PROTECT: Prospective Phase-II-Trial Evaluating Adaptive Proton Therapy for Cervical Cancer to Reduce the Impact on Morbidity and the Immune System
Abstract
:Simple Summary
Abstract
1. Introduction
2. Materials and Methods
2.1. Study Design
2.2. Patient Selection
2.3. Study Objectives
2.4. Trial Organization and Coordination
2.5. Ethics, Informed Consent, and Safety
2.6. Sample Size Calculation and Statistical Analysis
2.7. Investigation Schedule
2.7.1. Preregistration Evaluation Procedures
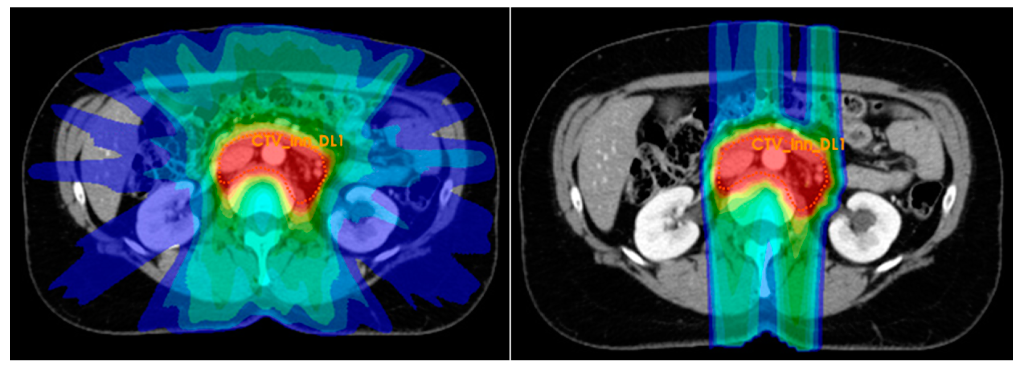
2.7.2. External Beam Radiation Therapy Planning
2.7.3. External Beam Radiation Therapy Delivery
2.7.4. Brachytherapy
2.7.5. Chemotherapy
2.7.6. Monitoring during Treatment and Follow-Up
2.8. Duration of the Study
3. Discussion
4. Conclusions
Author Contributions
Funding
Institutional Review Board Statement
Informed Consent Statement
Conflicts of Interest
References
- Sung, H.; Ferlay, J.; Siegel, R.L.; Laversanne, M.; Soerjomataram, I.; Jemal, A.; Bray, F. Global Cancer Statistics 2020: GLOBOCAN Estimates of Incidence and Mortality Worldwide for 36 Cancers in 185 Countries. CA A Cancer J. Clin. 2021, 71, 209–249. [Google Scholar] [CrossRef] [PubMed]
- Dutch Cancer Registry—Cijfers over Kanker. Available online: https://www.iknl.nl/nkr-cijfers (accessed on 21 June 2021).
- Wenzel, H.H.B.; Bekkers, R.L.M.; Lemmens, V.E.P.P.; Van der Aa, M.A.; Nijman, H.W. No improvement in survival of older women with cervical cancer—A nationwide study. Eur. J. Cancer 2021, 151, 159–167. [Google Scholar] [CrossRef] [PubMed]
- Cibula, D.; Pötter, R.; Planchamp, F.; Avall-Lundqvist, E.; Fischerova, D.; Haie-Meder, C.; Köhler, C.; Landoni, F.; Lax, S.; Lindegaard, J.C. The European Society of Gynaecological Oncology/European Society for Radiotherapy and Oncology/European Society of Pathology guidelines for the management of patients with cervical cancer. Virchows Arch. 2018, 472, 919–936. [Google Scholar] [CrossRef] [PubMed] [Green Version]
- Pötter, R.; Georg, P.; Dimopoulos, J.C.; Grimm, M.; Berger, D.; Nesvacil, N.; Georg, D.; Schmid, M.P.; Reinthaller, A.; Sturdza, A.; et al. Clinical outcome of protocol based image (MRI) guided adaptive brachytherapy combined with 3D conformal radiotherapy with or without chemotherapy in patients with locally advanced cervical cancer. Radiother. Oncol. 2011, 100, 116–123. [Google Scholar] [CrossRef] [Green Version]
- Horeweg, N.; Creutzberg, C.L.; Rijkmans, E.C.; Laman, M.S.; Velema, L.A.; Coen, V.; Stam, T.C.; Kerkhof, E.M.; Kroep, J.R.; de Kroon, C.D.; et al. Efficacy and toxicity of chemoradiation with image-guided adaptive brachytherapy for locally advanced cervical cancer. Int. J. Gynecol. Cancer 2019, 29, 257–265. [Google Scholar] [CrossRef]
- Rijkmans, E.C.; Nout, R.A.; Rutten, I.H.; Ketelaars, M.; Neelis, K.J.; Laman, M.S.; Coen, V.L.; Gaarenstroom, K.N.; Kroep, J.R.; Creutzberg, C.L. Improved survival of patients with cervical cancer treated with image-guided brachytherapy compared with conventional brachytherapy. Gynecol. Oncol. 2014, 135, 231–238. [Google Scholar] [CrossRef]
- Pötter, R.; Tanderup, K.; Schmid, M.P.; Jürgenliemk-Schulz, I.; Haie-Meder, C.; Fokdal, L.U.; Sturdza, A.E.; Hoskin, P.; Mahantshetty, U.; Segedin, B.; et al. MRI-guided adaptive brachytherapy in locally advanced cervical cancer (EMBRACE-I): A multicentre prospective cohort study. Lancet Oncol. 2021, 22, 538–547. [Google Scholar] [CrossRef]
- Heijkoop, S.T.; Nout, R.A.; Quint, S.; Mens, J.W.M.; Heijmen, B.J.M.; Hoogeman, M.S. Dynamics of patient reported quality of life and symptoms in the acute phase of online adaptive external beam radiation therapy for locally advanced cervical cancer. Gynecol. Oncol. 2017, 147, 439–449. [Google Scholar] [CrossRef]
- Fokdal, L.; Pötter, R.; Kirchheiner, K.; Lindegaard, J.C.; Jensen, N.B.K.; Kirisits, C.; Chargari, C.; Mahantshetty, U.; Jürgenliemk-Schulz, I.M.; Segedin, B.; et al. Physician assessed and patient reported urinary morbidity after radio-chemotherapy and image guided adaptive brachytherapy for locally advanced cervical cancer. Radiother. Oncol. 2018, 127, 423–430. [Google Scholar] [CrossRef]
- Kirchheiner, K.; Pötter, R.; Tanderup, K.; Lindegaard, J.C.; Haie-Meder, C.; Petrič, P.; Mahantshetty, U.; Jürgenliemk-Schulz, I.M.; Rai, B.; Cooper, R.; et al. Health-Related Quality of Life in Locally Advanced Cervical Cancer Patients After Definitive Chemoradiation Therapy Including Image Guided Adaptive Brachytherapy: An Analysis From the EMBRACE Study. Int. J. Radiat. Oncol. Biol. Phys. 2016, 94, 1088–1098. [Google Scholar] [CrossRef] [PubMed]
- Nomden, C.N.; de Leeuw, A.A.; Roesink, J.M.; Tersteeg, R.J.; Moerland, M.A.; Witteveen, P.O.; Schreuder, H.W.; van Dorst, E.B.; Jürgenliemk-Schulz, I.M. Clinical outcome and dosimetric parameters of chemo-radiation including MRI guided adaptive brachytherapy with tandem-ovoid applicators for cervical cancer patients: A single institution experience. Radiother. Oncol. 2013, 107, 69–74. [Google Scholar] [CrossRef] [PubMed]
- Sini, C.; Noris Chiorda, B.; Gabriele, P.; Sanguineti, G.; Morlino, S.; Badenchini, F.; Cante, D.; Carillo, V.; Gaetano, M.; Giandini, T.; et al. Patient-reported intestinal toxicity from whole pelvis intensity-modulated radiotherapy: First quantification of bowel dose-volume effects. Radiother. Oncol. 2017, 124, 296–301. [Google Scholar] [CrossRef] [PubMed]
- Ramlov, A.; Pedersen, E.M.; Røhl, L.; Worm, E.; Fokdal, L.; Lindegaard, J.C.; Tanderup, K. Risk Factors for Pelvic Insufficiency Fractures in Locally Advanced Cervical Cancer Following Intensity Modulated Radiation Therapy. Int. J. Radiat. Oncol. Biol. Phys. 2017, 97, 1032–1039. [Google Scholar] [CrossRef] [PubMed] [Green Version]
- Kavanagh, B.D.; Pan, C.C.; Dawson, L.A.; Das, S.K.; Li, X.A.; Ten Haken, R.K.; Miften, M. Radiation Dose–Volume Effects in the Stomach and Small Bowel. Int. J. Radiat. Oncol. Biol. Phys. 2010, 76, S101–S107. [Google Scholar] [CrossRef]
- Lee, T.F.; Huang, E.Y. The different dose-volume effects of normal tissue complication probability using LASSO for acute small-bowel toxicity during radiotherapy in gynecological patients with or without prior abdominal surgery. Biomed. Res. Int. 2014, 2014, 143020. [Google Scholar] [CrossRef]
- van Meir, H.; Nout, R.; Welters, M.; Loof, N.; De Kam, M.; Van Ham, J.; Samuels, S.; Kenter, G.; Cohen, A.; Melief, C. Impact of (chemo) radiotherapy on immune cell composition and function in cervical cancer patients. Oncoimmunology 2017, 6, e1267095. [Google Scholar] [CrossRef]
- Horeweg, N.; Mittal, P.; Gradowska, P.L.; Boere, I.; Chopra, S.; Nout, R.A. Adjuvant Systemic Therapy after Chemoradiation and Brachytherapy for Locally Advanced Cervical Cancer: A Systematic Review and Meta-Analysis. Cancers 2021, 13, 1880. [Google Scholar] [CrossRef]
- Huang, J.; Gu, F.; Ji, T.; Zhao, J.; Li, G. Pelvic bone marrow sparing intensity modulated radiotherapy reduces the incidence of the hematologic toxicity of patients with cervical cancer receiving concurrent chemoradiotherapy: A single-center prospective randomized controlled trial. Radiat. Oncol. 2020, 15, 1–9. [Google Scholar] [CrossRef]
- Rose, B.S.; Aydogan, B.; Liang, Y.; Yeginer, M.; Hasselle, M.D.; Dandekar, V.; Bafana, R.; Yashar, C.M.; Mundt, A.J.; Roeske, J.C. Normal tissue complication probability modeling of acute hematologic toxicity in cervical cancer patients treated with chemoradiotherapy. Int. J. Radiat. Oncol. Biol. Phys. 2011, 79, 800–807. [Google Scholar] [CrossRef]
- Mell, L.K.; Kochanski, J.D.; Roeske, J.C.; Haslam, J.J.; Mehta, N.; Yamada, S.D.; Hurteau, J.A.; Collins, Y.C.; Lengyel, E.; Mundt, A.J. Dosimetric predictors of acute hematologic toxicity in cervical cancer patients treated with concurrent cisplatin and intensity-modulated pelvic radiotherapy. Int. J. Radiat. Oncol. Biol. Phys. 2006, 66, 1356–1365. [Google Scholar] [CrossRef]
- Chang, Y.; Yang, Z.-Y.; Li, G.-L.; Li, Q.; Yang, Q.; Fan, J.-Q.; Zhao, Y.-C.; Song, Y.-Q.; Wu, G. Correlations between radiation dose in bone marrow and hematological toxicity in patients with cervical cancer: A comparison of 3DCRT, IMRT, and RapidARC. Int. J. Gynecol. Cancer 2016, 26, 770–776. [Google Scholar] [CrossRef] [PubMed]
- Corbeau, A.; Kuipers, S.C.; de Boer, S.M.; Horeweg, N.; Hoogeman, M.S.; Godart, J.; Nout, R.A. Correlations between bone marrow radiation dose and hematologic toxicity in locally advanced cervical cancer patients receiving chemoradiation with cisplatin: A systematic review. Radiother. Oncol. 2021, 164, 128–137. [Google Scholar] [CrossRef] [PubMed]
- van de Sande, M.A.E.; Creutzberg, C.L.; van de Water, S.; Sharfo, A.W.; Hoogeman, M.S. Which cervical and endometrial cancer patients will benefit most from intensity-modulated proton therapy? Radiother. Oncol. 2016, 120, 397–403. [Google Scholar] [CrossRef] [PubMed]
- Gort, E.M.; Beukema, J.C.; Matysiak, W.; Sijtsema, N.M.; Aluwini, S.; Langendijk, J.A.; Both, S.; Brouwer, C.L. Inter-fraction motion robustness and organ sparing potential of proton therapy for cervical cancer. Radiother. Oncol. 2021, 154, 194–200. [Google Scholar] [CrossRef] [PubMed]
- Lin, L.L.; Kirk, M.; Scholey, J.; Taku, N.; Kiely, J.B.; White, B.; Both, S. Initial Report of Pencil Beam Scanning Proton Therapy for Posthysterectomy Patients With Gynecologic Cancer. Int. J. Radiat Oncol. Biol. Phys. 2016, 95, 181–189. [Google Scholar] [CrossRef] [PubMed]
- Xu, M.J.; Maity, A.; Vogel, J.; Kirk, M.; Zhai, H.; Both, S.; Lin, L.L. Proton Therapy Reduces Normal Tissue Dose in Extended-Field Pelvic Radiation for Endometrial Cancer. Int. J. Part. Ther. 2018, 4, 1–11. [Google Scholar] [CrossRef] [Green Version]
- Verma, V.; Simone, C.B.; Wahl, A.O.; Beriwal, S.; Mehta, M.P. Proton radiotherapy for gynecologic neoplasms. Acta Oncol. 2016, 55, 1257–1265. [Google Scholar] [CrossRef] [Green Version]
- Pötter, R.; Tanderup, K.; Kirisits, C.; de Leeuw, A.; Kirchheiner, K.; Nout, R.; Tan, L.T.; Haie-Meder, C.; Mahantshetty, U.; Segedin, B. The EMBRACE II study: The outcome and prospect of two decades of evolution within the GEC-ESTRO GYN working group and the EMBRACE studies. Clin. Transl. Radiat. Oncol. 2018, 9, 48–60. [Google Scholar] [CrossRef] [Green Version]
- NCI. Common Terminology Criteria for Adverse Events (CTCAE) Version 5.0. Available online: https://ctep.cancer.gov/protocoldevelopment/electronic_applications/docs/ctcae_v5_quick_reference_5x7.pdf (accessed on 17 August 2021).
- Heijkoop, S.T.; Langerak, T.R.; Quint, S.; Bondar, L.; Mens, J.W.M.; Heijmen, B.J.; Hoogeman, M.S. Clinical implementation of an online adaptive plan-of-the-day protocol for nonrigid motion management in locally advanced cervical cancer IMRT. Int. J. Radiat. Oncol. Biol. Phys. 2014, 90, 673–679. [Google Scholar] [CrossRef]
- Ramlov, A.; Kroon, P.S.; Jürgenliemk-Schulz, I.M.; De Leeuw, A.A.; Gormsen, L.C.; Fokdal, L.U.; Tanderup, K.; Lindegaard, J.C. Impact of radiation dose and standardized uptake value of (18) FDG PET on nodal control in locally advanced cervical cancer. Acta Oncol. 2015, 54, 1567–1573. [Google Scholar] [CrossRef] [Green Version]
- Verma, V.; Mishra, M.V.; Mehta, M.P. A systematic review of the cost and cost-effectiveness studies of proton radiotherapy. Cancer 2016, 122, 1483–1501. [Google Scholar] [CrossRef] [PubMed]
- Protonentherapie (Zvw). Available online: https://www.zorginstituutnederland.nl/Verzekerde+zorg/protonentherapie-zvw (accessed on 8 July 2021).
- Arimoto, T.; Kitagawa, T.; Tsujii, H.; Ohhara, K. High-energy proton beam radiation therapy for gynecologic malignancies. Potential of proton beam as an alternative to brachytherapy. Cancer 1991, 68, 79–83. [Google Scholar] [CrossRef]
- Kagei, K.; Tokuuye, K.; Okumura, T.; Ohara, K.; Shioyama, Y.; Sugahara, S.; Akine, Y. Long-term results of proton beam therapy for carcinoma of the uterine cervix. Int. J. Radiat Oncol. Biol. Phys. 2003, 55, 1265–1271. [Google Scholar] [CrossRef]
- Tsujii, H.; Tsuji, H.; Inada, T.; Maruhashi, A.; Hayakawa, Y.; Takada, Y.; Tada, J.; Fukumoto, S.; Tatuzaki, H.; Ohara, K. Clinical results of fractionated proton therapy. Int. J. Radiat. Oncol. Biol. Phys. 1993, 25, 49–60. [Google Scholar] [CrossRef]
- Arians, N.; Lindel, K.; Krisam, J.; Herfarth, K.; Krug, D.; Akbaba, S.; Oelmann-Avendano, J.; Debus, J. Prospective phase-II-study evaluating postoperative radiotherapy of cervical and endometrial cancer patients using protons—The APROVE-trial. Radiat. Oncol. 2017, 12, 188. [Google Scholar] [CrossRef] [Green Version]




| Inclusion Criteria |
|
| Exclusion Criteria |
|
Publisher’s Note: MDPI stays neutral with regard to jurisdictional claims in published maps and institutional affiliations. |
© 2021 by the authors. Licensee MDPI, Basel, Switzerland. This article is an open access article distributed under the terms and conditions of the Creative Commons Attribution (CC BY) license (https://creativecommons.org/licenses/by/4.0/).
Share and Cite
Corbeau, A.; Nout, R.A.; Mens, J.W.M.; Horeweg, N.; Godart, J.; Kerkhof, E.M.; Kuipers, S.C.; van Poelgeest, M.I.E.; Kroep, J.R.; Boere, I.A.; et al. PROTECT: Prospective Phase-II-Trial Evaluating Adaptive Proton Therapy for Cervical Cancer to Reduce the Impact on Morbidity and the Immune System. Cancers 2021, 13, 5179. https://doi.org/10.3390/cancers13205179
Corbeau A, Nout RA, Mens JWM, Horeweg N, Godart J, Kerkhof EM, Kuipers SC, van Poelgeest MIE, Kroep JR, Boere IA, et al. PROTECT: Prospective Phase-II-Trial Evaluating Adaptive Proton Therapy for Cervical Cancer to Reduce the Impact on Morbidity and the Immune System. Cancers. 2021; 13(20):5179. https://doi.org/10.3390/cancers13205179
Chicago/Turabian StyleCorbeau, Anouk, Remi A. Nout, Jan Willem M. Mens, Nanda Horeweg, Jérémy Godart, Ellen M. Kerkhof, Sander C. Kuipers, Mariette I. E. van Poelgeest, Judith R. Kroep, Ingrid A. Boere, and et al. 2021. "PROTECT: Prospective Phase-II-Trial Evaluating Adaptive Proton Therapy for Cervical Cancer to Reduce the Impact on Morbidity and the Immune System" Cancers 13, no. 20: 5179. https://doi.org/10.3390/cancers13205179
APA StyleCorbeau, A., Nout, R. A., Mens, J. W. M., Horeweg, N., Godart, J., Kerkhof, E. M., Kuipers, S. C., van Poelgeest, M. I. E., Kroep, J. R., Boere, I. A., van Doorn, H. C., Hoogeman, M. S., van der Heide, U. A., Putter, H., Welters, M. J. P., van der Burg, S. H., Creutzberg, C. L., & de Boer, S. M. (2021). PROTECT: Prospective Phase-II-Trial Evaluating Adaptive Proton Therapy for Cervical Cancer to Reduce the Impact on Morbidity and the Immune System. Cancers, 13(20), 5179. https://doi.org/10.3390/cancers13205179

