Comparative Assessment of the Allergenicity of Hyaluronidases from Polistes dominula (Pol d 2), Vespula vulgaris (Ves v 2), and Apis mellifera Venom (Api m 2)
Abstract
1. Introduction
2. Results
2.1. Structural Features of the Investigated Hymenoptera Hyaluronidases
2.2. sIgE Sensitization of Allergic Patients to Ves v 2.0101
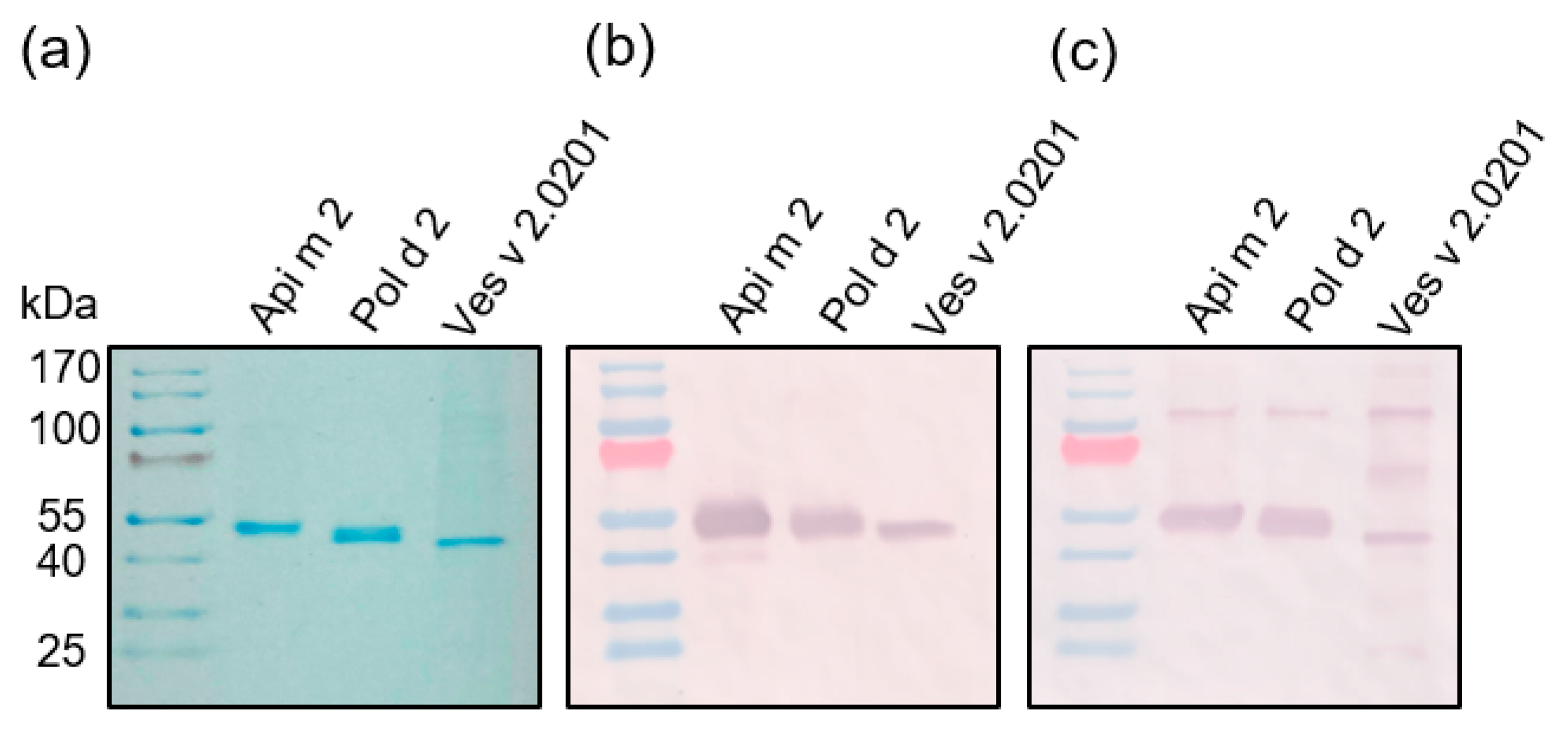
2.3. Characterization of Recombinant Hyaluronidases
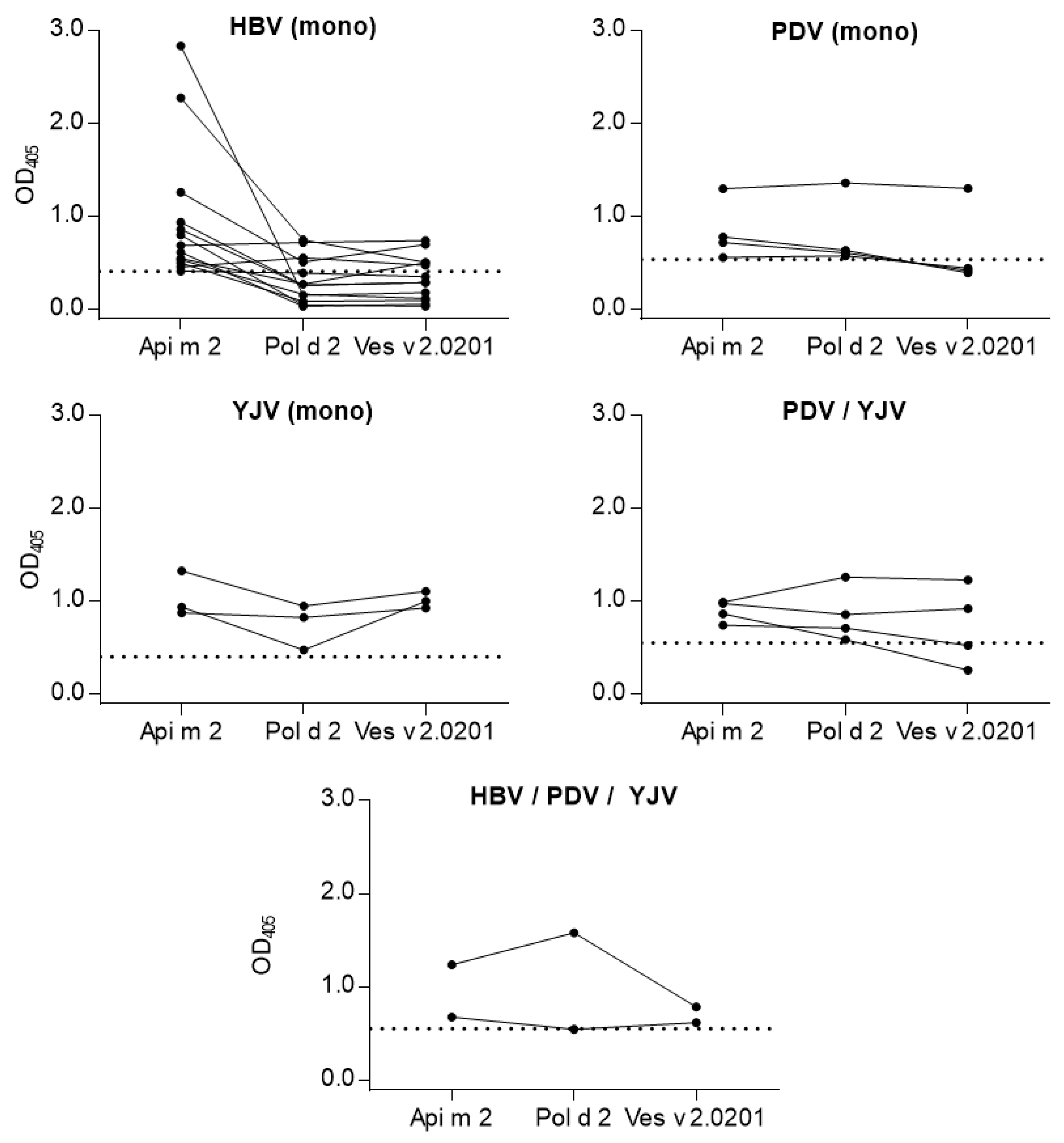
2.4. sIgE Sensitization of Allergic Patients to Api m 2, Pol d 2, and Ves v 2.0201
2.5. Reactivity of Api m 2, Pol d 2, and Ves v 2.0201 in Basophil Activation Test
3. Discussion
4. Conclusions
5. Materials and Methods
5.1. In Silico Analysis
5.2. Recombinant Allergen Production
5.3. SDS-PAGE and Western Blots
5.4. Patientsh
5.5. In Vitro sIgE Reactivity
5.6. Basophil Activation Tests
Supplementary Materials
Author Contributions
Funding
Institutional Review Board Statement
Informed Consent Statement
Data Availability Statement
Conflicts of Interest
References
- Grosch, J.; Hilger, C.; Bilo, M.B.; Kler, S.; Schiener, M.; Dittmar, G.; Bernardin, F.; Lesur, A.; Ollert, M.; Schmidt-Weber, C.B.; et al. Shedding Light on the Venom Proteomes of the Allergy-Relevant Hymenoptera Polistes dominula (European Paper Wasp) and Vespula spp. (Yellow Jacket). Toxins 2020, 12, 323. [Google Scholar] [CrossRef]
- Van Vaerenbergh, M.; Debyser, G.; Devreese, B.; de Graaf, D.C. Exploring the hidden honeybee (Apis mellifera) venom proteome by integrating a combinatorial peptide ligand library approach with FTMS. J. Proteom. 2014, 99, 169–178. [Google Scholar] [CrossRef] [PubMed]
- Kazuma, K.; Masuko, K.; Konno, K.; Inagaki, H. Combined Venom Gland Transcriptomic and Venom Peptidomic Analysis of the Predatory Ant Odontomachus monticola. Toxins 2017, 9, 323. [Google Scholar] [CrossRef] [PubMed]
- de Plater, G.; Martin, R.L.; Milburn, P.J. A pharmacological and biochemical investigation of the venom from the platypus (Ornithorhynchus anatinus). Toxicon 1995, 33, 157–169. [Google Scholar] [CrossRef] [PubMed]
- Ferrer, V.P.; de Mari, T.L.; Gremski, L.H.; Trevisan Silva, D.; da Silveira, R.B.; Gremski, W.; Chaim, O.M.; Senff-Ribeiro, A.; Nader, H.B.; Veiga, S.S. A novel hyaluronidase from brown spider (Loxosceles intermedia) venom (Dietrich’s Hyaluronidase): From cloning to functional characterization. PLoS Negl. Trop. Dis. 2013, 7, e2206. [Google Scholar] [CrossRef]
- Girish, K.S.; Jagadeesha, D.K.; Rajeev, K.B.; Kemparaju, K. Snake venom hyaluronidase: An evidence for isoforms and extracellular matrix degradation. Mol. Cell. Biochem. 2002, 240, 105–110. [Google Scholar] [CrossRef]
- Duty, I. Notes on the occurrence of Vespidae (Hym.) in Mecklenburg, mainly around Rostock. Entomol. Nachrichten Berichte 1997, 41, 113–119. [Google Scholar]
- Kowalczyk, J.; Szczepko, K. Remarks on the taxonomy and distribution of two species of paper wasps-Polistes gallicus (Linnaeus, 1767) and P. dominulus (Christ, 1791)(Hymenoptera: Vespidae) in Poland. Wiad. Entomol. 2003, 22, 69–72. [Google Scholar]
- Rusina, L.Y. Self-organization of populations of polistine wasps (Hymenoptera, Vespidae, Polistinae). Entomol. Rev. 2010, 90, 811–829. [Google Scholar] [CrossRef]
- Cervo, R.; Zacchi, F.; Turillazzi, S. Polistes dominulus (Hymenoptera, Vespidae) invading North America: Some hypotheses for its rapid spread. Insectes Sociaux 2000, 47, 155–157. [Google Scholar] [CrossRef]
- Eardley, C.; Koch, F.; Wood, A.R. Polistes dominulus (Christ, 1791) (Hymenoptera: Polistinae: Vespidae) newly recorded from South Africa: Short communication. Afr. Entomol. 2009, 17, 226–227. [Google Scholar] [CrossRef]
- Feás, X.; Vidal, C.; Remesar, S. What We Know about Sting-Related Deaths? Human Fatalities Caused by Hornet, Wasp and Bee Stings in Europe (1994–2016). Biology 2022, 11, 282. [Google Scholar] [CrossRef] [PubMed]
- Cifuentes, L.; Vosseler, S.; Blank, S.; Seismann, H.; Pennino, D.; Darsow, U.; Bredehorst, R.; Ring, J.; Mempel, M.; Spillner, E.; et al. Identification of Hymenoptera venom-allergic patients with negative specific IgE to venom extract by using recombinant allergens. J. Allergy Clin. Immunol. 2014, 133, 909–910. [Google Scholar] [CrossRef] [PubMed]
- Kohler, J.; Blank, S.; Muller, S.; Bantleon, F.; Frick, M.; Huss-Marp, J.; Lidholm, J.; Spillner, E.; Jakob, T. Component resolution reveals additional major allergens in patients with honeybee venom allergy. J. Allergy Clin. Immunol. 2014, 133, 1383–1389. [Google Scholar] [CrossRef] [PubMed]
- Sturm, G.J.; Hemmer, W.; Hawranek, T.; Lang, R.; Ollert, M.; Spillner, E.; Blank, S.; Bokanovic, D.; Aberer, W. Detection of IgE to recombinant Api m 1 and rVes v 5 is valuable but not sufficient to distinguish bee from wasp venom allergy. J. Allergy Clin. Immunol. 2011, 128, 247–248, author reply 248. [Google Scholar] [CrossRef]
- Vachova, M.; Panzner, P.; Kopac, P.; Bidovec Stojkovic, U.; Korosec, P. Routine clinical utility of honeybee venom allergen components. J. Allergy Clin. Immunol. Pract. 2018, 6, 2121–2123.e2121. [Google Scholar] [CrossRef]
- Arzt, L.; Bokanovic, D.; Schrautzer, C.; Schwarz, I.; Laipold, K.; Aberer, W.; Sturm, G.J. Questionable diagnostic benefit of the commercially available panel of bee venom components. Allergy 2017, 72, 1419–1422. [Google Scholar] [CrossRef]
- Blank, S.; Korošec, P.; Slusarenko, B.O.; Ollert, M.; Hamilton, R.G. Venom Component Allergen IgE Measurement in the Diagnosis and Management of Insect Sting Allergy. J. Allergy Clin. Immunol. Pract. 2024; in press. [Google Scholar] [CrossRef]
- Seismann, H.; Blank, S.; Braren, I.; Greunke, K.; Cifuentes, L.; Grunwald, T.; Bredehorst, R.; Ollert, M.; Spillner, E. Dissecting cross-reactivity in hymenoptera venom allergy by circumvention of alpha-1,3-core fucosylation. Mol. Immunol. 2010, 47, 799–808. [Google Scholar] [CrossRef]
- Jin, C.; Focke, M.; Leonard, R.; Jarisch, R.; Altmann, F.; Hemmer, W. Reassessing the role of hyaluronidase in yellow jacket venom allergy. J. Allergy Clin. Immunol. 2010, 125, 184–190.e181. [Google Scholar] [CrossRef]
- Stern, R.; Kogan, G.; Jedrzejas, M.J.; Soltés, L. The many ways to cleave hyaluronan. Biotechnol. Adv. 2007, 25, 537–557. [Google Scholar] [CrossRef]
- Tu, A.T.; Hendon, R.R. Characterization of lizard venom hyaluronidase and evidence for its action as a spreading factor. Comp. Biochem. Physiol. B 1983, 76, 377–383. [Google Scholar] [CrossRef] [PubMed]
- Pukrittayakamee, S.; Warrell, D.A.; Desakorn, V.; McMichael, A.J.; White, N.J.; Bunnag, D. The hyaluronidase activities of some Southeast Asian snake venoms. Toxicon 1988, 26, 629–637. [Google Scholar] [CrossRef] [PubMed]
- Nagaraju, S.; Devaraja, S.; Kemparaju, K. Purification and properties of hyaluronidase from Hippasa partita (funnel web spider) venom gland extract. Toxicon 2007, 50, 383–393. [Google Scholar] [CrossRef]
- Kolarich, D.; Leonard, R.; Hemmer, W.; Altmann, F. The N-glycans of yellow jacket venom hyaluronidases and the protein sequence of its major isoform in Vespula vulgaris. FEBS J. 2005, 272, 5182–5190. [Google Scholar] [CrossRef] [PubMed]
- Markovic-Housley, Z.; Miglierini, G.; Soldatova, L.; Rizkallah, P.J.; Muller, U.; Schirmer, T. Crystal structure of hyaluronidase, a major allergen of bee venom. Structure 2000, 8, 1025–1035. [Google Scholar] [CrossRef]
- Skov, L.K.; Seppala, U.; Coen, J.J.; Crickmore, N.; King, T.P.; Monsalve, R.; Kastrup, J.S.; Spangfort, M.D.; Gajhede, M. Structure of recombinant Ves v 2 at 2.0 Angstrom resolution: Structural analysis of an allergenic hyaluronidase from wasp venom. Acta Crystallogr. D Biol. Crystallogr. 2006, 62, 595–604. [Google Scholar] [CrossRef]
- Jappe, U.; Raulf-Heimsoth, M.; Hoffmann, M.; Burow, G.; Hubsch-Muller, C.; Enk, A. In vitro hymenoptera venom allergy diagnosis: Improved by screening for cross-reactive carbohydrate determinants and reciprocal inhibition. Allergy 2006, 61, 1220–1229. [Google Scholar] [CrossRef]
- Altmann, F. Coping with cross-reactive carbohydrate determinants in allergy diagnosis. Allergo J. Int. 2016, 25, 98–105. [Google Scholar] [CrossRef]
- Eberlein, B. Basophil Activation as Marker of Clinically Relevant Allergy and Therapy Outcome. Front. Immunol. 2020, 11, 1815. [Google Scholar] [CrossRef]
- Artimo, P.; Jonnalagedda, M.; Arnold, K.; Baratin, D.; Csardi, G.; de Castro, E.; Duvaud, S.; Flegel, V.; Fortier, A.; Gasteiger, E.; et al. ExPASy: SIB bioinformatics resource portal. Nucleic Acids Res. 2012, 40, W597–W603. [Google Scholar] [CrossRef]
- Petersen, T.N.; Brunak, S.; von Heijne, G.; Nielsen, H. SignalP 4.0: Discriminating signal peptides from transmembrane regions. Nat. Methods 2011, 8, 785–786. [Google Scholar] [CrossRef] [PubMed]
- Madeira, F.; Pearce, M.; Tivey, A.R.N.; Basutkar, P.; Lee, J.; Edbali, O.; Madhusoodanan, N.; Kolesnikov, A.; Lopez, R. Search and sequence analysis tools services from EMBL-EBI in 2022. Nucleic Acids Res. 2022, 50, W276–W279. [Google Scholar] [CrossRef] [PubMed]
- Kelley, L.A.; Mezulis, S.; Yates, C.M.; Wass, M.N.; Sternberg, M.J. The Phyre2 web portal for protein modeling, prediction and analysis. Nat. Protoc. 2015, 10, 845–858. [Google Scholar] [CrossRef] [PubMed]
- Pettersen, E.F.; Goddard, T.D.; Huang, C.C.; Meng, E.C.; Couch, G.S.; Croll, T.I.; Morris, J.H.; Ferrin, T.E. UCSF ChimeraX: Structure visualization for researchers, educators, and developers. Protein Sci. 2021, 30, 70–82. [Google Scholar] [CrossRef] [PubMed]
- Marknell DeWitt, A.; Niederberger, V.; Lehtonen, P.; Spitzauer, S.; Sperr, W.R.; Valent, P.; Valenta, R.; Lidholm, J. Molecular and immunological characterization of a novel timothy grass (Phleum pratense) pollen allergen, Phl p 11. Clin. Exp. Allergy 2002, 32, 1329–1340. [Google Scholar] [CrossRef]
- Classen, D.C.; Morningstar, J.M.; Shanley, J.D. Detection of antibody to murine cytomegalovirus by enzyme-linked immunosorbent and indirect immunofluorescence assays. J. Clin. Microbiol. 1987, 25, 600–604. [Google Scholar] [CrossRef]
- Michel, Y.; McIntyre, M.; Ginglinger, H.; Ollert, M.; Cifuentes, L.; Blank, S.; Spillner, E. The putative serine protease inhibitor Api m 6 from Apis mellifera venom: Recombinant and structural evaluation. J. Investig. Allergol. Clin. Immunol. 2012, 22, 476–484. [Google Scholar]
- Schiener, M.; Hilger, C.; Eberlein, B.; Pascal, M.; Kuehn, A.; Revets, D.; Planchon, S.; Pietsch, G.; Serrano, P.; Moreno-Aguilar, C.; et al. The high molecular weight dipeptidyl peptidase IV Pol d 3 is a major allergen of Polistes dominula venom. Sci. Rep. 2018, 8, 1318. [Google Scholar] [CrossRef]
- Eberlein, B.; Krischan, L.; Darsow, U.; Ollert, M.; Ring, J. Double positivity to bee and wasp venom: Improved diagnostic procedure by recombinant allergen-based IgE testing and basophil activation test including data about cross-reactive carbohydrate determinants. J. Allergy Clin. Immunol. 2012, 130, 155–161. [Google Scholar] [CrossRef]






| Sensitization in % | |||||
|---|---|---|---|---|---|
| HBV | PDV | YJV | PDV/YJV | HBV/PDV/YJV | |
| Api m 2 | 45 | 25 | 17 | 17 | 25 |
| Pol d 2 | 14 | 25 | 17 | 17 | 17 |
| Ves v 2.0201 | 17 | 6 | 17 | 8 | 25 |
Disclaimer/Publisher’s Note: The statements, opinions and data contained in all publications are solely those of the individual author(s) and contributor(s) and not of MDPI and/or the editor(s). MDPI and/or the editor(s) disclaim responsibility for any injury to people or property resulting from any ideas, methods, instructions or products referred to in the content. |
© 2024 by the authors. Licensee MDPI, Basel, Switzerland. This article is an open access article distributed under the terms and conditions of the Creative Commons Attribution (CC BY) license (https://creativecommons.org/licenses/by/4.0/).
Share and Cite
Grosch, J.; Eberlein, B.; Waldherr, S.; Pascal, M.; Dorn, B.; San Bartolomé, C.; De La Roca Pinzón, F.; Schiener, M.; Darsow, U.; Biedermann, T.; et al. Comparative Assessment of the Allergenicity of Hyaluronidases from Polistes dominula (Pol d 2), Vespula vulgaris (Ves v 2), and Apis mellifera Venom (Api m 2). Toxins 2024, 16, 498. https://doi.org/10.3390/toxins16110498
Grosch J, Eberlein B, Waldherr S, Pascal M, Dorn B, San Bartolomé C, De La Roca Pinzón F, Schiener M, Darsow U, Biedermann T, et al. Comparative Assessment of the Allergenicity of Hyaluronidases from Polistes dominula (Pol d 2), Vespula vulgaris (Ves v 2), and Apis mellifera Venom (Api m 2). Toxins. 2024; 16(11):498. https://doi.org/10.3390/toxins16110498
Chicago/Turabian StyleGrosch, Johannes, Bernadette Eberlein, Sebastian Waldherr, Mariona Pascal, Britta Dorn, Clara San Bartolomé, Federico De La Roca Pinzón, Maximilian Schiener, Ulf Darsow, Tilo Biedermann, and et al. 2024. "Comparative Assessment of the Allergenicity of Hyaluronidases from Polistes dominula (Pol d 2), Vespula vulgaris (Ves v 2), and Apis mellifera Venom (Api m 2)" Toxins 16, no. 11: 498. https://doi.org/10.3390/toxins16110498
APA StyleGrosch, J., Eberlein, B., Waldherr, S., Pascal, M., Dorn, B., San Bartolomé, C., De La Roca Pinzón, F., Schiener, M., Darsow, U., Biedermann, T., Lidholm, J., Bilò, M. B., Jakob, T., Schmidt-Weber, C. B., & Blank, S. (2024). Comparative Assessment of the Allergenicity of Hyaluronidases from Polistes dominula (Pol d 2), Vespula vulgaris (Ves v 2), and Apis mellifera Venom (Api m 2). Toxins, 16(11), 498. https://doi.org/10.3390/toxins16110498

