Sterol O-Acyl Transferase 1 as a Prognostic Marker of Adrenocortical Carcinoma
Abstract
1. Introduction
2. Results
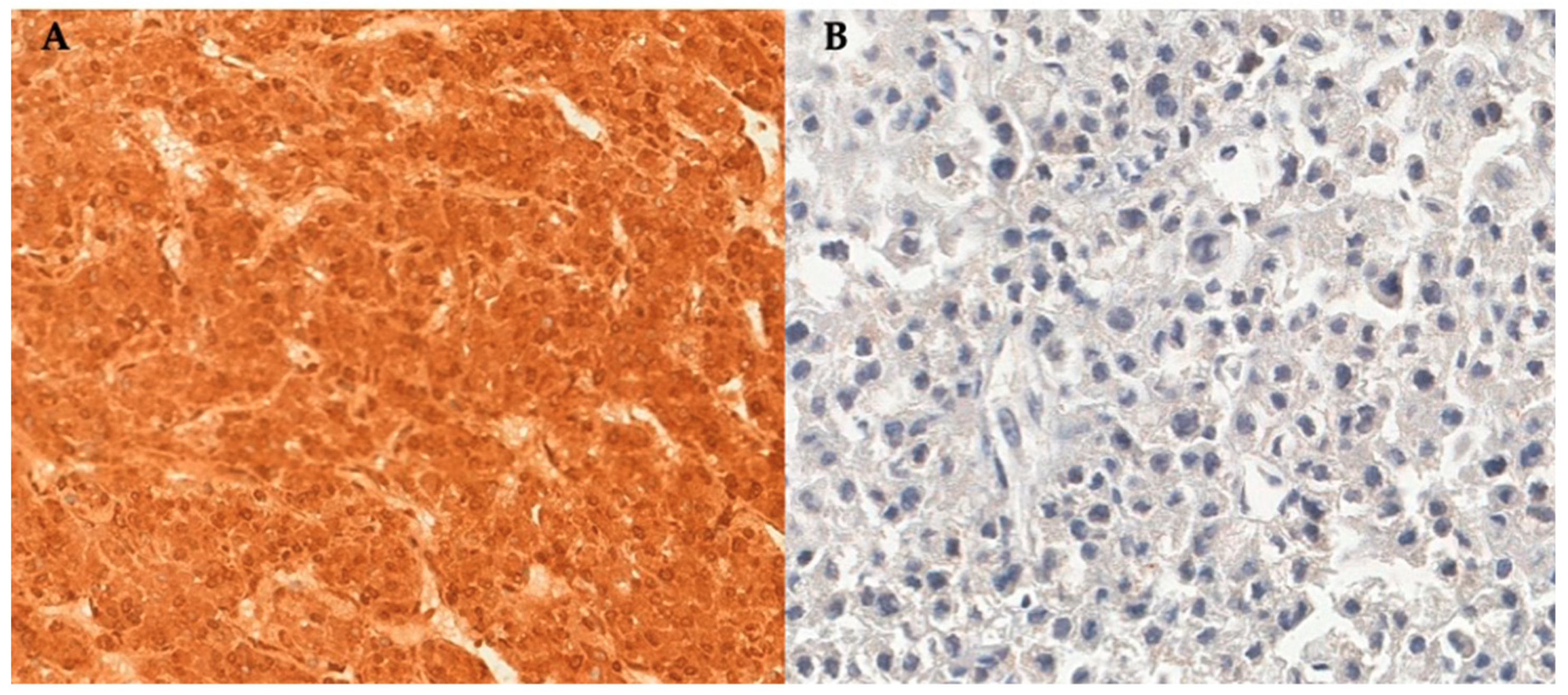
2.1. SOAT1 Protein Expression
2.2. Survival Analysis
2.3. SOAT1 Protein Expression and Ki67 Index
2.4. SOAT1 Gene Expression
3. Discussion
4. Materials and Methods
4.1. Tissue Microarray and Immunohistochemical Analysis
4.2. Quantitative Real-Time PCR (qRT-PCR)
4.3. Statistical Analysis
5. Conclusions
Author Contributions
Funding
Acknowledgments
Conflicts of Interest
References
- Allolio, B.; Fassnacht, M. Clinical review: Adrenocortical carcinoma: Clinical update. J. Clin. Endocrinol. Metab. 2006, 91, 2027–2037. [Google Scholar] [CrossRef]
- Else, T.; Kim, A.C.; Sabolch, A.; Raymond, V.M.; Kandathil, A.; Caoili, E.M.; Jolly, S.; Miller, B.S.; Giordano, T.J.; Hammer, G.D. Adrenocortical carcinoma. Endocr. Rev. 2014, 35, 282–326. [Google Scholar] [CrossRef]
- Fassnacht, M.; Kroiss, M.; Allolio, B. Update in Adrenocortical Carcinoma. J. Clin. Endocrinol. Metab. 2013, 98, 4551–4564. [Google Scholar] [CrossRef] [PubMed]
- Duregon, E.; Cappellesso, R.; Maffeis, V.; Zaggia, B.; Ventura, L.; Berruti, A.; Terzolo, M.; Fassina, A.; Volante, M.; Papotti, M. Validation of the prognostic role of the ‘‘Helsinki Score” in 225 cases of adrenocortical carcinoma. Hum. Pathol. 2017, 62, 1–7. [Google Scholar] [CrossRef] [PubMed]
- de Souza, B.F.; Hudson-Davies, R.E.; Lin, L.; Parnaik, R.; Hubank, M.; Dattani, M.T.; Achermann, J.C. Sterol O-acyltransferase 1 (SOAT1, ACAT) is a novel target of steroidogenic factor-1 (SF-1, NR5A1, Ad4BP) in the human adrenal. J. Clin. Endocrinol. Metab. 2011, 96, 663–668. [Google Scholar] [CrossRef] [PubMed]
- Chang, T.-Y.; Chang, C.C.; Ohgami, N.; Yamauchi, Y. Cholesterol Sensing, Trafficking, and Esterification. Annu. Rev. Cell Dev. Boil. 2006, 22, 129–157. [Google Scholar] [CrossRef] [PubMed]
- Sbiera, S.; Leich, E.; Liebisch, G.; Sbiera, I.; Schirbel, A.; Wiemer, L.; Matysik, S.; Eckhardt, C.; Gardill, F.; Gehl, A.; et al. Mitotane Inhibits Sterol-O-Acyl Transferase 1 Triggering Lipid-Mediated Endoplasmic Reticulum Stress and Apoptosis in Adrenocortical Carcinoma Cells. Endocrinology 2015, 156, 3895–3908. [Google Scholar] [CrossRef] [PubMed]
- Geng, F.; Cheng, X.; Wu, X.; Yoo, J.Y.; Cheng, C.; Guo, J.Y.; Mo, X.; Ru, P.; Hurwitz, B.; Kim, S.-H.; et al. Inhibition of SOAT1 Suppresses Glioblastoma Growth via Blocking SREBP-1-Mediated Lipogenesis. Clin. Cancer Res. 2016, 22, 5337–5348. [Google Scholar] [CrossRef] [PubMed]
- Jiang, Y.; Sun, A.; Zhao, Y.; Ying, W.; Sun, H.; Yang, X.; Xing, B.; Sun, W.; Ren, L.; Hu, B.; et al. Proteomics identifies new therapeutic targets of early-stage hepatocellular carcinoma. Nature 2019, 567, 257–261. [Google Scholar] [CrossRef] [PubMed]
- Uhlen, M.; Zhang, C.; Lee, S.; Sjöstedt, E.; Fagerberg, L.; Bidkhori, G.; Benfeitas, R.; Arif, M.; Liu, Z.; Edfors, F.; et al. A pathology atlas of the human cancer transcriptome. Science 2017, 357, eaan2507. [Google Scholar] [CrossRef] [PubMed]
- Yue, S.; Li, J.; Lee, S.Y.; Shao, T.; Song, B.; Cheng, L.; Masterson, T.A.; Liu, X.; Ratliff, T.L.; Cheng, J.X. Cholesterol ester accumulation induced by PTEN loss and PI3K/AKT activation underlies human prostate cancer aggressiveness. Cell Metab. 2014, 19, 393–406. [Google Scholar] [CrossRef] [PubMed]
- Li, J.; Gu, D.; Lee, S.S.-Y.; Song, B.; Bandyopadhyay, S.; Chen, S.; Konieczny, S.F.; Ratliff, T.L.; Liu, X.; Xie, J.; et al. Abrogating cholesterol esterification suppresses growth and metastasis of pancreatic cancer. Oncogene 2016, 35, 6378–6388. [Google Scholar] [CrossRef]
- Petan, T.; Jarc, E.; Jusović, M. Lipid Droplets in Cancer: Guardians of Fat in a Stressful World. Molecules 2018, 23, 1941. [Google Scholar] [CrossRef] [PubMed]
- Maan, M.; Peters, J.M.; Dutta, M.; Patterson, A.D. Lipid metabolism and lipophagy in cancer. Biochem. Biophys. Res. Commun. 2018, 504, 582–589. [Google Scholar] [CrossRef] [PubMed]
- Tirinato, L.; Pagliari, F.; Limongi, T.; Marini, M.; Falqui, A.; Seco, J.; Candeloro, P.; Liberale, C.; Di Fabrizio, E. An Overview of Lipid Droplets in Cancer and Cancer Stem Cells. Stem Cells Int. 2017, 2017, 1656053. [Google Scholar] [CrossRef] [PubMed]
- Beuschlein, F.; Weigel, J.; Saeger, W.; Kroiss, M.; Wild, V.; Daffara, F.; Libé, R.; Ardito, A.; Al Ghuzlan, A.; Quinkler, M.; et al. Major Prognostic Role of Ki67 in Localized Adrenocortical Carcinoma After Complete Resection. J. Clin. Endocrinol. Metab. 2015, 100, 841–849. [Google Scholar] [CrossRef] [PubMed]
- Sbiera, S.; Schmull, S.; Assie, G.; Voelker, H.U.; Kraus, L.; Beyer, M.; Ragazzon, B.; Beuschlein, F.; Willenberg, H.S.; Hahner, S.; et al. High Diagnostic and Prognostic Value of Steroidogeni Factor-1 Expression in Adrenal Tumors. J. Clin. Endocrinol. Metab. 2010, 95, E161–E171. [Google Scholar] [CrossRef] [PubMed]
- Shi, S.R.; Key, M.E.; Kalra, K.L. Antigen retrieval in formalin-fixed, paraffin-embedded tissues: An enhancement method for immunohistochemical staining based on microwave oven heating of tissue sections. J. Histochem. Cytochem. 1991, 39, 741–748. [Google Scholar] [CrossRef] [PubMed]
- Eisenhauer, E.; Therasse, P.; Bogaerts, J.; Schwartz, L.; Sargent, D.; Ford, R.; Dancey, J.; Arbuck, S.; Gwyther, S.; Mooney, M.; et al. New response evaluation criteria in solid tumours: Revised RECIST guideline (version 1.1). Eur. J. Cancer 2009, 45, 228–247. [Google Scholar] [CrossRef] [PubMed]




| Cases | SOAT1 Immunoreactivity Score | ||||||
|---|---|---|---|---|---|---|---|
| Weak or Absent Protein Expression (Score ≤ 2) | Strong Protein Expression (Score > 2) | ||||||
| 0 | 0.5 | 1 | 1.5 | 2 | 3 | 4 | |
| n (%) | 26 (23.2) | 4 (3.6) | 4 (3.6) | 4 (3.6) | 32 (28.5) | 5 (4.5) | 37 (33) |
| n (%) | 70 (62.5) | 42 (37.5) | |||||
| Characteristic | SOAT1 Protein Expression | p * | |
|---|---|---|---|
| Weak or Absent (≤2) | Strong (>2) | ||
| n (%) | 70 (62.5) | 42 (37.5) | |
| Sex—n (%) | |||
| Female | 53 (75.7) | 26 (61.9) | 0.181 |
| Male | 17 (24.3) | 16 (38.1) | |
| Age (years) | |||
| Median | 43.6 (15.38–83.19) | 36.32 (17.71–81) | 0.32 ** |
| Tumor size (cm) | |||
| Median | 11.15 (2.5–27) | 12.2 (2.2–23) | 0.792 ** |
| Hormonal status—n (%) | |||
| Cushing | 40 (58) | 35 (83.3) | 0.01 |
| Non-Cushing | 29 (42) | 7 (16.7) | |
| Stage (ENSAT)—n (%) | |||
| 1–2 | 45 (64.3) | 15 (35.7) | 0.011 |
| 3–4 | 25 (35.7) | 27 (64.3) | |
| Weiss score | |||
| 3–6 | 42 (62.7) | 18 (42.9) | 0.068 |
| >6 | 25 (37.3) | 24 (57.1) | |
| Ki67 index (%) | |||
| Median | 10 (1–75) | 17.5 (1–80) | 0.002 ** |
| Variables | Univariate Analysis | Multivariate Analysis | ||||
|---|---|---|---|---|---|---|
| Overall Survival | ||||||
| HR | 95% CI | p | HR | 95% IC | p | |
| Cushing’s syndrome | 2.019 | 1.16–3.5 | 0.013 | |||
| ENSAT 3/4 stage | 3.48 | 2.11–5.75 | <0.0001 | 2.93 | 1.68–5.13 | <0.0001 |
| Weiss Score > 6 | 3.47 | 2.08–5.77 | <0.0001 | |||
| Ki67 > 10% | 3.67 | 2.04–6.59 | <0.0001 | 3.11 | 1.71–5.67 | <0.0001 |
| Strong SOAT1 protein expression | 1.94 | 1.19—3.15 | 0.007 | 2.15 | 1.26–3.66 | 0.005 |
| Recurrence-Free Survival | ||||||
| HR | 95% CI | p | HR | 95% IC | p | |
| Cushing’s syndrome | 1.16 | 0.64–2.11 | 0.619 | |||
| ENSAT 3 stage | 14 | 1.85–105.5 | 0.014 | |||
| Weiss Score > 6 | 3.33 | 1.8–6.15 | <0.0001 | |||
| Ki67 > 10% | 9.05 | 4.12–19.81 | <0.0001 | 9.87 | 4.39–22.2 | <0.0001 |
| Strong SOAT1 protein expression | 1.44 | 0.78–2.67 | 0.241 | 2.1 | 1.09–4.06 | 0.027 |
| Progression-Free Survival | ||||||
| HR | 95% CI | p | HR | 95% IC | p | |
| Cushing’s syndrome | 1.64 | 0.37–7.26 | 0.514 | |||
| Weiss Score > 6 | 2.45 | 0.52–11.43 | 0.252 | |||
| Ki67 > 10% | 3.37 | 0.44–25.64 | 0.24 | |||
| Strong SOAT1 protein expression | 4.1 | 1.14–14.7 | 0.03 | |||
| Characteristic | Adrenocortical Carcinomas n = 112 |
|---|---|
| Age (years) (A) | 40 (15–83) |
| Sex (Female:Male) | 2.4:1 |
| Clinical syndrome, n (%) | |
| Cushing syndrome | 26 (23) |
| Virilizing syndrome | 10 (9) |
| Cushing and virilizing syndrome | 51 (46) |
| Non-functioning | 20 (18) |
| Not available | 5 (4) |
| ENSAT, n (%) | |
| 1 | 10 (9) |
| 2 | 50 (45) |
| 3 | 27 (24) |
| 4 | 25 (22) |
| Weiss score, n (%) | |
| 3–6 | 63 (56) |
| >6 | 49 (44) |
| Ki67, n (%) | |
| Known | 102 (91) |
| ≤10% | 47 (46) |
| >10% | 55 (54) |
| Follow-up (months) (A) | 35 (0.6–381) |
© 2020 by the authors. Licensee MDPI, Basel, Switzerland. This article is an open access article distributed under the terms and conditions of the Creative Commons Attribution (CC BY) license (http://creativecommons.org/licenses/by/4.0/).
Share and Cite
Lacombe, A.M.F.; Soares, I.C.; Mariani, B.M.d.P.; Nishi, M.Y.; Bezerra-Neto, J.E.; Charchar, H.d.S.; Brondani, V.B.; Tanno, F.; Srougi, V.; Chambo, J.L.; et al. Sterol O-Acyl Transferase 1 as a Prognostic Marker of Adrenocortical Carcinoma. Cancers 2020, 12, 247. https://doi.org/10.3390/cancers12010247
Lacombe AMF, Soares IC, Mariani BMdP, Nishi MY, Bezerra-Neto JE, Charchar HdS, Brondani VB, Tanno F, Srougi V, Chambo JL, et al. Sterol O-Acyl Transferase 1 as a Prognostic Marker of Adrenocortical Carcinoma. Cancers. 2020; 12(1):247. https://doi.org/10.3390/cancers12010247
Chicago/Turabian StyleLacombe, Amanda Meneses Ferreira, Iberê Cauduro Soares, Beatriz Marinho de Paula Mariani, Mirian Yumie Nishi, João Evangelista Bezerra-Neto, Helaine da Silva Charchar, Vania Balderrama Brondani, Fabio Tanno, Victor Srougi, José Luiz Chambo, and et al. 2020. "Sterol O-Acyl Transferase 1 as a Prognostic Marker of Adrenocortical Carcinoma" Cancers 12, no. 1: 247. https://doi.org/10.3390/cancers12010247
APA StyleLacombe, A. M. F., Soares, I. C., Mariani, B. M. d. P., Nishi, M. Y., Bezerra-Neto, J. E., Charchar, H. d. S., Brondani, V. B., Tanno, F., Srougi, V., Chambo, J. L., Costa de Freitas, R. M., Mendonca, B. B., Hoff, A. O., Almeida, M. Q., Weigand, I., Kroiss, M., Zerbini, M. C. N., & Fragoso, M. C. B. V. (2020). Sterol O-Acyl Transferase 1 as a Prognostic Marker of Adrenocortical Carcinoma. Cancers, 12(1), 247. https://doi.org/10.3390/cancers12010247

