Advanced Radiation Techniques in the Treatment of Esthesioneuroblastoma: A 7-Year Single-Institution’s Clinical Experience
Abstract
1. Introduction
2. Results
2.1. Group A (First Irradiation, 13 Patients)
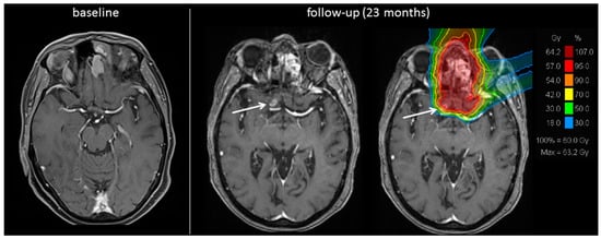
2.2. Group B (Reirradiation, Four Patients)
2.3. Treatment Toxicity
3. Discussion
4. Materials and Methods
4.1. Patients’ Characteristics
4.2. Pre-Treatment Imaging
4.3. Treatment Modalities–Group A (First Irradiation, 13 Patients)
4.4. Treatment Modalities–Group B (Reirradiation, Four Patients)
4.5. Follow-Up
4.6. Overall Survival (OS)
4.7. Progression Free Survival (PFS)
4.8. Local Recurrence Free Survival (LRFS)
4.9. Treatment Toxicity
4.10. Statistical Analysis
5. Conclusions
Author Contributions
Funding
Conflicts of Interest
References
- Broich, G.; Pagliari, A.; Ottaviani, F. Esthesioneuroblastoma: A general review of the cases published since the discovery of the tumour in 1924. Anticancer Res. 1997, 17, 2683–2706. [Google Scholar] [PubMed]
- Dulguerov, P.; Allal, A.S.; Calcaterra, T.C. Esthesioneuroblastoma: A meta-analysis and review. Lancet Oncol. 2001, 2, 683–690. [Google Scholar] [CrossRef]
- Ferlito, A.; Rinaldo, A.; Rhys-Evans, P.H. Contemporary clinical commentary: Esthesioneuroblastoma: An update on management of the neck. Laryngoscope 2003, 113, 1935–1938. [Google Scholar] [CrossRef] [PubMed]
- Association Française Pour L’étude du Cancer. L’esthesioneuroepitheliome olfactif. Bulletin de l’Association Francaise pour l’etude du Cancer 1924, 13, 410–421. [Google Scholar]
- Jethanamest, D.; Morris, L.G.; Sikora, A.G.; Kutler, D.I. Esthesioneuroblastoma: A population-based analysis of survival and prognostic factors. Arch. Otolaryngol. Head Neck Surg. 2007, 133, 276–280. [Google Scholar] [CrossRef] [PubMed]
- Yin, Z.; Wang, Y.; Wu, Y.; Zhang, X.; Wang, F.; Wang, P.; Tao, Z.; Yuan, Z. Age distribution and age-related outcomes of olfactory neuroblastoma: A population-based analysis. Cancer Manag. Res. 2018, 10, 1359–1364. [Google Scholar] [CrossRef] [PubMed]
- Kadish, S.; Goodman, M.; Wang, C.C. Olfactory neuroblastoma. A clinical analysis of 17 cases. Cancer 1976, 37, 1571–1576. [Google Scholar] [CrossRef]
- Morita, A.; Ebersold, M.J.; Olsen, K.D.; Foote, R.L.; Lewis, J.E.; Quast, L.M. Esthesioneuroblastoma: Prognosis and management. Neurosurgery 1993, 32, 706–714. [Google Scholar] [CrossRef] [PubMed]
- Kaur, G.; Kane, A.J.; Sughrue, M.E.; Madden, M.; Oh, M.C.; Sun, M.Z.; Safaee, M.; El-Sayed, I.; Aghi, M.; McDermott, M.W.; et al. The prognostic implications of Hyam’s subtype for patients with Kadish stage C esthesioneuroblastoma. J. Clin. Neurosci. 2013, 20, 281–286. [Google Scholar] [CrossRef] [PubMed]
- Hyams, V.J.; Batsakis, J.G.; Michaels, L. Tumors of the upper respiratory tract and ear. In Atlas of Tumor Pathology: Second Series, Fascicle 25; Armed Forces Institute of Pathology: Washington, DC, USA, 1988; pp. 240–248. [Google Scholar]
- Bell, D.; Saade, R.; Roberts, D.; Ow, T.J.; Kupferman, M.; DeMonte, F.; Hanna, E.Y. Prognostic utility of Hyams histological grading and Kadish-Morita staging systems for esthesioneuroblastoma outcomes. Head Neck Pathol. 2015, 9, 51–59. [Google Scholar] [CrossRef] [PubMed]
- Devaiah, A.K.; Andreoli, M.T. Treatment of esthesioneuroblastoma: A 16-year meta-analysis of 361 patients. Laryngoscope 2009, 119, 1412–1416. [Google Scholar] [CrossRef] [PubMed]
- Orton, A.; Boothe, D.; Evans, D.; Lloyd, S.; Monroe, M.M.; Jensen, R.; Shrieve, D.C.; Hitchcock, Y.J. Esthesioneuroblastoma: A Patterns-of-Care and Outcomes Analysis of the National Cancer Database. Neurosurgery 2018. [Google Scholar] [CrossRef] [PubMed]
- Tajudeen, B.A.; Arshi, A.; Suh, J.D.; St John, M.; Wang, M.B. Importance of tumor grade in esthesioneuroblastoma survival: A population-based analysis. JAMA Otolaryngol. Head Neck Surg. 2014, 140, 1124–1129. [Google Scholar] [CrossRef] [PubMed]
- Benfari, G.; Fusconi, M.; Ciofalo, A.; Gallo, A.; Altissimi, G.; Celani, T.; De Vincentiis, M. Radiotherapy alone for local tumour control in esthesioneuroblastoma. Acta Otorhinolaryngol. Ital. 2008, 28, 292–297. [Google Scholar] [PubMed]
- Foote, R.L.; Morita, A.; Ebersold, M.J.; Olsen, K.D.; Lewis, J.E.; Quast, L.M.; Ferguson, J.A.; O’Fallon, W.M. Esthesioneuroblastoma: The role of adjuvant radiation therapy. Int. J. Radiat. Oncol. Biol. Phys. 1993, 27, 835–842. [Google Scholar] [CrossRef]
- Hoppe, B.S.; Nelson, C.J.; Gomez, D.R.; Stegman, L.D.; Wu, A.J.; Wolden, S.L.; Pfister, D.G.; Zelefsky, M.J.; Shah, J.P.; Kraus, D.H.; et al. Unresectable carcinoma of the paranasal sinuses: Outcomes and toxicities. Int. J. Radiat. Oncol. Biol. Phys. 2008, 72, 763–769. [Google Scholar] [CrossRef] [PubMed]
- Madani, I.; Bonte, K.; Vakaet, L.; Boterberg, T.; De Neve, W. Intensity-modulated radiotherapy for sinonasal tumors: Ghent University Hospital update. Int. J. Radiat. Oncol. Biol. Phys. 2009, 73, 424–432. [Google Scholar] [CrossRef] [PubMed]
- Patel, S.H.; Wang, Z.; Wong, W.W.; Murad, M.H.; Buckey, C.R.; Mohammed, K.; Alahdab, F.; Altayar, O.; Nabhan, M.; Schild, S.E.; et al. Charged particle therapy versus photon therapy for paranasal sinus and nasal cavity malignant diseases: A systematic review and meta-analysis. Lancet Oncol. 2014, 15, 1027–1038. [Google Scholar] [CrossRef]
- Ozsahin, M.; Gruber, G.; Olszyk, O.; Karakoyun-Celik, O.; Pehlivan, B.; Azria, D.; Roelandts, M.; Kaanders, J.H.; Cengiz, M.; Krengli, M.; et al. Outcome and prognostic factors in olfactory neuroblastoma: A rare cancer network study. Int. J. Radiat. Oncol. Biol. Phys. 2010, 78, 992–997. [Google Scholar] [CrossRef] [PubMed]
- Jensen, A.D.; Nikoghosyan, A.V.; Poulakis, M.; Hoss, A.; Haberer, T.; Jakel, O.; Munter, M.W.; Schulz-Ertner, D.; Huber, P.E.; Debus, J. Combined intensity-modulated radiotherapy plus raster-scanned carbon ion boost for advanced adenoid cystic carcinoma of the head and neck results in superior locoregional control and overall survival. Cancer 2015, 121, 3001–3009. [Google Scholar] [CrossRef] [PubMed]
- Nakamura, N.; Zenda, S.; Tahara, M.; Okano, S.; Hayashi, R.; Hojo, H.; Hotta, K.; Kito, S.; Motegi, A.; Arahira, S.; et al. Proton beam therapy for olfactory neuroblastoma. Radiother. Oncol. 2017, 122, 368–372. [Google Scholar] [CrossRef] [PubMed]
- Suefuji, H.; Koto, M.; Demizu, Y.; Saitoh, J.I.; Shioyama, Y.; Tsuji, H.; Okimoto, T.; Ohno, T.; Nemoto, K.; Nakano, T.; et al. A Retrospective Multicenter Study of Carbon Ion Radiotherapy for Locally Advanced Olfactory Neuroblastomas. Anticancer Res. 2018, 38, 1665–1670. [Google Scholar] [CrossRef] [PubMed]
- Konuthula, N.; Iloreta, A.M.; Miles, B.; Rhome, R.; Ozbek, U.; Genden, E.M.; Posner, M.; Misiukiewicz, K.; Govindaraj, S.; Shrivastava, R.; et al. Prognostic significance of Kadish staging in esthesioneuroblastoma: An analysis of the National Cancer Database. Head Neck 2017, 39, 1962–1968. [Google Scholar] [CrossRef] [PubMed]
- Schlampp, I.; Karger, C.P.; Jakel, O.; Scholz, M.; Didinger, B.; Nikoghosyan, A.; Hoess, A.; Kramer, M.; Edler, L.; Debus, J.; et al. Temporal lobe reactions after radiotherapy with carbon ions: Incidence and estimation of the relative biological effectiveness by the local effect model. Int. J. Radiat. Oncol. Biol. Phys. 2011, 80, 815–823. [Google Scholar] [CrossRef] [PubMed]
- Brasch, R.C.; Weinmann, H.J.; Wesbey, G.E. Contrast-enhanced NMR imaging: Animal studies using gadolinium-DTPA complex. AJR Am. J. Roentgenol. 1984, 142, 625–630. [Google Scholar] [CrossRef] [PubMed]
- Kumar, A.J.; Leeds, N.E.; Fuller, G.N.; Van Tassel, P.; Maor, M.H.; Sawaya, R.E.; Levin, V.A. Malignant gliomas: MR imaging spectrum of radiation therapy- and chemotherapy-induced necrosis of the brain after treatment. Radiology 2000, 217, 377–384. [Google Scholar] [CrossRef] [PubMed]
- Kishimoto, R.; Mizoe, J.E.; Komatsu, S.; Kandatsu, S.; Obata, T.; Tsujii, H. MR imaging of brain injury induced by carbon ion radiotherapy for head and neck tumors. Magn. Reson. Med. Sci. 2005, 4, 159–164. [Google Scholar] [CrossRef] [PubMed]
- Gonzalez, J.; Kumar, A.J.; Conrad, C.A.; Levin, V.A. Effect of bevacizumab on radiation necrosis of the brain. Int. J. Radiat. Oncol. Biol. Phys. 2007, 67, 323–326. [Google Scholar] [CrossRef] [PubMed]
- Steinstrater, O.; Grun, R.; Scholz, U.; Friedrich, T.; Durante, M.; Scholz, M. Mapping of RBE-weighted doses between HIMAC- and LEM-Based treatment planning systems for carbon ion therapy. Int. J. Radiat. Oncol. Biol. Phys. 2012, 84, 854–860. [Google Scholar] [CrossRef] [PubMed]



| Characteristics | No of Patients |
|---|---|
| Gender | |
| Male | 12 |
| Female | 5 |
| Kadish stage (modified) | |
| A | 0 |
| B | 2 |
| C | 11 |
| D | 4 |
| Hyams-Grading | |
| 1 | 1 |
| 2 | 6 |
| 3 | 2 |
| 4 | 0 |
| not done | 8 |
| Surgery | |
| preceding resection | 14 |
| no preceding resection | 3 |
| R0 | 3 |
| R1 | 1 |
| R2 | 9 |
| RX | 1 |
| irradiation | |
| first irradiation | 13 |
| reirradiation | 4 |
| photons | 5 |
| carbon ions | 4 |
| photons + carbon ions | 8 |
© 2018 by the authors. Licensee MDPI, Basel, Switzerland. This article is an open access article distributed under the terms and conditions of the Creative Commons Attribution (CC BY) license (http://creativecommons.org/licenses/by/4.0/).
Share and Cite
Liermann, J.; Syed, M.; Held, T.; Bernhardt, D.; Plinkert, P.; Jungk, C.; Unterberg, A.; Rieken, S.; Debus, J.; Herfarth, K.; et al. Advanced Radiation Techniques in the Treatment of Esthesioneuroblastoma: A 7-Year Single-Institution’s Clinical Experience. Cancers 2018, 10, 457. https://doi.org/10.3390/cancers10110457
Liermann J, Syed M, Held T, Bernhardt D, Plinkert P, Jungk C, Unterberg A, Rieken S, Debus J, Herfarth K, et al. Advanced Radiation Techniques in the Treatment of Esthesioneuroblastoma: A 7-Year Single-Institution’s Clinical Experience. Cancers. 2018; 10(11):457. https://doi.org/10.3390/cancers10110457
Chicago/Turabian StyleLiermann, Jakob, Mustafa Syed, Thomas Held, Denise Bernhardt, Peter Plinkert, Christine Jungk, Andreas Unterberg, Stefan Rieken, Jürgen Debus, Klaus Herfarth, and et al. 2018. "Advanced Radiation Techniques in the Treatment of Esthesioneuroblastoma: A 7-Year Single-Institution’s Clinical Experience" Cancers 10, no. 11: 457. https://doi.org/10.3390/cancers10110457
APA StyleLiermann, J., Syed, M., Held, T., Bernhardt, D., Plinkert, P., Jungk, C., Unterberg, A., Rieken, S., Debus, J., Herfarth, K., & Adeberg, S. (2018). Advanced Radiation Techniques in the Treatment of Esthesioneuroblastoma: A 7-Year Single-Institution’s Clinical Experience. Cancers, 10(11), 457. https://doi.org/10.3390/cancers10110457

