021–1026. [Google Scholar] [CrossRef] [PubMed]
- Chiang, A.; Jaju, P.D.; Batra, P.; Rezaee, M.; Epstein, E.H., Jr.; Tang, J.Y.; Sarin, K.Y. Genomic Stability in Syndromic Basal Cell Carcinoma. J. Invest. Dermatol. 2018, 138, 1044–1051. [Google Scholar] [CrossRef]
- Sharpe, H.J.; Pau, G.; Dijkgraaf, G.J.; Basset-Seguin, N.; Modrusan, Z.; Januario, T.; Tsui, V.; Durham, A.B.; Dlugosz, A.A.; Haverty, P.M.; et al. Genomic Analysis of Smoothened Inhibitor Resistance in Basal Cell Carcinoma. Cancer. Cell. 2015, 27, 327–341. [Google Scholar] [CrossRef]
- Nguyen, T.T.L.; Atwood, S.X. Illuminating Alternative Strategies to Treat Targeted Chemotherapy-Resistant Sporadic Basal Cell Carcinoma. J. Investig. Dermatol. 2018, 138, 1017–1019. [Google Scholar] [CrossRef]
- Wahid, M.; Jawed, A.; Mandal, R.K.; Dar, S.A.; Khan, S.; Akhter, N.; Haque, S. Vismodegib, Itraconazole and Sonidegib as Hedgehog Pathway Inhibitors and their Relative Competencies in the Treatment of Basal Cell Carcinomas. Crit. Rev. Oncol. Hematol. 2016, 98, 235–241. [Google Scholar] [CrossRef]
- Atwood, S.X.; Sarin, K.Y.; Whitson, R.J.; Li, J.R.; Kim, G.; Rezaee, M.; Ally, M.S.; Kim, J.; Yao, C.; Chang, A.L.; et al. Smoothened Variants Explain the Majority of Drug Resistance in Basal Cell Carcinoma. Cancer Cell. 2015, 27, 342–353. [Google Scholar] [CrossRef]
- Danial, C.; Sarin, K.Y.; Oro, A.E.; Chang, A.L. An Investigator-Initiated Open-Label Trial of Sonidegib in Advanced Basal Cell Carcinoma Patients Resistant to Vismodegib. Clin. Cancer Res. 2016, 22, 1325–1329. [Google Scholar] [CrossRef]
- Brancaccio, G.; Pea, F.; Moscarella, E.; Argenziano, G. Sonidegib for the Treatment of Advanced Basal Cell Carcinoma. Front. Oncol. 2020, 10, 582866. [Google Scholar] [CrossRef]
- Dummer, R.; Ascierto, P.A.; Basset-Seguin, N.; Dréno, B.; Garbe, C.; Gutzmer, R.; Hauschild, A.; Krattinger, R.; Lear, J.T.; Malvehy, J.; et al. Sonidegib and Vismodegib in the Treatment of Patients with Locally Advanced Basal Cell Carcinoma: A Joint Expert Opinion. J. Eur. Acad. Dermatol. Venereol. 2020, 34, 1944–1956. [Google Scholar] [CrossRef]
- Zollinger, M.; Lozac’h, F.; Hurh, E.; Emotte, C.; Bauly, H.; Swart, P. Absorption, Distribution, Metabolism, and Excretion (ADME) of ¹⁴C-Sonidegib (LDE225) in Healthy Volunteers. Cancer Chemother. Pharmacol. 2014, 74, 63–75. [Google Scholar] [CrossRef]
- Yoshida, G.J. Regulation of Heterogeneous Cancer-Associated Fibroblasts: The Molecular Pathology of Activated Signaling Pathways. J. Exp. Clin. Cancer Res. 2020, 39, 112. [Google Scholar] [CrossRef]
- Bellei, B.; Migliano, E.; Picardo, M. A Framework of Major Tumor-Promoting Signal Transduction Pathways Implicated in Melanoma-Fibroblast Dialogue. Cancers 2020, 12, 3400. [Google Scholar] [CrossRef]
- Kalluri, R. The Biology and Function of Fibroblasts in Cancer. Nat. Rev. Cancer. 2016, 16, 582–598. [Google Scholar] [CrossRef]
- Zhang, J.; Fan, J.; Zeng, X.; Nie, M.; Luan, J.; Wang, Y.; Ju, D.; Yin, K. Hedgehog Signaling in Gastrointestinal Carcinogenesis and the Gastrointestinal Tumor Microenvironment. Acta Pharm. Sin. B 2021, 11, 609–620. [Google Scholar] [CrossRef]
- Takabatake, K.; Shimo, T.; Murakami, J.; Anqi, C.; Kawai, H.; Yoshida, S.; Wathone Oo, M.; Haruka, O.; Sukegawa, S.; Tsujigiwa, H.; et al. The Role of Sonic Hedgehog Signaling in the Tumor Microenvironment of Oral Squamous Cell Carcinoma. Int. J. Mol. Sci. 2019, 20, 5779. [Google Scholar] [CrossRef]
- Shan, T.; Chen, S.; Chen, X.; Lin, W.R.; Li, W.; Ma, J.; Wu, T.; Ji, H.; Li, Y.; Cui, X.; et al. Prometastatic Mechanisms of CAF-Mediated EMT Regulation in Pancreatic Cancer Cells. Int. J. Oncol. 2017, 50, 121–128. [Google Scholar] [CrossRef]
- Walter, K.; Omura, N.; Hong, S.M.; Griffith, M.; Vincent, A.; Borges, M.; Goggins, M. Overexpression of Smoothened Activates the Sonic Hedgehog Signaling Pathway in Pancreatic Cancer-Associated Fibroblasts. Clin. Cancer Res. 2010, 16, 1781–1789. [Google Scholar] [CrossRef]
- Valin, A.; Barnay-Verdier, S.; Robert, T.; Ripoche, H.; Brellier, F.; Chevallier-Lagente, O.; Avril, M.F.; Magnaldo, T. PTCH1 +/− Dermal Fibroblasts Isolated from Healthy Skin of Gorlin Syndrome Patients Exhibit Features of Carcinoma Associated Fibroblasts. PLoS ONE 2009, 4, e4818. [Google Scholar] [CrossRef]
- Gache, Y.; Brellier, F.; Rouanet, S.; Al-Qaraghuli, S.; Goncalves-Maia, M.; Burty-Valin, E.; Barnay, S.; Scarzello, S.; Ruat, M.; Sevenet, N.; et al. Basal Cell Carcinoma in Gorlin’s Patients: A Matter of Fibroblasts-Led Protumoral Microenvironment? PLoS ONE 2015, 10, e0145369. [Google Scholar] [CrossRef]
- Ponti, G.; Manfredini, M.; Pastorino, L.; Maccaferri, M.; Tomasi, A.; Pellacani, G. PTCH1 Germline Mutations and the Basaloid Follicular Hamartoma Values in the Tumor Spectrum of Basal Cell Carcinoma Syndrome (NBCCS). Anticancer Res. 2018, 38, 471–476. [Google Scholar]
- Klein, R.D.; Dykas, D.J.; Bale, A.E. Clinical Testing for the Nevoid Basal Cell Carcinoma Syndrome in a DNA Diagnostic Laboratory. Genet. Med. 2005, 7, 611–619. [Google Scholar] [CrossRef]
- Evans, T.; Boonchai, W.; Shanley, S.; Smyth, I.; Gillies, S.; Georgas, K.; Wainwright, B.; Chenevix-Trench, G.; Wicking, C. The Spectrum of Patched Mutations in a Collection of Australian Basal Cell Carcinomas. Hum. Mutat. 2000, 16, 43–48. [Google Scholar] [CrossRef]
- Lian, J.; Bahitham, W.; Panigrahi, R.; Nelson, R.; Li, L.; Watts, R.; Thiesen, A.; Lemieux, M.J.; Lehner, R. Genetic Variation in Human Carboxylesterase CES1 Confers Resistance to Hepatic Steatosis. Biochim. Biophys. Acta Mol. Cell. Biol. Lipids 2018, 1863, 688–699. [Google Scholar] [CrossRef]
- Tietze, J.K.; Pfob, M.; Eggert, M.; von Preußen, A.; Mehraein, Y.; Ruzicka, T.; Herzinger, T. A Non-Coding Mutation in the 5′ Untranslated Region of Patched Homologue 1 Predisposes to Basal Cell Carcinoma. Exp. Dermatol. 2013, 22, 834–835. [Google Scholar] [CrossRef]
- Ozretić, P.; Bisio, A.; Musani, V.; Trnski, D.; Sabol, M.; Levanat, S.; Inga, A. Regulation of Human PTCH1b Expression by Different 5′ Untranslated Region Cis-Regulatory Elements. RNA Biol. 2015, 12, 290–304. [Google Scholar] [CrossRef][Green Version]
- Song, Y.; Tian, Y.; Zuo, Y.; Tu, J.C.; Feng, Y.F.; Qu, C.J. Altered Expression of PTCH and HHIP in Gastric Cancer through their Gene Promoter Methylation: Novel Targets for Gastric Cancer. Mol. Med. Rep. 2013, 7, 1159–1168. [Google Scholar] [CrossRef]
- Chuang, P.T.; McMahon, A.P. Vertebrate Hedgehog Signalling Modulated by Induction of a Hedgehog-Binding Protein. Nature 1999, 397, 617–621. [Google Scholar] [CrossRef]
- Li, P.; Zhang, X.; Murphy, A.J.; Costa, M.; Zhao, X.; Sun, H. Downregulation of Hedgehog-Interacting Protein (HHIP) Contributes to Hexavalent Chromium-Induced Malignant Transformation of Human Bronchial Epithelial Cells. Carcinogenesis 2021, 42, 136–147. [Google Scholar] [CrossRef]
- Wang, X.; Ma, W.; Yin, J.; Chen, M.; Jin, H. HHIP Gene Overexpression Inhibits the Growth, Migration and Invasion of Human Liver Cancer Cells. J. BUON 2020, 25, 2424–2429. [Google Scholar] [PubMed]
- Kayser, G.; Csanadi, A.; Kakanou, S.; Prasse, A.; Kassem, A.; Stickeler, E.; Passlick, B.; Zur Hausen, A. Downregulation of MTSS1 Expression is an Independent Prognosticator in Squamous Cell Carcinoma of the Lung. Br. J. Cancer 2015, 112, 866–873. [Google Scholar] [CrossRef] [PubMed][Green Version]
- Mertz, K.D.; Pathria, G.; Wagner, C.; Saarikangas, J.; Sboner, A.; Romanov, J.; Gschaider, M.; Lenz, F.; Neumann, F.; Schreiner, W.; et al. MTSS1 is a Metastasis Driver in a Subset of Human Melanomas. Nat. Commun. 2014, 5, 3465. [Google Scholar] [CrossRef] [PubMed]
- Xie, F.; Ye, L.; Chen, J.; Wu, N.; Zhang, Z.; Yang, Y.; Zhang, L.; Jiang, W.G. The Impact of Metastasis Suppressor-1, MTSS1, on Oesophageal Squamous Cell Carcinoma and its Clinical Significance. J. Transl. Med. 2011, 9, 95. [Google Scholar] [CrossRef]
- Callahan, C.A.; Ofstad, T.; Horng, L.; Wang, J.K.; Zhen, H.H.; Coulombe, P.A.; Oro, A.E. MIM/BEG4, a Sonic Hedgehog-Responsive Gene that Potentiates Gli-Dependent Transcription. Genes Dev. 2004, 18, 2724–2729. [Google Scholar] [CrossRef]
- Markey, G.M. Carboxylesterase 1 (Ces1): From Monocyte Marker to Major Player. J. Clin. Pathol. 2011, 64, 107–109. [Google Scholar] [CrossRef]
- Lee, J.; Platt, K.A.; Censullo, P.; Ruiz i Altaba, A. Gli1 is a Target of Sonic Hedgehog that Induces Ventral Neural Tube Development. Development 1997, 124, 2537–2552. [Google Scholar] [CrossRef]
- Yang, K.; Wang, X.; Zhang, H.; Wang, Z.; Nan, G.; Li, Y.; Zhang, F.; Mohammed, M.K.; Haydon, R.C.; Luu, H.H.; et al. The Evolving Roles of Canonical WNT Signaling in Stem Cells and Tumorigenesis: Implications in Targeted Cancer Therapies. Lab. Invest. 2016, 96, 116–136. [Google Scholar] [CrossRef]
- Katoh, Y.; Katoh, M. Hedgehog Signaling Pathway and Gastrointestinal Stem Cell Signaling Network (Review). Int. J. Mol. Med. 2006, 18, 1019–1023. [Google Scholar] [CrossRef]
- Bovolenta, P.; Esteve, P.; Ruiz, J.M.; Cisneros, E.; Lopez-Rios, J. Beyond Wnt Inhibition: New Functions of Secreted Frizzled-Related Proteins in Development and Disease. J. Cell. Sci. 2008, 121, 737–746. [Google Scholar] [CrossRef]
- Scales, S.J.; de Sauvage, F.J. Mechanisms of Hedgehog Pathway Activation in Cancer and Implications for Therapy. Trends Pharmacol. Sci. 2009, 30, 303–312. [Google Scholar] [CrossRef]
- Pan, S.; Wu, X.; Jiang, J.; Gao, W.; Wan, Y.; Cheng, D.; Han, D.; Liu, J.; Englund, N.P.; Wang, Y.; et al. Discovery of NVP-LDE225, a Potent and Selective Smoothened Antagonist. ACS Med. Chem. Lett. 2010, 1, 130–134. [Google Scholar] [CrossRef]
- Bariwal, J.; Kumar, V.; Dong, Y.; Mahato, R.I. Design of Hedgehog Pathway Inhibitors for Cancer Treatment. Med. Res. Rev. 2019, 39, 1137–1204. [Google Scholar] [CrossRef]
- Lauressergues, E.; Heusler, P.; Lestienne, F.; Troulier, D.; Rauly-Lestienne, I.; Tourette, A.; Ailhaud, M.C.; Cathala, C.; Tardif, S.; Denais-Laliève, D.; et al. Pharmacological Evaluation of a Series of Smoothened Antagonists in Signaling Pathways and After Topical Application in a Depilated Mouse Model. Pharmacol. Res. Perspect. 2016, 4, e00214. [Google Scholar] [CrossRef]
- Stecca, B.; Mas, C.; Clement, V.; Zbinden, M.; Correa, R.; Piguet, V.; Beermann, F.; Ruiz i Altaba, A. Melanomas Require HEDGEHOG-GLI Signaling Regulated by Interactions between GLI1 and the RAS-MEK/AKT Pathways. Proc. Natl. Acad. Sci. USA 2007, 104, 5895–5900. [Google Scholar] [CrossRef]
- Bhattacharya, R.; Kwon, J.; Ali, B.; Wang, E.; Patra, S.; Shridhar, V.; Mukherjee, P. Role of Hedgehog Signaling in Ovarian Cancer. Clin. Cancer Res. 2008, 14, 7659–7666. [Google Scholar] [CrossRef]
- Rodon, J.; Tawbi, H.A.; Thomas, A.L.; Stoller, R.G.; Turtschi, C.P.; Baselga, J.; Sarantopoulos, J.; Mahalingam, D.; Shou, Y.; Moles, M.A.; et al. A Phase I, Multicenter, Open-Label, First-in-Human, Dose-Escalation Study of the Oral Smoothened Inhibitor Sonidegib (LDE225) in Patients with Advanced Solid Tumors. Clin. Cancer Res. 2014, 20, 1900–1909. [Google Scholar] [CrossRef]
- Karhadkar, S.S.; Bova, G.S.; Abdallah, N.; Dhara, S.; Gardner, D.; Maitra, A.; Isaacs, J.T.; Berman, D.M.; Beachy, P.A. Hedgehog Signalling in Prostate Regeneration, Neoplasia and Metastasis. Nature 2004, 431, 707–712. [Google Scholar] [CrossRef]
- Thayer, S.P.; di Magliano, M.P.; Heiser, P.W.; Nielsen, C.M.; Roberts, D.J.; Lauwers, G.Y.; Qi, Y.P.; Gysin, S.; Fernández-del Castillo, C.; Yajnik, V.; et al. Hedgehog is an Early and Late Mediator of Pancreatic Cancer Tumorigenesis. Nature 2003, 425, 851–856. [Google Scholar] [CrossRef]
- Lee, Y.; Kawagoe, R.; Sasai, K.; Li, Y.; Russell, H.R.; Curran, T.; McKinnon, P.J. Loss of Suppressor-of-Fused Function Promotes Tumorigenesis. Oncogene 2007, 26, 6442–6447. [Google Scholar] [CrossRef]
- Tsanev, R.; Tiigimägi, P.; Michelson, P.; Metsis, M.; Østerlund, T.; Kogerman, P. Identification of the Gene Transcription Repressor Domain of Gli3. FEBS Lett. 2009, 583, 224–228. [Google Scholar] [CrossRef]
- Sasaki, H.; Nishizaki, Y.; Hui, C.; Nakafuku, M.; Kondoh, H. Regulation of Gli2 and Gli3 Activities by an Amino-Terminal Repression Domain: Implication of Gli2 and Gli3 as Primary Mediators of Shh Signaling. Development 1999, 126, 3915–3924. [Google Scholar] [CrossRef]
- Smelkinson, M.G. The Hedgehog Signaling Pathway Emerges as a Pathogenic Target. J. Dev. Biol. 2017, 5, 14. [Google Scholar] [CrossRef]
- Cohen, M.; Kicheva, A.; Ribeiro, A.; Blassberg, R.; Page, K.M.; Barnes, C.P.; Briscoe, J. Ptch1 and Gli Regulate Shh Signalling Dynamics Via Multiple Mechanisms. Nat. Commun. 2015, 6, 6709. [Google Scholar] [CrossRef]
- Bosanac, I.; Maun, H.R.; Scales, S.J.; Wen, X.; Lingel, A.; Bazan, J.F.; de Sauvage, F.J.; Hymowitz, S.G.; Lazarus, R.A. The Structure of SHH in Complex with HHIP Reveals a Recognition Role for the Shh Pseudo Active Site in Signaling. Nat. Struct. Mol. Biol. 2009, 16, 691–697. [Google Scholar] [CrossRef]
- Holtz, A.M.; Peterson, K.A.; Nishi, Y.; Morin, S.; Song, J.Y.; Charron, F.; McMahon, A.P.; Allen, B.L. Essential Role for Ligand-Dependent Feedback Antagonism of Vertebrate Hedgehog Signaling by PTCH1, PTCH2 and HHIP1 during Neural Patterning. Development 2013, 140, 3423–3434. [Google Scholar] [CrossRef]
- Chuang, P.T.; Kawcak, T.; McMahon, A.P. Feedback Control of Mammalian Hedgehog Signaling by the Hedgehog-Binding Protein, Hip1, Modulates Fgf Signaling during Branching Morphogenesis of the Lung. Genes Dev. 2003, 17, 342–347. [Google Scholar] [CrossRef]
- Zamarrón, A.; García, M.; Río, M.D.; Larcher, F.; Juarranz, Á. Effects of Photodynamic Therapy on Dermal Fibroblasts from Xeroderma Pigmentosum and Gorlin-Goltz Syndrome Patients. Oncotarget 2017, 8, 77385–77399. [Google Scholar] [CrossRef]
- Zhu, Z.X.; Sun, C.C.; Ting Zhu, Y.; Wang, Y.; Wang, T.; Chi, L.S.; Cai, W.H.; Zheng, J.Y.; Zhou, X.; Cong, W.T.; et al. Hedgehog Signaling Contributes to Basic Fibroblast Growth Factor-Regulated Fibroblast Migration. Exp. Cell Res. 2017, 355, 83–94. [Google Scholar] [CrossRef]
- Jain, S.; Song, R.; Xie, J. Sonidegib: Mechanism of Action, Pharmacology, and Clinical Utility for Advanced Basal Cell Carcinomas. OncoTargets Ther. 2017, 10, 1645–1653. [Google Scholar] [CrossRef]
- Ueno, T.; Toi, M.; Saji, H.; Muta, M.; Bando, H.; Kuroi, K.; Koike, M.; Inadera, H.; Matsushima, K. Significance of Macrophage Chemoattractant Protein-1 in Macrophage Recruitment, Angiogenesis, and Survival in Human Breast Cancer. Clin. Cancer Res. 2000, 6, 3282–3289. [Google Scholar] [PubMed]
- Qian, B.Z.; Li, J.; Zhang, H.; Kitamura, T.; Zhang, J.; Campion, L.R.; Kaiser, E.A.; Snyder, L.A.; Pollard, J.W. CCL2 Recruits Inflammatory Monocytes to Facilitate Breast-Tumour Metastasis. Nature 2011, 475, 222–225. [Google Scholar] [CrossRef] [PubMed]
- Tian, H.; Callahan, C.A.; DuPree, K.J.; Darbonne, W.C.; Ahn, C.P.; Scales, S.J.; de Sauvage, F.J. Hedgehog Signaling is Restricted to the Stromal Compartment during Pancreatic Carcinogenesis. Proc. Natl. Acad. Sci. USA 2009, 106, 4254–4259. [Google Scholar] [CrossRef] [PubMed]
- Chen, X.; Song, E. Turning Foes to Friends: Targeting Cancer-Associated Fibroblasts. Nat. Rev. Drug Discov. 2019, 18, 99–115. [Google Scholar] [CrossRef]
- Albrengues, J.; Bertero, T.; Grasset, E.; Bonan, S.; Maiel, M.; Bourget, I.; Philippe, C.; Herraiz Serrano, C.; Benamar, S.; Croce, O.; et al. Epigenetic Switch Drives the Conversion of Fibroblasts into Proinvasive Cancer-Associated Fibroblasts. Nat. Commun. 2015, 6, 10204. [Google Scholar] [CrossRef]
- Xu, J.; Xu, Y.; Xu, Y.; Yin, L.; Zhang, Y. Global Inactivation of Carboxylesterase 1 (Ces1/Ces1g) Protects Against Atherosclerosis in Ldlr (-/-) Mice. Sci. Rep. 2017, 7, 17845. [Google Scholar] [CrossRef]
- Luchetti, G.; Sircar, R.; Kong, J.H.; Nachtergaele, S.; Sagner, A.; Byrne, E.F.; Covey, D.F.; Siebold, C.; Rohatgi, R. Cholesterol Activates the G-Protein Coupled Receptor Smoothened to Promote Hedgehog Signaling. Elife 2016, 5, e20304. [Google Scholar] [CrossRef]
- Kinnebrew, M.; Iverson, E.J.; Patel, B.B.; Pusapati, G.V.; Kong, J.H.; Johnson, K.A.; Luchetti, G.; Eckert, K.M.; McDonald, J.G.; Covey, D.F.; et al. Cholesterol Accessibility at the Ciliary Membrane Controls Hedgehog Signaling. Elife 2019, 8, e50051. [Google Scholar] [CrossRef]
- Raleigh, D.R.; Sever, N.; Choksi, P.K.; Sigg, M.A.; Hines, K.M.; Thompson, B.M.; Elnatan, D.; Jaishankar, P.; Bisignano, P.; Garcia-Gonzalo, F.R.; et al. Cilia-Associated Oxysterols Activate Smoothened. Mol. Cell 2018, 72, 316–327.e5. [Google Scholar] [CrossRef]
- Blassberg, R.; Jacob, J. Lipid Metabolism Fattens Up Hedgehog Signaling. BMC Biol. 2017, 15, 95. [Google Scholar] [CrossRef]
- Radhakrishnan, A.; Rohatgi, R.; Siebold, C. Cholesterol Access in Cellular Membranes Controls Hedgehog Signaling. Nat. Chem. Biol. 2020, 16, 1303–1313. [Google Scholar] [CrossRef]
- Taylor, F.R.; Wen, D.; Garber, E.A.; Carmillo, A.N.; Baker, D.P.; Arduini, R.M.; Williams, K.P.; Weinreb, P.H.; Rayhorn, P.; Hronowski, X.; et al. Enhanced Potency of Human Sonic Hedgehog by Hydrophobic Modification. Biochemistry 2001, 40, 4359–4371. [Google Scholar] [CrossRef]
- Pepinsky, R.B.; Zeng, C.; Wen, D.; Rayhorn, P.; Baker, D.P.; Williams, K.P.; Bixler, S.A.; Ambrose, C.M.; Garber, E.A.; Miatkowski, K.; et al. Identification of a Palmitic Acid-Modified Form of Human Sonic Hedgehog. J. Biol. Chem. 1998, 273, 14037–14045. [Google Scholar] [CrossRef]
- Sekulic, A.; Migden, M.R.; Basset-Seguin, N.; Garbe, C.; Gesierich, A.; Lao, C.D.; Miller, C.; Mortier, L.; Murrell, D.F.; Hamid, O.; et al. Long-Term Safety and Efficacy of Vismodegib in Patients with Advanced Basal Cell Carcinoma: Final Update of the Pivotal ERIVANCE BCC Study. BMC Cancer 2017, 17, 332. [Google Scholar] [CrossRef]
- Lear, J.T.; Migden, M.R.; Lewis, K.D.; Chang, A.L.S.; Guminski, A.; Gutzmer, R.; Dirix, L.; Combemale, P.; Stratigos, A.; Plummer, R.; et al. Long-Term Efficacy and Safety of Sonidegib in Patients with Locally Advanced and Metastatic Basal Cell Carcinoma: 30-Month Analysis of the Randomized Phase 2 BOLT Study. J. Eur. Acad. Dermatol. Venereol. 2018, 32, 372–381. [Google Scholar] [CrossRef]
- Migden, M.; Farberg, A.S.; Dummer, R.; Squittieri, N.; Hanke, C.W. A Review of Hedgehog Inhibitors Sonidegib and Vismodegib for Treatment of Advanced Basal Cell Carcinoma. J. Drugs Dermatol. 2021, 20, 156–165. [Google Scholar] [CrossRef]
- Dummer, R.; Guminksi, A.; Gutzmer, R.; Lear, J.T.; Lewis, K.D.; Chang, A.L.S.; Combemale, P.; Dirix, L.; Kaatz, M.; Kudchadkar, R.; et al. Long-Term Efficacy and Safety of Sonidegib in Patients with Advanced Basal Cell Carcinoma: 42-Month Analysis of the Phase II Randomized, Double-Blind BOLT Study. Br. J. Dermatol. 2020, 182, 1369–1378. [Google Scholar] [CrossRef]
- Passarelli, A.; Galdo, G.; Aieta, M.; Fabrizio, T.; Villonio, A.; Conca, R. A Vismodegib Experience in Elderly Patients with Basal Cell Carcinoma: Case Reports and Review of the Literature. Int. J. Mol. Sci. 2020, 21, 8596. [Google Scholar] [CrossRef]
- Lorusso, P.M.; Jimeno, A.; Dy, G.; Adjei, A.; Berlin, J.; Leichman, L.; Low, J.A.; Colburn, D.; Chang, I.; Cheeti, S.; et al. Pharmacokinetic Dose-Scheduling Study of Hedgehog Pathway Inhibitor Vismodegib (GDC-0449) in Patients with Locally Advanced Or Metastatic Solid Tumors. Clin. Cancer Res. 2011, 17, 5774–5782. [Google Scholar] [CrossRef]
- Graham, R.A.; Hop, C.E.; Borin, M.T.; Lum, B.L.; Colburn, D.; Chang, I.; Shin, Y.G.; Malhi, V.; Low, J.A.; Dresser, M.J. Single and Multiple Dose Intravenous and Oral Pharmacokinetics of the Hedgehog Pathway Inhibitor Vismodegib in Healthy Female Subjects. Br. J. Clin. Pharmacol. 2012, 74, 788–796. [Google Scholar] [CrossRef]
- Pietrobono, S.; Stecca, B. Targeting the Oncoprotein Smoothened by Small Molecules: Focus on Novel Acylguanidine Derivatives as Potent Smoothened Inhibitors. Cells 2018, 7, 272. [Google Scholar] [CrossRef] [PubMed]
- Rohatgi, R.; Milenkovic, L.; Corcoran, R.B.; Scott, M.P. Hedgehog Signal Transduction by Smoothened: Pharmacologic Evidence for a 2-Step Activation Process. Proc. Natl. Acad. Sci. USA 2009, 106, 3196–3201. [Google Scholar] [CrossRef] [PubMed]








Publisher’s Note: MDPI stays neutral with regard to jurisdictional claims in published maps and institutional affiliations. |
© 2021 by the authors. Licensee MDPI, Basel, Switzerland. This article is an open access article distributed under the terms and conditions of the Creative Commons Attribution (CC BY) license (https://creativecommons.org/licenses/by/4.0/).
Share and Cite
Eibenschutz, L.; Caputo, S.; Camera, E.; Carbone, A.; Silipo, V.; Migliano, E.; Aurizi, C.; Cota, C.; Frascione, P.; Bellei, B. Evaluation of Hedgehog Pathway Inhibition on Nevoid Basal Cell Carcinoma Syndrome Fibroblasts and Basal Cell Carcinoma-Associated Fibroblasts: Are Vismodegib and Sonidegib Useful to Target Cancer-Prone Fibroblasts? Cancers 2021, 13, 5858. https://doi.org/10.3390/cancers13225858
Eibenschutz L, Caputo S, Camera E, Carbone A, Silipo V, Migliano E, Aurizi C, Cota C, Frascione P, Bellei B. Evaluation of Hedgehog Pathway Inhibition on Nevoid Basal Cell Carcinoma Syndrome Fibroblasts and Basal Cell Carcinoma-Associated Fibroblasts: Are Vismodegib and Sonidegib Useful to Target Cancer-Prone Fibroblasts? Cancers. 2021; 13(22):5858. https://doi.org/10.3390/cancers13225858
Chicago/Turabian StyleEibenschutz, Laura, Silvia Caputo, Emanuela Camera, Anna Carbone, Vitaliano Silipo, Emilia Migliano, Caterina Aurizi, Carlo Cota, Pasquale Frascione, and Barbara Bellei. 2021. "Evaluation of Hedgehog Pathway Inhibition on Nevoid Basal Cell Carcinoma Syndrome Fibroblasts and Basal Cell Carcinoma-Associated Fibroblasts: Are Vismodegib and Sonidegib Useful to Target Cancer-Prone Fibroblasts?" Cancers 13, no. 22: 5858. https://doi.org/10.3390/cancers13225858
APA StyleEibenschutz, L., Caputo, S., Camera, E., Carbone, A., Silipo, V., Migliano, E., Aurizi, C., Cota, C., Frascione, P., & Bellei, B. (2021). Evaluation of Hedgehog Pathway Inhibition on Nevoid Basal Cell Carcinoma Syndrome Fibroblasts and Basal Cell Carcinoma-Associated Fibroblasts: Are Vismodegib and Sonidegib Useful to Target Cancer-Prone Fibroblasts? Cancers, 13(22), 5858. https://doi.org/10.3390/cancers13225858

