A Phase Ib Study of Sotrastaurin, a PKC Inhibitor, and Alpelisib, a PI3Kα Inhibitor, in Patients with Metastatic Uveal Melanoma
Abstract
Simple Summary
Abstract
1. Introduction
2. Materials and Methods
2.1. Clinical Study Design and Treatment
2.2. Patient Selection
2.3. DLT Definition
2.4. Evaluation of Clinical Activity
2.5. Correlative Studies
3. Results
3.1. Patient Demographics
3.2. Dose Escalation and MTD Determination
3.3. Clinical Safety
3.4. Clinical Efficacy
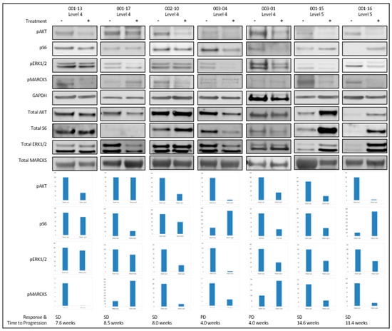
3.5. Correlative Analysis
3.5.1. Pharmacokinetic Analysis: Sotrastaurin, AEE800, and Alpelisib Concentration over Time
3.5.2. Pharmacodynamic Analysis: PKC and PI3Kα-AKT-mTOR Pathway Inhibition
3.5.3. Effect of Sotrastaurin and Alpelisib on Immune-Related Gene Expression
4. Discussion
5. Conclusions
Supplementary Materials
Author Contributions
Funding
Institutional Review Board Statement
Informed Consent Statement
Data Availability Statement
Acknowledgments
Conflicts of Interest
Appendix A
| Dose Level | Sotrastaurin | Alpelisib |
|---|---|---|
| Level −1 | 100 mg BID | 150 mg daily |
| Level 1 | 100 mg BID | 200 mg daily |
| Level 2 | 200 mg BID | 250 mg daily |
| Level 3 | 200 mg BID | 300 mg daily |
| Level 4 | 200 mg BID | 350 mg daily |
| Level 5 | 300 mg BID | 350 mg daily |
| Level 6 | 400 mg BID | 350 mg daily |
| Identifier | Dose Level | Age | Sex | Sites of Metastatic Disease | Prior Systemic Therapies |
|---|---|---|---|---|---|
| 001-09 | 2 | 47 | M | Omentum | None; resection × 2 |
| 002-04 | 2 | 74 | M | heart, mediastinal LN, bone | (1) Selumetinib + DTIC, (2) Ipilimumab, (3) Pembrolizumab |
| 003-02 | 4 | 49 | F | Liver | None |
| Half-Life (Mean) | Time to Maximum Concentration (Mean) | Maximum Concentration (Mean) | Area Under the Curve (Mean) | |||||
|---|---|---|---|---|---|---|---|---|
| Day 1 (hours) | Day 8 (hours) | Day 1 (hours) | Day 8 (hours) | Day 1 (ng/mL) | Day 8 (ng/mL) | Day 1 (μg × h/mL) | Day 8 (μg × h/mL) | |
| Sotrastaurin | ||||||||
| Level 1 (n = 7) | 4.62 | 5.26 | 2.33 | 1.0 | 859.56 | 1209.29 | 4259.08 | 5932.04 |
| Level 2 (n = 11) | 5.90 | 4.82 | 2.33 | 1.27 | 1673.17 | 1848.82 | 6857.01 | 8766.88 |
| Level 3 (n = 1) | 8.15 | 6.98 | 1.0 | 2.0 | 2217.67 | 3600.00 | 12,513.19 | 19,210.00 |
| Alpelisib | ||||||||
| Level 1 (n = 7) | 6.44 | 7.60 | 5.14 | 3.28 | 915.43 | 1002.14 | 11,163.35 | 13,105.43 |
| Level 2 (n = 1) | 2.43 | 5.46 | 4.0 | 4.0 | 1390.00 | 1900.00 | 7064.25 | 18,265.25 |
| Level 3 (n = 2) | 7.87 | 4.59 | 4.0 | 4.0 | 1163.50 | 1820.00 | 16,203.75 | 19,726.79 |
| Level 4 (n = 4) | 10.69 | 11.08 | 6.5 | 4.67 | 1462.50 | 1530.00 | 21,862.81 | 23,726.42 |
| Sample ID | Dose Level | GNAQ/11 Status | Best Response (sum of TL) | Time to Progression | Western Analysis | Gene Expression |
|---|---|---|---|---|---|---|
| 001-13 | Level 4 | GNA11 Q209L | SD (+14%) | 7.1 weeks | X | X |
| 001-17 | Level 4 | GNAQ Q209L | SD (+4%) | 8.5 weeks | X | X |
| 002-10 | Level 4 | GNAQ Q209P | SD (−11%) | 8.0 weeks | X | X |
| 003-01 | Level 4 | GNA11 Q209L | PD (−19% *) | 4.0 weeks | X | X |
| 003-04 | Level 4 | GNAQ Q209L | PD (+10.7% **) | 4.0 weeks | X | X |
| 001-15 | Level 5 | GNAQ | SD (0%) | 14.6 weeks | X | X |
| 001-16 | Level 5 | GNAQ Q209P | SD (0%) | 11.4 weeks | X | X |


References
- Singh, A.D.; Turell, M.E.; Topham, A.K. Uveal melanoma: Trends in incidence, treatment, and survival. Ophthalmology 2011, 118, 1881–1885. [Google Scholar] [CrossRef] [PubMed]
- Chang, A.E.; Karnell, L.H.; Menck, H.R. The National Cancer Data Base report on cutaneous and noncutaneous melanoma: A summary of 84,836 cases from the past decade. The American College of Surgeons Commission on Cancer and the American Cancer Society. Cancer 1998, 83, 1664–1678. [Google Scholar] [CrossRef]
- Piperno-Neumann, S.; Hassel, J.C.; Rutkowski, P.; Baurain, J.-F.; Butler, M.O.; Schlaak, M.; Sullivan, R.J.; Ochsenreither, S.; Dummer, R.; Kirkwood, J.M.; et al. Abstract CT002: Phase 3 randomized trial comparing tebentafusp with investigator’s choice in first line metastatic uveal melanoma. J. Cancer Res. 2021, 81, CT002. [Google Scholar] [CrossRef]
- Carvajal, R.D.; Piperno-Neumann, S.; Kapiteijn, E.; Chapman, P.B.; Frank, S.; Joshua, A.M.; Piulats, J.M.; Wolter, P.; Cocquyt, V.; Chmielowski, B.; et al. Selumetinib in Combination With Dacarbazine in Patients With Metastatic Uveal Melanoma: A Phase III, Multicenter, Randomized Trial (SUMIT). J. Clin. Oncol. 2018, 36, 1232–1239. [Google Scholar] [CrossRef]
- Van Raamsdonk, C.D.; Bezrookove, V.; Green, G.; Bauer, J.; Gaugler, L.; O’Brien, J.M.; Simpson, E.M.; Barsh, G.S.; Bastian, B.C. Frequent somatic mutations of GNAQ in uveal melanoma and blue naevi. Nature 2009, 457, 599–602. [Google Scholar] [CrossRef] [PubMed]
- Van Raamsdonk, C.D.; Griewank, K.G.; Crosby, M.B.; Garrido, M.C.; Vemula, S.; Wiesner, T.; Obenauf, A.C.; Wackernagel, W.; Green, G.; Bouvier, N.; et al. Mutations in GNA11 in uveal melanoma. N. Engl. J. Med. 2010, 363, 2191–2199. [Google Scholar] [CrossRef]
- Rozengurt, E. Mitogenic signaling pathways induced by G protein-coupled receptors. J. Cell. Physiol. 2007, 213, 589–602. [Google Scholar] [CrossRef] [PubMed]
- Lee, C.H.; Park, D.; Wu, D.; Rhee, S.G.; Simon, M.I. Members of the Gq alpha subunit gene family activate phospholipase C beta isozymes. J. Biol. Chem. 1992, 267, 16044–16047. [Google Scholar] [CrossRef]
- Koivunen, J.; Aaltonen, V.; Peltonen, J. Protein kinase C (PKC) family in cancer progression. Cancer Lett. 2006, 235, 1–10. [Google Scholar] [CrossRef] [PubMed]
- Wu, X.; Zhu, M.; Fletcher, J.A.; Giobbie-Hurder, A.; Hodi, F.S. The protein kinase C inhibitor enzastaurin exhibits antitumor activity against uveal melanoma. PLoS ONE 2012, 7, e29622. [Google Scholar] [CrossRef] [PubMed]
- Wu, X.; Li, J.; Zhu, M.; Fletcher, J.A.; Hodi, F.S. Protein kinase C inhibitor AEB071 targets ocular melanoma harboring GNAQ mutations via effects on the PKC/Erk1/2 and PKC/NF-kappaB pathways. Mol. Cancer Ther. 2012, 11, 1905–1914. [Google Scholar] [CrossRef] [PubMed]
- Piperno-Neumann, S.; Kapiteijn, E.; Larkin, J.M.G.; Carvajal, R.D.; Luke, J.J.; Seifert, H.; Roozen, I.; Zoubir, M.; Yang, L.; Choudhury, S.; et al. Phase I dose-escalation study of the protein kinase C (PKC) inhibitor AEB071 in patients with metastatic uveal melanoma. J. Clin. Oncol. 2014, 32, 9030. [Google Scholar] [CrossRef]
- Musi, E.; Ambrosini, G.; de Stanchina, E.; Schwartz, G.K. The phosphoinositide 3-kinase alpha selective inhibitor BYL719 enhances the effect of the protein kinase C inhibitor AEB071 in GNAQ/GNA11-mutant uveal melanoma cells. Mol. Cancer Ther. 2014, 13, 1044–1053. [Google Scholar] [CrossRef] [PubMed]
- Tomfohr, J.; Lu, J.; Kepler, T.B. Pathway level analysis of gene expression using singular value decomposition. BMC Bioinformatics 2005, 6, 225. [Google Scholar] [CrossRef]
- Piperno-Neumann, S.; Larkin, J.; Carvajal, R.D.; Luke, J.J.; Schwartz, G.K.; Hodi, F.S.; Sablin, M.P.; Shoushtari, A.N.; Szpakowski, S.; Chowdhury, N.R.; et al. Genomic Profiling of Metastatic Uveal Melanoma and Clinical Results of a Phase I Study of the Protein Kinase C Inhibitor AEB071. Mol. Cancer Ther. 2020, 19, 1031–1039. [Google Scholar] [CrossRef] [PubMed]
- Herget, T.; Oehrlein, S.A.; Pappin, D.J.; Rozengurt, E.; Parker, P.J. The myristoylated alanine-rich C-kinase substrate (MARCKS) is sequentially phosphorylated by conventional, novel and atypical isotypes of protein kinase C. Eur. J. Biochem. 1995, 233, 448–457. [Google Scholar] [CrossRef]
- Zhang, E.Y.; Kong, K.F.; Altman, A. The yin and yang of protein kinase C-theta (PKCtheta): A novel drug target for selective immunosuppression. Adv. Pharmacol. 2013, 66, 267–312. [Google Scholar] [CrossRef] [PubMed]
- Kovarik, J.M.; Slade, A. Overview of sotrastaurin clinical pharmacokinetics. Ther. Drug Monit. 2010, 32, 540–543. [Google Scholar] [CrossRef] [PubMed]
- Pfeifhofer-Obermair, C.; Thuille, N.; Baier, G. Involvement of distinct PKC gene products in T cell functions. Front. Immunol. 2012, 3, 220. [Google Scholar] [CrossRef] [PubMed]
- Guo, B.; Fu, S.; Zhang, J.; Liu, B.; Li, Z. Targeting inflammasome/IL-1 pathways for cancer immunotherapy. Sci. Rep. 2016, 6, 36107. [Google Scholar] [CrossRef]
- Davis, M.R.; Zhu, Z.; Hansen, D.M.; Bai, Q.; Fang, Y. The role of IL-21 in immunity and cancer. Cancer Lett. 2015, 358, 107–114. [Google Scholar] [CrossRef]
- Condamine, T.; Dominguez, G.A.; Youn, J.I.; Kossenkov, A.V.; Mony, S.; Alicea-Torres, K.; Tcyganov, E.; Hashimoto, A.; Nefedova, Y.; Lin, C.; et al. Lectin-type oxidized LDL receptor-1 distinguishes population of human polymorphonuclear myeloid-derived suppressor cells in cancer patients. Sci. Immunol. 2016, 1. [Google Scholar] [CrossRef] [PubMed]
- Kapiteijn, E.; Carlino, M.; Boni, V.; Loirat, D.; Speetjens, F.; Park, J.; Calvo, E.; Carvajal, R.; Nyakas, M.; Gonzalez-Maffe, J.; et al. Abstract CT068: A Phase I trial of LXS196, a novel PKC inhibitor for metastatic uveal melanoma. Cancer Res. 2019, 79, CT068. [Google Scholar] [CrossRef]
- A phase 1/2 study of IDE196 in patients with metastatic uveal melanoma or solid tumors harboring GNAQ/11 mutations or PRKC fusions. Pigment. Cell Melanoma. Res. 2020, 33, 148–255. [CrossRef]
- Shoushtari, A.N.; Kudchadkar, R.R.; Panageas, K.; Murthy, R.K.; Jung, M.; Shah, R.; O’Donnell, B.; Khawaja, T.T.; Shames, Y.; Prempeh-Keteku, N.A.; et al. A randomized phase 2 study of trametinib with or without GSK2141795 in patients with advanced uveal melanoma. J. Clin. Oncol. 2016, 34, 9511. [Google Scholar] [CrossRef]
- Shoushtari, A.N.; Ong, L.T.; Schoder, H.; Singh-Kandah, S.; Abbate, K.T.; Postow, M.A.; Callahan, M.K.; Wolchok, J.; Chapman, P.B.; Panageas, K.S.; et al. A phase 2 trial of everolimus and pasireotide long-acting release in patients with metastatic uveal melanoma. Melanoma Res. 2016, 26, 272–277. [Google Scholar] [CrossRef]
- Nathan, P.; Needham, A.; Corrie, P.G.; Danson, S.; Evans, J.; Ochsenreither, S.; Kumar, S.; Goodman, A.; Larkin, J.M.G.; Karydis, I.; et al. LBA73-SELPAC: A 3 arm randomised phase II study of the MEK inhibitor selumetinib alone or in combination with paclitaxel (PT) in metastatic uveal melanoma (UM). Ann. Oncol. 2019, 30, v908–v910. [Google Scholar] [CrossRef]





| N (%) (Total = 25) | |
|---|---|
| Age | |
| 18–49 years old | 8/25 (32%) |
| 50–69 years old | 10/25 (40%) |
| ≥70 years old | 7/25 (28%) |
| Median age, range | 62 years, 25–78 years |
| Sex | |
| Male | 16/25 (64%) |
| Female | 9/25 (36%) |
| ECOG Performance Status | |
| 0 | 15/25 (60%) |
| 1 | 10/25 (40%) |
| Race | |
| White | 25/25 (100%) |
| Other | 0 |
| Diagnosis | |
| Uveal Melanoma | 24/25 (96%) |
| Melanoma unknown primary (GNAQ/11 mutant) | 1/25 (4%) |
| GNAQ or GNA11 mutation status | |
| GNAQ mutant | 14/25 (56%) |
| GNA11 mutant | 8/25 (32%) |
| Wildtype | 3/25 (12%) |
| Uveal AJCC M stage | |
| M1a | 6/25 (24%) |
| M1b | 7/25 (28%) |
| M1c | 8/25 (32%) |
| Unknown | 3/25 (12%) |
| Not applicable (non-Uveal) | 1/25 (4%) |
| Prior Metastatic Treatments, # | |
| Median | 3 |
| Range | 0–8 |
| LDH at baseline | |
| Elevated | 11/25 (44%) |
| Normal | 6/25 (24%) |
| Unknown | 8/25 (32%) |
| Alkaline Phosphatase at baseline | |
| Elevated | 13/25 (52%) |
| Normal | 12/25 (48%) |
| n, Total Patients in Dose Level | n, # DLTs | DLT Information | |
|---|---|---|---|
| Dose Level 1 | 9 | 2 |
|
| Dose Level 2 | 3 | 0 | |
| Dose Level 3 | 3 | 0 | |
| Dose Level 4 | 6 | 1 |
|
| Dose Level 5 | 3 | 2 |
|
| All | 24 | 5 |
| All Patients (N = 25) | |||||
|---|---|---|---|---|---|
| Grade 1 n (%) | Grade 2 n (%) | Grade 3 n (%) | Grade 4–5 n (%) | All Grades | |
| Laboratory | |||||
| Hyperglycemia | 7 (28%) | 1 (4%) | 2 (8%) | 0 | 10 (40%) |
| Anemia | 3 (12%) | 2 (8%) | 0 | 0 | 5 (20%) |
| Alkaline Phos increased | 2 (8%) | 2 (8%) | 0 | 0 | 4 (16%) |
| ALT increased | 2 (8%) | 0 | 1 (4%) | 0 | 3 (12%) |
| AST increased | 1 (4%) | 0 | 1 (4%) | 0 | 2 (8%) |
| Bilirubin increased | 2 (8%) | 0 | 0 | 0 | 2 (8%) |
| Neutrophil count decreased | 0 | 0 | 1 (4%) | 0 | 1 (4%) |
| Gastrointestinal | |||||
| Nausea | 3 (12%) | 11 (44%) | 2 (8%) | 0 | 16 (64%) |
| Diarrhea | 11 (44%) | 2 (8%) | 2 (8%) | 0 | 15 (60%) |
| Anorexia | 4 (16%) | 5 (20%) | 1 (4%) | 0 | 10 (40%) |
| Vomiting | 5 (20%) | 1 (4%) | 1 (4%) | 0 | 7 (28%) |
| Dysgeusia | 1 (4%) | 2 (8%) | 0 | 0 | 3 (12%) |
| Dehydration | 0 | 0 | 1 (4%) | 0 | 1 (4%) |
| Other | |||||
| Fatigue | 2 (8%) | 9 (36%) | 2 (8%) | 0 | 13 (52%) |
| Acneiform rash | 4 (16%) | 1 (4%) | 0 | 0 | 5 (20%) |
| Malaise | 3 (12%) | 1 (4%) | 0 | 0 | 4 (16%) |
| Level 1 | Level 2 | Level 3 | Level 4 | Level 5 | All Levels | |
|---|---|---|---|---|---|---|
| Complete Response (CR) | 0 | 0 | 0 | 0 | 0 | 0 |
| Partial Response (PR) | 0 | 0 | 0 | 0 | 0 | 0 |
| Stable Disease (SD) | 4/9 (44.4%) | 3/3 (100%) | 2/3 (66.7%) | 4/6 (66.7%) | 3/3 (100%) | 16/24 (66.7%) |
| Progressive Disease (PD) | 5/9 (55.6%) | 0 | 1/3 (33.3%) | 2/6 (33.3%) | 0 | 8/24 (33.3%) |
| Overall Response Rate (ORR) | 0 | 0 | 0 | 0 | 0 | 0 |
| Median Time to Progression (range), weeks | 5.5 weeks (3–16.4) | 30.1 weeks (8–51) | 10.8 weeks (3.4–16) | 15.8 weeks (4–23.7) | 14 weeks (11.4–16) | Mean: 12.8 weeks, Median 7.6 weeks |
| Cycle 1 | Cycle 2 | Cycle 3 | Cycle 4 | Cycle 5 | Cycle 6 | |
|---|---|---|---|---|---|---|
| Sotrastaurin | ||||||
| Level 1 | 0 | 271.9 (138.3) | ||||
| Level 2 | 0 | 404.0 (0) | 593.0 (0) | 720.0 (0) | 614.0 (0) | 631.0 (0) |
| Level 3 | 0 | 640.0 (905.1) | 675.0 (741.8) | 458.0 (454.0) | 612.0 (0) | |
| Level 4 | 0 | 2180.0 (0) | 2380.0 (0) | |||
| Level 5 | 0 | 729.0 (0) | 475.5 (140.7) | 861.0 (0) | ||
| Alpelisib | ||||||
| Level 1 | 0 | 132.1 (62.7) | ||||
| Level 2 | 0 | 103.0 (0) | 180.0 (0) | 147.0 (0) | 162.0 (0) | 137.0 (0) |
| Level 3 | 0 | 101.5 (143.5) | 204.0 (97.6) | 156.5 (53.0) | 225.0 (0) | |
| Level 4 | 0 | 364.0 (0) | 497.0 (0) | |||
| Level 5 | 0 | 129.0 (182.4) | 431.3 (554.0) | 41.6 (0) |
Publisher’s Note: MDPI stays neutral with regard to jurisdictional claims in published maps and institutional affiliations. |
© 2021 by the authors. Licensee MDPI, Basel, Switzerland. This article is an open access article distributed under the terms and conditions of the Creative Commons Attribution (CC BY) license (https://creativecommons.org/licenses/by/4.0/).
Share and Cite
Shoushtari, A.N.; Khan, S.; Komatsubara, K.; Feun, L.; Acquavella, N.; Singh-Kandah, S.; Negri, T.; Nesson, A.; Abbate, K.; Cremers, S.; et al. A Phase Ib Study of Sotrastaurin, a PKC Inhibitor, and Alpelisib, a PI3Kα Inhibitor, in Patients with Metastatic Uveal Melanoma. Cancers 2021, 13, 5504. https://doi.org/10.3390/cancers13215504
Shoushtari AN, Khan S, Komatsubara K, Feun L, Acquavella N, Singh-Kandah S, Negri T, Nesson A, Abbate K, Cremers S, et al. A Phase Ib Study of Sotrastaurin, a PKC Inhibitor, and Alpelisib, a PI3Kα Inhibitor, in Patients with Metastatic Uveal Melanoma. Cancers. 2021; 13(21):5504. https://doi.org/10.3390/cancers13215504
Chicago/Turabian StyleShoushtari, Alexander N., Shaheer Khan, Kimberly Komatsubara, Lynn Feun, Nicolas Acquavella, Shahnaz Singh-Kandah, Tiffany Negri, Alexandra Nesson, Kelly Abbate, Serge Cremers, and et al. 2021. "A Phase Ib Study of Sotrastaurin, a PKC Inhibitor, and Alpelisib, a PI3Kα Inhibitor, in Patients with Metastatic Uveal Melanoma" Cancers 13, no. 21: 5504. https://doi.org/10.3390/cancers13215504
APA StyleShoushtari, A. N., Khan, S., Komatsubara, K., Feun, L., Acquavella, N., Singh-Kandah, S., Negri, T., Nesson, A., Abbate, K., Cremers, S., Musi, E., Ambrosini, G., Lee, S., Schwartz, G. K., & Carvajal, R. D. (2021). A Phase Ib Study of Sotrastaurin, a PKC Inhibitor, and Alpelisib, a PI3Kα Inhibitor, in Patients with Metastatic Uveal Melanoma. Cancers, 13(21), 5504. https://doi.org/10.3390/cancers13215504

