Fertility Sparing Treatment in Gastric-Type Endocervical Carcinoma
Abstract
Simple Summary
Abstract
1. Introduction
2. Materials and Methods
3. Result
4. Discussion
4.1. Specificity of Gastric-Type Endocervical Adenocarcinoma in the Context of Fertility Sparing Surgery
4.1.1. Epidemiology
4.1.2. Pathologic Features of Gastric Type Endocervical Carcinoma
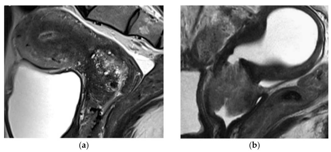
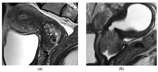
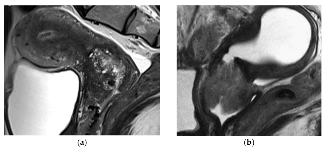
4.1.3. Radiologic Features
4.1.4. Prognosis
4.2. Techniques and Indications of Fertility Sparing Surgery in Cervical Cancer
4.2.1. Principles and Results of Dargent Radical Trachelectomy
4.2.2. Other Approaches of Radical Trachelectomy
4.2.3. Obstetrical Outcomes
4.2.4. Simple Trachelectomy or Cone Resection
4.2.5. Neoadjuvant Chemotherapy Followed by Fertility Sparing Surgery
4.3. Available Recommendations and Guidelines in Gastric Type Cervical Cancer
5. Conclusions
Author Contributions
Funding
Data Availability Statement
Acknowledgments
Conflicts of Interest
References
- Howlader, N.; Noone, A.M.; Krapcho, M.; Miller, D.; Brest, A.; Yu, M.; Ruhl, J.; Tatalovich, Z.; Mariotto, A.; Lewis, D.R.; et al. SEER Cancer Statistics Review, 1975–2010; National Cancer Institute: Bethesda, MD, USA, 2013. Available online: https://seer.cancer.gov/archive/csr/1975_2010/ (accessed on 10 June 2021).
- Ross, L.; Chung, K.; Macdonald, H. Fertility Preservation in the Female Cancer Patient. J. Surg. Oncol. 2014, 110, 907–911. [Google Scholar] [CrossRef]
- Rodriguez-Wallberg, K.A.; Oktay, K. Fertility preservation in women with breast cancer. Clin. Obs. Gynecol. 2010, 53, 753. [Google Scholar] [CrossRef]
- Ries, L.A.G.; Harkins, D.; Krapcho, M.; Mariotto, A.; Miller, B.A.; Feuer, E.J.; Clegg, L.X.; Eisner, M.P.; Horner, M.J.; Howlader, N.; et al. SEER Cancer Statistics Review, 1975–2006; National Cancer Institute: Bethesda, MD, USA, 2009. Available online: https://seer.cancer.gov/csr/1975_2006 (accessed on 10 June 2021).
- Loren, A.W.; Mangu, P.B.; Beck, L.N.; Brennan, L.; Magdalinski, A.J.; Partridge, A.H.; Quinn, G.; Wallace, W.H.; Oktay, K. Fertility preservation for patients with cancer: American Society of Clinical Oncology clinical practice guideline update. J. Clin. Oncol. 2013, 31, 2500–2510. [Google Scholar] [CrossRef]
- Arbyn, M.; Weiderpass, E.; Laia Bruni, L.; de Sanjosé, S.; Saraiya, M.; Ferlay, J.; Bray, F. Estimates of incidence and mortality of cervical cancer in 2018: A worldwide analysis. Lancet Glob. Health 2020, 8, 191–203. [Google Scholar] [CrossRef]
- Cibula, D.; Potter, R.; Planchamp, F.; Avall-Lundqvist, E.; Fischerova, D.; Haie-Meder, C.; Köhler, C.; Landoni, F.; Lax, S.; Lindegaard, J.C.; et al. The European Society of Gynaecological Oncology/European Society for Radiotherapy and Oncology/European Society of Pathology Guidelines for the Management of Patients with Cervical Cancer. Int. J. Gynecol. Cancer 2018, 28, 641–655. [Google Scholar] [CrossRef] [PubMed]
- Burbano, J.; Heredia, F.; Sanabria, D.; Ardila, E.G.; Viveros-Carreño, D.; Rodriguez, J. Neoadjuvant chemotherapy prior to fertility-sparing surgery in cervical tumors larger than 2 cm: A systematic review on fertility and oncologic outcomes. Int. J. Gynecol. Cancer 2021, 31, 387–398. [Google Scholar] [CrossRef] [PubMed]
- Rendón, G.J.; Lopez Blanco, A.; Aragona, A.; Martín Saadi, J.; Di Guilmi, J.; Arab Eblen, C.; Heredia Muñoz, F.; Pareja, R. Oncological and obstetrical outcomes after neo-adjuvant chemotherapy followed by fertility-sparing surgery in patients with cervical cancer ≥2 cm. Int. J. Gynecol. Cancer 2021, 31, 462–467. [Google Scholar] [CrossRef]
- ClinicalTrials.gov. Identifier NCT04483557, Neo-Adjuvant Chemotherapy and Conservative Surgery in Cervical Cancer to Preserve Fertility [CONTESSA]. Available online: https://clinicaltrials.gov/ct2/show/NCT04483557 (accessed on 6 August 2021).
- ClinicalTrials.gov. Identifier NCT04016389, Study of Neo-Adjuvant Chemotherapy and Surgery to Preserve Fertility in Patients with Cervical Cancer [NeoCon-F]. Available online: https://clinicaltrials.gov/ct2/show/NCT04016389 (accessed on 6 August 2021).
- NCCN. Clinical Practical Guidelines in Oncology. Cervical Cancer. Version 1.2021. 2 October 2020. Available online: https://www.nccn.org/professionals/physician_gls/pdf/cervical.pdf (accessed on 6 August 2021).
- Holl, K.; Nowakowski, A.M.; Powell, N.; McCluggage, W.G.; Pirog, E.C.; Collas De Souza, S.; Tjalma, W.A.; Rosenlund, M.; Fiander, A.; Maria Castro Sánchez, M.; et al. Human papillomavirus prevalence and type-distribution in cervical glandular neoplasias: Results from a European multinational epidemiological. Int. J. Cancer 2015, 137, 2858–2868. [Google Scholar] [CrossRef] [PubMed]
- Kojima, A.; Mikami, Y.; Sudo, T.; Yamaguchi, S.; Kusanagi, Y.; Ito, M.; Nishimura, R. Gastric Morphology and Immunophenotype Predict Poor Outcome in Mucinous Adenocarcinoma of the Uterine Cervix. Am. J. Surg. Pathol. 2007, 31, 664–672. [Google Scholar] [CrossRef] [PubMed]
- Kojima, A.; Shimada, M.; Mikami, Y.; Nagao, S.; Takeshima, N.; Sugiyama, T.; Teramoto, N.; Kiyokawa, T.; Kigawa, J.; Nishimura, R. Chemoresistance of gastric- type mucinous carcinoma of the uterine cervix: A study of the Sankai Gynecology Study Group. Int. J. Gynecol. Cancer 2018, 28, 99–106. [Google Scholar] [CrossRef]
- Kurman, R.J.; Carcangiu, M.L.; Herrington, C.S.; Young, R.H. Glandular tumours and precursors. In World Health Organization Classification of Tumours of Female Reproductive Organs, 4th ed.; IARC Press: Lyon, France, 2014; pp. 183–194. [Google Scholar]
- Stolnicu, S.; Barsan, I.; Hoang, L.; Patel, P.; Terinte, C.; Pesci, A.; Aviel-Ronen, S.; Kiyokawa, T.; Alvarado-Cabrero, I.; Pike, M.C.; et al. International endocervical adenocarcinoma criteria and classification [IECC]: A new pathogenetic classification for invasive adenocarcinomas of the endocervix. Am. J. Surg. Pathol. 2018, 42, 214–226. [Google Scholar] [CrossRef]
- Kawakami, F.; Mikami, Y.; Kojima, A.; Ito, M.; Nishimura, R.; Manabe, T. Diagnostic reproducibility in gastric-type mucinous adenocarcinoma of the uterine cervix: Validation of novel diagnostic criteria. Histopathology 2010, 56, 551–553. [Google Scholar] [CrossRef]
- Nucci, M.R.; Clement, P.B.; Young, R.H. Lobular endocervical glandular hyperplasia, not otherwise specified: A clinicopathologic analysis of thirteen cases of a distinctive pseudoneoplastic lesion and comparison with fourteen cases of adenoma malignum. Am. J. Surg. Pathol. 1999, 23, 886–891. [Google Scholar] [CrossRef] [PubMed]
- Mikami, Y.; Hata, S.; Fujiwara, K.; Imajo, Y.; Kohno, I.; Manabe, T. Florid endocervical glandular hyperplasia with intestinal and pyloric gland metaplasia: Worrisome benign mimic of ‘adenoma malignum’. Gynecol. Oncol. 1999, 74, 504–511. [Google Scholar] [CrossRef]
- Mills, K.E.; Shuen, P.; Zolis, L. Adenoma Malignum Presenting with Profound Hyponatremia. J. Obstet. Gynaecol. Can. 2015, 37, 624–627. [Google Scholar] [CrossRef][Green Version]
- Stolnicu, S.; Hoang, L.; Soslow, R.A. Recent advances in invasive adenocarcinoma of the cervix. Virchows Arch. 2019, 475, 537–549. [Google Scholar] [CrossRef] [PubMed]
- Kido, A.; Mikami, Y.; Koyama, T.; Kataoka, M.; Shitano, F.; Konishi, I.; Togashi, K. Magnetic resonance appearance of gastric-type adenocarcinoma of the uterine cervix in comparison with that of usual-type endocervical adenocarcinoma: A pitfall of newly described unusual subtype of endocervical adenocarcinoma. Int. J. Gynecol. Cancer 2014, 24, 1474–1479. [Google Scholar] [CrossRef]
- Van de Kol, K.G.C.; Vergeldt, T.F.M.; Bekkers, R.L.M. Abdominal radical trachelectomy versus chemotherapy followed by vaginal radical trachelectomy in stage 1B2 [FIGO 2018] cervical cancer. A systematic review on fertility and recurrence rates. Gynecol. Oncol. 2019, 155, 515–521. [Google Scholar] [CrossRef] [PubMed]
- Park, K.J.; Kim, M.H.; Kim, J.K.; Cho, K.S. Gastric-Type Adenocarcinoma of the Uterine Cervix: Magnetic Resonance Imaging Features, Clinical Outcomes, and Prognostic Factors. Int. J. Gynecol. Cancer 2018, 28, 1203–1210. [Google Scholar] [CrossRef]
- Karamurzin, Y.S.; Kiyokawa, T.; Parkash, V.; Jotwani, A.R.; Patel, P.; Pike, M.C.; Soslow, R.A.; Park, K.J. Gastric-type Endocervical Adenocarcinoma. Am. J. Surg. Pathol. 2015, 39, 1449–1457. [Google Scholar] [CrossRef] [PubMed]
- Dargent, D.; Brun, J.L.; Remy, I. Pregnancies following radical trachelectomy for invasive cervical concer. Society of Gynecologic Oncologists—Abstracts. Gynecol. Oncol. 1994, 52, 105–108. [Google Scholar]
- Dargent, D.; Brun, J.L.; Roy, M.; Mathevet, P.; Remy, I. La trachélectomie élargie (TE), une alternative á l’hystérectomie radicale dans le traitement des cancers infiltrants développés sur la face externe du col utérin. JOBGYN 1994, 2, 285–292. [Google Scholar]
- Dargent, D.; Martin, X.; Sacchetoni, A.; Mathevet, P. Laparoscopic Vaginal Radical Trachelectomy a Treatment to Preserve the Fertility of Cervical Carcinoma Patients. Cancer 2000, 88, 1877–1882. [Google Scholar] [CrossRef]
- Aburel, E. Colpohisterectomia largita subfundica. In Chirurgica Gynecologica; Sirbu, P., Ed.; Editura Medicala Pub: Bucharest, Romania, 1981; pp. 714–721. [Google Scholar]
- Gomel, V.; Brill, A. Chapter: Preservation of fertility in gynecologic malignancy. In Reconstructive and Reproductive Surgery in Oncology, 1st ed.; CRC Press: Boca Raton, FL, USA, 2010. [Google Scholar]
- Plante, M. Evolution in fertility-preserving options for early-stage cervical cancer. Radical trachelectomy, simple trachelectomy, neoadjuvant chemotherapy. Int. J. Gynecol. Cancer 2013, 23, 982–989. [Google Scholar] [CrossRef] [PubMed]
- Lécuru, F.; Mathevet, P.; Querleu, D.; Leblanc, E.; Morice, P.; Daraï, E.; Marret, H.; Magaud, L.; Gillaizeau, F.; Chatellier, G.; et al. Bilateral negative sentinel nodes accurately predict absence of lymph node metastasis in early cervical cancer: Results of the SENTICOL study. J. Clin. Oncol. 2011, 29, 1686–1691. [Google Scholar] [CrossRef]
- Rychlik, A.; Angeles, M.A.; Migliorelli, F.; Croce, S.; Mery, E.; Martinez, A.; Ferron, G.; Guyon, G.; Querleu, D. Frozen section examination of sentinel lymph nodes can be used as a decisional tool in the surgical management of early cervical cancer. Int. J. Gynecol. Cancer 2020, 30, 1–6. [Google Scholar] [CrossRef] [PubMed]
- Bats, A.S.; Buénerd, A.; Querleu, D.; Leblanc, E.; Darai, E.; Morice, P.; Marret, H.; Gillaizeau Mathevet, P.; Lecuru, F. Diagnostic value of intraoperative examination of sentinel lymph node in early cervical cancer: A prospective, multicenter study. Gynecol. Oncol. 2011, 123, 230–235. [Google Scholar] [CrossRef]
- Tanguay, C.; Plante, M.; Renaud, M.C.; Roy, M.; Têtu, B. Vaginal Radical Trachelectomy in the Treatment of Cervical Cancer: The Role of Frozen Section. Int. J. Gynecol. Pathol. 2004, 23, 170–175. [Google Scholar] [CrossRef]
- Willows, K.; Lennox, G.; Covens, A. Fertility-sparing management in cervical cancer: Balancing oncologic outcomes with reproductive success. Gynecol. Oncol. Res. Pract. 2016, 3, 9. [Google Scholar] [CrossRef]
- Diaz, J.P.; Sonoda, Y.; Leitao, M.M.; Chi, D.S.; Barakat, R.R.; Abu-Rustum, N.R. Oncologic outcome of fertility-sparing radical trachelectomy versus radical hysterectomy for stage IB1 cervical carcinoma. Gynecol. Oncol. 2008, 111, 255–260. [Google Scholar] [CrossRef] [PubMed]
- Bentivegna, E.; Gouy, S.; Maulard, A.; Chargari, C.; Leary, A.; Morice, P. Oncological outcomes after fertility-sparing surgery for cervical cancer: A systematic review. Lancet Oncol. 2016, 17, 240–253. [Google Scholar] [CrossRef]
- Tseng, J.H.; Aloisi, A.; Sonoda, Y.; Gardner, G.J.; Zivanovic, O.; Abu-Rustum, N.R.; Leitao, M.M. Long-Term Oncologic Outcomes of Uterine-Preserving Surgery in Young Women With Stage Ib1 Cervical Cancer. Int. J. Gynecol. Cancer 2018, 28, 1350–1359. [Google Scholar] [CrossRef]
- Ungár, L.; Pálfalvi, L.; Hogg, R.; Siklós, P.; Boyle, D.C.M.; Del Priore, G.; Smith, J.R. Abdominal radical trachelectomy: A fertility-preserving option for women with early cervical cancer. BJOG 2005, 112, 366–369. [Google Scholar] [CrossRef] [PubMed]
- Einstein, M.H.; Park, K.J.; Sonoda, Y.; Carter, J.; Chi, D.S.; Barakat, R.R.; Abu-Rustum, N.R. Radical vaginal versus abdominal trachelectomy for stage IB1 cervical cancer: A comparison of surgical and pathologic outcomes. Gynecol. Oncol. 2009, 112, 73–77. [Google Scholar] [CrossRef] [PubMed]
- Kim, J.H.; Park, J.Y.; Kim, D.Y.; Kim, Y.M.; Kim, Y.T.; Nam, J.H. Fertility-sparing laparoscopic radical trachelectomy for young women with early stage cervical cancer. BJOG 2010, 117, 340–347. [Google Scholar] [CrossRef] [PubMed]
- Martin, A.; Torrent, A. Laparoscopic nerve-sparing radical trachelectomy: Surgical technique and outcome. J. Minim. Invasive Gynecol. 2010, 17, 37–41. [Google Scholar] [CrossRef] [PubMed]
- Persson, J.; Kannisto, P.; Bossmar, T. Robot-assisted abdominal laparoscopic radical trachelectomy. Gynecol. Oncol. 2008, 111, 564–567. [Google Scholar] [CrossRef] [PubMed]
- Ramirez, P.T.; Frumovitz, M.; Pareja, R.; Lopez, A.; Vieira, M.; Ribeiro, R.; Buda, A.; Yan, X.; Shuzhong, Y.; Chetty, N.; et al. Minimally invasive versus abdominal radical hysterectomy for cervical cancer. N. Engl. J. Med. 2018, 379, 1895–1904. [Google Scholar] [CrossRef]
- Salvo, G.; Ramirez, P.T.; Leitao, M.; Cibula, D.; Fotopoulou, C.; Kucukmetin, A.; Rendon, G.; Perrotta, M.; Ribeiro, R.; Vieira, M.; et al. International radical trachelectomy assessment: IRTA study. Int. J. Gynecol. Cancer 2019, 29, 635–638. [Google Scholar] [CrossRef]
- Bentivegna, E.; Maulard, A.; Pautier, P.; Chargari, C.; Gouy, S.; Morice, P. Fertility results and pregnancy outcomes after conservative treatment of cervical cancer: A systematic review of the literature. Fertil. Steril. 2016, 106, 1195–1211. [Google Scholar] [CrossRef]
- Pareja, R.; Rendon, G.J.; Sanz-Lomana, C.M.; Monzón, O.; Ramirez, P.T. Surgical, oncological, and obstetrical outcomes after abdominal radical trachelectomy—A systematic literature review. Gynecol. Oncol. 2013, 131, 77–82. [Google Scholar] [CrossRef]
- Speiser, D.; Mangler, M.; Kohler, C.; Hasenbein, K.; Hertel, H.; Chiantera, V.; Gottschalk, E.; Lanowska, M. Fertility outcome after radical vaginal trachelectomy: A prospective study of 212 patients. Int. J. Gynecol. Cancer 2011, 21, 1635–1639. [Google Scholar] [CrossRef]
- Covens, A.; Rosen, B.; Murphy, J.; Laframboise, S.; DePetrillo, A.D.; Lickrish, G.; Colgan, T.; Chapman, W.; Shaw, P. How important is removal of the parametrium at surgery for carcinoma of the cervix? Gynecol. Oncol. 2002, 84, 145–149. [Google Scholar] [CrossRef]
- Steed, H.; Capstick, V.; Schepansky, A.; Honore, L.; Hiltz, M.; Faught, W. Early cervical cancer and parametrial involvement: Is it significant? Gynecol. Oncol. 2006, 103, 53–57. [Google Scholar] [CrossRef]
- ClinicalTrials.gov. Radical Versus Simple Hysterectomy and Pelvic Node Dissection with Low-Risk Early Stage Cervical Cancer [SHAPE]. Available online: https://clinicaltrials.gov/ct2/show/NCT01658930 (accessed on 22 August 2021).
- Kobayashi, Y.; Akiyama, F.; Hasumi, K. A case of successful pregnancy after treatment of invasive cervical cancer with systemic chemotherapy and conization. Gynecol. Oncol. 2006, 100, 213–215. [Google Scholar] [CrossRef] [PubMed]
- Plante, M.; Lau, S.; Brydon, L.; Swenerton, K.; LeBlanc, R.; Roy, M. Neoadjuvant chemotherapy followed by vaginal radical trachelectomy in bulky stage IB1 cervical cancer: Case report. Gynecol. Oncol. 2006, 101, 367–370. [Google Scholar] [CrossRef] [PubMed]
- Marchiole, P.; Tigaud, J.D.; Costantini, S.; Mammoliti, S.; Buenerd, A.; Moran, E.; Mathevet, P. Neoadjuvant chemotherapy and vaginal radical trachelectomy for fertility-sparing treatment in women affected by cervical cancer [FIGO stage IB-IIA1]. Gynecol. Oncol. 2011, 122, 484–490. [Google Scholar] [CrossRef]
- Lanowska, M.; Mangler, M.; Speiser, D.; Bockholdt, C.; Schneider, A.; Köhler, C.; Vasiljeva, J.; Al-Hakeem, M.; Vercellino, G.F. Radical vaginal trachelectomy after laparoscopic staging and neoadjuvant chemotherapy in women with early-stage cervical cancer over 2 cm. Oncologic, fertility, and neonatal outcome in a series of 20 patients. Int. J. Gynecol. Cancer 2014, 24, 586–593. [Google Scholar] [CrossRef]
- Salihi, R.; Leunena, K.; Van Limbergen, E.; Moerman, P.; Neven, P.; Vergote, I. Neoadjuvant chemotherapy followed by large cone resection as fertility sparing therapy in stage IB cervical cancer. Gynecol. Oncol. 2015, 139, 447–451. [Google Scholar] [CrossRef] [PubMed]
- Wang, D.; Yang, J.; Shen, K.; Xiang, Y. Neoadjuvant chemotherapy followed by fertility-sparing surgery for women with stage IB1 cervical cancer. J. Gynecol. Oncol. 2013, 24, 287–290. [Google Scholar] [CrossRef]
- Robova, H.; Halaska, M.J.; Pluta, M.; Skapa Matecha, J.; Lisy, J.; Rob, L. Oncological and pregnancy outcomes after high-dose density neoadjuvant chemotherapy and fertility-sparing surgery in cervical cancer. Gynecol. Oncol. 2014, 135, 213–216. [Google Scholar] [CrossRef] [PubMed]
- Singh, S.; Redline RResnick, K. Fertility-sparing management of a stage IB1 small cell neuroendocrine cervical carcinoma with radical abdominal trachelectomy and adjuvant chemotherapy. Gynecol. Oncol. Rep. 2015, 13, 5–7. [Google Scholar] [CrossRef] [PubMed]
- Chung, K.; Donnez, J.; Ginsburg, E.; Meirow, D. Emergency IVF versus ovarian tissue cryopreservation: Decision making in fertility preservation for female cancer patient. Fertil. Steril. 2013, 99, 1534–1542. [Google Scholar] [CrossRef] [PubMed]
- Sreenivas, K.; Campo-Engelstein, L. Domestic and International Surrogacy Laws: Implications for Cancer Survivors. Cancer Treat. Res. 2010, 156, 135–152. [Google Scholar]
- Johannesson, L.; Järvholm, S. Uterus transplantation: Current progress and future prospects. Int. J. Women’s Health 2016, 8, 43–51. [Google Scholar] [CrossRef]


Publisher’s Note: MDPI stays neutral with regard to jurisdictional claims in published maps and institutional affiliations. |
© 2021 by the authors. Licensee MDPI, Basel, Switzerland. This article is an open access article distributed under the terms and conditions of the Creative Commons Attribution (CC BY) license (https://creativecommons.org/licenses/by/4.0/).
Share and Cite
Rychlik, A.; Querleu, D.; Bidzinski, M. Fertility Sparing Treatment in Gastric-Type Endocervical Carcinoma. Cancers 2021, 13, 5177. https://doi.org/10.3390/cancers13205177
Rychlik A, Querleu D, Bidzinski M. Fertility Sparing Treatment in Gastric-Type Endocervical Carcinoma. Cancers. 2021; 13(20):5177. https://doi.org/10.3390/cancers13205177
Chicago/Turabian StyleRychlik, Agnieszka, Denis Querleu, and Mariusz Bidzinski. 2021. "Fertility Sparing Treatment in Gastric-Type Endocervical Carcinoma" Cancers 13, no. 20: 5177. https://doi.org/10.3390/cancers13205177
APA StyleRychlik, A., Querleu, D., & Bidzinski, M. (2021). Fertility Sparing Treatment in Gastric-Type Endocervical Carcinoma. Cancers, 13(20), 5177. https://doi.org/10.3390/cancers13205177

