Epitope Mapping and Computational Analysis of Anti-HPV16 E6 and E7 Antibodies in Single-Chain Format for Clinical Development as Antitumor Drugs
Abstract
1. Introduction
2. Results
2.1. CDRs aa Sequences of the Anti-16E6 and -16E7 ScFvs
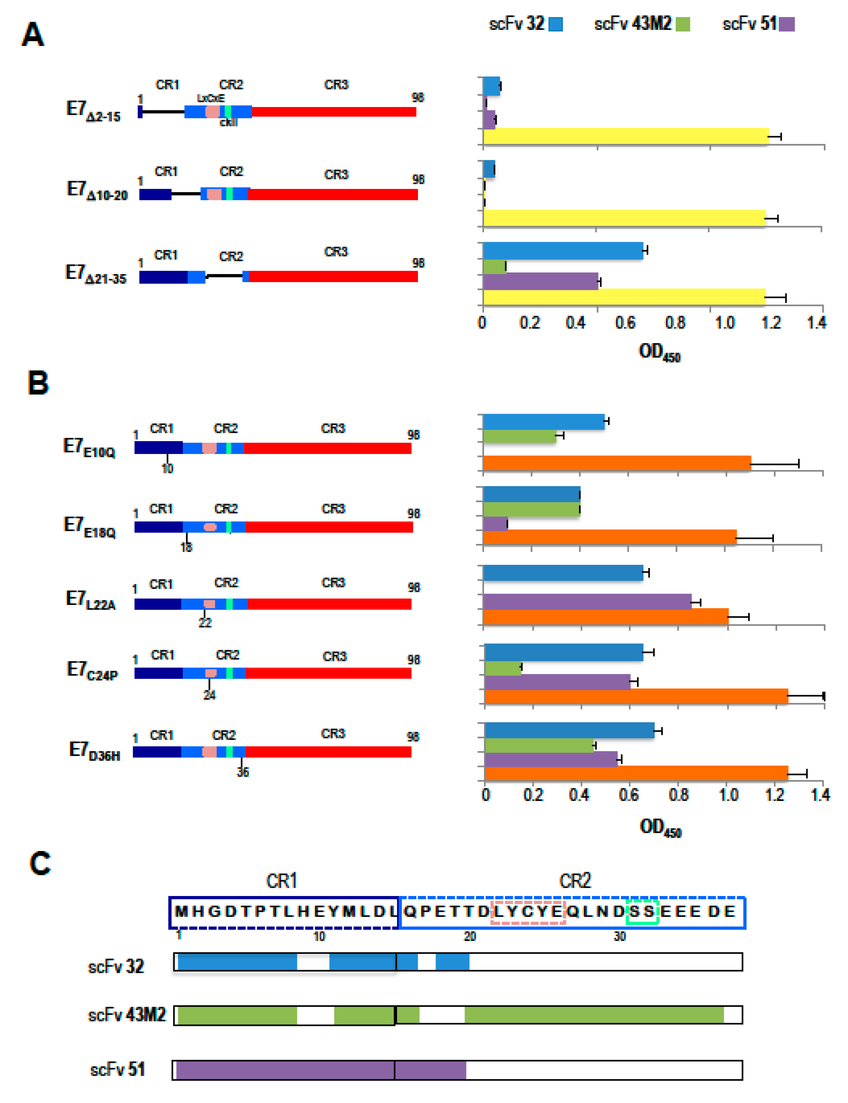
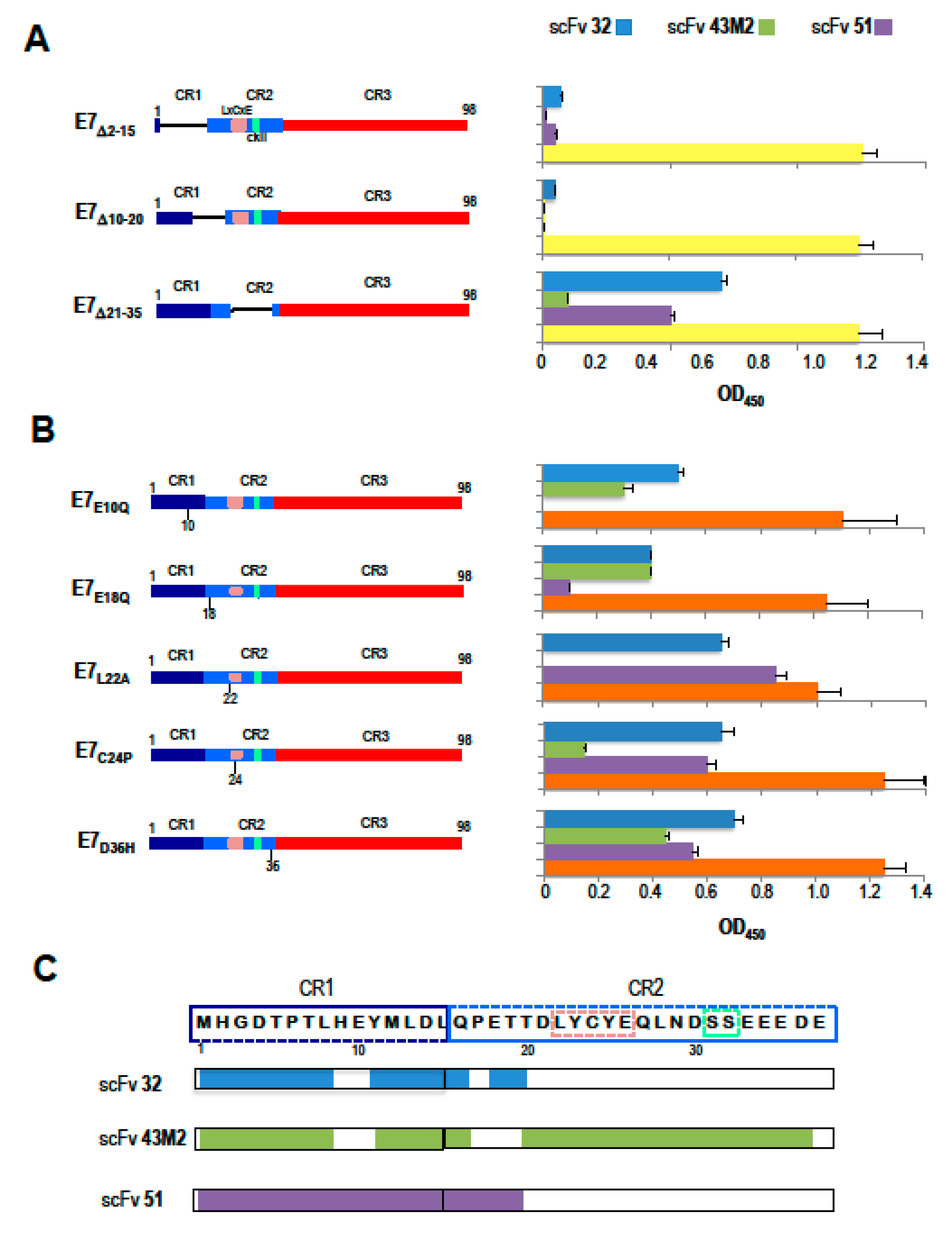
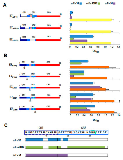
2.2. Analysis of the Anti-16E6 and Anti-16E7 ScFvs Binding Activity
2.3. Computational Analyses of The Anti-16E7 and -16E6 Scfvs aa Sequences
3. Discussion
4. Materials and Methods
4.1. ETH-2 and SPLINT Libraries of Recombinant Single-Chain Antibodies
4.2. ScFv Selection
4.3. Sequencing
4.4. Plasmids for Protein Expression
4.5. Protein Purification
4.6. ScFv Reactivity
4.7. Epitope Mapping of the Anti-16E7 ScFvs
4.8. Surface Plasmon Resonance (SPR)
4.9. Computational Analyses
5. Conclusions
Author Contributions
Funding
Conflicts of Interest
References
- Antibody Society. Approved Antibodies. Available online: https://www.antibodysociety.org/resources/approved-antibodies/ (accessed on 1 June 2020).
- Holliger, P.; Hudson, P.J. Engineered antibody fragments and the rise of single domains. Nat. Biotechnol. 2005, 23, 1126–1136. [Google Scholar] [CrossRef] [PubMed]
- Accardi, L.; Di Bonito, P. Antibodies in single-chain format against tumour-associated antigens: Present and future applications. Curr. Med. Chem. 2010, 17, 1730–1755. [Google Scholar] [CrossRef]
- Frenzel, A.; Schirrmann, T.; Hust, M. Phage display-derived human antibodies in clinical development and therapy. mAbs 2016, 8, 1177–1194. [Google Scholar] [CrossRef] [PubMed]
- Lin, Y.; Chen, Z.; Hu, C.; Chen, Z.S.; Zhang, L. Recent progress in antitumor functions of the intracellular antibodies. Drug Discov. Today 2020, 26, 1359–6446. [Google Scholar] [CrossRef] [PubMed]
- PaVE: Papilloma Virus Genome Database. Available online: https://pave.niaid.nih.gov/ (accessed on 1 June 2020).
- Zur Hausen, H. Papillomaviruses and cancer: From basic studies to clinical application. Nat. Rev. Cancer 2002, 2, 342–350. [Google Scholar] [CrossRef]
- De Martel, C.; Plummer, M.; Vignat, J.; Franceschi, S. Worldwide burden of cancer attributable to HPV by site, country and HPV type. Int. J. Cancer 2017, 141, 664–670. [Google Scholar] [CrossRef]
- Castellsagué, X.; Alemany, L.; Quer, M.; Halec, G.; Quirós, B.; Tous, S.; Clavero, O.; Alòs, L.; Biegner, T.; Szafarowski, T.; et al. HPV involvement in head and neck cancers: comprehensive assessment of biomarkers in 3680 patients. J. Natl. Cancer Inst. 2016, 108, djv403. [Google Scholar] [CrossRef]
- Donà, M.G. E7 oncoprotein of human papillomarvirus: Functions and strategies of inactivation for the treatment of HPV-associated cancer. In Oncogene Proteins: New Research; Arthur, H., Malloy, E., Carson, C., Eds.; Nova Science Publishers, Inc.: Hauppauge, NY, USA, 2008; pp. 113–155. [Google Scholar]
- Todorovic, B.; Massimi, P.; Hung, K.; Shaw, G.S.; Banks, L.; Mymryk, J.S. Systematic analysis of the amino acid residues of human papillomavirus type 16 E7 conserved region 3 involved in dimerization and transformation. J. Virol. 2011, 85, 10048–10057. [Google Scholar] [CrossRef][Green Version]
- Smal, C.; Alonso, L.G.; Wetzler, D.E.; Heer, A.; de Prat Gay, G. Ordered self-assembly mechanism of a spherical oncoprotein oligomer triggered by zinc removal and stabilized by an intrinsically disordered domain. PLoS ONE 2012, 7, e36457. [Google Scholar] [CrossRef]
- García-Alai, M.M.; Alonso, L.G.; de Prat-Gay, G. The N-terminal module of HPV16 E7 is an intrinsically disordered domain that confers conformational and recognition plasticity to the oncoprotein. Biochemistry 2007, 46, 10405–10412. [Google Scholar] [CrossRef]
- Lau, L.; Gray, E.E.; Brunette, R.L. Stetson DB. DNA tumor virus oncogenes antagonize the cGAS-STING DNA-sensing pathway. Science 2015, 350, 568–571. [Google Scholar] [CrossRef]
- Gulliver, G.A.; Herber, R.L.; Liem, A.; Lambert, P.F. Both conserved region 1 (CR1) and CR2 of the human papillomavirus type 16 E7 oncogene are required for induction of epidermal hyperplasia and tumor formation in transgenic mice. J. Virol. 1997, 71, 5905–5914. [Google Scholar] [CrossRef]
- Nominé, Y.; Masson, M.; Charbonnier, S.; Zanier, K.; Ristriani, T.; Deryckère, F.; Sibler, A.P.; Desplancq, D.; Atkinson, R.A.; Weiss, E.; et al. Structural and functional analysis of E6 oncoprotein: Insights in the molecular pathways of human papillomavirus-mediated pathogenesis. Mol. Cell 2006, 21, 665–678. [Google Scholar] [CrossRef] [PubMed]
- Massimi, P.; Gammoh, N.; Thomas, M.; Banks, L. HPV E6 specifically targets different cellular pools of its PDZ domain-containing tumour suppressor substrates for proteasome-mediated degradation. Oncogene 2004, 23, 8033–8039. [Google Scholar] [CrossRef] [PubMed]
- Graham, S.V. The human papillomavirus replication cycle, and its links to cancer progression: A comprehensive review. Clin. Sci. 2017, 131, 2201–2222. [Google Scholar] [CrossRef]
- Cohen, P.A.; Jhingran, A.; Oaknin, A.; Denny, L. Cervical cancer. Lancet 2019, 393, 169–182. [Google Scholar] [CrossRef]
- Doorbar, J. Molecular biology of human papillomavirus infection and cervical cancer. Clin. Sci. 2006, 110, 525–541. [Google Scholar] [CrossRef] [PubMed]
- Alsahafi, E.; Begg, K.; Amelio, I.; Raulf, N.; Philippe Lucarelli, P.; Sauter, T.; Tavassoli, M. Clinical update on head and neck cancer: Molecular biology and ongoing challenges. Cell Death Dis. 2019, 10, 540. [Google Scholar] [CrossRef]
- Donà, M.G.; Giorgi, C.; Accardi, L. Characterization of antibodies in single-chain format against the E7 oncoprotein of the human papillomavirus type 16 and their improvement by mutagenesis. BMC Cancer 2007, 7, 25. [Google Scholar] [CrossRef][Green Version]
- Accardi, L.; Donà, M.G.; Di Bonito, P.; Giorgi, C. Intracellular anti-E7 human antibodies in single-chain format inhibit proliferation of HPV16-positive cervical carcinoma cells. Int. J. Cancer 2005, 116, 564–570. [Google Scholar] [CrossRef]
- Accardi, L.; Paolini, F.; Mandarino, A.; Percario, Z.; Di Bonito, P.; Di Carlo, V.; Affabris, E.; Giorgi, C.; Amici, C.; Venuti, A. In vivo antitumor effect of an intracellular single-chain antibody fragment against the E7 oncoprotein of human papillomavirus 16. Int. J. Cancer 2014, 134, 2742–2747. [Google Scholar] [CrossRef]
- Amici, C.; Visintin, M.; Verachi, F.; Paolini, F.; Percario, Z.; Di Bonito, P.; Mandarino, A.; Affabris, E.; Venuti, A.; Accardi, L. A novel intracellular antibody against the E6 oncoprotein impairs growth of human papillomavirus 16-positive tumor cells in mouse models. Oncotarget 2016, 7, 15539–15553. [Google Scholar] [CrossRef] [PubMed][Green Version]
- Rabia, L.A.; Zhang, Y.; Ludwig, S.D.; Julian, M.C.; Tessier, P.M. Net charge of antibody complementaritydetermining regions is a key predictor of specificity. Protein Eng. Des. Sel. 2019, 31, 1–10. [Google Scholar] [CrossRef]
- Raybould, M.I.J.; Marks, C.; Krawczyk, K.; Taddese, B.; Nowak, J.; Lewis, A.P.; Bujotzek, A.; Shi, J.; Deane, C.M. Five computational developability guidelines for therapeutic antibody profiling. Proc. Natl. Acad. Sci. USA 2019, 116, 4025–4030. [Google Scholar] [CrossRef] [PubMed]
- Pini, A.; Viti, F.; Santucci, A.; Carnemolla, B.; Zardi, L.; Neri, P.; Neri, D. Design and use of a phage display library. Human antibodies with subnanomolar affinity against a marker of angiogenesis eluted from a two-dimensional gel. J. Biol Chem. 1998, 273, 21769–21776. [Google Scholar] [CrossRef]
- Kabat, E.A.; Wu, T.T. Identical V region aa sequences and segments of sequences in antibodies of different specificities. Relative contributions of VH and VL genes, minigenes, and complementarity-determining regions to binding of antibody-combining sites. J. Immunol. 1991, 147, 1709–1719. [Google Scholar] [PubMed]
- Accardi, L.; Donà, M.G.; Mileo, A.M.; Paggi, M.G.; Federico, A.; Torreri, P.; Petrucci, T.C.; Accardi, R.; Pim, D.; Tommasino, M.; et al. Retinoblastoma-independent antiproliferative activity of novel intracellular antibodies against the E7 oncoprotein in HPV 16-positive cells. BMC Cancer 2011, 11, 17. [Google Scholar] [CrossRef]
- Phelps, W.C.; Münger, K.; Yee, C.L.; Barnes, J.A.; Howley, P.M. Structure-function analysis of the human papillomavirus type 16 E7 oncoprotein. J. Virol. 1992, 66, 2418–2427. [Google Scholar] [CrossRef]
- Kozlowski, L.P. IPC—Isoelectric Point Calculator. Biol. Direct. 2016, 11, 55. [Google Scholar] [CrossRef]
- Hoppe-Seyler, K.; Bossler, F.; Braun, J.A.; Herrmann, A.L.; Hoppe-Seyler, F. The HPV E6/E7 oncogenes: Key factors for viral carcinogenesis and therapeutic targets. Trends Microbiol. 2018, 26, 158–168. [Google Scholar] [CrossRef]
- Edmonds, C.; Vousden, K.H. A point mutational analysis of human papillomavirus type 16 E7 protein. J. Virol. 1989, 63, 2650–2656. [Google Scholar] [CrossRef] [PubMed]
- Barbosa, M.S.; Edmonds, C.; Fisher, C.; Schiller, J.T.; Lowy, D.R.; Vousden, K.H. The region of the HPV E7 oncoprotein homologous to adenovirus E1a and Sv40 large T antigen contains separate domains for Rb binding and casein kinase II phosphorylation. EMBO J. 1990, 9, 153. [Google Scholar] [CrossRef] [PubMed]
- Datta-Mannan, A.; Thangaraju, A.; Leung, D.; Tang, Y.; Witcher, D.R.; Lu, J.; Wroblewski, V.J. Balancing charge in the complementarity-determining regions of humanized mAbs without affecting pl reduces non-specific binding and improves the pharmacokinetics. MAbs 2015, 7, 483–493. [Google Scholar] [CrossRef] [PubMed]
- Aubrey, N.; Billiald, P. Antibody fragments humanization: Beginning with the end in mind. Methods Mol. Biol. 2019, 1904, 231–252. [Google Scholar] [CrossRef] [PubMed]
- Visintin, M.; Quondam, M.; Cattaneo, A. The intracellular antibody capture technology: Towards the high-throughput selection of functional intracellular antibodies for target validation. Methods 2004, 34, 200–214. [Google Scholar] [CrossRef] [PubMed]
- Verachi, F.; Percario, Z.; Di Bonito, P.; Affabris, E.; Amici, C.; Accardi, L. Purification and characterization of antibodies in single-chain format against the E6 oncoprotein of human papillomavirus type 16. BioMed Res. Int. 2018, 20, 6583852. [Google Scholar] [CrossRef]
- Di Bonito, P.; Grasso, F.; Mochi, S.; Accardi, L.; Donà, M.G.; Branca, M.; Costa, S.; Mariani, L.; Agarossi, A.; Ciotti, M.; et al. Serum antibody response to Human papillomavirus (HPV) infections detected by a novel ELISA technique based on denatured recombinant HPV16 L1, L2, E4, E6 and E7 proteins. Infect. Agents Cancer 2006, 1. [Google Scholar] [CrossRef]



| scFv | CDR1-IMGT (27–38) | CDR2-IMGT (56–65) | CDR3–IMGT (105–117) | CDR1-IMGT (27–38) | CDR2-IMGT (56–65) | CDR3–IMGT (105–117) |
|---|---|---|---|---|---|---|
| anti-16E7 | VH (aa) | VL (aa) | ||||
| scFv9 | GFTF…SSYA | ISGS..GGST | ARGVGAFRPYRKHE | SLR……SYY | GK…….N | NSSPFE..HNLVV |
| scFv32 | GFTF….SSYA | ISGS..GGST | AKQLHK…TLFDY | SLR……SYY | GK…….N | NSSPNK..ANPVV |
| scFv43M2 | GFTF….SSYA | ISGS..GGST | AKVRR….RFDY | QSVS…..SSY | GA…….S | QQRHG….NPAT |
| scFv51 | GFTF….SSYA | ISGS..GGST | AKHLK….GFDY | SLR……SYY | GK…….N | NSSLQH..PPRVV |
| anti-16E6 | VL (aa) | VH (aa) | ||||
| scFvI7 | QDV……GTA | WA…….S | QQYSS….YPYT | GYTF….TSHW | INPS..NGRT | ARYDG….YFDY |
| Anti-16E7 ScFvs | VH CDR3 Net Charge | VL CDR3 Net Charge | Total CDR Net Charge |
| scFv9 | +3.1 (+3.0) | −0.9 (−1.0) | +4.2 (+4.0) |
| scFv32 | +1.1 (+1.0) | +1.0 (+1.0) | +4.1 (+3.9) |
| scFv43M2 | +3.0 (+3.0) | +1.1 (+1.0) | +4.1 (+4.0) |
| scFv51 | +1.1 (+1.0) | +1.1 (+1.0) | +4.2 (3.9) |
| Anti-16E6 scFvs | VL CDR3 Net Charge | VH CDR3 Net Charge | Total CDR Net Charge |
| scFvI7 | 0.0 (0.0) | −1.0 (−1.0) | −0.9 (−1.0) |
| TAP Metrics | scFv32 | scFv43M2 | scFv51 |
|---|---|---|---|
| CDR length | 47 | 44 | 45 |
| CDR vicinity PSH score | 133.6982 | 119.791 | 134.2631 |
| CDR vicinity PPC score | 0.4761 | 3.1258 | 0.4023 |
| CDR vicinity PNC score | 0.0 | 0.0 | 0.0 |
| sFvCSP score | 2.1 | 12.4 | 2.31 |
© 2020 by the authors. Licensee MDPI, Basel, Switzerland. This article is an open access article distributed under the terms and conditions of the Creative Commons Attribution (CC BY) license (http://creativecommons.org/licenses/by/4.0/).
Share and Cite
Amici, C.; Donà, M.G.; Chirullo, B.; Di Bonito, P.; Accardi, L. Epitope Mapping and Computational Analysis of Anti-HPV16 E6 and E7 Antibodies in Single-Chain Format for Clinical Development as Antitumor Drugs. Cancers 2020, 12, 1803. https://doi.org/10.3390/cancers12071803
Amici C, Donà MG, Chirullo B, Di Bonito P, Accardi L. Epitope Mapping and Computational Analysis of Anti-HPV16 E6 and E7 Antibodies in Single-Chain Format for Clinical Development as Antitumor Drugs. Cancers. 2020; 12(7):1803. https://doi.org/10.3390/cancers12071803
Chicago/Turabian StyleAmici, Carla, Maria Gabriella Donà, Barbara Chirullo, Paola Di Bonito, and Luisa Accardi. 2020. "Epitope Mapping and Computational Analysis of Anti-HPV16 E6 and E7 Antibodies in Single-Chain Format for Clinical Development as Antitumor Drugs" Cancers 12, no. 7: 1803. https://doi.org/10.3390/cancers12071803
APA StyleAmici, C., Donà, M. G., Chirullo, B., Di Bonito, P., & Accardi, L. (2020). Epitope Mapping and Computational Analysis of Anti-HPV16 E6 and E7 Antibodies in Single-Chain Format for Clinical Development as Antitumor Drugs. Cancers, 12(7), 1803. https://doi.org/10.3390/cancers12071803

