New Developments in Imaging for Sentinel Lymph Node Biopsy in Early-Stage Oral Cavity Squamous Cell Carcinoma
Simple Summary
Abstract
1. Introduction
2. Results
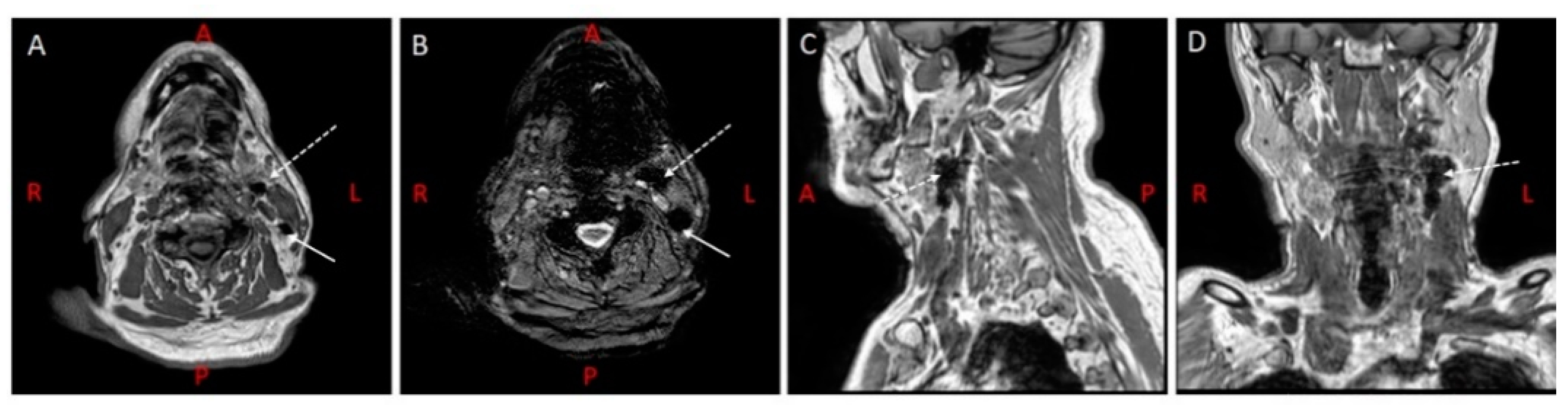
2.1. Magnetic Resonance Lymphography
2.2. CT Lymphography
2.3. PET Lymphoscintigraphy
2.4. Contrast-Enhanced Lymphosonography
3. Discussion
3.1. MR Lymphography
3.2. CT Lymphography
3.3. PET Lymphoscintigraphy
3.4. Contrast-Enhanced Lymphosonography
4. Materials and Methods
4.1. MR Lymphography
4.2. CT Lymphography
4.3. PET Lymphoscintigraphy
4.4. Contrast-Enhanced Lymphosonography
5. Conclusions
Author Contributions
Funding
Conflicts of Interest
References
- D’Cruz, A.K.; Vaish, R.; Kapre, N.; Dandekar, M.; Gupta, S.; Hawaldar, R.; Agarwal, J.P.; Pantvaidya, G.; Chaukar, D.; Deshmukh, A.D.; et al. Elective versus Therapeutic Neck Dissection in Node-Negative Oral Cancer. N. Engl. J. Med. 2015, 373, 521–529. [Google Scholar] [CrossRef]
- Abu-Ghanem, S.; Yehuda, M.; Carmel, N.-N.; Leshno, M.; Abergel, A.; Gutfeld, O.; Fliss, D.M. Elective Neck Dissection vs Observation in Early-Stage Squamous Cell Carcinoma of the Oral Tongue with No Clinically Apparent Lymph Node Metastasis in the Neck. JAMA Otolaryngol. Neck Surg. 2016, 142, 857–865. [Google Scholar] [CrossRef] [PubMed]
- De Bree, R.; Takes, R.P.; Shah, J.P.; Hamoir, M.; Kowalski, L.P.; Robbins, K.T.; Rodrigo, J.P.; Rodrigo, J.P.; Medina, J.E.; Rinaldo, A.; et al. Elective neck dissection in oral squamous cell carcinoma: Past, present and future. Oral Oncol. 2019, 90, 87–93. [Google Scholar] [CrossRef]
- Toom, I.J.D.; Boeve, K.; Lobeek, D.; Bloemena, E.; Donswijk, M.L.; de Keizer, B.; Klop, W.M.C.; Leemans, C.; Willems, S.M.; Takes, R.P.; et al. Elective Neck Dissection or Sentinel Lymph Node Biopsy in Early Stage Oral Cavity Cancer Patients: The Dutch Experience. Cancers 2020, 12, 1783. [Google Scholar] [CrossRef] [PubMed]
- Schilling, C.; Shaw, R.; Schache, A.G.; McMahon, J.; Chegini, S.; Kerawala, C.; McGurk, M. Sentinel lymph node biopsy for oral squamous cell carcinoma. Where are we now? Br. J. Oral Maxillofac. Surg. 2017, 55, 757–762. [Google Scholar] [CrossRef] [PubMed]
- Cramer, J.D.; Sridharan, S.; Ferris, R.L.; Duvvuri, U.; Samant, S. Sentinel Lymph Node Biopsy Versus Elective Neck Dissection for Stage I to II Oral Cavity Cancer. Laryngoscope 2018, 129, 162–169. [Google Scholar] [CrossRef]
- Schiefke, F.; Akdemir, M.; Weber, A.; Akdemir, D.; Singer, S.; Frerich, B. Function, postoperative morbidity, and quality of life after cervical sentinel node biopsy and after selective neck dissection. Head Neck 2009, 31, 503–512. [Google Scholar] [CrossRef]
- Murer, K.; Huber, G.F.; Haile, S.R.; Stoeckli, S.J. Comparison of morbidity between sentinel node biopsy and elective neck dissection for treatment of the n0 neck in patients with oral squamous cell carcinoma. Head Neck 2010, 33, 1260–1264. [Google Scholar] [CrossRef]
- Govers, T.M.; Schreuder, W.; Klop, W.; Grutters, J.P.C.; Rovers, M.; Merkx, M.A.W.; Takes, R. Quality of life after different procedures for regional control in oral cancer patients: Cross-sectional survey. Clin. Otolaryngol. 2016, 41, 228–233. [Google Scholar] [CrossRef]
- Govers, T.M.; Takes, R.P.; Karakullukcu, B.; Hannink, G.; Merkx, M.A.W.; Grutters, J.P.C.; Rovers, M. Management of the N0 neck in early stage oral squamous cell cancer: A modeling study of the cost-effectiveness. Oral Oncol. 2013, 49, 771–777. [Google Scholar] [CrossRef]
- De Bree, R.; Nieweg, O.E. The history of sentinel node biopsy in head and neck cancer: From visualization of lymphatic vessels to sentinel nodes. Oral Oncol. 2015, 51, 819–823. [Google Scholar] [CrossRef] [PubMed]
- Schilling, C.; Stoeckli, S.J.; Vigili, M.G.; de Bree, R.; Lai, S.Y.; Alvarez, J.; Christensen, A.; Cognetti, D.M.; D’Cruz, A.K.; Frerich, B.; et al. Surgical consensus guidelines on sentinel node biopsy (SNB) in patients with oral cancer. Head Neck 2019, 41, 2655–2664. [Google Scholar] [CrossRef] [PubMed]
- Alkureishi, L.W.T.; Burak, Z.; Alvarez, J.A.; Ballinger, J.; Bilde, A.; Britten, A.J.; Calabrese, L.; Chiesa, C.; Chiti, A.; de Bree, R.; et al. Joint Practice Guidelines for Radionuclide Lymphoscintigraphy for Sentinel Node Localization in Oral/Oropharyngeal Squamous Cell Carcinoma. Ann. Surg. Oncol. 2009, 16, 3190–3210. [Google Scholar] [CrossRef] [PubMed]
- Giammarile, F.; Schilling, C.; Gnanasegaran, G.; Bal, C.; Oyen, W.J.G.; Rubello, D.; Schwarz, T.; Tartaglione, G.; Miller, R.N.; Paez, D.; et al. The EANM practical guidelines for sentinel lymph node localisation in oral cavity squamous cell carcinoma. Eur. J. Nucl. Med. Mol. Imaging 2018, 46, 623–637. [Google Scholar] [CrossRef]
- Sandhu, S.V.; Dhawan, I.; Bhandari, R.; Sood, N.; Bhullar, R.K.; Sethi, N. Detection of cervical lymph node micrometastasis and isolated tumor cells in oral squamous cell carcinoma using immunohistochemistry and serial sectioning. J. Oral Maxillofac. Pathol. 2016, 20, 436–444. [Google Scholar] [CrossRef]
- Liu, M.; Wang, S.J.; Yang, X.; Peng, H. Diagnostic Efficacy of Sentinel Lymph Node Biopsy in Early Oral Squamous Cell Carcinoma: A Meta-Analysis of 66 Studies. PLoS ONE 2017, 12, e0170322. [Google Scholar] [CrossRef]
- Boeve, K.; Schepman, K.; Schuuring, E.; Roodenburg, J.; de Bree, R.; Boorsma, R.; de Visscher, J.; Brouwers, A.; van der Vegt, B.; Witjes, M.J.H.; et al. High sensitivity and negative predictive value of sentinel lymph node biopsy in a retrospective early stage oral cavity cancer cohort in the Northern Netherlands. Clin. Otolaryngol. 2018. [Google Scholar] [CrossRef]
- Toom, I.J.D.; Heuveling, D.; Flach, G.B.; van Weert, S.; Karagozoglu, K.H.; van Schie, A.; Bloemena, E.; Leemans, C.R.; Jansen, F. Sentinel node biopsy for early-stage oral cavity cancer: The VU University Medical Center experience. Head Neck 2014, 37, 573–578. [Google Scholar] [CrossRef]
- Alkureishi, L.W.T.; Ross, G.L.; Shoaib, T.; Soutar, D.S.; Robertson, A.G.; Thompson, R.; Hunter, K.D.; Sørensen, J.A.; Thomsen, J.B.; Krogdahl, A.; et al. Sentinel Node Biopsy in Head and Neck Squamous Cell Cancer: 5-Year Follow-Up of a European Multicenter Trial. Ann. Surg. Oncol. 2010, 17, 2459–2464. [Google Scholar] [CrossRef]
- Pedersen, N.J.; Jensen, D.H.; Hedbäck, N.; Frendø, M.; Kiss, K.; Lelkaitis, G.; Mortensen, J.; Christensen, A.; Specht, L.; von Buchwald, C. Staging of early lymph node metastases with the sentinel lymph node technique and predictive factors in T1/T2 oral cavity cancer: A retrospective single-center study. Head Neck 2015, 38, E1033–E1040. [Google Scholar] [CrossRef]
- Stoeckli, S.J.; Huebner, T.; Huber, G.F.; Broglie, M.A. Technique for reliable sentinel node biopsy in squamous cell carcinomas of the floor of mouth. Head Neck 2016, 38, 1367–1372. [Google Scholar] [CrossRef] [PubMed]
- Bae, S.; Lee, H.J.; Nam, W.; Koh, Y.W.; Choi, E.; Kim, J. MR lymphography for sentinel lymph node detection in patients with oral cavity cancer: Preliminary clinical study. Head Neck 2018, 40, 1483–1488. [Google Scholar] [CrossRef] [PubMed]
- Hernando, J.; Aguirre, P.; Aguilar-Salvatierra, A.; Leizaola-Cardesa, I.O.; Bidaguren, A.; Gómez-Moreno, G. Magnetic detection of sentinel nodes in oral squamous cell carcinoma by means of superparamagnetic iron oxide contrast. J. Surg. Oncol. 2019, 121, 244–248. [Google Scholar] [CrossRef] [PubMed]
- Mizokami, D.; Kosuda, S.; Tomifuji, M.; Araki, K.; Yamashita, T.; Shinmoto, H.; Shiotani, A. Superparamagnetic iron oxide-enhanced interstitial magnetic resonance lymphography to detect a sentinel lymph node in tongue cancer patients. Acta Oto-Laryngol. 2012, 133, 418–423. [Google Scholar] [CrossRef]
- Maza, S.; Taupitz, M.; Taymoorian, K.; Winzer, K.J.; Rückert, J.; Paschen, C.; Räber, G.; Schneider, S.; Trefzer, U.; Munz, D.L. Multimodal fusion imaging ensemble for targeted sentinel lymph node management: Initial results of an innovative promising approach for anatomically difficult lymphatic drainage in different tumour entities. Eur. J. Nucl. Med. Mol. Imaging 2006, 34, 378–383. [Google Scholar] [CrossRef]
- Sugiyama, S.; Iwai, T.; Izumi, T.; Baba, J.; Oguri, S.; Hirota, M.; Mitsudo, K. Sentinel lymph node mapping of clinically N0 early oral cancer: A diagnostic pitfall on CT lymphography. Oral Radiol. 2020, 1–5. [Google Scholar] [CrossRef]
- Ishiguro, K.; Iwai, T.; Izumi, T.; Sugiyama, S.; Baba, J.; Oguri, S.; Hirota, M.; Mitsudo, K. Sentinel lymph node biopsy with preoperative CT lymphography and intraoperative indocyanine green fluorescence imaging for N0 early tongue cancer: A long-term follow-up study. J. Cranio-Maxillofac. Surg. 2020, 48, 217–222. [Google Scholar] [CrossRef]
- Honda, K.; Ishiyama, K.; Suzuki, S.; Kawasaki, Y.; Saito, H.; Horii, A. Sentinel Lymph Node Biopsy using Preoperative Computed Tomographic Lymphography and Intraoperative Indocyanine Green Fluorescence Imaging in Patients with Localized Tongue Cancer. JAMA Otolaryngol. Neck Surg. 2019, 145, 735–740. [Google Scholar] [CrossRef]
- Honda, K.; Ishiyama, K.; Suzuki, S.; Oumi, E.; Sato, T.; Kawasaki, Y.; Saito, H.; Ishikawa, K. Sentinel lymph node biopsy using computed tomographic lymphography in patients with early tongue cancer. Acta Oto-Laryngol. 2015, 135, 507–512. [Google Scholar] [CrossRef][Green Version]
- Sugiyama, S.; Iwai, T.; Izumi, T.; Ishiguro, K.; Baba, J.; Oguri, S.; Mitsudo, K. CT lymphography for sentinel lymph node mapping of clinically N0 early oral cancer. Cancer Imaging 2019, 19, 72. [Google Scholar] [CrossRef]
- Saito, M.; Nishiyama, H.; Oda, Y.; Shingaki, S.; Hayashi, T. The lingual lymph node identified as a sentinel node on CT lymphography in a patient with cN0 squamous cell carcinoma of the tongue. Dentomaxillofacial Radiol. 2012, 41, 254–258. [Google Scholar] [CrossRef] [PubMed]
- Heuveling, D.A.; Karagozoglu, K.H.; van Lingen, A.; Hoekstra, O.S.; van Dongen, G.A.M.S.; de Bree, R. Feasibility of intraoperative detection of sentinel lymph nodes with 89-zirconium-labelled nanocolloidal albumin PET-CT and a handheld high-energy gamma probe. EJNMMI Res. 2018, 8, 15. [Google Scholar] [CrossRef] [PubMed]
- Heuveling, D.A.; van Schie, A.; Vugts, D.J.; Hendrikse, N.H.; Yaqub, M.; Hoekstra, O.S.; Karagozoglu, K.; Leemans, C.R.; van Dongen, G.A.M.S.; de Bree, R. Pilot Study on the Feasibility of PET/CT Lymphoscintigraphy with 89Zr-Nanocolloidal Albumin for Sentinel Node Identification in Oral Cancer Patients. J. Nucl. Med. 2013, 54, 585–589. [Google Scholar] [CrossRef] [PubMed]
- Gvetadze, S.R.; Xiong, P.; Lv, M.; Li, J.; Hu, J.; Ilkaev, K.D.; Yang, X.; Sun, J. Contrast-enhanced ultrasound mapping of sentinel lymph nodes in oral tongue cancer—A pilot study. Dentomaxillofacial Radiol. 2017, 46, 20160345. [Google Scholar] [CrossRef] [PubMed]
- Wakisaka, N.; Endo, K.; Kitazawa, T.; Shimode, Y.; Kato, K.; Moriyama-Kita, M.; Koda, W.; Ikeda, H.; Ishikawa, K.; Ueno, T.; et al. Detection of sentinel lymph node using contrast-enhanced agent, Sonazoid™, and evaluation of its metastasis with superb microvascular imaging in oral and oropharyngeal cancers: A preliminary clinical study. Acta Oto-Laryngol. 2019, 139, 94–99. [Google Scholar] [CrossRef] [PubMed]
- Li, C.; Meng, S.; Yang, X.; Zhou, D.; Hu, J.; Wang, J. Sentinel lymph node detection using magnetic resonance lymphography with conventional gadolinium contrast agent in breast cancer: A preliminary clinical study. BMC Cancer 2015, 15, 213. [Google Scholar] [CrossRef] [PubMed]
- Lu, Q.; Hua, J.; Kassir, M.M.; DelProposto, Z.; Dai, Y.; Sun, J.; Haacke, M.; Hu, J. Imaging Lymphatic System in Breast Cancer Patients with Magnetic Resonance Lymphangiography. PLoS ONE 2013, 8, e69701. [Google Scholar] [CrossRef]
- Hong, Y.; Xiang, L.; Hu, Y.; Zhou, Z.; Yu, H.; Zhu, B. Interstitial magnetic resonance lymphography is an effective diagnostic tool for the detection of lymph node metastases in patients with cervical cancer. BMC Cancer 2012, 12, 360. [Google Scholar] [CrossRef]
- Scott, L.J. Gadobutrol: A Review in Contrast-Enhanced MRI and MRA. Clin. Drug Investig. 2018, 38, 773–784. [Google Scholar] [CrossRef]
- Yang, Y.; Zhou, B.; Zhou, J.; Shi, X.; Sha, Y.; Wu, H. Assessment of lingual sentinel lymph nodes metastases using dual-modal indirect CT/MR lymphography with gold–gadolinium-based nanoprobes in a tongue VX2 carcinoma model. Acta Oto-Laryngol. 2018, 138, 727–733. [Google Scholar] [CrossRef]
- Yang, Y.; Zhou, J.; Shi, X.; Sha, Y.; Wu, H. Long-term observation of indirect lymphography using gadolinium-loaded polyethylenimine-entrapped gold nanoparticles as a dual mode CT/MR contrast agent for rabbit lingual sentinel lymph node identification. Acta Oto-Laryngol. 2016, 137, 207–214. [Google Scholar] [CrossRef]
- Mayer, M.N.; Kraft, S.L.; Bucy, D.S.; Waldner, C.L.; Elliot, K.M.; Wiebe, S. Indirect magnetic resonance lymphography of the head and neck of dogs using Gadofluorine M and a conventional gadolinium contrast agent: A pilot study. Can. Vet. J. 2012, 53, 1085–1090. [Google Scholar] [PubMed]
- Nason, R.W.; Torchia, M.G.; Morales, C.M.; Thliveris, J. Dynamic MR lymphangiography and carbon dye for sentinel lymph node detection: A solution for sentinel lymph node biopsy in mucosal head and neck cancer. Head Neck 2005, 27, 333–338. [Google Scholar] [CrossRef] [PubMed]
- Torchia, M.G.; Misselwitz, B. Combined MR Lymphangiography and MR Imaging—Guided Needle Localization of Sentinel Lymph Nodes Using Gadomer-17. Am. J. Roentgenol. 2002, 179, 1561–1565. [Google Scholar] [CrossRef] [PubMed]
- Kitamura, N.; Kosuda, S.; Araki, K.; Tomifuji, M.; Mizokami, D.; Shiotani, A.; Shinmoto, H.; Fujii, H.; Ichihara, K. Comparison of animal studies between interstitial magnetic resonance lymphography and radiocolloid SPECT/CT lymphoscintigraphy in the head and neck region. Ann. Nucl. Med. 2012, 26, 281–285. [Google Scholar] [CrossRef] [PubMed]
- Loo, B.W.; Draney, M.T.; Sivanandan, R.; Ruehm, S.G.; Pawlicki, T.; Xing, L.; Herfkens, R.J.; Le, Q.T. Indirect MR lymphangiography of the head and neck using conventional gadolinium contrast: A pilot study in humans. Int. J. Radiat. Oncol. 2006, 66, 462–468. [Google Scholar] [CrossRef]
- Johnson, L.R.; Pinder, S.E.; Douek, M. Deposition of superparamagnetic iron?oxide nanoparticles in axillary sentinel lymph nodes following subcutaneous injection. Histopathology 2012, 62, 481–486. [Google Scholar] [CrossRef]
- Pouw, J.; Grootendorst, M.R.; Bezooijen, R.; Klazen, C.; de Bruin, W.I.; Klaase, J.M.; Hall-Craggs, M.A.; Douek, M.; Haken, B.T. Pre-operative sentinel lymph node localization in breast cancer with superparamagnetic iron oxide MRI: The SentiMAG Multicentre Trial imaging subprotocol. Br. J. Radiol. 2015, 88, 20150634. [Google Scholar] [CrossRef]
- Winter, A.; Kowald, T.; Paulo, T.S.; Goos, P.; Engels, S.; Gerullis, H.; Schiffmann, J.; Chavan, A.; Wawroschek, F. Magnetic resonance sentinel lymph node imaging and magnetometer-guided intraoperative detection in prostate cancer using superparamagnetic iron oxide nanoparticles. Int. J. Nanomed. 2018, 13, 6689–6698. [Google Scholar] [CrossRef]
- Pouw, J.J.; Ahmed, M.; Anninga, B.; Schuurman, K.; Pinder, S.E.; van Hemelrijck, M.; Pankhurst, Q.A.; Douek, M.; Haken, B.T. Comparison of three magnetic nanoparticle tracers for sentinel lymph node biopsy in an in vivo porcine model. Int. J. Nanomed. 2015, 10, 1235–1243. [Google Scholar] [CrossRef]
- Torchia, M.G.; Nason, R.; Danzinger, R.; Lewis, J.M.; Thliveris, J.A. Interstitial MR lymphangiography for the detection of sentinel lymph nodes. J. Surg. Oncol. 2001, 78, 151–156. [Google Scholar] [CrossRef] [PubMed]
- Suga, K.; Ogasawara, N.; Okada, M.; Matsunaga, N. Interstitial CT lymphography-guided localization of breast sentinel lymph node: Preliminary results. Surgery 2003, 133, 170–179. [Google Scholar] [CrossRef]
- Tangoku, A.; Yamamoto, S.; Suga, K.; Ueda, K.; Nagashima, Y.; Hida, M.; Sato, T.; Sakamoto, K.; Oka, M. Sentinel lymph node biopsy using computed tomography–lymphography in patients with breast cancer. Surgery 2004, 135, 258–265. [Google Scholar] [CrossRef] [PubMed]
- Yamamoto, S.; Suga, K.; Maeda, K.; Maeda, N.; Yoshimura, K.; Oka, M. Breast sentinel lymph node navigation with three-dimensional computed tomography–lymphography: A 12-year study. Breast Cancer 2015, 23, 456–462. [Google Scholar] [CrossRef] [PubMed]
- Nakagawa, M.; Morimoto, M.; Takechi, H.; Tadokoro, Y.; Tangoku, A. Preoperative diagnosis of sentinel lymph node (SLN) metastasis using 3D CT lymphography (CTLG). Breast Cancer 2015, 23, 519–524. [Google Scholar] [CrossRef] [PubMed]
- Sugi, K.; Kitada, K.; Yoshino, M.; Hirazawa, K.; Matsuda, E.; Azuma, T.; Umemori, Y. New Method of Visualizing Lymphatics in Lung Cancer Patients by Multidetector Computed Tomography. J. Comput. Assist. Tomogr. 2005, 29, 210–214. [Google Scholar] [CrossRef]
- Takizawa, H.; Kondo, K.; Toba, H.; Kajiura, K.; Ali, A.H.K.; Sakiyama, S.; Tangoku, A. Computed tomography lymphography by transbronchial injection of iopamidol to identify sentinel nodes in preoperative patients with non–small cell lung cancer: A pilot study. J. Thorac. Cardiovasc. Surg. 2012, 144, 94–99. [Google Scholar] [CrossRef]
- Hayashi, H.; Tangoku, A.; Suga, K.; Shimizu, K.; Ueda, K.; Yoshino, S.; Abe, T.; Sato, T.; Matsunaga, N.; Oka, M. CT lymphography-navigated sentinel lymph node biopsy in patients with superficial esophageal cancer. Surgery 2006, 139, 224–235. [Google Scholar] [CrossRef]
- Yuasa, Y.; Seike, J.; Yoshida, T.; Takechi, H.; Yamai, H.; Yamamoto, Y.; Furukita, Y.; Goto, M.; Minato, T.; Nishino, T.; et al. Sentinel Lymph Node Biopsy using Intraoperative Indocyanine Green Fluorescence Imaging Navigated with Preoperative CT Lymphography for Superficial Esophageal Cancer. Ann. Surg. Oncol. 2011, 19, 486–493. [Google Scholar] [CrossRef]
- Filip, B.; Scarpa, M.; Cavallin, F.; Alfieri, R.; Cagol, M.; Castoro, C. Minimally invasive surgery for esophageal cancer: A review on sentinel node concept. Surg. Endosc. 2013, 28, 1238–1249. [Google Scholar] [CrossRef]
- Lee, J.H.; Park, D.J.; Kim, Y.H.; Shin, C.M.; Lee, H.S.; Kim, H.-H. Clinical Implementations of Preoperative Computed Tomography Lymphography in Gastric Cancer: A Comparison with Dual Tracer Methods in Sentinel Node Navigation Surgery. Ann. Surg. Oncol. 2013, 20, 2296–2303. [Google Scholar] [CrossRef] [PubMed]
- Kim, Y.H.; Lee, Y.J.; Park, J.H.; Lee, K.H.; Lee, H.S.; Park, Y.S.; Park, D.J.; Kim, H.-H. Early Gastric Cancer: Feasibility of CT Lymphography with Ethiodized Oil for Sentinel Node Mapping. Radiology 2013, 267, 414–421. [Google Scholar] [CrossRef]
- Yasuta, M.; Sato, S.; Ishida, T.; Kiyohara, T. Usefulness of CT-lymphography in sentinel lymph node navigation. Int. J. Clin. Oncol. 2013, 19, 557–562. [Google Scholar] [CrossRef]
- Randall, E.K.; Jones, M.D.; Kraft, S.L.; Worley, D.R. The Development of an Indirect CT Lymphography Protocol for Sentinel Lymph Node Detection in Head and Neck Cancer and Comparison to Other Sentinel Lymph Node Mapping Techniques. Vet. Comp. Oncol. 2020. [Google Scholar] [CrossRef]
- Shi, F.; Yang, Y.; Chen, J.; Sha, Y.; Shu, Y.; Wu, H. Dendrimer-Entrapped Gold Nanoparticles as Potential CT Contrast Agents for Localizing Sentinel Lymph Node via Indirect CT Lymphography on Rabbit Model. BioMed Res. Int. 2018, 2018, 1–6. [Google Scholar] [CrossRef] [PubMed]
- Rossi, F.; Körner, M.; Suárez, J.; Carozzi, G.; Meier, V.; Roos, M.; Bley, C.R. Computed tomographic-lymphography as a complementary technique for lymph node staging in dogs with malignant tumors of various sites. Vet. Radiol. Ultrasound 2017, 59, 155–162. [Google Scholar] [CrossRef] [PubMed]
- Grimes, J.A.; Secrest, S.A.; Northrup, N.; Saba, C.F.; Schmiedt, C.W. Indirect computed tomography lymphangiography with aqueous contrast for evaluation of sentinel lymph nodes in dogs with tumors of the head. Vet. Radiol. Ultrasound 2017, 58, 559–564. [Google Scholar] [CrossRef]
- Yang, Y.; Shi, F.; Zhou, J.; Shi, X.; Sha, Y.; Wu, H. Short-Term Dynamic Observation of the Color Change and Enhancement Effect of Polyethylenimine-Entrapped Gold Nanoparticles used for Indirect Lymphography. ORL 2016, 78, 136–143. [Google Scholar] [CrossRef]
- Shu, Y.; Xu, X.; Wang, Z.; Dai, W.; Zhang, Y.; Yu, Y.; Sha, Y.; Wu, H. Assessment of cervical lymph node metastases using indirect computed tomography lymphography with iopamidol in a tongue VX2 carcinoma model. J. Laryngol. Otol. 2011, 125, 820–828. [Google Scholar] [CrossRef]
- Shu, Y.; Xu, X.; Chodara, A.M.; Regner, M.F.; Sha, Y.; Jiang, J.J.; Xiang, M.; Wu, H. Correlative study of indirect computed tomography lymphography using iopamidol and histopathology in a cervical lymph node metastasis model. Laryngoscope 2011, 121, 724–731. [Google Scholar] [CrossRef]
- Wu, H.; Ying, H.; Xi, X.; Shen, N.; Shu, Y.; Hoffman, M.R.; Rieves, A.; Sha, Y.; Zhou, L. Localization of the sentinel lymph node in tongue VX2 carcinoma via indirect CT lymphography combined with methylene blue dye injection. Acta Oto-Laryngol. 2009, 130, 503–510. [Google Scholar] [CrossRef] [PubMed]
- Wu, H.; Xu, X.; Ying, H.; Hoffman, M.; Shen, N.; Sha, Y.; Zhou, L. Preliminary study of indirect CT lymphography-guided sentinel lymph node biopsy in a tongue VX2 carcinoma model. Int. J. Oral Maxillofac. Surg. 2009, 38, 1268–1272. [Google Scholar] [CrossRef] [PubMed]
- Rahmim, A.; Zaidi, H. PET versus SPECT: Strengths, limitations and challenges. Nucl. Med. Commun. 2008, 29, 193–207. [Google Scholar] [CrossRef] [PubMed]
- Wadsak, W.; Mitterhauser, M. Basics and principles of radiopharmaceuticals for PET/CT. Eur. J. Radiol. 2010, 73, 461–469. [Google Scholar] [CrossRef]
- Bluemel, C.; Rubello, D.; Colletti, P.M.; de Bree, R.; Herrmann, K. Sentinel lymph node biopsy in oral and oropharyngeal squamous cell carcinoma: Current status and unresolved challenges. Eur. J. Nucl. Med. Mol. Imaging 2015, 42, 1469–1480. [Google Scholar] [CrossRef]
- Heuveling, D.A.; Visser, G.W.; Baclayon, M.; Roos, W.; Wuite, G.J.; Hoekstra, O.S.; Leemans, C.R.; de Bree, R.; van Dongen, G.A.M.S. 89Zr-Nanocolloidal Albumin-Based PET/CT Lymphoscintigraphy for Sentinel Node Detection in Head and Neck Cancer: Preclinical Results. J. Nucl. Med. 2011, 52, 1580–1584. [Google Scholar] [CrossRef]
- Chong, W.K.; Papadopoulou, V.; Dayton, P.A. Imaging with ultrasound contrast agents: Current status and future. Abdom. Radiol. 2018, 43, 762–772. [Google Scholar] [CrossRef]
- Frinking, P.; Segers, T.; Luan, Y.; Tranquart, F. Three Decades of Ultrasound Contrast Agents: A Review of the Past, Present and Future Improvements. Ultrasound Med. Biol. 2020, 46, 892–908. [Google Scholar] [CrossRef]
- Greis, C. Technology overview: SonoVue. Eur. Radiol. Suppl. 2004, 14, P11–P15. [Google Scholar] [CrossRef]
- Moody, A.N.; Bull, J.; Culpan, A.M.; Munyombwe, T.; Sharma, N.; Whitaker, M.; Wolstenhulme, S. Preoperative sentinel lymph node identification, biopsy and localisation using contrast enhanced ultrasound (CEUS) in patients with breast cancer: A systematic review and meta-analysis. Clin. Radiol. 2017, 72, 959–971. [Google Scholar] [CrossRef]
- Machado, P.; Stanczak, M.; Liu, J.; Moore, J.N.; Eisenbrey, J.R.; Needleman, L.; Kraft, W.K.; Forsberg, F. Subdermal Ultrasound Contrast Agent Injection for Sentinel Lymph Node Identification: An Analysis of Safety and Contrast Agent Dose in Healthy Volunteers. J. Ultrasound Med. 2017, 37, 1611–1620. [Google Scholar] [CrossRef]
- Curry, J.M.; Bloedon, E.; Malloy, K.M.; Cognetti, D.M.; Merton, D.A.; Goldberg, B.B.; Keane, W.M.; Rosen, D.; Pribitkin, E.A. Ultrasound-guided contrast-enhanced sentinel node biopsy of the head and neck in a porcine model. Otolaryngol. Neck Surg. 2007, 137, 735–741. [Google Scholar] [CrossRef]
- Curry, J.M.; Grindle, C.R.; Merton, D.A.; Goldberg, B.B.; Rosen, D.; Pribitkin, E.A. Lymphosonographic Sentinel node Biopsy of the Supraglottis in a Swine Model. Otolaryngol. Neck Surg. 2008, 139, 798–804. [Google Scholar] [CrossRef] [PubMed]
- Lurie, D.M.; Seguin, B.; Schneider, P.D.; Verstraete, F.J.; Wisner, E.R. Contrast-Assisted Ultrasound for Sentinel Lymph Node Detection in Spontaneously Arising Canine Head and Neck Tumors. Investig. Radiol. 2006, 41, 415–421. [Google Scholar] [CrossRef]
- Kogashiwa, Y.; Sakurai, H.; Akimoto, Y.; Sato, D.; Ikeda, T.; Matsumoto, Y.; Moro, Y.; Kimura, T.; Hamanoue, Y.; Nakamura, T.; et al. Sentinel Node Biopsy for the Head and Neck Using Contrast-Enhanced Ultrasonography Combined with Indocyanine Green Fluorescence in Animal Models: A Feasibility Study. PLoS ONE 2015, 10, e0132511. [Google Scholar] [CrossRef]
- Choi, S.H.; Moon, W.K. Contrast-Enhanced MR Imaging of Lymph Nodes in Cancer Patients. Korean J. Radiol. 2010, 11, 383–394. [Google Scholar] [CrossRef] [PubMed]
- Liu, T.; Spincemaille, P.; de Rochefort, L.; Wong, R.; Prince, M.; Wang, Y. Unambiguous identification of superparamagnetic iron oxide particles through quantitative susceptibility mapping of the nonlinear response to magnetic fields. Magn. Reson. Imaging 2010, 28, 1383–1389. [Google Scholar] [CrossRef] [PubMed]
- Lin, C.; Cai, S.; Feng, J. Positive Contrast Imaging of SPIO Nanoparticles. J. Nanomater. 2012, 2012, 1–9. [Google Scholar] [CrossRef]
- Vogel, D.W.T.; Thoeny, H.C. Cross-sectional imaging in cancers of the head and neck: How we review and report. Cancer Imaging 2016, 16, 1–15. [Google Scholar] [CrossRef]
- De Bree, R.; Dankbaar, J.W.; de Keizer, B. New Developments in Sentinel Lymph Node Biopsy Procedure in Localized Oral Cancer. JAMA Otolaryngol. Neck Surg. 2019, 145, 741. [Google Scholar] [CrossRef]
- Bisso, S.; Degrassi, A.; Brambilla, D.; Leroux, J.C. Poly(ethylene glycol)-alendronate coated nanoparticles for magnetic resonance imaging of lymph nodes. J. Drug Target. 2018, 27, 659–669. [Google Scholar] [CrossRef]
- Nakamura, T.; Kogashiwa, Y.; Nagafuji, H.; Yamauchi, K.; Kohno, N. Validity of sentinel lymph node biopsy by ICG fluorescence for early head and neck cancer. Anticancer Res. 2015, 35, 1669–1674. [Google Scholar] [PubMed]
- Peng, H.; Wang, S.J.; Niu, X.; Yang, X.; Chi, C.; Zhang, G. Sentinel node biopsy using indocyanine green in oral/oropharyngeal cancer. World J. Surg. Oncol. 2015, 13, 1–7. [Google Scholar] [CrossRef] [PubMed]
- Wong, K.H.; Panek, R.; Bhide, S.; Nutting, C.M.; Harrington, K.J.; Newbold, K. The emerging potential of magnetic resonance imaging in personalizing radiotherapy for head and neck cancer: An oncologist’s perspective. Br. J. Radiol. 2017, 90, 20160768. [Google Scholar] [CrossRef] [PubMed]
- Mestdagh, P.D.D.V.; Walraven, I.; Vogel, W.V.; Schreuder, W.H.; van Werkhoven, E.; Carbaat, C.; Donswijk, M.L.; Brekel, M.W.V.D.; Al-Mamgani, A. SPECT/CT-guided elective nodal irradiation for head and neck cancer is oncologically safe and less toxic: A potentially practice-changing approach. Radiother. Oncol. 2020, 147, 56–63. [Google Scholar] [CrossRef]
- Pieper, C.C.; Hur, S.; Sommer, C.-M.; Nadolski, G.; Maleux, G.; Kim, J.; Itkin, M. Back to the Future. Investig. Radiol. 2019, 54, 600–615. [Google Scholar] [CrossRef]
- Kim, H.; Kil Lee, S.; Kim, Y.M.; Lee, E.H.; Lim, S.J.; Kim, S.H.; Yang, J.; Lim, J.S.; Hyung, W.J. Fluorescent Iodized Emulsion for Pre- and Intraoperative Sentinel Lymph Node Imaging: Validation in a Preclinical Model. Radiology 2015, 275, 196–204. [Google Scholar] [CrossRef]
- Wallace, A.M.; Hoh, C.K.; Ellner, S.J.; Darrah, D.D.; Schulteis, G.; Vera, D.R. Lymphoseek: A Molecular Imaging Agent for Melanoma Sentinel Lymph Node Mapping. Ann. Surg. Oncol. 2006, 14, 913–921. [Google Scholar] [CrossRef]
- Gulec, S.A. PET probe-guided surgery. J. Surg. Oncol. 2007, 96, 353–357. [Google Scholar] [CrossRef]
- Kasbollah, A.; Eu, P.; Cowell, S.; Deb, P. Review on Production of 89Zr in a Medical Cyclotron for PET Radiopharmaceuticals. J. Nucl. Med. Technol. 2013, 41, 35–41. [Google Scholar] [CrossRef]
- Couturier, O.; Vuillez, J.-P.; Rigo, P.; Hustinx, R. Fluorinated tracers for imaging cancer with positron emission tomography. Eur. J. Nucl. Med. Mol. Imaging 2004, 31, 1182–1206. [Google Scholar] [CrossRef] [PubMed]
- Ting, R.; Aguilera, T.A.; Crisp, J.L.; Hall, D.J.; Eckelman, W.C.; Vera, D.R.; Tsien, R.Y. Fast18F Labeling of a Near-Infrared Fluorophore Enables Positron Emission Tomography and Optical Imaging of Sentinel Lymph Nodes. Bioconjugate Chem. 2010, 21, 1811–1819. [Google Scholar] [CrossRef] [PubMed]
- Mueller, J.J.; Dauer, L.T.; Murali, R.; Iasonos, A.; Pandit-Taskar, N.; Abu-Rustum, N.R.; Grimm, J. Positron Lymphography via Intracervical 18F-FDG Injection for Presurgical Lymphatic Mapping in Cervical and Endometrial Malignancies. J. Nucl. Med. 2020, 61, 1123–1130. [Google Scholar] [CrossRef] [PubMed]
- Jensen, M.R.; Simonsen, L.; Lonsdale, M.N.; Bülow, J. Foot skin depots of 18F-fluorodeoxyglucose do not enable PET/CT lymphography of the lower extremity lymphatic system in man. EJNMMI Res. 2013, 3, 17. [Google Scholar] [CrossRef]
- Martiniova, L.; de Palatis, L.; Etchebehere, E.; Ravizzini, G. Gallium-68 in Medical Imaging. Curr. Radiopharm. 2016, 9, 187–207. [Google Scholar] [CrossRef]
- Persico, M.G.; Marenco, M.; de Matteis, G.; Manfrinato, G.; Cavenaghi, G.; Sgarella, A.; Aprile, C.; Lodola, L. 99mTc-68Ga-ICG-Labelled Macroaggregates and Nanocolloids of Human Serum Albumin: Synthesis Procedures of a Trimodal Imaging Agent Using Commercial Kits. Contrast Media Mol. Imaging 2020, 2020, 1–11. [Google Scholar] [CrossRef]
- Stroup, S.P.; Kane, C.J.; Farchshchi-Heydari, S.; James, C.M.; Davis, C.H.; Wallace, A.M.; Hoh, C.K.; Vera, D.R. Preoperative sentinel lymph node mapping of the prostate using PET/CT fusion imaging and Ga-68-labeled tilmanocept in an animal model. Clin. Exp. Metastasis 2012, 29, 673–680. [Google Scholar] [CrossRef]
- Qin, Z.; Hoh, C.K.; Hall, D.J.; Vera, D.R. A tri-modal molecular imaging agent for sentinel lymph node mapping. Nucl. Med. Biol. 2015, 42, 917–922. [Google Scholar] [CrossRef][Green Version]
- Lee, H.J.; Barback, C.V.; Hoh, C.K.; Qin, Z.; Kader, K.; Hall, D.J.; Vera, D.R.; Kane, C.J.; Zhengtao, Q.; Kareem, K.; et al. Fluorescence-Based Molecular Imaging of Porcine Urinary Bladder Sentinel Lymph Nodes. J. Nucl. Med. 2017, 58, 547–553. [Google Scholar] [CrossRef]
- Anderson, K.M.; Barback, C.V.; Qin, Z.; Hall, D.J.; Hoh, C.K.; Vera, D.R.; McHale, M.T. Molecular Imaging of endometrial sentinel lymph nodes utilizing fluorescent-labeled Tilmanocept during robotic-assisted surgery in a porcine model. PLoS ONE 2018, 13, e0197842. [Google Scholar] [CrossRef]
- Wei, K.; Mulvagh, S.L.; Carson, L.; Davidoff, R.; Gabriel, R.; Grimm, R.A.; Wilson, S.; Fane, L.; Herzog, C.A.; Zoghbi, W.A.; et al. The Safety of Definity and Optison for Ultrasound Image Enhancement: A Retrospective Analysis of 78,383 Administered Contrast Doses. J. Am. Soc. Echocardiogr. 2008, 21, 1202–1206. [Google Scholar] [CrossRef] [PubMed]
- Tang, C.; Fang, K.; Guo, Y.; Li, R.; Fan, X.; Chen, P.; Chen, Z.; Liu, Q.; Zou, Y. Safety of Sulfur Hexafluoride Microbubbles in Sonography of Abdominal and Superficial Organs: Retrospective Analysis of 30,222 Cases. J. Ultrasound Med. 2017, 36, 531–538. [Google Scholar] [CrossRef] [PubMed]
- Miyamoto, Y.; Ito, T.; Takada, E.; Omoto, K.; Hirai, T.; Moriyasu, F. Efficacy of Sonazoid (Perflubutane) for Contrast-Enhanced Ultrasound in the Differentiation of Focal Breast Lesions: Phase 3 Multicenter Clinical Trial. Am. J. Roentgenol. 2014, 202, W400–W407. [Google Scholar] [CrossRef] [PubMed]
- De Bondt, R.; Nelemans, P.; Hofman, P.; Casselman, J.; Kremer, B.; van Engelshoven, J.; Beets-Tan, R. Detection of lymph node metastases in head and neck cancer: A meta-analysis comparing US, USgFNAC, CT and MR imaging. Eur. J. Radiol. 2007, 64, 266–272. [Google Scholar] [CrossRef]
- Liao, L.J.; Hsu, W.L.; Wang, C.T.; Lo, W.C.; Lai, M.S. Analysis of sentinel node biopsy combined with other diagnostic tools in staging cN0 head and neck cancer: A diagnostic meta-analysis. Head Neck 2015, 38, 628–634. [Google Scholar] [CrossRef]
- Sontum, P.C. Physicochemical Characteristics of Sonazoid™, A New Contrast Agent for Ultrasound Imaging. Ultrasound Med. Biol. 2008, 34, 824–833. [Google Scholar] [CrossRef]
- Moher, D.; Liberati, A.; Tetzlaff, J.; Altman, D.G. Preferred Reporting Items for Systematic Reviews and Meta-Analyses: The PRISMA Statement. J. Clin. Epidemiol. 2009, 62, 1006–1012. [Google Scholar] [CrossRef]







| Technique | Source | Tracer | Number of Studies | Sensitivity | NPV | SLN identification in (%) of Patients |
|---|---|---|---|---|---|---|
| Conventional lymphoscintigraphy & SPECT-CT | γ-ray | γ-emitting [99mTc]-labelled radiotracer (e.g., [99mTc]-nanocolloid) | n = 66 | 87% [16] | 94% [16] | − |
| MR Lymphography (Gd3+) | Radio-wave | Paramagnetic (Gd3+) contrast agent (e.g., gadobutrol) | n = 1 | 91% [22] | 93% [22] | 100% [22] |
| MR Lymphography (SPIO) | Radio-wave | Superparamagnetic (iron oxide) contrast agent (e.g., Resovist, Magtrace) | n = 2 | NR | NR | 100% [23,24,25] |
| CT Lymphography | X-ray | Iodine contrast agent (e.g., iopamidol, lipiodol) | n = 6 | 56–80% [26,27,28,29] | 82–96% [26,27,28,29] | 89–96% [26,27,28,29,30,31] |
| PET lymphoscintigraphy | β+-decay (γ-rays) | Positron emitting isotope [89Zr, 68Ga, 18F]-labelled radiotracer (e.g., [68Ga]-tilmanocept) | n = 2 | 67% [32] | 67% [32] | 100% [32,33] |
| Contrast-enhanced lymphosonography | US-wave | Microbubbles (e.g., SonoVue, Sonazoid) | n = 2 | NR | NR | 80–92% [34,35] |
| Technique | Advantages | Drawbacks |
|---|---|---|
| Conventional lymphoscintigraphy & SPECT-CT | Widely investigated and implemented Allows intraoperative localization of depicted SLNs Differentiation in intensity of radioactive signal Allows (intraoperative) differentiation between SLNs and HENs | Subject to shine-through phenomenon Requires nuclear facilities Low spatial resolution (~5 mm) Poor soft tissue contrast |
| MR Lymphography (Gd3+) | High spatial resolution (~1 mm) High signal-to-noise ratio and few artifacts Accurate anatomical detail Eliminates shine-through phenomenon Visualization lymphatic vessels May facilitate more targeted radiotherapy No nuclear facilities required Free of radiation exposure | Lacks intraoperative localization of depicted SLNs Rapid lymphatic transportation tracer No retention of tracer in SLNs Gd3+-based contrast agents not registered for lymphography |
| MR Lymphography (SPIO) | High spatial resolution (~1 mm) Accurate anatomical detail Allows intraoperative localization of depicted SLNs Eliminates shine-through phenomenon May facilitate more targeted radiotherapy No nuclear facilities required Free of radiation exposure | Limited clinical experience in OSCC Retention in SLNs depends on particle size Excess amounts of iron leads to signal voids Negative contrast may confound effectivity SLN detection Local inflammation following administration Metal elements interfere with magnetometer |
| CT Lymphography | High spatial resolution (~0.5 mm) High temporal resolution Eliminates shine-through phenomenon Visualization lymphatic vessels Visualization of lingual SLNs May facilitate more targeted radiotherapy No nuclear facilities required Widely available and low costs | Lacks intraoperative localization of depicted SLNs Rapid lymphatic transportation tracer No retention of tracer in SLNs Prone to artifacts Poor soft tissue contrast |
| PET lymphoscintigraphy | High spatial resolution (~2 mm) High temporal resolution Diminishes shine-through phenomenon Visualization lymphatic vessels Visualization of lingual SLNs Differentiation in intensity of radioactive signal Can be performed with known radiotracers Tri-model agent: IRD-800CW-[68Ga]-[99mTc]-tracer Allows intraoperative localization of depicted SLNs | Requires nuclear facilities Poor intraoperative localization of SLNs with PET-probe Poor soft tissue contrast |
| Contrast-enhanced lymphosonography | Good safety profile of microbubbles High spatial resolution (~0.5 mm) High temporal resolution and real-time imaging Eliminates shine-through phenomenonPossibly no uptake of microbubbles in HENs Can be combined with USgFNA May be extended to other head and neck sites Widely available and low costs Free of radiation exposure | Limited clinical experience in OSCC Suspected low reproducibility High operator dependency Rapid lymphatic transportation tracer Challenging to mark SLNs for biopsy |
Publisher’s Note: MDPI stays neutral with regard to jurisdictional claims in published maps and institutional affiliations. |
© 2020 by the authors. Licensee MDPI, Basel, Switzerland. This article is an open access article distributed under the terms and conditions of the Creative Commons Attribution (CC BY) license (http://creativecommons.org/licenses/by/4.0/).
Share and Cite
Mahieu, R.; de Maar, J.S.; Nieuwenhuis, E.R.; Deckers, R.; Moonen, C.; Alic, L.; ten Haken, B.; de Keizer, B.; Bree, R.d. New Developments in Imaging for Sentinel Lymph Node Biopsy in Early-Stage Oral Cavity Squamous Cell Carcinoma. Cancers 2020, 12, 3055. https://doi.org/10.3390/cancers12103055
Mahieu R, de Maar JS, Nieuwenhuis ER, Deckers R, Moonen C, Alic L, ten Haken B, de Keizer B, Bree Rd. New Developments in Imaging for Sentinel Lymph Node Biopsy in Early-Stage Oral Cavity Squamous Cell Carcinoma. Cancers. 2020; 12(10):3055. https://doi.org/10.3390/cancers12103055
Chicago/Turabian StyleMahieu, Rutger, Josanne S. de Maar, Eliane R. Nieuwenhuis, Roel Deckers, Chrit Moonen, Lejla Alic, Bennie ten Haken, Bart de Keizer, and Remco de Bree. 2020. "New Developments in Imaging for Sentinel Lymph Node Biopsy in Early-Stage Oral Cavity Squamous Cell Carcinoma" Cancers 12, no. 10: 3055. https://doi.org/10.3390/cancers12103055
APA StyleMahieu, R., de Maar, J. S., Nieuwenhuis, E. R., Deckers, R., Moonen, C., Alic, L., ten Haken, B., de Keizer, B., & Bree, R. d. (2020). New Developments in Imaging for Sentinel Lymph Node Biopsy in Early-Stage Oral Cavity Squamous Cell Carcinoma. Cancers, 12(10), 3055. https://doi.org/10.3390/cancers12103055

