Retrospective Multicentric Study on Non-Optic CNS Tumors in Children and Adolescents with Neurofibromatosis Type 1
Abstract
1. Introduction
2. Results
2.1. Study Population
2.2. Tumor Characteristics and Treatment Strategies
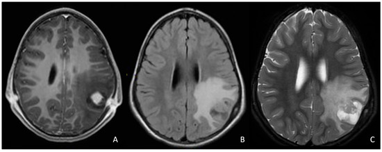
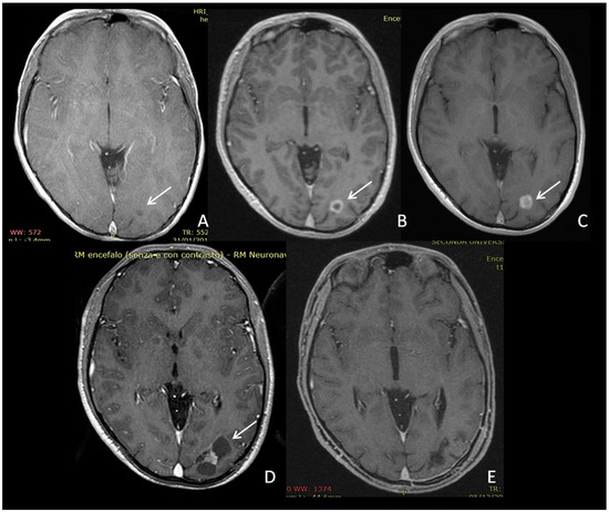
2.3. Gliomas (HGGs and LGGs)
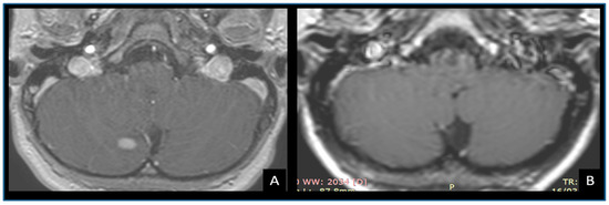
2.4. Schwannoma and MPNST
2.5. Survival Analyses and Predictive Factors
2.6. Genetic Findings
3. Discussion
4. Materials and Methods
4.1. Statistical Analysis
4.2. Genetic Findings
5. Conclusions
Supplementary Materials
Author Contributions
Conflicts of Interest
References
- Rasmussen, S.A.; Friedman, J.M. NF1 gene and neurofibromatosis 1. Am. J. Epidemiol. 2000, 151, 33–40. [Google Scholar] [CrossRef] [PubMed]
- Rad, E.; Tee, A.R. Neurofibromatosis type 1: Fundamental insights into cell signalling and cancer. Semin. Cell. Dev. Biol. 2016, 52, 39–46. [Google Scholar] [CrossRef] [PubMed]
- Ullrich, N.J. Neurocutaneous Syndromes and brain tumors. J. Child. Neurol. 2015, 31, 1399–1411. [Google Scholar] [CrossRef] [PubMed]
- Sellmer, L.; Farschtschi, S.; Marangoni, M.; Heran, M.K.; Birch, P.; Wenzel, R.; Friedman, J.M.; Mautner, V.F. Non-optic glioma in adults and children with neurofibromatosis 1. Orphanet J. Rare Dis. 2017, 12, 1–34. [Google Scholar] [CrossRef] [PubMed]
- Campian, J.; Gutmann, D.H. CNS tumors in neurofibromatosis. J. Clin. Oncol. 2017, 35, 2378–2385. [Google Scholar] [CrossRef] [PubMed]
- Santoro, C.; Perrotta, S.; Picariello, S.; Scilipoti, M.; Cirillo, M.; Quaglietta, L.; Cinalli, G.; Cioffi, D.; Di Iorgi, N.; Maghnie, M.; et al. Pre-treatment endocrine disorders due to optic pathway gliomas in pediatric neurofibromatosis type 1: Multicenter study. Accepted. J. Clin. Endocrin. Metab. 2020, 105, dgaa138. [Google Scholar] [CrossRef]
- Stokland, T.; Liu, J.F.; Ironside, J.W.; Ellison, D.W.; Taylor, R.; Robinson, K.J.; Picton, S.V.; Walker, D.A. A multivariate analysis of factors determining tumor progression in childhood low-grade glioma: A population-based cohort study (CCLG CNS9702). Neuro-Oncol. 2010, 12, 1257–1268. [Google Scholar] [CrossRef]
- Guillamo, J.S.; Creange, A.; Kalifa, C.; Grill, J.; Rodriguez, D.; Doz, F.; Barbarot, S.; Zerah, M.; Sanson, M.; Bastuji-Garin, S.; et al. Prognostic factors of CNS tumors in Neurofibromatosis 1 (NF1): A retrospective study of 104 patients. Brain 2003, 126, 152–160. [Google Scholar] [CrossRef]
- Seminog, O.O.; Goldacre, M.J. Risk of benign tumours of nervous system, and of malignant neoplasms, in people with neurofibromatosis: Population-based record-linkage study. Br. J. Cancer 2013, 108, 193–198. [Google Scholar] [CrossRef]
- Varan, A.; Şen, H.; Aydın, B.; Yalçın, B.; Kutluk, T.; Akyüz, C. Neurofibromatosis type 1 and malignancy in childhood. Clin. Genet. 2016, 89, 341–345. [Google Scholar] [CrossRef]
- Evans, D.G.R.; Salvador, H.; Chang, V.Y.; Erez, A.; Voss, S.D.; Schneider, K.W.; Scott, H.S.; Plon, S.E.; Tabori, U. Cancer and central nervous system tumor surveillance in pediatric neurofibromatosis 1. Clin. Cancer Res. 2017, 23, e46–e53. [Google Scholar] [CrossRef] [PubMed]
- Hochstrasser, H.; Boltshauser, E.; Valavanis, A. Brain tumors in children with von Recklinghausen neurofibromatosis. Neurofibromatosis 1988, 4, 233–239. [Google Scholar]
- Baptiste, M.; Nasca, P.; Metzger, B.; Field, N.; MacCubbin, P.; Greenwald, P.; Armbrustmacher, V.; Waldman, J.; Carlton, K. Neurofibromatosis and other disorders among children with CNS tumors and their families. Neurology 1989, 39, 487–492. [Google Scholar] [CrossRef] [PubMed]
- Friedman, J.M.; Birch, P. An association between optic glioma and other tumours of the central nervous system in neurofibromatosis type 1. Neuropediatrics 1997, 28, 131–132. [Google Scholar] [CrossRef]
- McGaughran, J.M.; Harris, D.I.; Donnai, D.; Teare, D.; MacLeod, R.; Westerbeek, R.; Kingston, H.; Super, M.; Harris, R.; Evans, D.G. A clinical study of type 1 neurofibromatosis in north west England. J. Med. Genet. 1999, 36, 197–203. [Google Scholar]
- Menor, F.; Marti-Bonmati, L.; Arana, E.; Poyatos, C.; Cortina, H. Neurofibromatosis type 1 in children: MR imaging and follow-up studies of central nervous system findings. Eur. J. Radiol. 1998, 26, 121–131. [Google Scholar] [CrossRef]
- Rodriguez, F.J.; Perry, A.; Gutmann, D.H.; O’Neill, B.P.; Leonard, J.; Bryant, S.; Giannini, C. Gliomas in neurofibromatosis type 1: A clinicopathologic study of 100 patients. J. Neuropathol. Exp. Neurol. 2008, 67, 240–249. [Google Scholar] [CrossRef]
- Campen, C.J.; Gutmann, D.H. Optic Pathway Gliomas in Neurofibromatosis Type 1. J. Child Neurol. 2018, 33, 73–81. [Google Scholar] [CrossRef]
- Strowd, R.E., 3rd; Rodriguez, F.J.; McLendon, R.E.; Vredenburgh, J.J.; Chance, A.B.; Jallo, G.; Olivi, A.; Ahn, E.S.; Blakeley, J.O. Histologically benign, clinically aggressive: Progressive non-optic pathway pilocytic astrocytomas in adults with NF1. Am. J. Med. Genet. A. 2016, 170, 1455–1461. [Google Scholar] [CrossRef]
- De Blank, P.M.; Fisher, M.J.; Liu, G.T.; Gutmann, D.H.; Listernick, R.; Ferner, R.E.; Avery, R.A. Optic Pathway Gliomas in Neurofibromatosis Type 1: An Update Surveillance, Treatment Indications, and Biomarkers of Vision. J. Neuro-Ophthalmol. 2017, 37, S23–S32. [Google Scholar] [CrossRef]
- Lobbous, M.; Bernstock, J.D.; Coffee, E.; Friedman, G.K.; Metrock, L.K.; Chagoya, G.; Elsayed, G.; Nakano, I.; Hackney, J.R.; Korf, B.R.; et al. An Update on Neurofibromatosis Type 1-Associated Gliomas. Cancers 2020, 12, 114. [Google Scholar] [CrossRef] [PubMed]
- Santoro, C.; Bernardo, P.; Coppola, A.; Pugliese, U.; Cirillo, M.; Giugliano, T.; Piluso, G.; Cinalli, G.; Striano, S.; Bravaccio, C.; et al. Seizures in children with neurofibromatosis type 1: Is neurofibromatosis type 1 enough? Ital. J. Pediatr. 2018, 44, 41. [Google Scholar] [CrossRef] [PubMed]
- Roth, J.; Ber, R.; Wisoff, J.H.; Hidalgo, E.T.; Limbrick, D.D.; Berger, D.S.; Thomale, U.W.; Schulz, M.; Cinalli, G.; Santoro, C.; et al. Endoscopic Third Ventriculostomy in Patients with Neurofibromatosis Type 1: A Multicenter International Experience. World Neurosurg. 2017, 107, 623–629. [Google Scholar] [CrossRef] [PubMed]
- Santoro, C.; Di Rocco, F.; Kossorotoff, M.; Zerah, M.; Boddaert, N.; Calmon, R.; Vidaud, D.; Cirillo, M.; Cinalli, G.; Mirone, G.; et al. Moyamoya syndrome in children with neurofibromatosis type 1: Italian–French experience. Am. J. Med. Genet. A 2017, 173, 1521–1530. [Google Scholar] [CrossRef] [PubMed]
- Gnekow, A.K.; Kandels, D.; van Tilburg, C.; Azizi, A.A.; Opocher, E.; Stokland, T.; Driever, P.H.; Schouten-van Meeteren, A.Y.N.; Thomale, U.W.; Schuhmann, M.U.; et al. SIOP-E-BTG and GPOH Guidelines for Diagnosis and Treatment of Children and Adolescents with Low Grade Glioma. Klinische Pädiatrie 2019, 231, 107–135. [Google Scholar]
- Vinchon, M.; Soto-Ares, G.; Ruchoux, M.M.; Dhellemmes, P. Cerebellar gliomas in children with NF1: Pathology and surgery. Child’s Nerv. Syst. 2000, 16, 417–420. [Google Scholar] [CrossRef]
- Pollack, I.F.; Shultz, B.; Mulvihill, J.J. The management of brainstem gliomas in patients with neurofibromatosis 1. Neurology 1996, 46, 1652–1660. [Google Scholar] [CrossRef]
- Helfferich, J.; Nijmeijer, R.; Brouwer, O.F.; Boon, M.; Fock, A.; Hoving, E.W.; Meijer, L.; den Dunnen, W.F.A.; de Bont, E.S.J.M. Neurofibromatosis type 1 associated low grade gliomas: A comparison with sporadic low grade gliomas. Crit. Rev. Oncol. Hemat. 2016, 104, 30–41. [Google Scholar] [CrossRef]
- Pascual-Castroviejo, I.; Pascual-Pascual, S.I.; Viaño, J.; Carceller, F.; Gutierrez-Molina, M.; Morales, C.; Frutos-Martinez, R. Posterior fossa tumors in children with neurofibromatosis type 1 (NF1). Child’s Nerv. Syst. 2010, 26, 1599–1603. [Google Scholar] [CrossRef]
- Listernick, R.; Charrow, J.; Gutmann, D.H. Intracranial gliomas in neurofibromatosis type 1. Am. J. Med. Genet. 1999, 89, 38–44. [Google Scholar] [CrossRef]
- Bilaniuk, L.T.; Molloy, P.T.; Zimmerman, R.A.; Phillips, P.C.; Vaughan, S.N.; Liu, G.T.; Sutton, L.N.; Needle, M. Neurofibromatosis type 1: Brainstem tumours. Neuroradiology 1997, 39, 642–653. [Google Scholar] [CrossRef] [PubMed]
- Byrne, S.; Connor, S.; Lascelles, K.; Siddiqui, A.; Hargrave, D.; Ferner, R.E. Clinical presentation and prognostic indicators in 100 adults and children with neurofibromatosis 1 associated non-optic pathway brain gliomas. J. Neurooncol. 2017, 133, 609–614. [Google Scholar] [CrossRef] [PubMed]
- Krishnatry, R.; Zhukova, N.; Guerreiro Stucklin, A.S.; Pole, J.D.; Mistry, M.; Fried, I.; Ramaswamy, V.; Bartels, U.; Huang, A.; Laperriere, M.; et al. Clinical and treatment factors determining long-term outcomes for adult survivors of childhood low-grade glioma: A population based study. Cancer 2016, 122, 1261–1269. [Google Scholar] [CrossRef] [PubMed]
- Driever, P.H.; von Hornstein, S.; Pietsch, T.; Kortmann, R.; Warmuth-Metz, M.; Emser, A.; Gnekow, A.K. Natural history and management of low-grade glioma in NF-1 children. J. Neuro-Oncol. 2010, 100, 199–207. [Google Scholar] [CrossRef] [PubMed]
- Dunn, I.F.; Agarwalla, P.K.; Papanastassiou, A.M.; Butler, W.E.; Smith, E.R. Multiple pilocytic astrocytomas of the cerebellum in a 17-year-old patient with neurofibromatosis type I. Child’s Nerv. Syst. 2007, 23, 1191–1194. [Google Scholar] [CrossRef]
- Baig, M.A.; Klein, J.P.; Mechtler, L.L. Imaging of brain tumors. Continuum (Minneap Minn) 2016, 22, 1529–1552. [Google Scholar] [CrossRef]
- D’Arco, F.; Culleton, S.; De Cocker, L.J.; Mankad, K.; Davila, J.; Tamrazi, B. Current concepts in radiologic assessment of pediatric brain tumors during treatment, part 1. Pediatr. Radiol. 2018, 48, 1833–1843. [Google Scholar] [CrossRef]
- Forst, D.A.; Nahed, B.V.; Loeffler, J.S.; Batchelor, T.T. Low-grade gliomas. Oncologist 2014, 19, 403. [Google Scholar] [CrossRef]
- Griffith, J.L.; Morris, S.M.; Mahdi, J.; Goyal, M.S.; Hershey, T.; Gutmann, D.H. Increased prevalence of brain tumors classified as T2 hyperintensities in neurofibromatosis 1. Neurol. Clin. Pract. 2018, 8, 283–291. [Google Scholar] [CrossRef]
- D’Amico, A.; Mazio, F.; Ugga, L.; Cuocolo, R.; Cirillo, M.; Santoro, C.; Perrotta, S.; Melis, D.; Brunetti, A. Medullary unidentified bright objects in Neurofibromatosis type 1: A case series. BMC Pediatr. 2018, 18, 91. [Google Scholar] [CrossRef]
- Griffiths, P.D.; Blaser, S.; Mukonoweshuro, W.; Armstrong, D.; Milo-Mason, G.; Cheung, S. Neurofibromatosis bright objects in children with neurofibromatosis type 1: A proliferative potential? Pediatrics 1999, 104, e49. [Google Scholar] [CrossRef] [PubMed]
- Packer, R.J.; Iavarone, A.; Jones, D.T.; Blakeley, J.O.; Bouffet, E.; Fisher, M.J.; Hwang, E.; Hawkins, C.; Kilburn, L.; MacDonald, T.; et al. Implications of New Understandings of Gliomas in Children and Adults with NF1: Report of a Consensus Conference. Neuro-Oncol. 2020, 20, 1–12. [Google Scholar] [CrossRef] [PubMed]
- Patel, B.; Kim, A.H. Laser Interstitial Thermal Therapy. Mo. Med. 2020, 117, 50. [Google Scholar] [PubMed]
- Salem, U.; Kumar, V.A.; Madewell, J.E.; Schomer, D.F.; de Almeida Bastos, D.C.; Zinn, P.O.; Weinberg, J.S.; Rao, G.; Prabhu, S.S.; Colen, R.R. Neurosurgical applications of MRI guided laser interstitialthermaltherapy (LITT). Cancer Imaging 2019, 19, 65. [Google Scholar] [CrossRef] [PubMed]
- Tovar-Spinoza, Z.; Choi, H. Magnetic resonance–guided laser interstitial thermal therapy: Report of a series of pediatric brain tumors. J. Neurosurg. Pediatr. 2016, 17, 723–733. [Google Scholar] [CrossRef] [PubMed]
- Xu, D.S.; Rosenfeld, A.; Ponce, F.A.; Nakaji, P.; Bhardwaj, R.D. Cerebral Peduncle Tumor Ablated by Novel 3-mm Laser Tip. Stereotact. Funct. Neurosurg. 2015, 93, 38–41. [Google Scholar] [CrossRef] [PubMed]
- Cakirer, S.; Karaarslan, E. Spontaneous involution of a non-optic astrocytoma in neurofibromatosis type I: Serial magnetic resonance imaging evaluation. Acta Radiol. 2004, 45, 669–673. [Google Scholar] [CrossRef]
- Leisti, E.L.; Pyhtinen, J.; Poyhonen, M. Spontaneous decrease of a pilocytic astrocytoma in neurofibromatosis type 1. Am. J. Neuroradiol. 1996, 17, 1691–1694. [Google Scholar]
- Gallucci, M.; Catalucci, A.; Scheithauer, B.W.; Forbes, G.S. Spontaneous involution of pilocytic astrocytoma in a patient without neurofibromatosis type 1: Case report. Radiology 2000, 214, 223–226. [Google Scholar] [CrossRef]
- Gottschalk, S.; Tavakolian, R.; Buske, A.; Tinschert, S.; Lehmann, R. Spontaneous remission of chiasmatic/hypothalamic masses in neurofibromatosis type 1: Report of two cases. Neuroradiology 1999, 41, 199–201. [Google Scholar] [CrossRef]
- Schmandt, S.M.; Packer, R.J.; Vezina, L.G.; Jane, J. Spontaneous regression of low-grade astrocytomas in childhood. Pediatr. Neurosurg. 2000, 32, 132–136. [Google Scholar] [CrossRef] [PubMed]
- Rasmussen, S.A.; Yang, Q.; Friedman, J.M. Mortality in neurofibromatosis 1: An analysis using U.S. death certificates. Am. J. Hum. Genet. 2001, 68, 1110–1118. [Google Scholar] [CrossRef] [PubMed]
- Eoli, M.; Saletti, V.; Finocchiaro, G. Neurological malignancies in neurofibromatosis type 1. Curr. Opin. Oncol. 2019, 31, 554–561. [Google Scholar] [CrossRef] [PubMed]
- Spyris, C.D.; Castellino, R.C.; Schniederjan, M.J.; Kadom, N. High-grade gliomas in children with neurofibromatosis type 1: Literature review and illustrative cases. Am. J. Neuroradiol. 2019, 40, 366–369. [Google Scholar] [CrossRef] [PubMed]
- Sharif, S.; Ferner, R.; Birch, J.M.; Gillespie, J.E.; Gattamaneni, H.R.; Baser, M.E.; Evans, D.G. Second primary tumors in neurofibromatosis 1 patients treated for optic glioma: Substantial risks after radiotherapy. J. Clin. Oncol. 2006, 24, 2570–2575. [Google Scholar] [CrossRef]
- Bataini, J.P.; Delanian, S.; Ponvert, D. Chiasmal gliomas: Results of irradiation management in 57 patients and review of literature. Int. J. Radiat. Oncol. Biol. Phys. 1991, 21, 615–623. [Google Scholar] [CrossRef]
- Jenkin, D.; Angyalfi, S.; Becker, L.; Berry, M.; Buncic, R.; Chan, H.; Drake, J.; Greenberg, M.; Hendrick, B.; Hoffman, H.; et al. Optic glioma in children: Surveillance, resection, or irradiation? Int. J. Radiat. Oncol. Biol. Phys. 1993, 25, 215–225. [Google Scholar] [CrossRef]
- Grill, J.; Couanet, D.; Cappelli, C.; Habrand, J.L.; Rodriguez, D.; Sainte-Rose, C.; Kalifa, C. Radiation-induced cerebral vasculopathy in children with neurofibromatosis and optic pathway glioma. Ann. Neurol. 1999, 45, 393–396. [Google Scholar] [CrossRef]
- Tao, M.L.; Barnes, P.D.; Billett, A.L.; Leong, T.; Shrieve, D.C.; Scott, R.M.; Tarbell, N.J. Childhood optic chiasm gliomas: Radiographic response following radiotherapy and long-term clinical outcome. Int. J. Radiat. Oncol. Biol. Phys. 1997, 39, 579–587. [Google Scholar] [CrossRef]
- Ullrich, N.J.; Robertson, R.; Kinnamon, D.D.; Scott, R.M.; Kieran, M.W.; Turner, C.D.; Chi, S.N.; Goumnerova, L.; Proctor, M.; Tarbell, N.J.; et al. Moyamoya following cranial irradiation for primary brain tumors in children. Neurology 2007, 68, 932–938. [Google Scholar] [CrossRef]
- Ellis, M.J.; Cheshier, S.; Sharma, S.; Armstrong, D.; Hawkins, C.; Bouffet, E.; Rutka, J.T.; Taylor, M.D. Intracerebral malignant peripheral nerve sheath tumor in a child with neurofibromatosis type 1 and middle cerebral artery aneurysm treated with endovascular coil embolization: Case report. J. Neurosurg. Pediatr. 2011, 8, 346–352. [Google Scholar] [CrossRef] [PubMed]
- Oztanir, N.; Emmez, H.; Aytar, M.H.; Dogan, M.; Kaymaz, M.; Baykaner, M.K. Malignant intracerebral giant nerve sheath tumor in a 14-month-old girl with neurofibromatosis type 1: A case report. Child’s Nerv. Syst. 2009, 25, 253–256. [Google Scholar] [CrossRef] [PubMed]
- Casadei, G.P.; Komori, T.; Scheithauer, B.W.; Miller, G.M.; Parisi, J.E.; Kelly, P.J. Intracranial parenchymal schwannoma: A clinicopathological and neuroimaging study of nine cases. J. Neurosurg. 1993, 79, 217–222. [Google Scholar] [CrossRef] [PubMed]
- Beauchesne, P.; Mosnier, J.F.; Schmitt, T.; Brunon, J. Malignant nerve sheath tumor of the right cerebral peduncle: Case report. Neurosurgery 2004, 54, 500–504. [Google Scholar] [CrossRef] [PubMed]
- Gao, Y.; Qin, Z.; Li, D.; Yu, W.; Sun, L.; Liu, N.; Zhao, C.; Hu, Y.; Sun, D.; Jin, X. Intracerebral schwannoma: A case report and literature review. Oncol. Lett. 2018, 16, 2501–2510. [Google Scholar] [CrossRef]
- Patankar, A.P.; Sheth, J.H. Intracranial malignant nerve sheath tumor in the middle cranial fossa: A rare case report with review of literature. Asian J Neurosurg. 2019, 14, 922. [Google Scholar] [CrossRef]
- Wong, S.T.; Moes, G.; Ernest, K.; Zovickian, J.; Kim, J.Y.; Pang, D. Innervation of the brain, intracerebral Schwann cells and intracerebral and intraventricular schwannomas. Child’s Nerv. Syst. 2014, 30, 815–824. [Google Scholar] [CrossRef]
- Giugliano, T.; Santoro, C.; Torella, A.; Del Vecchio Blanco, F.; Grandone, A.; Onore, M.E.; Melone, M.A.; Straccia, G.; Melis, D.; Piccolo, V.; et al. Clinical and Genetic Findings in Children with Neurofibromatosis Type 1, Legius Syndrome, and Other Related Neurocutaneous Disorders. Genes 2019, 10, 580. [Google Scholar] [CrossRef]
- Upadhyaya, M.; Huson, S.M.; Davies, M.; Thomas, N.; Chuzhanova, N.; Giovannini, S.; Evans, D.G.; Howard, E.; Kerr, B.; Griffiths, S.; et al. An absence of cutaneous neurofibromas associated with a 3-bp inframe deletion in exon 17 of the NF1 gene (c.2970-2972 delAAT): Evidence of a clinically significant NF1 genotype-phenotype correlation. Am. J. Hum. Genet. 2007, 80, 140–151. [Google Scholar] [CrossRef]
- Koczkowska, M.; Callens, T.; Chen, Y.; Gomes, A.; Hicks, A.D.; Sharp, A.; Johns, E.; Uhas, K.A.; Armstrong, L.; Bosanko, K.A.; et al. Clinical spectrum of individuals with pathogenic NF1 missense variants affecting p.Met1149, p.Arg1276, and p.Lys1423: Genotype–phenotype study in neurofibromatosis type 1. Hum. Mutat. 2020, 41, 299–315. [Google Scholar] [CrossRef]
- Santoro, C.; Maietta, A.; Giugliano, T.; Melis, D.; Perrotta, S.; Nigro, V.; Piluso, G. Arg (1809) substitution in neurofibromin: Further evidence of a genotype-phenotype correlation in neurofibromatosis type 1. Eur. J. Hum. Genet. 2015, 23, 1460–1461. [Google Scholar] [CrossRef]
- Anastasaki, C.; Woo, A.S.; Messiaen, L.M.; Gutmann, D.H. Elucidating the impact of neurofibromatosis-1 germline mutations on neurofibromin function and dopamine-based learning. Hum. Mol. Genet. 2015, 24, 3518–3528. [Google Scholar] [CrossRef]
- Assunto, A.; Ferrara, U.; De Luca, A.; Pivonello, C.; Lombardo, L.; Piscitelli, A.; Tortora, C.; Pinna, V.; Daniele, P.; Pivonello, R.; et al. Isoform-specific NF1 mRNA levels correlate with disease severity in Neurofibromatosis type 1. Orphanet J. Rare Dis. 2019, 14, 261. [Google Scholar] [CrossRef]
- Johnson, K.J.; Fisher, M.J.; Listernick, R.L.; North, K.N.; Schorry, E.K.; Viskochil, D.; Weinstein, M.; Rubin, J.B.; Gutmann, D.H. Parent-of-origin in individuals with familial neurofibromatosis type 1 and optic pathway gliomas. Fam. Cancer 2012, 11, 653–656. [Google Scholar] [CrossRef]
- Hutter, S.; Piro, R.M.; Waszak, S.M.; Kehrer-Sawatzki, H.; Friedrich, R.E.; Lassaletta, A.; Witt, O.; Korbel, J.O.; Lichter, P.; Schuhmann, M.U.; et al. No correlation between NF1 mutation position and risk of optic pathway glioma in 77 unrelated NF1 patients. Hum. Genet. 2016, 135, 469–475. [Google Scholar] [CrossRef]
- Melloni, G.; Eoli, M.; Cesaretti, C.; Bianchessi, D.; Ibba, M.C.; Esposito, S.; Scuvera, G.; Morcaldi, G.; Micheli, R.; Piozzi, E.; et al. Risk of Optic Pathway Glioma in Neurofibromatosis Type 1: No Evidence of Genotype–Phenotype Correlations in a Large Independent Cohort. Cancers 2019, 11, 1838. [Google Scholar] [CrossRef]
- Monroe, C.L.; Dahiya, S.; Gutmann, D.H. Dissecting Clinical Heterogeneity in Neurofibromatosis Type 1. Annu. Rev. Pathol. Mech. Dis. 2017, 12, 53–74. [Google Scholar] [CrossRef]
- Santoro, C.; Giugliano, T.; Kraemer, M.; Torella, A.; Schwitalla, J.C.; Cirillo, M.; Melis, D.; Berlit, P.; Nigro, V.; Perrotta, S.; et al. Whole exome sequencing identifies MRVI1 as a susceptibility gene for moyamoya syndrome in neurofibromatosis type 1. PLoS ONE 2018, 13, e0200446. [Google Scholar] [CrossRef]
- Fangusaro, J.; Onar-Thomas, A.; Poussaint, T.Y.; Wu, S.; Ligon, A.H.; Lindeman, N.; Banerjee, A.; Packer, R.J.; Kilburn, L.B.; Goldman, S.; et al. Selumetinib in paediatric patients with BRAF-aberrant or neurofibromatosis type 1-associated recurrent, refractory, or progressive low-grade glioma: A multicentre, phase 2 trial. Lancet Oncol. 2019, 20, 1011–1022. [Google Scholar] [CrossRef]
- Stumpf, D.A. Neurofibromatosis. Conference statement. National Institutes of Health Consensus Development Conference. Arch. Neurol. 1988, 45, 575–578. [Google Scholar]
- Louis, D.N.; Perry, A.; Reifenberger, G.; von Deimling, A.; Figarella-Branger, D.; Cavenee, W.K.; Ohgaki, H.; Wiestler, O.D.; Kleihues, P.; Ellison, D.W. The 2016 World Health Organization Classification of Tumors of the Central Nervous System: A summary. Acta Neuropathol. 2016, 131, 803–820. [Google Scholar] [CrossRef] [PubMed]
- Balogun, J.A.; Rutka, J.T. Surgery of Intracranial Gliomas in Children. In Intracranial Gliomas Part I-Surgery; Chernov, M.F., Muragaki, Y., Kesari, S., McCutcheon, I.E., Eds.; Karger Publishers: Basel, Switzerland, 2018; Volume 30, pp. 204–217. [Google Scholar]
- Yang, K.; Nath, S.; Koziarz, A.; Badhiwala, J.H.; Ghayur, H.; Sourour, M.; Catana, D.; Nassiri, F.; Alotaibi, M.B.; Kameda-Smith, M.; et al. Biopsy versus subtotal versus gross total resection in patients with low-grade glioma: A systematic review and meta-analysis. World Neurosurg. 2018, 120, e762–e775. [Google Scholar] [CrossRef] [PubMed]
- Kaplan, E.L.; Meier, P. Nonparametric estimation from incomplete observations. J. Am. Stat. Assoc. 1958, 53, 457–481. [Google Scholar] [CrossRef]






| Demographic and Clinical Characteristics | Study Population 35 Patients |
|---|---|
| Gender (male) | 15 (42.9%) |
| NF1 inheritance | |
| ● Sporadic | 19 (54.3%) |
| ● Maternal | 10 (28.5%) |
| ● Paternal | 4 (11.5%) |
| ● Unknown | 1 (2.8%) |
| Age at diagnosis of NF1 (years) | 2 [0.5–7] (0–15.25) |
| Age at diagnosis of CNS tumor (years) | 10.4 [7.3–14.3] (3.2–18) |
| Follow-up duration (years) | 4.2 [2.1–7.4] (0.01–16.3) |
| Indications for MRI scan | |
| ● Screening | 13 (37.1%) |
| ● Follow-up of OPG | 8 (22.8%) |
| ● Follow-up of moyamoya | 1 (2.9%) |
| ● Intellectual disability | 1 (2.9%) |
| ● Unspecified headache | 3 (8.6%) |
| ● Intracranial hypertension | 4 (11.4%) |
| ● Other neurological signs | 4 (11.4%) |
| ● Endocrine disorders | 1 (2.9%) |
| Tumor histology | |
| ● Low-grade glioma | 15 (42.8%) |
| ● High-grade glioma | 2 (5.7%) |
| ● MPNST | 1 (2.9%) |
| ● Schwannoma | 1 (2.9%) |
| ● Not available | 16 (45.7%) |
| Patients with concomitant OPGs | 18 (51%) |
| Number of non-optic lesions per patient | |
| ● 1 | 27 (77.2%) |
| ● 2 | 4 (11.4%) |
| ● 3 | 2 (5.7%) |
| ● 4 | 2 (5.7%) |
| Deaths | 4 (11.4%) |
| Patient ID | OPG | Number of Lesions | Symptoms at Diagnosis | Lesion Locations | Treatment/Biopsy | Histology |
|---|---|---|---|---|---|---|
| 1 | Yes | 2 | Headache |
|
| Ganglioglioma |
| 2 | Yes | 2 | Hemiparesis |
|
| PA |
| 3 | Yes | 2 | Intracranial hypertension |
|
| - |
| 4 | Yes | 2 | - |
|
| PA |
| 5 | Yes | 3 | - |
|
| PA |
| 6 | No | 3 | - |
|
| PA |
| 7 | Yes | 4 | Ataxia and dysphagia |
|
| PA |
| 8 | Yes | 4 | - |
|
| PA |
| Histology/Location | All Lesions (n = 49) | Wait-and-See (n = 37) | Surgery (n = 5) | CT (n = 6) | Surgery + CT + RT (n = 2) |
|---|---|---|---|---|---|
| HGGs | |||||
| Basal ganglia | 1 | - | - | - | 1 |
| Cerebellum | 1 | - | - | - | 1 |
| MPNST | |||||
| Brainstem | 1 | - | 1 | - | - |
| Schwannoma | |||||
| Parietal | 1 | - | 1 | - | - |
| LGGs | |||||
| Brainstem | 17 | 13 | 1 | 3 | - |
| Cerebellum | 9 | 8 | 1 | - | - |
| Cerebral lobe | 6 | 5 | - | 1 | - |
| Basal ganglia | 2 | 2 | - | - | - |
| Corpus callosum | 3 | 3 | - | - | - |
| Ventricles | 3 | 3 | - | - | - |
| Hypothalamus | 2 | 2 | - | - | - |
| Thalamus | 2 | - | - | 2 | - |
| Fornix | 1 | 1 | - | - | - |
| ID | DNA Change | Protein Change | Effect Type | Inheritance |
|---|---|---|---|---|
| S01 | 492_502del | Cys167Glnfs*10 | Frame-shift | Sporadic |
| S02 | - | - | - | Maternal |
| S03 | 574C>T | Arg192* | Nonsense | Maternal |
| S04 | 1642-?_4772+?del | Ala548Valfs*9 | Intragenic deletion (exons 15–36) | Sporadic |
| S05 | 2851G>T | Leu952Cysfs*22 | Splicing | Sporadic |
| S06 | 5839C>T | Arg1947* | Nonsense | Maternal |
| S07 | - | - | - | Paternal |
| S08 | 1260+1604A>G | Ser421Leufs*4 | Intronic cryptic splice site | Sporadic |
| S09 | - | - | - | Sporadic |
| S10 | - | - | - | Sporadic |
| S11 | - | - | - | Paternal |
| S12 | 1863del | Cys622Valfs*9 | Frame-shift | Paternal |
| S13 | 1466A>G | Tyr489* | Cryptic splice site | Sporadic |
| S14 | - | - | - | Sporadic |
| S15 | - | - | - | Sporadic |
| S16 | 5592_5596del | Asn1864Lysfs*26 | Truncating | Maternal |
| S17 | 4840_4854del | Tyr1614_Tyr1618del | In-frame deletion | Sporadic |
| S18 | 5264C>G | Ser1755* | Nonsense | Maternal |
| S19 | - | - | - | Sporadic |
| F01 | analyzed | mutation not found RT PCR and mlpa | Sporadic | |
| F02 | - | - | - | Maternal |
| F03 | 1863del | Cys622Valfs*9 | Frame-shift | |
| F04 | 5928G>A | Trp1976* | Nonsense | Sporadic |
| F05 | - | - | - | Maternal |
| F06 | 2446C>T | Arg816* | Nonsense | Sporadic |
| F07 | 7778del | Lys2593Argfs*10 | Frame-shift | Sporadic |
| P01 | 2041C>T | Arg681* | Nonsense | Paternal |
| P02 | - | - | - | Sporadic |
| P03 | - | - | - | Sporadic |
| I01 | 4246dup | Arg1416Lysfs*30 | Frame-shift | Sporadic |
| I02 | 3415_3416del | Ala1139Ilefs*55 | Frame-shift | Maternal |
| I03 | - | - | - | Maternal |
| I04 | - | - | - | Sporadic |
| I05 | - | - | - | n.a. |
| I06 | - | - | - | Maternal |
© 2020 by the authors. Licensee MDPI, Basel, Switzerland. This article is an open access article distributed under the terms and conditions of the Creative Commons Attribution (CC BY) license (http://creativecommons.org/licenses/by/4.0/).
Share and Cite
Santoro, C.; Picariello, S.; Palladino, F.; Spennato, P.; Melis, D.; Roth, J.; Cirillo, M.; Quaglietta, L.; D’Amico, A.; Gaudino, G.; et al. Retrospective Multicentric Study on Non-Optic CNS Tumors in Children and Adolescents with Neurofibromatosis Type 1. Cancers 2020, 12, 1426. https://doi.org/10.3390/cancers12061426
Santoro C, Picariello S, Palladino F, Spennato P, Melis D, Roth J, Cirillo M, Quaglietta L, D’Amico A, Gaudino G, et al. Retrospective Multicentric Study on Non-Optic CNS Tumors in Children and Adolescents with Neurofibromatosis Type 1. Cancers. 2020; 12(6):1426. https://doi.org/10.3390/cancers12061426
Chicago/Turabian StyleSantoro, Claudia, Stefania Picariello, Federica Palladino, Pietro Spennato, Daniela Melis, Jonathan Roth, Mario Cirillo, Lucia Quaglietta, Alessandra D’Amico, Giuseppina Gaudino, and et al. 2020. "Retrospective Multicentric Study on Non-Optic CNS Tumors in Children and Adolescents with Neurofibromatosis Type 1" Cancers 12, no. 6: 1426. https://doi.org/10.3390/cancers12061426
APA StyleSantoro, C., Picariello, S., Palladino, F., Spennato, P., Melis, D., Roth, J., Cirillo, M., Quaglietta, L., D’Amico, A., Gaudino, G., Meucci, M. C., Ferrara, U., Constantini, S., Perrotta, S., & Cinalli, G. (2020). Retrospective Multicentric Study on Non-Optic CNS Tumors in Children and Adolescents with Neurofibromatosis Type 1. Cancers, 12(6), 1426. https://doi.org/10.3390/cancers12061426

