Clinical Management of Diffuse Low-Grade Gliomas
Simple Summary
Abstract
1. Introduction
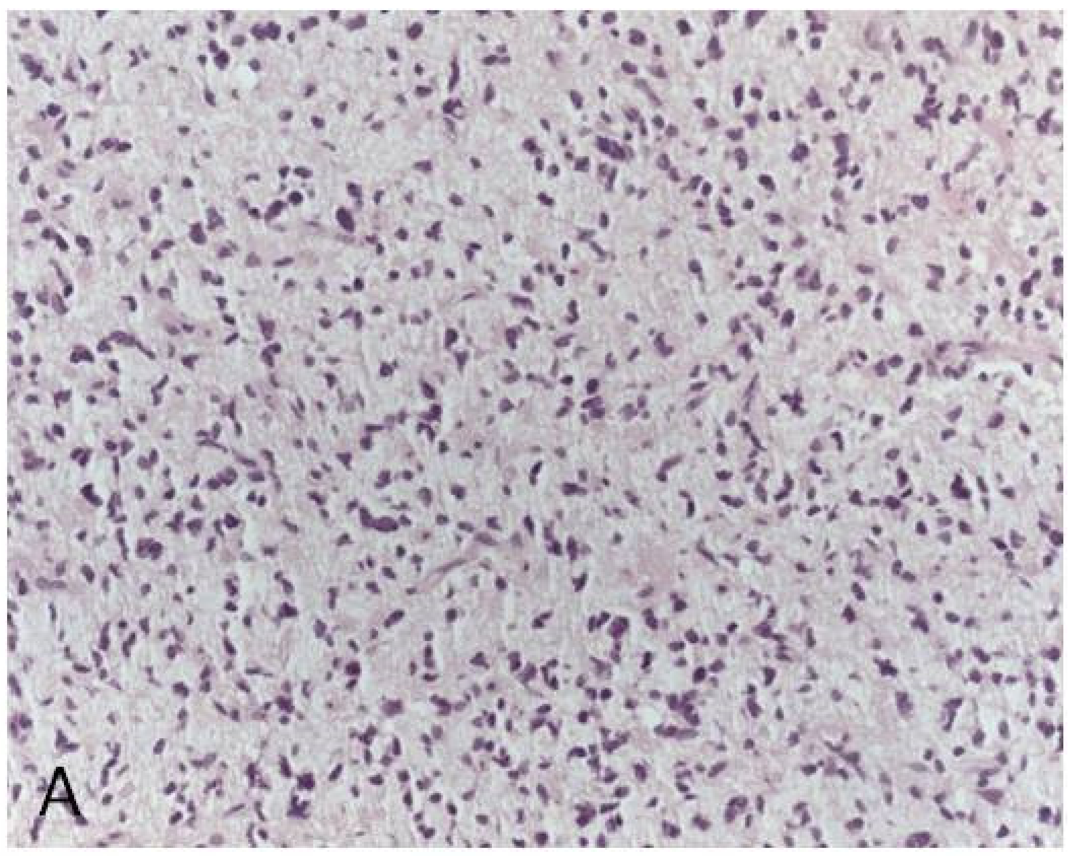
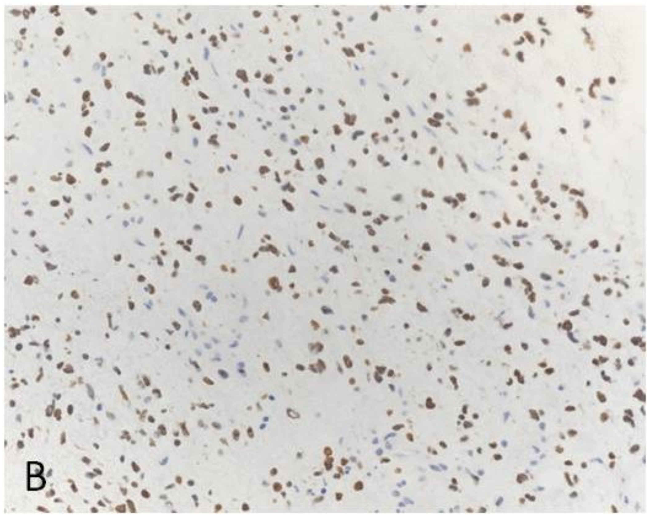
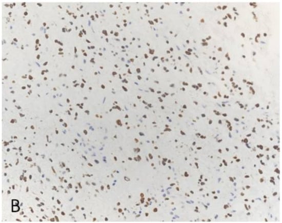
2. Histopathology and Molecular Features
3. Imaging
4. Role of Surgery
5. Role of Radiotherapy
6. Role of Chemotherapy and New Systemic Treatments
7. Epilepsy in Low-Grade Glioma
8. Conclusions
Author Contributions
Funding
Acknowledgments
Conflicts of Interest
References
- Louis, D.N.; Perry, A.; Reifenberger, G.; von Deimling, A.; Figarella-Branger, D.; Cavenee, W.K.; Ohgaki, H.; Wiestler, O.D.; Kleihues, P.; Ellison, D.W. The 2016 World Health Organization Classification of Tumors of the Central Nervous System: A summary. Acta Neuropathol. 2016, 131, 803–820. [Google Scholar] [CrossRef]
- Ostrom, Q.T.; Gittleman, H.; Fulop, J.; Liu, M.; Blanda, R.; Kromer, C.; Wolinsky, Y.; Kruchko, C.; Barnholtz-Sloan, J.S. CBTRUS Statistical Report: Primary Brain and Central Nervous System Tumors Diagnosed in the United States in 2008–2012. Neuro-Oncol. 2015, 17 (Suppl. S4), iv1–iv62. [Google Scholar] [CrossRef]
- Louis, D.N.; Ohgaki, H.; Wiestler, O.D.; Cavenee, W.K.; Burger, P.C.; Jouvet, A.; Scheithauer, B.W.; Kleihues, P. The 2007 WHO Classification of Tumours of the Central Nervous System. Acta Neuropathol. 2007, 114, 97–109. [Google Scholar] [CrossRef]
- Yan, H.; Parsons, D.W.; Jin, G.; McLendon, R.; Rasheed, B.A.; Yuan, W.; Kos, I.; Batinic-Haberle, I.; Jones, S.; Riggins, G.J.; et al. IDH1 and IDH2 mutations in gliomas. N. Engl. J. Med. 2009, 360, 765–773. [Google Scholar] [CrossRef]
- Hartmann, C.; Hentschel, B.; Wick, W.; Felsberg, J.; Simon, M.; Westphal, M.; Schackert, G.; Meyermann, R.; Pietsch, T.; Reifenberger, G.; et al. Patients with IDH1 wild type anaplastic astrocytomas exhibit worse prognosis than IDH1-mutated glioblastomas, and IDH1 mutation status accounts for the unfavorable prognostic effect of higher age: Implications for classification of gliomas. Acta Neuropathol. 2010, 120, 707–718. [Google Scholar] [CrossRef] [PubMed]
- Leeper, H.E.; Caron, A.A.; Decker, P.A.; Jenkins, R.B.; Lachance, D.H.; Giannini, C. IDH mutation, 1p19q codeletion and ATRX loss in WHO grade II gliomas. Oncotarget 2015, 6, 30295–30305. [Google Scholar] [CrossRef] [PubMed]
- Capper, D.; Weissert, S.; Balss, J.; Habel, A.; Meyer, J.; Jäger, D.; Ackermann, U.; Tessmer, C.; Korshunov, A.; Zentgraf, H.; et al. Characterization of R132H mutation-specific IDH1 antibody binding in brain tumors. Brain Pathol. 2010, 20, 245–254. [Google Scholar] [CrossRef] [PubMed]
- Gravendeel, L.A.M.; Kloosterhof, N.K.; Bralten, L.B.C.; van Marion, R.; Dubbink, H.J.; Dinjens, W.; Bleeker, F.E.; Hoogenraad, C.C.; Michiels, E.; Kros, J.M.; et al. Segregation of non-p.R132H mutations in IDH1 in distinct molecular subtypes of glioma. Hum. Mutat. 2010, 31, E1186–E1199. [Google Scholar] [CrossRef]
- Appay, R.; Tabouret, E.; Macagno, N.; Touat, M.; Carpentier, C.; Colin, C.; Ducray, F.; Idbaih, A.; Mokhtari, K.; Uro-Coste, E.; et al. IDH2 mutations are commonly associated with 1p/19q codeletion in diffuse adult gliomas. Neuro-Oncol. 2018, 20, 716–718. [Google Scholar] [CrossRef] [PubMed]
- Griffin, C.A.; Burger, P.; Morsberger, L.; Yonescu, R.; Swierczynski, S.; Weingart, J.D.; Murphy, K.M. Identification of der(1;19)(q10;p10) in five oligodendrogliomas suggests mechanism of concurrent 1p and 19q loss. J. Neuropathol. Exp. Neurol. 2006, 65, 988–994. [Google Scholar] [CrossRef]
- Woehrer, A.; Hainfellner, J.A. Molecular diagnostics: Techniques and recommendations for 1p/19q assessment. CNS Oncol. 2015, 4, 295–306. [Google Scholar] [CrossRef] [PubMed]
- Tanboon, J.; Williams, E.A.; Louis, D.N. The Diagnostic Use of Immunohistochemical Surrogates for Signature Molecular Genetic Alterations in Gliomas. J. Neuropathol. Exp. Neurol. 2016, 75, 4–18. [Google Scholar] [CrossRef] [PubMed]
- Louis, D.N.; Giannini, C.; Capper, D.; Paulus, W.; Figarella-Branger, D.; Lopes, M.B.; Batchelor, T.T.; Cairncross, J.G.; van den Bent, M.; Wick, W.; et al. cIMPACT-NOW update 2: Diagnostic clarifications for diffuse midline glioma, H3 K27M-mutant and diffuse astrocytoma/anaplastic astrocytoma, IDH-mutant. Acta Neuropathol. 2018, 135, 639–642. [Google Scholar] [CrossRef]
- Barresi, V.; Lionti, S.; Valori, L.; Gallina, G.; Caffo, M.; Rossi, S. Dual-Genotype Diffuse Low-Grade Glioma: Is It Really Time to Abandon Oligoastrocytoma As a Distinct Entity? J. Neuropathol. Exp. Neurol. 2017, 76, 342–346. [Google Scholar] [CrossRef] [PubMed]
- Aibaidula, A.; Chan, A.K.-Y.; Shi, Z.; Li, Y.; Zhang, R.; Yang, R.; Li, K.K.-W.; Chung, N.Y.-F.; Yao, Y.; Zhou, L.; et al. Adult IDH wild-type lower-grade gliomas should be further stratified. Neuro-Oncol. 2017, 19, 1327–1337. [Google Scholar] [CrossRef]
- Khuong-Quang, D.-A.; Buczkowicz, P.; Rakopoulos, P.; Liu, X.-Y.; Fontebasso, A.M.; Bouffet, E.; Bartels, U.; Albrecht, S.; Schwartzentruber, J.; Letourneau, L.; et al. K27M mutation in histone H3.3 defines clinically and biologically distinct subgroups of pediatric diffuse intrinsic pontine gliomas. Acta Neuropathol. 2012, 124, 439–447. [Google Scholar] [CrossRef]
- Ellison, D.W.; Hawkins, C.; Jones, D.T.W.; Onar-Thomas, A.; Pfister, S.M.; Reifenberger, G.; Louis, D.N. cIMPACT-NOW update 4: Diffuse gliomas characterized by MYB, MYBL1, or FGFR1 alterations or BRAFV600E mutation. Acta Neuropathol. 2019, 137, 683–687. [Google Scholar] [CrossRef]
- Cancer Genome Atlas Research Network; Brat, D.J.; Verhaak, R.G.W.; Aldape, K.D.; Yung, W.K.A.; Salama, S.R.; Cooper, L.A.D.; Rheinbay, E.; Miller, C.R.; Vitucci, M.; et al. Comprehensive, Integrative Genomic Analysis of Diffuse Lower-Grade Gliomas. N. Engl. J. Med. 2015, 372, 2481–2498. [Google Scholar] [CrossRef]
- Stichel, D.; Ebrahimi, A.; Reuss, D.; Schrimpf, D.; Ono, T.; Shirahata, M.; Reifenberger, G.; Weller, M.; Hänggi, D.; Wick, W.; et al. Distribution of EGFR amplification, combined chromosome 7 gain and chromosome 10 loss, and TERT promoter mutation in brain tumors and their potential for the reclassification of IDHwt astrocytoma to glioblastoma. Acta Neuropathol. 2018, 136, 793–803. [Google Scholar] [CrossRef]
- Fouke, S.J.; Benzinger, T.; Gibson, D.; Ryken, T.C.; Kalkanis, S.N.; Olson, J.J. The role of imaging in the management of adults with diffuse low grade glioma: A systematic review and evidence-based clinical practice guideline. J. Neurooncol. 2015, 125, 457–479. [Google Scholar] [CrossRef]
- Weller, M.; van den Bent, M.; Tonn, J.C.; Stupp, R.; Preusser, M.; Cohen-Jonathan-Moyal, E.; Henriksson, R.; Rhun, E.L.; Balana, C.; Chinot, O.; et al. European Association for Neuro-Oncology (EANO) guideline on the diagnosis and treatment of adult astrocytic and oligodendroglial gliomas. Lancet Oncol. 2017, 18, e315–e329. [Google Scholar] [CrossRef]
- Ellingson, B.M.; Bendszus, M.; Boxerman, J.; Barboriak, D.; Erickson, B.J.; Smits, M.; Nelson, S.J.; Gerstner, E.; Alexander, B.; Goldmacher, G.; et al. Consensus recommendations for a standardized Brain Tumor Imaging Protocol in clinical trials. Neuro-Oncol. 2015, 17, 1188–1198. [Google Scholar] [CrossRef] [PubMed]
- Thust, S.C.; Heiland, S.; Falini, A.; Jäger, H.R.; Waldman, A.D.; Sundgren, P.C.; Godi, C.; Katsaros, V.K.; Ramos, A.; Bargallo, N.; et al. Glioma imaging in Europe: A survey of 220 centres and recommendations for best clinical practice. Eur. Radiol. 2018, 28, 3306–3317. [Google Scholar] [CrossRef] [PubMed]
- Hsu, C.C.-T.; Watkins, T.W.; Kwan, G.N.C.; Haacke, E.M. Susceptibility-Weighted Imaging of Glioma: Update on Current Imaging Status and Future Directions. J. Neuroimaging 2016, 26, 383–390. [Google Scholar] [CrossRef]
- Li, X.; Zhu, Y.; Kang, H.; Zhang, Y.; Liang, H.; Wang, S.; Zhang, W. Glioma grading by microvascular permeability parameters derived from dynamic contrast-enhanced MRI and intratumoral susceptibility signal on susceptibility weighted imaging. Cancer Imaging 2015, 15, 4. [Google Scholar] [CrossRef]
- Riva, M.; Bello, L. Low-grade glioma management: A contemporary surgical approach. Curr. Opin. Oncol. 2014, 26, 615–621. [Google Scholar] [CrossRef]
- Brasil Caseiras, G.; Ciccarelli, O.; Altmann, D.R.; Benton, C.E.; Tozer, D.J.; Tofts, P.S.; Yousry, T.A.; Rees, J.; Waldman, A.D.; Jäger, H.R. Low-Grade Gliomas: Six-month Tumor Growth Predicts Patient Outcome Better than Admission Tumor Volume, Relative Cerebral Blood Volume, and Apparent Diffusion Coefficient. Radiology 2009, 253, 505–512. [Google Scholar] [CrossRef]
- Rees, J.; Watt, H.; Jäger, H.R.; Benton, C.; Tozer, D.; Tofts, P.; Waldman, A. Volumes and growth rates of untreated adult low-grade gliomas indicate risk of early malignant transformation. Eur. J. Radiol. 2009, 72, 54–64. [Google Scholar] [CrossRef]
- Pallud, J.; Blonski, M.; Mandonnet, E.; Audureau, E.; Fontaine, D.; Sanai, N.; Bauchet, L.; Peruzzi, P.; Frénay, M.; Colin, P.; et al. Velocity of tumor spontaneous expansion predicts long-term outcomes for diffuse low-grade gliomas. Neuro-Oncol. 2013, 15, 595–606. [Google Scholar] [CrossRef]
- Castellano, A.; Falini, A. Progress in neuro-imaging of brain tumors. Curr. Opin. Oncol. 2016, 28, 1. [Google Scholar] [CrossRef]
- Zhou, M.; Scott, J.; Chaudhury, B.; Hall, L.; Goldgof, D.; Yeom, K.W.; Iv, M.; Ou, Y.; Kalpathy-Cramer, J.; Napel, S.; et al. Radiomics in Brain Tumor: Image Assessment, Quantitative Feature Descriptors, and Machine-Learning Approaches. AJNR Am. J. Neuroradiol. 2018, 39, 208–216. [Google Scholar] [CrossRef] [PubMed]
- Abrol, S.; Kotrotsou, A.; Salem, A.; Zinn, P.O.; Colen, R.R. Radiomic Phenotyping in Brain Cancer to Unravel Hidden Information in Medical Images. Top. Magn. Reason. Imaging 2017, 26, 43–53. [Google Scholar] [CrossRef] [PubMed]
- Aerts, H.J.W.L.; Velazquez, E.R.; Leijenaar, R.T.H.; Parmar, C.; Grossmann, P.; Carvalho, S.; Cavalho, S.; Bussink, J.; Monshouwer, R.; Haibe-Kains, B.; et al. Decoding tumour phenotype by noninvasive imaging using a quantitative radiomics approach. Nat. Commun. 2014, 5, 4006. [Google Scholar] [CrossRef] [PubMed]
- Maier, S.E.; Sun, Y.; Mulkern, R.V. Diffusion imaging of brain tumors. NMR Biomed. 2010, 23, 849–864. [Google Scholar] [CrossRef]
- Miloushev, V.Z.; Chow, D.S.; Filippi, C.G. Meta-Analysis of Diffusion Metrics for the Prediction of Tumor Grade in Gliomas. Am. J. Neuroradiol. 2015, 36, 302–308. [Google Scholar] [CrossRef]
- Thust, S.C.; Hassanein, S.; Bisdas, S.; Rees, J.H.; Hyare, H.; Maynard, J.A.; Brandner, S.; Tur, C.; Jäger, H.R.; Yousry, T.A.; et al. Apparent diffusion coefficient for molecular subtyping of non-gadolinium-enhancing WHO grade II/III glioma: Volumetric segmentation versus two-dimensional region of interest analysis. Eur. Radiol. 2018, 28, 3779–3788. [Google Scholar] [CrossRef]
- Wu, C.-C.; Jain, R.; Radmanesh, A.; Poisson, L.M.; Guo, W.-Y.; Zagzag, D.; Snuderl, M.; Placantonakis, D.G.; Golfinos, J.; Chi, A.S. Predicting Genotype and Survival in Glioma Using Standard Clinical MR Imaging Apparent Diffusion Coefficient Images: A Pilot Study from The Cancer Genome Atlas. AJNR Am. J. Neuroradiol. 2018, 39, 1814–1820. [Google Scholar] [CrossRef]
- Sternberg, E.J.; Lipton, M.L.; Burns, J. Utility of diffusion tensor imaging in evaluation of the peritumoral region in patients with primary and metastatic brain tumors. AJNR Am. J. Neuroradiol. 2014, 35, 439–444. [Google Scholar] [CrossRef]
- Castellano, A.; Donativi, M.; Rudà, R.; De Nunzio, G.; Riva, M.; Iadanza, A.; Bertero, L.; Rucco, M.; Bello, L.; Soffietti, R.; et al. Evaluation of low-grade glioma structural changes after chemotherapy using DTI-based histogram analysis and functional diffusion maps. Eur. Radiol. 2016, 26, 1263–1273. [Google Scholar] [CrossRef]
- Law, M.; Young, R.J.; Babb, J.S.; Peccerelli, N.; Chheang, S.; Gruber, M.L.; Miller, D.C.; Golfinos, J.G.; Zagzag, D.; Johnson, G. Gliomas: Predicting time to progression or survival with cerebral blood volume measurements at dynamic susceptibility-weighted contrast-enhanced perfusion MR imaging. Radiology 2008, 247, 490–498. [Google Scholar] [CrossRef]
- Kickingereder, P.; Sahm, F.; Radbruch, A.; Wick, W.; Heiland, S.; von Deimling, A.; Bendszus, M.; Wiestler, B. IDH mutation status is associated with a distinct hypoxia/angiogenesis transcriptome signature which is non-invasively predictable with rCBV imaging in human glioma. Sci. Rep. 2015, 5, 16238. [Google Scholar] [CrossRef] [PubMed]
- Liang, J.; Liu, D.; Gao, P.; Zhang, D.; Chen, H.; Shi, C.; Luo, L. Diagnostic Values of DCE-MRI and DSC-MRI for Differentiation Between High-grade and Low-grade Gliomas: A Comprehensive Meta-analysis. Acad. Radiol. 2018, 25, 338–348. [Google Scholar] [CrossRef]
- Liu, T.; Cheng, G.; Kang, X.; Xi, Y.; Zhu, Y.; Wang, K.; Sun, C.; Ye, J.; Li, P.; Yin, H. Noninvasively evaluating the grading and IDH1 mutation status of diffuse gliomas by three-dimensional pseudo-continuous arterial spin labeling and diffusion-weighted imaging. Neuroradiology 2018, 60, 693–702. [Google Scholar] [CrossRef]
- Anzalone, N.; Castellano, A.; Cadioli, M.; Conte, G.M.; Cuccarini, V.; Bizzi, A.; Grimaldi, M.; Costa, A.; Grillea, G.; Vitali, P.; et al. Brain Gliomas: Multicenter Standardized Assessment of Dynamic Contrast-enhanced and Dynamic Susceptibility Contrast MR Images. Radiology 2018, 287, 933–943. [Google Scholar] [CrossRef] [PubMed]
- Conte, G.M.; Castellano, A.; Altabella, L.; Iadanza, A.; Cadioli, M.; Falini, A.; Anzalone, N. Reproducibility of dynamic contrast-enhanced MRI and dynamic susceptibility contrast MRI in the study of brain gliomas: A comparison of data obtained using different commercial software. Radiol. Med. 2017, 122, 294–302. [Google Scholar] [CrossRef]
- Chaumeil, M.M.; Lupo, J.M.; Ronen, S.M. Magnetic Resonance (MR) Metabolic Imaging in Glioma. Brain Pathol. 2015, 25, 769–780. [Google Scholar] [CrossRef]
- Choi, C.; Ganji, S.K.; DeBerardinis, R.J.; Hatanpaa, K.J.; Rakheja, D.; Kovacs, Z.; Yang, X.-L.; Mashimo, T.; Raisanen, J.M.; Marin-Valencia, I.; et al. 2-hydroxyglutarate detection by magnetic resonance spectroscopy in IDH-mutated patients with gliomas. Nat. Med. 2012, 18, 624–629. [Google Scholar] [CrossRef] [PubMed]
- Andronesi, O.C.; Kim, G.S.; Gerstner, E.; Batchelor, T.; Tzika, A.A.; Fantin, V.R.; Vander Heiden, M.G.; Sorensen, A.G. Detection of 2-hydroxyglutarate in IDH-mutated glioma patients by in vivo spectral-editing and 2D correlation magnetic resonance spectroscopy. Sci. Transl. Med. 2012, 4, 116ra4. [Google Scholar] [CrossRef] [PubMed]
- Suh, C.H.; Kim, H.S.; Jung, S.C.; Choi, C.G.; Kim, S.J. 2-Hydroxyglutarate MR spectroscopy for prediction of isocitrate dehydrogenase mutant glioma: A systemic review and meta-analysis using individual patient data. Neuro-Oncol. 2018, 20, 1573–1583. [Google Scholar] [CrossRef]
- Andronesi, O.C.; Loebel, F.; Bogner, W.; Marjańska, M.; Heiden, M.G.V.; Iafrate, A.J.; Dietrich, J.; Batchelor, T.T.; Gerstner, E.R.; Kaelin, W.G.; et al. Treatment Response Assessment in IDH-Mutant Glioma Patients by Noninvasive 3D Functional Spectroscopic Mapping of 2-Hydroxyglutarate. Clin. Cancer Res. 2016, 22, 1632–1641. [Google Scholar] [CrossRef] [PubMed]
- Choi, C.; Raisanen, J.M.; Ganji, S.K.; Zhang, S.; McNeil, S.S.; An, Z.; Madan, A.; Hatanpaa, K.J.; Vemireddy, V.; Sheppard, C.A.; et al. Prospective longitudinal analysis of 2-hydroxyglutarate magnetic resonance spectroscopy identifies broad clinical utility for the management of patients with IDH-mutant glioma. J. Clin. Oncol. Off. J. Am. Soc. Clin. Oncol. 2016, 34, 4030–4039. [Google Scholar] [CrossRef]
- Andronesi, O.C.; Arrillaga-Romany, I.C.; Ly, K.I.; Bogner, W.; Ratai, E.M.; Reitz, K.; Iafrate, A.J.; Dietrich, J.; Gerstner, E.R.; Chi, A.S.; et al. Pharmacodynamics of mutant-IDH1 inhibitors in glioma patients probed by in vivo 3D MRS imaging of 2-hydroxyglutarate. Nat. Commun. 2018, 9, 1474. [Google Scholar] [CrossRef]
- Castellano, A.; Cirillo, S.; Bello, L.; Riva, M.; Falini, A. Functional MRI for Surgery of Gliomas. Curr. Treat. Options Neurol. 2017, 19, 34. [Google Scholar] [CrossRef]
- Bizzi, A.; Blasi, V.; Falini, A.; Ferroli, P.; Cadioli, M.; Danesi, U.; Aquino, D.; Marras, C.; Caldiroli, D.; Broggi, G. Presurgical functional MR imaging of language and motor functions: Validation with intraoperative electrocortical mapping. Radiology 2008, 248, 579–589. [Google Scholar] [CrossRef] [PubMed]
- Cirillo, S.; Caulo, M.; Pieri, V.; Falini, A.; Castellano, A. Role of Functional Imaging Techniques to Assess Motor and Language Cortical Plasticity in Glioma Patients: A Systematic Review. Neural Plast. 2019, 2019, 4056436. [Google Scholar] [CrossRef]
- La Fougère, C.; Suchorska, B.; Bartenstein, P.; Kreth, F.-W.; Tonn, J.-C. Molecular imaging of gliomas with PET: Opportunities and limitations. Neuro-Oncol. 2011, 13, 806–819. [Google Scholar] [CrossRef] [PubMed]
- Falk Delgado, A.; Falk Delgado, A. Discrimination between primary low-grade and high-grade glioma with 11C-methionine PET: A bivariate diagnostic test accuracy meta-analysis. Br. J. Radiol. 2018, 91, 20170426. [Google Scholar] [CrossRef]
- Näslund, O.; Smits, A.; Förander, P.; Laesser, M.; Bartek, J.; Gempt, J.; Liljegren, A.; Daxberg, E.-L.; Jakola, A.S. Amino acid tracers in PET imaging of diffuse low-grade gliomas: A systematic review of preoperative applications. Acta Neurochir. (Wien) 2018, 160, 1451–1460. [Google Scholar] [CrossRef]
- Albert, N.L.; Weller, M.; Suchorska, B.; Galldiks, N.; Soffietti, R.; Kim, M.M.; la Fougère, C.; Pope, W.; Law, I.; Arbizu, J.; et al. Response Assessment in Neuro-Oncology working group and European Association for Neuro-Oncology recommendations for the clinical use of PET imaging in gliomas. Neuro-Oncol. 2016, 18, 1199–1208. [Google Scholar] [CrossRef]
- Riva, M.; Lopci, E.; Castellano, A.; Olivari, L.; Gallucci, M.; Pessina, F.; Fernandes, B.; Simonelli, M.; Navarria, P.; Grimaldi, M.; et al. Lower Grade Gliomas: Relationships Between Metabolic and Structural Imaging with Grading and Molecular Factors. World Neurosurg. 2019, 126, e270–e280. [Google Scholar] [CrossRef]
- Duffau, H. Preserving quality of life is not incompatible with increasing overall survival in diffuse low-grade glioma patients. Acta Neurochir. (Wien) 2015, 157, 165–167. [Google Scholar] [CrossRef] [PubMed]
- Rudà, R.; Angileri, F.F.; Ius, T.; Silvani, A.; Sarubbo, S.; Solari, A.; Castellano, A.; Falini, A.; Pollo, B.; Del Basso De Caro, M.; et al. Italian consensus and recommendations on diagnosis and treatment of low-grade gliomas. An intersociety (SINch/AINO/SIN) document. J. Neurosurg. Sci. 2020, 64, 313–334. [Google Scholar] [CrossRef] [PubMed]
- Brown, T.J.; Bota, D.A.; van Den Bent, M.J.; Brown, P.D.; Maher, E.; Aregawi, D.; Liau, L.M.; Buckner, J.C.; Weller, M.; Berger, M.S.; et al. Management of low-grade glioma: A systematic review and meta-analysis. Neurooncol. Pract. 2019, 6, 249–258. [Google Scholar] [CrossRef] [PubMed]
- Capelle, L.; Fontaine, D.; Mandonnet, E.; Taillandier, L.; Golmard, J.L.; Bauchet, L.; Pallud, J.; Peruzzi, P.; Baron, M.H.; Kujas, M.; et al. Spontaneous and therapeutic prognostic factors in adult hemispheric World Health Organization Grade II gliomas: A series of 1097 cases: Clinical article. J. Neurosurg. 2013, 118, 1157–1168. [Google Scholar] [CrossRef]
- Choi, J.; Kim, S.H.; Ahn, S.S.; Choi, H.J.; Yoon, H.I.; Cho, J.H.; Roh, T.H.; Kang, S.-G.; Chang, J.H.; Suh, C.-O. Extent of resection and molecular pathologic subtype are potent prognostic factors of adult WHO grade II glioma. Sci. Rep. 2020, 10, 2086. [Google Scholar] [CrossRef]
- Clark, V.E.; Cahill, D.P. Extent of Resection Versus Molecular Classification: What Matters When? Neurosurg. Clin. N. Am. 2019, 30, 95–101. [Google Scholar] [CrossRef]
- Claus, E.B.; Horlacher, A.; Hsu, L.; Schwartz, R.B.; Dello-Iacono, D.; Talos, F.; Jolesz, F.A.; Black, P.M. Survival rates in patients with low-grade glioma after intraoperative magnetic resonance image guidance. Cancer 2005, 103, 1227–1233. [Google Scholar] [CrossRef]
- Cesselli, D.; Ius, T.; Isola, M.; Del Ben, F.; Da Col, G.; Bulfoni, M.; Turetta, M.; Pegolo, E.; Marzinotto, S.; Scott, C.A.; et al. Application of an Artificial Intelligence Algorithm to Prognostically Stratify Grade II Gliomas. Cancers (Basel) 2019, 12, 50. [Google Scholar] [CrossRef]
- Kavouridis, V.K.; Boaro, A.; Dorr, J.; Cho, E.Y.; Iorgulescu, J.B.; Reardon, D.A.; Arnaout, O.; Smith, T.R. Contemporary assessment of extent of resection in molecularly defined categories of diffuse low-grade glioma: A volumetric analysis. J. Neurosurg. 2019, 1–11. [Google Scholar] [CrossRef]
- Ius, T.; Isola, M.; Budai, R.; Pauletto, G.; Tomasino, B.; Fadiga, L.; Skrap, M. Low-grade glioma surgery in eloquent areas: Volumetric analysis of extent of resection and its impact on overall survival. A single-institution experience in 190 patients: Clinical article. J. Neurosurg. 2012, 117, 1039–1052. [Google Scholar] [CrossRef]
- Ius, T.; Ciani, Y.; Ruaro, M.E.; Isola, M.; Sorrentino, M.; Bulfoni, M.; Candotti, V.; Correcig, C.; Bourkoula, E.; Manini, I.; et al. An NF-κB signature predicts low-grade glioma prognosis: A precision medicine approach based on patient-derived stem cells. Neuro-Oncol. 2018, 20, 776–787. [Google Scholar] [CrossRef] [PubMed]
- Hervey-Jumper, S.L.; Berger, M.S. Maximizing safe resection of low- and high-grade glioma. J. Neurooncol. 2016, 130, 269–282. [Google Scholar] [CrossRef] [PubMed]
- Lang, F.F.; Gilbert, M.R. Diffusely infiltrative low-grade gliomas in adults. J. Clin. Oncol. 2006, 24, 1236–1245. [Google Scholar] [CrossRef] [PubMed]
- Nitta, M.; Muragaki, Y.; Maruyama, T.; Ikuta, S.; Komori, T.; Maebayashi, K.; Iseki, H.; Tamura, M.; Saito, T.; Okamoto, S.; et al. Proposed therapeutic strategy for adult low-grade glioma based on aggressive tumor resection. Neurosurg. Focus 2015, 38, E7. [Google Scholar] [CrossRef] [PubMed]
- Sanai, N.; Berger, M.S. Surgical oncology for gliomas: The state of the art. Nat. Rev. Clin. Oncol. 2018, 15, 112–125. [Google Scholar] [CrossRef]
- Sanai, N.; Chang, S.; Berger, M.S. Low-grade gliomas in adults. J. Neurosurg. 2011, 115, 948–965. [Google Scholar] [CrossRef]
- Skrap, M.; Mondani, M.; Tomasino, B.; Weis, L.; Budai, R.; Pauletto, G.; Eleopra, R.; Fadiga, L.; Ius, T. Surgery of insular nonenhancing gliomas: Volumetric analysis of tumoral resection, clinical outcome, and survival in a consecutive series of 66 cases. Neurosurgery 2012, 70, 1081–1093. [Google Scholar] [CrossRef]
- Smith, J.S.; Chang, E.F.; Lamborn, K.R.; Chang, S.M.; Prados, M.D.; Cha, S.; Tihan, T.; Vandenberg, S.; McDermott, M.W.; Berger, M.S. Role of extent of resection in the long-term outcome of low-grade hemispheric gliomas. J. Clin. Oncol. 2008, 26, 1338–1345. [Google Scholar] [CrossRef]
- Ius, T.; Angelini, E.; Thiebaut de Schotten, M.; Mandonnet, E.; Duffau, H. Evidence for potentials and limitations of brain plasticity using an atlas of functional resectability of WHO grade II gliomas: Towards a “minimal common brain”. Neuroimage 2011, 56, 992–1000. [Google Scholar] [CrossRef]
- Raffa, G.; Quattropani, M.C.; Scibilia, A.; Conti, A.; Angileri, F.F.; Esposito, F.; Sindorio, C.; Cardali, S.M.; Germanò, A.; Tomasello, F. Surgery of language-eloquent tumors in patients not eligible for awake surgery: The impact of a protocol based on navigated transcranial magnetic stimulation on presurgical planning and language outcome, with evidence of tumor-induced intra-hemispheric plasticity. Clin. Neurol. Neurosurg. 2018, 168, 127–139. [Google Scholar] [CrossRef]
- Duffau, H. Is non-awake surgery for supratentorial adult low-grade glioma treatment still feasible? Neurosurg. Rev. 2018, 41, 133–139. [Google Scholar] [CrossRef] [PubMed]
- De Witt Hamer, P.C.; Robles, S.G.; Zwinderman, A.H.; Duffau, H.; Berger, M.S. Impact of intraoperative stimulation brain mapping on glioma surgery outcome: A meta-analysis. J. Clin. Oncol. 2012, 30, 2559–2565. [Google Scholar] [CrossRef] [PubMed]
- Raffa, G.; Scibilia, A.; Conti, A.; Ricciardo, G.; Rizzo, V.; Morelli, A.; Angileri, F.F.; Cardali, S.M.; Germanò, A. The role of navigated transcranial magnetic stimulation for surgery of motor-eloquent brain tumors: A systematic review and meta-analysis. Clin. Neurol. Neurosurg. 2019, 180, 7–17. [Google Scholar] [CrossRef]
- Skrap, M.; Marin, D.; Ius, T.; Fabbro, F.; Tomasino, B. Brain mapping: A novel intraoperative neuropsychological approach. J. Neurosurg. 2016, 125, 877–887. [Google Scholar] [CrossRef] [PubMed]
- Szelényi, A.; Bello, L.; Duffau, H.; Fava, E.; Feigl, G.C.; Galanda, M.; Neuloh, G.; Signorelli, F.; Sala, F. Workgroup for Intraoperative Management in Low-Grade Glioma Surgery within the European Low-Grade Glioma Network Intraoperative electrical stimulation in awake craniotomy: Methodological aspects of current practice. Neurosurg. Focus 2010, 28, E7. [Google Scholar] [CrossRef]
- Krivosheya, D.; Prabhu, S.S.; Weinberg, J.S.; Sawaya, R. Technical principles in glioma surgery and preoperative considerations. J. Neurooncol. 2016, 130, 243–252. [Google Scholar] [CrossRef] [PubMed]
- Bello, L.; Castellano, A.; Fava, E.; Casaceli, G.; Riva, M.; Scotti, G.; Gaini, S.M.; Falini, A. Intraoperative use of diffusion tensor imaging fiber tractography and subcortical mapping for resection of gliomas: Technical considerations. Neurosurg. Focus 2010, 28, E6. [Google Scholar] [CrossRef]
- Majchrzak, K.; Kaspera, W.; Bobek-Billewicz, B.; Hebda, A.; Stasik-Pres, G.; Majchrzak, H.; Ładziński, P. The assessment of prognostic factors in surgical treatment of low-grade gliomas: A prospective study. Clin. Neurol. Neurosurg. 2012, 114, 1135–1144. [Google Scholar] [CrossRef]
- Snyder, L.A.; Wolf, A.B.; Oppenlander, M.E.; Bina, R.; Wilson, J.R.; Ashby, L.; Brachman, D.; Coons, S.W.; Spetzler, R.F.; Sanai, N. The impact of extent of resection on malignant transformation of pure oligodendrogliomas. J. Neurosurg. 2014, 120, 309–314. [Google Scholar] [CrossRef]
- Coburger, J.; Merkel, A.; Scherer, M.; Schwartz, F.; Gessler, F.; Roder, C.; Pala, A.; König, R.; Bullinger, L.; Nagel, G.; et al. Low-grade Glioma Surgery in Intraoperative Magnetic Resonance Imaging: Results of a Multicenter Retrospective Assessment of the German Study Group for Intraoperative Magnetic Resonance Imaging. Neurosurgery 2016, 78, 775–786. [Google Scholar] [CrossRef]
- Jungk, C.; Scherer, M.; Mock, A.; Capper, D.; Radbruch, A.; von Deimling, A.; Bendszus, M.; Herold-Mende, C.; Unterberg, A. Prognostic value of the extent of resection in supratentorial WHO grade II astrocytomas stratified for IDH1 mutation status: A single-center volumetric analysis. J. Neurooncol. 2016, 129, 319–328. [Google Scholar] [CrossRef]
- Roelz, R.; Strohmaier, D.; Jabbarli, R.; Kraeutle, R.; Egger, K.; Coenen, V.A.; Weyerbrock, A.; Reinacher, P.C. Residual Tumor Volume as Best Outcome Predictor in Low Grade Glioma—A Nine-Years Near-Randomized Survey of Surgery vs. Biopsy. Sci. Rep. 2016, 6, 32286. [Google Scholar] [CrossRef] [PubMed]
- Eseonu, C.I.; ReFaey, K.; Garcia, O.; Raghuraman, G.; Quinones-Hinojosa, A. Volumetric Analysis of Extent of Resection, Survival, and Surgical Outcomes for Insular Gliomas. World Neurosurg. 2017, 103, 265–274. [Google Scholar] [CrossRef]
- Eseonu, C.I.; Eguia, F.; ReFaey, K.; Garcia, O.; Rodriguez, F.J.; Chaichana, K.; Quinones-Hinojosa, A. Comparative volumetric analysis of the extent of resection of molecularly and histologically distinct low grade gliomas and its role on survival. J. Neurooncol. 2017, 134, 65–74. [Google Scholar] [CrossRef] [PubMed]
- Patel, T.; Bander, E.D.; Venn, R.A.; Powell, T.; Cederquist, G.Y.-M.; Schaefer, P.M.; Puchi, L.A.; Akhmerov, A.; Ogilvie, S.; Reiner, A.S.; et al. The Role of Extent of Resection in IDH1 Wild-Type or Mutant Low-Grade Gliomas. Neurosurgery 2018, 82, 808–814. [Google Scholar] [CrossRef]
- Wijnenga, M.M.J.; French, P.J.; Dubbink, H.J.; Dinjens, W.N.M.; Atmodimedjo, P.N.; Kros, J.M.; Smits, M.; Gahrmann, R.; Rutten, G.-J.; Verheul, J.B.; et al. The impact of surgery in molecularly defined low-grade glioma: An integrated clinical, radiological, and molecular analysis. Neuro-Oncol. 2018, 20, 103–112. [Google Scholar] [CrossRef] [PubMed]
- Hameed, N.U.F.; Qiu, T.; Zhuang, D.; Lu, J.; Yu, Z.; Wu, S.; Wu, B.; Zhu, F.; Song, Y.; Chen, H.; et al. Transcortical insular glioma resection: Clinical outcome and predictors. J. Neurosurg. 2018, 131, 706–716. [Google Scholar] [CrossRef] [PubMed]
- Morshed, R.A.; Han, S.J.; Hervey-Jumper, S.L.; Pekmezci, M.; Troncon, I.; Chang, S.M.; Butowski, N.A.; Berger, M.S. Molecular features and clinical outcomes in surgically treated low-grade diffuse gliomas in patients over the age of 60. J. Neurooncol. 2019, 141, 383–391. [Google Scholar] [CrossRef] [PubMed]
- Bø, H.K.; Solheim, O.; Kvistad, K.-A.; Berntsen, E.M.; Torp, S.H.; Skjulsvik, A.J.; Reinertsen, I.; Iversen, D.H.; Unsgård, G.; Jakola, A.S. Intraoperative 3D ultrasound-guided resection of diffuse low-grade gliomas: Radiological and clinical results. J. Neurosurg. 2019, 132, 518–529. [Google Scholar] [CrossRef]
- Wang, T.J.C.; Mehta, M.P. Low-Grade Glioma Radiotherapy Treatment and Trials. Neurosurg. Clin. 2019, 30, 111–118. [Google Scholar] [CrossRef]
- Karim, A.B.; Maat, B.; Hatlevoll, R.; Menten, J.; Rutten, E.H.; Thomas, D.G.; Mascarenhas, F.; Horiot, J.C.; Parvinen, L.M.; van Reijn, M.; et al. A randomized trial on dose-response in radiation therapy of low-grade cerebral glioma: European Organization for Research and Treatment of Cancer (EORTC) Study 22844. Int. J. Radiat. Oncol. Biol. Phys. 1996, 36, 549–556. [Google Scholar] [CrossRef]
- Van den Bent, M.J.; Afra, D.; de Witte, O.; Ben Hassel, M.; Schraub, S.; Hoang-Xuan, K.; Malmström, P.-O.; Collette, L.; Piérart, M.; Mirimanoff, R.; et al. Long-term efficacy of early versus delayed radiotherapy for low-grade astrocytoma and oligodendroglioma in adults: The EORTC 22845 randomised trial. Lancet 2005, 366, 985–990. [Google Scholar] [CrossRef]
- Shaw, E.; Arusell, R.; Scheithauer, B.; O’Fallon, J.; O’Neill, B.; Dinapoli, R.; Nelson, D.; Earle, J.; Jones, C.; Cascino, T.; et al. Prospective randomized trial of low- versus high-dose radiation therapy in adults with supratentorial low-grade glioma: Initial report of a North Central Cancer Treatment Group/Radiation Therapy Oncology Group/Eastern Cooperative Oncology Group study. J. Clin. Oncol. 2002, 20, 2267–2276. [Google Scholar] [CrossRef]
- Buckner, J.C.; Shaw, E.G.; Pugh, S.L.; Chakravarti, A.; Gilbert, M.R.; Barger, G.R.; Coons, S.; Ricci, P.; Bullard, D.; Brown, P.D.; et al. Radiation plus Procarbazine, CCNU, and Vincristine in Low-Grade Glioma. N. Engl. J. Med. 2016, 374, 1344–1355. [Google Scholar] [CrossRef] [PubMed]
- Baumert, B.G.; Hegi, M.E.; van den Bent, M.J.; von Deimling, A.; Gorlia, T.; Hoang-Xuan, K.; Brandes, A.A.; Kantor, G.; Taphoorn, M.J.B.; Hassel, M.B.; et al. Temozolomide chemotherapy versus radiotherapy in high-risk low-grade glioma (EORTC 22033-26033): A randomised, open-label, phase 3 intergroup study. Lancet Oncol. 2016, 17, 1521–1532. [Google Scholar] [CrossRef]
- Ryken, T.C.; Parney, I.; Buatti, J.; Kalkanis, S.N.; Olson, J.J. The role of radiotherapy in the management of patients with diffuse low grade glioma: A systematic review and evidence-based clinical practice guideline. J. Neurooncol. 2015, 125, 551–583. [Google Scholar] [CrossRef]
- Dhawan, S.; Patil, C.G.; Chen, C.; Venteicher, A.S. Early Versus Delayed Postoperative Radiotherapy for Treatment of Low-Grade Gliomas. Available online: https://pubmed.ncbi.nlm.nih.gov/31958162/ (accessed on 4 August 2020).
- Pignatti, F.; van den Bent, M.; Curran, D.; Debruyne, C.; Sylvester, R.; Therasse, P.; Afra, D.; Cornu, P.; Bolla, M.; Vecht, C.; et al. Prognostic factors for survival in adult patients with cerebral low-grade glioma. J. Clin. Oncol. 2002, 20, 2076–2084. [Google Scholar] [CrossRef]
- Shaw, E.G.; Berkey, B.; Coons, S.W.; Bullard, D.; Brachman, D.; Buckner, J.C.; Stelzer, K.J.; Barger, G.R.; Brown, P.D.; Gilbert, M.R.; et al. Recurrence following neurosurgeon-determined gross-total resection of adult supratentorial low-grade glioma: Results of a prospective clinical trial. J. Neurosurg. 2008, 109, 835–841. [Google Scholar] [CrossRef] [PubMed]
- Stupp, R.; Mason, W.P.; van den Bent, M.J.; Weller, M.; Fisher, B.; Taphoorn, M.J.B.; Belanger, K.; Brandes, A.A.; Marosi, C.; Bogdahn, U.; et al. Radiotherapy plus concomitant and adjuvant temozolomide for glioblastoma. N. Engl. J. Med. 2005, 352, 987–996. [Google Scholar] [CrossRef]
- Van den Bent, M.J.; Baumert, B.; Erridge, S.C.; Vogelbaum, M.A.; Nowak, A.K.; Sanson, M.; Brandes, A.A.; Clement, P.M.; Baurain, J.F.; Mason, W.P.; et al. Interim results from the CATNON trial (EORTC study 26053-22054) of treatment with concurrent and adjuvant temozolomide for 1p/19q non-co-deleted anaplastic glioma: A phase 3, randomised, open-label intergroup study. Lancet 2017, 390, 1645–1653. [Google Scholar] [CrossRef]
- Fisher, B.J.; Pugh, S.L.; Macdonald, D.R.; Chakravatri, A.; Lesser, G.J.; Fox, S.; Rogers, C.L.; Werner-Wasik, M.; Doyle, T.; Bahary, J.-P.; et al. Phase 2 Study of a Temozolomide-Based Chemoradiation Therapy Regimen for High-Risk, Low-Grade Gliomas: Long-Term Results of Radiation Therapy Oncology Group 0424. Int. J. Radiat. Oncol. Biol. Phys. 2020, 107, 720–725. [Google Scholar] [CrossRef]
- Bell, E.H.; Zhang, P.; Shaw, E.G.; Buckner, J.C.; Barger, G.R.; Bullard, D.E.; Mehta, M.P.; Gilbert, M.R.; Brown, P.D.; Stelzer, K.J.; et al. Comprehensive Genomic Analysis in NRG Oncology/RTOG 9802: A Phase III Trial of Radiation Versus Radiation Plus Procarbazine, Lomustine (CCNU), and Vincristine in High-Risk Low-Grade Glioma. JCO 2020. [Google Scholar] [CrossRef]
- Bady, P.; Kurscheid, S.; Delorenzi, M.; Gorlia, T.; van den Bent, M.J.; Hoang-Xuan, K.; Vauléon, É.; Gijtenbeek, A.; Enting, R.; Thiessen, B.; et al. The DNA methylome of DDR genes and benefit from RT or TMZ in IDH mutant low-grade glioma treated in EORTC 22033. Acta Neuropathol. 2018, 135, 601–615. [Google Scholar] [CrossRef] [PubMed]
- Eyre, H.J.; Crowley, J.J.; Townsend, J.J.; Eltringham, J.R.; Morantz, R.A.; Schulman, S.F.; Quagliana, J.M.; al-Sarraf, M. A randomized trial of radiotherapy versus radiotherapy plus CCNU for incompletely resected low-grade gliomas: A Southwest Oncology Group study. J. Neurosurg. 1993, 78, 909–914. [Google Scholar] [CrossRef] [PubMed]
- Rudà, R.; Pellerino, A.; Pace, A.; Carapella, C.M.; Dealis, C.; Caroli, M.; Faedi, M.; Bello, L.; Migliore, E.; Marchese, G.; et al. Efficacy of initial temozolomide for high-risk low grade gliomas in a phase II AINO (Italian Association for Neuro-Oncology) study: A post-hoc analysis within molecular subgroups of WHO 2016. J. Neuro-Oncol. 2019, 145, 115–123. [Google Scholar] [CrossRef] [PubMed]
- Wahl, M.; Phillips, J.J.; Molinaro, A.M.; Lin, Y.; Perry, A.; Haas-Kogan, D.A.; Costello, J.F.; Dayal, M.; Butowski, N.; Clarke, J.L.; et al. Chemotherapy for adult low-grade gliomas: Clinical outcomes by molecular subtype in a phase II study of adjuvant temozolomide. Neuro-Oncol. 2017, 19, 242–251. [Google Scholar] [CrossRef] [PubMed]
- Kaloshi, G.; Rroji, A.; Petrela, M. Upfront chemotherapy with CCNU alone for adults’ low-grade gliomas: A clinical analysis. J. Neurooncol. 2014, 117, 373–374. [Google Scholar] [CrossRef]
- Kesari, S.; Schiff, D.; Drappatz, J.; LaFrankie, D.; Doherty, L.; Macklin, E.A.; Muzikansky, A.; Santagata, S.; Ligon, K.L.; Norden, A.D.; et al. Phase II study of protracted daily temozolomide for low-grade gliomas in adults. Clin. Cancer Res. 2009, 15, 330–337. [Google Scholar] [CrossRef] [PubMed]
- Tosoni, A.; Franceschi, E.; Ermani, M.; Bertorelle, R.; Bonaldi, L.; Blatt, V.; Brandes, A.A. Temozolomide three weeks on and one week off as first line therapy for patients with recurrent or progressive low grade gliomas. J Neurooncol. 2008, 89, 179–185. [Google Scholar] [CrossRef]
- Van den Bent, M.J.; Klein, M.; Smits, M.; Reijneveld, J.C.; French, P.J.; Clement, P.; de Vos, F.Y.F.; Wick, A.; Mulholland, P.J.; Taphoorn, M.J.B.; et al. Bevacizumab and temozolomide in patients with first recurrence of WHO grade II and III glioma, without 1p/19q co-deletion (TAVAREC): A randomised controlled phase 2 EORTC trial. Lancet Oncol. 2018, 19, 1170–1179. [Google Scholar] [CrossRef]
- Wahl, M.; Chang, S.M.; Phillips, J.J.; Molinaro, A.M.; Costello, J.F.; Mazor, T.; Alexandrescu, S.; Lupo, J.M.; Nelson, S.J.; Berger, M.; et al. Probing the phosphatidylinositol 3-kinase/mammalian target of rapamycin pathway in gliomas: A phase 2 study of everolimus for recurrent adult low-grade gliomas. Cancer 2017, 123, 4631–4639. [Google Scholar] [CrossRef]
- Okada, H.; Butterfield, L.H.; Hamilton, R.L.; Hoji, A.; Sakaki, M.; Ahn, B.J.; Kohanbash, G.; Drappatz, J.; Engh, J.; Amankulor, N.; et al. Induction of robust type-I CD8+ T-cell responses in WHO grade 2 low-grade glioma patients receiving peptide-based vaccines in combination with poly-ICLC. Clin. Cancer Res. 2015, 21, 286–294. [Google Scholar] [CrossRef] [PubMed]
- Duerinck, J.; Du Four, S.; Sander, W.; Van Binst, A.-M.; Everaert, H.; Michotte, A.; Hau, P.; Neyns, B. Sunitinib Malate plus Lomustine for Patients with Temozolomide-refractory Recurrent Anaplastic or Low-grade Glioma. Anticancer Res. 2015, 35, 5551–5557. [Google Scholar]
- Reardon, D.A.; Desjardins, A.; Vredenburgh, J.J.; Herndon, J.E.; Coan, A.; Gururangan, S.; Peters, K.B.; McLendon, R.; Sathornsumetee, S.; Rich, J.N.; et al. Phase II study of Gleevec® plus hydroxyurea in adults with progressive or recurrent low-grade glioma. Cancer 2012, 118, 4759–4767. [Google Scholar] [CrossRef]
- Raymond, E.; Brandes, A.A.; Dittrich, C.; Fumoleau, P.; Coudert, B.; Clement, P.M.J.; Frenay, M.; Rampling, R.; Stupp, R.; Kros, J.M.; et al. Phase II study of imatinib in patients with recurrent gliomas of various histologies: A European organisation for research and treatment of cancer brain tumor group study. J. Clin. Oncol. Off. J. Am. Soc. Clin. Oncol. 2008, 26, 4659–4665. [Google Scholar] [CrossRef] [PubMed]
- Jaeckle, K.A.; Anderson, S.K.; Twohy, E.L.; Dixon, J.G.; Giannini, C.; Jenkins, R.; Egorin, M.J.; Sarkaria, J.N.; Brown, P.D.; Flynn, P.J.; et al. Phase I-II trial of imatinib mesylate (Gleevec; STI571) in treatment of recurrent oligodendroglioma and mixed oligoastrocytoma. North central cancer treatment group study N0272 (ALLIANCE/NCCTG). J. Neurooncol. 2019, 143, 573–581. [Google Scholar] [CrossRef]
- Mellinghoff, I.K.; Ellingson, B.M.; Touat, M.; Maher, E.; De La Fuente, M.I.; Holdhoff, M.; Cote, G.M.; Burris, H.; Janku, F.; Young, R.J.; et al. Ivosidenib in Isocitrate Dehydrogenase 1-Mutated Advanced Glioma. J. Clin. Oncol. 2020. [Google Scholar] [CrossRef]
- Pouratian, N.; Asthagiri, A.; Jagannathan, J.; Shaffrey, M.E.; Schiff, D. Surgery Insight: The role of surgery in the management of low-grade gliomas. Nat. Clin. Pract. Neurol. 2007, 3, 628–639. [Google Scholar] [CrossRef] [PubMed]
- Rasmussen, B.K.; Hansen, S.; Laursen, R.J.; Kosteljanetz, M.; Schultz, H.; Nørgård, B.M.; Guldberg, R.; Gradel, K.O. Epidemiology of glioma: Clinical characteristics, symptoms, and predictors of glioma patients grade I-IV in the the Danish Neuro-Oncology Registry. J. Neurooncol. 2017, 135, 571–579. [Google Scholar] [CrossRef]
- Van Breemen, M.S.M.; Wilms, E.B.; Vecht, C.J. Epilepsy in patients with brain tumours: Epidemiology, mechanisms, and management. Lancet Neurol. 2007, 6, 421–430. [Google Scholar] [CrossRef]
- Rudà, R.; Bello, L.; Duffau, H.; Soffietti, R. Seizures in low-grade gliomas: Natural history, pathogenesis, and outcome after treatments. Neuro-Oncol. 2012, 14 (Suppl. 4), iv55–iv64. [Google Scholar] [CrossRef]
- Stockhammer, F.; Misch, M.; Helms, H.-J.; Lengler, U.; Prall, F.; von Deimling, A.; Hartmann, C. IDH1/2 mutations in WHO grade II astrocytomas associated with localization and seizure as the initial symptom. Seizure 2012, 21, 194–197. [Google Scholar] [CrossRef]
- Iuchi, T.; Hasegawa, Y.; Kawasaki, K.; Sakaida, T. Epilepsy in patients with gliomas: Incidence and control of seizures. J. Clin. Neurosci. 2015, 22, 87–91. [Google Scholar] [CrossRef] [PubMed]
- Englot, D.J.; Berger, M.S.; Barbaro, N.M.; Chang, E.F. Predictors of seizure freedom after resection of supratentorial low-grade gliomas. A review. J. Neurosurg. 2011, 115, 240–244. [Google Scholar] [CrossRef] [PubMed]
- Koekkoek, J.A.F.; Kerkhof, M.; Dirven, L.; Heimans, J.J.; Reijneveld, J.C.; Taphoorn, M.J.B. Seizure outcome after radiotherapy and chemotherapy in low-grade glioma patients: A systematic review. Neuro Oncol. 2015, 17, 924–934. [Google Scholar] [CrossRef]
- Avila, E.K.; Chamberlain, M.; Schiff, D.; Reijneveld, J.C.; Armstrong, T.S.; Ruda, R.; Wen, P.Y.; Weller, M.; Koekkoek, J.A.F.; Mittal, S.; et al. Seizure control as a new metric in assessing efficacy of tumor treatment in low-grade glioma trials. Neuro-Oncol. 2017, 19, 12–21. [Google Scholar] [CrossRef] [PubMed]
- Pallud, J.; Audureau, E.; Blonski, M.; Sanai, N.; Bauchet, L.; Fontaine, D.; Mandonnet, E.; Dezamis, E.; Psimaras, D.; Guyotat, J.; et al. Epileptic seizures in diffuse low-grade gliomas in adults. Brain 2014, 137, 449–462. [Google Scholar] [CrossRef]
- Glauser, T.; Ben-Menachem, E.; Bourgeois, B.; Cnaan, A.; Guerreiro, C.; Kälviäinen, R.; Mattson, R.; French, J.A.; Perucca, E.; Tomson, T.; et al. Updated ILAE evidence review of antiepileptic drug efficacy and effectiveness as initial monotherapy for epileptic seizures and syndromes. Epilepsia 2013, 54, 551–563. [Google Scholar] [CrossRef]
- Koekkoek, J.A.F.; Dirven, L.; Heimans, J.J.; Postma, T.J.; Vos, M.J.; Reijneveld, J.C.; Taphoorn, M.J.B. Seizure reduction is a prognostic marker in low-grade glioma patients treated with temozolomide. J. Neurooncol. 2016, 126, 347–354. [Google Scholar] [CrossRef]
- Maurice, C.; Mason, W.P. Seizure management in patients with gliomas. Expert Rev. Neurother. 2014, 14, 367–377. [Google Scholar] [CrossRef]
- Krumholz, A.; Wiebe, S.; Gronseth, G.S.; Gloss, D.S.; Sanchez, A.M.; Kabir, A.A.; Liferidge, A.T.; Martello, J.P.; Kanner, A.M.; Shinnar, S.; et al. Evidence-based guideline: Management of an unprovoked first seizure in adults: Report of the Guideline Development Subcommittee of the American Academy of Neurology and the American Epilepsy Society. Neurology 2015, 84, 1705–1713. [Google Scholar] [CrossRef]
- Soffietti, R.; Baumert, B.G.; Bello, L.; von Deimling, A.; Duffau, H.; Frénay, M.; Grisold, W.; Grant, R.; Graus, F.; Hoang-Xuan, K.; et al. Guidelines on management of low-grade gliomas: Report of an EFNS-EANO Task Force. Eur. J. Neurol. 2010, 17, 1124–1133. [Google Scholar] [CrossRef] [PubMed]
- Van Breemen, M.S.M.; Rijsman, R.M.; Taphoorn, M.J.B.; Walchenbach, R.; Zwinkels, H.; Vecht, C.J. Efficacy of anti-epileptic drugs in patients with gliomas and seizures. J. Neurol. 2009, 256, 1519–1526. [Google Scholar] [CrossRef] [PubMed]
- Rossetti, A.O.; Jeckelmann, S.; Novy, J.; Roth, P.; Weller, M.; Stupp, R. Levetiracetam and pregabalin for antiepileptic monotherapy in patients with primary brain tumors. A phase II randomized study. Neuro-Oncology. 2014, 16, 584–588. [Google Scholar] [CrossRef] [PubMed]
- Maschio, M.; Dinapoli, L.; Zarabla, A.; Pompili, A.; Carapella, C.M.; Pace, A.; Giannarelli, D.; Occhipinti, E.; Jandolo, B. Outcome and tolerability of topiramate in brain tumor associated epilepsy. J. Neurooncol. 2008, 86, 61–70. [Google Scholar] [CrossRef]
- Maschio, M.; Dinapoli, L.; Sperati, F.; Pace, A.; Fabi, A.; Vidiri, A.; Muti, P. Levetiracetam monotherapy in patients with brain tumor-related epilepsy: Seizure control, safety, and quality of life. J. Neurooncol. 2011, 104, 205–214. [Google Scholar] [CrossRef]
- Maschio, M.; Dinapoli, L.; Sperati, F.; Fabi, A.; Pace, A.; Vidiri, A.; Muti, P. Oxcarbazepine monotherapy in patients with brain tumor-related epilepsy: Open-label pilot study for assessing the efficacy, tolerability and impact on quality of life. J. Neurooncol. 2012, 106, 651–656. [Google Scholar] [CrossRef]
- Helmstaedter, C.; Witt, J.-A. The longer-term cognitive effects of adjunctive antiepileptic treatment with lacosamide in comparison with lamotrigine and topiramate in a naturalistic outpatient setting. Epilepsy Behav. 2013, 26, 182–187. [Google Scholar] [CrossRef]
- Huberfeld, G.; Vecht, C.J. Seizures and gliomas—Towards a single therapeutic approach. Nat. Rev. Neurol. 2016, 12, 204–216. [Google Scholar] [CrossRef]
- Rudà, R.; Houillier, C.; Maschio, M.; Reijneveld, J.; Hellot, S.; De Backer, M.; Chan, J.; Joeres, L.; Leunikava, I.; Glas, M.; et al. Effectiveness and tolerability of lacosamide as add-on therapy in patients with brain tumor–related epilepsy: Results from a prospective, noninterventional study in European clinical practice (VIBES). Epilepsia 2020, 61, 647–656. [Google Scholar] [CrossRef]
- Zoccarato, M.; Basile, A.M.; Padovan, M.; Caccese, M.; Zagonel, V.; Lombardi, G. Eslicarbazepine in patients with brain tumor-related epilepsy: A single-center experience. Int. J. Neurosci. 2020, 1–6. [Google Scholar] [CrossRef]
- Villanueva, V.; Giráldez, B.G.; Toledo, M.; De Haan, G.J.; Cumbo, E.; Gambardella, A.; De Backer, M.; Joeres, L.; Brunnert, M.; Dedeken, P.; et al. Lacosamide monotherapy in clinical practice: A retrospective chart review. Acta Neurol. Scand. 2018, 138, 186–194. [Google Scholar] [CrossRef]
- Baulac, M.; Rosenow, F.; Toledo, M.; Terada, K.; Li, T.; De Backer, M.; Werhahn, K.J.; Brock, M. Efficacy, safety, and tolerability of lacosamide monotherapy versus controlled-release carbamazepine in patients with newly diagnosed epilepsy: A phase 3, randomised, double-blind, non-inferiority trial. Lancet Neurol. 2017, 16, 43–54. [Google Scholar] [CrossRef]
- Chen, Z.; Lusicic, A.; O’Brien, T.J.; Velakoulis, D.; Adams, S.J.; Kwan, P. Psychotic disorders induced by antiepileptic drugs in people with epilepsy. Brain 2016, 139, 2668–2678. [Google Scholar] [CrossRef] [PubMed]
- Das, R.R.; Artsy, E.; Hurwitz, S.; Wen, P.Y.; Black, P.; Golby, A.; Dworetzky, B.; Lee, J.W. Outcomes after discontinuation of antiepileptic drugs after surgery in patients with low grade brain tumors and meningiomas. J. Neuro-Oncol. 2012, 107, 565–570. [Google Scholar] [CrossRef] [PubMed]
- Cucchiara, F.; Pasqualetti, F.; Giorgi, F.S.; Danesi, R.; Bocci, G. Epileptogenesis and oncogenesis: An antineoplastic role for antiepileptic drugs in brain tumours? Pharmacol. Res. 2020, 156, 104786. [Google Scholar] [CrossRef] [PubMed]
- Venkataramani, V.; Tanev, D.I.; Strahle, C.; Studier-Fischer, A.; Fankhauser, L.; Kessler, T.; Körber, C.; Kardorff, M.; Ratliff, M.; Xie, R.; et al. Glutamatergic synaptic input to glioma cells drives brain tumour progression. Nature 2019, 573, 532–538. [Google Scholar] [CrossRef] [PubMed]




| DIFFUSE LGGs | |||||
|---|---|---|---|---|---|
| Features | Diffuse Astrocytoma IDH Mutant | Oligodendroglioma IDH Mutant and 1p/19q Codeleted | Diffuse Astrocytoma IDH-wt | ||
| “early stage” GBM | diffuse glioma NEC | Diffuse astrocytoma IDH-wt | |||
| IDH status | IDH mutation | IDH mutation | IDH wt | IDH wt | IDH wt |
| 1p/19q codeletion | absent | present | absent | absent | absent |
| genetic alterations | ATRX mutation | ATRX wt | EGFR or CDK4 or MDM4 ampl, pTERT mut, CDKN2A del, ch 7 gains, ch 10 losses | BRAF V600E mut, FGFR1 or MYB or MYBL1 alterations | Absence of K27M mutation in H3F3A or HIST1B or HIST1C |
| TP53 mutation | TP53 wt | other genetic alterations not investigated or absent | |||
| Prognosis | intermediate | good | bad | good for tumors with MYB or MYBL1 alterations | |
| Study | Year | N. of pts | Tumor Type | Extent of resection | 5-Year Survival |
|---|---|---|---|---|---|
| Claus et al [67] | 2005 | 156 | Oligodendroglioma 95; Astrocytoma 35; Mixed 26 | 100% (56) | 98.2% |
| <100% (100) | 92% | ||||
| Smith et al [78] | 2007 | 216 | Astrocytoma 93; Oligodendroglioma 91; Mixed 32 | 100% (75) | 98% |
| 90–99% (26) | 97% | ||||
| 70–89% (55) | nd | ||||
| 41–69% (39) | nd | ||||
| 0–40% (21) | nd | ||||
| Sanai et al [76] | 2010 | 70 | “Grade II glioma” | 91–100% (14) | 100% |
| ≤90% (56) | 84% | ||||
| Skrap et al a [77] | 2012 | 53 | Astrocytomas with gemistocytic foci: 2; Fibrillar astrocytomas: 34; Oligoastrocytomas: 10; Oligodendrogliomas: 7 | ≥90% (22) ** | 92% |
| 70–89% (30) | 82% | ||||
| <70% (14) | 57% | ||||
| Ius et al [70] | 2012 | 190 | Fibrillary astyrocytoma 98; Oligoastrocytoma 34; Oligodendroglioma 58 | ≥90% (91) | 93% |
| 70–89% (69) | 84% | ||||
| <70% (30) | 41% | ||||
| Nitta et al [74] | 2013 | 153 | Astrocytoma 49; Oligoastrocytoma 45; Oligodendroglioma 59 | ≥90% (94) | 98.4% |
| <90% (59) | 89.7% | ||||
| Capelle et al [64] | 2013 | 674 | “Grade II glioma” | 100% (80) | 100% |
| 50–99% (418) | 88% | ||||
| <50% (431) | 77% | ||||
| Majchrzak et al [88] | 2012 | 68 | Astrocytoma 46; Oligodendroglioma 5; Mixed 17 | ≥95% (21) | 100% |
| 85–95% (13) | 100% | ||||
| <85% (34) | 81% * | ||||
| Snyder et al [89] | 2014 | 93 | Oligodendroglioma 93 | ≥90% (42) | 90% |
| <90% (51) | 87% | ||||
| Coburger et al [90] | 2016 | 288 | Astrocytoma 173; Oligodendroglioma 52; Mixed 63 | 100% (138) | OS: 302 months |
| <100% (149) | Failed GTR, OS: 171 months Intended STR, OS: 162 months | ||||
| Jungk et al [91] | 2016 | 46 | Astrocytoma 46 | 100% (10) | nd |
| 90–99% (11) | |||||
| 41–89% (14) | |||||
| <40% (7) | |||||
| nd (4) | |||||
| Roelz et al [92] | 2016 | 49 | Astrocytoma 18; Oligodendroglioma 12; Mixed 19 | RTV < 15 cm3 (27) | 96% |
| RTV > 15 cm3 (22) | 64% | ||||
| Eseonu et al [93] | 2017 | 25 | “Grade II glioma” | ≥90% (nd) | 100% |
| <90% (nd) | 80% | ||||
| Eseonu et al [94] | 2017 | 109 | Astrocytoma 73; Oligodendroglioma 36 | 100% (34) | 95% |
| 90–99% (25) | 92% | ||||
| 70–89% (24) | 82% | ||||
| <70% (26) | 76% | ||||
| Patel et al [95] | 2018 | 74 | Astrocytoma 43; Oligodendroglioma 19; Mixed 12 | IDHmt (73.3%) +++ | 95.2% ++++ |
| IDHwt (27.8%) +++ | 55.0% ++++ | ||||
| Wijnenga et al [96] | 2018 | 228 | Oligodendroglioma (IDHmt, 1p/19q codeleted) 93; Astrocytoma IDHmt 112; Astrocytoma IDHwt 23 | 100% (35) | 93.75% |
| 95–99% (14) | 90.6% | ||||
| 90–94% (22) | 84.4% | ||||
| 41–89% (90) | 87.5% | ||||
| 0–40% (67) | 56.25% | ||||
| Hameed et al [97] | 2018 | 120 | Diffuse astrocytoma, IDH1 mutant 56; Diffuse astrocytoma, IDH1 wild-type 22; Diffuse astrocytoma, NOS 5; Oligodendroglioma, IDH1 mutant & 1p/19q-codeleted 25; Oligodendroglioma, NOS 7;Oligoastrocytoma, NOS 5 | ≥90% (93) | Mean OS 68.51 months |
| <90% (27) | Median OS 49.80 months | ||||
| Morshed et al b [98] | 2018 | 26 | Diffuse astrocytoma, IDH1 mutant 5; Diffuse astrocytoma, IDH1 wild-type 7; Oligodendroglioma, IDH1 mutant & 1p/19q-codeleted 13; Oligoastrocytoma, NOS 1 | 100% (8) | nd |
| 70–99% (7) | |||||
| <70% (11) | |||||
| Ius et al [71] | 2018 | 146 | Diffuse astrocytoma, IDH mutant 81; Diffuse astrocytoma, IDH wild-type 8; Oligodendroglioma, IDH1 mutant & 1p/19q-codeleted 57 | 86% | 74% |
| Bo et al [99] | 2019 | 47 | Diffuse astrocytoma, IDH1 mutant 20; Diffuse astrocytoma, IDH1 wild-type 7; Oligodendroglioma, IDH1 mutant & 1p/19q-codeleted 19; Oligodendroglioma, NOS 1 | 100% (14) 90–99% (14) <90% (19) | significantly better OS with postoperative tumor remnant of less than 10 ml (estimated 5-year survival 94% vs 53%, p = 0.03). |
| Cesselli et al [68] | 2019 | 241 | Diffuse astrocytoma, IDH1 mutant 20; Diffuse astrocytoma, IDH1 wild-type 7; Oligodendroglioma, IDH1 mutant & 1p/19q-codeleted 19; |
| Trial | Treatments | Number of Patients | Median Overall Survival (Years) | Median PFS | 5-Year OS (%) | 5-Year PFS (%) |
|---|---|---|---|---|---|---|
| Karim et al. EORTC 22844 [101] | 45 Gy in 25 ff | 171 | NA | NA | 58 | 47 |
| 59.4 Gy in 33 ff | 172 | NA | NA | 59 | 50 | |
| Van den Bent et al. EORTC 22845 [102] | 54 Gy in 30 ff | 157 | 7.4 | 5.3 | 68 | 55 |
| Observation | 157 | 7.2 | 3.4 | 66 | 35 | |
| Shaw et al. NCCT/RTOG/ECOG [103] | 50.4 Gy in 33 ff | 101 | NA | NA | 72 | 55 |
| 64.8 Gy in 36 ff | 102 | NA | NA | 64 | 52 | |
| Buckner et al. RTOG 9802 [104] | 54 Gy in 30 ff | 126 | 7.8 | 4.0 Years | 63 | 44 |
| 54 Gy in 30 ff + PCV × 6 | 125 | 13.3 | 10.4 Years | 72 | 61 | |
| Baumert et al. EORTC 22033-26033 [105] | TMZ × 12 cycles | 237 | NR | 39 months | NA | 29 |
| 50.4 Gy in 28 ff | 240 | NR | 46 months | NA | 40 |
| Clinical Trial | Phase | Patients | Arm(s) | Results |
|---|---|---|---|---|
| RTOG 9802 [104] | III | ≥40 years or subtotal resection or biopsy | RT versus RT-PCV | RT-PCV > RT for OS and PFS |
| EORTC 22033-26033 [105] | III | >40 years or progressive disease or tumor > 5cm or crossing midline or neurological symptoms | RT versus TMZ | No difference for PFS (all patients) Subgroup analyses: IDHm/non-codel: RT > TMZ for PFS IDHm/codel and IDHwt: no difference |
| RTOG 0424 [112] | II | 3 or more: ≥40 years, astrocytoma, bihemispherical tumor, preoperative tumor size ≥ 6 cm, preoperative neurological function status > 1 | RT-TMZ | 5-year OS rate: 60.9% Median OS: 8.2 years (95%CI: 5.6–9.1) |
| Eyre et al. [115] | II | Incomplete surgical resection | RT versus RT-CCNU | No difference between treatment arms Median OS (all patients): 4.45 years |
| Ruda et al. [116] | II | Incomplete surgical resection or biopsy or progressive disease | TMZ alone | Median PFS: 3.4 years (95%CI: 2.2–4.3) Median OS: 9.2 years (95%CI: 8.2–11.9) |
| Wahl et al. [117] | II | Gross residual disease after resection | TMZ alone | Median PFS: 4.2 years (95%CI: 3.0–5.0)Median OS: 9.7 years (95%CI: 7.2–11.3) |
| Kaloshi et al. [118] | II | Progressive disease, refractory epilepsy, neurological deficit | CCNU alone | Median PFS: 27.8 months (95%CI: 21.2–59.6) 5-year OS rate: 71% |
| Kesari et al. [119] | II | Oligodendroglioma and oligoastrocytoma with a MIB-1 index > 5% or recurrent LGG | TMZ alone | 5-year OS rate: 73% 5-year PFS rate: 34% |
Publisher’s Note: MDPI stays neutral with regard to jurisdictional claims in published maps and institutional affiliations. |
© 2020 by the authors. Licensee MDPI, Basel, Switzerland. This article is an open access article distributed under the terms and conditions of the Creative Commons Attribution (CC BY) license (http://creativecommons.org/licenses/by/4.0/).
Share and Cite
Lombardi, G.; Barresi, V.; Castellano, A.; Tabouret, E.; Pasqualetti, F.; Salvalaggio, A.; Cerretti, G.; Caccese, M.; Padovan, M.; Zagonel, V.; et al. Clinical Management of Diffuse Low-Grade Gliomas. Cancers 2020, 12, 3008. https://doi.org/10.3390/cancers12103008
Lombardi G, Barresi V, Castellano A, Tabouret E, Pasqualetti F, Salvalaggio A, Cerretti G, Caccese M, Padovan M, Zagonel V, et al. Clinical Management of Diffuse Low-Grade Gliomas. Cancers. 2020; 12(10):3008. https://doi.org/10.3390/cancers12103008
Chicago/Turabian StyleLombardi, Giuseppe, Valeria Barresi, Antonella Castellano, Emeline Tabouret, Francesco Pasqualetti, Alessandro Salvalaggio, Giulia Cerretti, Mario Caccese, Marta Padovan, Vittorina Zagonel, and et al. 2020. "Clinical Management of Diffuse Low-Grade Gliomas" Cancers 12, no. 10: 3008. https://doi.org/10.3390/cancers12103008
APA StyleLombardi, G., Barresi, V., Castellano, A., Tabouret, E., Pasqualetti, F., Salvalaggio, A., Cerretti, G., Caccese, M., Padovan, M., Zagonel, V., & Ius, T. (2020). Clinical Management of Diffuse Low-Grade Gliomas. Cancers, 12(10), 3008. https://doi.org/10.3390/cancers12103008

