PD-L1 Testing and Squamous Cell Carcinoma of the Head and Neck: A Multicenter Study on the Diagnostic Reproducibility of Different Protocols
Abstract
Simple Summary
Abstract
1. Introduction
2. Materials and Methods
2.1. Patients and Tissue Specimens
2.2. Tissue Microarrays (TMA) Construction
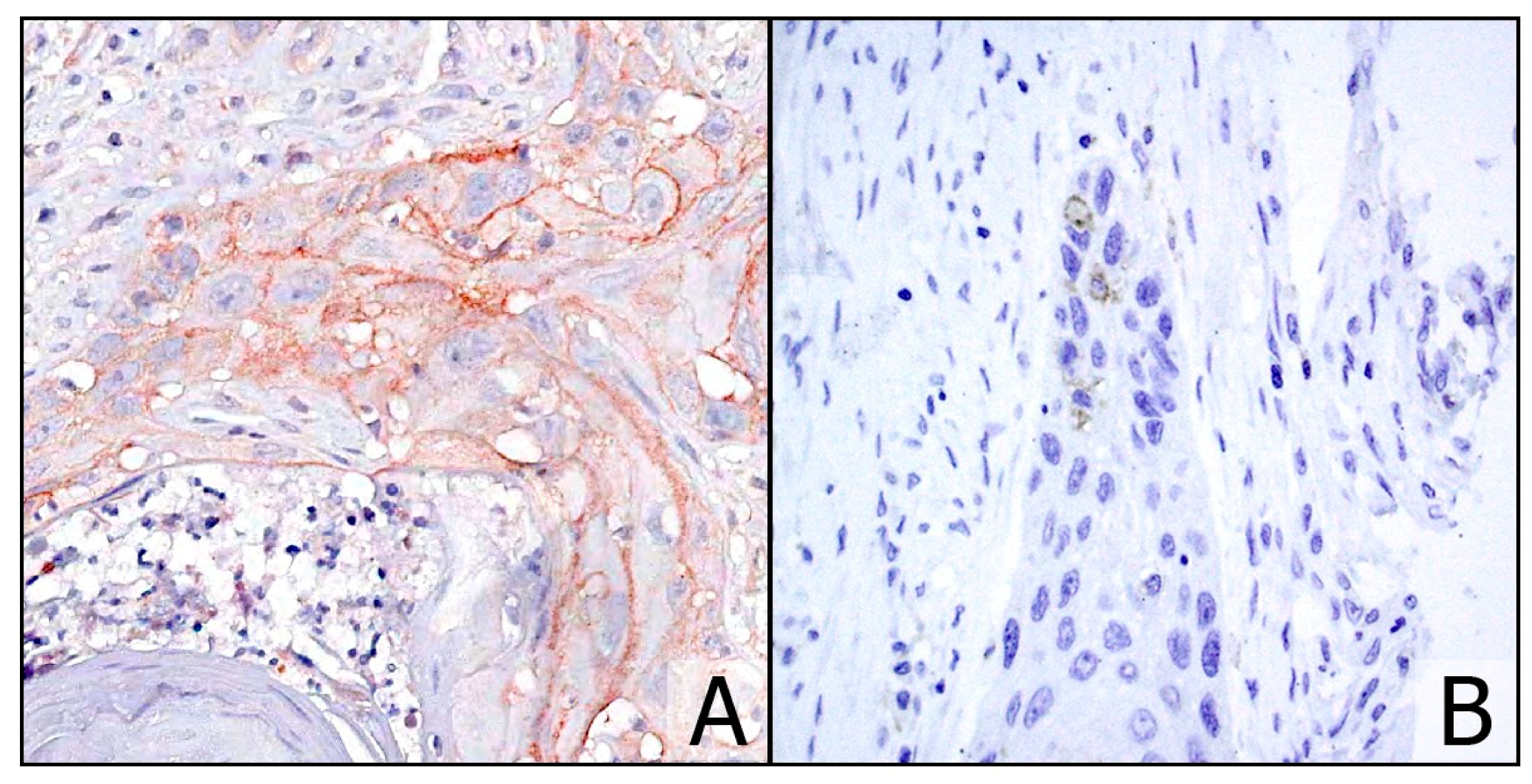
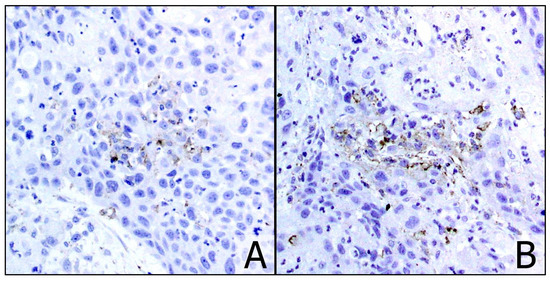
2.3. Immunohistochemistry
2.4. Statistical Analyses
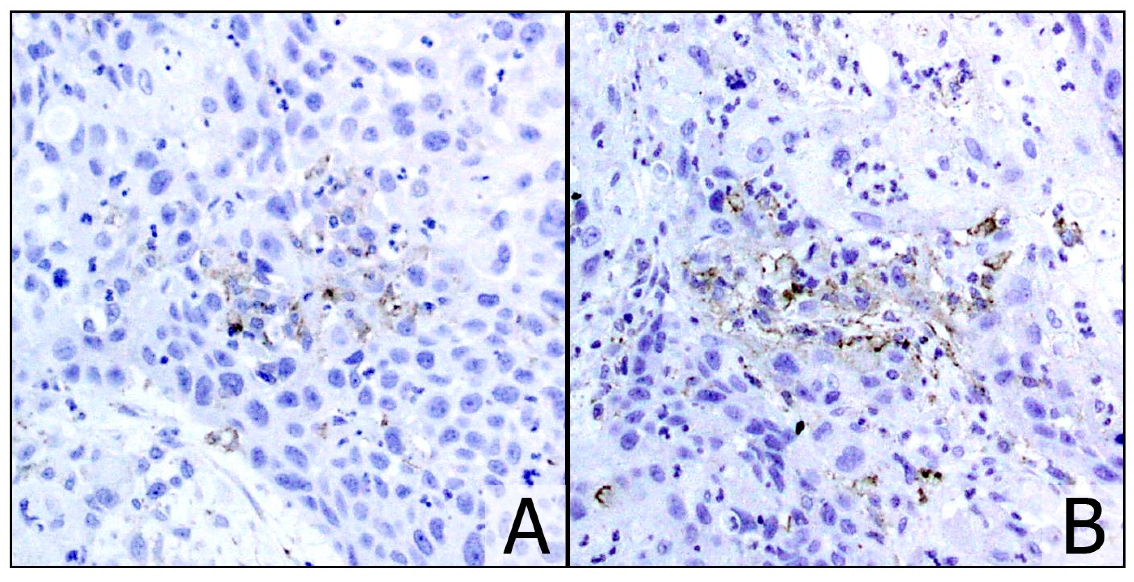
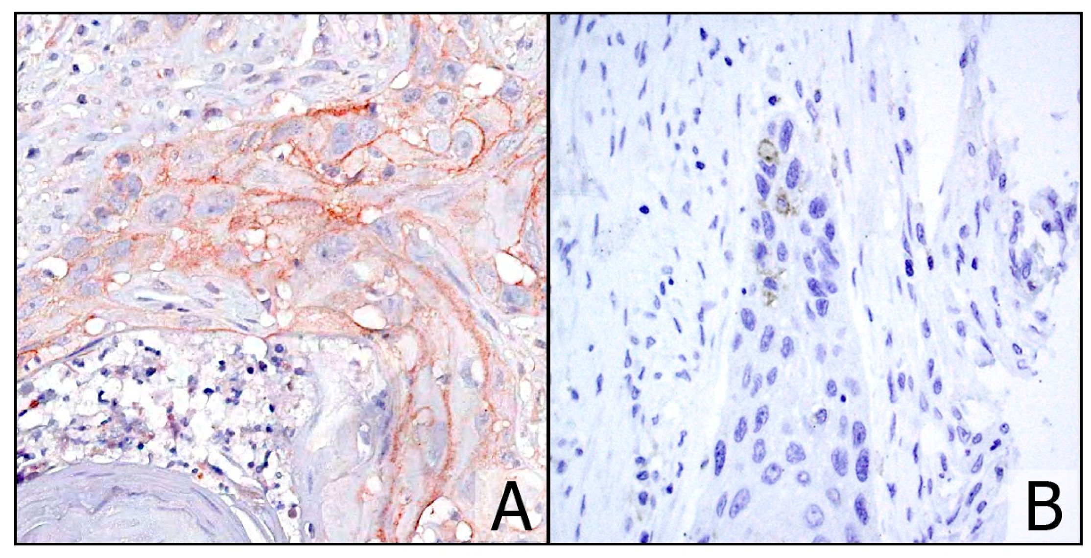
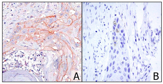
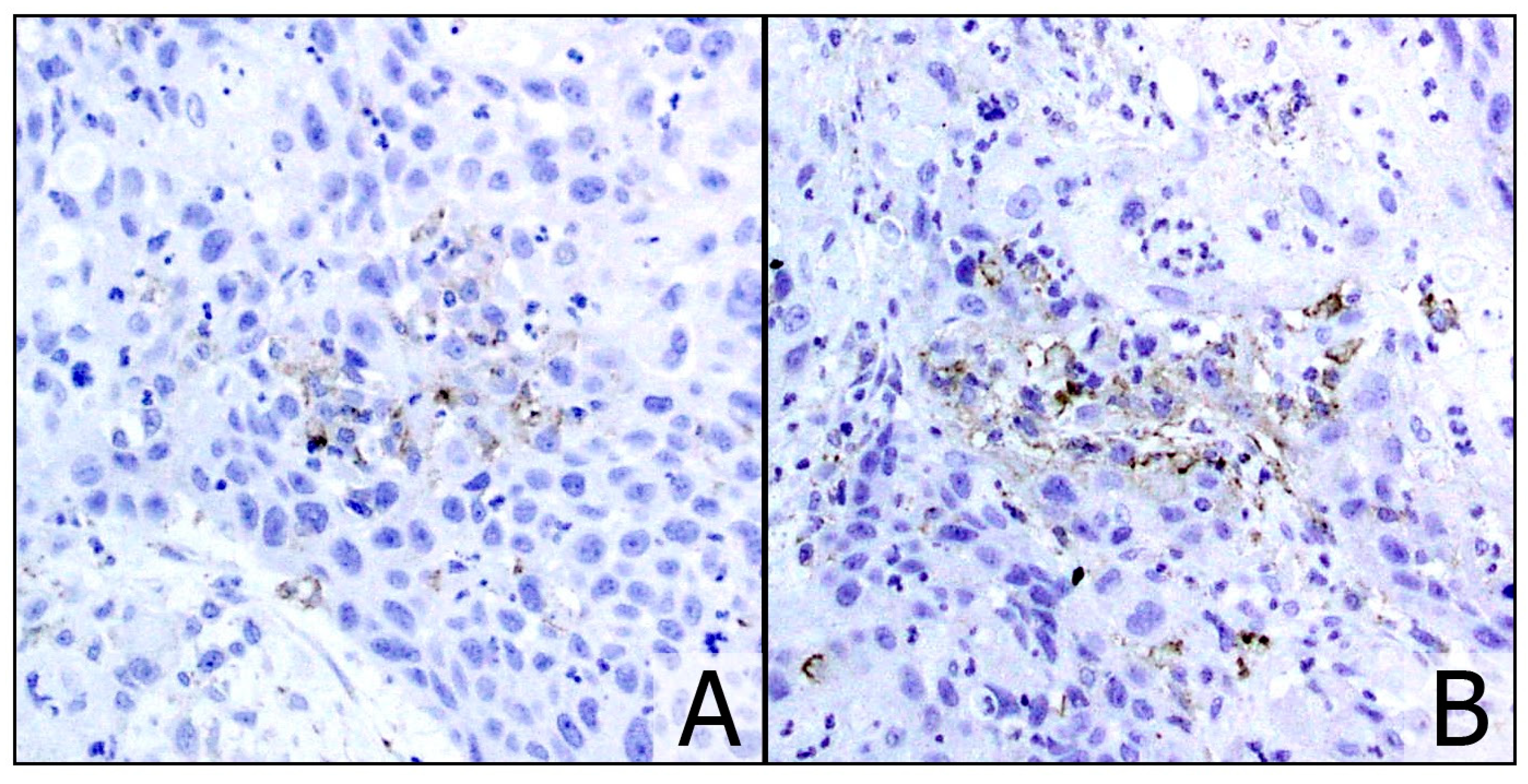
3. Results
4. Discussion
5. Conclusions
Supplementary Materials
Author Contributions
Funding
Institutional Review Board Statement
Informed Consent Statement
Data Availability Statement
Acknowledgments
Conflicts of Interest
References
- Szturz, P.; Vermorken, J.B. Translating KEYNOTE-048 into practice recommendations for head and neck cancer. Ann. Transl. Med. 2020, 8, e975. [Google Scholar] [CrossRef]
- Cramer, J.D.; Burtness, B.; Ferris, R.L. Immunotherapy for head and neck cancer: Recent advances and future directions. Oral Oncol. 2019, 99, e104460. [Google Scholar] [CrossRef] [PubMed]
- Burtness, B.; Harrington, K.J.; Greil, R.; Soulières, D.; Tahara, M.; de Castro, G., Jr.; Psyrri, A.; Basté, N.; Neupane, P.; Bratland, Å.; et al. Pembrolizumab alone or with chemotherapy versus cetuximab with chemotherapy for recurrent or metastatic squamous cell carcinoma of the head and neck (KEYNOTE-048): A randomised, open-label, phase 3 study. Lancet 2019, 394, 1915–1928. [Google Scholar] [CrossRef]
- Pagni, F.; Guerini-Rocco, E.; Schultheis, A.M.; Grazia, G.; Rijavec, E.; Ghidini, M.; Lopez, G.; Venetis, K.; Croci, G.A.; Malapelle, U.; et al. Targeting Immune-Related Biological Processes in Solid Tumors: We do Need Biomarkers. Int. J. Mol. Sci. 2019, 20, e5452. [Google Scholar] [CrossRef]
- Giunchi, F.; Gevaert, T.; Scarpelli, M.; Fiorentino, M. Status of Programmed Death Ligand 1 (PD-L1) by Immunohistochemistry and Scoring Algorithms. Curr. Drug Targets 2020, 21, 1286–1292. [Google Scholar] [CrossRef] [PubMed]
- Ionescu, D.N.; Downes, M.R.; Christofides, A.; Tsao, M.S. Harmonization of PD-L1 testing in oncology: A Canadian pathology perspective. Curr. Oncol. 2018, 25, e209–e216. [Google Scholar] [CrossRef] [PubMed]
- Tsao, M.S.; Kerr, K.M.; Kockx, M.; Beasley, M.-B.; Borczuk, A.C.; Botling, J.; Bubendorf, L.; Chirieac, L.; Chen, G.; Chou, T.-Y.; et al. PD-L1 Immunohistochemistry Comparability Study in Real-Life Clinical Samples: Results of Blueprint Phase 2 Project. J. Thorac. Oncol. 2018, 13, 1302–1311. [Google Scholar] [CrossRef]
- De Meulenaere, A.; Vermassen, T.; Creytens, D.; Aspeslagh, S.; Deron, P.; Duprez, F.; Rottey, S.; Van Dorpe, J.A.; Ferdinande, L. Importance of choice of materials and methods in PD-L1 and TIL assessment in oropharyngeal squamous cell carcinoma. Histopathology 2018, 73, 500–509. [Google Scholar] [CrossRef]
- Downes, M.R.; Slodkowska, E.; Katabi, N.; Jungbluth, A.A.; Xu, B. Inter- and intraobserver agreement of programmed death ligand 1 scoring in head and neck squamous cell carcinoma, urothelial carcinoma and breast carcinoma. Histopathology 2020, 76, 191–200. [Google Scholar] [CrossRef]
- PD-L1 IHC 22C3 pharmDx Interpretation Manual—Head and Neck Squamous Cell Carcinoma (HNSCC). Available online: https://www.agilent.com/cs/library/usermanuals/public/29314_22c3_pharmDx_hnscc_interpretation_manual_us.pdf (accessed on 30 November 2020).
- Koo, T.K.; Li, M.Y. A Guideline of Selecting and Reporting Intraclass Correlation Coefficients for Reliability Research. J. Chiropr. Med. 2016, 15, 155–163. [Google Scholar] [CrossRef]
- Landis, J.R.; Richard Landis, J.; Koch, G.G. The Measurement of Observer Agreement for Categorical Data. Biometrics 1977, 33, e159. [Google Scholar] [CrossRef]
- PD-L1 IHC 22C3 pharmDx. Available online: https://www.accessdata.fda.gov/cdrh_docs/pdf15/P150013S014C.pdf (accessed on 28 December 2020).
- Cheung, C.C.; Barnes, P.; Bigras, G.; Boerner, S.; Butany, J.; Calabrese, F.; Couture, C.; Deschenes, J.; El-Zimaity, H.; Fischer, G.; et al. Fit-For-Purpose PD-L1 Biomarker Testing For Patient Selection in Immuno-Oncology: Guidelines For Clinical Laboratories From the Canadian Association of Pathologists-Association Canadienne Des Pathologistes (CAP-ACP). Appl. Immunohistochem. Mol. Morphol. 2019, 27, 699–714. [Google Scholar] [CrossRef] [PubMed]
- Rebelatto, M.C.; Midha, A.; Mistry, A.; Sabalos, C.; Schechter, N.; Li, X.; Jin, X.; Steele, K.E.; Robbins, P.B.; Blake-Haskins, J.A.; et al. Development of a programmed cell death ligand-1 immunohistochemical assay validated for analysis of non-small cell lung cancer and head and neck squamous cell carcinoma. Diagn. Pathol. 2016, 11, e95. [Google Scholar] [CrossRef] [PubMed]
- Wang, C.; Hahn, E.; Slodkowska, E.; Eskander, A.; Enepekides, D.; Higgins, K.; Vesprini, D.; Liu, S.K.; Downes, M.R.; Xu, B. Reproducibility of PD-L1 immunohistochemistry interpretation across various types of genitourinary and head/neck carcinomas, antibody clones, and tissue types. Hum. Pathol. 2018, 82, 131–139. [Google Scholar] [CrossRef]
- de Ruiter, E.J.; Mulder, F.J.; Koomen, B.M.; Speel, E.-J.; van den Hout, M.F.C.M.; de Roest, R.H.; Bloemena, E.; Devriese, L.A.; Willems, S.M. Comparison of three PD-L1 immunohistochemical assays in head and neck squamous cell carcinoma (HNSCC). Mod. Pathol. 2020. [Google Scholar] [CrossRef]
- Alessandrini, L.; Franz, L.; Ottaviano, G.; Ghi, M.G.; Lanza, C.; Blandamura, S.; Marioni, G. Prognostic role of programmed death ligand 1 (PD-L1) and the immune microenvironment in laryngeal carcinoma. Oral Oncol. 2020, 108, e104836. [Google Scholar] [CrossRef]
- Franz, L.; Alessandrini, L.; Ottaviano, G.; di Carlo, R.; Fasanaro, E.; Ramacciotti, G.; Contro, G.; Marioni, G. Postoperative radiotherapy for laryngeal cancer. The prognostic role of programmed death-ligand 1: An immune microenvironment-based cluster analysis. Pathol. Res. Pract. 2020, 216, e153120. [Google Scholar] [CrossRef]
- Sanchez-Canteli, M.; Granda-Díaz, R.; Del Rio-Ibisate, N.; Allonca, E.; López-Alvarez, F.; Agorreta, J.; Garmendia, I.; Montuenga, L.M.; García-Pedrero, J.M.; Rodrigo, J.P. PD-L1 expression correlates with tumor-infiltrating lymphocytes and better prognosis in patients with HPV-negative head and neck squamous cell carcinomas. Cancer Immunol. Immunother. 2020, 69, 2089–2100. [Google Scholar] [CrossRef]
- Lawson, N.L.; Dix, C.I.; Scorer, P.W.; Stubbs, C.J.; Wong, E.; Hutchinson, L.; McCall, E.J.; Schimpl, M.; DeVries, E.; Walker, J.; et al. Mapping the binding sites of antibodies utilized in programmed cell death ligand-1 predictive immunohistochemical assays for use with immuno-oncology therapies. Mod. Pathol. 2020, 33, 518–530. [Google Scholar] [CrossRef]
- Vigliar, E.; Malapelle, U.; Bono, F.; Fusco, N.; Cortinovis, D.; Valtorta, E.; Spyridon, A.; Bimbatti, M.; Zocchi, M.; Piva, C.; et al. The Reproducibility of the Immunohistochemical PD-L1 Testing in Non-Small-Cell Lung Cancer: A Multicentric Italian Experience. Biomed. Res. Int. 2019, 2019, e6832909. [Google Scholar] [CrossRef]
- Pagni, F.; Malapelle, U.; Doglioni, C.; Fontanini, G.; Fraggetta, F.; Graziano, P.; Marchetti, A.; Guerini Rocco, E.; Pisapia, P.; Vigliar, E.V.; et al. Digital Pathology and PD-L1 Testing in Non Small Cell Lung Cancer: A Workshop Record. Cancers 2020, 12, e1800. [Google Scholar] [CrossRef] [PubMed]
- Rasmussen, J.H.; Lelkaitis, G.; Håkansson, K.; Vogelius, I.R.; Johannesen, H.H.; Fischer, B.M.; Bentzen, S.M.; Specht, L.; Kristensen, C.A.; von Buchwald, C.; et al. Intratumor heterogeneity of PD-L1 expression in head and neck squamous cell carcinoma. Br. J. Cancer 2019, 120, 1003–1006. [Google Scholar] [CrossRef] [PubMed]


| Protocol | Clone | Platform | 
|---|---|---|
| Protocol 1 | 22C3 | Ventana Benchmark | 
| Protocol 2 | SP142 | Ventana Benchmark | 
| Protocol 3 | 22C3 | Leica Bond | 
| Protocol 4 | SP263 | Ventana Benchmark | 
| Protocol 5 | 22C3 | Dako, Omnis | 
| Gold standard | 22C3 pharmdx | Dako, Autostainer | 
| Case | 1 | 3 | 4 | 5 | 8 | 9 | 10 | 12 | 13 | 14 | 15 | 16 | 17 | 18 | 20 | 22 | 23 | 24 | 25 | 28 | 29 | 30 | 32 | 33 | 34 | 35 | 36 | 37 | 38 | 40 | 
|---|---|---|---|---|---|---|---|---|---|---|---|---|---|---|---|---|---|---|---|---|---|---|---|---|---|---|---|---|---|---|
| Protocol 1 | 2 | 0 | 0 | 1 | 2 | 2 | 2 | 2 | 1 | 1 | 1 | 1 | 0 | 0 | 0 | 2 | 1 | 1 | 2 | 2 | 1 | 1 | 1 | 1 | 0 | 1 | 1 | 0 | 0 | 1 | 
| Protocol 2 | 2 | 1 | 0 | 2 | 2 | 2 | 1 | 2 | 1 | 1 | 2 | 2 | 0 | 0 | 0 | 2 | 1 | 0 | 2 | 2 | 1 | 1 | 2 | 2 | 1 | 0 | 1 | ne | ne | 1 | 
| Protocol 3 | 2 | 0 | 0 | 2 | 1 | 2 | 1 | 2 | 1 | 1 | 1 | 1 | 0 | 0 | 1 | 2 | 0 | 2 | 2 | 2 | 1 | 1 | 2 | 1 | 0 | 1 | 1 | 0 | 0 | 0 | 
| Protocol 4 | 2 | 1 | 0 | 2 | 2 | 1 | 1 | 2 | 1 | 1 | 1 | 1 | 0 | 1 | 1 | 2 | 0 | 2 | 2 | 2 | 2 | 1 | 2 | 2 | 1 | 1 | 1 | 0 | 1 | 1 | 
| Protocol 5 | 2 | 0 | ne | 2 | 2 | 2 | 1 | 2 | 0 | 1 | 1 | 2 | 0 | 0 | 0 | 2 | 0 | 2 | 2 | 2 | 1 | 1 | 2 | 2 | 1 | 1 | 2 | 0 | 0 | 0 | 
| GS | 2 | 1 | 0 | 1 | 2 | 2 | 2 | 2 | 1 | 2 | 2 | 1 | 0 | 0 | 1 | 2 | 1 | 0 | 2 | 2 | 1 | 1 | 2 | 2 | 2 | 1 | 2 | 0 | 0 | 1 | 
| Protocol 1 | Protocol 2 | Protocol 3 | Protocol 4 | Protocol 5 | GS | |
|---|---|---|---|---|---|---|
| No. couples | 14 | 13 | 14 | 14 | 13 | 17 | 
| Concordance 1 | 71% | 77% | 79% | 86% | 92% | 82% | 
| Concordance 2 | 43% | 54% | 64% | 71% | 85% | 47% | 
| CPS Score | 0 | 1 | 2 | 
|---|---|---|---|
| Protocol 1 | 27% | 47% | 27% | 
| Protocol 2 | 21% | 36% | 43% | 
| Protocol 3 | 30% | 40% | 30% | 
| Protocol 4 | 13% | 50% | 37% | 
| Protocol 5 | 31% | 24% | 45% | 
| GS | 20% | 33% | 47% | 
| Protocol 1 | Protocol 2 | Protocol 3 | Protocol 4 | Protocol 5 | |
|---|---|---|---|---|---|
| Sn | 88% | 92% | 83% | 96% | 79% | 
| Sp | 83% | 100% | 83% | 50% | 80% | 
| VPP | 95% | 100% | 95% | 88% | 95% | 
| VPN | 63% | 67% | 56% | 75% | 44% | 
| ER1 | 13% | 7% | 17% | 13% | 21% | 
| ER2 | 30% | 29% | 40% | 40% | 41% | 
| CPS Negative as per GS | CPS Intermediate as per GS | CPS Strong as per GS | ||||||||||||||||||||||||||||
|---|---|---|---|---|---|---|---|---|---|---|---|---|---|---|---|---|---|---|---|---|---|---|---|---|---|---|---|---|---|---|
| Cases | 4 | 17 | 18 | 24 | 37 | 38 | 3 | 5 | 13 | 16 | 20 | 23 | 29 | 30 | 35 | 40 | 1 | 8 | 9 | 10 | 12 | 14 | 15 | 22 | 25 | 28 | 32 | 33 | 34 | 36 | 
| Protocol 1 | 0 | 0 | 0 | 1 | 0 | 0 | 0 | 1 | 1 | 1 | 0 | 1 | 1 | 1 | 1 | 1 | 2 | 2 | 2 | 2 | 2 | 1 | 1 | 2 | 2 | 2 | 1 | 1 | 0 | 1 | 
| Protocol 2 | 0 | 0 | 0 | 0 | ne | ne | 1 | 2 | 1 | 2 | 0 | 1 | 1 | 1 | 0 | 1 | 2 | 2 | 2 | 1 | 2 | 1 | 2 | 2 | 2 | 2 | 2 | 2 | 1 | 1 | 
| Protocol 3 | 0 | 0 | 0 | 2 | 0 | 0 | 0 | 2 | 1 | 1 | 1 | 0 | 1 | 1 | 1 | 0 | 2 | 1 | 2 | 1 | 2 | 1 | 1 | 2 | 2 | 2 | 2 | 1 | 0 | 1 | 
| Protocol 4 | 0 | 0 | 1 | 2 | 0 | 1 | 1 | 2 | 1 | 1 | 1 | 0 | 2 | 1 | 1 | 1 | 2 | 2 | 1 | 1 | 2 | 1 | 1 | 2 | 2 | 2 | 2 | 2 | 1 | 1 | 
| Protocol 5 | ne | 0 | 0 | 2 | 0 | 0 | 0 | 2 | 0 | 2 | 0 | 0 | 1 | 1 | 1 | 0 | 2 | 2 | 2 | 1 | 2 | 1 | 1 | 2 | 2 | 2 | 2 | 2 | 1 | 2 | 
| Publisher’s Note: MDPI stays neutral with regard to jurisdictional claims in published maps and institutional affiliations. | 
© 2021 by the authors. Licensee MDPI, Basel, Switzerland. This article is an open access article distributed under the terms and conditions of the Creative Commons Attribution (CC BY) license (http://creativecommons.org/licenses/by/4.0/).
Share and Cite
Crosta, S.; Boldorini, R.; Bono, F.; Brambilla, V.; Dainese, E.; Fusco, N.; Gianatti, A.; L’Imperio, V.; Morbini, P.; Pagni, F. PD-L1 Testing and Squamous Cell Carcinoma of the Head and Neck: A Multicenter Study on the Diagnostic Reproducibility of Different Protocols. Cancers 2021, 13, 292. https://doi.org/10.3390/cancers13020292
Crosta S, Boldorini R, Bono F, Brambilla V, Dainese E, Fusco N, Gianatti A, L’Imperio V, Morbini P, Pagni F. PD-L1 Testing and Squamous Cell Carcinoma of the Head and Neck: A Multicenter Study on the Diagnostic Reproducibility of Different Protocols. Cancers. 2021; 13(2):292. https://doi.org/10.3390/cancers13020292
Chicago/Turabian StyleCrosta, Simona, Renzo Boldorini, Francesca Bono, Virginia Brambilla, Emanuele Dainese, Nicola Fusco, Andrea Gianatti, Vincenzo L’Imperio, Patrizia Morbini, and Fabio Pagni. 2021. "PD-L1 Testing and Squamous Cell Carcinoma of the Head and Neck: A Multicenter Study on the Diagnostic Reproducibility of Different Protocols" Cancers 13, no. 2: 292. https://doi.org/10.3390/cancers13020292
APA StyleCrosta, S., Boldorini, R., Bono, F., Brambilla, V., Dainese, E., Fusco, N., Gianatti, A., L’Imperio, V., Morbini, P., & Pagni, F. (2021). PD-L1 Testing and Squamous Cell Carcinoma of the Head and Neck: A Multicenter Study on the Diagnostic Reproducibility of Different Protocols. Cancers, 13(2), 292. https://doi.org/10.3390/cancers13020292
 
        




 
       