A Novel P-III Metalloproteinase from Bothrops barnetti Venom Degrades Extracellular Matrix Proteins, Inhibits Platelet Aggregation, and Disrupts Endothelial Cell Adhesion via α5β1 Integrin Receptors to Arginine–Glycine–Aspartic Acid (RGD)-Containing Molecules
Abstract
1. Introduction
2. Results
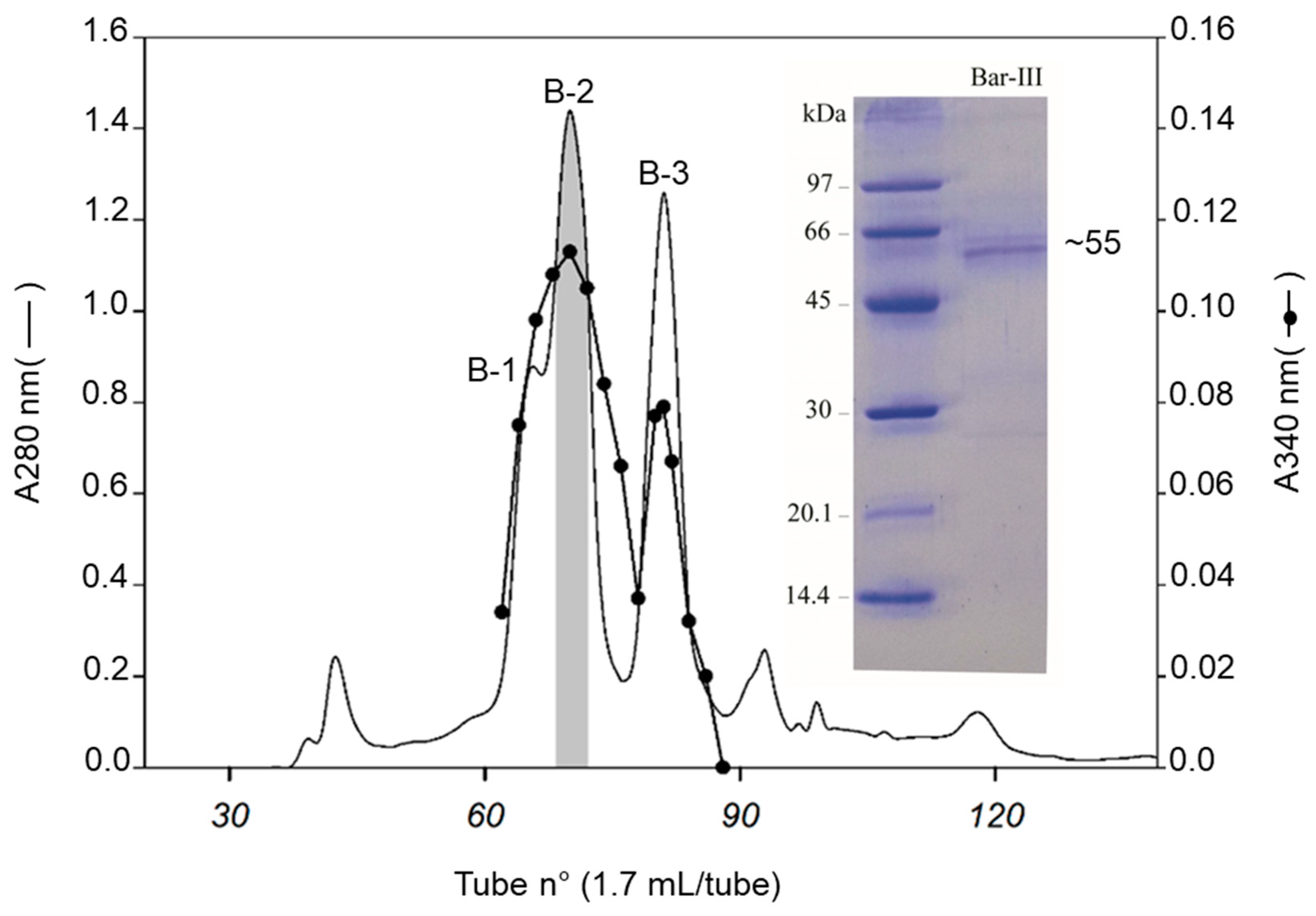
2.1. Purification of Barnettlysin-III
2.2. Biochemical Properties of Bar-III
2.3. Molecular Characterization of Bar-III
2.4. Proteolytic Activity of Bar-III upon Extracellular Matrix
2.5. Effects of Bar-III on Platelet Function
2.6. Viability Assays on Endothelial Cells
2.7. Interference of Bar-III in Endothelial Cell Processes
2.8. Interaction of Bar-III with Endothelial Cells via α5β1 Integrins
3. Discussion
4. Conclusions
5. Materials and Methods
5.1. Venom
5.2. Chemicals and Reagents
5.3. Barnettlysin-III Purification
5.4. Barnettlysin-III Purification
5.4.1. Molecular Mass Determination by MALDI-TOF
5.4.2. Cloning and Sequencing of cDNA
5.4.3. In Silico Protein- and Sequence-Based Analysis
5.5. Enzyme Assays and Effect of Cations and Proteinase Inhibitors on Enzymatic Activity
5.6. Deglycosylation of Bar-III
5.7. Enzymatic Activity on Fibrin(ogen), Fibronectin, Vitronectin, and Type IV and Type I Collagen
5.8. Degradation of Matrigel
5.9. Platelet Aggregation Assays
5.10. Production of Anti-Bar-III Hyperimmune Sera
5.11. Cell Culture
5.12. Cell Cytotoxicity Assays
5.13. Cell Migration Scratch/Wound
5.14. Adhesion Assay
5.15. Flow Cytometric Analysis
5.16. Immunofluorescence and Fluorescence Cytochemistry Assays
5.17. Statistical Analysis
Supplementary Materials
Author Contributions
Funding
Institutional Review Board Statement
Informed Consent Statement
Data Availability Statement
Acknowledgments
Conflicts of Interest
References
- Núñez, V.; Cid, P.; Sanz, L.; De La Torre, P.; Angulo, Y.; Lomonte, B.; Gutiérrez, J.M.; Calvete, J.J. Snake Venomics and Antivenomics of Bothrops Atrox Venoms from Colombia and the Amazon Regions of Brazil, Perú and Ecuador Suggest the Occurrence of Geographic Variation of Venom Phenotype by a Trend towards Paedomorphism. J. Proteom. 2009, 73, 57–78. [Google Scholar] [CrossRef] [PubMed]
- Sajevic, T.; Leonardi, A.; Križaj, I. Haemostatically Active Proteins in Snake Venoms. Toxicon 2011, 57, 627–645. [Google Scholar] [CrossRef] [PubMed]
- Cruz, L.S.; Vargas, R.; Lopes, A.A. Snakebite Envenomation and Death in the Developing World. Ethn. Dis. 2009, 19, 42–46. [Google Scholar]
- Parker, H.W. The Vertical Distribution of Some Reptiles and Amphibians in Southern Ecuador. Ann. Mag. Nat. Hist. 1938, 2, 438–450. [Google Scholar] [CrossRef]
- Campbell, J.A.; Lamar, W.W. The Venomous Reptiles of the Western Hemisphere, 1st ed.; Cornell University Press: Ithaca, NY, USA; London, UK, 2004; ISBN 0-8014-4141-2. [Google Scholar]
- Estevao-Costa, M.I.; Gontijo, S.S.; Correia, B.L.; Yarleque, A.; Vivas-Ruiz, D.; Rodrigues, E.; Chávez-Olortegui, C.; Oliveira, L.S.; Sanchez, E.F. Neutralization of Toxicological Activities of Medically-Relevant Bothrops Snake Venoms and Relevant Toxins by Two Polyvalent Bothropic Antivenoms Produced in Peru and Brazil. Toxicon 2016, 122, 67–77. [Google Scholar] [CrossRef]
- Warrell, D.A. Snake Bite. Lancet 2010, 375, 77–88. [Google Scholar] [CrossRef]
- Kohlhoff, M.; Borges, M.H.; Yarleque, A.; Cabezas, C.; Richardson, M.; Sanchez, E.F. Exploring the Proteomes of the Venoms of the Peruvian Pit Vipers Bothrops Atrox, B. Barnetti and B. Pictus. J. Proteom. 2012, 75, 2181–2195. [Google Scholar] [CrossRef]
- Cardoso, K.C.; Da Silva, M.J.; Costa, G.G.L.; Torres, T.T.; Del Bem, L.E.V.; Vidal, R.O.; Menossi, M.; Hyslop, S. A Transcriptomic Analysis of Gene Expression in the Venom Gland of the Snake Bothrops Alternatus (Urutu). BMC Genom. 2010, 11, 9–12. [Google Scholar] [CrossRef]
- Tasoulis, T.; Isbister, G.K. A Current Perspective on Snake Venom Composition and Constituent Protein Families. Arch. Toxicol. 2023, 97, 133–153. [Google Scholar] [CrossRef]
- Takeda, S. ADAM and ADAMTS Family Proteins and Snake Venom Metalloproteinases: A Structural Overview. Toxins 2016, 8, 8–11. [Google Scholar] [CrossRef]
- Clemetson, K.J. Snaclecs (Snake C-Type Lectins) That Inhibit or Activate Platelets by Binding to Receptors. Toxicon 2010, 56, 1236–1246. [Google Scholar] [CrossRef] [PubMed]
- Požek, K.; Leonardi, A.; Pungerčar, J.; Rao, W.; Gao, Z.; Liu, S.; Laustsen, A.H.; Bakija, A.T.; Reberšek, K.; Podgornik, H.; et al. Genomic Confirmation of the P-IIIe Subclass of Snake Venom Metalloproteinases and Characterisation of Its First Member, a Disintegrin-like/Cysteine-Rich Protein. Toxins 2022, 14, 232. [Google Scholar] [CrossRef] [PubMed]
- Oliveira, L.S.; Estevão-Costa, M.I.; Alvarenga, V.G.; Vivas-Ruiz, D.E.; Yarleque, A.; Lima, A.M.; Cavaco, A.; Eble, J.A.; Sanchez, E.F. Atroxlysin-III, A Metalloproteinase from the Venom of the Peruvian Pit Viper Snake Bothrops Atrox (Jergón) Induces Glycoprotein VI Shedding and Impairs Platelet Function. Molecules 2019, 24, 3489. [Google Scholar] [CrossRef] [PubMed]
- Fox, J.W.; Serrano, S.M.T. Structural Considerations of the Snake Venom Metalloproteinases, Key Members of the M12 Reprolysin Family of Metalloproteinases. Toxicon 2005, 45, 969–985. [Google Scholar] [CrossRef]
- Kamiguti, A.S.; Gallagher, P.; Marcinkiewicz, C.; Theakston, R.D.G.; Zuzel, M.; Fox, J.W. Identification of Sites in the Cysteine-Rich Domain of the Class P-III Snake Venom Metalloproteinases Responsible for Inhibition of Platelet Function. FEBS Lett. 2003, 549, 129–134. [Google Scholar] [CrossRef]
- Menezes, M.C.; De Oliveira, A.K.; Melo, R.L.; Lopes-Ferreira, M.; Rioli, V.; Balan, A.; Paes Leme, A.F.; Serrano, S.M.T. Disintegrin-like/Cysteine-Rich Domains of the Reprolysin HF3: Site-Directed Mutagenesis Reveals Essential Role of Specific Residues. Biochimie 2011, 93, 345–351. [Google Scholar] [CrossRef]
- Baldo, C.; Jamora, C.; Yamanouye, N.; Zorn, T.M.; Moura-da-Silva, A.M. Mechanisms of Vascular Damage by Hemorrhagic Snake Venom Metalloproteinases: Tissue Distribution and in Situ Hydrolysis. PLoS Negl. Trop. Dis. 2010, 4, e727. [Google Scholar] [CrossRef]
- Escalante, T.; Shannon, J.; Moura-da-Silva, A.M.; María Gutiérrez, J.; Fox, J.W. Novel Insights into Capillary Vessel Basement Membrane Damage by Snake Venom Hemorrhagic Metalloproteinases: A Biochemical and Immunohistochemical Study. Arch. Biochem. Biophys. 2006, 455, 144–153. [Google Scholar] [CrossRef]
- Herrera, C.; Voisin, M.B.; Escalante, T.; Rucavado, A.; Nourshargh, S.; Gutiérrez, J.M. Effects of PI and PIII Snake Venom Haemorrhagic Metalloproteinases on the Microvasculature: A Confocal Microscopy Study on the Mouse Cremaster Muscle. PLoS ONE 2016, 11, e0168643. [Google Scholar] [CrossRef]
- Kamiguti, A.S.; Hay, C.R.M.; Zuzel, M. Inhibition of Collagen-Induced Platelet Aggregation as the Result of Cleavage of A2β1-Integrin by the Snake Venom Metalloproteinase Jararhagin. Biochem. J. 1996, 320, 635–641. [Google Scholar] [CrossRef]
- Kini, R.M.; Koh, C.Y. Metalloproteases Affecting Blood Coagulation, Fibrinolysis and Platelet Aggregation from Snake Venoms: Definition and Nomenclature of Interaction Sites. Toxins 2016, 8, 284. [Google Scholar] [CrossRef] [PubMed]
- Serrano, S.M.T.; Kim, J.; Wang, D.; Dragulev, B.; Shannon, J.D.; Mann, H.H.; Veit, G.; Wagener, R.; Koch, M.; Fox, J.W. The Cysteine-Rich Domain of Snake Venom Metalloproteinases Is a Ligand for von Willebrand Factor A Domains: Role in Substrate Targeting. J. Biol. Chem. 2006, 281, 39746–39756. [Google Scholar] [CrossRef] [PubMed]
- de Alvarenga, V.G.; Oliveira, L.S.; Santos, G.O.; Vivas-Ruiz, D.E.; Borges, M.H.; de Souza, R.C.G.; Eble, J.A.; Moura-da-Silva, A.M.; Sanchez, E.F. Rhomb-I, a P–I Metalloproteinase from Lachesis Muta Rhombeata Venom Degrades Vessel Extra Cellular Matrix Components and Impairs Platelet Aggregation. Toxicon 2023, 228, 107097. [Google Scholar] [CrossRef] [PubMed]
- Hamako, J.; Matsui, T.; Nishida, S.; Nomura, S.; Fujimura, Y.; Ito, M.; Ozeki, Y.; Titani, K. Purification and Characterization of Kaouthiagin, a von Willebrand Factor-Binding and -Cleaving Metalloproteinase from Naja Kaouthia Cobra Venom. Thromb. Haemost. 1998, 80, 499–505. [Google Scholar] [CrossRef]
- Jia, L.G.; Wang, X.M.; Shannon, J.D.; Bjarnason, J.B.; Fox, J.W. Function of Disintegrin-like/Cysteine-Rich Domains of Atrolysin A. Inhibition of Platelet Aggregation by Recombinant Protein and Peptide Antagonists. J. Biol. Chem. 1997, 272, 13094–13102. [Google Scholar] [CrossRef]
- Liu, C.Z.; Huang, T.F. Crovidisin, a Collagen-Binding Protein Isolated from Snake Venom of Crotalus Viridis, Prevents Platelet-Collagen Interaction. Arch. Biochem. Biophys. 1997, 337, 291–299. [Google Scholar] [CrossRef]
- Souza, D.H.F.; Iemma, M.R.C.; Ferreira, L.L.; Faria, J.P.; Oliva, M.L.V.; Zingali, R.B.; Niewiarowski, S.; Selistre-de-Araujo, H.S. The Disintegrin-like Domain of the Snake Venom Metalloprotease Alternagin Inhibits A2β1 Integrin-Mediated Cell Adhesion. Arch. Biochem. Biophys. 2000, 384, 341–350. [Google Scholar] [CrossRef]
- Wang, W.J.; Shih, C.H.; Huang, T.F. Primary Structure and Antiplatelet Mechanism of a Snake Venom Metalloproteinase, Acurhagin, from Agkistrodon Acutus Venom. Biochimie 2005, 87, 1065–1077. [Google Scholar] [CrossRef]
- You, W.K.; Jang, Y.J.; Chung, K.H.; Kim, D.S. A Novel Disintegrin-like Domain of a High Molecular Weight Metalloprotease Inhibits Platelet Aggregation. Biochem. Biophys. Res. Commun. 2003, 309, 637–642. [Google Scholar] [CrossRef]
- Zhou, O.; Smith, B.J.; Grossman, M.H. Molecular Cloning and Expression of Catrocollastatin, a Snake-Venom Protein from Crotalus Atrox (Western Diamondback Rattlesnake) Which Inhibits Platelet Adhesion to Collagen. Biochem. J. 1995, 307, 411–417. [Google Scholar] [CrossRef]
- Gardiner, E.E. Proteolytic Processing of Platelet Receptors. Res. Pract. Thromb. Haemost. 2018, 2, 240–250. [Google Scholar] [CrossRef] [PubMed]
- Andrews, R.K.; Karunakaran, D.; Gardiner, E.E.; Berndt, M.C. Platelet Receptor Proteolysis: A Mechanism for Downregulating Platelet Reactivity. Arterioscler. Thromb. Vasc. Biol. 2007, 27, 1511–1520. [Google Scholar] [CrossRef] [PubMed]
- Sanchez, E.F.; Gabriel, L.M.; Gontijo, S.; Gremski, L.H.; Veiga, S.S.; Evangelista, K.S.; Eble, J.A.; Richardson, M. Structural and Functional Characterization of a P-III Metalloproteinase, Leucurolysin-B, from Bothrops Leucurus Venom. Arch. Biochem. Biophys. 2007, 468, 193–204. [Google Scholar] [CrossRef] [PubMed]
- Sanchez, E.F.; Richardson, M.; Gremski, L.H.; Veiga, S.S.; Yarleque, A.; Niland, S.; Lima, A.M.; Estevao-Costa, M.I.; Eble, J.A. A Novel Fibrinolytic Metalloproteinase, Barnettlysin-I from Bothrops Barnetti (Barnett’s Pitviper) Snake Venom with Anti-Platelet Properties. Biochim. Biophys. Acta Gen. Subj. 2016, 1860, 542–556. [Google Scholar] [CrossRef]
- Muniz, J.R.C.; Ambrosio, A.L.B.; Selistre-de-Araujo, H.S.; Cominetti, M.R.; Moura-da-Silva, A.M.; Oliva, G.; Garratt, R.C.; Souza, D.H.F. The Three-Dimensional Structure of Bothropasin, the Main Hemorrhagic Factor from Bothrops Jararaca Venom: Insights for a New Classification of Snake Venom Metalloprotease Subgroups. Toxicon 2008, 52, 807–816. [Google Scholar] [CrossRef]
- Magnusson, M.K.; Mosher, D.F. Fibronectin: Structure, Assembly, and Cardiovascular Implications. Arterioscler. Thromb. Vasc. Biol. 1998, 18, 1363–1370. [Google Scholar] [CrossRef]
- Chain, D.; Kreizman, T.; Shapira, H.; Shaltiel, S. Plasmin Cleavage of Vitronectin Identification of the Site and Consequent Attenuation in Binding Plasminogen Activator Inhibitor-1. FEBS Lett. 1991, 285, 251–256. [Google Scholar] [CrossRef]
- Fox, J.W.; Serrano, S.M.T. Insights into and Speculations about Snake Venom Metalloproteinase (SVMP) Synthesis, Folding and Disulfide Bond Formation and Their Contribution to Venom Complexity. FEBS J. 2008, 275, 3016–3030. [Google Scholar] [CrossRef]
- Wallnoefer, H.G.; Lingott, T.; Gutiérrez, J.M.; Merfort, I.; Liedl, K.R. Backbone Flexibility Controls the Activity and Specificity of a Protein-Protein Interface—Specificity in Snake Venom Metalloproteases (SVMPs). J. Cheminform. 2011, 3, 10330–10337. [Google Scholar] [CrossRef]
- Akiyama, M.; Takeda, S.; Kokame, K.; Takagi, J.; Miyata, T. Crystal Structures of the Noncatalytic Domains of ADAMTS13 Reveal Multiple Discontinuous Exosites for von Willebrand Factor. Proc. Natl. Acad. Sci. USA 2009, 106, 19274–19279. [Google Scholar] [CrossRef]
- Gerhardt, S.; Hassall, G.; Hawtin, P.; McCall, E.; Flavell, L.; Minshull, C.; Hargreaves, D.; Ting, A.; Pauptit, R.A.; Parker, A.E.; et al. Crystal Structures of Human ADAMTS-1 Reveal a Conserved Catalytic Domain and a Disintegrin-like Domain with a Fold Homologous to Cysteine-Rich Domains. J. Mol. Biol. 2007, 373, 891–902. [Google Scholar] [CrossRef] [PubMed]
- Liu, H.; Shim, A.H.R.; He, X. Structural Characterization of the Ectodomain of a Disintegrin and Metalloproteinase-22 (ADAM22), a Neural Adhesion Receptor Instead of Metalloproteinase. Insights on Adam Function. J. Biol. Chem. 2009, 284, 29077–29085. [Google Scholar] [CrossRef] [PubMed]
- Mosyak, L.; Georgiadis, K.; Shane, T.; Svenson, K.; Hebert, T.; McDonagh, T.; Mackie, S.; Olland, S.; Lin, L.; Zhong, X.; et al. Crystal Structures of the Two Major Aggrecan Degrading Enzymes, ADAMTS4 and ADAMTS5. Protein Sci. 2008, 17, 16–21. [Google Scholar] [CrossRef] [PubMed]
- Takeda, S.; Takeya, H.; Iwanaga, S. Snake Venom Metalloproteinases: Structure, Function and Relevance to the Mammalian ADAM/ADAMTS Family Proteins. Biochim. Biophys. Acta Proteins Proteom. 2012, 1824, 164–176. [Google Scholar] [CrossRef]
- Kamiguti, A.S. Platelets as Targets of Snake Venom Metalloproteinases. Toxicon 2005, 45, 1041–1049. [Google Scholar] [CrossRef]
- Serrano, S.M.T.; Wang, D.; Shannon, J.D.; Pinto, A.F.M.; Polanowska-Grabowska, R.K.; Fox, J.W. Interaction of the Cysteine-Rich Domain of Snake Venom Metalloproteinases with the A1 Domain of von Willebrand Factor Promotes Site-Specific Proteolysis of von Willebrand Factor and Inhibition of von Willebrand Factor-Mediated Platelet Aggregation. FEBS J. 2007, 274, 3611–3621. [Google Scholar] [CrossRef]
- Wang, W.J.; Huang, T.F. Purification and Characterization of a Novel Metalloproteinase, Acurhagin, from Agkistrodon Acutus Venom. Thromb. Haemost. 2002, 87, 641–650. [Google Scholar] [CrossRef]
- Olaoba, O.T.; Karina dos Santos, P.; Selistre-de-Araujo, H.S.; Ferreira de Souza, D.H. Snake Venom Metalloproteinases (SVMPs): A Structure-Function Update. Toxicon X 2020, 7, 100052. [Google Scholar] [CrossRef]
- Asch, E.; Podack, E. Vitronectin Binds to Activated Human Platelets and Plays a Role in Platelet Aggregation. J. Clin. Invest. 1990, 85, 1372–1378. [Google Scholar] [CrossRef]
- Gawaz, M.; Brand, K.; Dickfeld, T.; Pogatsa-Murray, G.; Page, S.; Bogner, C.; Koch, W.; Schömig, A.; Neumann, F.J. Platelets Induce Alterations of Chemotactic and Adhesive Properties of Endothelial Cells Mediated through an Interleukin-1-Dependent Mechanism. Implications for Atherogenesis. Atherosclerosis 2000, 148, 75–85. [Google Scholar] [CrossRef]
- Kamiguti, A.S.; Slupsky, J.R.; Zuzel, M.; Hay, C.R.M. Properties of Fibrinogen Cleaved by Jararhagin, a Metalloproteinase from the Venom of Bothrops Jararaca. Thromb. Haemost. 1994, 72, 244–249. [Google Scholar] [CrossRef] [PubMed]
- Herrera, C.; Escalante, T.; Voisin, M.B.; Rucavado, A.; Morazán, D.; Macêdo, J.K.A.; Calvete, J.J.; Sanz, L.; Nourshargh, S.; Gutiérrez, J.M.; et al. Tissue Localization and Extracellular Matrix Degradation by PI, PII and PIII Snake Venom Metalloproteinases: Clues on the Mechanisms of Venom-Induced Hemorrhage. PLoS Negl. Trop. Dis. 2015, 9, e0003731. [Google Scholar] [CrossRef] [PubMed]
- Hsu, C.C.; Wu, W.B.; Chang, Y.H.; Kuo, H.L.; Huang, T.F. Antithrombotic Effect of a Protein-Type I Class Snake Venom Metalloproteinase, Kistomin, Is Mediated by Affecting Glycoprotein Ib-von Willebrand Factor Interaction. Mol. Pharmacol. 2007, 72, 984–992. [Google Scholar] [CrossRef]
- Matsui, T.; Hamako, J. Structure and Function of Snake Venom Toxins Interacting with Human von Willebrand Factor. Toxicon 2005, 45, 1075–1087. [Google Scholar] [CrossRef]
- Sanchez, E.F.; Alvarenga, V.G.; Oliveira, L.S.; Oliveira, D.L.; Estevao-Costa, M.I.; Flores-Ortiz, R.; Eble, J.A. A Fibrinolytic Snake Venom Metalloproteinase, Mutalysin-II, with Antiplatelet Activity and Targeting Capability toward Glycoprotein GPIbα and Glycoprotein GPVI. Biochimie 2021, 184, 1–7. [Google Scholar] [CrossRef]
- Chen, H.; Locke, D.; Liu, Y.; Liu, C.; Kahn, M.L. The Platelet Receptor GPVI Mediates Both Adhesion and Signaling Responses to Collagen in a Receptor Density-Dependent Fashion. J. Biol. Chem. 2002, 277, 3011–3019. [Google Scholar] [CrossRef]
- Nieswandt, B.; Brakebusch, C.; Bergmeier, W.; Schulte, V.; Bouvard, D.; Mokhtari-Nejad, R.; Lindhout, T.; Heemskerk, J.W.M.; Zirngibl, H.; Fässler, R. Glycoprotein VI but Not A2β1 Integrin Is Essential for Platelet Interaction with Collagen. EMBO J. 2001, 20, 2120–2130. [Google Scholar] [CrossRef]
- Pearce, A.C.; Senis, Y.A.; Billadeau, D.D.; Turner, M.; Watson, S.P.; Vigorito, E. Vav1 and Vav3 Have Critical but Redundant Roles in Mediating Platelet Activation by Collagen. J. Biol. Chem. 2004, 279, 53955–53962. [Google Scholar] [CrossRef]
- Sugiyama, T.; Okuma, M.; Ushikubi, F.; Sensaki, S.; Kanaji, K.; Uchino, H. A Novel Platelet Aggregating Factor Found in a Patient with Defective Collagen-Induced Platelet Aggregation and Autoimmune Thrombocytopenia. Blood 1987, 69, 1712–1720. [Google Scholar] [CrossRef]
- Wang, W.J. Purification and Functional Characterization of AAV1, a Novel P-III Metalloproteinase, from Formosan Agkistrodon Acutus Venom. Biochimie 2007, 89, 105–115. [Google Scholar] [CrossRef]
- James, P.D.; Goodeve, A.C. Von Willebrand Disease. Genet. Med. 2011, 13, 365–376. [Google Scholar] [CrossRef] [PubMed]
- Mazurier, C.; Meyer, D. Molecular Basis of von Willebrand Disease. Baillières Clin. Haematol. 1996, 9, 229–241. [Google Scholar] [CrossRef] [PubMed]
- Huizinga, E.G.; Tsuji, S.; Romijn, R.A.P.; Schiphorst, M.E.; De Groot, P.G.; Sixma, J.J.; Gros, P. Structures of Glycoprotein Ibα and Its Complex with von Willebrand Factor A1 Domain. Science 2002, 297, 1176–1179. [Google Scholar] [CrossRef]
- Gutiérrez, J.M.; Rucavado, A.; Escalante, T.; Díaz, C. Hemorrhage Induced by Snake Venom Metalloproteinases: Biochemical and Biophysical Mechanisms Involved in Microvessel Damage. Toxicon 2005, 45, 997–1011. [Google Scholar] [CrossRef]
- Borkow, G.; Lomonte, B.; Gutiérrez, J.; Ovadia, M. Effect of Various Viperidae and Crotalidae Snake Venoms on Endothelial Cells In Vitro. Toxicon 1994, 32, 1689–1695. [Google Scholar] [CrossRef]
- Paludo, K.S.; Gremski, L.H.; Veiga, S.S.; Chaim, O.M.; Gremski, W.; de Freitas Buchi, D.; Nader, H.B.; Dietrich, C.P.; Franco, C.R.C. The Effect of Brown Spider Venom on Endothelial Cell Morphology and Adhesive Structures. Toxicon 2006, 47, 844–853. [Google Scholar] [CrossRef]
- Wei, Y.; Lu, Q.Y.; Zhong, X.J.; Guo, L.; Zeng, F.Y.; Sun, Q.Y. Cobra Venom P-III Class Metalloproteinase Atrase A Induces Inflammatory Response and Cell Apoptosis in Endothelial Cells via Its Metalloproteinase Domain. Toxicon 2023, 232, 107210. [Google Scholar] [CrossRef]
- Tanjoni, I.; Weinlich, R.; Della-Casa, M.S.; Clissa, P.B.; Saldanha-Gama, R.F.; De Freitas, M.S.; Barja-Fidalgo, C.; Amarante-Mendes, G.P.; Moura-Da-Silva, A.M. Jararhagin, a Snake Venom Metalloproteinase, Induces a Specialized Form of Apoptosis (Anoikis) Selective to Endothelial Cells. Apoptosis 2005, 10, 851–861. [Google Scholar] [CrossRef]
- Masuda, S.; Hayashi, H.; Atoda, H.; Morita, T.; Araki, S. Purification, CDNA Cloning and Characterization of the Vascular Apoptosis-Inducing Protein, HV1, from Trimeresurus Flavoviridis. Eur. J. Biochem. 2001, 268, 3339–3345. [Google Scholar] [CrossRef]
- Oyama, E.; Takahashi, H. Structures and Functions of Snake Venom Metalloproteinases (SVMP) from Protobothrops Venom Collected in Japan. Molecules 2017, 22, 1305. [Google Scholar] [CrossRef]
- Gutiérrez, J.M.; Escalante, T.; Rucavado, A.; Herrera, C.; Fox, J.W. A Comprehensive View of the Structural and Functional Alterations of Extracellular Matrix by Snake Venom Metalloproteinases (SVMPs): Novel Perspectives on the Pathophysiology of Envenoming. Toxins 2016, 8, 304. [Google Scholar] [CrossRef] [PubMed]
- Takeda, S. Three-Dimensional Domain Architecture of the ADAM Family Proteinases. Semin. Cell Dev. Biol. 2009, 20, 146–152. [Google Scholar] [CrossRef] [PubMed]
- Takeda, S.; Igarashi, T.; Mori, H.; Araki, S. Crystal Structures of VAP1 Reveal ADAMs’ MDC Domain Architecture and Its Unique C-Shaped Scaffold. EMBO J. 2006, 25, 2388–2396. [Google Scholar] [CrossRef] [PubMed]
- Tanjoni, I.; Evangelista, K.; Della-Casa, M.S.; Butera, D.; Magalhães, G.S.; Baldo, C.; Clissa, P.B.; Fernandes, I.; Eble, J.; Moura-da-Silva, A.M. Different Regions of the Class P-III Snake Venom Metalloproteinase Jararhagin Are Involved in Binding to A2β1 Integrin and Collagen. Toxicon 2010, 55, 1093–1099. [Google Scholar] [CrossRef]
- de Oliveira Moritz, M.M.; Eustáquio, L.M.S.; Micocci, K.C.; Nunes, A.C.C.; dos Santos, P.K.; de Castro Vieira, T.; Selistre-de-Araujo, H.S. Alternagin-C Binding to A2β1 Integrin Controls Matrix Metalloprotease-9 and Matrix Metalloprotease-2 in Breast Tumor Cells and Endothelial Cells. J. Venom. Anim. Toxins Incl. Trop. Dis. 2018, 24, 13. [Google Scholar] [CrossRef]
- Scarborough, R.M.; Naughton, M.A.; Teng, W.; Rose, J.W.; Phillips, D.R.; Nannizzi, L.; Arfsten, A.; Campbell, A.M.; Charo, I.F. Design of Potent and Specific Integrin Antagonists: Peptide Antagonists with High Specificity for Glycoprotein IIb-IIIa. J. Biol. Chem. 1993, 268, 1066–1073. [Google Scholar] [CrossRef]
- Ruggeri, Z.M.; Jackson, S.P. Platelet Thrombus Formation in Flowing Blood. In Platelets, 3rd ed.; Elsevier Inc.: Amsterdam, The Netherlands, 2013; pp. 399–423. ISBN 9780123878373. [Google Scholar]
- Vega, M.E.; Schwarzbauer, J.E. Collaboration of Fibronectin Matrix with Other Extracellular Signals in Morphogenesis and Differentiation. Curr. Opin. Cell Biol. 2016, 42, 1–6. [Google Scholar] [CrossRef]
- Maria, A.A.; da Silva, L.G.L.; Correia, C.C.; Ruiz, G.R.G. Antiproliferative Effect of the Jararhagin Toxin on B16F10 Murine Melanoma. BMC Complement. Altern. Med. 2014, 14, 446. [Google Scholar] [CrossRef]
- Staniszewska, I.; Sariyer, I.K.; Lecht, S.; Brown, M.C.; Walsh, E.M.; Tuszynski, G.P.; Safak, M.; Lazarovici, P.; Marcinkiewicz, C. Integrin A9β1 Is a Receptor for Nerve Growth Factor and Other Neurotrophins. J. Cell Sci. 2008, 121, 504–513. [Google Scholar] [CrossRef]
- Tian, J.; Paquette-Straub, C.; Sage, E.H.; Funk, S.E.; Patel, V.; Galileo, D.; McLane, M.A. Inhibition of Melanoma Cell Motility by the Snake Venom Disintegrin Eristostatin. Toxicon 2007, 49, 899–908. [Google Scholar] [CrossRef]
- Lucena, S.; Castro, R.; Lundin, C.; Hofstetter, A.; Alaniz, A.; Suntravat, M.; Sánchez, E.E. Inhibition of Pancreatic Tumoral Cells by Snake Venom Disintegrins. Toxicon 2015, 93, 136–143. [Google Scholar] [CrossRef] [PubMed]
- Minea, R.; Helchowski, C.; Rubino, B.; Brodmann, K.; Swenson, S.; Markland, F. Development of a Chimeric Recombinant Disintegrin as a Cost-Effective Anti-Cancer Agent with Promising Translational Potential. Toxicon 2012, 59, 472–486. [Google Scholar] [CrossRef] [PubMed]
- Zhou, Q.; Sherwin, R.P.; Parrish, C.; Richters, V.; Groshen, S.G.; Tsao-Wei, D.; Markland, F.S. Contortrostatin, a Dimeric Disintegrin from Agkistrodon Contortrix Contortrix, Inhibits Breast Cancer Progression. Breast Cancer Res. Treat. 2000, 61, 249–259. [Google Scholar] [CrossRef] [PubMed]
- Marcinkiewicz, C. Pharmacological Impact of Snake Venom Compounds. Curr. Pharm. Des. 2007, 13, 2851–2852. [Google Scholar] [CrossRef]
- Laemmli, U.K. Cleavage of Structural Proteins during the Assembly of the Head of Bacteriophage T4. Nature 1970, 227, 680–685. [Google Scholar] [CrossRef]
- Vivas-Ruiz, D.E.; Sandoval, G.A.; Mendoza, J.; Inga, R.R.; Gontijo, S.; Richardson, M.; Eble, J.A.; Yarleque, A.; Sanchez, E.F. Coagulant Thrombin-like Enzyme (Barnettobin) from Bothrops Barnetti Venom: Molecular Sequence Analysis of Its CDNA and Biochemical Properties. Biochimie 2013, 95, 1476–1486. [Google Scholar] [CrossRef]
- Torrejón, D.; Cárdenas, J.; Juárez, D.; Espinoza, J.; Proleón, A.; Agurto-Arteaga, A.; Lazo, F.; Leguía, M.; Urra, F.A.; Sánchez, E.F.; et al. Comparison of Four Methods of RNA Extraction and CDNA Synthesis from The Venom of Peruvian Snakes of the Genus Bothrops of Clinical Importance. Int. J. Mol. Sci. 2023, 24, 11161. [Google Scholar] [CrossRef]
- Robert, X.; Gouet, P. Deciphering Key Features in Protein Structures with the New ENDscript Server. Nucleic Acids Res. 2014, 42, 320–324. [Google Scholar] [CrossRef]
- Wang, J.; Chitsaz, F.; Derbyshire, M.K.; Gonzales, N.R.; Gwadz, M.; Lu, S.; Marchler, G.H.; Song, J.S.; Thanki, N.; Yamashita, R.A.; et al. The Conserved Domain Database in 2023. Nucleic Acids Res. 2023, 51, D384–D388. [Google Scholar] [CrossRef]
- ProtParam—Expasy. Available online: https://web.expasy.org/protparam/ (accessed on 5 May 2022).
- Mirdita, M.; Schütze, K.; Moriwaki, Y.; Heo, L.; Ovchinnikov, S.; Steinegger, M. ColabFold: Making Protein Folding Accessible to All. Nat. Methods 2022, 19, 679–682. [Google Scholar] [CrossRef]
- Sanchez, E.F.; Santos, C.I.; Magalhães, A.; Diniz, C.R.; Figueiredo, S.; Gilroy, J.; Richardson, M. Isolation of a Proteinase with Plasminogen-Activating Activity from Lachesis muta muta (Bushmaster) Snake Venom. Arch. Biochem. Biophys. 2000, 378, 131–141. [Google Scholar] [CrossRef]
- LeBleu, V.S.; MacDonald, B.; Kalluri, R. Structure and Function of Basement Membranes. Exp. Biol. Med. 2007, 232, 1121–1129. [Google Scholar] [CrossRef] [PubMed]
- Sanchez, E.F.; Richardson, M.; Gremski, L.H.; Veiga, S.S.; Yarleque, A.; Niland, S.; Lima, A.M.; Estevao-Costa, M.I.; Eble, J.A. Data for a Direct Fibrinolytic Metalloproteinase, Barnettlysin-I from Bothrops Barnetti (Barnett’s Pitviper) Snake Venom with Anti-Thrombotic Effect. Data Br. 2016, 7, 1609–1613. [Google Scholar] [CrossRef] [PubMed]
- Harlow, E.; Lane, D. Antibodies: A Laboratory Manual; Cold Spring Harbor Laboratory Press: Long Island, NY, USA, 1988. [Google Scholar]
- Buonassisi, V.; Venter, J.C. Hormone and Neurotransmitter Receptors in an Established Vascular Endothelial Cell Line. Proc. Natl. Acad. Sci. USA 1976, 73, 1612–1616. [Google Scholar] [CrossRef] [PubMed]
- Liang, C.C.; Park, A.Y.; Guan, J.L. In Vitro Scratch Assay: A Convenient and Inexpensive Method for Analysis of Cell Migration in Vitro. Nat. Protoc. 2007, 2, 329–333. [Google Scholar] [CrossRef]
- Schneider, C.A.; Rasband, W.S.; Eliceiri, K.W. NIH Image to ImageJ: 25 Years of Image Analysis. Nat. Methods 2012, 9, 671–675. [Google Scholar] [CrossRef]
- Saiki, I.; Murata, J.; Iida, J.; Sakurai, T.; Nishi, N.; Matsuno, K.; Azuma, I. Antimetastatic Effects of Synthetic Polypeptides Containing Repeated Structures of the Cell Adhesive Arg-Gly-Asp (RGD) and Tyr-Ile-Gly-Ser-Arg (YIGSR) Sequences. Br. J. Cancer 1989, 60, 722–728. [Google Scholar] [CrossRef]












Disclaimer/Publisher’s Note: The statements, opinions and data contained in all publications are solely those of the individual author(s) and contributor(s) and not of MDPI and/or the editor(s). MDPI and/or the editor(s) disclaim responsibility for any injury to people or property resulting from any ideas, methods, instructions or products referred to in the content. |
© 2024 by the authors. Licensee MDPI, Basel, Switzerland. This article is an open access article distributed under the terms and conditions of the Creative Commons Attribution (CC BY) license (https://creativecommons.org/licenses/by/4.0/).
Share and Cite
Schluga, P.H.d.C.; Larangote, D.; de Melo, A.M.; Lobermayer, G.K.; Torrejón, D.; de Oliveira, L.S.; Alvarenga, V.G.; Vivas-Ruiz, D.E.; Veiga, S.S.; Sanchez, E.F.; et al. A Novel P-III Metalloproteinase from Bothrops barnetti Venom Degrades Extracellular Matrix Proteins, Inhibits Platelet Aggregation, and Disrupts Endothelial Cell Adhesion via α5β1 Integrin Receptors to Arginine–Glycine–Aspartic Acid (RGD)-Containing Molecules. Toxins 2024, 16, 486. https://doi.org/10.3390/toxins16110486
Schluga PHdC, Larangote D, de Melo AM, Lobermayer GK, Torrejón D, de Oliveira LS, Alvarenga VG, Vivas-Ruiz DE, Veiga SS, Sanchez EF, et al. A Novel P-III Metalloproteinase from Bothrops barnetti Venom Degrades Extracellular Matrix Proteins, Inhibits Platelet Aggregation, and Disrupts Endothelial Cell Adhesion via α5β1 Integrin Receptors to Arginine–Glycine–Aspartic Acid (RGD)-Containing Molecules. Toxins. 2024; 16(11):486. https://doi.org/10.3390/toxins16110486
Chicago/Turabian StyleSchluga, Pedro Henrique de Caires, Debora Larangote, Ana Maria de Melo, Guilherme Kamienski Lobermayer, Daniel Torrejón, Luciana Souza de Oliveira, Valeria Gonçalves Alvarenga, Dan Erick Vivas-Ruiz, Silvio Sanches Veiga, Eladio Flores Sanchez, and et al. 2024. "A Novel P-III Metalloproteinase from Bothrops barnetti Venom Degrades Extracellular Matrix Proteins, Inhibits Platelet Aggregation, and Disrupts Endothelial Cell Adhesion via α5β1 Integrin Receptors to Arginine–Glycine–Aspartic Acid (RGD)-Containing Molecules" Toxins 16, no. 11: 486. https://doi.org/10.3390/toxins16110486
APA StyleSchluga, P. H. d. C., Larangote, D., de Melo, A. M., Lobermayer, G. K., Torrejón, D., de Oliveira, L. S., Alvarenga, V. G., Vivas-Ruiz, D. E., Veiga, S. S., Sanchez, E. F., & Gremski, L. H. (2024). A Novel P-III Metalloproteinase from Bothrops barnetti Venom Degrades Extracellular Matrix Proteins, Inhibits Platelet Aggregation, and Disrupts Endothelial Cell Adhesion via α5β1 Integrin Receptors to Arginine–Glycine–Aspartic Acid (RGD)-Containing Molecules. Toxins, 16(11), 486. https://doi.org/10.3390/toxins16110486

