Next Article in Journal
Gap Junctions and Connexins in Cancer Formation, Progression, and Therapy
Next Article in Special Issue
Outcome After 68Ga-PSMA-11 versus Choline PET-Based Salvage Radiotherapy in Patients with Biochemical Recurrence of Prostate Cancer: A Matched-Pair Analysis
Previous Article in Journal
Immunophenotypic Landscape and Prognosis of Diffuse Large B-Cell Lymphoma with MYC/BCL2 Double Expression: An Analysis of A Prospectively Immunoprofiled Cohort
Previous Article in Special Issue
Immunoradiotherapy as an Effective Therapeutic Strategy in Lung Cancer: From Palliative Care to Curative Intent
 
 
Font Type:
Arial Georgia Verdana
Font Size:
Aa Aa Aa
Line Spacing:
Column Width:
Background:
Article

Bone Marrow-Sparing IMRT in Anal Cancer Patients Undergoing Concurrent Chemo-Radiation: Results of the First Phase of a Prospective Phase II Trial

1
Department of Oncology, Radiation Oncology, Azienda Ospedaliero-Universitaria Citta’ della Salute e della Scienza, 10126 Turin, Italy
2
Department of Oncology, Radiation Oncology, University of Turin, 10126 Turin, Italy
3
Department of Surgical Sciences, Abdominal Surgery, University of Turin, 10126 Turin, Italy
4
Department of Medical Sciences, Pathology Unit, University of Turin, 10126 Turin, Italy
5
Department of Oncology, Oncological Centre for Gastrointestinal Neoplasm, AOU Città della Salute e della Scienza, 10126 Turin, Italy
6
Medical Physics Unit, S.C. Fisica Sanitaria, A.O.U. Città della Salute e della Scienza, 10126 Turin, Italy
7
Division of Nuclear Medicine, AOU Città della Salute e della Scienza, 10126 Turin, Italy
*
Author to whom correspondence should be addressed.
Cancers 2020, 12(11), 3306; https://doi.org/10.3390/cancers12113306
Submission received: 11 October 2020 / Revised: 28 October 2020 / Accepted: 6 November 2020 / Published: 9 November 2020
(This article belongs to the Special Issue Cancer Radiotherapy)

Abstract

Simple Summary

Hematological toxicity may be a consistent issue in anal cancer patients undergoing concurrent chemo-radiation, with a potentially detrimental effect on clinical outcomes and patient compliance to treatment. Chemotherapy is the most important trigger, since it induces myelosuppression, but radiation dose delivered to the hematopoietically active bone marrow (BM) also plays an important role. Active bone marrow can be identified using functional imaging with 18-Fluoro-2-deoxy-glucose positron emission tomography (18FDG-PET) and selectively spared during radiation delivery via intensity-modulated radiotherapy (IMRT). We investigated, within a prospective phase II trial, the potential effectiveness of targeted avoidance of active BM comprised within pelvic bones in reducing the acute hematologic toxicity profile of anal cancer patients undergoing concomitant chemo-radiation for squamous cell carcinoma of the anus. The results of the first step of the study fulfilled the criteria to define BM-sparing IMRT as “promising” and to continue with the second step of the phase II trial.

Abstract

Purpose: to investigate the role of selective avoidance of hematopoietically active BM within the pelvis, as defined with 18FDG-PET, employing a targeted IMRT approach, to reduce acute hematologic toxicity (HT) profile in anal cancer patients undergoing concurrent chemo-radiation. Methods: a one-armed two-stage Simon’s design was selected to test the hypothesis that BM-sparing approach would improve by 20% the rate of G0–G2 (vs. G3–G4) HT, from 42% of RTOG 0529 historical data to 62% (α = 0.05 and the β = 0.20). At the first stage, among 21 enrolled patients, at least 9 should report G0–G2 acute HT to further proceed with the trial. We employed 18FDG-PET to identify active BM within the pelvis. Acute HT was assessed via weekly blood counts and scored as per the Common Toxicity Criteria for Adverse Effects version 4.0. Results: from December 2017 to October 2019, 21 patients were enrolled. Maximum observed acute HT comprised 9% rate of ≥G3 leukopenia and 5% rate of ≥G3 neutropenia and anemia. Overall, only 4 out of 21 treated patients (19%) experienced ≥G3 acute HT. Conversely, 17 patients (81%) experienced G0–G2 events, way above the threshold set by the trial design. Conclusion: 18FDG-PET-guided BM-sparing IMRT was able to reduce acute HT in anal cancer patients treated with concomitant chemo-radiation. These results prompted us to conclude the second part of this prospective phase II trial.

1. Introduction

Combined modality treatment including radiotherapy (RT) and chemotherapy (CHT) administered concurrently is the standard curative approach for patients affected with squamous cell carcinoma of the anal canal [1]. This approach provides high rates of tumor control and patient’s survival, together with the possibility to preserve the anal sphincter [2]. Nevertheless, the toxicity profile of concurrent RT-CHT is relevant and may lead to impaired patients compliance to therapy with subsequent unscheduled treatment breaks and increased overall treatment time which may affect clinical outcomes [3]. This is particularly evident when RT is delivered with conventional techniques, as shown by the rate of grade 3–4 toxicity events seen in the 5-fluorouracil/mytomicin C arm of the RTOG 9811 trial, where major skin toxicities were as high as 48%, while hematologic toxicity up to 61% [3]. Intensity-modulated radiotherapy (IMRT), a technique able to improve the conformity of radiation dose distribution compared to 3-dimensional conformal radiotherapy, was shown to reduce the rates of ≥G3 acute gastro-intestinal and skin toxicity and the likelihood to experience ≥ G2 hematologic events, as seen in the RTOG 0529 study [4]. However, even with the use of highly conformal techniques, toxicity remains clinically meaningful and its reduction deserves targeted strategies [5]. In this subset of patients, hematologic toxicity (HT) can be critical, increasing the likelihood to experience bleeding, infections or asthenia and potentially hampering the overall treatment intensity [6]. CHT is the strongest trigger for HT, given its direct myelosuppressive action, but also RT, given the exquisite radiosensitivity of circulating blood cells and precursors within bone marrow (BM), plays a role [6]. It has been previously demonstrated that the dose received by the pelvic bones, either as outlined employing the outer contour on computed tomography or by the hematopoietically active BM, as defined with the use of 18fluorodeoxyglucose (FDG)-labeled positron emission tomography (18FDG-PET) is significantly correlated with the probability of occurrence and the severity of HT in anal cancer patients undergoing concurrent RT-CHT [7,8,9,10,11]. Active BM comprised within the pelvic region may be used as an organ at risk to be taken into account during the optimization process of RT planning in order to minimize the unintended dose received and consequently spare hematopoietic precursors.
To test the hypothesis that the selective sparing of hematopoietically active BM may decrease the acute HT profile in anal cancer patients undergoing concurrent RT-CHT, we designed and ran a prospective phase II trial. We herein report on the results of the first phase of the study.

2. Material and Methods

2.1. Eligibility Criteria

All patients enrolled had a histologically proven diagnosis of squamous cell anal carcinoma involving either the anal canal or margin, obtained with a punch biopsy during fiber-optic endoscopic examination. Disease stage, based on pelvic magnetic resonance, chest-computed tomography, and whole-body 18FDG-PET, was defined following the 7th Edition of the American Joint Committee on Cancer staging manual [12]. Patients included were staged as T1–T4, N0–N3, and treated within the Radiation Oncology Department of the University of Turin. Other inclusion criteria comprised an Eastern Cooperative Oncology Group (ECOG) performance status of 0–1, age 18–80, suitable hematological parameters (neutrophils ≥ 1.5 × 109/L and platelets ≥ 100 × 109/L), adequate renal and liver functions. Exclusion criteria included systemic spread at presentation, prior pelvic radiotherapy, medical contraindications to combination therapy, malabsorption syndrome, peripheral neuropathy, psychiatric disease hampering compliance to therapy, pregnancy, and breast-feeding. Patients with a T1 epidermoid tumor of the anal margin were excluded, being this setting considered to be a different clinical entity. Written informed consent was obtained for all patients.
The study was conducted in accordance with the Declaration of Helsinki, and the procol was approved by the Ethics Committee of AOU Citta’ della Salute e della Scienza, Turin Italy (Project identification code: 0089578). The trial was registered in the internal repository for clinical trials at AOU Citta’ della Salute e della Scienza, Turin, Italy (Project identification code: 1190/2016).

2.2. Study Design and Sample Size Determination

A one-armed optimal two-stage Simon’s design was selected, to test the hypothesis that treatment modality under investigation (BM-sparing IMRT) would increase by 20% the rate of G0–G2 (vs G3–G4) acute HT over the historical data obtained with the IMRT treatment as delivered within the RTOG 0529 trial, where the observed rate of ≥G3 acute HT was as high as 58% (rate for G0–G2: 42%) and no targeted optimization toward BM was employed, [null hypothesis (H0): no difference in acute HT between treatment modalities] [13]. The present study was based on the following assumptions: 1—the historical data of success (p0) was represented by the 42% rate of G0–G2 acute skin toxicity (G3–G4: 58%) detected in the RTOG 0529 study; 2—the threshold of successful trial (p1) with the treatment schedule under investigation (BM-sparing IMRT) was set to 62% of G0–G2 acute HT (G3–G4: 38%); 3—the α error (one-sided type I error) was set at 5%; 4—the β error at 20% (type II error; power 80%). At the first stage, among 21 enrolled patients, at least 9 (43%) should have been scored as G0–G2 acute HT to further proceed with the trial. At the second stage, another 18 patients will be accrued for an overall sample size of 39 patients. A minimum of 21/39 (54%) with G0–G2 toxicity represents the threshold for the final rejection of H0 and the fulfilment of the criteria for the definition of a “promising” treatment for the BM-sparing IMRT approach.

2.3. Radiotherapy Protocol

Patients underwent virtual simulation in supine position with indexed shaped knee rest and ankle support (CIVCO Medical Solutions, Kalona, IA, USA). A 3 mm slice thickness planning computed tomography was performed from the top of L1 vertebral body to the mid-femur and an isocenter found on virtual simulation. The gross tumor volume (GTV) consisted of all macroscopic foci of disease (both primary tumor and nodes) as outlined on computed tomography, accounting for information derived from 18FDG-PET and magnetic resonance after deformable registration. These volumes were then isotropically expanded, adding 20 mm and 10 mm respectively, to generate the corresponding clinical target volumes (CTVs), after editing to exclude surrounding osseous and muscular tissues. The elective CTV encompassed the mesorectum and appropriate draining lymphatic regions including inguinal, external and internal iliac, obturator, presacral, and perirectal/perianal nodes. Lymphatic areas were contoured as an 8–10 mm isotropic expansion around regional vessels and edited to exclude bones and muscles. A subsequent 10 mm isotropic margin was added to generate the consequential planning target volume (PTV) [14,15]. Radiotherapy strategy and dose prescription were set following the RTOG 0529 indications based on clinical stage at presentation. Patients with cT2N0 disease were given 50.4 Gy/28 fractions (1.8 Gy daily) to the primary tumor, while elective nodes were prescribed 42 Gy/28 fractions (1.5 Gy/daily). Patients presenting with cT3–T4/N0–N3 disease were prescribed 54 Gy/30 fractions (1.8 Gy daily) to the GTV, while gross nodal disease was prescribed 50.4 Gy/30 fractions (1.68 Gy daily) if sized ≤3 cm or 54 Gy/30 fractions (1.8 Gy/daily) if >3 cm. Elective nodal volume was prescribed 45 Gy/30 fractions (1.5 Gy/daily) [4,16].

2.4. Bone Marrow Delineation on Planning CT

The external contour of pelvic bone marrow (PBM) was outlined on the planning computed tomography employing bone windows as first described by Mell et al. [17]. The PBM was delineated as a whole and then divided into 3 subsites: (a) the iliac BM (IBM), extending from the iliac crests to the upper border of femoral head; (b) lower pelvis BM (LPBM), accounting for bilateral pube, ischia, acetabula and proximal femura, from the upper limit of the femoral heads to the lower limit of the ischial tuberosities and (c) lumbosacral BM (LSBM), extending from the superior border of L5 somatic body.

2.5. Active Bone Marrow Delineation on 18FDG-PET

All images derived from planning computed tomography were exported on the Velocity platform (Varian Medical Systems, Palo Alto, CA, USA) together with treatment volumes, organs at risk, and dose references. Given that 18FDG-PET images were acquired separately, we performed a rigid co-registration between computed tomography and 18FDG-PET. Moreover, 18FDG-PET standardized uptake values (SUVs) were calculated for PBM volumes, after correcting for body weight. To standardize SUVs among all patients, we normalized BM and liver SUVs. We defined as active bone marrow (ACTBM), the volume with higher SUV values than the SUVmean for each patient, rather than the whole cohort, as proposed by Rose et al. [11]. The areas identified with the method described above were outlined within PBM as a whole and named ACTBM and within each of the 3 subregions identified on planning computed tomography (LSBM, IBM, LPBM) and named ACTLSBM, ACTIBM, ACTLPBM, respectively. Inactive BM (INACTBM) was identified as the difference between BM volumes as defined on planning computed tomography (PBM) and ACTBM. The same procedure was repeated for all 3 subregions to identify inactive BM within all of them. The 3 volumes were hence called INACTLSBM, INACTIBM, INACTLPBM. Figure 1 highlights ACTBM (red) and INACTBM as identified with the use of 18FDG-PET in a specific patient included in the study.

2.6. Planning Process and Delivery

All treatment plans were generated using the Elekta Monaco treatment planning system (version 5.51), allowing for optimization with biological cost-functions for both PTV and organs at risk. A volumetric modulated arc therapy (VMAT) approach was used, based on a single-arc of 360° (starting from180°) or, more recently, on a dual-arc technique. VMAT is ad advanced form of IMRT which combines a rotational geometry and beam modulation achieved by continuous modulation of multileaf collimator, dose rate variations and gantry rotational speed dynamics [5].
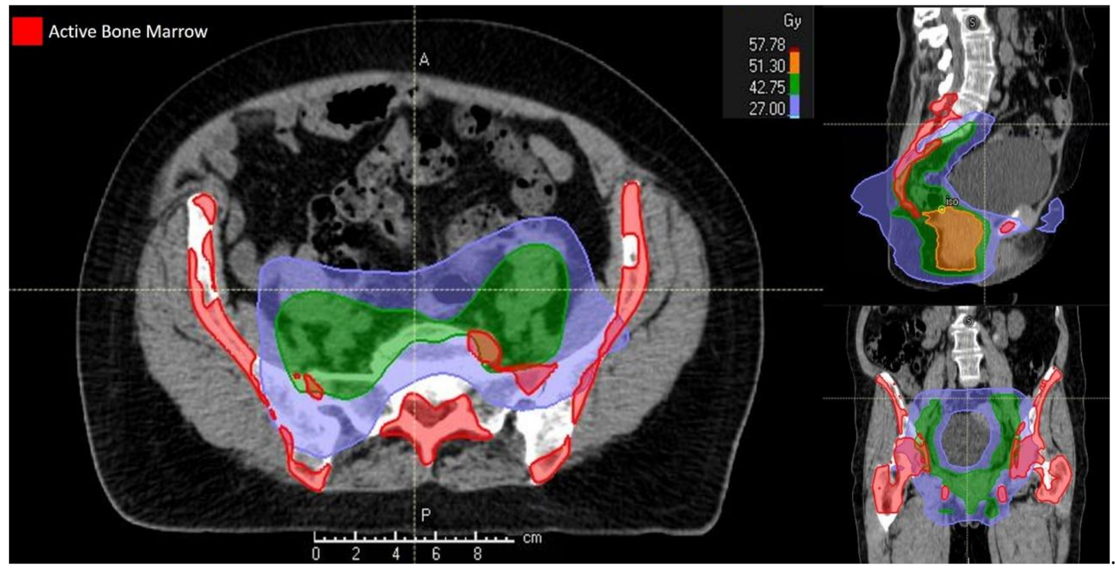
The planning strategy used, typically based on a pre-defined wishlist of clinical objectives and priorities, was integrated by the use of global parameters such as priorities between targets and organs at risk, dose fall-off, maximum dose and cold spot management. The standard organs at risk considered in the optimization process were bladder, external genitalia, large and small bowel and femoral heads in accordance with Kachnich et al. [4,16]. Dose constraints for active pelvic BM were targeted to both PBM and LSBM, as previously reported [9,18,19]. Table 1 reported the full set of dose constraints employed during the planning process. The treatment was finally delivered using the Elekta Synergy platform. Figure 2 shows the isodose distribution for a BM-sparing IMRT plan delivered to a patient in the present study.

2.7. Chemotherapy

Patients received concomitant CHT, consisting of 5-fluorouracil (1000 mg/m2/day) given as continuous infusion for 96 h (days 1–5 and 29–33) combined with mitomycin C (10 mg/m2) given as bolus (days 1 and 29). A total of 2 concurrent cycles were planned for each patient. CHT discontinuation or drugs modification were planned in case of major toxicities.

2.8. Toxicity Evaluation and Clinical Assessment

Acute gastro-intestinal (GI), genitourinary (GU), dermatologic, hematologic, and genital toxicities were assessed during treatment and scored according to the Common Toxicity Criteria for Adverse Events scale v4.0 (CTCAEv4.0) [20]. The worst grade toxicity for each category observed within 90 days from treatment end was recorded as an acute toxicity event. All toxicities occurring >90 days from RT discontinuation were classified as late toxicity. During follow-up, patients had a clinical examination with digital rectal exam and anoscopy evaluation at 4, 8, and 12 weeks. At 12 weeks, pelvic MRI and 18FDG-PET were performed and a biopsy take in case of suspicious persistent disease. Re-evaluation at 26 weeks from the start of treatment was done with anoscopy, eventual biopsy, and 18FDG-PET. A complete response was defined in case of negativity of the pathology examination at biopsy. A salvage abdomino-perineal resection was recommended for persistent disease (at pathology) or for locally progressive or recurrent disease (at imaging and pathology).

2.9. Hematologic Toxicity Evaluation

All patients underwent a weekly complete blood count. HT was graded according to CTCAEv4.0 grading system [20]. Endpoints evaluated in the present analysis were white blood cell count (WBC), absolute neutrophil count (ANC), hemoglobin (Hb) and platelet (Plt) count nadirs after each CHT cycle and the highest-grade toxicity for all blood cells. HT was defined as each hematologic event with a grade ≥3.
Figure 3 shows a complete outline of the different steps taken to deliver BM-sparing IMRT to the enrolled patients and to test acute HT

3. Results

A total of 21 patients were included in the first step of this prospective phase II trial. Detailed patient characteristics are shown in Table 2. Mean age was 64 (range 29–81) and patients were mainly female (71%), HIV-negative (90%), with an anal canal primary tumor (90%), T2–T3 stage (76%), N1 nodal disease (70%) and global stage IIIC (43%). None of them underwent a preventive colostomy (100%). Patients were mainly treated with a dual-arc VMAT approach (86%), up to a total dose to the primary tumor PTV of 54 Gy (95%) and to 45 Gy (95%) to the prophylactic volumes delivered in conventional fractionation. A total of 12 node positive patients, also received a simultaneous integrated boost to the macroscopic nodal disease up to 50.4 Gy. Mean radiotherapy duration time was 46 days. Patients undergoing a treatment break ≥3 days were 9%. All but 1 patient were submitted to 2 cycles of CHT with no dose reduction during treatment. See Table 3 for details.

Acute Hematologic Toxicity and Dosimetric Outcomes

Mean value at baseline for WBC was 7.860/cm3 [Standard Deviation (SD) SD:2.800], which dropped to a minimum of 3.800/cm3 (SD:1.260) at Week 2, reaching 4.130/cm3 (SD:1.620) at the end of treatment (Week 6). ANC at baseline was 5.160/cm3 (SD:2.210), which dropped to a minimum of 2.400/cm3 (SD:1.010) at Week 2, reaching 2.990/cm3 (SD:1.314) at Week 6. Mean value at baseline for Plts was 260.000/cm3 (SD:64.000), which dropped to a minimum of 140.000/cm3 (SD:40.000) at Week 2, reaching 206.000/cm3 (SD:61.000) at Week 6. For Hb, mean value at baseline was 13.1 g/dL (SD: 1.3), which dropped to a minimum of 11.5 g/dL (SD:1.3) at Week 6. Appendix A shows the weekly trend for the analyzed blood parameters during concurrent RT-CHT (Figure A1, Figure A2, Figure A3 and Figure A4).
Major non-hematologic toxicities comprised G3 events for skin and genitalia in 14% and 5% of patients, respectively (Table 4).
Maximum detected acute HT comprised 9% of patients experiencing leukopenia ≥ G3 and 5% with neutropenia ≥G3. Grade 3 anemia was observed in 5% of patients, while no G3 thrombocytopenia was detected. Up to 24% experienced G2 anemia and leukopenia and 9% G2 thrombocytopenia (Table 4). Overall, only 4 out of 21 patients treated (19%) experienced ≥G3 acute HT. That means that 17 patients (81%) experienced G0-G2 events, with a threshold set by the trial design at 9 patients (43%) at least.
Dosimetric parameters pertinent to both treatment volumes and standard organs at risk are shown in Table 5. Those relative to active BM are presented in Table 6. Appendix B shows dosimetric parameters for both pelvic bones and inactive BM (Table A1 and Table A2).

4. Discussion

Concurrent CHT-RT is the standard of care in patients affected with anal cancer, improving clinical outcomes over exclusive radiation alone as shown in the ACT-I and EORTC22861 trials [21,22]. Intensified CHT regimens are more effective compared to mono-chemotherapy regimens as observed in the intergroup study [23]. In first generation trials, RT was delivered employing 2- or 3-dimensional solutions, with the consequent effect that a consistent amount of normal tissues was exposed to unintended irradiation, with organs at risk such as bladder, bowel, perineal region and BM included within treatment fields to receive medium to high RT doses [3,21]. This led to a non-negligible toxicity profile as in the standard arm of the RTOG 9811 trial, where ≥G3 gastro-intestinal events were observed in 35% of patients, while ≥G3 acute HT was seen in up to 61% [3].
In particular, HT may have detrimental clinical repercussion on anal cancer patients, hampering their overall compliance to treatment and jeopardizing the oncological outcomes [9]. Even in more recent series, employing full course IMRT, acute HT was relevant with rates of ≥G3 events as high as 58%, as in Salama et al. and in the RTOG 0529 trial, particularly in case of lack of adoption of selective avoidance of the hematopoietic regions [4,24]. Bone marrow is a crucial dose-limiting cell renewal tissue for wide-field irradiation [6]. Since BM stem cells are exquisitely radiosensitive, RT has an important myelosuppressive effect, causing apoptosis and stromal damage, with peculiar pathologic and radiographic modification [6]. The major functional sites for BM in the adult population are the pelvis and lumbar vertebrae which account for approximately 60% of the body amount. Pelvic bones may contain up to 40% of the total functional BM [6,11]. This is the reason pelvic irradiation can be a contributing factor in determining HT in anal cancer patients during combined modality treatment. The extent of radiation-induced bone marrow damage has been demonstrated to be correlated with both radiation dose and BM volume receiving irradiation [7,8,9,10,11]. In this sense, we decided to test, within a prospective phase II trial, the hypothesis that selectively sparing BM comprised within pelvic bones may decrease the acute HT profile among anal cancer patients undergoing concurrent RT-CHT for squamous cell carcinoma of the anus.
The first procedural step to implement BM-sparing IMRT is the delineation of the bone marrow. Several approaches have been employed such as the use of the external surface of pelvic bones as a surrogate for BM, as in the RTOG 0418 trial [25]. Other authors outlined the marrow cavity, corresponding to the lower Hounsfield Unit part of an osseous segment as seen on computed tomography imaging [8]. Since functional imaging may be a useful tool in defining active BM within an osseous segment, potentially providing a more accurate spatial definition and a patient-specific localization, we employed 18FDG-PET to identify ACTBM (red marrow—involved in the hematopoietic process) and to differentiate it from the inactive marrow (yellow marrow—made of fat tissue) [6]. This is relevant, since BM distribution within bones can vary, depending on gender and age. As an example, Campbell et al. investigated BM distribution according to 18F-FLT-PET in a cohort of 51 lung cancer patients. Women had a higher proportion of functional BM in the pelvis, proximal femurs and skull, while men in the sternum and ribs, clavicles and scapulae. Elderly patients (>75 years) had a higher relative proportion of active BM in the ribs, clavicles, and scapulae [26]. The use of 18FDG-PET may be advantageous since it provides a reliable picture of individual BM distribution, allowing for accurate definition and localization, with a potential volume reduction compared to the use of the whole bone as a surrogate for BM. This may decrease the challenges experienced during treatment planning due to the simultaneous need for target coverage and avoidance of non-hematopoietic organs at risk such as bladder and bowel, facilitating the trade-off with the dose constraints targeting BM.
As in Rose et al., we employed the SUVmean calculated within BM for each patient to define and contour the ACTBM subregions [10]. The use of a patient-specific BM SUV threshold instead of a population-based modality represents a control tool towards eventual differences in terms of imaging process across different platforms and in terms of BM SUV values according to gender and age categories [10].
The second step of BM-sparing IMRT implies the inclusion of ACTBM as an organ at risk in the optimization process during treatment planning [27]. The combination of dose constraints was addressed to both low dose to PBM and medium-high doses to LSBM. The influence of low doses to PBM in determining a decrease in blood cell nadirs and the occurrence of acute HT has been documented in anal and cervical cancer patients where subjects reporting PBM V10 ≥ 90 and PBM V20 ≥ 75% were shown to have worse HT [7,17]. Hence, PBM V10 and V20 ≤ 90% and 75%, respectively, were used in our study, as in the INTERTECC-2 trial, which explored BM-sparing IMRT in cervical cancer patients [18]. With respect to LSBM, it has been shown that the relative proportion of ACTBM within LSBM is as high as 67% [11]. Moreover, ACTLSBM is centrally located and usually in close proximity to treatment volumes pertinent to both primary tumor and macroscopic nodes, with a higher likelihood to receive medium-high dose radiation if not properly taken into account [28]. That makes this structure relevant for the occurrence of HT during combined CHT-RT in anal cancer. We previously demonstrated that LSBM-V40 was correlated with a higher likelihood to develop ≥G3 HT in anal cancer patients [9,11]. Moreover, according to Lyman-Kutcher-Burman modeling, we outlined that LSBM mean dose should be kept <32 Gy to minimize >G3 HT rates in a similar population [19]. Hence, we also set ACTLSBM-V40 < 41 % and ACTLSBM-Dmean < 32 Gy as constraints in our treatment planning process to reduce HT. This approach also allowed to minimize the interplay effect between low dose to PBM and the tolerance threshold of LSBM to RT, as demonstrated by our group [19].
The performance of BM-sparing IMRT in terms of dosimetric outcomes was found to be robust, with respect to both target coverage and normal tissue avoidance. Standard organs at risk, such as bladder, bowel, external genitalia and femoral heads were adequately spared as average dose objectives were consistently met. With respect to hematopoietic structures, the dosimetric requirements were met on average for both ACTPBM (V10 and V20) and ACTLSBM (V40 and mean dose).
The acute toxicity profile was generally mild, with non-hematologic major toxicities (≥G3) being rather contained (skin: 14%; genitalia: 5%) and, interestingly no major gastro-intestinal events recorded. With respect to hematologic toxicity, only 4 out of 21 patients treated (19%) experienced ≥ G3 acute HT. This data is rather promising, since in our previous studies, reporting on patients treated with VMAT and image-guided IMRT delivered with no selective avoidance of BM, ≥G3 acute HT was consistently above 25% [5,29].
In the first step of this prospective phase II study, up to 17 patients (81%) experienced G0-G2 acute HT, way above the threshold set at 9 patients (43%). As per the trial design, these results prompted us to continue with the second step of this prospective phase II trial to reject the null hypothesis (no difference in acute HT between standard and BM-sparing IMRT) and to potentially fulfil the criteria to define BM-sparing IMRT as a “promising” treatment for anal cancer patients undergoing concurrent CHT-RT with definitive intent to reduce the acute hematologic toxicity profile.

5. Conclusions

The first step of this prospective phase II trial highlighted the feasibility of all the phases of the BM-sparing IMRT approach, including ACTBM segmentation based on 18FDG-PET, co-registration with simulation computed tomography and targeted optimization during the treatment planning process. The whole package was robustly implemented in clinical practice. Clinical results were found to be promising, with a detectable reduction in the acute HT profile, compared to historical data, >prompting us to conclude the second part of this prospective phase II trial.

Author Contributions

F.A., P.F.: trial design, implementation and standardization of the approach, patient accrual and management, data analysis, manuscript draft; P.S., F.O., A.G., V.D.L.: patient management, data collection and analysis; M.M., P.C., P.R., A.L.: patient multidisciplinary management, treatment standardization and manuscript revision; E.G., C.F.: radiotherapy standardization and optimization, data analysis, manuscript revision; U.R.: manuscript revision. All authors have read and agreed to the published version of the manuscript.

Funding

This research received no external funding.

Conflicts of Interest

The authors declare no conflict of interest.

Appendix A

Figure A1. White blood cell count trend during treatment.
Figure A1. White blood cell count trend during treatment.
Cancers 12 03306 g0a1
Figure A2. Nutrophil count trend during treatment.
Figure A2. Nutrophil count trend during treatment.
Cancers 12 03306 g0a2
Figure A3. Platelet count trend during treatment.
Figure A3. Platelet count trend during treatment.
Cancers 12 03306 g0a3
Figure A4. Hemoglobin level trend during treatment.
Figure A4. Hemoglobin level trend during treatment.
Cancers 12 03306 g0a4

Appendix B

Table A1. Dosimetric parameters for pelvic bones and their subsites as outlined using the outer contours of the osseous segments.
Table A1. Dosimetric parameters for pelvic bones and their subsites as outlined using the outer contours of the osseous segments.
Structure Structure
ParameterMeanSD ParameterMeanSD
PBMDmean24.762.47IBMDmean33.1956.66
V595.804.67 V592.7112.82
V1085.487.53 V1080.2311.80
V1572.338.24 V1566.9512.82
V2059.677.90 V2052.5714.37
V3036.197.27 V3027.3817.51
V40165.08 V4012.0919.21
V4543.20 V455.6619.88
V500.380.97 V504.4320.07
LSBMDmean30.154.30LPBMDmean24.282.74
V594.247.64 V599.192.87
V1089.8010.48 V1087.719.90
V1584.2311.77 V1570.7610.45
V2076.8612.65 V2056.909.34
V3056.4711.85 V3034.048.54
V4029.529.90 V4014.434.92
V457.806.78 V453.952.76
V501.052.54 V500.330.79
Table A2. Dosimetric parameters of inactive bone marrow as outlined on positron emission tomography.
Table A2. Dosimetric parameters of inactive bone marrow as outlined on positron emission tomography.
Structure Structure
ParameterMeanSD ParameterMeanSD
1-PBM PETDmean242.901-IBM PETDmean213.44
V5963.96 V59111.11
V10857.26 V107911.75
V15708.87 V156512.65
V205610.15 V204813.32
V30339.68 V30228.99
V40145.67 V4085.23
V4542.92 V4511.64
V500.20.68 V5000
1-LSBM PETDmean314.701-LPBM PETDmean
V5965.39 V5993.32
V10938.88 V108710.61
V158511.99 V156811.41
V207615.50 V205311.42
V305615.66 V30309.76
V403110.42 V40114.87
V45119.56 V4531.80
V5023.77 V500.13.06

References

  1. James, R.D.; Glynne-Jones, R.; Meadows, H.M.; Cunningham, D.; Myint, A.S.; Saunders, M.P.; Maughan, T.; McDonald, A.; Essapen, S.; Leslie, M.; et al. Mitomycin or cisplatin chemoradiation with or without maintenance chemotherapy for treatment of squamous-cell carcinoma of the anus (ACT II): A randomised, phase 3, open-label, 2 × 2 factorial trial. Lancet Oncol. 2013, 14, 516–524. [Google Scholar] [CrossRef]
  2. Franco, P.; Mistrangelo, M.; Arcadipane, F.; Munoz, F.; Sciacero, P.; Spadi, R.; Migliaccio, F.; Angelini, V.; Bombaci, S.; Rondi, N.; et al. Intensity-modulated radiation therapy with simultaneous integrated boost combined with concurrent chemotherapy for the treatment of anal cancer patients: 4-year results of a consecutive case series. Cancer Investig. 2015, 33, 259–266. [Google Scholar] [CrossRef] [PubMed][Green Version]
  3. Ajani, J.A.; Winter, K.A.; Gunderson, L.L.; Pedersen, J.; Benson, A.B., 3rd; Thomas, C.R., Jr.; Mayer, R.J.; Haddock, M.G.; Rich, T.A.; Willett, C. Fluorouracil, mitomycin, and radiotherapy vs fluorouracil, cisplatin, and radiotherapy for carcinoma of the anal canal: A randomized controlled trial. JAMA 2008, 299, 1914–1921. [Google Scholar] [CrossRef] [PubMed]
  4. Kachnic, L.A.; Winter, K.; Myerson, R.J.; Goodyear, M.D.; Willins, J.; Esthappan, J.; Haddock, M.G.; Rotman, M.; Parikh, P.J.; Safran, H.; et al. RTOG 0529: A phase 2 evaluation of dose-painted intensity modulated radiation therapy in combination with 5-fluorouracil and mitomycin C for the reduction of acute morbidity in carcinoma of the anal canal. Int. J. Radiat. Oncol. Biol. Phys. 2013, 86, 27–33. [Google Scholar] [CrossRef]
  5. Franco, P.; Arcadipane, F.; Ragona, R.; Mistrangelo, M.; Cassoni, P.; Munoz, F.; Rondi, N.; Morino, M.; Racca, P.; Ricardi, U. Volumetric modulated arc therapy (VMAT) in the combined modality treatment of anal cancer patients. Br. J. Radiol. 2016, 89, 2015832. [Google Scholar] [CrossRef]
  6. Franco, P.; Arcadipane, F.; Ragona, R.; Mistrangelo, M.; Cassoni, P.; Racca, P.; Morino, M.; Numico, G.; Ricardi, U. Hematologic toxicity in anal cnacer patients during combined chemo-radiation: A radiation oncologist perspective. Expert Rev. Anticancer Ther. 2017, 17. [Google Scholar] [CrossRef]
  7. Mell, L.K.; Schomas, D.A.; Salama, J.K.; Devisetty, K.; Aydogan, B.; Miller, R.C.; Jani, A.B.; Kindler, H.L.; Mundt, A.J.; Roeske, J.C.; et al. Association between bone marrow dosimetric parameters and acute hematologic toxicity in anal cancer patients treated with concurrent chemotherapy and intensity-modulated radiotherapy. Int. J. Radiat. Oncol. Biol. Phys. 2008, 70, 1431–1437. [Google Scholar] [CrossRef] [PubMed]
  8. Cheng, J.C.; Bazan, J.G.; Wu, J.K.; Koong, A.C.; Chang, D.T. Lumbosacral spine and marrow cavity modeling of acute hematologic toxicity in patients treated with intensity modulated radiation therapy for squamous cell carcinoma of the anal canal. Pract. Radiat. Oncol. 2014, 4, 198–206. [Google Scholar] [CrossRef] [PubMed]
  9. Franco, P.; Ragona, R.; Arcadipane, F.; Mistrangelo, M.; Cassoni, P.; Rondi, N.; Morino, M.; Racca, P.; Ricardi, U. Dosimetric predictors of acute hematologic toxicity during concurrent intensity-modulated radiotherapy and chemotherapy for anal cancer. Clin. Transl. Oncol. 2017, 19, 67–75. [Google Scholar] [CrossRef] [PubMed]
  10. Rose, B.S.; Jee, K.W.; Niemierko, A.; Murphy, J.E.; Blaszkowsky, L.S.; Allen, J.N.; Lee, L.K.; Wang, Y.; Drapek, L.C.; Hong, T.S.; et al. Irradiation of FDG-PET-defined active bone marrow subregions and acute hematologic toxicity in anal cancer patients undergoing chemoradiation. Int. J. Radiat. Oncol. Biol. Phys. 2016, 94, 747–754. [Google Scholar] [CrossRef]
  11. Franco, P.; Arcadipane, F.; Ragona, R.; Lesca, A.; Gallio, E.; Mistrangelo, M.; Cassoni, P.; Arena, V.; Bustreo, S.; Faletti, R.; et al. Dose to specific subregions of pelvic bone marrow defined with FDG-PET as a predictor of hematologic nadirs during concomitant chemoradiation in anal cancer patients. Med. Oncol. 2016, 33, 72. [Google Scholar] [CrossRef] [PubMed]
  12. Edge, S.B.; Compton, C.C. The American Joint Committee on Cancer: The 7th Edition of the AJCC Cancer Staging Manual and the Future of TNM. Ann. Surg. Oncol. 2010, 17, 1471–1474. [Google Scholar] [CrossRef] [PubMed]
  13. Simon, R. Optimal two-stage designs for phase II clinical trials. Control. Clin. Trials 1989, 10, 1–10. [Google Scholar] [CrossRef]
  14. Myerson, R.J.; Garofalo, M.C.; El Naqa, I.; Abrams, R.A.; Apte, A.; Bosch, W.R.; Das, P.; Gunderson, L.L.; Hong, T.S.; Kim, J.J.; et al. Elective clinical target volumes for conformal therapy in anorectal cancer: A radiation therapy oncology consensus panel contouring atlas. Int. J. Radiat. Oncol. Biol. Phys. 2009, 74, 824–830. [Google Scholar] [CrossRef] [PubMed]
  15. Ng, M.; Leong, T.; Chander, S.; Chu, J.; Kneebone, A.; Carroll, S.; Wiltshire, K.; Ngan, S.; Kachnic, L. Australasian Gastrointestinal Trials Group (AGITG) contouring atlas and planning guidelines for intensity-modulated radiotherapy in anal cancer. Int. J. Radiat. Oncol. Biol. Phys. 2012, 83, 1455–1462. [Google Scholar] [CrossRef]
  16. Kachnic, L.A.; Tsai, H.K.; Coen, J.J.; Blaszkowsky, L.S.; Hartshorn, K.; Kwak, E.L.; Willins, J.D.; Ryan, D.P.; Hong, T.S. Dose-painted intensity-modulated radiation therapy for anal cancer: A multi-institutional report of acute toxicity and response to therapy. Int. J. Radiat. Oncol. Biol. Phys. 2012, 82, 153–158. [Google Scholar] [CrossRef]
  17. Mell, L.K.; Kochanski, J.D.; Roeske, J.C.; Haslam, J.J.; Mehta, N.; Yamada, S.D.; Hurteau, J.A.; Collins, Y.C.; Lengyel, E.; Mundt, A.J. Dosimetric predictors of acute hematologic toxicity in cervical cancer patients with concurrent cisplatin and intensity-modulated pelvic radiotherapy. Int. J. Radiat. Oncol. Biol. Phys. 2006, 66, 1356–1365. [Google Scholar] [CrossRef] [PubMed]
  18. Mell, L.K.; Sirak, I.; Wei, L.; Tarnawski, R.; Mahantshetty, U.; Yashar, C.M.; McHale, M.T.; Xu, R.; Honerkamp-Smith, G.; Carmona, R.; et al. Bone marrow-sparing internsity modulated radiation therapy with concurrent cisplatin for stage I—IVA cervical cancer: An international multicenter phase II clinical trial (INTERTECC-2). Int. J. Radiat. Oncol. Biol. Phys. 2017, 97, 536–545. [Google Scholar] [CrossRef]
  19. Franco, P.; Ragona, R.; Arcadipane, F.; Mistrangelo, M.; Cassoni, P.; Rondi, N.; Morino, M.; Racca, P.; Ricardi, U. Lumbar-sacral bone marrow dose modeling for acute hematological toxicity in anal cancer patients treated with concurrent chemo-radiation. Med. Oncol. 2016, 33, 137. [Google Scholar] [CrossRef]
  20. Common Terminology Criteria for Adverse Events (CTCAE) Version 4.0. Available online: www.evs.nci.nih.gov (accessed on 12 September 2020).
  21. UKCCCR Anal cancer Trial Working Party. UK Co-ordination Committee on Cancer Research: Epidermoid anal cancer: Results from the UKCCCR randomized trial of radiotherapy alone versus radiotherapy, 5-fluorouracil, and mitomycin. Lancet 1996, 348, 1049–1054. [Google Scholar] [CrossRef]
  22. Bartelink, H.; Roelofsen, F.; Eschwege, F.; Rougier, P.; Bosset, J.F.; Gonzalez, D.G.; Peiffert, D.; van Glabbeke, M.; Pierart, M. Concomitant radiotherapy and chemotherapy is superior to radiotherapy alone in the treatment of locally advanced anal cancer: Results of a phase III randomized trial of the European Organization for Research and Treatment of Cancer Radiotherapy and Gastrointestinal Cooperative Group. J. Clin. Oncol. 1997, 15, 2040–2049. [Google Scholar] [CrossRef]
  23. Flam, M.; John, M.; Pajak, T.F.; Petrelli, N.; Myerson, R.; Doggett, S.; Quivey, J.; Rotman, M.; Kerman, H.; Coia, L.; et al. Role of mytomicin in combination with fluorouracil and radiotherapy, and salvage chemoradiation in the definitive nonsurgical treatment of epidermoid carcinoma of the anal canal: Results of a phase III randomized intergroup study. J. Clin. Oncol. 1996, 14, 2527–2539. [Google Scholar] [CrossRef]
  24. Salama, J.; Mell, L.K.; Schomas, D.A.; Miller, R.C.; Devisetty, K.; Jani, A.B.; Mundt, A.J.; Roeske, J.C.; Liauw, S.L.; Chmura, S.J. Concurrent chemotherapy and intensity modulated radiation therapy for anal cancer patients: A multicenter experience. J. Clin. Oncol. 2007, 25, 4581–4586. [Google Scholar] [CrossRef] [PubMed]
  25. Klopp, A.H.; Moughan, J.; Portelance, L.; Miller, B.E.; Salehpour, M.R.; Hildebrandt, E.; Nuanjing, J.; D’Souza, D.; Souhami, L.; Small, W., Jr.; et al. Hematologic toxicity in RTOG 0418: A phase 2 study of postoperative IMRT for gynecologic cancer. Int. J. Radiat. Oncol. Biol. Phys. 2013, 86, 83–90. [Google Scholar] [CrossRef] [PubMed]
  26. Campbell, B.A.; Callahan, J.; Bressel, M.; Simoens, N.; Everitt, S.; Hofman, M.S.; Hicks, R.J.; Burbury, K.; MacManus, M. Distribution atlas of proliferating bone marrow in non-small cell lung cancer patients measured by FLT-PET/CT imaging, with potential applicability in radiation therapy planning. Int. J. Radiat. Oncol. Biol. Phys. 2015, 92, 1035–1043. [Google Scholar] [CrossRef] [PubMed]
  27. Franco, P.; Fiandra, C.; Arcadipane, F.; Trino, E.; Giglioli, F.R.; Ragona, R.; Ricardi, U. Incorporating (18)FDG-PET-defined pelvic active bone marrow in the automatic treatment planning process of anal cancer patient undergoing chemo-radiation. BMC Cancer 2017, 17, 710. [Google Scholar] [CrossRef]
  28. McGuire, S.M.; Menda, Y.; Boles Ponto, L.L.; Gross, B.; TenNapel, M.; Smith, B.J.; Bayouth, J.E. Spatial mapping of functional pelvic bone marrow using FLT PET. J. Appl. Clin. Med. Phys. 2014, 15, 4780. [Google Scholar] [CrossRef]
  29. Arcadipane, F.; Franco, P.; Ceccarelli, M.; Furfaro, G.; Rondi, N.; Trino, E.; Martini, S.; Iorio, G.C.; Mistrangelo, M.; Cassoni, P.; et al. Image-guided IMRT with simultaneous integrated boost as per RTOG 0529 for the treatment of anal cancer. Asia Pac. J. Clin. Oncol. 2018, 14, 217–223. [Google Scholar] [CrossRef]
Figure 1. Active bone marrow segmentation within the pelvis.
Figure 1. Active bone marrow segmentation within the pelvis.
Cancers 12 03306 g001
Figure 2. Isodose distribution for a bone marrow-sparing intensity-modulated radiotherapy treatment plan.
Figure 2. Isodose distribution for a bone marrow-sparing intensity-modulated radiotherapy treatment plan.
Cancers 12 03306 g002
Figure 3. Comprehensive workflow for BM-sparing IMRT. CT: computed tomography; PBM: pelvic bone marrow; LSBM: lumbar-sacral bone marrow; IBM; iliac bone marrow; LPBM: lower-pelvic bone marrow; PET: positron-emission tomography; OARs: organs at risk.
Figure 3. Comprehensive workflow for BM-sparing IMRT. CT: computed tomography; PBM: pelvic bone marrow; LSBM: lumbar-sacral bone marrow; IBM; iliac bone marrow; LPBM: lower-pelvic bone marrow; PET: positron-emission tomography; OARs: organs at risk.
Cancers 12 03306 g003
Table 1. Dose constraints employed in the optimization process during treatment planning.
Table 1. Dose constraints employed in the optimization process during treatment planning.
StructureParameterGoal
PTVD95%≥95%
Dmax≤107%
BladderV30<50%
V40<35%
V50<5%
Large BowelV30<200 cm3
V35<150 cm3
V40<20 cm3
Dmax<50 Gy
Small BowelV30<200 cm3
V35<150 cm3
V40<20 cm3
Dmax<50 Gy
External GenitaliaV20<50%
V30<35%
V40<5%
Femoral HeadsV30<50%
V40<35%
V50<5%
Active PBMV10<90%
V20<75%
Active LSBMV40<41%
Dmean<32 Gy
Legend: PTV: planning target volume; PBM: pelvic bone marrow; LSBM: lumbar-sacral bone marrow.
Table 2. Patient and tumor characteristics.
Table 2. Patient and tumor characteristics.
VariableN (%)
Age
Mean64
Range29–81
Sex
Female15 (71)
Male6 (29)
HIV status
Positive2 (10)
Negative19 (90)
Primary tumor site
Anal canal19 (90)
Anal margin1 (5)
Both1 (5)
T-stage
T11 (5)
T28 (38)
T38 (38)
T43 (14)
N-stage
N06 (29)
N115 (71)
Global stage
I0 (0)
IIA5 (24)
IIB1 (5)
IIIA6 (28)
IIIB0 (0)
IIIC9 (43)
Grading
G10 (0)
G24 (19)
G33 (14)
NA14 (67)
Legend: N: number; T-stage: tumor stage; N-stage: nodal stage; NA: not available.
Table 3. Treatment characteristics.
Table 3. Treatment characteristics.
VariableN (%)
VMAT approach
Single-arc3 (14)
Dual-arc18 (86)
PTV dose-tumor (Gy)
54 Gy/30 fractions20 (95)
50.4 Gy/28 fractions1 (5)
PTV dose-positive nodes (Gy)- 12 pts
54 Gy/30 fractions0 (0)
50.4 Gy/30 fractions12 (100)
PTV dose-negative nodes (Gy)
45 Gy/30 fractions20 (95)
42 Gy/30 fractions1 (5)
Chemotherapy
5-FU + MMC21 (100)
Cycles
11 (5)
220 (95)
Chemotherapy dose reduction
Yes1 (5)
No20 (95)
RT duration (days)
Mean46
Range38–77
Legend: IMRT: intensity-modulated radiotherapy; PTV: planning target volume; N: number; 5-FU: 5-fluorouracil; MMC: mytomicin C; RT: radiotherapy.
Table 4. Acute toxicity profile.
Table 4. Acute toxicity profile.
Acute ToxicityG0G1G2G3G4
Skin0 (0)38 (0)10 (48) 3 (14)0 (0)
Gastro-intestinal7 (33)6 (29)8 (38)0 (0)0 (0)
Urinary 6 (28)10 (48) 5 (24)0 (0)0 (0)
Genitalia9 (43)7 (33) 4 (19)1 (5)0 (0)
Anemia13 (62)5 (24)2 (9)1 (5)0 (0)
Leukopenia5 (24)5 (24)8 (38)2 (9)1 (5)
Neutropenia11 (53)2 (9)5 (24)1 (5)2 (9)
Thrombocytopenia17 (82)2 (9)2 (9)0 (0)0 (0)
Table 5. Dosimetric parameters for both target volumes and organs at risk.
Table 5. Dosimetric parameters for both target volumes and organs at risk.
PTV
StructureParameterMeanSD
D98 (Gy)-50.4 Gy480
PTV-tumorD2 (Gy)-50.4 Gy540
D98 (Gy)-54 Gy50.22.44
D2 (Gy)-54 Gy57.551.36
V95 (%)95.458.61
V107 (%)2.662.81
PTV-elective volumesD98 (Gy)-42 Gy480
D2 (Gy)-42 Gy540
D98 (Gy)-45 Gy50.22.44
D2 (Gy)-45 Gy57.551.36
V95 (%)95.458.61
V107 (%)2.662.81
OARs
Organ at riskParameterMeanSD
BladderV30 (%)42.9514.3
V40 (%)18.6715.76
V50 (%)4.3312.31
D2 (Gy)45.904.97
Mean dose (Gy)29.294.23
BowelV30 (cc)88.86108.05
V35 (cc)63.3878.42
V40 (cc)1924.65
V45 (cc)5.906.99
D2 (Gy)44.473.35
Mean dose (Gy)18.205.07
External genitaliaV20 (%)39.6724.87
V30 (%)27.8021.86
V40 (%)18.1413.57
D2 (Gy)49.6110.60
Mean dose (Gy)21.4310.16
Femoral headsV30 (%)138.14
V40 (%)45.70
V45 (%)14.56
V50 (%)14.35
D2 (Gy)405.10
Mean dose (Gy)173.42
Legend: PTV: planning target volume; OAR: organs at risk; cc: cubic centimeters; SD standard deviation; Gy: Gray.
Table 6. Dosimetric parameters for pelvic active bone marrow.
Table 6. Dosimetric parameters for pelvic active bone marrow.
StructureParameterResultsStructureParameterResults
MeanSD MeanSD
ACTPBMDmean (Gy)25.573.17ACTIBMDmean (Gy)21.763.74
V595.485.94 V594.008.26
V1086.098.84 V1080.4312.05
V1575.529.59 V1566.9513.81
V2064.249.16 V2052.6214.03
V3040.148.90 V3025.6111.75
V4017.626.58 V408.236.38
V454.384.05 V451.332.61
V500.571.28 V500.140.48
ACTLSBMDmean (Gy)29.904.98ACTLPBMDmean (Gy)273.14
V593.679.43 V51000.00
V1088.7612.87 V1091.578.13
V1583.5214.43 V1579.6112.60
V2076.1914.78 V2067.3812.13
V3055.8613.36 V3041.2410.00
V4028.5710.84 V4018.287.11
V456.906.04 V455.675.01
V501.002.28 V500.711.70
Legend: Gy: Gray; SD: standard deviation; ACTPBM: active pelvic bone marrow; ACTIBM: active iliac bone marrow; ACTLSBM: active lumbar-sacral bone marrow; ACTLPBM: active lower pelvic bone marrow.
Publisher’s Note: MDPI stays neutral with regard to jurisdictional claims in published maps and institutional affiliations.

Share and Cite

MDPI and ACS Style

Arcadipane, F.; Silvetti, P.; Olivero, F.; Gastino, A.; De Luca, V.; Mistrangelo, M.; Cassoni, P.; Racca, P.; Gallio, E.; Lesca, A.; et al. Bone Marrow-Sparing IMRT in Anal Cancer Patients Undergoing Concurrent Chemo-Radiation: Results of the First Phase of a Prospective Phase II Trial. Cancers 2020, 12, 3306. https://doi.org/10.3390/cancers12113306

AMA Style

Arcadipane F, Silvetti P, Olivero F, Gastino A, De Luca V, Mistrangelo M, Cassoni P, Racca P, Gallio E, Lesca A, et al. Bone Marrow-Sparing IMRT in Anal Cancer Patients Undergoing Concurrent Chemo-Radiation: Results of the First Phase of a Prospective Phase II Trial. Cancers. 2020; 12(11):3306. https://doi.org/10.3390/cancers12113306

Chicago/Turabian Style

Arcadipane, Francesca, Patrick Silvetti, Francesco Olivero, Alessio Gastino, Viola De Luca, Massimiliano Mistrangelo, Paola Cassoni, Patrizia Racca, Elena Gallio, Adriana Lesca, and et al. 2020. "Bone Marrow-Sparing IMRT in Anal Cancer Patients Undergoing Concurrent Chemo-Radiation: Results of the First Phase of a Prospective Phase II Trial" Cancers 12, no. 11: 3306. https://doi.org/10.3390/cancers12113306

APA Style

Arcadipane, F., Silvetti, P., Olivero, F., Gastino, A., De Luca, V., Mistrangelo, M., Cassoni, P., Racca, P., Gallio, E., Lesca, A., Fiandra, C., Ricardi, U., & Franco, P. (2020). Bone Marrow-Sparing IMRT in Anal Cancer Patients Undergoing Concurrent Chemo-Radiation: Results of the First Phase of a Prospective Phase II Trial. Cancers, 12(11), 3306. https://doi.org/10.3390/cancers12113306

Note that from the first issue of 2016, this journal uses article numbers instead of page numbers. See further details here.

Article Metrics

Back to TopTop