Cardiac Relapse of Acute Lymphoblastic Leukemia Following Hematopoietic Stem Cell Transplantation: A Case Report and Review of Literature
Abstract
Simple Summary
Abstract
1. Introduction
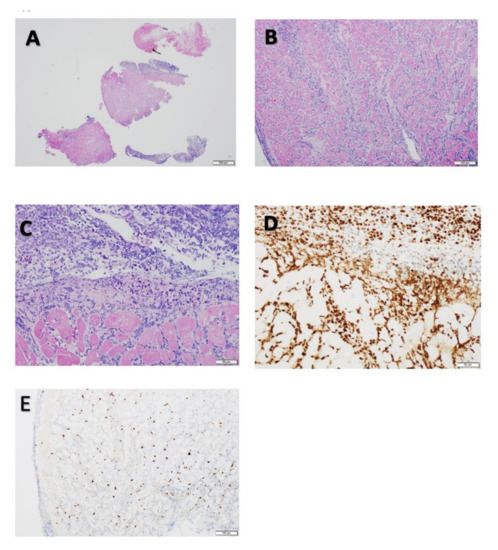
2. Case Presentation
3. EMR of ALL
4. Immunotherapy for Relapsed and/or Refractory Pediatric ALL
5. Immunotherapy and Transplantation in the Setting of EMR
6. Immunotherapy Targeting Molecular Pathways
7. Cardiotoxicity of Immunotherapy
8. Prognosis Following EMR of ALL
9. Conclusions
Author Contributions
Funding
Acknowledgments
Conflicts of Interest
References
- Chang, K.; Kim, D.Y.; Lee, K.H.; Huh, J.; Kang, J.W.; Shin, D.Y.; Kim, D.H. An isolated cardiac relapse after allogeneic hematopoietic stem cell transplantation for acute lym-phoblastic leukemia. Korean J. Intern. Med. 2017, 32, 753–757. [Google Scholar] [CrossRef] [PubMed]
- Hori, T.; Suzuki, N.; Mizue, N.; Hatakeyama, N.; Takamuro, M.; Tsutsumi, H. Relapse of T-cell all after stem cell transplant presenting as hypertrophic cardiomyopathy: The value of non-invasive diagnostic imaging in detecting cardiac leukemia. Pediatr. Blood Cancer 2005, 46, 108–111. [Google Scholar] [CrossRef]
- Ghosh, A.K.; Chen, D.H.; Guha, A.; Mackenzie, S.; Walker, J.M.; Roddie, C. CAR T cell therapy–related cardiovascular outcomes and management: Systemic disease or direct cardio-toxicity? JACC Cardio Oncol. 2020, 2, 97–109. [Google Scholar] [CrossRef] [PubMed]
- PDQ Pediatric Treatment Editorial Board. Childhood Acute Lymphoblastic Leukemia Treatment (PDQ®): Health Profession-al Version, in PDQ Cancer Information Summaries; National Cancer Institute (US): Bethesda, MD, USA, 2002. [Google Scholar]
- Salzer, W.L.; Burke, M.J.; Devidas, M.; Dai, Y.; Hardy, K.K.; Kairalla, J.A.; Gore, L.; Hilden, J.M.; Larsen, E.; Rabin, K.R.; et al. Impact of Intrathecal Triple Therapy Versus Intrathecal Methotrexate on Disease-Free Survival for High-Risk B-Lymphoblastic Leukemia: Children’s Oncology Group Study AALL1131. J. Clin. Oncol. 2020, 38, 2628–2638. [Google Scholar] [CrossRef]
- Barredo, J.C.; Devidas, M.; Lauer, S.J.; Billett, A.; Marymont, M.; Pullen, J.; Camitta, B.; Winick, N.; Carroll, W.; Ritchey, A.K. Isolated CNS Relapse of Acute Lymphoblastic Leukemia Treated With Intensive Systemic Chemotherapy and Delayed CNS Radiation: A Pediatric Oncology Group Study. J. Clin. Oncol. 2006, 24, 3142–3149. [Google Scholar] [CrossRef]
- Rausch, C.R.; Jabbour, E.J.; Kantarjian, H.M.; Kadia, T.M. Optimizing the use of the hyperCVAD regimen: Clinical vignettes and practical management. Cancer 2019, 126, 1152–1160. [Google Scholar] [CrossRef] [PubMed]
- Aguayo, A.; Cortes, J.; Thomas, D.; Pierce, S.; Keating, M.; Kantarjian, H. Combination therapy with methotrexate, vincristine, polyethylene-glycol conjugated-asparaginase, and prednisone in the treatment of patients with refractory or recurrent acute lymphoblastic leukemia. Cancer 1999, 86, 1203–1209. [Google Scholar] [CrossRef]
- Roberts, W.C.; Bodey, G.P.; Wertlat, P.T. The heart in acute leukemia A study of 420 autopsy cases. Am. J. Cardiol. 1968, 21, 388–412. [Google Scholar] [CrossRef]
- Sumners, J.E.; Johnson, W.W.; Ainger, L.E. Childhood Leukemic Heart Disease. Circulation 1969, 40, 575–581. [Google Scholar] [CrossRef] [PubMed]
- Malbora, B.; Ozyurek, E.; Yildirim, S.V.; Avci, Z.; Özbek, N. Cardiac Involvement in an Adolescent with Acute Lymphoblastic Leukemia. Pediatr. Hematol. Oncol. 2010, 27, 476–481. [Google Scholar] [CrossRef]
- Barbaric, D.; Holley, D.; Lau, K.-C.; McCowage, G. It is ALL in the Heart: A Patient with Acute Lymphoblastic Leukemia and Cardiac Infiltration at Time of Diagnosis. Leuk. Lymphoma 2002, 43, 2417–2419. [Google Scholar] [CrossRef]
- Teachey, D.T.; O’Connor, D. How I treat newly diagnosed T-cell acute lymphoblastic leukemia and T-cell lymphoblastic lymphoma in children. Blood 2020, 135, 159–166. [Google Scholar] [CrossRef] [PubMed]
- Wong, J.W.; Pitlik, D.A.; Abdul-Karim, F.W. Cytology of Pleural, Peritoneal and Pericardial Fluids in Children. Acta Cytol. 1997, 41, 467–473. [Google Scholar] [CrossRef]
- Veinot, J.P. Endomyocardial biopsy of cardiac neoplastic involvement. Ann. Thorac. Surg. 2003, 75, 1363–1364. [Google Scholar] [CrossRef]
- Wiernik, P.H.; Sutherland, J.C.; Stechmiller, B.K.; Wolff, J. Clinically significant cardiac infiltration in acute leukemia, lymphocytic lymphoma, and plasma cell myeloma. Med. Pediatr. Oncol. 1976, 2, 75–85. [Google Scholar] [CrossRef] [PubMed]
- Hardikar, A.; Shekar, P.; Stubberfield, J.; Craddock, D.R.; Bignold, L.P. Cardiac involvement in a case of acute lymphoblastic leukemia. Ann. Thorac. Surg. 2002, 73, 1310–1312. [Google Scholar] [CrossRef]
- Espino, G.; Denney, J.; Furlong, T.; Fitzsimmons, W.; Nash, R.A. Assessment of myocardial hypertrophy by echocardiography in adult patients receiving tacrolimus or cyclosporine therapy for prevention of acute GVHD. Bone Marrow Transplant. 2001, 28, 1097–1103. [Google Scholar] [CrossRef] [PubMed]
- Werner, R.A.; Rudelius, M.; Thurner, A.; Higuchi, T.; Lapa, C. Cardiac Manifestation of Acute Lymphoblastic Leukemia. Clin. Nucl. Med. 2016, 41, 570–571. [Google Scholar] [CrossRef] [PubMed]
- Cunningham, I. Extramedullary sites of leukemia relapse after transplant. Leuk. Lymphoma 2006, 47, 1754–1767. [Google Scholar] [CrossRef] [PubMed]
- Nies, B.A.; Bodey, G.P.; Thomas, L.B.; Brecher, G.; Freireich, E.J. The persistence of extramedullary leukemic infiltrates during bone marrow remission of acute leukemia. Blood 1965, 26, 133–141. [Google Scholar] [CrossRef]
- Cunningham, I. A clinical review of breast involvement in acute leukemia. Leuk. Lymphoma 2006, 47, 2517–2526. [Google Scholar] [CrossRef] [PubMed]
- Stillman, M.J.; Christensen, W.; Payne, R.; Foley, K.M. Leukemic relapse presenting as sciatic nerve involvement by chloroma (granulocytic sarcoma). Cancer 1988, 62, 2047–2050. [Google Scholar] [CrossRef]
- Liu, H.-C.; Hung, G.-Y.; Yen, H.-J.; Hsieh, M.-Y.; Chiou, T.-J. Acute Sciatica: An Unusual Presentation of Extramedullary Relapse of Acute Lymphoblastic Leukemia. Int. J. Hematol. 2007, 86, 163–165. [Google Scholar] [CrossRef] [PubMed]
- Bhatti, A.; Bansal, D.; Vashishta, R.K.; Lal, S.B. Isolated Gut Relapse Presenting as Chronic Diarrhea During Maintenance Therapy for Acute Lymphoblastic Leukemia. J. Pediatr. Hematol. 2010, 32, 504–505. [Google Scholar] [CrossRef]
- Kletzel, M.; Meitar, D.; El-Youssef, M.; Cohn, S.L. Gastrointestinal relapse of leukemia, mimicking acute graft vs. host disease, following a stem cell transplant. Med. Pediatr. Oncol. 2000, 34, 287–289. [Google Scholar] [CrossRef]
- Papadakis, V.; Roma, E.; Stefanaki, K.; Panagiotou, I.; Papargyri, S.; Paterakis, G.; Polychronopoulou, S. Gastrointestinal presentation of late acute lymphoblastic leukemia relapse. Pediatr. Int. 2009, 52, e171–e174. [Google Scholar] [CrossRef] [PubMed]
- Ragoonanan, D.; Tambaro, F.P.; Khazal, S.J.; Tewari, P.; Petropoulos, D.; Champlin, R.; Mahadeo, K.M. Cytokine release syndrome and complete remission of extra medullary acute lymphoblastic leukemia of the breast with CAR-T and radiation therapy. Pediatr. Blood Cancer 2020, 68, e28839. [Google Scholar] [CrossRef]
- Chong, G.; Byrnes, G.; Szer, J.; Grigg, A. Extramedullary relapse after allogeneic bone marrow transplantation for haematological malignancy. Bone Marrow Transplant. 2000, 26, 1011–1015. [Google Scholar] [CrossRef] [PubMed]
- Lee, J.-H.; Choi, S.-J.; Lee, J.-H.; Seol, M.; Lee, Y.-S.; Ryu, S.-G.; Park, C.-J.; Chi, H.-S.; Lee, M.-S.; Yun, S.; et al. Anti-leukemic effect of graft-versus-host disease on bone marrow and extramedullary relapses in acute leukemia. Haematologica 2005, 90, 1380–1388. [Google Scholar] [PubMed]
- Odom, L.; Githens, J.; Morse, H.; Sharma, B.; August, C.; Humbert, J.; Peakman, D.; Rusnak, S.; Johnson, F. Remission of relapsed leukæmia during a graft-versus-host reaction a “graft-versus-leukæmia reaction” in man? Lancet 1978, 312, 537–540. [Google Scholar] [CrossRef]
- Gaudichon, J.; Jakobczyk, H.; Debaize, L.; Cousin, E.; Galibert, M.-D.; Troadec, M.-B.; Gandemer, V. Mechanisms of extramedullary relapse in acute lymphoblastic leukemia: Reconciling biological concepts and clinical issues. Blood Rev. 2019, 36, 40–56. [Google Scholar] [CrossRef] [PubMed]
- Descot, A.; Oskarsson, T. The molecular composition of the metastatic niche. Exp. Cell Res. 2013, 319, 1679–1686. [Google Scholar] [CrossRef]
- Hanahan, D.; Weinberg, R.A. Hallmarks of Cancer: The Next Generation. Cell 2011, 144, 646–674. [Google Scholar] [CrossRef] [PubMed]
- Au, W.Y.; Kwong, Y.L.; Lie, A.K.; Ma, S.K.; Liang, R. Extra-medullary relapse of leukemia following allogeneic bone marrow transplantation. Hematol. Oncol. 1999, 17, 45–52. [Google Scholar] [CrossRef]
- Cunningham, I. A basis for updating our approach to resistant acute leukemia. Am. J. Hematol. 2012, 87, 251–257. [Google Scholar] [CrossRef] [PubMed]
- Khazal, S.; Kebriaei, P. Debate: Transplant Is Still Necessary in the Era of Targeted Cellular Therapy for Acute Lymphoblastic Leukemia. Clin. Lymphoma Myeloma Leuk. 2020, 20, 713–719. [Google Scholar] [CrossRef] [PubMed]
- Locatelli, F.; Zugmaier, G.; Rizzari, C.; Morris, J.D.; Gruhn, B.; Klingebiel, T.; Parasole, R.; Linderkamp, C.; Flotho, C.; Petit, A.; et al. Effect of blinatumomab vs chemotherapy on event-free survival among children with high-risk first-relapse B-cell acute lymphoblastic leukemia: A randomized clinical trial. JAMA 2021, 325, 843–854. [Google Scholar] [CrossRef]
- Brown, P.A.; Ji, L.; Xu, X.; Devidas, M.; Hogan, L.E.; Borowitz, M.J.; Raetz, E.A.; Locatelli, F.; Zugmaier, G.; Rizzari, C.; et al. Effect of Postreinduction Therapy Consolidation With Blinatumomab vs Chemotherapy on Disease-Free Survival in Children, Adolescents, and Young Adults With First Relapse of B-Cell Acute Lymphoblastic Leukemia. JAMA 2021, 325, 833–842. [Google Scholar] [CrossRef] [PubMed]
- Inaba, H.; Pui, C.-H. Immunotherapy in pediatric acute lymphoblastic leukemia. Cancer Metastasis Rev. 2019, 38, 595–610. [Google Scholar] [CrossRef] [PubMed]
- Stein, A.; Franklin, J.L.; Chia, V.M.; Arrindell, D.; Kormany, W.; Wright, J.; Parson, M.; Amouzadeh, H.R.; Choudhry, J.; Joseph, G. Benefit–Risk Assessment of Blinatumomab in the Treatment of Relapsed/Refractory B-Cell Precursor Acute Lymphoblastic Leukemia. Drug Saf. 2019, 42, 587–601. [Google Scholar] [CrossRef]
- Bhojwani, D.; Sposto, R.; Shah, N.N.; Rodriguez, V.; Yuan, C.; Stetler-Stevenson, M.; O’Brien, M.M.; McNeer, J.L.; Quereshi, A.; Cabannes, A.; et al. Inotuzumab ozogamicin in pediatric patients with relapsed/refractory acute lymphoblastic leukemia. Leuk. 2019, 33, 884–892. [Google Scholar] [CrossRef] [PubMed]
- O’Brien, M.M.; Ji, L.; Shah, N.N.; Rheingold, S.R.; Bhojwani, D.; Yi, J.S.; Yuan, C.M.; Harris, A.C.; Brown, P.A.; Borowitz, M.J.; et al. A Phase 2 Trial of Inotuzumab Ozogamicin (InO) in Children and Young Adults with Relapsed or Refractory (R/R) CD22+ B-Acute Lymphoblastic Leukemia (B-ALL): Results from Children’s Oncology Group Protocol AALL1621. Blood 2019, 134, 741. [Google Scholar] [CrossRef]
- Hunger, S.P.; Raetz, E.A. How I treat relapsed acute lymphoblastic leukemia in the pediatric population. Blood 2020, 136, 1803–1812. [Google Scholar] [CrossRef] [PubMed]
- Jacobs, J.E.; Hastings, C. Isolated Extramedullary Relapse in Childhood Acute Lymphocytic Leukemia. Curr. Hematol. Malign- Rep. 2010, 5, 185–191. [Google Scholar] [CrossRef]
- Gabelli, M.; Zecca, M.; Messina, C.; Carraro, E.; Buldini, B.; Rovelli, A.M.; Fagioli, F.; Bertaina, A.; Lanino, E.; Favre, C.; et al. Hematopoietic stem cell transplantation for isolated extramedullary relapse of acute lymphoblastic leukemia in children. Bone Marrow Transplant. 2019, 54, 275–283. [Google Scholar] [CrossRef] [PubMed]
- Domenech, C.; Mercier, M.; Plouvier, E.; Puraveau, M.; Bordigoni, P.; Michel, G.; Benoit, Y.; Leverger, G.; Baruchel, A.; Bertrand, Y. First isolated extramedullary relapse in children with B-cell precursor acute lymphoblastic leukaemia: Results of the Cooprall-97 study. Eur. J. Cancer 2008, 44, 2461–2469. [Google Scholar] [CrossRef] [PubMed]
- Borgmann, A.; Hartmann, R.; Schmid, H.; Klingebiel, T.; Ebell, W.; Göbel, U.; Peters, C.; Gadner, H.; Henze, G. Isolated extramedullary relapse in children with acute lymphoblastic leukemia: A comparison between treatment results of chemotherapy and bone marrow transplantation. BFM Relapse Study Group. BFM Relapse Study Group Bone Marrow Transpl 1995, 15, 515–521. [Google Scholar]
- Weng, J.; Lai, P.; Qin, L.; Lai, Y.; Jiang, Z.; Luo, C.; Huang, X.; Wu, S.; Shao, D.; Deng, C.; et al. A novel generation 1928zT2 CAR T cells induce remission in extramedullary relapse of acute lymphoblastic leukemia. J. Hematol. Oncol. 2018, 11, 1–12. [Google Scholar] [CrossRef] [PubMed]
- Zhang, H.; Hu, Y.; Wei, G.; Wu, W.; Huang, H. Successful chimeric antigen receptor T cells therapy in extramedullary relapses of acute lymphoblastic leukemia after allogeneic hematopoietic stem cell transplantation. Bone Marrow Transplant. 2019, 55, 1476–1478. [Google Scholar] [CrossRef] [PubMed]
- Larson, R.C.; Maus, M.V. Recent advances and discoveries in the mechanisms and functions of CAR T cells. Nat. Rev. Cancer 2021, 21, 145–161. [Google Scholar] [CrossRef]
- Grupp, S.A.; Kalos, M.; Barrett, D.; Aplenc, R.; Porter, D.L.; Rheingold, S.R.; Teachey, D.; Chew, A.; Hauck, B.; Wright, J.F.; et al. Chimeric Antigen Receptor–Modified T Cells for Acute Lymphoid Leukemia. N. Engl. J. Med. 2013, 368, 1509–1518. [Google Scholar] [CrossRef] [PubMed]
- Rubinstein, J.D.; Krupski, C.; Nelson, A.S.; O’Brien, M.M.; Davies, S.M.; Phillips, C.L. Chimeric Antigen Receptor T Cell Therapy in Patients with Multiply Relapsed or Refractory Extramedullary Leukemia. Biol. Blood Marrow Transplant. 2020, 26, e280–e285. [Google Scholar] [CrossRef]
- Talekar, M.K.; Maude, S.L.; Hucks, G.E.; Motley, L.S.; Callahan, C.; White, C.M.; Baniewicz, D.; Barrett, D.M.; Rheingold, S.R.; Lacey, S.F.; et al. Effect of chimeric antigen receptor-modified T (CAR-T) cells on responses in children with non-CNS extramedullary relapse of CD19+ acute lymphoblastic leukemia (ALL). J. Clin. Oncol. 2017, 35, 10507. [Google Scholar] [CrossRef]
- Veys, D.; Norton, A.; Ainsworth, J.R.; Amrolia, P.; Lucchini, G. Isolated Intraocular Relapse of Pediatric B-cell Precursor Acute Lymphoblastic Leukaemia Following Chimeric Antigen Receptor T-lymphocyte Therapy. Cureus 2020, 12, 10937. [Google Scholar] [CrossRef]
- Jacoby, E.; Bielorai, B.; Avigdor, A.; Itzhaki, O.; Hutt, D.; Nussboim, V.; Meir, A.; Kubi, A.; Levy, M.; Zikich, D.; et al. Locally produced CD19 CAR T cells leading to clinical remissions in medullary and extramedullary relapsed acute lymphoblastic leukemia. Am. J. Hematol. 2018, 93, 1485–1492. [Google Scholar] [CrossRef] [PubMed]
- Park, J.H.; Rivière, I.; Gonen, M.; Wang, X.; Sénéchal, B.; Curran, K.J.; Sauter, C.; Wang, Y.; Santomasso, B.; Mead, E.; et al. Long-Term Follow-up of CD19 CAR Therapy in Acute Lymphoblastic Leukemia. N. Engl. J. Med. 2018, 378, 449–459. [Google Scholar] [CrossRef] [PubMed]
- Essa, M.F.; Alsultan, A. Orbital extramedullary leukemia relapse in a pediatric patient post-CART cell therapy—Case report. Pediatr. Transplant. 2021, 25, e13852. [Google Scholar] [CrossRef] [PubMed]
- Mo, X.-D.; Kong, J.; Zhao, T.; Xu, L.-P.; Zhang, X.-H.; Liu, D.-H.; Wang, Y.; Chen, H.; Yan, C.-H.; Chen, Y.-H.; et al. Extramedullary Relapse of Acute Leukemia after Haploidentical Hematopoietic Stem Cell Transplantation: Incidence, Risk Factors, Treatment, and Clinical Outcomes. Biol. Blood Marrow Transplant. 2014, 20, 2023–2028. [Google Scholar] [CrossRef] [PubMed]
- Shi, J.-M.; Meng, X.-J.; Luo, Y.; Tan, Y.-M.; Zhu, X.-L.; Zheng, G.-F.; He, J.-S.; Zheng, W.-Y.; Xie, W.-Z.; Li, L.; et al. Clinical characteristics and outcome of isolated extramedullary relapse in acute leukemia after allogeneic stem cell transplantation: A single-center analysis. Leuk. Res. 2013, 37, 372–377. [Google Scholar] [CrossRef] [PubMed]
- Gunes, G.; Goker, H.; Demiroglu, H.; Malkan, U.Y.; Buyukasik, Y. Extramedullary relapses of acute leukemias after allogeneic hematopoietic stem cell transplantation: Clinical features, cumulative incidence, and risk factors. Bone Marrow Transplant. 2018, 54, 595–600. [Google Scholar] [CrossRef] [PubMed]
- Demosthenous, C.; Lalayanni, C.; Iskas, M.; Douka, V.; Pastelli, N.; Anagnostopoulos, A. Extramedullary relapse and discordant CD19 expression between bone marrow and extramedullary sites in relapsed acute lymphoblastic leukemia after blinatumomab treatment. Curr. Probl. Cancer 2019, 43, 222–227. [Google Scholar] [CrossRef]
- Silva, W.F.D.; Marquez, G.L.; Salim, R.C.; Rocha, V. Primary refractory B-cell lymphoblastic leukemia with extramedullary disease—A distinctive response to blinatumomab and inotuzumab ozogamicin. Hematol. Transfus. Cell Ther. 2019, 41, 356–359. [Google Scholar]
- Aldoss, I.; Song, J.; Stiller, T.; Nguyen, T.; Palmer, J.; O’Donnell, M.; Stein, A.S.; Marcucci, G.; Forman, S.; Pullarkat, V. Correlates of resistance and relapse during blinatumomab therapy for relapsed/refractory acute lymphoblastic leukemia. Am. J. Hematol. 2017, 92, 858–865. [Google Scholar] [CrossRef] [PubMed]
- Bertamini, L.; Nanni, J.; Marconi, G.; Abbenante, M.; Robustelli, V.; Bacci, F.; Matti, A.; Paolini, S.; Sartor, C.; Monaco, S.L.; et al. Inotuzumab ozogamicin is effective in relapsed/refractory extramedullary B acute lymphoblastic leukemia. BMC Cancer 2018, 18, 1117. [Google Scholar] [CrossRef]
- Kantarjian, H.M.; DeAngelo, D.; Stelljes, M.; Liedtke, M.; Stock, W.; Gökbuget, N.; O’Brien, S.M.; Jabbour, E.; Wang, T.; White, J.L.; et al. Inotuzumab ozogamicin versus standard of care in relapsed or refractory acute lymphoblastic leukemia: Final report and long-term survival follow-up from the randomized, phase 3 INO-VATE study. Cancer 2019, 125, 2474–2487. [Google Scholar] [CrossRef]
- DeAngelo, D.J.; Advani, A.S.; Marks, D.I.; Stelljes, M.; Liedtke, M.; Stock, W.; Gökbuget, N.; Jabbour, E.; Merchant, A.; Wang, T.; et al. Inotuzumab ozogamicin for relapsed/refractory acute lymphoblastic leukemia: Outcomes by disease burden. Blood Cancer J. 2020, 10, 1–11. [Google Scholar] [CrossRef] [PubMed]
- Patriarca, F.; Sperotto, A.; Skert, C.; Damiani, D.; Prosdocimo, S.; Fanin, R. Successful treatment of hematological and extramedullary relapse of MLL-positive acute lymphoblastic leukemia after bone marrow transplantation using donor leukocyte infusion. Ann. Hematol. 2004, 83, 667–669. [Google Scholar] [CrossRef] [PubMed]
- Slavin, S.; Nagler, A. Immunotherapy in conjunction with autologous and allogeneic blood or marrow transplantation in lymphoma. Ann. Oncol. 1998, 9, S31–S39. [Google Scholar] [CrossRef]
- Lawson, S.E.; Darbyshire, P.J. Use of donor lymphocytes in extramedullary relapse of childhood acute lymphoblastic leukaemia following bone marrow transplantation. Bone Marrow Transplant. 1998, 22, 829–830. [Google Scholar] [CrossRef][Green Version]
- Loren, A.W.; Porter, D.L. Donor leukocyte infusions for the treatment of relapsed acute leukemia after allogeneic stem cell transplantation. Bone Marrow Transplant. 2008, 41, 483–493. [Google Scholar] [CrossRef] [PubMed][Green Version]
- Berthou, C.; Léglise, M.C.; Herry, A.; Balcon, D.; Hardy, E.; Lessard, M.; Abgrall, J.F. Extramedullary relapse after favorable molecular response to donor leukocyte infusions for recurring acute leukemia. Leukemia 1998, 12, 1676–1681. [Google Scholar] [CrossRef] [PubMed][Green Version]
- Cramer, S.D.; Aplan, P.D.; Durum, S.K. Therapeutic targeting of IL-7Rα signaling pathways in ALL treatment. Blood 2016, 128, 473–478. [Google Scholar] [CrossRef] [PubMed]
- Silva, A.; Laranjeira, A.B.A.; Martins, L.; Cardoso, B.; Demengeot, J.; Yunes, J.A.; Seddon, B.; Barata, J. IL-7 Contributes to the Progression of Human T-cell Acute Lymphoblastic Leukemias. Cancer Res. 2011, 71, 4780–4789. [Google Scholar] [CrossRef] [PubMed]
- Shochat, C.; Tal, N.; Bandapalli, O.R.; Palmi, C.; Ganmore, I.; Kronnie, G.T.; Cario, G.; Cazzaniga, G.; Kulozik, A.E.; Stanulla, M.; et al. Gain-of-function mutations in interleukin-receptor-α (IL7R) in childhood acute lymphoblastic leukemias. J. Exp. Med. 2011, 208, 901–908. [Google Scholar] [CrossRef] [PubMed]
- Rodrigues, G.O.; Cramer, S.D.; Winer, H.Y.; Hixon, J.A.; Li, W.; Yunes, J.A.; Durum, S.K. Mutations that collaborate with IL-7Ra signaling pathways to drive ALL. Adv. Biol. Regul. 2021, 80, 100788. [Google Scholar] [CrossRef] [PubMed]
- Paganelli, F.; Lonetti, A.; Anselmi, L.; Martelli, A.M.; Evangelisti, C.; Chiarini, F. New advances in targeting aberrant signaling pathways in T-cell acute lymphoblastic leukemia. Adv. Biol. Regul. 2019, 74, 100649. [Google Scholar] [CrossRef]
- Ratti, S.; Lonetti, A.; Follo, M.Y.; Paganelli, F.; Martelli, A.M.; Chiarini, F.; Evangelisti, C. B-ALL Complexity: Is Targeted Therapy Still a Valuable Approach for Pediatric Patients? Cancers 2020, 12, 3498. [Google Scholar] [CrossRef]
- Heatley, S.L.; Sadras, T.; Kok, C.H.; Nievergall, E.; Quek, K.; Dang, P.; McClure, B.; Venn, N.; Moore, S.; Suttle, J.; et al. High prevalence of relapse in children with Philadelphia-like acute lymphoblastic leukemia despite risk-adapted treatment. Haematologica 2017, 102, e490–e493. [Google Scholar] [CrossRef] [PubMed]
- Maude, S.L.; Laetsch, T.W.; Buechner, J.; Rives, S.; Boyer, M.; Bittencourt, H.; Bader, P.; Verneris, M.R.; Stefanski, H.E.; Myers, G.D.; et al. Tisagenlecleucel in Children and Young Adults with B-Cell Lymphoblastic Leukemia. N. Engl. J. Med. 2018, 378, 439–448. [Google Scholar] [CrossRef]
- Lobenwein, D.; Kocher, F.; Dobner, S.; Gollmann-Tepeköylü, C.; Holfeld, J. Cardiotoxic mechanisms of cancer immunotherapy—A systematic review. Int. J. Cardiol. 2021, 323, 179–187. [Google Scholar] [CrossRef] [PubMed]
- Fitzgerald, J.C.; Weiss, S.; Maude, S.L.; Barrett, D.M.; Lacey, S.F.; Melenhorst, J.J.; Shaw, P.; Berg, R.A.; June, C.H.; Porter, D.L.; et al. Cytokine Release Syndrome After Chimeric Antigen Receptor T Cell Therapy for Acute Lymphoblastic Leukemia. Crit. Care Med. 2017, 45, e124–e131. [Google Scholar] [CrossRef] [PubMed]
- Shalabi, H.; Sachdev, V.; Kulshreshtha, A.; Cohen, J.W.; Yates, B.; Rosing, D.R.; Sidenko, S.; Delbrook, C.; Mackall, C.; Wiley, B.; et al. Impact of cytokine release syndrome on cardiac function following CD19 CAR-T cell therapy in children and young adults with hematological malignancies. J. Immunother. Cancer 2020, 8, e001159. [Google Scholar] [CrossRef] [PubMed]
- Fulbright, J.M. Review of Cardiotoxicity in Pediatric Cancer Patients: During and after Therapy. Cardiol. Res. Pr. 2011, 2011, 1–9. [Google Scholar] [CrossRef] [PubMed]
- Simbre, V.C.; Duffy, S.A.; Dadlani, G.H.; Miller, T.L.; Lipshultz, S.E. Cardiotoxicity of cancer chemotherapy. Pediatr. Drugs 2005, 7, 187–202. [Google Scholar] [CrossRef] [PubMed]
- Sakellari, I.; Gavriilaki, E.; Batsis, I.; Mallouri, D.; Gavriilaki, M.; Apostolou, C.; Iskas, M.; Voutiadou, G.; Bouziana, S.; Bousiou, Z.; et al. Isolated Extramedullary Relapse as a Poor Predictor of Survival after Allogeneic Hematopoietic Cell Transplantation for Acute Leukemia. Biol. Blood Marrow Transplant. 2019, 25, 1756–1760. [Google Scholar] [CrossRef] [PubMed]
- Rizzari, C.; Valsecchi, M.G.; Aricò, M.; Miniero, R.; Messina, C.; De Rossi, G.; Testi, A.M.; Mura, R.; Galimberti, S.; Biondi, A.; et al. Outcome of very late relapse in children with acute lymphoblastic leukemia. Haematology 2004, 89, 427–434. [Google Scholar]
- Keating, A.K.; Gossai, N.; Phillips, C.L.; Maloney, K.; Campbell, K.; Doan, A.; Bhojwani, D.; Burke, M.J.; Verneris, M.R. Reducing minimal residual disease with blinatumomab prior to HCT for pediatric patients with acute lymphoblastic leukemia. Blood Adv. 2019, 3, 1926–1929. [Google Scholar] [CrossRef] [PubMed]
- Marquez, C.P.; Montiel-Esparza, R.; Hui, C.; Schultz, L.M.; Davis, K.L.; Hoppe, R.T.; Donaldson, S.S.; Ramakrishna, S.; Hiniker, S.M. Use of cardiac radiation therapy as bridging therapy to CAR-T for relapsed pediatric B-cell acute lymphoblastic leukemia. Pediatr. Blood Cancer 2021, 68, e28870. [Google Scholar] [CrossRef] [PubMed]
- Bader, P.; Kreyenberg, H.; Von Stackelberg, A.; Eckert, C.; Salzmann-Manrique, E.; Meisel, R.; Poetschger, U.; Stachel, D.; Schrappe, M.; Alten, J.; et al. Monitoring of Minimal Residual Disease After Allogeneic Stem-Cell Transplantation in Relapsed Childhood Acute Lymphoblastic Leukemia Allows for the Identification of Impending Relapse: Results of the ALL-BFM-SCT 2003 Trial. J. Clin. Oncol. 2015, 33, 1275–1284. [Google Scholar] [CrossRef]
- Bunin, N.J.; Pui, C.-H.; Hustu, H.O.; Rivera, G.K. Unusual extramedullary relapses in children with acute lymphoblastic leukemia. J. Pediatr. 1986, 109, 665–668. [Google Scholar] [CrossRef]
- Valetto, A.; Anselmi, G.; Scuderi, F.; Lanciotti, M.; Chiesa, V.; Dini, G. Use of molecular techniques to confirm true re-emergence of the original clone and to track minimal residual disease in a case of late extramedullary relapse of childhood acute lymphoblastic leukemia. Haematology 2000, 85, 1102–1103. [Google Scholar]





| Physical Exam | Peripheral Blood Labs | Bone Marrow Aspiration and Biopsy | Genetic Markers | Cerebrospinal Fluid Analysis | Imaging |
|---|---|---|---|---|---|
| Initial concerning signs: right thigh and cheek pain and numbness Difficulty opening mouth Mild hepatomegaly Decreased sensation on the face in cranial nerve V2–V3 distribution, right facial droop, extraocular movements intact No testicular masses palpated | White blood cells: 70,000 cells/μL Hemoglobin: 7.2 g/dL Platelets:11,000 cells/μL Peripheral blasts: 83% | 94% blasts, CD10+, CD19+, CD20+ [variable positive], CD22+, CD34−, CD38+ [decreased but positive], CD45− Hyper-diploid blasts identified No T-cell surface markers identified Negative for TdT and myeloperoxidase | Blasts with chromosome 6q deletion Negative for FISH BCR-ABL fusion protein, MYC gene rearrangement, MLL gene rearrangement | Blasts in the presence of peripheral blood detected | CT scan of the head: no intracranial abnormalities with preservation of gray-white differentiation |
| Time Period Following Initial B-ALL Diagnosis | Event | Treatment | Complications |
|---|---|---|---|
| Initial diagnosis | COG AAL1131 very high-risk arm with CNS involvement
| Persistent numbness of right cheek CN deficits: CN VI and VII palsy, CN V dysfunction (tooth pain); lumbar radicular pain | |
| 3 months | Symptomatic worsening of neurological disease |
| Marrow relapse (15% blasts in peripheral blood and 81% leukemic blasts in BM) |
| 5 months | Very early combined relapse | Reinduction chemotherapy with hyper-CVAD
| Persistent left-sided motor weakness of the mouth |
| 7 months | HSCT | Preparative regimen
| Grade II acute GVHD of the upper and lower GI tract |
| 16 months | Post-transplantation relapse 1 | R-MOAD
| Symptomatic cardiac relapse |
| 22 months | Refractory disease |
| Death due to severe LV systolic dysfunction and loss of AV conduction |
| Author | Disease | Summary of Findings |
|---|---|---|
| Roberts et al. (1968) [9] | Leukemia involving the heart | 420 patients in the study of postmortem examination of hearts of deceased patients with leukemia. 60% patients in the study had ALL and 40% had AML; 37% of hearts found to have leukemic infiltrates; infiltrates described as focal and few in number; mainly in LV and RA. |
| Sumners et al. (1969 ) [10] | Leukemia involving the heart | 116 hearts of children studied over a 5-year period. 44% patients found to have leukemic infiltrates of the heart |
| Hori et al. (2006); Malbora et al. (2010); and Barbaric et al. (2002) [2,11,12] | Systemic leukemia involving the heart | Adolescents presenting with cardiac symptoms related to leukemic involvement of the heart; echocardiogram and chest imaging may help with diagnosing leukemic involvement of the heart |
| Wiernik et al. (1976); Hardikar et al. (2002); Espino et al. (2001) [16,17,18] | Systemic leukemia involving the heart | Signs and symptoms of cardiac involvement of leukemia: respiratory symptoms, pleural or pericardial effusions, and cardiomyopathy; require distinguishing from treatment related adverse effects |
| Nies et al. (1965) [21] | Leukemia with various organ involvement | Infiltration of various organs including kidney (most common), followed by liver, testes, and bowel |
| Cunningham et al. (2006); Ragoonanan et al. (2021) [22,28] | Systemic leukemia involving the breast | Sites of infiltration can include the breast; can represent a site of resistant leukemia including ALL and AML; leukemic infiltration of the breast following HSCT and CAR T-cell therapy has also been described |
| Bhatti et al. (2010); Kletzel et al. (2000); Papadakis et al. (2010); [25,26,27] | Systemic leukemia involving the GI tract | Relapsed leukemia in pediatric patients involving the GI tract; presentation can mimic acute GVHD when occurring following HSCT; symptoms can be nonspecific including abdominal pain and diarrhea |
| Chong et al. (2000); Au et al. (1999); Lee et al. (2005); Odom et al. (1978) [29,30,31] | EMR following HSCT | Rate of relapse at extramedullary sites following HSCT: 29%; areas of relapse following HSCT kidneys, mediastinal soft tissue, adrenal glands, intestine; GVL effect may be more forceful in the bone marrow rather than EM sites and those that are lymphocyte poor |
Publisher’s Note: MDPI stays neutral with regard to jurisdictional claims in published maps and institutional affiliations. |
© 2021 by the authors. Licensee MDPI, Basel, Switzerland. This article is an open access article distributed under the terms and conditions of the Creative Commons Attribution (CC BY) license (https://creativecommons.org/licenses/by/4.0/).
Share and Cite
Sheikh, I.N.; Ragoonanan, D.; Franklin, A.; Srinivasan, C.; Zhao, B.; Petropoulos, D.; Mahadeo, K.M.; Tewari, P.; Khazal, S.J. Cardiac Relapse of Acute Lymphoblastic Leukemia Following Hematopoietic Stem Cell Transplantation: A Case Report and Review of Literature. Cancers 2021, 13, 5814. https://doi.org/10.3390/cancers13225814
Sheikh IN, Ragoonanan D, Franklin A, Srinivasan C, Zhao B, Petropoulos D, Mahadeo KM, Tewari P, Khazal SJ. Cardiac Relapse of Acute Lymphoblastic Leukemia Following Hematopoietic Stem Cell Transplantation: A Case Report and Review of Literature. Cancers. 2021; 13(22):5814. https://doi.org/10.3390/cancers13225814
Chicago/Turabian StyleSheikh, Irtiza N., Dristhi Ragoonanan, Anna Franklin, Chandra Srinivasan, Bhiong Zhao, Demetrios Petropoulos, Kris M. Mahadeo, Priti Tewari, and Sajad J. Khazal. 2021. "Cardiac Relapse of Acute Lymphoblastic Leukemia Following Hematopoietic Stem Cell Transplantation: A Case Report and Review of Literature" Cancers 13, no. 22: 5814. https://doi.org/10.3390/cancers13225814
APA StyleSheikh, I. N., Ragoonanan, D., Franklin, A., Srinivasan, C., Zhao, B., Petropoulos, D., Mahadeo, K. M., Tewari, P., & Khazal, S. J. (2021). Cardiac Relapse of Acute Lymphoblastic Leukemia Following Hematopoietic Stem Cell Transplantation: A Case Report and Review of Literature. Cancers, 13(22), 5814. https://doi.org/10.3390/cancers13225814

