Molecular Heterogeneity of High Grade Colorectal Adenocarcinoma
Abstract
Simple Summary
Abstract
1. Introduction
2. Results
2.1. Mismatch Repair Status
2.2. Clinicopathological Features
2.3. Molecular Alterations in High Grade Colorectal Carcinoma
2.4. Molecular Differences between Glandular and Solid Areas
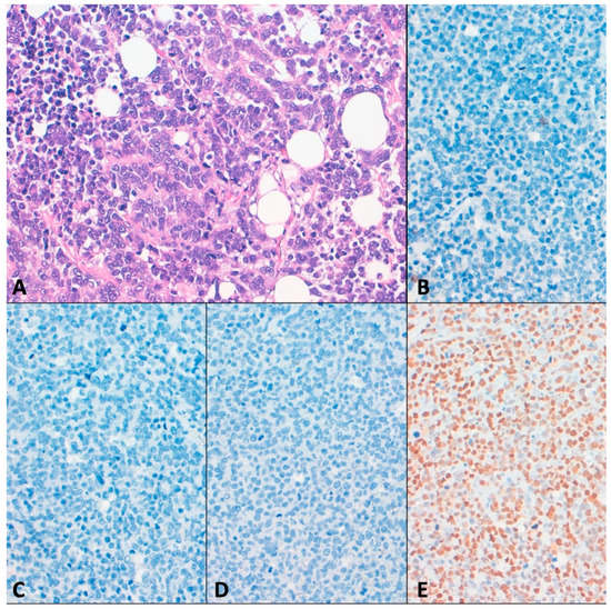
2.5. Immunohistochemical Features
2.6. Survival
3. Discussion
4. Materials and Methods
4.1. Cohort Selection
4.2. Immunohistochemistry
4.3. Nucleic Acid Extraction and Sequencing
4.4. MLH1 Promoter Methylation
4.5. Fluorescence In Situ Hybridization
4.6. Public Repository Data Analysis
4.7. Statistical Analysis
5. Conclusions
Supplementary Materials
Author Contributions
Funding
Institutional Review Board Statement
Informed Consent Statement
Data Availability Statement
Conflicts of Interest
References
- World Health Organization. Classification of Tumours. Digestive System Tumours, 5th ed.; International Agency for Research on Cancer: Lyon, France, 2019. [Google Scholar]
- Kanda, M.; Oba, K.; Aoyama, T.; Kashiwabara, K.; Mayanagi, S.; Maeda, H.; Honda, M.; Hamada, C.; Sadahiro, S.; Sakamoto, J.; et al. Clinical signatures of mucinous and poorly differentiated subtypes of colorectal adenocarcinomas by a propensity score analysis of an independent patient database from three phase III trials. Dis. Colon Rectum 2018, 61, 461–471. [Google Scholar] [CrossRef] [PubMed]
- Liu, Q.; Luo, D.; An, H.; Zhang, S.; Cai, S.; Li, Q.; Li, X. Survival benefit of adjuvant chemotherapy for patients with poorly differentiated stage IIA colon cancer. J. Cancer 2019, 10, 1209–1215. [Google Scholar] [CrossRef] [PubMed]
- Kuijpers, C.C.; Sluijter, C.E.; von der Thusen, J.H.; Grunberg, K.; van Oijen, M.G.; van Diest, P.J.; Jiwa, M.; Nagtegaal, I.D.; Overbeek, L.I.; Willems, S.M. Interlaboratory variability in the histologic grading of colorectal adenocarcinomas in a nationwide cohort. Am. J. Surg. Pathol. 2016, 40, 1100–1108. [Google Scholar] [CrossRef] [PubMed]
- Alexander, J.; Watanabe, T.; Wu, T.T.; Rashid, A.; Li, S.; Hamilton, S.R. Histopathological identification of colon cancer with microsatellite instability. Am. J. Surg. Pathol. 2001, 158, 527–535. [Google Scholar] [CrossRef]
- Fiehn, A.M.; Grauslund, M.; Glenthoj, A.; Melchior, L.C.; Vainer, B.; Willemoe, G.L. Medullary carcinoma of the colon: Can the undifferentiated be differentiated? Virchows Arch. 2015, 466, 13–20. [Google Scholar] [CrossRef] [PubMed]
- Gonzalez, R.S.; Cates, J.M.M.; Revetta, F.; McMahon, L.A.; Washington, K. Gastric carcinomas with lymphoid stroma: Categorization and comparison with solid-type colonic carcinomas. Am. J. Clin. Pathol. 2017, 148, 477–484. [Google Scholar] [CrossRef]
- Kyrochristos, I.D.; Roukos, D.H. Comprehensive intra-individual genomic and transcriptional heterogeneity: Evidence-based colorectal cancer precision medicine. Cancer Treat. Rev. 2019, 80, 101894. [Google Scholar] [CrossRef]
- Uchi, R.; Takahashi, Y.; Niida, A.; Shimamura, T.; Hirata, H.; Sugimachi, K.; Sawada, G.; Iwaya, T.; Kurashige, J.; Shinden, Y.; et al. Integrated multiregional analysis proposing a new model of colorectal cancer evolution. PLoS Genet. 2016, 12, e1005778. [Google Scholar] [CrossRef]
- Saito, T.; Niida, A.; Uchi, R.; Hirata, H.; Komatsu, H.; Sakimura, S.; Hayashi, S.; Nambara, S.; Kuroda, Y.; Ito, S.; et al. A temporal shift of the evolutionary principle shaping intratumor heterogeneity in colorectal cancer. Nat. Commun. 2018, 9, 2884. [Google Scholar] [CrossRef]
- Mamlouk, S.; Childs, L.H.; Aust, D.; Heim, D.; Melching, F.; Oliveira, C.; Wolf, T.; Durek, P.; Schumacher, D.; Blaker, H.; et al. DNA copy number changes define spatial patterns of heterogeneity in colorectal cancer. Nat. Commun. 2017, 8, 14093. [Google Scholar] [CrossRef]
- Joung, J.G.; Oh, B.Y.; Hong, H.K.; Al-Khalidi, H.; Al-Alem, F.; Lee, H.O.; Bae, J.S.; Kim, J.; Cha, H.U.; Alotaibi, M.; et al. Tumor heterogeneity predicts metastatic potential in colorectal cancer. Clin. Cancer Res. 2017, 23, 7209–7216. [Google Scholar] [CrossRef] [PubMed]
- Greenbaum, A.; Martin, D.R.; Bocklage, T.; Lee, J.H.; Ness, S.A.; Rajput, A. Tumor heterogeneity as a predictor of response to neoadjuvant chemotherapy in locally advanced rectal cancer. Clin. Colorectal Cancer 2019, 18, 102–109. [Google Scholar] [CrossRef] [PubMed]
- Giannakis, M.; Mu, X.J.; Shukla, S.A.; Qian, Z.R.; Cohen, O.; Nishihara, R.; Bahl, S.; Cao, Y.; Amin-Mansour, A.; Yamauchi, M.; et al. Genomic correlates of immune-cell infiltrates in colorectal carcinoma. Cell Rep. 2016, 15, 857–865. [Google Scholar] [CrossRef] [PubMed]
- Wang, C.; Ouyang, C.; Cho, M.; Ji, J.; Sandhu, J.; Goel, A.; Kahn, M.; Fakih, M. Wild-type APC is associated with poor survival in metastatic microsatellite stable colorectal cancer. Oncologist 2020. [Google Scholar] [CrossRef] [PubMed]
- Domingo, E.; Ramamoorthy, R.; Oukrif, D.; Rosmarin, D.; Presz, M.; Wang, H.; Pulker, H.; Lockstone, H.; Hveem, T.; Cranston, T.; et al. Use of multivariate analysis to suggest a new molecular classification of colorectal cancer. J. Pathol. 2013, 229, 441–448. [Google Scholar] [CrossRef]
- Dos Santos, W.; Sobanski, T.; de Carvalho, A.C.; Evangelista, A.F.; Matsushita, M.; Berardinelli, G.N.; de Oliveira, M.A.; Reis, R.M.; Guimaraes, D.P. Mutation profiling of cancer drivers in Brazilian colorectal cancer. Sci. Rep. 2019, 9, 13687. [Google Scholar] [CrossRef]
- Trabucco, S.E.; Gowen, K.; Maund, S.L.; Sanford, E.; Fabrizio, D.A.; Hall, M.J.; Yakirevich, E.; Gregg, J.P.; Stephens, P.J.; Frampton, G.M.; et al. A novel next-generation sequencing approach to detecting microsatellite instability and pan-tumor characterization of 1000 microsatellite instability-high cases in 67,000 patient samples. J. Mol. Diagn. 2019, 21, 1053–1066. [Google Scholar] [CrossRef]
- Yaeger, R.; Chatila, W.K.; Lipsyc, M.D.; Hechtman, J.F.; Cercek, A.; Sanchez-Vega, F.; Jayakumaran, G.; Middha, S.; Zehir, A.; Donoghue, M.T.A.; et al. Clinical sequencing defines the genomic landscape of metastatic colorectal cancer. Cancer Cell 2018, 33, 125–136. [Google Scholar] [CrossRef]
- Sato, K.; Kawazu, M.; Yamamoto, Y.; Ueno, T.; Kojima, S.; Nagae, G.; Abe, H.; Soda, M.; Oga, T.; Kohsaka, S.; et al. Fusion kinases identified by genomic analyses of sporadic microsatellite instability-high colorectal cancers. Clin. Cancer Res. 2019, 25, 378–389. [Google Scholar] [CrossRef]
- Cocco, E.; Benhamida, J.; Middha, S.; Zehir, A.; Mullaney, K.; Shia, J.; Yaeger, R.; Zhang, L.; Wong, D.; Villafania, L.; et al. Colorectal carcinomas containing hypermethylated MLH1 promoter and wild-type BRAF/KRAS are enriched for targetable kinase fusions. Cancer Res. 2019, 79, 1047–1053. [Google Scholar] [CrossRef]
- Pietrantonio, F.; Di Nicolantonio, F.; Schrock, A.B.; Lee, J.; Morano, F.; Fuca, G.; Nikolinakos, P.; Drilon, A.; Hechtman, J.F.; Christiansen, J.; et al. RET fusions in a small subset of advanced colorectal cancers at risk of being neglected. Ann. Oncol. 2018, 29, 1394–1401. [Google Scholar] [CrossRef] [PubMed]
- Lasota, J.; Chlopek, M.; Lamoureux, J.; Christiansen, J.; Kowalik, A.; Wasag, B.; Felisiak-Golabek, A.; Agaimy, A.; Biernat, W.; Canzonieri, V.; et al. Colonic adenocarcinomas harboring NTRK fusion genes: A clinicopathologic and molecular genetic study of 16 cases and review of the literature. Am. J. Surg. Pathol. 2020, 44, 162–173. [Google Scholar] [CrossRef] [PubMed]
- Lee, J.; Ou, S.H.; Lee, J.M.; Kim, H.C.; Hong, M.; Kim, S.Y.; Jang, J.; Ahn, S.; Kang, S.Y.; Lee, S.; et al. Gastrointestinal malignancies harbor actionable MET exon 14 deletions. Oncotarget 2015, 6, 28211–28222. [Google Scholar] [CrossRef] [PubMed]
- Lee, S.J.; Lee, J.; Park, S.H.; Park, J.O.; Lim, H.Y.; Kang, W.K.; Park, Y.S.; Kim, S.T. c-MET Overexpression in colorectal cancer: A poor prognostic factor for survival. Clin. Colorectal Cancer 2018, 17, 165–169. [Google Scholar] [CrossRef] [PubMed]
- Liu, J.; Zeng, W.; Huang, C.; Wang, J.; Xu, L.; Ma, D. Upregulation of c-mesenchymal epithelial transition expression and RAS mutations are associated with late lung metastasis and poor prognosis in colorectal carcinoma. Exp. Ther. Med. 2018, 15, 4229–4242. [Google Scholar] [CrossRef]
- The Cancer Genome Atlas Network. Comprehensive molecular characterization of human colon and rectal cancer. Nature 2012, 487, 330–337. [Google Scholar] [CrossRef]
- McGregor, D.K.; Wu, T.T.; Rashid, A.; Luthra, R.; Hamilton, S.R. Reduced expression of cytokeratin 20 in colorectal carcinomas with high levels of microsatellite instability. Am. J. Surg. Pathol. 2004, 28, 712–718. [Google Scholar] [CrossRef]
- Bayrak, R.; Yenidunya, S.; Haltas, H. Cytokeratin 7 and cytokeratin 20 expression in colorectal adenocarcinomas. Pathol. Res. Pract. 2011, 207, 156–160. [Google Scholar] [CrossRef]
- Graule, J.; Uth, K.; Fischer, E.; Centeno, I.; Galvan, J.A.; Eichmann, M.; Rau, T.T.; Langer, R.; Dawson, H.; Nitsche, U.; et al. CDX2 in colorectal cancer is an independent prognostic factor and regulated by promoter methylation and histone deacetylation in tumors of the serrated pathway. Clin. Epigenet. 2018, 10, 120. [Google Scholar] [CrossRef]
- Bae, J.M.; Lee, T.H.; Cho, N.Y.; Kim, T.Y.; Kang, G.H. Loss of CDX2 expression is associated with poor prognosis in colorectal cancer patients. World J. Gastroenterol. 2015, 21, 1457–1467. [Google Scholar] [CrossRef]
- Romero-Perez, L.; Lopez-Garcia, M.A.; Diaz-Martin, J.; Biscuola, M.; Castilla, M.A.; Tafe, L.J.; Garg, K.; Oliva, E.; Matias-Guiu, X.; Soslow, R.A.; et al. ZEB1 overexpression associated with E-cadherin and microRNA-200 downregulation is characteristic of undifferentiated endometrial carcinoma. Mod. Pathol. 2013, 26, 1514–1524. [Google Scholar] [CrossRef] [PubMed]
- Rosa-Rosa, J.M.; Leskela, S.; Cristobal-Lana, E.; Santon, A.; Lopez-Garcia, M.A.; Munoz, G.; Perez-Mies, B.; Biscuola, M.; Prat, J.; Esther, O.; et al. Molecular genetic heterogeneity in undifferentiated endometrial carcinomas. Mod. Pathol. 2016, 29, 1390–1398. [Google Scholar] [CrossRef] [PubMed]
- Kim, Y.S.; Jeong, H.; Choi, J.W.; Oh, H.E.; Lee, J.H. Unique characteristics of ARID1A mutation and protein level in gastric and colorectal cancer: A meta-analysis. Saudi J. Gastroenterol. 2017, 23, 268–274. [Google Scholar] [CrossRef]
- Witkowski, L.; Carrot-Zhang, J.; Albrecht, S.; Fahiminiya, S.; Hamel, N.; Tomiak, E.; Grynspan, D.; Saloustros, E.; Nadaf, J.; Rivera, B.; et al. Germline and somatic SMARCA4 mutations characterize small cell carcinoma of the ovary, hypercalcemic type. Nat. Genet. 2014, 46, 438–443. [Google Scholar] [CrossRef] [PubMed]
- Ramalingam, P.; Croce, S.; McCluggage, W.G. Loss of expression of SMARCA4 (BRG1), SMARCA2 (BRM) and SMARCB1 (INI1) in undifferentiated carcinoma of the endometrium is not uncommon and is not always associated with rhabdoid morphology. Histopathology 2017, 70, 359–366. [Google Scholar] [CrossRef]
- Vanacker, L.; Smeets, D.; Hoorens, A.; Teugels, E.; Algaba, R.; Dehou, M.F.; De Becker, A.; Lambrechts, D.; De Greve, J. Mixed adenoneuroendocrine carcinoma of the colon: Molecular pathogenesis and treatment. Anticancer Res. 2014, 34, 5517–5521. [Google Scholar]
- Agaimy, A.; Daum, O.; Markl, B.; Lichtmannegger, I.; Michal, M.; Hartmann, A. SWI/SNF Complex-deficient Undifferentiated/Rhabdoid Carcinomas of the Gastrointestinal Tract: A Series of 13 Cases Highlighting Mutually Exclusive Loss of SMARCA4 and SMARCA2 and Frequent Co-inactivation of SMARCB1 and SMARCA2. Am. J. Surg. Pathol. 2016, 40, 544–553. [Google Scholar] [CrossRef]
- Kilic, A.I.; Mirza, K.; Mehrotra, S.; Pambuccian, S.E. A BAFfling liver aspirate: Metastatic high grade SMARCA4 deficient undifferentiated gastroesophageal junction carcinoma masquerading as a hematolymphoid malignancy. Diagn. Cytopathol. 2019, 47, 725–732. [Google Scholar] [CrossRef]
- Smyrk, T.C.; Watson, P.; Kaul, K.; Lynch, H.T. Tumor-infiltrating lymphocytes are a marker for microsatellite instability in colorectal carcinoma. Cancer 2001, 91, 2417–2422. [Google Scholar] [CrossRef]
- Rosenbaum, M.W.; Bledsoe, J.R.; Morales-Oyarvide, V.; Huynh, T.G.; Mino-Kenudson, M. PD-L1 expression in colorectal cancer is associated with microsatellite instability, BRAF mutation, medullary morphology and cytotoxic tumor-infiltrating lymphocytes. Mod. Pathol. 2016, 29, 1104–1112. [Google Scholar] [CrossRef]
- Ganesh, K.; Stadler, Z.K.; Cercek, A.; Mendelsohn, R.B.; Shia, J.; Segal, N.H.; Diaz, L.A., Jr. Immunotherapy in colorectal cancer: Rationale, challenges and potential. Nat. Rev. Gastroenterol. Hepatol. 2019, 16, 361–375. [Google Scholar] [CrossRef] [PubMed]
- Williams, H.L.; Walsh, K.; Diamond, A.; Oniscu, A.; Deans, Z.C. Validation of the OncomineTM focus panel for next-generation sequencing of clinical tumour samples. Virchows Arch. 2018, 473, 489–503. [Google Scholar] [CrossRef] [PubMed]
- Papke, D.J., Jr.; Nowak, J.A.; Yurgelun, M.B.; Frieden, A.; Srivastava, A.; Lindeman, N.I.; Sholl, L.M.; MacConaill, L.E.; Dong, F. Validation of a targeted next-generation sequencing approach to detect mismatch repair deficiency in colorectal adenocarcinoma. Mod. Pathol. 2018, 31, 1882–1890. [Google Scholar] [CrossRef] [PubMed]







| Variables | MMRp | MMRd | All | p Value | |
|---|---|---|---|---|---|
| n | 11 (27.5%) | 29 (72.5%) | 40 | ||
| Age (mean) | 74.64 ± 7.553 | 69.79 ± 14.644 | 71.12 ±13.168 | 0.181 | |
| Sex | Female | 3 (27.3%) | 15 (51.7%) | 18 | 0.165 |
| Male | 8 (72.7%) | 14 (48.3%) | 22 | ||
| Localization | Right colon | 8 (72.7%) | 22 (75.9%) | 30 | 0.838 |
| Left colon & rectum | 3 (27.3%) | 7 (24.1%) | 10 | ||
| TNM stage | I & II | 0 (0.0%) | 9 (31.0%) | 9 | 0.036 |
| III & IV | 11 (100.0%) | 20 (69.0%) | 31 | ||
| Protein expression | CK20 ≥ 10% | 9 (81.8%) | 16 (55.2%) | 25 | 0.120 |
| CDX2 ≥ 10% | 7 (63.6%) | 14 (48.3%) | 21 | 0.385 | |
| p53 mutant pattern | 5 (45.5%) | 1 (3.4%) | 6 | <0.001 | |
| Loss of ARID1A | 0 (0.0%) | 12 (41.4%) | 12 | 0.011 | |
| MET ≥ 10% | 1 (9.1%) | 16 (55.2%) | 17 | 0.008 | |
| PDL1 > 1% | 2 (18.2%) | 17 (58.6%) | 19 | 0.022 | |
| CD8 (mean) | 2.27 (±3.379) | 10.38 ± 8.533 | 8.15 ± 8.285 | <0.001 | |
Publisher’s Note: MDPI stays neutral with regard to jurisdictional claims in published maps and institutional affiliations. |
© 2021 by the authors. Licensee MDPI, Basel, Switzerland. This article is an open access article distributed under the terms and conditions of the Creative Commons Attribution (CC BY) license (http://creativecommons.org/licenses/by/4.0/).
Share and Cite
Perna, C.; Navarro, A.; Ruz-Caracuel, I.; Caniego-Casas, T.; Cristóbal, E.; Leskelä, S.; Longo, F.; Caminoa, A.; Santón, A.; Ferreiro, R.; et al. Molecular Heterogeneity of High Grade Colorectal Adenocarcinoma. Cancers 2021, 13, 233. https://doi.org/10.3390/cancers13020233
Perna C, Navarro A, Ruz-Caracuel I, Caniego-Casas T, Cristóbal E, Leskelä S, Longo F, Caminoa A, Santón A, Ferreiro R, et al. Molecular Heterogeneity of High Grade Colorectal Adenocarcinoma. Cancers. 2021; 13(2):233. https://doi.org/10.3390/cancers13020233
Chicago/Turabian StylePerna, Cristian, Antonia Navarro, Ignacio Ruz-Caracuel, Tamara Caniego-Casas, Eva Cristóbal, Susanna Leskelä, Federico Longo, Alejandra Caminoa, Almudena Santón, Reyes Ferreiro, and et al. 2021. "Molecular Heterogeneity of High Grade Colorectal Adenocarcinoma" Cancers 13, no. 2: 233. https://doi.org/10.3390/cancers13020233
APA StylePerna, C., Navarro, A., Ruz-Caracuel, I., Caniego-Casas, T., Cristóbal, E., Leskelä, S., Longo, F., Caminoa, A., Santón, A., Ferreiro, R., Pizarro, D., Palacios-Berraquero, M. L., & Palacios, J. (2021). Molecular Heterogeneity of High Grade Colorectal Adenocarcinoma. Cancers, 13(2), 233. https://doi.org/10.3390/cancers13020233

