Involvement of Autophagy and Oxidative Stress-Mediated DNA Hypomethylation in Transgenerational Nephrotoxicity Induced in Rats by the Mycotoxin Fumonisin B1
Abstract
:1. Introduction
2. Results
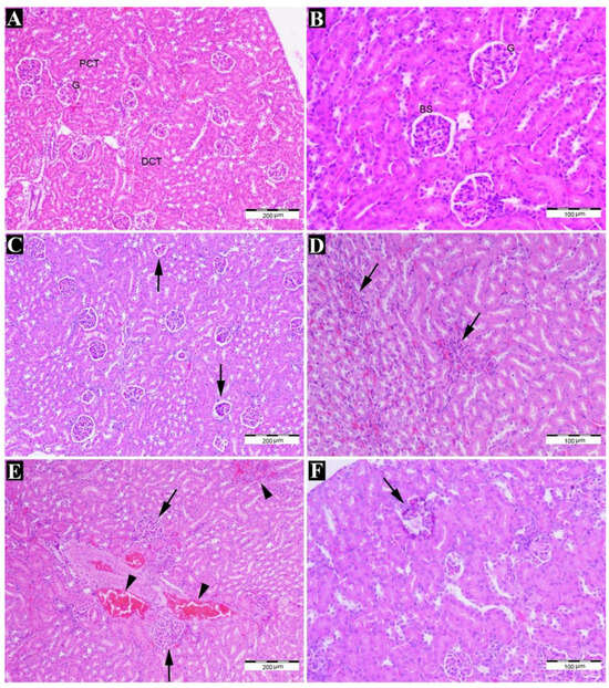
2.1. FB1 Induced Histopathological Changes
2.2. FB1 Affected the Number and Diameter of Renal Glomeruli
2.3. FB1 Induced Oxidative Stress in Kidney Cells
2.4. FB1 Promoted Autophagy in Kidney Cells
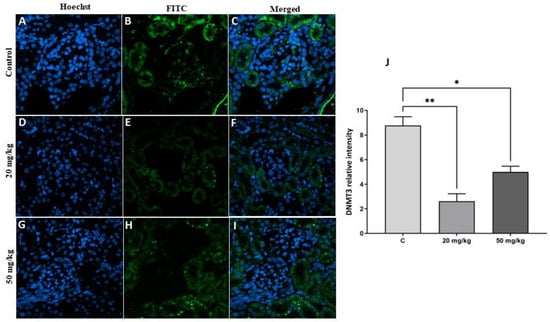
2.5. FB1 Induced Hypomethylation in Kidney Cells
3. Discussion
4. Conclusions
5. Materials and Methods
5.1. Ethical Approval
5.2. Study Design
5.3. Histopathological Study
5.4. Immunofluorescence Staining
5.5. Oxidative Stress Measurement
5.6. Statistical Analysis
Author Contributions
Funding
Institutional Review Board Statement
Informed Consent Statement
Data Availability Statement
Acknowledgments
Conflicts of Interest
References
- Leslie, J.F.; Summerell, B.A. The Fusarium Laboratory Manual; John Wiley & Sons: Hoboken, NJ, USA, 2008. [Google Scholar]
- Müller, S.; Dekant, W.; Mally, A. Fumonisin B1 and the kidney: Modes of action for renal tumor formation by fumonisin B1 in rodents. Food Chem. Toxicol. 2012, 50, 3833–3846. [Google Scholar] [CrossRef]
- Chen, J.; Wen, J.; Tang, Y.; Shi, J.; Mu, G.; Yan, R.; Cai, J.; Long, M. Research Progress on Fumonisin B1 Contamination and Toxicity: A Review. Molecules 2021, 26, 5238. [Google Scholar] [CrossRef]
- Bódi, V.; Csikós, V.; Rátkai, E.A.; Szűcs, A.; Tóth, A.; Szádeczky-Kardoss, K.; Dobolyi, Á.; Schlett, K.; Világi, I.; Varró, P. Short-term neuronal effects of fumonisin B1 on neuronal activity in rodents. NeuroToxicology 2020, 80, 41–51. [Google Scholar] [CrossRef]
- Tomaszewska, E.; Rudyk, H.; Świetlicka, I.; Hułas-Stasiak, M.; Donaldson, J.; Arczewska, M.; Muszyński, S.; Dobrowolski, P.; Puzio, I.; Kushnir, V. The Influence of Prenatal Fumonisin Exposure on Bone Properties, as well as OPG and RANKL Expression and Immunolocalization, in Newborn Offspring Is Sex and Dose Dependent. Int. J. Mol. Sci. 2021, 22, 13234. [Google Scholar] [CrossRef]
- Carratu, M.; Cassano, T.; Coluccia, A.; Borracci, P.; Cuomo, V. Antinutritional effects of fumonisin B1 and pathophysiological consequences. Toxicol. Lett. 2003, 140, 459–463. [Google Scholar] [CrossRef]
- Luyckx, V.A.; Tonelli, M.; Stanifer, J.W. The global burden of kidney disease and the sustainable development goals. Bull. World Health Organ. 2018, 96, 414. [Google Scholar] [CrossRef]
- Xu, X.; Nie, S.; Ding, H.; Hou, F.F. Environmental pollution and kidney diseases. Nat. Rev. Nephrol. 2018, 14, 313–324. [Google Scholar] [CrossRef]
- Lopez-Giacoman, S.; Madero, M. Biomarkers in chronic kidney disease, from kidney function to kidney damage. World J. Nephrcol. 2015, 4, 57. [Google Scholar] [CrossRef]
- Lash, L.H. Environmental and genetic factors influencing kidney toxicity. In Seminars in Nephrology; Elsevier: Amsterdam, The Netherlands, 2019; pp. 132–140. [Google Scholar]
- He, M.-Q.; Wang, M.-Q.; Chen, Z.-H.; Deng, W.-Q.; Li, T.-H.; Vizzini, A.; Jeewon, R.; Hyde, K.D.; Zhao, R.-L. Potential benefits and harms: A review of poisonous mushrooms in the world. Fungal Biol. Rev. 2022, 42, 56–68. [Google Scholar] [CrossRef]
- Pitt, J. Toxigenic fungi and mycotoxins. Br. Med. Bull. 2000, 56, 184–192. [Google Scholar] [CrossRef]
- Venancio, J.C.; Emerich, S.S.; Branquinho, N.T.D.; de Sousa, F.C.; Natali, M.R.M.; Baroni, E.A. Effect of administering a diet contamined with fumonisins on the kidneys of wistar rats. Acta Scientiarum. Biol. Sci. 2014, 36, 333–341. [Google Scholar] [CrossRef]
- Alqahtani, W.; Mufti, A.; Aldawood, N.; Alshamrani, A.; Nahdi, S.; Aldahmash, W.; Jalouli, M.; Feriani, A.; Mansour, L.; Tlili, N. Autophagy activation, histopathological damage, and altered renal epithelial sodium channel and Na+, K+-ATPase gene expression in offspring kidney after in utero exposure to allethrin. J. King Saud Univ.-Sci. 2023, 35, 102575. [Google Scholar] [CrossRef]
- Bucci, T.J.; Howard, P.C.; Tolleson, W.H.; Laborde, J.B.; Hansen, D.K. Renal Effects of Fumonisin Mycotoxins in Animals. Toxicol. Pathol. 1998, 26, 160–164. [Google Scholar] [CrossRef]
- Edrington, T.; Kamps-Holtzapple, C.; Harvey, R.; Kubena, L.; Elissalde, M.; Rottinghaus, G. Acute hepatic and renal toxicity in lambs dosed with fumonisin-containing culture material. J. Anim. Sci. 1995, 73, 508–515. [Google Scholar] [CrossRef]
- Bondy, G.; Barker, M.; Mueller, R.; Fernie, S.; Miller, J.; Armstrong, C.; Hierlihy, S.; Rowsell, P.; Suzuki, C. Fumonisin B 1 toxicity in male Sprague-Dawley rats. In Fumonisins in Food; Springer: Boston, MA, USA, 1996; pp. 251–264. [Google Scholar]
- Bondy, G.; Barker, M.; Lombaert, G.; Armstrong, C.; Fernie, S.; Gurofsky, S.; Huzel, V.; Savard, M.; Curran, I. A comparison of clinical, histopathological and cell-cycle markers in rats receiving the fungal toxins fumonisin B1 or fumonisin B2 by intraperitoneal injection. Food Chem. Toxicol. 2000, 38, 873–886. [Google Scholar] [CrossRef]
- Gelderblom, W.; Lebepe-Mazur, S.; Snijman, P.; Abel, S.; Swanevelder, S.; Kriek, N.; Marasas, W. Toxicological effects in rats chronically fed low dietary levels of fumonisin B1. Toxicology 2001, 161, 39–51. [Google Scholar] [CrossRef]
- Orsi, R.; Dilkin, P.; Xavier, J.; Aquino, S.; Rocha, L.; Corrêa, B. Acute toxicity of a single gavage dose of fumonisin B1 in rabbits. Chem.-Biol. Interact. 2009, 179, 351–355. [Google Scholar] [CrossRef]
- Suzuki, C.A.; Hierlihy, L.; Barker, M.; Curran, I.; Mueller, R.; Bondy, G.S. The effects of fumonisin B1 on several markers of nephrotoxicity in rats. Toxicol. Appl. Pharmacol. 1995, 133, 207–214. [Google Scholar] [CrossRef]
- Hajleh, M.N.A.; Khleifat, K.M.; Alqaraleh, M.; Al-Hraishat, E.a.; Al-limoun, M.O.; Qaralleh, H.; Al-Dujaili, E.A. Antioxidant and antihyperglycemic effects of ephedra foeminea aqueous extract in streptozotocin-induced diabetic rats. Nutrients 2022, 14, 2338. [Google Scholar] [CrossRef]
- Jalouli, M.; Mofti, A.; Elnakady, Y.A.; Nahdi, S.; Feriani, A.; Alrezaki, A.; Sebei, K.; Bizzarri, M.; Alwasel, S.; Harrath, A.H. Allethrin promotes apoptosis and autophagy associated with the oxidative stress-related PI3K/AKT/mTOR signaling pathway in developing rat ovaries. Int. J. Mol. Sci. 2022, 23, 6397. [Google Scholar] [CrossRef]
- Denton, D.; Nicolson, S.; Kumar, S. Cell death by autophagy: Facts and apparent artefacts. Cell Death Differ. 2012, 19, 87–95. [Google Scholar] [CrossRef] [PubMed]
- Wu, Q.; Wang, X.; Nepovimova, E.; Wang, Y.; Yang, H.; Kuca, K. Mechanism of cyclosporine A nephrotoxicity: Oxidative stress, autophagy, and signalings. Food Chem. Toxicol. 2018, 118, 889–907. [Google Scholar] [CrossRef] [PubMed]
- Lim, S.W.; Hyoung, B.J.; Piao, S.G.; Doh, K.C.; Chung, B.H.; Yang, C.W. Chronic cyclosporine nephropathy is characterized by excessive autophagosome formation and decreased autophagic clearance. Transplantation 2012, 94, 218–225. [Google Scholar] [CrossRef] [PubMed]
- Liu, W.; Du, Y.; Liu, J.; Wang, H.; Sun, D.; Liang, D.; Zhao, L.; Shang, J. Effects of atrazine on the oxidative damage of kidney in Wister rats. Int. J. Clin. Exp. Med. 2014, 7, 3235. [Google Scholar] [PubMed]
- Sun, Y.; Kang, J.; Tao, Z.; Wang, X.; Liu, Q.; Li, D.; Guan, X.; Xu, H.; Liu, Y.; Deng, Y. Effect of endoplasmic reticulum stress-mediated excessive autophagy on apoptosis and formation of kidney stones. Life Sci. 2020, 244, 117232. [Google Scholar] [CrossRef] [PubMed]
- El-Bassossy, H.M.; Eid, B.G. Cyclosporine A exhibits gender-specific nephrotoxicity in rats: Effect on renal tissue inflammation. Biochem. Biophys. Res. Commun. 2018, 495, 468–472. [Google Scholar] [CrossRef]
- Xu, B.; Dai, W.; Liu, L.; Han, H.; Zhang, J.; Du, X.; Pei, X.; Fu, X. Metformin ameliorates polycystic ovary syndrome in a rat model by decreasing excessive autophagy in ovarian granulosa cells via the PI3K/AKT/mTOR pathway. Endocr. J. 2022, 69, 863–875. [Google Scholar] [CrossRef]
- Harrath, A.H.; Alrezaki, A.; Mansour, L.; Alwasel, S.H.; Palomba, S. Food restriction during pregnancy and female offspring fertility: Adverse effects of reprogrammed reproductive lifespan. J. Ovarian Res. 2017, 10, 1–9. [Google Scholar] [CrossRef]
- Harrath, A.H.; Alrezaki, A.; Alwasel, S.H.; Semlali, A. Intergenerational response of steroidogenesis-related genes to maternal malnutrition. J. Dev. Orig. Health Dis. 2019, 10, 587–594. [Google Scholar] [CrossRef]
- De Boo, H.A.; Harding, J.E. The developmental origins of adult disease (Barker) hypothesis. Aust. N. Z. J. Obstet. Gynaecol. 2006, 46, 4–14. [Google Scholar] [CrossRef]
- Zhou, A.; Ryan, J. Biological Embedding of Early-Life Adversity and a Scoping Review of the Evidence for Intergenerational Epigenetic Transmission of Stress and Trauma in Humans. Genes 2023, 14, 1639. [Google Scholar] [CrossRef] [PubMed]
- Rupon, J.W.; Wang, S.Z.; Gnanapragasam, M.; Labropoulos, S.; Ginder, G.D. MBD2 contributes to developmental silencing of the human ε-globin gene. Blood Cells Mol. Dis. 2011, 46, 212–219. [Google Scholar] [CrossRef]
- Yamagata, Y.; Asada, H.; Tamura, I.; Lee, L.; Maekawa, R.; Taniguchi, K.; Taketani, T.; Matsuoka, A.; Tamura, H.; Sugino, N. DNA methyltransferase expression in the human endometrium: Down-regulation by progesterone and estrogen. Hum. Reprod. 2009, 24, 1126–1132. [Google Scholar] [CrossRef] [PubMed]
- Corrales, J.; Fang, X.; Thornton, C.; Mei, W.; Barbazuk, W.; Duke, M.; Scheffler, B.; Willett, K. Effects on specific promoter DNA methylation in zebrafish embryos and larvae following benzo [a] pyrene exposure. Comp. Biochem. Physiol. Part C Toxicol. Pharmacol. 2014, 163, 37–46. [Google Scholar] [CrossRef]
- Zama, A.M.; Uzumcu, M. Fetal and neonatal exposure to the endocrine disruptor methoxychlor causes epigenetic alterations in adult ovarian genes. Endocrinology 2009, 150, 4681–4691. [Google Scholar] [CrossRef]
- Chuturgoon, A.; Phulukdaree, A.; Moodley, D. Fumonisin B1 induces global DNA hypomethylation in HepG2 cells–An alternative mechanism of action. Toxicology 2014, 315, 65–69. [Google Scholar] [CrossRef]
- Demirel, G.; Alpertunga, B.; Ozden, S. Role of fumonisin B1 on DNA methylation changes in rat kidney and liver cells. Pharm. Biol. 2015, 53, 1302–1310. [Google Scholar] [CrossRef]
- Pistore, C.; Giannoni, E.; Colangelo, T.; Rizzo, F.; Magnani, E.; Muccillo, L.; Giurato, G.; Mancini, M.; Rizzo, S.; Riccardi, M. DNA methylation variations are required for epithelial-to-mesenchymal transition induced by cancer-associated fibroblasts in prostate cancer cells. Oncogene 2017, 36, 5551–5566. [Google Scholar] [CrossRef]
- Romens, S.E.; McDonald, J.; Svaren, J.; Pollak, S.D. Associations between early life stress and gene methylation in children. Child Dev. 2015, 86, 303–309. [Google Scholar] [CrossRef]
- Grison, S.; Elmhiri, G.; Gloaguen, C.; Elie, C.; Kereselidze, D.; Tack, K.; Lestaevel, P.; Legendre, A.; Manens, L.; Benadjaoud, M.A. Low dose of uranium induces multigenerational epigenetic effects in rat kidney. Int. J. Radiat. Biol. 2018, 94, 975–984. [Google Scholar] [CrossRef]
- Perera, F.; Herbstman, J. Prenatal environmental exposures, epigenetics, and disease. Reprod. Toxicol. 2011, 31, 363–373. [Google Scholar] [CrossRef] [PubMed]
- Sedlak, J.; Lindsay, R.H. Estimation of total, protein-bound, and nonprotein sulfhydryl groups in tissue with Ellman’s reagent. Anal. Biochem. 1968, 25, 192–205. [Google Scholar] [CrossRef] [PubMed]
- Daggett, D.A.; Oberley, T.D.; Nelson, S.A.; Wright, L.S.; Kornguth, S.E.; Siegel, F.L. Effects of lead on rat kidney and liver: GST expression and oxidative stress. Toxicology 1998, 128, 191–206. [Google Scholar] [CrossRef] [PubMed]
- Aebi, H. [13] Catalase in vitro. In Methods in Enzymology; Elsevier: Amsterdam, The Netherlands, 1984; pp. 121–126. [Google Scholar]
- Buege, J.A.; Aust, S.D. [30] Microsomal lipid peroxidation. In Methods in Enzymology; Elsevier: Amsterdam, The Netherlands, 1978; pp. 302–310. [Google Scholar]








Disclaimer/Publisher’s Note: The statements, opinions and data contained in all publications are solely those of the individual author(s) and contributor(s) and not of MDPI and/or the editor(s). MDPI and/or the editor(s) disclaim responsibility for any injury to people or property resulting from any ideas, methods, instructions or products referred to in the content. |
© 2023 by the authors. Licensee MDPI, Basel, Switzerland. This article is an open access article distributed under the terms and conditions of the Creative Commons Attribution (CC BY) license (https://creativecommons.org/licenses/by/4.0/).
Share and Cite
Aldawood, N.; Almustafa, S.; Alwasel, S.; Aldahmash, W.; Ben Bacha, A.; Alamri, A.; Alanazi, M.; Harrath, A.H. Involvement of Autophagy and Oxidative Stress-Mediated DNA Hypomethylation in Transgenerational Nephrotoxicity Induced in Rats by the Mycotoxin Fumonisin B1. Toxins 2023, 15, 663. https://doi.org/10.3390/toxins15110663
Aldawood N, Almustafa S, Alwasel S, Aldahmash W, Ben Bacha A, Alamri A, Alanazi M, Harrath AH. Involvement of Autophagy and Oxidative Stress-Mediated DNA Hypomethylation in Transgenerational Nephrotoxicity Induced in Rats by the Mycotoxin Fumonisin B1. Toxins. 2023; 15(11):663. https://doi.org/10.3390/toxins15110663
Chicago/Turabian StyleAldawood, Nouf, Sarah Almustafa, Saleh Alwasel, Waleed Aldahmash, Abir Ben Bacha, Abdullah Alamri, Mohammad Alanazi, and Abdel Halim Harrath. 2023. "Involvement of Autophagy and Oxidative Stress-Mediated DNA Hypomethylation in Transgenerational Nephrotoxicity Induced in Rats by the Mycotoxin Fumonisin B1" Toxins 15, no. 11: 663. https://doi.org/10.3390/toxins15110663
APA StyleAldawood, N., Almustafa, S., Alwasel, S., Aldahmash, W., Ben Bacha, A., Alamri, A., Alanazi, M., & Harrath, A. H. (2023). Involvement of Autophagy and Oxidative Stress-Mediated DNA Hypomethylation in Transgenerational Nephrotoxicity Induced in Rats by the Mycotoxin Fumonisin B1. Toxins, 15(11), 663. https://doi.org/10.3390/toxins15110663

