Newly Diagnosed IDH-Wildtype Glioblastoma and Temporal Muscle Thickness: A Multicenter Analysis
Abstract
:Simple Summary
Abstract
1. Introduction
2. Methods
2.1. Patient Cohorts
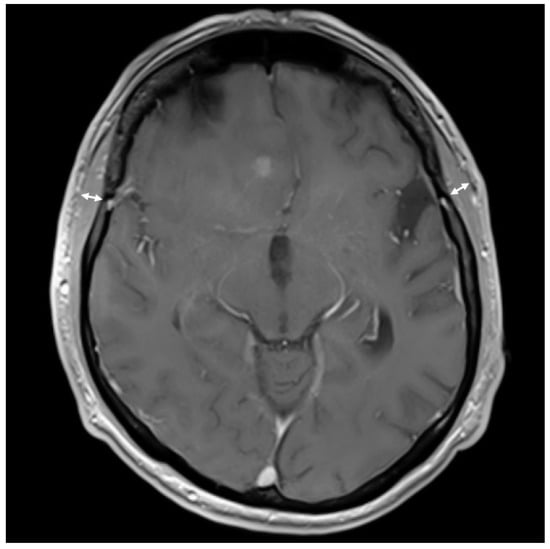
2.2. TMT Measurement
2.3. Statistical Analysis
3. Results
3.1. Patient Cohort and Temporal Muscle Thickness
3.2. Temporal Muscle Thickness and Overall Survival
4. Discussion
5. Conclusions
Author Contributions
Funding
Institutional Review Board Statement
Informed Consent Statement
Data Availability Statement
Acknowledgments
Conflicts of Interest
References
- Martin, L.; Birdsell, L.; MacDonald, N.; Reiman, T.; Clandinin, M.T.; McCargar, L.J.; Murphy, R.; Ghosh, S.; Sawyer, M.B.; Baracos, V.E. Cancer Cachexia in the Age of Obesity: Skeletal Muscle Depletion Is a Powerful Prognostic Factor, Independent of Body Mass Index. J. Clin. Oncol. 2013, 31, 1539–1547. [Google Scholar] [CrossRef]
- Leitner, J.; Pelster, S.; Schöpf, V.; Berghoff, A.S.; Woitek, R.; Asenbaum, U.; Nenning, K.-H.; Widhalm, G.; Kiesel, B.; Gatterbauer, B.; et al. High correlation of temporal muscle thickness with lumbar skeletal muscle cross-sectional area in patients with brain metastases. PLoS ONE 2018, 13, e0207849. [Google Scholar] [CrossRef]
- Cinkir, H.Y.; Er, H.C. Is temporal muscle thickness a survival predictor in newly diagnosed glioblastoma multiforme? Asia-Pac. J. Clin. Oncol. 2020, 16, e223–e227. [Google Scholar] [CrossRef]
- Muglia, R.; Simonelli, M.; Pessina, F.; Morenghi, E.; Navarria, P.; Persico, P.; Lorenzi, E.; Dipasquale, A.; Grimaldi, M.; Scorsetti, M.; et al. Prognostic relevance of temporal muscle thickness as a marker of sarcopenia in patients with glioblastoma at diagnosis. Eur. Radiol. 2020, 31, 4079–4086. [Google Scholar] [CrossRef] [PubMed]
- An, G.; Ahn, S.; Park, J.-S.; Jeun, S.S.; Kil Hong, Y. Association between temporal muscle thickness and clinical outcomes in patients with newly diagnosed glioblastoma. Cancer Res. Clin. Oncol. 2020, 147, 901–909. [Google Scholar] [CrossRef] [PubMed]
- Furtner, J.; Genbrugge, E.; Gorlia, T.; Bendszus, M.; Nowosielski, M.; Golfinopoulos, V.; Weller, M.; Bent, M.J.V.D.; Wick, W.; Preusser, M. Temporal muscle thickness is an independent prognostic marker in patients with progressive glioblastoma: Translational imaging analysis of the EORTC 26101 trial. Neuro-Oncology 2019, 21, 1587–1594. [Google Scholar] [CrossRef] [PubMed]
- Ostrom, Q.T.; Patil, N.; Cioffi, G.; Waite, K.; Kruchko, C.; Barnholtz-Sloan, J.S. CBTRUS Statistical Report: Primary Brain and Other Central Nervous System Tumors Diagnosed in the United States in 2013–2017. Neuro-Oncology 2020, 22, iv1–iv96. [Google Scholar] [CrossRef]
- Rasmussen, B.K.; Hansen, S.; Laursen, R.J.; Kosteljanetz, M.; Schultz, H.; Nørgård, B.M.; Guldberg, R.; Gradel, K. Epidemiology of glioma: Clinical characteristics, symptoms, and predictors of glioma patients grade I–IV in the the Danish Neuro-Oncology Registry. Neuro-Oncology 2017, 135, 571–579. [Google Scholar] [CrossRef]
- Stupp, R.; Mason, W.P.; Bent, M.V.D.; Weller, M.; Fisher, B.; Taphoorn, M.J.; Belanger, K.; Brandes, A.; Marosi, C.; Bogdahn, U.; et al. Radiotherapy plus Concomitant and Adjuvant Temozolomide for Glioblastoma. N. Engl. J. Med. 2005, 352, 987–996. [Google Scholar] [CrossRef]
- Weller, M.; Bent, M.V.D.; Preusser, M.; Le Rhun, E.; Tonn, J.C.; Minniti, G.; Bendszus, M.; Balana, C.; Chinot, O.; Dirven, L.; et al. EANO guidelines on the diagnosis and treatment of diffuse gliomas of adulthood. Nat. Rev. Clin. Oncol. 2020, 18, 170–186. [Google Scholar] [CrossRef]
- Hegi, M.E.; Diserens, A.-C.; Gorlia, T.; Hamou, M.-F.; De Tribolet, N.; Weller, M.; Kros, J.M.; Hainfellner, J.A.; Mason, W.; Mariani, L.; et al. MGMTGene Silencing and Benefit from Temozolomide in Glioblastoma. N. Engl. J. Med. 2005, 352, 997–1003. [Google Scholar] [CrossRef] [Green Version]
- Dietterle, J.; Wende, T.; Wilhelmy, F.; Eisenlöffel, C.; Jähne, K.; Taubenheim, S.; Arlt, F.; Meixensberger, J. The prognostic value of peri-operative neurological performance in glioblastoma patients. Acta Neurochir. 2019, 162, 417–425. [Google Scholar] [CrossRef] [PubMed]
- Szopa, W.; Burley, T.A.; Kramer-Marek, G.; Kaspera, W. Diagnostic and Therapeutic Biomarkers in Glioblastoma: Current Status and Future Perspectives. BioMed Res. Int. 2017, 2017, 1–13. [Google Scholar] [CrossRef] [PubMed] [Green Version]
- Henker, C.; Hiepel, M.C.; Kriesen, T.; Scherer, M.; Glass, Ä.; Herold-Mende, C.; Bendszus, M.; Langner, S.; Weber, M.-A.; Schneider, B.; et al. Volumetric assessment of glioblastoma and its predictive value for survival. Acta Neurochir. 2019, 161, 1723–1732. [Google Scholar] [CrossRef] [PubMed]
- Ostrom, Q.T.; Cioffi, G.; Gittleman, H.; Patil, N.; Waite, K.; Kruchko, C.; Barnholtz-Sloan, J.S. CBTRUS Statistical Report: Primary Brain and Other Central Nervous System Tumors Diagnosed in the United States in 2012–2016. Neuro-Oncology 2019, 21, v1–v100. [Google Scholar] [CrossRef]
- Tamandl, D.; Paireder, M.; Asari, R.; Baltzer, P.; Schoppmann, S.F.; Ba-Ssalamah, A. Markers of sarcopenia quantified by computed tomography predict adverse long-term outcome in patients with resected oesophageal or gastro-oesophageal junction cancer. Eur. Radiol. 2015, 26, 1359–1367. [Google Scholar] [CrossRef]
- Dewys, W.D.; Begg, C.; Lavin, P.T.; Band, P.R.; Bennett, J.M.; Bertino, J.R.; Cohen, M.H.; Douglass, H.O.; Engstrom, P.F.; Ezdinli, E.Z.; et al. Prognostic effect of weight loss prior tochemotherapy in cancer patients. Am. J. Med. 1980, 69, 491–497. [Google Scholar] [CrossRef]
- Liu, J.; Shen, L.; Tang, G.; Tang, S.; Kuang, W.; Li, H.; Tian, Y.; Zhou, Q. Multiple extracranial metastases from glioblastoma multiforme: A case report and literature review. J. Int. Med. Res. 2020, 48. [Google Scholar] [CrossRef]
- Sizoo, E.M.; Braam, L.; Postma, T.J.; Pasman, H.R.W.; Heimans, J.J.; Klein, M.; Reijneveld, J.C.; Taphoorn, M.J.B. Symptoms and problems in the end-of-life phase of high-grade glioma patients. Neuro-Oncology 2010, 12, 1162–1166. [Google Scholar] [CrossRef]
- Pitter, K.L.; Tamagno, I.; Alikhanyan, K.; Hosni-Ahmed, A.; Pattwell, S.S.; Donnola, S.; Dai, C.; Ozawa, T.; Chang, M.; Chan, T.A.; et al. Corticosteroids compromise survival in glioblastoma. Brain 2016, 139, 1458–1471. [Google Scholar] [CrossRef] [Green Version]
- Kostaras, X.; Cusano, F.; Kline, G.; Roa, W.; Easaw, J. CNS Tumour Team the Alberta Provincial Use of Dexamethasone in Patients with High-Grade Glioma: A Clinical Practice Guideline. Curr. Oncol. 2014, 21, 493–503. [Google Scholar] [CrossRef] [PubMed] [Green Version]
- Furtner, J.; Berghoff, A.S.; Albtoush, O.M.; Woitek, R.; Asenbaum, U.; Prayer, D.; Widhalm, G.; Gatterbauer, B.; Dieckmann, K.; Birner, P.; et al. Survival prediction using temporal muscle thickness measurements on cranial magnetic resonance images in patients with newly diagnosed brain metastases. Eur. Radiol. 2017, 27, 3167–3173. [Google Scholar] [CrossRef] [PubMed] [Green Version]
- Furtner, J.; Berghoff, A.S.; Schöpf, V.; Reumann, R.; Pascher, B.; Woitek, R.; Asenbaum, U.; Pelster, S.; Leitner, J.; Widhalm, G.; et al. Temporal muscle thickness is an independent prognostic marker in melanoma patients with newly diagnosed brain metastases. Neuro-Oncology 2018, 140, 173–178. [Google Scholar] [CrossRef] [PubMed] [Green Version]


| Characteristics | Value | |
|---|---|---|
| No. of patients | 335 | |
| sex | male | 196 |
| female | 139 | |
| average age (years) | 66.8 (18–92.7) | |
| average BMI (kg/m²) | 27.1 (18–53.8) | |
| average KPS | 72.6 (20–100) | |
| average TMT (mm) | 7.0 (3–14.9) | |
| MGMT status | positive | 108 |
| negative | 137 | |
| unknown | 90 | |
| extent of resection | biopsy | 80 |
| STR | 102 | |
| GTR | 153 | |
| adjuvant radiotherapy with concomitant temozolomide | w/o | 43 |
| with | 292 | |
| adjuvant temozolomide | w/o | 127 |
| with | 208 | |
| 12-months survival (%) | 42.2 ± 2.2 |
| Variable | Univariate Cox Regression | Multivariate Cox Regression | ||||
|---|---|---|---|---|---|---|
| HR | 95CI | p Value | HR | 95CI | p Value | |
| Age | 1.03 | 1.02–1.05 | <0.001 | 1.01 | 1.01–1.03 | 0.004 |
| Sex | 0.97 | 0.72–1.17 | 0.48 | - | - | - |
| Body Mass Index | 0.98 | 0.96–1.01 | 0.16 | 0.98 | 0.96–1.01 | 0.11 |
| KPS | 0.98 | 0.98–0.99 | <0.001 | 1.00 | 0.99–1.00 | 0.31 |
| Temporal Muscle Thickness | 0.92 | 0.87–0.97 | 0.004 | 1.06 | 1.00–1.14 | 0.07 |
| MGMT status | 0.63 | 0.54–0.74 | <0.001 | 0.76 | 0.64–0.91 | 0.002 |
| extent of resection | 0.53 | 0.46–0.62 | <0.001 | 0.61 | 0.52–0.72 | <0.001 |
| adjuvant irradiation with concomitant temozolomide | 0.10 | 0.07–0.15 | <0.001 | 0.24 | 0.16–0.38 | <0.001 |
| adjuvant temozolomide | 0.23 | 0.18–0.30 | <0.001 | 0.40 | 0.29–0.55 | <0.001 |
| Characteristics | TMT ≥ 7.0 mm | TMT < 7.0 mm | p-Value | |
|---|---|---|---|---|
| No. of patients | 171 | 164 | - | |
| sex | male | 123 | 73 | <0.001 |
| female | 48 | 91 | ||
| average age (years) | 66.4 ± 10.2 | 65.2 ± 11.4 | 0.749 | |
| average BMI (kg/m²) | 26.2 ± 5.1 | 28.0 ± 5.2 | 0.905 | |
| average KPS | 70.2 ± 18.9 | 75.0 ± 17.0 | 0.308 | |
| MGMT status | positive | 71 | 37 | <0.001 |
| negative | 74 | 63 | ||
| unknown | 26 | 64 | ||
| extent of resection | biopsy | 30 | 50 | 0.005 |
| STR | 51 | 51 | ||
| GTR | 90 | 63 | ||
| adjuvant radiotherapy with concomitant temozolimide | w/o | 16 | 27 | 0.263 |
| with | 155 | 137 | ||
| adjuvant temozolomide | w/o | 49 | 78 | 0.003 |
| with | 122 | 86 |
Publisher’s Note: MDPI stays neutral with regard to jurisdictional claims in published maps and institutional affiliations. |
© 2021 by the authors. Licensee MDPI, Basel, Switzerland. This article is an open access article distributed under the terms and conditions of the Creative Commons Attribution (CC BY) license (https://creativecommons.org/licenses/by/4.0/).
Share and Cite
Wende, T.; Kasper, J.; Prasse, G.; Glass, Ä.; Kriesen, T.; Freiman, T.M.; Meixensberger, J.; Henker, C. Newly Diagnosed IDH-Wildtype Glioblastoma and Temporal Muscle Thickness: A Multicenter Analysis. Cancers 2021, 13, 5610. https://doi.org/10.3390/cancers13225610
Wende T, Kasper J, Prasse G, Glass Ä, Kriesen T, Freiman TM, Meixensberger J, Henker C. Newly Diagnosed IDH-Wildtype Glioblastoma and Temporal Muscle Thickness: A Multicenter Analysis. Cancers. 2021; 13(22):5610. https://doi.org/10.3390/cancers13225610
Chicago/Turabian StyleWende, Tim, Johannes Kasper, Gordian Prasse, Änne Glass, Thomas Kriesen, Thomas M. Freiman, Jürgen Meixensberger, and Christian Henker. 2021. "Newly Diagnosed IDH-Wildtype Glioblastoma and Temporal Muscle Thickness: A Multicenter Analysis" Cancers 13, no. 22: 5610. https://doi.org/10.3390/cancers13225610
APA StyleWende, T., Kasper, J., Prasse, G., Glass, Ä., Kriesen, T., Freiman, T. M., Meixensberger, J., & Henker, C. (2021). Newly Diagnosed IDH-Wildtype Glioblastoma and Temporal Muscle Thickness: A Multicenter Analysis. Cancers, 13(22), 5610. https://doi.org/10.3390/cancers13225610

