Is Laparoscopic Pancreaticoduodenectomy Feasible for Pancreatic Ductal Adenocarcinoma?
Abstract
Simple Summary
Abstract
1. Introduction
2. Rationale of Minimally Invasive Pancreaticoduodenectomy for Pancreatic Cancer
2.1. Technical Feasibility
2.1.1. Surgical Extent
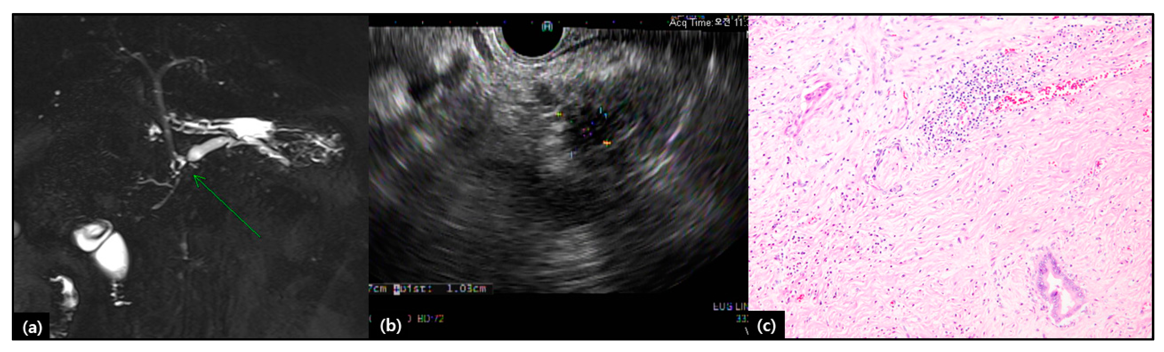
2.1.2. Retroperitoneal Margin
2.1.3. Combined Vascular Resection
2.1.4. Repeated Pancreatectomy for Pancreatic Cancer in Remnant Pancreas
3. Current Literature
4. Proposal Potential Indications
5. Conclusions
Funding
Conflicts of Interest
References
- Stocken, D.D.; Büchler, M.W.; Dervenis, C.; Bassi, C.; Jeekel, H.; Klinkenbijl, J.H.; Bakkevold, K.E.; Takada, T.; Amano, H.; Neoptolemos, J.P. Meta-analysis of randomised adjuvant therapy trials for pancreatic cancer. Br. J. Cancer 2005, 92, 1372–1381. [Google Scholar] [CrossRef] [PubMed]
- Parmar, A.; Chaves-Porras, J.; Saluja, R.; Perry, K.; Rahmadian, A.P.; Santos, S.D.; Ko, Y.J.; Berry, S.; Doherty, M.; Chan, K.K.W. Adjuvant treatment for resected pancreatic adenocarcinoma: A systematic review and network meta-analysis. Crit. Rev. Oncol. Hematol. 2020, 145, 102817. [Google Scholar] [CrossRef] [PubMed]
- Rahib, L.; Smith, B.D.; Aizenberg, R.; Rosenzweig, A.B.; Fleshman, J.M.; Matrisian, L.M. Projecting Cancer Incidence and Deaths to 2030: The Unexpected Burden of Thyroid, Liver, and Pancreas Cancers in the United States. Cancer Res. 2014, 74, 2913. [Google Scholar] [CrossRef] [PubMed]
- Kang, C.M.; Lee, S.H.; Chung, M.J.; Hwang, H.K.; Lee, W.J. Laparoscopic pancreatic reconstruction technique following laparoscopic pancreaticoduodenectomy. J. Hepatobiliary Pancreat. Sci 2015, 22, 202–210. [Google Scholar] [CrossRef]
- De Rooij, T.; van Hilst, J.; van Santvoort, H.; Boerma, D.; van den Boezem, P.; Daams, F.; van Dam, R.; Dejong, C.; van Duyn, E.; Dijkgraaf, M.; et al. Minimally Invasive Versus Open Distal Pancreatectomy (LEOPARD): A Multicenter Patient-blinded Randomized Controlled Trial. Ann. Surg. 2019, 269, 2–9. [Google Scholar] [CrossRef]
- Zhang, H.; Lan, X.; Peng, B.; Li, B. Is total laparoscopic pancreaticoduodenectomy superior to open procedure? A meta-analysis. World J. Gastroenterol. 2019, 25, 5711–5731. [Google Scholar] [CrossRef]
- Kang, C.M.; Lee, S.H.; Lee, W.J. Minimally invasive radical pancreatectomy for left-sided pancreatic cancer: Current status and future perspectives. World J. Gastroenterol. 2014, 20, 2343–2351. [Google Scholar] [CrossRef]
- Lee, S.H.; Hwang, H.K.; Kang, C.M.; Lee, W.J. The Yonsei criteria as a clinically detectable parameter for excellent prognosis in resected left-sided pancreatic cancer: Outcomes of a propensity score-matched analysis. Surg. Endosc. 2017, 31, 4656–4664. [Google Scholar] [CrossRef]
- Hong, S.S.; Hwang, H.K.; Lee, W.J.; Kang, C.M. Feasibility and Safety of Laparoscopic Radical Distal Pancreatosplenectomy with Adrenalectomy in Advanced Pancreatic Cancer. Ann. Surg. Oncol. 2020. [Google Scholar] [CrossRef]
- Van Hilst, J.; Korrel, M.; de Rooij, T.; Lof, S.; Busch, O.R.; Groot Koerkamp, B.; Kooby, D.A.; van Dieren, S.; Abu Hilal, M.; Besselink, M.G. Oncologic outcomes of minimally invasive versus open distal pancreatectomy for pancreatic ductal adenocarcinoma: A systematic review and meta-analysis. Eur. J. Surg. Oncol. 2019, 45, 719–727. [Google Scholar] [CrossRef]
- Van Hilst, J.; de Rooij, T.; Klompmaker, S.; Rawashdeh, M.; Aleotti, F.; Al-Sarireh, B.; Alseidi, A.; Ateeb, Z.; Balzano, G.; Berrevoet, F.; et al. Minimally Invasive versus Open Distal Pancreatectomy for Ductal Adenocarcinoma (DIPLOMA): A Pan-European Propensity Score Matched Study. Ann. Surg. 2019, 269, 10–17. [Google Scholar] [CrossRef] [PubMed]
- Nickel, F.; Haney, C.M.; Kowalewski, K.F.; Probst, P.; Limen, E.F.; Kalkum, E.; Diener, M.K.; Strobel, O.; Müller-Stich, B.P.; Hackert, T. Laparoscopic Versus Open Pancreaticoduodenectomy: A Systematic Review and Meta-analysis of Randomized Controlled Trials. Ann. Surg. 2020, 271, 54–66. [Google Scholar] [CrossRef] [PubMed]
- Palanivelu, C.; Senthilnathan, P.; Sabnis, S.C.; Babu, N.S.; Srivatsan Gurumurthy, S.; Anand Vijai, N.; Nalankilli, V.P.; Praveen Raj, P.; Parthasarathy, R.; Rajapandian, S. Randomized clinical trial of laparoscopic versus open pancreatoduodenectomy for periampullary tumours. Br. J. Surg. 2017, 104, 1443–1450. [Google Scholar] [CrossRef] [PubMed]
- Poves, I.; Burdío, F.; Morató, O.; Iglesias, M.; Radosevic, A.; Ilzarbe, L.; Visa, L.; Grande, L. Comparison of Perioperative Outcomes Between Laparoscopic and Open Approach for Pancreatoduodenectomy: The PADULAP Randomized Controlled Trial. Ann. Surg. 2018, 268, 731–739. [Google Scholar] [CrossRef]
- Van Hilst, J.; de Rooij, T.; Bosscha, K.; Brinkman, D.J.; van Dieren, S.; Dijkgraaf, M.G.; Gerhards, M.F.; de Hingh, I.H.; Karsten, T.M.; Lips, D.J.; et al. Laparoscopic versus open pancreatoduodenectomy for pancreatic or periampullary tumours (LEOPARD-2): A multicentre, patient-blinded, randomised controlled phase 2/3 trial. Lancet Gastroenterol. Hepatol. 2019, 4, 199–207. [Google Scholar] [CrossRef]
- Song, K.B.; Kim, S.C.; Lee, W.; Hwang, D.W.; Lee, J.H.; Kwon, J.; Park, Y.; Lee, S.J.; Park, G. Laparoscopic pancreaticoduodenectomy for periampullary tumors: Lessons learned from 500 consecutive patients in a single center. Surg Endosc. 2020, 34, 1343–1352. [Google Scholar] [CrossRef]
- Choi, M.; Hwang, H.K.; Lee, W.J.; Kang, C.M. Total laparoscopic pancreaticoduodenectomy in patients with periampullary tumors: A learning curve analysis. Surg. Endosc. 2020. [Google Scholar] [CrossRef]
- Wang, M.; Peng, B.; Liu, J.; Yin, X.; Tan, Z.; Liu, R.; Hong, D.; Zhao, W.; Wu, H.; Chen, R.; et al. Practice Patterns and Perioperative Outcomes of Laparoscopic Pancreaticoduodenectomy in China: A Retrospective Multicenter Analysis of 1029 Patients. Ann. Surg. 2019. [Google Scholar] [CrossRef]
- Croome, K.P.; Farnell, M.B.; Que, F.G.; Reid-Lombardo, K.M.; Truty, M.J.; Nagorney, D.M.; Kendrick, M.L. Pancreaticoduodenectomy with major vascular resection: A comparison of laparoscopic versus open approaches. J. Gastrointest. Surg. 2015, 19, 189–194. [Google Scholar] [CrossRef]
- Kuesters, S.; Chikhladze, S.; Makowiec, F.; Sick, O.; Fichtner-Feigl, S.; Hopt, U.T.; Wittel, U.A. Oncological outcome of laparoscopically assisted pancreatoduodenectomy for ductal adenocarcinoma in a retrospective cohort study. Int. J. Surg. 2018, 55, 162–166. [Google Scholar] [CrossRef]
- Choi, M.; Hwang, H.K.; Rho, S.Y.; Lee, W.J.; Kang, C.M. Comparing laparoscopic and open pancreaticoduodenectomy in patients with pancreatic head cancer: Oncologic outcomes and inflammatory scores. J. Hepato-Biliary Pancreat. Sci. 2020, 27, 124–131. [Google Scholar] [CrossRef] [PubMed]
- National Comprehensive Cancer, N. NCCN Clinical Practice Guidelines in Oncology (NCCN Guidelines®). Pancreatic Adenocarcinoma. Version 1. 2020. Available online: https://www.nccn.org/professionals/physician_gls/pdf/pancreatic.pdf (accessed on 12 June 2020).
- Gumbs, A.A.; Rodriguez Rivera, A.M.; Milone, L.; Hoffman, J.P. Laparoscopic pancreatoduodenectomy: A review of 285 published cases. Ann. Surg. Oncol. 2011, 18, 1335–1341. [Google Scholar] [CrossRef] [PubMed]
- Venkat, R.; Edil, B.H.; Schulick, R.D.; Lidor, A.O.; Makary, M.A.; Wolfgang, C.L. Laparoscopic distal pancreatectomy is associated with significantly less overall morbidity compared to the open technique: A systematic review and meta-analysis. Ann. Surg. 2012, 255, 1048–1059. [Google Scholar] [CrossRef] [PubMed]
- Morales-Oyarvide, V.; Rubinson, D.A.; Dunne, R.F.; Kozak, M.M.; Bui, J.L.; Yuan, C.; Qian, Z.R.; Babic, A.; Da Silva, A.; Nowak, J.A.; et al. Lymph node metastases in resected pancreatic ductal adenocarcinoma: Predictors of disease recurrence and survival. Br. J. Cancer 2017, 117, 1874–1882. [Google Scholar] [CrossRef]
- Takao, S.; Shinchi, H.; Maemura, K.; Kurahara, H.; Natsugoe, S.; Aikou, T. Survival benefit of pancreaticoduodenectomy in a Japanese fashion for a limited group of patients with pancreatic head cancer. Hepato-Gastroenterology 2008, 55, 1789–1795. [Google Scholar]
- Iacono, C.; Accordini, S.; Bortolasi, L.; Facci, E.; Zamboni, G.; Montresor, E.; Marinello, P.D.; Serio, G. Results of pancreaticoduodenectomy for pancreatic cancer: Extended versus standard procedure. World J. Surg. 2002, 26, 1309–1314. [Google Scholar] [CrossRef]
- Yang, Y.M.; Wan, Y.L.; Tian, X.D.; Zhuang, Y.; Huang, Y.T. Outcome of pancreaticoduodenectomy with extended retroperitoneal lymphadenectomy for adenocarcinoma of the head of the pancreas. Chin. Med. J. 2005, 118, 1863–1869. [Google Scholar]
- Orci, L.A.; Meyer, J.; Combescure, C.; Bühler, L.; Berney, T.; Morel, P.; Toso, C. A meta-analysis of extended versus standard lymphadenectomy in patients undergoing pancreatoduodenectomy for pancreatic adenocarcinoma. HPB 2015, 17, 565–572. [Google Scholar] [CrossRef]
- Pedrazzoli, S.; DiCarlo, V.; Dionigi, R.; Mosca, F.; Pederzoli, P.; Pasquali, C.; Klöppel, G.; Dhaene, K.; Michelassi, F. Standard versus extended lymphadenectomy associated with pancreatoduodenectomy in the surgical treatment of adenocarcinoma of the head of the pancreas: A multicenter, prospective, randomized study. Lymphadenectomy Study Group. Ann. Surg. 1998, 228, 508–517. [Google Scholar] [CrossRef]
- Yeo, C.J.; Cameron, J.L.; Sohn, T.A.; Coleman, J.; Sauter, P.K.; Hruban, R.H.; Pitt, H.A.; Lillemoe, K.D. Pancreaticoduodenectomy with or without extended retroperitoneal lymphadenectomy for periampullary adenocarcinoma: Comparison of morbidity and mortality and short-term outcome. Ann. Surg. 1999, 229, 613–622. [Google Scholar] [CrossRef]
- Farnell, M.B.; Pearson, R.K.; Sarr, M.G.; DiMagno, E.P.; Burgart, L.J.; Dahl, T.R.; Foster, N.; Sargent, D.J. A prospective randomized trial comparing standard pancreatoduodenectomy with pancreatoduodenectomy with extended lymphadenectomy in resectable pancreatic head adenocarcinoma. Surgery 2005, 138, 618–628. [Google Scholar] [CrossRef] [PubMed]
- Nimura, Y.; Nagino, M.; Takao, S.; Takada, T.; Miyazaki, K.; Kawarada, Y.; Miyagawa, S.; Yamaguchi, A.; Ishiyama, S.; Takeda, Y.; et al. Standard versus extended lymphadenectomy in radical pancreatoduodenectomy for ductal adenocarcinoma of the head of the pancreas: Long-term results of a Japanese multicenter randomized controlled trial. J. Hepatobiliary Pancreat. Sci. 2012, 19, 230–241. [Google Scholar] [CrossRef] [PubMed]
- Jang, J.Y.; Kang, M.J.; Heo, J.S.; Choi, S.H.; Choi, D.W.; Park, S.J.; Han, S.S.; Yoon, D.S.; Yu, H.C.; Kang, K.J.; et al. A prospective randomized controlled study comparing outcomes of standard resection and extended resection, including dissection of the nerve plexus and various lymph nodes, in patients with pancreatic head cancer. Ann. Surg. 2014, 259, 656–664. [Google Scholar] [CrossRef] [PubMed]
- Mavros, M.N.; Xu, L.; Maqsood, H.; Gani, F.; Ejaz, A.; Spolverato, G.; Al-Refaie, W.B.; Frank, S.M.; Pawlik, T.M. Perioperative Blood Transfusion and the Prognosis of Pancreatic Cancer Surgery: Systematic Review and Meta-analysis. Ann. Surg. Oncol. 2015, 22, 4382–4391. [Google Scholar] [CrossRef] [PubMed]
- Kang, C.M.; Kim, D.H.; Choi, G.H.; Kim, K.S.; Choi, J.S.; Lee, W.J. Detrimental effect of postoperative complications on oncologic efficacy of R0 pancreatectomy in ductal adenocarcinoma of the pancreas. J. Gastrointest. Surg. 2009, 13, 907–914. [Google Scholar] [CrossRef] [PubMed]
- Kasahara, N.; Noda, H.; Kakizawa, N.; Kato, T.; Watanabe, F.; Ichida, K.; Endo, Y.; Aizawa, H.; Rikiyama, T. A lack of postoperative complications after pancreatectomy contributes to the long-term survival of patients with pancreatic cancer. Pancreatology 2019, 19, 686–694. [Google Scholar] [CrossRef] [PubMed]
- La Torre, M.; Nigri, G.; Petrucciani, N.; Cavallini, M.; Aurello, P.; Cosenza, G.; Balducci, G.; Ziparo, V.; Ramacciato, G. Prognostic assessment of different lymph node staging methods for pancreatic cancer with R0 resection: pN staging, lymph node ratio, log odds of positive lymph nodes. Pancreatology 2014, 14, 289–294. [Google Scholar] [CrossRef]
- Strobel, O.; Hinz, U.; Gluth, A.; Hank, T.; Hackert, T.; Bergmann, F.; Werner, J.; Büchler, M.W. Pancreatic adenocarcinoma: Number of positive nodes allows to distinguish several N categories. Ann. Surg. 2015, 261, 961–969. [Google Scholar] [CrossRef]
- Elshaer, M.; Gravante, G.; Kosmin, M.; Riaz, A.; Al-Bahrani, A. A systematic review of the prognostic value of lymph node ratio, number of positive nodes and total nodes examined in pancreatic ductal adenocarcinoma. Ann. R. Coll. Surg. Engl. 2017, 99, 101–106. [Google Scholar] [CrossRef]
- Rau, B.M.; Moritz, K.; Schuschan, S.; Alsfasser, G.; Prall, F.; Klar, E. R1 resection in pancreatic cancer has significant impact on long-term outcome in standardized pathology modified for routine use. Surgery 2012, 152, S103–S111. [Google Scholar] [CrossRef]
- Yi, S.Q.; Miwa, K.; Ohta, T.; Kayahara, M.; Kitagawa, H.; Tanaka, A.; Shimokawa, T.; Akita, K.; Tanaka, S. Innervation of the pancreas from the perspective of perineural invasion of pancreatic cancer. Pancreas 2003, 27, 225–229. [Google Scholar] [CrossRef] [PubMed]
- Jin, G.; Sugiyama, M.; Tuo, H.; Oki, A.; Abe, N.; Mori, T.; Masaki, T.; Fujioka, Y.; Atomi, Y. Distribution of lymphatic vessels in the neural plexuses surrounding the superior mesenteric artery. Pancreas 2006, 32, 62–66. [Google Scholar] [CrossRef] [PubMed]
- Makino, I.; Kitagawa, H.; Ohta, T.; Nakagawara, H.; Tajima, H.; Ohnishi, I.; Takamura, H.; Tani, T.; Kayahara, M. Nerve plexus invasion in pancreatic cancer: Spread patterns on histopathologic and embryological analyses. Pancreas 2008, 37, 358–365. [Google Scholar] [CrossRef] [PubMed]
- Westgaard, A.; Tafjord, S.; Farstad, I.N.; Cvancarova, M.; Eide, T.J.; Mathisen, O.; Clausen, O.P.; Gladhaug, I.P. Resectable adenocarcinomas in the pancreatic head: The retroperitoneal resection margin is an independent prognostic factor. BMC Cancer 2008, 8, 5. [Google Scholar] [CrossRef] [PubMed]
- Lüttges, J.; Vogel, I.; Menke, M.; Henne-Bruns, D.; Kremer, B.; Klöppel, G. The retroperitoneal resection margin and vessel involvement are important factors determining survival after pancreaticoduodenectomy for ductal adenocarcinoma of the head of the pancreas. Virchows Arch. 1998, 433, 237–242. [Google Scholar] [CrossRef]
- Butler, J.R.; Ahmad, S.A.; Katz, M.H.; Cioffi, J.L.; Zyromski, N.J. A systematic review of the role of periadventitial dissection of the superior mesenteric artery in affecting margin status after pancreatoduodenectomy for pancreatic adenocarcinoma. HPB 2016, 18, 305–311. [Google Scholar] [CrossRef]
- Rho, S.Y.; Kim, J.S.; Chong, J.U.; Hwang, H.K.; Yoon, D.S.; Lee, W.J.; Kang, C.M. Indocyanine Green Perfusion Imaging-Guided Laparoscopic Pancreaticoduodenectomy: Potential Application in Retroperitoneal Margin Dissection. J. Gastrointest. Surg. 2018, 22, 1470–1474. [Google Scholar] [CrossRef]
- Nagakawa, Y.; Hosokawa, Y.; Sahara, Y.; Takishita, C.; Hijikata, Y.; Osakabe, H.; Nakajima, T.; Shirota, T.; Katsumata, K.; Nakamura, M.; et al. Approaching the superior mesenteric artery from the right side using the proximal-dorsal jejunal vein preisolation method during laparoscopic pancreaticoduodenectomy. Surg. Endosc. 2018, 32, 4044–4051. [Google Scholar] [CrossRef]
- Morales, E.; Zimmitti, G.; Codignola, C.; Manzoni, A.; Garatti, M.; Sega, V.; Rosso, E. Follow “the superior mesenteric artery”: Laparoscopic approach for total mesopancreas excision during pancreaticoduodenectomy. Surg. Endosc. 2019, 33, 4186–4191. [Google Scholar] [CrossRef]
- Zimmitti, G.; Manzoni, A.; Addeo, P.; Garatti, M.; Zaniboni, A.; Bachellier, P.; Rosso, E. Laparoscopic pancreatoduodenectomy with superior mesenteric artery-first approach and pancreatogastrostomy assisted by mini-laparotomy. Surg. Endosc. 2016, 30, 1670–1671. [Google Scholar] [CrossRef]
- Kuroki, T.; Tajima, Y.; Kitasato, A.; Adachi, T.; Kanematsu, T. Pancreas-hanging maneuver in laparoscopic pancreaticoduodenectomy: A new technique for the safe resection of the pancreas head. Surg. Endosc. 2010, 24, 1781–1783. [Google Scholar] [CrossRef] [PubMed][Green Version]
- Nakagohri, T.; Kinoshita, T.; Konishi, M.; Inoue, K.; Takahashi, S. Survival benefits of portal vein resection for pancreatic cancer. Am. J. Surg. 2003, 186, 149–153. [Google Scholar] [CrossRef]
- Shibata, C.; Kobari, M.; Tsuchiya, T.; Arai, K.; Anzai, R.; Takahashi, M.; Uzuki, M.; Sawai, T.; Yamazaki, T. Pancreatectomy combined with superior mesenteric-portal vein resection for adenocarcinoma in pancreas. World J. Surg. 2001, 25, 1002–1005. [Google Scholar] [CrossRef] [PubMed]
- Fuhrman, G.M.; Leach, S.D.; Staley, C.A.; Cusack, J.C.; Charnsangavej, C.; Cleary, K.R.; El-Naggar, A.K.; Fenoglio, C.J.; Lee, J.E.; Evans, D.B. Rationale for en bloc vein resection in the treatment of pancreatic adenocarcinoma adherent to the superior mesenteric-portal vein confluence. Pancreatic Tumor Study Group. Ann. Surg. 1996, 223, 154–162. [Google Scholar] [CrossRef] [PubMed]
- Leach, S.D.; Lee, J.E.; Charnsangavej, C.; Cleary, K.R.; Lowy, A.M.; Fenoglio, C.J.; Pisters, P.W.; Evans, D.B. Survival following pancreaticoduodenectomy with resection of the superior mesenteric-portal vein confluence for adenocarcinoma of the pancreatic head. Br. J. Surg. 1998, 85, 611–617. [Google Scholar] [CrossRef] [PubMed]
- Peng, C.; Zhou, D.; Meng, L.; Cao, Y.; Zhang, H.; Pan, Z.; Lin, C. The value of combined vein resection in pancreaticoduodenectomy for pancreatic head carcinoma: A meta-analysis. BMC Surg. 2019, 19, 84. [Google Scholar] [CrossRef]
- Park, H.; Kang, I.; Kang, C.M. Laparoscopic pancreaticoduodenectomy with segmental resection of superior mesenteric vein-splenic vein-portal vein confluence in pancreatic head cancer: Can it be a standard procedure? Ann. Hepatobiliary Pancreat. Surg. 2018, 22, 419–424. [Google Scholar] [CrossRef]
- Awad, Z.T. Totally laparoscopic pancreaticoduodenectomy for pancreatic head cancer with involvement of the superior mesenteric vein-portal vein confluence. Ann. Surg. Oncol. 2014, 21, 3439. [Google Scholar] [CrossRef][Green Version]
- Garbarino, G.M.; Fuks, D.; Cowan, J.; Ward, M.; Moisan, F.; Donatelli, G.; Beaussier, M.; Gayet, B. Total Laparoscopic Pancreaticoduodenectomy with Venous Reconstruction for Pancreatic Head Cancer with Involvement of the Superior Mesenteric Vein-Portal Vein Confluence. Ann. Surg. Oncol. 2018, 25, 4035–4036. [Google Scholar] [CrossRef]
- Palanisamy, S.; Deuri, B.; Naidu, S.B.; Vaiyapurigoundar Palanisamy, N.; Natesan, A.V.; Palanivelu, P.R.; Parthasarathy, R.; Palanivelu, C. Major venous resection and reconstruction using a minimally invasive approach during laparoscopic pancreaticoduodenectomy: One step forward. Asian J. Endosc. Surg. 2015, 8, 468–472. [Google Scholar] [CrossRef]
- Rosso, E.; Zimmitti, G.; Iannelli, A.; Garatti, M. The ‘TRIANGLE Operation’ by Laparoscopy: Radical Pancreaticoduodenectomy with Major Vascular Resection for Borderline Resectable Pancreatic Head Cancer. Ann. Surg. Oncol. 2019. [Google Scholar] [CrossRef]
- Cai, Y.; Gao, P.; Li, Y.; Wang, X.; Peng, B. Laparoscopic pancreaticoduodenectomy with major venous resection and reconstruction: Anterior superior mesenteric artery first approach. Surg. Endosc. 2018, 32, 4209–4215. [Google Scholar] [CrossRef] [PubMed]
- Khatkov, I.E.; Izrailov, R.E.; Khisamov, A.A.; Tyutyunnik, P.S.; Fingerhut, A. Superior mesenteric-portal vein resection during laparoscopic pancreatoduodenectomy. Surg. Endosc. 2017, 31, 1488–1495. [Google Scholar] [CrossRef] [PubMed]
- Kendrick, M.L.; Sclabas, G.M. Major venous resection during total laparoscopic pancreaticoduodenectomy. HPB 2011, 13, 454–458. [Google Scholar] [CrossRef] [PubMed]
- Dokmak, S.; Aussilhou, B.; Calmels, M.; Maghrebi, H.; Ftériche, F.S.; Soubrane, O.; Sauvanet, A. Laparoscopic pancreaticoduodenectomy with reconstruction of the mesentericoportal vein with the parietal peritoneum and the falciform ligament. Surg. Endosc. 2018, 32, 3256–3261. [Google Scholar] [CrossRef] [PubMed]
- Dokmak, S.; Chérif, R.; Duquesne, I.; Delattre, R.; Aussilhou, B.; Soubrane, O.; Sauvanet, A. Laparoscopic Pancreaticoduodenectomy with Reconstruction of the Portal Vein with the Parietal Peritoneum. Ann. Surg. Oncol. 2016, 23, 2664. [Google Scholar] [CrossRef] [PubMed]
- Wei, Q.; Chen, Q.P.; Guan, Q.H.; Zhu, W.T. Repair of the portal vein using a hepatic ligamentum teres patch for laparoscopic pancreatoduodenectomy: A case report. World J. Clin. Cases 2019, 7, 2879–2887. [Google Scholar] [CrossRef]
- Suzuki, S.; Shimoda, M.; Shimazaki, J.; Maruyama, T.; Nishida, K. Clinical Outcome of Resected Remnant Pancreatic Cancer After Resection of the Primary Pancreatic Cancer. J. Investig. Surg. 2019, 32, 670–678. [Google Scholar] [CrossRef]
- Ishida, J.; Toyama, H.; Matsumoto, I.; Asari, S.; Goto, T.; Terai, S.; Nanno, Y.; Yamashita, A.; Mizumoto, T.; Ueda, Y.; et al. Second primary pancreatic ductal carcinoma in the remnant pancreas after pancreatectomy for pancreatic ductal carcinoma: High cumulative incidence rates at 5 years after pancreatectomy. Pancreatology 2016, 16, 615–620. [Google Scholar] [CrossRef]
- Inoue, K.; Kosuge, T.; Shimada, K.; Yamamoto, J.; Takayama, T.; Ozaki, H.; Nose, H. Repeated radical resection and intraoperative irradiation for recurrent pancreatic ductal adenocarcinoma after pancreatoduodenectomy. Surgery 1995, 118, 909–911. [Google Scholar] [CrossRef]
- Kleeff, J.; Reiser, C.; Hinz, U.; Bachmann, J.; Debus, J.; Jaeger, D.; Friess, H.; Büchler, M.W. Surgery for recurrent pancreatic ductal adenocarcinoma. Ann. Surg. 2007, 245, 566–572. [Google Scholar] [CrossRef] [PubMed]
- Yamada, S.; Kobayashi, A.; Nakamori, S.; Baba, H.; Yamamoto, M.; Yamaue, H.; Fujii, T. Resection for recurrent pancreatic cancer in the remnant pancreas after pancreatectomy is clinically promising: Results of a project study for pancreatic surgery by the Japanese Society of Hepato-Biliary-Pancreatic Surgery. Surgery 2018, 164, 1049–1056. [Google Scholar] [CrossRef] [PubMed]
- Groot, V.P.; van Santvoort, H.C.; Rombouts, S.J.; Hagendoorn, J.; Borel Rinkes, I.H.; van Vulpen, M.; Herman, J.M.; Wolfgang, C.L.; Besselink, M.G.; Molenaar, I.Q. Systematic review on the treatment of isolated local recurrence of pancreatic cancer after surgery; re-resection, chemoradiotherapy and SBRT. HPB 2017, 19, 83–92. [Google Scholar] [CrossRef] [PubMed]
- Karasic, T.B.; O’Hara, M.H.; Loaiza-Bonilla, A.; Reiss, K.A.; Teitelbaum, U.R.; Borazanci, E.; De Jesus-Acosta, A.; Redlinger, C.; Burrell, J.A.; Laheru, D.A.; et al. Effect of Gemcitabine and nab-Paclitaxel With or Without Hydroxychloroquine on Patients With Advanced Pancreatic Cancer: A Phase 2 Randomized Clinical Trial. JAMA Oncol. 2019, 5, 993–998. [Google Scholar] [CrossRef] [PubMed]
- Nakagawa, Y.; Fukami, Y.; Harada, T.; Maeda, A.; Takayama, Y.; Takahashi, T.; Uji, M.; Kaneoka, Y. Laparoscopic pancreaticoduodenectomy for remnant pancreatic recurrence after laparoscopic distal pancreatectomy and hepatectomy for greater omentum leiomyosarcoma. Asian J. Endosc. Surg. 2020, 13, 117–120. [Google Scholar] [CrossRef]
- Sunagawa, H.; Mayama, Y.; Orokawa, T.; Oshiro, N. Laparoscopic total remnant pancreatectomy after laparoscopic pancreaticoduodenectomy. Asian J. Endosc. Surg. 2014, 7, 71–74. [Google Scholar] [CrossRef]
- Hashimoto, D.; Chikamoto, A.; Masuda, T.; Nakagawa, S.; Imai, K.; Yamashita, Y.I.; Reber, H.A.; Baba, H. Pancreatic Cancer Arising From the Remnant Pancreas: Is It a Local Recurrence or New Primary Lesion? Pancreas 2017, 46, 1083–1090. [Google Scholar] [CrossRef]
- Zhou, Y.; Song, A.; Wu, L.; Si, X.; Li, Y. Second pancreatectomy for recurrent pancreatic ductal adenocarcinoma in the remnant pancreas: A pooled analysis. Pancreatology 2016, 16, 1124–1128. [Google Scholar] [CrossRef]
- Choi, M.; Lee, S.J.; Shin, D.M.; Hwang, H.K.; Lee, W.J.; Kang, C.M. Laparoscopic repeated pancreatectomy for isolated local recurrence in remnant pancreas following laparoscopic radical pancreatectomy for pancreatic ductal adenocarcinoma: Two cases report. Ann. Hepatobiliary Pancreat Surg. 2020. Forthcoming. [Google Scholar]
- Jiang, Y.L.; Zhang, R.C.; Zhou, Y.C. Comparison of overall survival and perioperative outcomes of laparoscopic pancreaticoduodenectomy and open pancreaticoduodenectomy for pancreatic ductal adenocarcinoma: A systematic review and meta-analysis. BMC Cancer 2019, 19, 781. [Google Scholar] [CrossRef]
- Chen, K.; Zhou, Y.; Jin, W.; Zhu, Q.; Lu, C.; Niu, N.; Wang, Y.; Mou, Y.; Chen, Z. Laparoscopic pancreaticoduodenectomy versus open pancreaticoduodenectomy for pancreatic ductal adenocarcinoma: Oncologic outcomes and long-term survival. Surg. Endosc. 2020, 34, 1948–1958. [Google Scholar] [CrossRef] [PubMed]
- Yin, Z.; Jian, Z.; Hou, B.; Jin, H. Surgical and Oncological Outcomes of Laparoscopic Versus Open Pancreaticoduodenectomy in Patients With Pancreatic Duct Adenocarcinoma. Pancreas 2019, 48, 861–867. [Google Scholar] [CrossRef] [PubMed]
- Sharpe, S.M.; Talamonti, M.S.; Wang, C.E.; Prinz, R.A.; Roggin, K.K.; Bentrem, D.J.; Winchester, D.J.; Marsh, R.D.; Stocker, S.J.; Baker, M.S. Early National Experience with Laparoscopic Pancreaticoduodenectomy for Ductal Adenocarcinoma: A Comparison of Laparoscopic Pancreaticoduodenectomy and Open Pancreaticoduodenectomy from the National Cancer Data Base. J. Am. Coll. Surg. 2015, 221, 175–184. [Google Scholar] [CrossRef]
- Kantor, O.; Talamonti, M.S.; Sharpe, S.; Lutfi, W.; Winchester, D.J.; Roggin, K.K.; Bentrem, D.J.; Prinz, R.A.; Baker, M.S. Laparoscopic pancreaticoduodenectomy for adenocarcinoma provides short-term oncologic outcomes and long-term overall survival rates similar to those for open pancreaticoduodenectomy. Am. J. Surg. 2017, 213, 512–515. [Google Scholar] [CrossRef] [PubMed]
- Chapman, B.C.; Gajdos, C.; Hosokawa, P.; Henderson, W.; Paniccia, A.; Overbey, D.M.; Gleisner, A.; Schulick, R.D.; McCarter, M.D.; Edil, B.H. Comparison of laparoscopic to open pancreaticoduodenectomy in elderly patients with pancreatic adenocarcinoma. Surg. Endosc. 2018, 32, 2239–2248. [Google Scholar] [CrossRef]
- Torphy, R.J.; Friedman, C.; Halpern, A.; Chapman, B.C.; Ahrendt, S.S.; McCarter, M.M.; Edil, B.H.; Schulick, R.D.; Gleisner, A. Comparing Short-term and Oncologic Outcomes of Minimally Invasive Versus Open Pancreaticoduodenectomy Across Low and High Volume Centers. Ann. Surg. 2019, 270, 1147–1155. [Google Scholar] [CrossRef]
- Blajchman, M.A.; Bardossy, L.; Carmen, R.; Sastry, A.; Singal, D.P. Allogeneic blood transfusion-induced enhancement of tumor growth: Two animal models showing amelioration by leukodepletion and passive transfer using spleen cells. Blood 1993, 81, 1880–1882. [Google Scholar] [CrossRef]
- Kaplan, J.; Sarnaik, S.; Gitlin, J.; Lusher, J. Diminished helper/suppressor lymphocyte ratios and natural killer activity in recipients of repeated blood transfusions. Blood 1984, 64, 308–310. [Google Scholar] [CrossRef]
- Yao, H.S.; Wang, Q.; Wang, W.J.; Hu, Z.Q. Intraoperative allogeneic red blood cell transfusion in ampullary cancer outcome after curative pancreatoduodenectomy: A clinical study and meta-analysis. World J. Surg. 2008, 32, 2038–2046. [Google Scholar] [CrossRef]
- Kim, S.Y.; Choi, M.; Hwang, H.K.; Rho, S.Y.; Lee, W.J.; Kang, C.M. Intraoperative Transfusion is Independently Associated with a Worse Prognosis in Resected Pancreatic Cancer-a Retrospective Cohort Analysis. J. Clin. Med. 2020, 9, 689. [Google Scholar] [CrossRef]
- Kneuertz, P.J.; Patel, S.H.; Chu, C.K.; Maithel, S.K.; Sarmiento, J.M.; Delman, K.A.; Staley, C.A., 3rd; Kooby, D.A. Effects of perioperative red blood cell transfusion on disease recurrence and survival after pancreaticoduodenectomy for ductal adenocarcinoma. Ann. Surg. Oncol. 2011, 18, 1327–1334. [Google Scholar] [CrossRef] [PubMed]
- Kauffmann, E.F.; Napoli, N.; Cacace, C.; Menonna, F.; Vistoli, F.; Amorese, G.; Boggi, U. Resection or repair of large peripancreatic arteries during robotic pancreatectomy. Updates Surg. 2020, 72, 145–153. [Google Scholar] [CrossRef] [PubMed]
- Tempero, M.A. NCCN Guidelines Updates: Pancreatic Cancer. J. Natl. Compr. Canc. Netw. 2019, 17, 603–605. [Google Scholar] [CrossRef] [PubMed]
- Stiles, Z.E.; Dickson, P.V.; Deneve, J.L.; Glazer, E.S.; Dong, L.; Wan, J.Y.; Behrman, S.W. The impact of unplanned conversion to an open procedure during minimally invasive pancreatectomy. J. Surg. Res. 2018, 227, 168–177. [Google Scholar] [CrossRef] [PubMed]
- Fortner, J.G.; Klimstra, D.S.; Senie, R.T.; Maclean, B.J. Tumor size is the primary prognosticator for pancreatic cancer after regional pancreatectomy. Ann. Surg. 1996, 223, 147–153. [Google Scholar] [CrossRef]
- Kang, C.M. ASO Author Reflections: From Concept to Real Clinical Practice of Laparoscopic Distal Pancreatectomy for Left-Sided Pancreatic Cancer. Ann. Surg. Oncol. 2020. [Google Scholar] [CrossRef]





| Surgical Extent | Standard | Extended |
|---|---|---|
| LN station * | 13, 17, 12b | 13,17, 12b, 12a,12p, 8a, 8p, 5, 6, 9, 16, 14a, 14b,14c |
| Circumferential Nerve plexus dissection (Celiac/HA/SMA) | -/-/- | ±/±/± |
| Author, Year | Surgical Extent | N | Op-Time, Hr/Min. | EBL, mL | #LNs | R0, % | LOH, Day | Cx., % | POPF, % | DGE, % | Mx., % | 5YOS, % |
|---|---|---|---|---|---|---|---|---|---|---|---|---|
| Pedrazzoli, 1998 [30] | STD | 40 | 371.9 | 2671 | 13.3 | NA | 22.7 | 47.5 | 12.5 | NA | 5 | 552d √ |
| EXT | 41 | 396.7 | 3149 | 19.8 * | NA | 19.3 | 48.5 | 7.5 | NA | 4.9 | 589d √ | |
| Yeo, 2005 [31] | STD | 146(84) | 5.9 | 740 | 17.0 | 88 | 11.3 | 29 | 6 | 6 | 4 | 10 |
| EXT | 148(83) | 6.4 * | 800 | 28.5 * | 93 | 14.3 * | 43 * | 13 * | 16 * | 2 | 25 | |
| Farnell, 2005 [32] | STD | 40 | 6.2 | NA | 15 | 76 | 13 | 62.5 | 8 | 28 | 0 | 16 |
| EXT | 39 | 7.6 * | NA ∮ | 34 * | 82 | 16 | 34.1 | 13 | 36 | 3 | 17 | |
| Nimura, 2012 [33] | STD | 51 | 426 | NA | 13.3 | 94.1 | 43.8 | 19.6 | NA | NA | 0 | 15.7 |
| EXT | 50 | 547 | NA | 40.1 * | 90 | 42.4 | 22.0 | NA | NA | 2 | 6.0 | |
| Jang, 2014 [34] | STD | 83 | 355.5 | 372 | 17.3 | 85.5 | 19.7 | 32.0 | 9.6 | 9.6 | 0 | 18.8m √ |
| EXT | 86 | 419.6 * | 563 * | 33.7 * | 90.7 | 22.8 | 43.0 | 12.8 | 5.8 | 2.3 | 16.5m √ |
| Author, Year | Concept | N | Op-Time | EBL, mL | R0, % | LOH, Day | Cx, % | Mx., % |
|---|---|---|---|---|---|---|---|---|
| Kuroki, 2010 [52] # | Pancreas-hanging maneuver | 9 | NA | 642 | NA | 19 | NA | NA |
| Zimmitti, 2016 [51] | Periadventitial dissection of SMA | 16 | 590 | 150 | 100 | 16 | 3 | NA |
| Rho, 2018 [48] | ICG-guided differentiation of uncinate process from SMA lateral border | 10 | 432 | 166 | 100 | 16.7 | 2 | 0 |
| Nagakawa, 2018 [49] | PDJV preisolation method | 21 | 489.38 | 183 | NA | 22.43 | 5 | NA |
| Morales, 2019 [50] | Periadventitial dissection of for SMA TMpE | 59 | NA | NA | 86 | NA | NA * | NA |
| Author, Year | N | Op-Time, min | EBL, mL | Cx, % | Mx, % | LOH, Day | Survival |
|---|---|---|---|---|---|---|---|
| Cai, 2018 [63] | 18(14) T: 8 E-E: 6 AG: 4 | 448 | 213 | 6(33.3) | None | 13 | Mean FU; 11 mo., 2 death (1 renal failure, 1 tumor metastasis) |
| Khatkov, 2017 [64] | 8(5) T: 4 T+Patch:1 E-E: 3 | 560 | 450 | 2(25) | 1(12.5) Due to heart failure | 15 | FU (4–12 mo.) 6 death due to tumor progression |
| Kendrick, 2011 [65] | 11(9) T: 6 T+Patch: 4 RVG: 1 | 413 | 500 | 6 | None | 7 | Median FU:7.2 mo. N/A |
| Croome, 2015 [19] | 31(25) T: 12 T+Patch: 10 E-E: 7 RVG: 1 AG: 1 | 465 | 841.8 | 11(35)/2(6.4 *) | 1(3.2) | 6 | Median FU : 15.2 mo. * no survival differences between OPD group (p = 0.14) |
| Author, Year | NLiteratures | NPatients | Initial Px (PP)PD/DP/ect) | Repeated Px TP/TP+PV/ect | Time Interval | Cx | Mx | Survival (From Initial Px/From Repeated Px) |
|---|---|---|---|---|---|---|---|---|
| Suzuki, 2019 [69] | 17 | 49 | 31/17/1 (DPPHR) | 44/4/1 (Segmentectomy) | 12–143 month | NA | NA | 114 months/ 32 months |
| Hashimoto, 2017 [78] | 12 | 88 | NA | 78/5/5 (DP) | 13–49 month | 0–27% | 0% | NA /14–27.5 months |
| Zhou, 2016 [79] | 19 | 55 | 33/21/1 (DPPHR) | 52/0/1 (DPPHR) | 7–143 month | NA | 0% | NA 5YOS, 40.6% |
| Choi, 2020 [80] | 17 | 50 | 32/17/1 | 46/0/4 (partial) | 18–88 month | NA | 2% | 107 months/ 60 months |
| Author, Years | Approach | N | Age | Gender (Male) | Op-Time | EBL | TF | Retrieved LNs | R0 | Cx. (≥Clavien IIIB) | POPF | DGE | Mx. | LOH | Adjuvant CTx | Time to Adjuvant CTx | Survival | Anastomosis Technique |
|---|---|---|---|---|---|---|---|---|---|---|---|---|---|---|---|---|---|---|
| Croome, 2014 [19] | OPD | 214 | 65.4 | 131 | 387.6 | 866.7 | 71 | 20.1 | 17 | 29 | Grade B/C: 29(13.6) | Grade B/C: 26 (12) | 4 | 9 | 164 | 59 | 25.3 | |
| LPD | 108 | 66.6 | 51 * | 379.4 | 492.4 * | 21 * | 21.4 | 84 | 6 | 6(5.6) | 39(18) | 1 | 6 * | 82 | 48 * | 21.8 | Robot: 5, open: 7, lapa: 96, No detail description | |
| Conard, 2017 [92] | OPD | 25 | 66 | 18 | NA | NA | 10 | 17 | 21 | III(A+B):11 IV:4 V:2 | Yes: 10 No: 15 | NA | 27 | 11 | NA | 29.6 | ||
| LPD | 40 | 68 | 26 | NA | NA | 14 | 18 | 35 | III(A+B):12 IV:10 V:2 | Yes: 12 No: 28 | NA | 24.5 | 14 | NA | 35.5 | ALL Laparoscopic reconstruction, E-to-S DTM internal stent PJ | ||
| Stauffer, 2017 [93] | OPD | 193 | 68.9 | 96 | 375 | 600 | 90 | 17 | 154 | 58 | Total:20 A:6 B:9 C:5 | Total:28 A:12 B:6 C:10 | 10 | 9 | 122 | 55 | 20.3 | |
| LPD | 58 | 69.9 | 32 | 518 * | 250 * | 20 * | 27 * | 49 | 13 | Total:6 A:2 B:4 C:0 | Total:10 A:4 B:3 C:3 | 2 | 6 | 41 | 54 | 18.5 | Open conversion: 14, Lapa: 44, Two-layer DTM PJ | |
| Kuesters, 2018 [94] | OPD | 278 | 68 | 137 | 428 | NA | 65 | 16 | 195 | 107 | NA | NA | 6 | 16 | NA | NA | 18 | |
| LPD | 62 | 71 | 31 | 477 * | NA | 9 | 17 | 54 * | 25 | NA | NA | 3 | 14 * | NA | NA | 22 | All Open reconstruction No detail description | |
| Choi, 2020 [21] | OPD | 34 | 63.3 | 18 | 471.2 | 448.8 | 2 | 20.6 | 24 | NA | None:24 BL:6 B:3 C:1 | None:30 A:2 B:2 C:0 | 19.9 | 27 | 55.1 | 44.6 | ||
| LPD | 27 | 63.3 | 12 | 477.7 | 232.5* | 0 | 13.3 | 25 | NA | None:17 BL:8 B:1 C:1 | None:23 A:3 B:0 C:1 | 21.1 | 21 | 59.5 | 45.2 | All Laparoscopic reconstruction, E-to-S DTM internal stent PJ | ||
| Zhou, 2019 [95] | OPD | 93 | 64 | 68 | 260 | 200 | 7 | 11 | 88 | 13 | Total:86 BL:74 B/C:12 | Total:66 A:27 B/C:39 | 2 | 14 | 47 | 43.5 | 20 | |
| LPD | 55 | 63 | 40 | 330* | 150* | 16 * | 18 * | 55 | 6 | Total:20 BL:13 B/C:7 | Total:1 A:0 B/C:1 | 0 | 13 | 26 | 39 | 18.7 | All laparoscopic reconstruction, E-to-S DTM internal stent PJ |
Publisher’s Note: MDPI stays neutral with regard to jurisdictional claims in published maps and institutional affiliations. |
© 2020 by the authors. Licensee MDPI, Basel, Switzerland. This article is an open access article distributed under the terms and conditions of the Creative Commons Attribution (CC BY) license (http://creativecommons.org/licenses/by/4.0/).
Share and Cite
Kang, C.M.; Lee, W.J. Is Laparoscopic Pancreaticoduodenectomy Feasible for Pancreatic Ductal Adenocarcinoma? Cancers 2020, 12, 3430. https://doi.org/10.3390/cancers12113430
Kang CM, Lee WJ. Is Laparoscopic Pancreaticoduodenectomy Feasible for Pancreatic Ductal Adenocarcinoma? Cancers. 2020; 12(11):3430. https://doi.org/10.3390/cancers12113430
Chicago/Turabian StyleKang, Chang Moo, and Woo Jung Lee. 2020. "Is Laparoscopic Pancreaticoduodenectomy Feasible for Pancreatic Ductal Adenocarcinoma?" Cancers 12, no. 11: 3430. https://doi.org/10.3390/cancers12113430
APA StyleKang, C. M., & Lee, W. J. (2020). Is Laparoscopic Pancreaticoduodenectomy Feasible for Pancreatic Ductal Adenocarcinoma? Cancers, 12(11), 3430. https://doi.org/10.3390/cancers12113430

