Relationship between Lung Carcinogenesis and Chronic Inflammation in Rodents
Abstract
Simple Summary
Abstract
1. Introduction
2. Rodent Models of Lung Tumorigenesis
2.1. Rodent Lung Tumor Models of Tobacco Smoke and Smoking-Related Substance Carcinogenesis
2.2. Carcinogens Used in Rodent Lung Tumor Models
2.3. Gene Mutation and Transgenic Animal Models
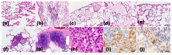
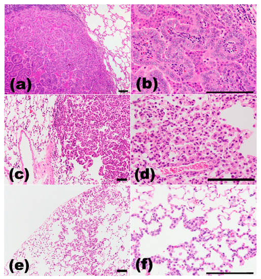
3. Lung Carcinogenesis and Chronic Inflammation
3.1. Chronic Inflammation
3.2. Lung Carcinogenesis and Chronic Inflammation in Rodent Models
3.3. Inhibition of Lung Cancer by Suppressing Inflammation
4. Conclusions
Author Contributions
Funding
Acknowledgments
Conflicts of Interest
References
- Sung, H.; Ferlay, J.; Siegel, R.L.; Laversanne, M.; Soerjomataram, I.; Jemal, A.; Bray, F. Global cancer statistics 2020: GLOBOCAN estimates of incidence and mortality worldwide for 36 cancers in 185 countries. CA Cancer J. Clin. 2021, 71, 209–249. [Google Scholar] [CrossRef] [PubMed]
- WHO. Cancer Key Facts. Geneva. 2018. Available online: https://www.who.int/news-room/fact-sheets/detail/cancer (accessed on 4 September 2019).
- Thun, M.; Peto, R.; Boreham, J.; Lopez, A.D. Stages of the cigarette epidemic on entering its second century. Tob. Control. 2012, 21, 96–101. [Google Scholar] [CrossRef] [PubMed]
- Corrales, L.; Rosell, R.; Cardona, A.F.; Martín, C.; Zatarain-Barrón, Z.L.; Arrieta, O. Lung cancer in never smokers: The role of different risk factors other than tobacco smoking. Crit. Rev. Oncol. Hematol. 2020, 148, 102895. [Google Scholar] [CrossRef]
- Brown, S.W.; Dobelle, M.; Padilla, M.; Agovino, M.; Wisnivesky, J.P.; Hashim, D.; Boffetta, P. Idiopathic Pulmonary Fibrosis and Lung Cancer. A Systematic Review and Meta-analysis. Ann. Am. Thorac. Soc. 2019, 16, 1041–1051. [Google Scholar] [CrossRef]
- Stapelfeld, C.; Dammann, C.; Maser, E. Sex-specificity in lung cancer risk. Int. J. Cancer 2020, 146, 2376–2382. [Google Scholar] [CrossRef]
- Nakano-Narusawa, Y.; Yokohira, M.; Yamakawa, K.; Saoo, K.; Imaida, K.; Matsuda, Y. Single Intratracheal Quartz Instillation Induced Chronic Inflammation and Tumourigenesis in Rat Lungs. Sci. Rep. 2020, 10, 6647. [Google Scholar] [CrossRef]
- El Zoghbi, M.; Salameh, P.; Stucker, I.; Paris, C.; Pairon, J.C.; Gislard, A.; Siemiatycki, J.; Bonneterre, V.; Clin, B.; Brochard, P.; et al. Phenotypes of lung cancer and statistical interactions between tobacco smoking and occupational exposure to asbestos and crystalline silica from a large case-only study: The CaProMat study. Lung Cancer 2017, 112, 140–155. [Google Scholar] [CrossRef]
- Coussens, L.M.; Werb, Z. Inflammatory cells and cancer: Think different! J. Exp. Med. 2001, 193, F23–F26. [Google Scholar] [CrossRef] [PubMed]
- Hanahan, D.; Weinberg, R.A. The hallmarks of cancer. Cell 2000, 100, 57–70. [Google Scholar] [CrossRef]
- Gomperts, B.N.; Spira, A.; Massion, P.P.; Walser, T.C.; Wistuba, I.I.; Minna, J.D.; Dubinett, S.M. Evolving concepts in lung carcinogenesis. Semin. Respir. Crit. Care Med. 2011, 32, 32–43. [Google Scholar] [CrossRef] [PubMed]
- Tomasetti, C.; Vogelstein, B. Cancer etiology. Variation in cancer risk among tissues can be explained by the number of stem cell divisions. Science 2015, 347, 78–81. [Google Scholar] [CrossRef]
- Nakano, Y.; Yokohira, M.; Hashimoto, N.; Yamakawa, K.; Kishi, S.; Ninomiya, F.; Kanie, S.; Saoo, K.; Imaida, K. Rat strain differences in levels and effects of chronic inflammation due to intratracheal instillation of quartz on lung tumorigenesis induced by DHPN. Exp. Toxicol. Pathol. Off. J. Ges. Toxikol. Pathol. 2014, 66, 391–401. [Google Scholar] [CrossRef] [PubMed]
- Zaynagetdinov, R.; Sherrill, T.P.; Polosukhin, V.V.; Han, W.; Ausborn, J.A.; McLoed, A.G.; McMahon, F.B.; Gleaves, L.A.; Degryse, A.L.; Stathopoulos, G.T.; et al. A critical role for macrophages in promotion of urethane-induced lung carcinogenesis. J. Immunol. 2011, 187, 5703–5711. [Google Scholar] [CrossRef] [PubMed]
- Dong, J. Signaling Pathways Implicated in Carbon Nanotube-Induced Lung Inflammation. Front. Immunol. 2020, 11, 552613. [Google Scholar] [CrossRef] [PubMed]
- Yokohira, M.; Hashimoto, N.; Yamakawa, K.; Suzuki, S.; Saoo, K.; Kuno, T.; Imaida, K. Lack of Modifying Effects of Intratracheal Instillation of Quartz or Dextran Sulfate Sodium (DSS) in Drinking Water on Lung Tumor Development Initiated with 4-(Methylnitrosamino)-1-(3-pyridyl)-1-butanone (NNK) in Female A/J Mice. J. Toxicol. Pathol. 2009, 22, 179–185. [Google Scholar] [CrossRef]
- Yokohira, M.; Kishi, S.; Yamakawa, K.; Nakano, Y.; Ninomiya, F.; Kinouch, S.; Tanizawa, J.; Saoo, K.; Imaida, K. Napsin A is possibly useful marker to predict the tumorigenic potential of lung bronchiolo-alveolar hyperplasia in F344 rats. Exp. Toxicol. Pathol. Off. J. Ges. Toxikol. Pathol. 2014, 66, 117–123. [Google Scholar] [CrossRef]
- Yokohira, M.; Kuno, T.; Yamakawa, K.; Hosokawa, K.; Matsuda, Y.; Hashimoto, N.; Suzuki, S.; Saoo, K.; Imaida, K. Lung toxicity of 16 fine particles on intratracheal instillation in a bioassay model using f344 male rats. Toxicol. Pathol. 2008, 36, 620–631. [Google Scholar] [CrossRef]
- Yokohira, M.; Nakano-Narusawa, Y.; Yamakawa, K.; Hashimoto, N.; Yoshida, S.; Kanie, S.; Imaida, K. Validating the use of napsin A as a marker for identifying tumorigenic potential of lung bronchiolo-alveolar hyperplasia in rodents. Exp. Toxicol. Pathol. 2017, 69, 637–642. [Google Scholar] [CrossRef]
- Yokohira, M.; Yamakawa, K.; Nakano, Y.; Numano, T.; Furukawa, F.; Kishi, S.; Ninomiya, F.; Kanie, S.; Hitotsumachi, H.; Saoo, K.; et al. Immunohistochemical characteristics of surfactant proteins a, B, C and d in inflammatory and tumorigenic lung lesions of f344 rats. J. Toxicol. Pathol. 2014, 27, 175–182. [Google Scholar] [CrossRef] [PubMed][Green Version]
- Yokohira, M.; Yamakawa, K.; Nakano-Narusawa, Y.; Hashimoto, N.; Kanie, S.; Yoshida, S.; Imaida, K. Characteristics of surfactant proteins in tumorigenic and inflammatory lung lesions in rodents. J. Toxicol. Pathol. 2018, 31, 231–240. [Google Scholar] [CrossRef]
- Yoshida, S.; Yokohira, M.; Yamakawa, K.; Nakano-Narusawa, Y.; Kanie, S.; Hashimoto, N.; Imaida, K. Effects of the expectorant drug ambroxol hydrochloride on chemically induced lung inflammatory and neoplastic lesions in rodents. J. Toxicol. Pathol. 2018, 31, 255–265. [Google Scholar] [CrossRef]
- Kanie, S.; Yokohira, M.; Yamakawa, K.; Nakano-Narusawa, Y.; Yoshida, S.; Hashimoto, N.; Imaida, K. Suppressive effects of the expectorant drug ambroxol hydrochloride on quartz-induced lung inflammation in F344 rats. J. Toxicol. Pathol. 2017, 30, 153–159. [Google Scholar] [CrossRef]
- Sun, S.; Schiller, J.H.; Gazdar, A.F. Lung cancer in never smokers—A different disease. Nat. Rev. Cancer 2007, 7, 778–790. [Google Scholar] [CrossRef] [PubMed]
- Amann, A.; Corradi, M.; Mazzone, P.; Mutti, A. Lung cancer biomarkers in exhaled breath. Expert Rev. Mol. Diagn. 2011, 11, 207–217. [Google Scholar] [CrossRef]
- Chandan, S.; Vinay, S.; Dharmashekara, C.; Prasad, K.S.; Ankegowda, V.M.; Chandrashekar, S. Review Paper Smoking Carcinogens and Lung Cancers—A Review. Asian J. Pharm. Clin. Res. 2021, 14, 5–12. [Google Scholar]
- Yokohira, M.; Nakano, Y.; Hashimoto, N.; Yamakawa, K.; Ninomiya, F.; Kishi, S.; Saoo, K.; Imaida, K. Toxicity of nicotine by repeated intratracheal instillation to f344 rats. J. Toxicol. Pathol. 2012, 25, 257–263. [Google Scholar] [CrossRef]
- Hecht, S.S. Tobacco smoke carcinogens and lung cancer. J. Natl. Cancer Inst. 1999, 91, 1194–1210. [Google Scholar] [CrossRef]
- Mervai, Z.; Egedi, K.; Kovalszky, I.; Baghy, K. Diethylnitrosamine induces lung adenocarcinoma in FVB/N mouse. BMC Cancer 2018, 18, 157. [Google Scholar] [CrossRef]
- Man, S.; Li, J.; Qiu, P.; Liu, J.; Liu, Z.; Ma, L.; Gao, W. Inhibition of lung cancer in diethylnitrosamine-induced mice by Rhizoma paridis saponins. Mol. Carcinog. 2017, 56, 1405–1413. [Google Scholar] [CrossRef] [PubMed]
- Oreffo, V.; Singh, R.; Rich, K.J.; Shuker, D.E.; Carthew, P.; Cordero, R.; Van Delft, J.H.; Farmer, P.B. DNA adducts in relation to lung tumour outcome are not markers of susceptibility following a single dose treatment of SWR, BALB/c and C57BL/6J mice with N-nitrosodiethylamine. Biomarkers 2000, 5, 323–340. [Google Scholar] [CrossRef]
- Alzahrani, A.M.; Rajendran, P. Pinocembrin attenuates benzo(a)pyrene-induced CYP1A1 expression through multiple pathways: An in vitro and in vivo study. J. Biochem. Mol. Toxicol. 2021, 35, e22695. [Google Scholar] [CrossRef]
- Salem, M.L.; El-Ashmawy, N.E.; Abd El-Fattah, E.E.; Khedr, E.G. Immunosuppressive role of Benzo[a]pyrene in induction of lung cancer in mice. Chem. Biol. Interact. 2021, 333, 109330. [Google Scholar] [CrossRef]
- Coggins, C. A further review of inhalation studies with cigarette smoke and lung cancer in experimental animals, including transgenic mice. Inhal. Toxicol. 2010, 22, 974–983. [Google Scholar] [CrossRef] [PubMed]
- Imaida, K.; Yokohira, M.; Hashimoto, N.; Kuno, T. Risk analysis of environmental chemicals on lung carcinogenesis. Asian Pac. J. Cancer Prev. 2010, 11, 9–12. [Google Scholar] [PubMed]
- Program, N.T. Urethane CAS No. 51-79-6: National Toxicology Program. Report on Carcinogens, Fourteenth Edition. Available online: https://ntp.niehs.nih.gov/ntp/roc/content/profiles/urethane.pdf (accessed on 3 March 2021).
- Chan, P.C. NTP technical report on toxicity studies of urethane in drinking water and urethane in 5% ethanol administered to F344/N rats and B6C3F1 mice. Toxic Rep. Ser. 1996, 1–91, A1-9, B1-9 passim. Available online: https://ntp.niehs.nih.gov/publications/reports/tox/000s/tox052/index.html?utm_source=direct&utm_medium=prod&utm_campaign=ntpgolinks&utm_term=tox052abs (accessed on 19 March 2021).
- Takahashi, M.; Imaida, K.; Mitsumori, K.; Okamiya, H.; Shinoda, K.; Yoshimura, H.; Furukawa, F.; Hayashi, Y. Promoting effects of cigarette smoke on the respiratory tract carcinogenesis of Syrian golden hamsters treated with diethylnitrosamine. Carcinogenesis 1992, 13, 569–572. [Google Scholar] [CrossRef]
- Keith, R.L.; Miller, Y.E.; Hudish, T.M.; Girod, C.E.; Sotto-Santiago, S.; Franklin, W.A.; Nemenoff, R.A.; March, T.H.; Nana-Sinkam, S.P.; Geraci, M.W. Pulmonary prostacyclin synthase overexpression chemoprevents tobacco smoke lung carcinogenesis in mice. Cancer Res. 2004, 64, 5897–5904. [Google Scholar] [CrossRef] [PubMed]
- Izzotti, A.; Balansky, R.; Ganchev, G.; Iltcheva, M.; Longobardi, M.; Pulliero, A.; Geretto, M.; Micale, R.T.; La Maestra, S.; Miller, M.S.; et al. Blood and lung microRNAs as biomarkers of pulmonary tumorigenesis in cigarette smoke-exposed mice. Oncotarget 2016, 7, 84758–84774. [Google Scholar] [CrossRef] [PubMed]
- Malhotra, J.; Malvezzi, M.; Negri, E.; La Vecchia, C.; Boffetta, P. Risk factors for lung cancer worldwide. Eur. Respir. J. 2016, 48, 889–902. [Google Scholar] [CrossRef]
- Kiyohara, C.; Ohno, Y. Sex differences in lung cancer susceptibility: A review. Gend. Med. 2010, 7, 381–401. [Google Scholar] [CrossRef]
- Subramanian, J.; Govindan, R. Lung cancer in never smokers: A review. J. Clin. Oncol. 2007, 25, 561–570. [Google Scholar] [CrossRef]
- Ninomiya, F.; Yokohira, M.; Kishi, S.; Nakano, Y.; Yamakawa, K.; Inoue, T.; Kuno, T.; Imaida, K. Gender-dependent effects of gonadectomy on lung carcinogenesis by 4-(methylnitrosamino)-1-(3-pyridyl)-1-butanone (NNK) in female and male A/J mice. Oncol. Rep. 2013, 30, 2632–2638. [Google Scholar] [CrossRef]
- Kishi, S.; Yokohira, M.; Yamakawa, K.; Saoo, K.; Imaida, K. Significance of the progesterone receptor and epidermal growth factor receptor, but not the estrogen receptor, in chemically induced lung carcinogenesis in female A/J mice. Oncol. Lett. 2014, 8, 2379–2386. [Google Scholar] [CrossRef][Green Version]
- Kitahashi, T.; Takahashi, M.; Yamada, Y.; Oghiso, Y.; Yokohira, M.; Imaida, K.; Tsutsumi, M.; Takasuka, N.; Sugimura, T.; Wakabayashi, K. Occurrence of mutations in the epidermal growth factor receptor gene in X-ray-induced rat lung tumors. Cancer Sci. 2008, 99, 241–245. [Google Scholar] [CrossRef] [PubMed]
- PubChem. PubChem Compound Summary for CID 40828, N-Nitrosobis(2-hydroxypropyl)amine National Center for Biotechnology Information. Available online: https://pubchem.ncbi.nlm.nih.gov/compound/N-Nitrosobis_2-hydroxypropyl_amine (accessed on 3 March 2021).
- Yokohira, M.; Nakano-Narusawa, Y.; Yamakawa, K.; Hashimoto, N.; Yoshida, S.; Kanie, S.; Imaida, K. Chronic mesothelial reaction and toxicity of potassium octatitanate fibers in the pleural cavity in mice and F344 rats. Cancer Sci. 2016, 107, 1047–1054. [Google Scholar] [CrossRef]
- Yokohira, M.; Hashimoto, N.; Yamakawa, K.; Suzuki, S.; Saoo, K.; Kuno, T.; Imaida, K. Lung Carcinogenic Bioassay of CuO and TiO(2) Nanoparticles with Intratracheal Instillation Using F344 Male Rats. J. Toxicol. Pathol. 2009, 22, 71–78. [Google Scholar] [CrossRef] [PubMed]
- Yamakawa, K.; Kuno, T.; Hashimoto, N.; Yokohira, M.; Suzuki, S.; Nakano, Y.; Saoo, K.; Imaida, K. Molecular analysis of carcinogen-induced rodent lung tumors: Involvement of microRNA expression and Kralphas or Egfr mutations. Mol. Med. Rep. 2010, 3, 141–147. [Google Scholar] [PubMed]
- Ying, J.T.X.; Yokohira, M.; Nakano-Narusawa, Y.; Yamakawa, K.; Hashimoto, N.; Imaida, K. gammaH2AX is immunohistochemically detectable until 7 days after exposure of N-bis (2-hydroxypropyl) nitrosamine (DHPN) in rat lung carcinogenesis. J. Toxicol. Pathol. 2018, 31, 163–168. [Google Scholar] [CrossRef]
- Aplan, P.D. Causes of oncogenic chromosomal translocation. Trends Genet. 2006, 22, 46–55. [Google Scholar] [CrossRef]
- Bedard, L.L.; Alessi, M.; Davey, S.; Massey, T.E. Susceptibility to aflatoxin B1-induced carcinogenesis correlates with tissue-specific differences in DNA repair activity in mouse and in rat. Cancer Res. 2005, 65, 1265–1270. [Google Scholar] [CrossRef] [PubMed]
- Tam, A.S.; Devereux, T.R.; Patel, A.C.; Foley, J.F.; Maronpot, R.R.; Massey, T.E. Perturbations of the Ink4a/Arf gene locus in aflatoxin B1-induced mouse lung tumors. Carcinogenesis 2003, 24, 121–132. [Google Scholar] [CrossRef]
- Kang, L.; Guo, N.; Liu, X.; Wang, X.; Guo, W.; Xie, S.M.; Liu, C.; Lv, P.; Xing, L.; Zhang, X.; et al. High mobility group box-1 protects against Aflatoxin G1-induced pulmonary epithelial cell damage in the lung inflammatory environment. Toxicol. Lett. 2020, 331, 92–101. [Google Scholar] [CrossRef] [PubMed]
- Kuno, T.; Hata, K.; Takamatsu, M.; Hara, A.; Hirose, Y.; Takahashi, S.; Imaida, K.; Tanaka, T. The peroxisome proliferator-activated receptor (PPAR) alpha agonist fenofibrate suppresses chemically induced lung alveolar proliferative lesions in male obese hyperlipidemic mice. Int. J. Mol. Sci. 2014, 15, 9160–9172. [Google Scholar] [CrossRef] [PubMed]
- Imaida, K.; Sato, H.; Okamiya, H.; Takahashi, M.; Hayashi, Y. Enhancing effect of high fat diet on 4-nitroquinoline 1-oxide-induced pulmonary tumorigenesis in ICR male mice. Jpn. J. Cancer Res. 1989, 80, 499–502. [Google Scholar] [CrossRef] [PubMed]
- Arima, Y.; Nishigori, C.; Takeuchi, T.; Oka, S.; Morimoto, K.; Utani, A.; Miyachi, Y. 4-Nitroquinoline 1-oxide forms 8-hydroxydeoxyguanosine in human fibroblasts through reactive oxygen species. Toxicol. Sci. 2006, 91, 382–392. [Google Scholar] [CrossRef]
- Rehm, S.; Lijinsky, W.; Singh, G.; Katyal, S.L. Mouse bronchiolar cell carcinogenesis. Histologic characterization and expression of Clara cell antigen in lesions induced by N-nitrosobis-(2-chloroethyl) ureas. Am. J. Pathol. 1991, 139, 413–422. [Google Scholar]
- Wang, Y.; Zhang, Z.; Yan, Y.; Lemon, W.J.; LaRegina, M.; Morrison, C.; Lubet, R.; You, M. A chemically induced model for squamous cell carcinoma of the lung in mice: Histopathology and strain susceptibility. Cancer Res. 2004, 64, 1647–1654. [Google Scholar] [CrossRef]
- Yano, S.; Nishioka, Y.; Izumi, K.; Tsuruo, T.; Tanaka, T.; Miyasaka, M.; Sone, S. Novel metastasis model of human lung cancer in SCID mice depleted of NK cells. Int. J. Cancer 1996, 67, 211–217. [Google Scholar] [CrossRef]
- Nakada, T.; Kiyotani, K.; Iwano, S.; Uno, T.; Yokohira, M.; Yamakawa, K.; Fujieda, M.; Saito, T.; Yamazaki, H.; Imaida, K.; et al. Lung tumorigenesis promoted by anti-apoptotic effects of cotinine, a nicotine metabolite through activation of PI3K/Akt pathway. J. Toxicol. Sci. 2012, 37, 555–563. [Google Scholar] [CrossRef]
- Takeuchi, H.; Saoo, K.; Yokohira, M.; Ikeda, M.; Maeta, H.; Miyazaki, M.; Yamazaki, H.; Kamataki, T.; Imaida, K. Pretreatment with 8-methoxypsoralen, a potent human CYP2A6 inhibitor, strongly inhibits lung tumorigenesis induced by 4-(methylnitrosamino)-1-(3-pyridyl)-1-butanone in female A/J mice. Cancer Res. 2003, 63, 7581–7583. [Google Scholar]
- Matsuda, Y.; Saoo, K.; Hosokawa, K.; Yamakawa, K.; Yokohira, M.; Zeng, Y.; Takeuchi, H.; Imaida, K. Post-initiation chemopreventive effects of dietary bovine lactoferrin on 4-(methylnitrosamino)-1-(3-pyridyl)-1-butanone-induced lung tumorigenesis in female A/J mice. Cancer Lett. 2007, 246, 41–46. [Google Scholar] [CrossRef]
- Kuno, T.; Yokohira, M.; Matsuda, Y.; Suzuki, S.; Hashimoto, N.; Yamakawa, K.; Saoo, K.; Imaida, K. Lack of modifying potential of 8-methoxypsoralen in the promotion or progression stages of lung carcinogenesis in A/J female mice. Oncol. Rep. 2008, 20, 767–772. [Google Scholar] [CrossRef][Green Version]
- Takeuchi, H.; Saoo, K.; Matsuda, Y.; Yokohira, M.; Yamakawa, K.; Zeng, Y.; Miyazaki, M.; Fujieda, M.; Kamataki, T.; Imaida, K. Dose dependent inhibitory effects of dietary 8-methoxypsoralen on NNK-induced lung tumorigenesis in female A/J mice. Cancer Lett. 2006, 234, 232–238. [Google Scholar] [CrossRef]
- Suzuki, S.; Yokohira, M.; Hashimoto, N.; Saoo, K.; Matsuda, Y.; Yamakawa, K.; Nakano, Y.; Kuno, T.; Imaida, K. Different threshold levels for 2-amino-3,8 dimethylimidazo[4, 5-f]quinoxaline (MelQx) initiation of lung and colon carcinogenesis and the effects of an additional initiation by 4 (methylnitrosamino)-1-(3-pyridyl)-1-butanone (NNK) in A/J mice. Mol. Med. Rep. 2010, 3, 301–307. [Google Scholar] [PubMed]
- Yamakawa, K.; Yokohira, M.; Nakano, Y.; Kishi, S.; Kanie, S.; Imaida, K. Activation of MEK1/2-ERK1/2 signaling during NNK-induced lung carcinogenesis in female A/J mice. Cancer Med. 2016, 5, 903–913. [Google Scholar] [CrossRef]
- Yokohira, M.; Hashimoto, N.; Yamakawa, K.; Saoo, K.; Kuno, T.; Imaida, K. Lack of promoting effects from physical pulmonary collapse in a female A/J mouse lung tumor initiated with 4-(methylnitrosamino)-1-(3-pyridyl)-1-butanone (NNK) with remarkable mesothelial cell reactions in the thoracic cavity by the polymer. Exp. Toxicol. Pathol. Off. J. Ges. Toxikol. Pathol. 2011, 63, 181–185. [Google Scholar] [CrossRef]
- Yokohira, M.; Takeuchi, H.; Saoo, K.; Matsuda, Y.; Yamakawa, K.; Hosokawa, K.; Kuno, T.; Imaida, K. Establishment of a bioassay model for lung cancer chemoprevention initiated with 4-(methylnitrosamino)-1-(3-pyridyl)-1-butanone (NNK) in female A/J mice. Exp. Toxicol. Pathol. 2008, 60, 469–473. [Google Scholar] [CrossRef]
- Yokohira, M.; Hashimoto, N.; Yamakawa, K.; Nakano-Narusawa, Y.; Matsuda, Y.; Imaida, K. Lung proliferative lesion-promoting effects of left pulmonary ligation in A/J female mice. Pathol. Int. 2020, 70, 340–347. [Google Scholar] [CrossRef] [PubMed]
- Elisia, I.; Cho, B.; Hay, M.; Li, M.Y.; Hofs, E.; Lam, V.; Dyer, R.A.; Lum, J.; Krystal, G. The effect of diet and exercise on tobacco carcinogen-induced lung cancer. Carcinogenesis 2019, 40, 448–460. [Google Scholar] [CrossRef]
- Gkirtzimanaki, K.; Gkouskou, K.K.; Oleksiewicz, U.; Nikolaidis, G.; Vyrla, D.; Liontos, M.; Pelekanou, V.; Kanellis, D.C.; Evangelou, K.; Stathopoulos, E.N. TPL2 kinase is a suppressor of lung carcinogenesis. Proc. Natl. Acad. Sci. USA 2013, 110, E1470–E1479. [Google Scholar] [CrossRef] [PubMed]
- Wculek, S.K.; Bridgeman, V.L.; Peakman, F.; Malanchi, I. Early Neutrophil Responses to Chemical Carcinogenesis Shape Long-Term Lung Cancer Susceptibility. iScience 2020, 23, 101277. [Google Scholar] [CrossRef] [PubMed]
- You, M.; Wang, Y.; Lineen, A.M.; Gunning, W.T.; Stoner, G.D.; Anderson, M.W. Mutagenesis of the K-ras protooncogene in mouse lung tumors induced by N-ethyl-N-nitrosourea or N-nitrosodiethylamine. Carcinogenesis 1992, 13, 1583–1586. [Google Scholar] [CrossRef] [PubMed]
- KONISHI, Y.; KONDO, H.; IKEDA, T.; KAWABATA, A.; SHOJI, Y.; DENDA, A. Effect of dose on the carcinogenic activity of orally administered N-bis (2-hydroxypropyl) nitrosamine in rats. GANN Jpn. J. Cancer Res. 1978, 69, 573–577. [Google Scholar]
- Tsujiuchi, T.; Nakae, D.; Konishi, Y. Multi-step lung carcinogenesis model induced by oral administration of N-nitrosobis (2-hydroxypropyl) amine in rats. Exp. Toxicol. Pathol. 2014, 66, 81–88. [Google Scholar] [CrossRef]
- Tsutsumi, M.; Kitada, H.; Shiraiwa, K.; Takahama, M.; Tsujiuchi, T.; Sakitani, H.; Sasaki, Y.; Murakawa, K.; Yoshimoto, M.; Konishi, Y. Inhibitory effects of combined administration of antibiotics and anti-inflammatory drugs on lung tumor development initiated by N-nitrosobis(2-hydroxypropyl)amine in rats. Carcinogenesis 2000, 21, 251–256. [Google Scholar] [CrossRef]
- Shirai, T.; Masuda, A.; Imaida, K.; Ogiso, T.; Ito, N. Effects of phenobarbital and carbazole on carcinogenesis of the lung, thyroid, kidney, and bladder of rats pretreated with N-bis(2-hydroxypropyl)nitrosamine. Jpn. J. Cancer Res. 1988, 79, 460–465. [Google Scholar] [CrossRef] [PubMed]
- Ambrosini, V.; Nanni, C.; Pettinato, C.; Fini, M.; D’Errico, A.; Trepidi, S.; Spinelli, A.; Al-Nahhas, A.; Rubello, D.; Zompatori, M.; et al. Assessment of a chemically induced model of lung squamous cell carcinoma in mice by 18F-FDG small-animal PET. Nucl. Med. Commun. 2007, 28, 647–652. [Google Scholar] [CrossRef]
- Song, J.M.; Qian, X.; Teferi, F.; Pan, J.; Wang, Y.; Kassie, F. Dietary diindolylmethane suppresses inflammation-driven lung squamous cell carcinoma in mice. Cancer Prev Res. (Phila) 2015, 8, 77–85. [Google Scholar] [CrossRef]
- Govindan, R.; Ding, L.; Griffith, M.; Subramanian, J.; Dees, N.D.; Kanchi, K.L.; Maher, C.A.; Fulton, R.; Fulton, L.; Wallis, J.; et al. Genomic landscape of non-small cell lung cancer in smokers and never-smokers. Cell 2012, 150, 1121–1134. [Google Scholar] [CrossRef]
- McFadden, D.G.; Politi, K.; Bhutkar, A.; Chen, F.K.; Song, X.; Pirun, M.; Santiago, P.M.; Kim-Kiselak, C.; Platt, J.T.; Lee, E.; et al. Mutational landscape of EGFR-, MYC-, and Kras-driven genetically engineered mouse models of lung adenocarcinoma. Proc. Natl. Acad. Sci. USA 2016, 113, E6409–E6417. [Google Scholar] [CrossRef]
- Dutt, A.; Wong, K.K. Mouse models of lung cancer. Clin. Cancer Res. 2006, 12, 4396s–4402s. [Google Scholar] [CrossRef][Green Version]
- Zanesi, N.; Mancini, R.; Sevignani, C.; Vecchione, A.; Kaou, M.; Valtieri, M.; Calin, G.A.; Pekarsky, Y.; Gnarra, J.R.; Croce, C.M.; et al. Lung cancer susceptibility in Fhit-deficient mice is increased by Vhl haploinsufficiency. Cancer Res. 2005, 65, 6576–6582. [Google Scholar] [CrossRef][Green Version]
- Johnson, L.; Mercer, K.; Greenbaum, D.; Bronson, R.T.; Crowley, D.; Tuveson, D.A.; Jacks, T. Somatic activation of the K-ras oncogene causes early onset lung cancer in mice. Nature 2001, 410, 1111–1116. [Google Scholar] [CrossRef]
- Carraresi, L.; Tripodi, S.A.; Mulder, L.C.; Bertini, S.; Nuti, S.; Schuerfeld, K.; Cintorino, M.; Bensi, G.; Rossini, M.; Mora, M. Thymic hyperplasia and lung carcinomas in a line of mice transgenic for keratin 5-driven HPV16 E6/E7 oncogenes. Oncogene 2001, 20, 8148–8153. [Google Scholar] [CrossRef][Green Version]
- Wikenheiser, K.A.; Whitsett, J.A. Tumor progression and cellular differentiation of pulmonary adenocarcinomas in SV40 large T antigen transgenic mice. Am. J. Respir. Cell Mol. Biol. 1997, 16, 713–723. [Google Scholar] [CrossRef] [PubMed]
- Ehrhardt, A.; Bartels, T.; Geick, A.; Klocke, R.; Paul, D.; Halter, R. Development of pulmonary bronchiolo-alveolar adenocarcinomas in transgenic mice overexpressing murine c-myc and epidermal growth factor in alveolar type II pneumocytes. Br. J. Cancer. 2001, 84, 813–818. [Google Scholar] [CrossRef] [PubMed]
- Ohashi, K.; Takigawa, N.; Osawa, M.; Ichihara, E.; Takeda, H.; Kubo, T.; Hirano, S.; Yoshino, T.; Takata, M.; Tanimoto, M.; et al. Chemopreventive effects of gefitinib on nonsmoking-related lung tumorigenesis in activating epidermal growth factor receptor transgenic mice. Cancer Res. 2009, 69, 7088–7095. [Google Scholar] [CrossRef] [PubMed]
- Ohashi, K.; Rai, K.; Fujiwara, Y.; Osawa, M.; Hirano, S.; Takata, K.; Kondo, E.; Yoshino, T.; Takata, M.; Tanimoto, M.; et al. Induction of lung adenocarcinoma in transgenic mice expressing activated EGFR driven by the SP-C promoter. Cancer Sci. 2008, 99, 1747–1753. [Google Scholar] [CrossRef]
- Magdaleno, S.M.; Wang, G.; Mireles, V.L.; Ray, M.K.; Finegold, M.J.; DeMayo, F.J. Cyclin-dependent kinase inhibitor expression in pulmonary Clara cells transformed with SV40 large T antigen in transgenic mice. Cell Growth Differ. 1997, 8, 145–155. [Google Scholar]
- Tichelaar, J.W.; Lu, W.; Whitsett, J.A. Conditional expression of fibroblast growth factor-7 in the developing and mature lung. J. Biol. Chem. 2000, 275, 11858–11864. [Google Scholar] [CrossRef]
- Fisher, G.H.; Wellen, S.L.; Klimstra, D.; Lenczowski, J.M.; Tichelaar, J.W.; Lizak, M.J.; Whitsett, J.A.; Koretsky, A.; Varmus, H.E. Induction and apoptotic regression of lung adenocarcinomas by regulation of a K-Ras transgene in the presence and absence of tumor suppressor genes. Genes Dev. 2001, 15, 3249–3262. [Google Scholar] [CrossRef]
- Guerra, C.; Mijimolle, N.; Dhawahir, A.; Dubus, P.; Barradas, M.; Serrano, M.; Campuzano, V.; Barbacid, M. Tumor induction by an endogenous K-ras oncogene is highly dependent on cellular context. Cancer Cell 2003, 4, 111–120. [Google Scholar] [CrossRef]
- Wang, Y.; Zhang, Z.; Lubet, R.; You, M. Tobacco smoke-induced lung tumorigenesis in mutant A/J mice with alterations in K-ras, p53, or Ink4a/Arf. Oncogene 2005, 24, 3042–3049. [Google Scholar] [CrossRef][Green Version]
- Tuveson, D.A.; Shaw, A.T.; Willis, N.A.; Silver, D.P.; Jackson, E.L.; Chang, S.; Mercer, K.L.; Grochow, R.; Hock, H.; Crowley, D.; et al. Endogenous oncogenic K-ras(G12D) stimulates proliferation and widespread neoplastic and developmental defects. Cancer Cell 2004, 5, 375–387. [Google Scholar] [CrossRef]
- Vallath, S.; Hynds, R.E.; Succony, L.; Janes, S.M.; Giangreco, A. Targeting EGFR signalling in chronic lung disease: Therapeutic challenges and opportunities. Eur. Respir. J. 2014, 44, 513–522. [Google Scholar] [CrossRef]
- da Cunha Santos, G.; Shepherd, F.A.; Tsao, M.S. EGFR mutations and lung cancer. Annu. Rev. Pathol. 2011, 6, 49–69. [Google Scholar] [CrossRef]
- Meuwissen, R.; Berns, A. Mouse models for human lung cancer. Genes Dev. 2005, 19, 643–664. [Google Scholar] [CrossRef] [PubMed]
- Moll, H.P.; Pranz, K.; Musteanu, M.; Grabner, B.; Hruschka, N.; Mohrherr, J.; Aigner, P.; Stiedl, P.; Brcic, L.; Laszlo, V.; et al. Afatinib restrains K-RAS-driven lung tumorigenesis. Sci. Transl. Med. 2018, 10, eaao2301. [Google Scholar] [CrossRef]
- Roh, J.I.; Lee, J.; Sung, Y.H.; Oh, J.; Hyeon, D.Y.; Kim, Y.; Lee, S.; Devkota, S.; Kim, H.J.; Park, B.; et al. Impaired AKT signaling and lung tumorigenesis by PIERCE1 ablation in KRAS-mutant non-small cell lung cancer. Oncogene 2020, 39, 5876–5887. [Google Scholar] [CrossRef]
- Malyla, V.; Paudel, K.R.; Shukla, S.D.; Donovan, C.; Wadhwa, R.; Pickles, S.; Chimankar, V.; Sahu, P.; Bielefeldt-Ohmann, H.; Bebawy, M.; et al. Recent advances in experimental animal models of lung cancer. Future Med. Chem. 2020, 12, 567–570. [Google Scholar] [CrossRef]
- Ramelow, J.; Brooks, C.D.; Gao, L.; Almiman, A.A.; Williams, T.M.; Villalona-Calero, M.A.; Duan, W. The oncogenic potential of a mutant TP53 gene explored in two spontaneous lung cancer mice models. BMC Cancer 2020, 20, 738. [Google Scholar] [CrossRef]
- Shafarenko, M.; Mahler, J.; Cochran, C.; Kisielewski, A.; Golding, E.; Wiseman, R.; Goodrow, T. Similar incidence of K-ras mutations in lung carcinomas of FVB/N mice and FVB/N mice carrying a mutant p53 transgene. Carcinogenesis 1997, 18, 1423–1426. [Google Scholar] [CrossRef][Green Version]
- Akbay, E.A.; Koyama, S.; Liu, Y.; Dries, R.; Bufe, L.E.; Silkes, M.; Alam, M.M.; Magee, D.M.; Jones, R.; Jinushi, M.; et al. Interleukin-17A Promotes Lung Tumor Progression through Neutrophil Attraction to Tumor Sites and Mediating Resistance to PD-1 Blockade. J. Thorac. Oncol. 2017, 12, 1268–1279. [Google Scholar] [CrossRef]
- Choi, H.; Deng, J.; Li, S.; Silk, T.; Dong, L.; Brea, E.J.; Houghton, S.; Redmond, D.; Zhong, H.; Boiarsky, J.; et al. Pulsatile MEK Inhibition Improves Anti-tumor Immunity and T Cell Function in Murine Kras Mutant Lung Cancer. Cell Rep. 2019, 27, 806–819 e5. [Google Scholar] [CrossRef] [PubMed]
- Jin, C.; Lagoudas, G.K.; Zhao, C.; Bullman, S.; Bhutkar, A.; Hu, B.; Ameh, S.; Sandel, D.; Liang, X.S.; Mazzilli, S.; et al. Commensal Microbiota Promote Lung Cancer Development via gammadelta T Cells. Cell 2019, 176, 998–1013.e16. [Google Scholar] [CrossRef]
- Esteban-Burgos, L.; Wang, H.; Nieto, P.; Zheng, J.; Blanco-Aparicio, C.; Varela, C.; Gomez-Lopez, G.; Fernandez-Garcia, F.; Sanclemente, M.; Guerra, C.; et al. Tumor regression and resistance mechanisms upon CDK4 and RAF1 inactivation in KRAS/P53 mutant lung adenocarcinomas. Proc. Natl. Acad. Sci. USA 2020, 117, 24415–24426. [Google Scholar] [CrossRef] [PubMed]
- Carthew, R.W. Gene regulation by microRNAs. Curr. Opin. Genet. Dev. 2006, 16, 203–208. [Google Scholar] [CrossRef]
- Singh, A.P.; Adrianzen Herrera, D.; Zhang, Y.; Perez-Soler, R.; Cheng, H. Mouse models in squamous cell lung cancer: Impact for drug discovery. Expert Opin. Drug Discov. 2018, 13, 347–358. [Google Scholar] [CrossRef] [PubMed]
- Bhattacharjee, A.; Richards, W.G.; Staunton, J.; Li, C.; Monti, S.; Vasa, P.; Ladd, C.; Beheshti, J.; Bueno, R.; Gillette, M.; et al. Classification of human lung carcinomas by mRNA expression profiling reveals distinct adenocarcinoma subclasses. Proc. Natl. Acad. Sci. USA 2001, 98, 13790–13795. [Google Scholar] [CrossRef]
- Meuwissen, R.; Linn, S.C.; Linnoila, R.I.; Zevenhoven, J.; Mooi, W.J.; Berns, A. Induction of small cell lung cancer by somatic inactivation of both Trp53 and Rb1 in a conditional mouse model. Cancer Cell 2003, 4, 181–189. [Google Scholar] [CrossRef]
- Moldoveanu, B.; Otmishi, P.; Jani, P.; Walker, J.; Sarmiento, X.; Guardiola, J.; Saad, M.; Yu, J. Inflammatory mechanisms in the lung. J. Inflamm. Res. 2009, 2, 1–11. [Google Scholar] [PubMed]
- Yokoyama, W.M. Natural killer cell immune responses. Immunol. Res. 2005, 32, 317–325. [Google Scholar] [CrossRef]
- Yazdanbakhsh, M.; Kremsner, P.G.; van Ree, R. Allergy, parasites, and the hygiene hypothesis. Science 2002, 296, 490–494. [Google Scholar] [CrossRef] [PubMed]
- Miao, T.W.; Xiao, W.; Du, L.Y.; Mao, B.; Huang, W.; Chen, X.M.; Li, C.; Wang, Y.; Fu, J.J. High expression of SPP1 in patients with chronic obstructive pulmonary disease (COPD) is correlated with increased risk of lung cancer. FEBS Open Bio 2021. [Google Scholar] [CrossRef] [PubMed]
- Corriveau, S.; Pond, G.R.; Tang, G.H.; Goffin, J.R. A population-based analysis of spirometry use and the prevalence of chronic obstructive pulmonary disease in lung cancer. BMC Cancer 2021, 21, 14. [Google Scholar] [CrossRef] [PubMed]
- Steenland, K.; Mannetje, A.; Boffetta, P.; Stayner, L.; Attfield, M.; Chen, J.; Dosemeci, M.; DeKlerk, N.; Hnizdo, E.; Koskela, R.; et al. Pooled exposure-response analyses and risk assessment for lung cancer in 10 cohorts of silica-exposed workers: An IARC multicentre study. Cancer Causes Control. 2001, 12, 773–784. [Google Scholar] [CrossRef] [PubMed]
- de Visser, K.E.; Eichten, A.; Coussens, L.M. Paradoxical roles of the immune system during cancer development. Nat. Rev. Cancer 2006, 6, 24–37. [Google Scholar] [CrossRef]
- Ruffell, B.; Affara, N.I.; Coussens, L.M. Differential macrophage programming in the tumor microenvironment. Trends Immunol. 2012, 33, 119–126. [Google Scholar] [CrossRef]
- Phillipson, M.; Kubes, P. The Healing Power of Neutrophils. Trends Immunol. 2019, 40, 635–647. [Google Scholar] [CrossRef]
- Coffelt, S.B.; Wellenstein, M.D.; de Visser, K.E. Neutrophils in cancer: Neutral no more. Nat. Rev. Cancer 2016, 16, 431–446. [Google Scholar] [CrossRef]
- Patel, A.J.; Richter, A.; Drayson, M.T.; Middleton, G.W. The role of B lymphocytes in the immuno-biology of non-small-cell lung cancer. Cancer Immunol. Immunother. 2020, 69, 325–342. [Google Scholar] [CrossRef] [PubMed]
- Altorki, N.K.; Markowitz, G.J.; Gao, D.; Port, J.L.; Saxena, A.; Stiles, B.; McGraw, T.; Mittal, V. The lung microenvironment: An important regulator of tumour growth and metastasis. Nat. Rev. Cancer 2019, 19, 9–31. [Google Scholar] [CrossRef] [PubMed]
- Gomes, M.; Teixeira, A.L.; Coelho, A.; Araujo, A.; Medeiros, R. The role of inflammation in lung cancer. Adv. Exp. Med. Biol. 2014, 816, 1–23. [Google Scholar] [PubMed]
- Yang, L.; Zhang, H.; Zhang, X.; Xing, W.; Wang, Y.; Bai, P.; Zhang, L.; Hayakawa, K.; Toriba, A.; Tang, N. Exposure to Atmospheric Particulate Matter-Bound Polycyclic Aromatic Hydrocarbons and Their Health Effects: A Review. Int J. Environ. Res. Public Health 2021, 18, 2177. [Google Scholar] [CrossRef] [PubMed]
- Solbes, E.; Harper, R.W. Biological responses to asbestos inhalation and pathogenesis of asbestos-related benign and malignant disease. J. Investig. Med. 2018, 66, 721–727. [Google Scholar] [CrossRef] [PubMed]
- IARC. Silica dust, crystalline, in the form of quartz or cristobalite. In IARC Monographs on the Evaluation of Carcinogenic Risks to Humans. 100C; International Agency for Research on Cancer (IARC) Working Group on the Evaluation of Carcinogenic Risks to Humans: Lyon, France, 2012; pp. 379–389. [Google Scholar]
- Borm, P.J.A.; Fowler, P.; Kirkland, D. An updated review of the genotoxicity of respirable crystalline silica. Part. Fibre Toxicol. 2018, 15, 23. [Google Scholar] [CrossRef]
- Freire, J.; Ajona, D.; de Biurrun, G.; Agorreta, J.; Segura, V.; Guruceaga, E.; Bleau, A.M.; Pio, R.; Blanco, D.; Montuenga, L.M. Silica-induced chronic inflammation promotes lung carcinogenesis in the context of an immunosuppressive microenvironment. Neoplasia 2013, 15, 913–924. [Google Scholar] [CrossRef]
- Gao, M.; Zhang, P.; Huang, L.; Shao, H.; Duan, S.; Li, C.; Zhang, Q.; Wang, W.; Wu, Y.; Wang, J.; et al. Is NLRP3 or NLRP6 inflammasome activation associated with inflammation-related lung tumorigenesis induced by benzo(a)pyrene and lipopolysaccharide? Ecotoxicol. Environ. Saf. 2019, 185, 109687. [Google Scholar] [CrossRef]
- Liu, C.H.; Chen, Z.; Chen, K.; Liao, F.T.; Chung, C.E.; Liu, X.; Lin, Y.C.; Keohavong, P.; Leikauf, G.D.; Di, Y.P. Lipopolysaccharide-Mediated Chronic Inflammation Promotes Tobacco Carcinogen-Induced Lung Cancer and Determines the Efficacy of Immunotherapy. Cancer Res. 2021, 81, 144–157. [Google Scholar] [CrossRef]
- Auer, R.; Concha-Lozano, N.; Jacot-Sadowski, I.; Cornuz, J.; Berthet, A. Heat-Not-Burn Tobacco Cigarettes: Smoke by Any Other Name. JAMA Intern. Med. 2017, 177, 1050–1052. [Google Scholar] [CrossRef]
- Ito, Y.; Oshinden, K.; Kutsuzawa, N.; Kohno, C.; Isaki, S.; Yokoyama, K.; Sato, T.; Tanaka, M.; Asano, K. Heat-Not-Burn cigarette induces oxidative stress response in primary rat alveolar epithelial cells. PLoS ONE 2020, 15, e0242789. [Google Scholar] [CrossRef]
- Narayanapillai, S.C.; Han, Y.H.; Song, J.M.; Kebede, M.E.; Upadhyaya, P.; Kassie, F. Modulation of the PD-1/PD-L1 immune checkpoint axis during inflammation-associated lung tumorigenesis. Carcinogenesis 2020, 41, 1518–1528. [Google Scholar] [CrossRef]
- Biton, J.; Ouakrim, H.; Dechartres, A.; Alifano, M.; Mansuet-Lupo, A.; Si, H.; Halpin, R.; Creasy, T.; Bantsimba-Malanda, C.; Arrondeau, J.; et al. Impaired Tumor-Infiltrating T Cells in Patients with Chronic Obstructive Pulmonary Disease Impact Lung Cancer Response to PD-1 Blockade. Am. J. Respir. Crit. Care Med. 2018, 198, 928–940. [Google Scholar] [CrossRef] [PubMed]
- Wei, H.; Liang, F.; Meng, G.; Nie, Z.; Zhou, R.; Cheng, W.; Wu, X.; Feng, Y.; Wang, Y. Redox/methylation mediated abnormal DNA methylation as regulators of ambient fine particulate matter-induced neurodevelopment related impairment in human neuronal cells. Sci. Rep. 2016, 6, 33402. [Google Scholar] [CrossRef]
- Luo, F.; Guo, H.; Yu, H.; Li, Y.; Feng, Y.; Wang, Y. PM2.5 organic extract mediates inflammation through the ERbeta pathway to contribute to lung carcinogenesis in vitro and vivo. Chemosphere 2021, 263, 127867. [Google Scholar] [CrossRef] [PubMed]
- Yang, Y.; Li, X.; An, X.; Zhang, L.; Li, X.; Wang, L.; Zhu, G. Continuous exposure of PM2.5 exacerbates ovalbumin-induced asthma in mouse lung via a JAK-STAT6 signaling pathway. Adv. Clin. Exp. Med. 2020, 29, 825–832. [Google Scholar] [CrossRef] [PubMed]
- Chikara, S.; Mamidi, S.; Sreedasyam, A.; Chittem, K.; Pietrofesa, R.; Zuppa, A.; Moorthy, G.; Dyer, N.; Christofidou-Solomidou, M.; Reindl, K.M. Flaxseed Consumption Inhibits Chemically Induced Lung Tumorigenesis and Modulates Expression of Phase II Enzymes and Inflammatory Cytokines in A/J Mice. Cancer Prev. Res. (Phila) 2018, 11, 27–37. [Google Scholar] [CrossRef] [PubMed]
- Shin, S.H.; Park, H.Y.; Im, Y.; Jung, H.A.; Sun, J.M.; Ahn, J.S.; Ahn, M.J.; Park, K.; Lee, H.Y.; Lee, S.H. Improved treatment outcome of pembrolizumab in patients with nonsmall cell lung cancer and chronic obstructive pulmonary disease. Int. J. Cancer 2019, 145, 2433–2439. [Google Scholar] [CrossRef] [PubMed]
- Ribas, A.; Wolchok, J.D. Cancer immunotherapy using checkpoint blockade. Science 2018, 359, 1350–1355. [Google Scholar] [CrossRef] [PubMed]
- Dong, H.; Strome, S.E.; Salomao, D.R.; Tamura, H.; Hirano, F.; Flies, D.B.; Roche, P.C.; Lu, J.; Zhu, G.; Tamada, K.; et al. Tumor-associated B7-H1 promotes T-cell apoptosis: A potential mechanism of immune evasion. Nat. Med. 2002, 8, 793–800. [Google Scholar] [CrossRef]



| Chemical | Dose | Animals | Histopathological Type | Reference |
|---|---|---|---|---|
| Tobacco related | ||||
| NNK | 2 mg/0.1 mL saline/mouse, single i.p. | A/J mice | AH, AD, AC | [16,21,35,44,45,46,50,62,63,64,65,66,67,68] |
| 2 mg/0.1 mL saline/mouse, 2 times i.p. | A/J mice | AH, AD, AC | [22,44,69,70,71] | |
| 10 mg/mL saline/rat, 3 times i.p. | F344 rats | AH | [17,49] | |
| 20 mg/mL saline/rat, single i.p. | F344 rats | AH | [49] | |
| 50 mg/kg BW, i.p. | A/J mice | Tumor | [72] | |
| Urethane | 1 g/kg BW, single i.p. | FVB mice | AAH, AD | [14] |
| 1 mg/kg BW, 10 times i.p., | C57/BL6 mice | AAH, AD, AC | [73] | |
| 250 mg/kg BW, i.p. | A/J mice | AD | [46] | |
| 1 mg/kg BW, 10 times i.p. | F344 rats | AH | [19,21] | |
| 5 mg/mouse, single i.p. | A/J mice | AH | [21] | |
| 1 mg/g BW, single i.p. | FVB/J mice | AD | [74] | |
| DEN | 15 μg/g BW, single i.p. | FVB/N mice | AC | [29] |
| 15 μg/g BW, single i.p. | A/J mice | AC | [75] | |
| 100 mg/kg BW, single s.c. | Syrian golden hamster | BH, squamous papilloma | [38] | |
| MeIQx | 600 ppm MeIQx in a basal diet for 12 weeks | A/J mice | AH, AD | [46,50] |
| 0.01, 0.1, 1, 10, 100 ppm MeIQx in a basal diet for 32 weeks | A/J mice | AH, AD | [67] | |
| BaP | 20 mg/kg BW, i.t. | F344 rats | AH | [19,21] |
| Tobacco smoke | expose MCS for 22 weeks | FVB/N mice | AD, AC | [39] |
| whole-body to MCS during the first 4 months of life | H neonatal mice | AH, AD, AC | [40] | |
| expose MCS for 12 weeks | Syrian golden hamster | BH, squamous papilloma | [38] | |
| Others | ||||
| DHPN | 100 or 500 ppm, drinking water | Wistar rats | AD, AC, SCC, ADSC | [76] |
| 2000 ppm, drinking water, 12 weeks | Wistar rats | AC, SCC, ADSC | [77,78] | |
| 0.1% drinking water, 2 weeks | F344 rats | AH, AD, AC | [17,19,20,21,22,49,50,51] | |
| 0.2% drinking water, 1 week | F344 rats | AH, AD, AC | [79] | |
| Aflatoxin B1 | 150 mg/kg BW, i.p. divided into 24 doses over 8 weeks | AC3F1 mice | AH, AD, AC | [54] |
| Aflatoxin G1 | 100 μg/kg BW, orally administered | Balb/c mice | AD | [55] |
| 4-NQO | 2 mg/mL, s.c. | ICR mice | AD | [57] |
| 10 mg/kg BW, single s.c. | TSOD mice | AH, AD, AC | [56] | |
| DMN | 30 mg/kg BW, single i.p. | F344 rats | AH, AD | [19,21] |
| X-ray | 3.0 Gy X-rays | Wistar rats | AD, AC | [46] |
| NTCU | skin painted, 2 times/week, for 35–40 weeks | Swiss mice | SCC, ADSC, AC, a single ciliated-cell tumor | [59] |
| skin painted, 2 times/week, for 8 months | Swiss mice | SCC | [80] | |
| 0.5 mmol/L/mouse, intranasal administration, once a week for 26 weeks | A/J mice | BH, SCC | [81] |
| Methods | Genes |
|---|---|
| Knockout | Fhit-Vhl [85] |
| Knock-in | K-rasG12D [83,86] |
| Promotors | |
| keratin | papillomavirus-16 E6/E7 [87] |
| surfactant protein C | simian virus large T antigen [88], c-myc, epidermal growth factor [89], Ron, Raf-1, p53 [90,91] |
| Clara cell secretory protein (CCSP) | simian virus large T antigen [92] |
| calcitonin gene-related peptide | |
| Reverse tetracycline transactivator inducible system | CCSP-rtTA/Tet-Op-FGF7 [93] |
| CCSP-rtTA/Tet-Op-K-ras4G12D [94] | |
| Conditional cre/loxP | Lox-STOP-Lox-K-rasG12D [95] |
| Compound conditional models | conditional activation of Kras2 with conditional inactivation of Rb or p53 by cre/loxP [96] |
| conditional knock-in of LSL-K-ras G12D and LSL-p53R270H [97] |
| Lung Tumor Inducer | Inflammatory or Anti-Inflammatory Substances | Animals | Histopathological Type of Tumors | References |
|---|---|---|---|---|
| DHPN | quartz and dextran sulfate sodium | F344 rats | AD, AC | [13] |
| erythromycin, ampicillin, sho-saiko-to or piroxicam | Wistar rats | AC, SCC, ADSC | [78] | |
| None | Wistar rats | AC, SCC, ADSC | [78] | |
| NNK | quartz | A/J mice | AD, AC | [16] |
| LPS | FVB/NJ mice | AD, AC | [133,136] | |
| flaxseed | A/J mice | AD, AC | [141] | |
| NDMA | quartz | Balb/c mice | AD, AC | [131] |
| BaP | LPS | C57BL/6 | AD, AC | [132] |
| NTCU | LPS | A/J mice | SCC | [81] |
| None | quartz | F344 rats | AD, AC | [7] |
Publisher’s Note: MDPI stays neutral with regard to jurisdictional claims in published maps and institutional affiliations. |
© 2021 by the authors. Licensee MDPI, Basel, Switzerland. This article is an open access article distributed under the terms and conditions of the Creative Commons Attribution (CC BY) license (https://creativecommons.org/licenses/by/4.0/).
Share and Cite
Nakano-Narusawa, Y.; Yokohira, M.; Yamakawa, K.; Ye, J.; Tanimoto, M.; Wu, L.; Mukai, Y.; Imaida, K.; Matsuda, Y. Relationship between Lung Carcinogenesis and Chronic Inflammation in Rodents. Cancers 2021, 13, 2910. https://doi.org/10.3390/cancers13122910
Nakano-Narusawa Y, Yokohira M, Yamakawa K, Ye J, Tanimoto M, Wu L, Mukai Y, Imaida K, Matsuda Y. Relationship between Lung Carcinogenesis and Chronic Inflammation in Rodents. Cancers. 2021; 13(12):2910. https://doi.org/10.3390/cancers13122910
Chicago/Turabian StyleNakano-Narusawa, Yuko, Masanao Yokohira, Keiko Yamakawa, Juanjuan Ye, Misa Tanimoto, Linxuan Wu, Yuri Mukai, Katsumi Imaida, and Yoko Matsuda. 2021. "Relationship between Lung Carcinogenesis and Chronic Inflammation in Rodents" Cancers 13, no. 12: 2910. https://doi.org/10.3390/cancers13122910
APA StyleNakano-Narusawa, Y., Yokohira, M., Yamakawa, K., Ye, J., Tanimoto, M., Wu, L., Mukai, Y., Imaida, K., & Matsuda, Y. (2021). Relationship between Lung Carcinogenesis and Chronic Inflammation in Rodents. Cancers, 13(12), 2910. https://doi.org/10.3390/cancers13122910

