Cylindracin, a Fruiting Body-Specific Protein of Cyclocybe cylindracea, Represses the Egg-Laying and Development of Caenorhabditis elegans and Drosophila melanogaster
Abstract
1. Introduction
2. Results
2.1. Inhibition of the Development and Egg-Laying of Nematodes
2.2. Inhibition of the Development and Egg-Laying of Drosophila
2.3. Detection of Fluorescently Labeled rCYL in Nematodes and Drosophila
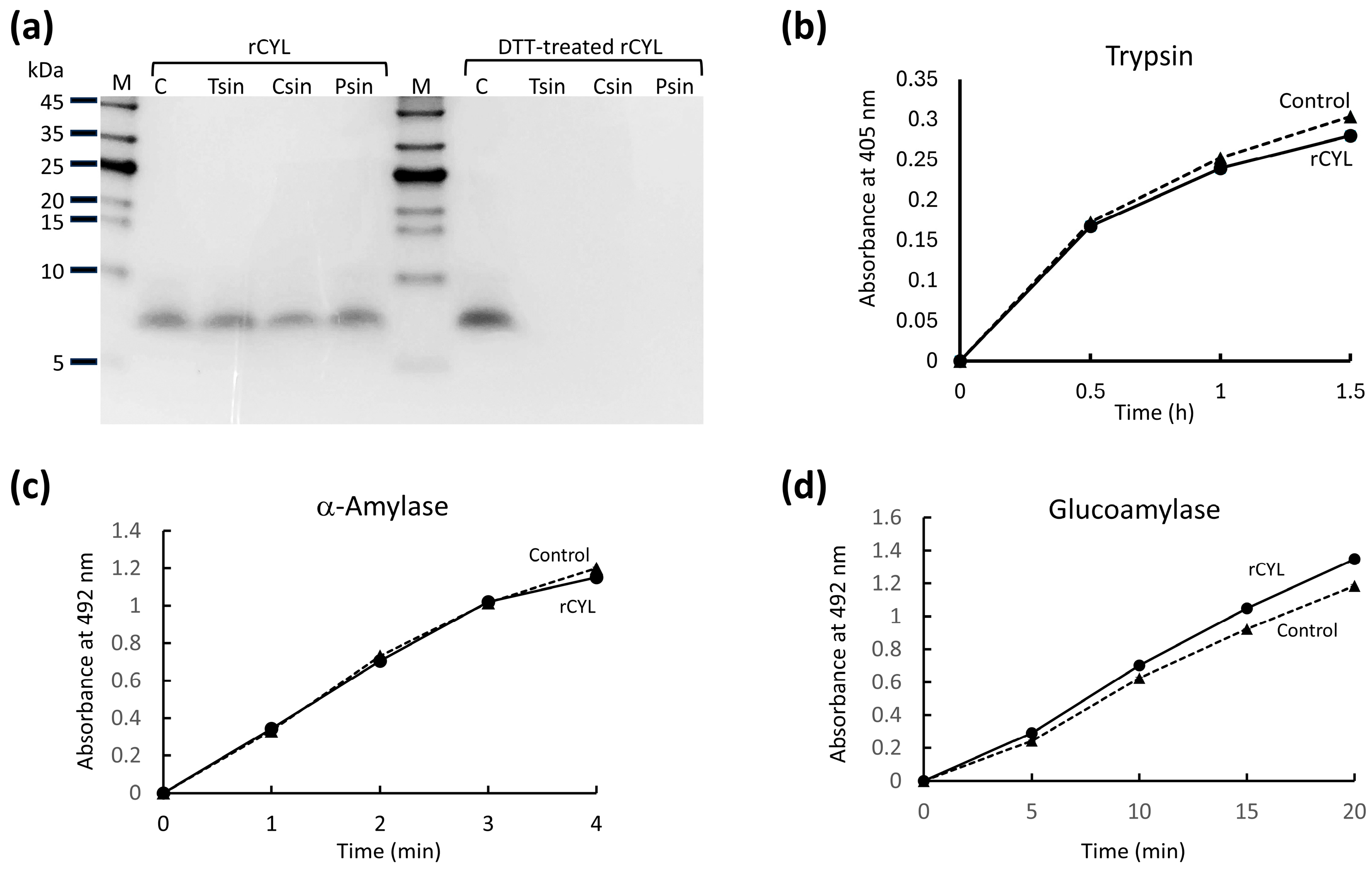
2.4. Stability of rCYL Against Proteolytic Enzymes In Vitro

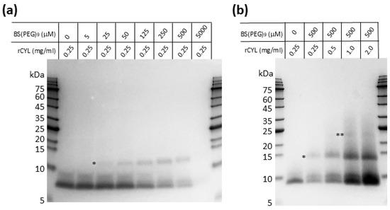
2.5. Protein Cross-Linking of rCYL
2.6. Interaction of rCYL with Heparin and Heparan Sulfate
3. Discussion
4. Conclusions
5. Materials and Methods
5.1. Animals
5.2. Preparation of rCYL
5.3. Fluorescent Labeling of rCYL
5.4. Biotoxicity Assay Against C. elegans
5.5. Biotoxicity Assay Against D. melanogaster
5.6. Fluorescence Microscopy of FITC-Labeled rCYL
5.7. Stability Test of rCYL Against Proteases
5.8. Protease Inhibition Test of rCYL
5.10. Cross-Linking of rCYL
5.11. Carbohydrate-Binding Assay
5.12. Thioflavin T Fluorescence Assay
5.13. Statistical Analysis
Supplementary Materials
Author Contributions
Funding
Institutional Review Board Statement
Informed Consent Statement
Data Availability Statement
Acknowledgments
Conflicts of Interest
Abbreviations
| BSA | bovine serum albumin |
| CFW | Calcofluor white |
| DTT | dithiothreitol |
| FITC | fluorescein isothiocyanate |
| HS | heparan sulfate |
| NGM | nematode growth medium |
| PBS | phosphate-buffered saline |
| PM | peritrophic matrix |
| rCYL | recombinant cylindracin |
| RP-HPLC | reverse-phase high-performance liquid chromatography |
| SDS-PAGE | sodium dodecyl sulfate–polyacrylamide gel electrophoresis |
References
- Rohlfs, M.; Churchill, A.C. Fungal secondary metabolites as modulators of interactions with insects and other arthropods. Fungal Genet. Biol. 2011, 48, 23–34. [Google Scholar] [CrossRef] [PubMed]
- Ibanez, S.; Gallet, C.; Despres, L. Plant insecticidal toxins in ecological networks. Toxins 2012, 4, 228–243. [Google Scholar] [CrossRef] [PubMed] [PubMed Central]
- Sabotic, J.; Ohm, R.A.; Kunzler, M. Entomotoxic and nematotoxic lectins and protease inhibitors from fungal fruiting bodies. Appl. Microbiol. Biotechnol. 2016, 100, 91–111. [Google Scholar] [CrossRef] [PubMed]
- Le, C.F.; Fang, C.M.; Sekaran, S.D. Intracellular Targeting Mechanisms by Antimicrobial Peptides. Antimicrob. Agents Chemother. 2017, 61, e02340-16. [Google Scholar] [CrossRef] [PubMed] [PubMed Central]
- Marshall, E. Malaria: A renewed assault on an old and deadly foe. Science 2000, 290, 428–430. [Google Scholar] [CrossRef] [PubMed][Green Version]
- Skendzic, S.; Zovko, M.; Zivkovic, I.P.; Lesic, V.; Lemic, D. The Impact of Climate Change on Agricultural Insect Pests. Insects 2021, 12, 440. [Google Scholar] [CrossRef] [PubMed]
- Bellekom, B.; Hackett, T.D.; Lewis, O.T. A Network Perspective on the Vectoring of Human Disease. Trends Parasitol. 2021, 37, 391–400. [Google Scholar] [CrossRef] [PubMed]
- Tomar, P.; Thakur, N.; Jhamta, S.; Chowdhury, S.; Kapoor, M.; Singh, S.; Shreaz, S.; Rustagif, S.; Raig, P.K.; Rai, A.K.; et al. Bacterial biopesticides: Biodiversity, role in pest management and beneficial impact on agricultural and environmental sustainability. Heliyon 2024, 10, e31550. [Google Scholar] [CrossRef] [PubMed] [PubMed Central]
- Pardo-Lopez, L.; Soberon, M.; Bravo, A. Bacillus thuringiensis insecticidal three-domain Cry toxins: Mode of action, insect resistance and consequences for crop protection. FEMS Microbiol. Rev. 2013, 37, 3–22. [Google Scholar] [CrossRef] [PubMed]
- Dominguez-Arrizabalaga, M.; Villanueva, M.; Escriche, B.; Ancin-Azpilicueta, C.; Caballero, P. Insecticidal Activity of Bacillus thuringiensis Proteins Against Coleopteran Pests. Toxins 2020, 12, 430. [Google Scholar] [CrossRef] [PubMed] [PubMed Central]
- Best, H.L.; Williamson, L.J.; Heath, E.A.; Waller-Evans, H.; Lloyd-Evans, E.; Berry, C. The role of glycoconjugates as receptors for insecticidal proteins. FEMS Microbiol. Rev. 2023, 47, fuad026. [Google Scholar] [CrossRef] [PubMed] [PubMed Central]
- Parisi, K.; Shafee, T.M.A.; Quimbar, P.; van der Weerden, N.L.; Bleackley, M.R.; Anderson, M.A. The evolution, function and mechanisms of action for plant defensins. Semin. Cell Dev. Biol. 2019, 88, 107–118. [Google Scholar] [CrossRef] [PubMed]
- Odintsova, T.I.; Slezina, M.P.; Istomina, E.A. Defensins of Grasses: A Systematic Review. Biomolecules 2020, 10, 1029. [Google Scholar] [CrossRef] [PubMed] [PubMed Central]
- Choi, M.S.; Kim, Y.H.; Park, H.M.; Seo, B.Y.; Jung, J.K.; Kim, S.T.; Kim, M.C.; Shin, D.B.; Yun, H.T.; Choi, I.S.; et al. Expression of BrD1, a plant defensin from Brassica rapa, confers resistance against brown planthopper (Nilaparvata lugens) in transgenic rices. Mol. Cells 2009, 28, 131–137. [Google Scholar] [CrossRef] [PubMed]
- Liu, Y.J.; Cheng, C.S.; Lai, S.M.; Hsu, M.P.; Chen, C.S.; Lyu, P.C. Solution structure of the plant defensin VrD1 from mung bean and its possible role in insecticidal activity against bruchids. Proteins 2006, 63, 777–786. [Google Scholar] [CrossRef] [PubMed]
- Pelegrini, P.B.; Lay, F.T.; Murad, A.M.; Anderson, M.A.; Franco, O.L. Novel insights on the mechanism of action of alpha-amylase inhibitors from the plant defensin family. Proteins 2008, 73, 719–729. [Google Scholar] [CrossRef] [PubMed]
- Franco, O.L.; Rigden, D.J.; Melo, F.R.; Grossi-De-Sa, M.F. Plant alpha-amylase inhibitors and their interaction with insect alpha-amylases. Eur. J. Biochem. 2002, 269, 397–412. [Google Scholar] [CrossRef] [PubMed]
- Sabotic, J.; Bleuler-Martinez, S.; Renko, M.; Avanzo Caglic, P.; Kallert, S.; Strukelj, B.; Turk, D.; Aebi, M.; Kos, J.; Künzler, M. Structural basis of trypsin inhibition and entomotoxicity of cospin, serine protease inhibitor involved in defense of Coprinopsis cinerea fruiting bodies. J. Biol. Chem. 2012, 287, 3898–3907. [Google Scholar] [CrossRef] [PubMed] [PubMed Central]
- Lagarda-Diaz, I.; Guzman-Partida, A.M.; Vazquez-Moreno, L. Legume Lectins: Proteins with Diverse Applications. Int. J. Mol. Sci. 2017, 18, 1242. [Google Scholar] [CrossRef] [PubMed] [PubMed Central]
- Lehane, M.J. Peritrophic matrix structure and function. Annu. Rev. Entomol. 1997, 42, 525–550. [Google Scholar] [CrossRef] [PubMed]
- Tayyrov, A.; Schmieder, S.S.; Bleuler-Martinez, S.; Plaza, D.F.; Kunzler, M. Toxicity of Potential Fungal Defense Proteins towards the Fungivorous Nematodes Aphelenchus avenae and Bursaphelenchus okinawaensis. Appl. Environ. Microbiol. 2018, 84, e02051-18. [Google Scholar] [CrossRef] [PubMed] [PubMed Central]
- Bleuler-Martinez, S.; Stutz, K.; Sieber, R.; Collot, M.; Mallet, J.M.; Hengartner, M.; Schubert, M.; Varrot, A.; Künzler, M. Dimerization of the fungal defense lectin CCL2 is essential for its toxicity against nematodes. Glycobiology 2017, 27, 486–500. [Google Scholar] [CrossRef] [PubMed]
- Ragucci, S.; Landi, N.; Russo, R.; Valletta, M.; Pedone, P.V.; Chambery, A.; Di Maro, A. Ageritin from Pioppino Mushroom: The Prototype of Ribotoxin-Like Proteins, a Novel Family of Specific Ribonucleases in Edible Mushrooms. Toxins 2021, 13, 263. [Google Scholar] [CrossRef] [PubMed] [PubMed Central]
- Kues, U.; Liu, Y. Fruiting body production in Basidiomycetes. Appl. Microbiol. Biotechnol. 2000, 54, 141–152. [Google Scholar] [CrossRef] [PubMed]
- Wasser, S.P. Current findings, future trends, and unsolved problems in studies of medicinal mushrooms. Appl. Microbiol. Biotechnol. 2011, 89, 1323–1332. [Google Scholar] [CrossRef] [PubMed]
- Landi, N.; Clemente, A.; Pedone, P.V.; Ragucci, S.; Di Maro, A. An Updated Review of Bioactive Peptides from Mushrooms in a Well-Defined Molecular Weight Range. Toxins 2022, 14, 84. [Google Scholar] [CrossRef] [PubMed] [PubMed Central]
- Kuratani, Y.; Abematsu, C.; Ekino, K.; Oka, T.; Shin, M.; Iwata, M.; Ohta, H.; Ando, S. Cylindracin, a Cys-rich protein expressed in the fruiting body of Cyclocybe cylindracea, inhibits growth of filamentous fungi but not yeasts or bacteria. FEBS Open Bio 2024, 14, 1805–1824. [Google Scholar] [CrossRef] [PubMed] [PubMed Central]
- Ruess, L.L.J. Trophic Interactions of Fungi and Animals; CRC Press: Boca Raton, FL, USA, 2005. [Google Scholar]
- Cevallos, J.A.; Okubo, R.P.; Perlman, S.J.; Hallem, E.A. Olfactory Preferences of the Parasitic Nematode Howardula aoronymphium and its Insect Host Drosophila falleni. J. Chem. Ecol. 2017, 43, 362–373. [Google Scholar] [CrossRef] [PubMed] [PubMed Central]
- Hirose, T.; Nakano, Y.; Nagamatsu, Y.; Misumi, T.; Ohta, H.; Ohshima, Y. Cyclic GMP-dependent protein kinase EGL-4 controls body size and lifespan in C elegans. Development 2003, 130, 1089–1099. [Google Scholar] [CrossRef] [PubMed]
- Albertson, D.G.; Thomson, J.N. The pharynx of Caenorhabditis elegans. Philos. Trans. R. Soc. B 1976, 275, 299–325. [Google Scholar] [CrossRef] [PubMed]
- Fang-Yen, C.; Avery, L.; Samuel, A.D. Two size-selective mechanisms specifically trap bacteria-sized food particles in Caenorhabditis elegans. Proc. Natl. Acad. Sci. USA 2009, 106, 20093–20096. [Google Scholar] [CrossRef] [PubMed] [PubMed Central]
- Heustis, R.J.; Ng, H.K.; Brand, K.J.; Rogers, M.C.; Le, L.T.; Specht, C.A.; Fuhrman, J.A. Pharyngeal polysaccharide deacetylases affect development in the nematode C. elegans and deacetylate chitin in vitro. PLoS ONE 2012, 7, e40426. [Google Scholar] [CrossRef] [PubMed] [PubMed Central]
- Zhang, Y.; Foster, J.M.; Nelson, L.S.; Ma, D.; Carlow, C.K. The chitin synthase genes chs-1 and chs-2 are essential for C. elegans development and responsible for chitin deposition in the eggshell and pharynx, respectively. Dev. Biol. 2005, 285, 330–339. [Google Scholar] [CrossRef] [PubMed]
- Laughlin, S.T.; Bertozzi, C.R. In vivo imaging of Caenorhabditis elegans glycans. ACS Chem. Biol. 2009, 4, 1068–1072. [Google Scholar] [CrossRef] [PubMed] [PubMed Central]
- Dejima, K.; Murata, D.; Mizuguchi, S.; Nomura, K.H.; Izumikawa, T.; Kitagawa, H.; Gengyo-Ando, K.; Yoshina, S.; Ichimiya, T.; Nishihara, S.; et al. Two Golgi-resident 3′-Phosphoadenosine 5′-phosphosulfate transporters play distinct roles in heparan sulfate modifications and embryonic and larval development in Caenorhabditis elegans. J. Biol. Chem. 2010, 285, 24717–24728. [Google Scholar] [CrossRef] [PubMed] [PubMed Central]
- George-Raizen, J.B.; Shockley, K.R.; Trojanowski, N.F.; Lamb, A.L.; Raizen, D.M. Dynamically-expressed prion-like proteins form a cuticle in the pharynx of Caenorhabditis elegans. Biol Open 2014, 3, 1139–1149. [Google Scholar] [CrossRef] [PubMed] [PubMed Central]
- Kamal, M.; Tokmakjian, L.; Knox, J.; Mastrangelo, P.; Ji, J.; Cai, H.; Wojciechowski, J.W.; Hughes, M.P.; Takács, K.; Chu, X.; et al. A spatiotemporal reconstruction of the C. elegans pharyngeal cuticle reveals a structure rich in phase-separating proteins. eLife 2022, 11, e79396. [Google Scholar] [CrossRef] [PubMed] [PubMed Central]
- Miguel-Aliaga, I.; Jasper, H.; Lemaitre, B. Anatomy and Physiology of the Digestive Tract of Drosophila melanogaster. Genetics 2018, 210, 357–396. [Google Scholar] [CrossRef] [PubMed] [PubMed Central]
- Shingleton, A.W. Physiology: Female Flies Have the Guts for Reproduction. Curr. Biol. 2015, 25, R716–R718. [Google Scholar] [CrossRef] [PubMed]
- Wong, R.; Piper, M.D.W.; Blanc, E.; Partridge, L. Pitfalls of measuring feeding rate in the fruit fly Drosophila melanogaster. Nat. Methods 2008, 5, 214–215. [Google Scholar] [CrossRef] [PubMed] [PubMed Central]
- Avanzo, P.; Sabotic, J.; Anzlovar, S.; Popovic, T.; Leonardi, A.; Pain, R.H.; Kos, J.; Brzin, J. Trypsin-specific inhibitors from the basidiomycete Clitocybe nebularis with regulatory and defensive functions. Microbiology 2009, 155 Pt 12, 3971–3981. [Google Scholar] [CrossRef] [PubMed]
- Vi, T.X.T.; Le, H.D.; Nguyen, V.T.T.; Le, V.S.; Chu, H.M. Expression of the ZmDEF1 gene and α-amylase inhibitory activity of recombinant defensin against maize weevils. Turk. J. Biol. 2017, 41, 98–104. [Google Scholar] [CrossRef]
- Bernfeld, P. Amylase α and β. Methods Enzymol. 1955, 1, 149–158. [Google Scholar]
- Lay, F.T.; Mills, G.D.; Poon, I.K.; Cowieson, N.P.; Kirby, N.; Baxter, A.A.; van der Weerden, N.L.; Dogovski, C.; Perugini, M.A.; Anderson, M.A.; et al. Dimerization of plant defensin NaD1 enhances its antifungal activity. J. Biol. Chem. 2012, 287, 19961–19972. [Google Scholar] [CrossRef] [PubMed] [PubMed Central]
- Pohl, C.; Effantin, G.; Kandiah, E.; Meier, S.; Zeng, G.; Streicher, W.; Segura, D.R.; Mygind, P.H.; Sandvang, D.; Nielsen, L.A.; et al. pH- and concentration-dependent supramolecular assembly of a fungal defensin plectasin variant into helical non-amyloid fibrils. Nat. Commun. 2022, 13, 3162. [Google Scholar] [CrossRef] [PubMed] [PubMed Central]
- Thermo Scientific™. User Guide: BS(PEG)n; Thermo Scientific: Waltham, MA, USA, 2013. [Google Scholar]
- Wang, P.; Granados, R.R. Molecular structure of the peritrophic membrane (PM): Identification of potential PM target sites for insect control. Arch. Insect Biochem. Physiol. 2001, 47, 110–118. [Google Scholar] [CrossRef] [PubMed]
- Tellam, R.L.; Wijffels, G.; Willadsen, P. Peritrophic matrix proteins. Insect Biochem. Mol. Biol. 1999, 29, 87–101. [Google Scholar] [CrossRef] [PubMed]
- Ricard-Blum, S.; Vives, R.R.; Schaefer, L.; Gotte, M.; Merline, R.; Passi, A.; Heldin, P.; Magalhães, A.; Reis, C.A.; Skandalis, S.S.; et al. A biological guide to glycosaminoglycans: Current perspectives and pending questions. FEBS J. 2024, 291, 3331–3366. [Google Scholar] [CrossRef] [PubMed]
- Sarrazin, S.; Lamanna, W.C.; Esko, J.D. Heparan sulfate proteoglycans. Cold Spring Harb. Perspect. Biol. 2011, 3, a004952. [Google Scholar] [CrossRef] [PubMed] [PubMed Central]
- Bazar, E.; Jelinek, R. Divergent heparin-induced fibrillation pathways of a prion amyloidogenic determinant. Chembiochem 2010, 11, 1997–2002. [Google Scholar] [CrossRef] [PubMed]
- Townsend, D.; Hughes, E.; Hussain, R.; Siligardi, G.; Baldock, S.; Madine, J.; Middleton, D.A. Heparin and Methionine Oxidation Promote the Formation of Apolipoprotein A-I Amyloid Comprising α-Helical and β-Sheet Structures. Biochemistry 2017, 56, 1632–1644. [Google Scholar] [CrossRef] [PubMed]
- So, M.; Hata, Y.; Naiki, H.; Goto, Y. Heparin-induced amyloid fibrillation of β2-microglobulin explained by solubility and a supersaturation-dependent conformational phase diagram. Protein Sci. 2017, 26, 1024–1036. [Google Scholar] [CrossRef] [PubMed] [PubMed Central]
- Wall, J.S.; Richey, T.; Stuckey, A.; Donnell, R.; Macy, S.; Martin, E.B.; Williams, A.; Higuchi, K.; Kennel, S.J. In vivo molecular imaging of peripheral amyloidosis using heparin-binding peptides. Proc. Natl. Acad. Sci. USA 2011, 108, E586–E594. [Google Scholar] [CrossRef] [PubMed] [PubMed Central]
- Pepys, M.B. Amyloidosis. Annu. Rev. Med. 2006, 57, 223–241. [Google Scholar] [CrossRef] [PubMed]
- Lachmann, H.J.; Hawkins, P.N. Systemic amyloidosis. Curr. Opin. Pharmacol. 2006, 6, 214–220. [Google Scholar] [CrossRef] [PubMed]
- Sparacio, A.P.; Trojanowski, N.F.; Snetselaar, K.; Nelson, M.D.; Raizen, D.M. Teething during sleep: Ultrastructural analysis of pharyngeal muscle and cuticular grinder during the molt in Caenorhabditis elegans. PLoS ONE 2020, 15, e0233059. [Google Scholar] [CrossRef] [PubMed] [PubMed Central]
- Marianes, A.; Spradling, A.C. Physiological and stem cell compartmentalization within the Drosophila midgut. eLife 2013, 2, e00886. [Google Scholar] [CrossRef] [PubMed] [PubMed Central]
- Khan, S.A.; Kojour, M.A.M.; Han, Y.S. Recent trends in insect gut immunity. Front. Immunol. 2023, 14, 1272143. [Google Scholar] [CrossRef] [PubMed] [PubMed Central]
- Tellam, R.L.; Eisemann, C. Chitin is only a minor component of the peritrophic matrix from larvae of Lucilia cuprina. Insect Biochem. Mol. Biol. 2000, 30, 1189–1201. [Google Scholar] [CrossRef] [PubMed]
- Tellam, R.L.; Eisemann, C.H.; Vuocolo, T.; Casu, R.; Jarmey, J.; Bowles, V.; Pearson, R. Role of oligosaccharides in the immune response of sheep vaccinated with Lucilia cuprina larval glycoprotein, peritrophin-95. Int. J. Parasitol. 2001, 31, 798–809. [Google Scholar] [CrossRef] [PubMed]
- Wang, P.; Granados, R.R. Calcofluor disrupts the midgut defense system in insects. Insect Biochem. Mol. Biol. 2000, 30, 135–143. [Google Scholar] [CrossRef] [PubMed]
- Casu, R.; Eisemann, C.; Pearson, R.; Riding, G.; East, I.; Donaldson, A.; Cadogan, L.; Tellam, R. Antibody-mediated inhibition of the growth of larvae from an insect causing cutaneous myiasis in a mammalian host. Proc. Natl. Acad. Sci. USA 1997, 94, 8939–8944. [Google Scholar] [CrossRef] [PubMed] [PubMed Central]
- Rogerson, E.; Pelletier, J.; Acosta-Serrano, A.; Rose, C.; Taylor, S.; Guimond, S.; Lima, M.; Skidmore, M.; Yates, E. Variations in the Peritrophic Matrix Composition of Heparan Sulphate from the Tsetse Fly, Glossina morsitans morsitans. Pathogens 2018, 7, 32. [Google Scholar] [CrossRef] [PubMed] [PubMed Central]
- Walski, T.; Van Damme, E.J.; Smagghe, G. Penetration through the peritrophic matrix is a key to lectin toxicity against Tribolium castaneum. J. Insect Physiol. 2014, 70, 94–101. [Google Scholar] [CrossRef] [PubMed]
- Roy, A.; Gupta, S.; Hess, D.; Das, K.P.; Das, S. Binding of insecticidal lectin Colocasia esculenta tuber agglutinin (CEA) to midgut receptors of Bemisia tabaci and Lipaphis erysimi provides clues to its insecticidal potential. Proteomics 2014, 14, 1646–1659. [Google Scholar] [CrossRef] [PubMed]
- Kusche-Gullberg, M.; Nybakken, K.; Perrimon, N.; Lindahl, U. Drosophila heparan sulfate, a novel design. J. Biol. Chem. 2012, 287, 21950–21956. [Google Scholar] [CrossRef] [PubMed] [PubMed Central]
- Churchill, E.R.; Dytham, C.; Thom, M.D.F. Differing effects of age and starvation on reproductive performance in Drosophila melanogaster. Sci. Rep. 2019, 9, 2167. [Google Scholar] [CrossRef] [PubMed] [PubMed Central]
- Beyenbach, K.W.; Skaer, H.; Dow, J.A. The developmental, molecular, and transport biology of Malpighian tubules. Annu. Rev. Entomol. 2010, 55, 351–374. [Google Scholar] [CrossRef] [PubMed]
- Farina, P.; Bedini, S.; Conti, B. Multiple Functions of Malpighian Tubules in Insects: A Review. Insects 2022, 13, 1001. [Google Scholar] [CrossRef] [PubMed] [PubMed Central]
- Francis, F.; Marty-Detraves, C.; Poincloux, R.; Baricault, L.; Fournier, D.; Paquereau, L. Fungal lectin, XCL, is internalized via clathrin-dependent endocytosis and facilitates uptake of other molecules. Eur. J. Cell Biol. 2003, 82, 515–522. [Google Scholar] [CrossRef] [PubMed]
- Caccia, S.; Van Damme, E.J.; De Vos, W.H.; Smagghe, G. Mechanism of entomotoxicity of the plant lectin from Hippeastrum hybrid (Amaryllis) in Spodoptera littoralis larvae. J. Insect Physiol. 2012, 58, 1177–1183. [Google Scholar] [CrossRef] [PubMed]
- Holmes, B.B.; DeVos, S.L.; Kfoury, N.; Li, M.; Jacks, R.; Yanamandra, K.; Ouidja, M.O.; Brodsky, F.M.; Marasa, J.; Bagchi, D.P.; et al. Heparan sulfate proteoglycans mediate internalization and propagation of specific proteopathic seeds. Proc. Natl. Acad. Sci. USA 2013, 110, E3138–E3147. [Google Scholar] [CrossRef] [PubMed] [PubMed Central]
- Nguyen, D.L.B.; Okolicsanyi, R.K.; Haupt, L.M. Heparan sulfate proteoglycans: Mediators of cellular and molecular Alzheimer’s disease pathogenic factors via tunnelling nanotubes? Mol. Cell. Neurosci. 2024, 129, 103936. [Google Scholar] [CrossRef] [PubMed]
- Brenner, S. The genetics of Caenorhabditis elegans. Genetics 1974, 77, 71–94. [Google Scholar] [CrossRef] [PubMed] [PubMed Central]
- Hibshman, J.D.; Webster, A.K.; Baugh, L.R. Liquid-culture protocols for synchronous starvation, growth, dauer formation, and dietary restriction of Caenorhabditis elegans. STAR Protoc. 2021, 2, 100276. [Google Scholar] [CrossRef] [PubMed] [PubMed Central]
- Ahn, J.; Park, J.Y. Potential of γ-Aminobutyric Acid-Producing Leuconostoc mesenteroides Strains Isolated from Kimchi as a Starter for High-γ-Aminobutyric Acid Kimchi Fermentation. Prev. Nutr. Food Sci. 2023, 28, 492–501. [Google Scholar] [CrossRef] [PubMed] [PubMed Central]







Disclaimer/Publisher’s Note: The statements, opinions and data contained in all publications are solely those of the individual author(s) and contributor(s) and not of MDPI and/or the editor(s). MDPI and/or the editor(s) disclaim responsibility for any injury to people or property resulting from any ideas, methods, instructions or products referred to in the content. |
© 2025 by the authors. Licensee MDPI, Basel, Switzerland. This article is an open access article distributed under the terms and conditions of the Creative Commons Attribution (CC BY) license (https://creativecommons.org/licenses/by/4.0/).
Share and Cite
Kuratani, Y.; Matsumoto, A.; Shigenaga, A.; Miyahara, K.; Ekino, K.; Saigusa, N.; Ohta, H.; Iwata, M.; Ando, S. Cylindracin, a Fruiting Body-Specific Protein of Cyclocybe cylindracea, Represses the Egg-Laying and Development of Caenorhabditis elegans and Drosophila melanogaster. Toxins 2025, 17, 118. https://doi.org/10.3390/toxins17030118
Kuratani Y, Matsumoto A, Shigenaga A, Miyahara K, Ekino K, Saigusa N, Ohta H, Iwata M, Ando S. Cylindracin, a Fruiting Body-Specific Protein of Cyclocybe cylindracea, Represses the Egg-Laying and Development of Caenorhabditis elegans and Drosophila melanogaster. Toxins. 2025; 17(3):118. https://doi.org/10.3390/toxins17030118
Chicago/Turabian StyleKuratani, Yamato, Akira Matsumoto, Ayako Shigenaga, Koji Miyahara, Keisuke Ekino, Noriaki Saigusa, Hiroto Ohta, Makoto Iwata, and Shoji Ando. 2025. "Cylindracin, a Fruiting Body-Specific Protein of Cyclocybe cylindracea, Represses the Egg-Laying and Development of Caenorhabditis elegans and Drosophila melanogaster" Toxins 17, no. 3: 118. https://doi.org/10.3390/toxins17030118
APA StyleKuratani, Y., Matsumoto, A., Shigenaga, A., Miyahara, K., Ekino, K., Saigusa, N., Ohta, H., Iwata, M., & Ando, S. (2025). Cylindracin, a Fruiting Body-Specific Protein of Cyclocybe cylindracea, Represses the Egg-Laying and Development of Caenorhabditis elegans and Drosophila melanogaster. Toxins, 17(3), 118. https://doi.org/10.3390/toxins17030118

