Topical Exposure to Nemopilema nomurai Venom Triggers Oedematogenic Effects: Enzymatic Contribution and Identification of Venom Metalloproteinase
Abstract
1. Introduction
2. Results
2.1. Effects of Inhibitors of NnNV Components on Lethality and Oedema
2.2. Induction of Vascular Permeability and Proteolysis of Vascular Basement Membrane Components by NnNV
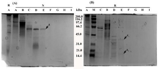
2.3. Isolation and Identification of Enzymatic Components from NnNV
3. Discussion
4. Materials and Methods
4.1. Chemical and Regents
4.2. Sample Collection and Venom Preparation
4.3. Venom Lethality
4.4. Animal Maintenance
4.5. Evaluation of Jellyfish Venom-Induced Oedema
4.6. Thigh Oedema Assay
4.7. Vascular Permeability Assay
4.8. Proteolysis of Vascular Basement Membrane Proteins by NnNV In Vitro
4.9. Fractionation of NnNV by Size Exclusion Gel
4.10. SDS-PAGE Analysis
4.11. Proteolytic Activity on Azocasein
4.12. Phospholipase-Like Activity on NOBA
4.13. In-Gel Digestion and LC-MS/MS Identification of Fraction E
4.14. Statistical Analysis
Supplementary Materials
Author Contributions
Funding
Institutional Review Board Statement
Informed Consent Statement
Data Availability Statement
Conflicts of Interest
References
- Daly, M.; Brugler, M.R.; Cartwright, P.; Collins, A.G.; Dawson, M.N.; Fautin, D.G.; France, S.C.; McFadden, C.S.; Opresko, D.M.; Rodriguez, E.; et al. The phylum Cnidaria: A review of phylogenetic patterns and diversity 300 years after Linnaeus. Zootaxa 2007, 1668, 127–182. [Google Scholar] [CrossRef]
- Santhanam, R. Biology and Ecology of Venomous Marine Cnidarians; Springer: Singapore, 2020; pp. 1–5. [Google Scholar] [CrossRef]
- Badré, S. Bioactive toxins from stinging jellyfish. Toxicon 2014, 91, 114–125. [Google Scholar] [CrossRef] [PubMed]
- Dong, Z.; Liu, D.; Keesing, J.K. Jellyfish blooms in China: Dominant species, causes and consequences. Mar. Pollut. Bull. 2010, 60, 954–963. [Google Scholar] [CrossRef] [PubMed]
- Kokelj, F.; Plozzer, C. Irritant contact dermatitis from the jellyfish Rhizostoma pulmo. Contact Dermat. 2002, 46, 179–180. [Google Scholar] [CrossRef]
- Sendovski, U.; Marina, G.; Liubov, G. Severe delayed cutaneous reaction due to Mediterranean jellyfish (Rhopilema nomadica) envenomation. Contact Dermat. 2005, 52, 282–283. [Google Scholar] [CrossRef]
- Ponce, D.; Brinkman, D.L.; Potriquet, J.; Mulvenna, J.P. Tentacle Transcriptome and Venom Proteome of the Pacific Sea Nettle, Chrysaora fuscescens (Cnidaria: Scyphozoa). Toxins 2016, 8, 102. [Google Scholar] [CrossRef]
- Brinkman, D.L.; Jia, X.; Potriquet, J.; Kumar, D.; Dash, D.; Kvaskoff, D.; Mulvenna, J.P. Transcriptome and venom proteome of the box jellyfish Chironex fleckeri. BMC Genom. 2015, 16, 1–15. [Google Scholar] [CrossRef]
- Li, R.; Yu, H.; Xue, W.; Yue, Y.; Liu, S.; Xing, R.; Li, P. Jellyfish venomics and venom gland transcriptomics analysis of Stomolophus meleagris to reveal the toxins associated with sting. J. Proteom. 2014, 106, 17–29. [Google Scholar] [CrossRef]
- Brinkman, D.L.; Konstantakopoulos, N.; McInerney, B.V.; Mulvenna, J.; Seymour, J.E.; Isbister, G.K.; Hodgson, W.C. Chironex fleckeri (box jellyfish) venom proteins expansion of a cnidarian toxin family that elicits variable cytolytic and cardiovascular effects. J. Biol. Chem. 2014, 289, 4798–4812. [Google Scholar] [CrossRef]
- Sánchez-Rodríguez, J.; Torrens, E.; Segura-Puertas, L. Partial purification and characterization of a novel neurotoxin and three cytolysins from box jellyfish (Carybdea marsupialis) nematocyst venom. Arch. Toxicol. 2005, 80, 163–168. [Google Scholar] [CrossRef]
- Nagai, H.; Takuwa, K.; Nakao, M.; Sakamoto, B.; Crow, G.L.; Nakajima, T. Isolation and Characterization of a Novel Protein Toxin from the Hawaiian Box Jellyfish (Sea Wasp) Carybdea alata. Biochem. Biophys. Res. Commun. 2000, 275, 589–594. [Google Scholar] [CrossRef] [PubMed]
- Kintner, A.H.; Seymour, J.; Edwards, S. Variation in lethality and effects of two Australian chirodropid jellyfish venoms in fish. Toxicon 2005, 46, 699–708. [Google Scholar] [CrossRef] [PubMed]
- Kang, C.; Munawir, A.; Cha, M.; Sohn, E.-T.; Lee, H.; Kim, J.-S.; Yoon, W.D.; Lim, D.; Kim, E.K. Cytotoxicity and hemolytic activity of jellyfish Nemopilema nomurai (Scyphozoa: Rhizostomeae) venom. Comp. Biochem. Physiol. Part C Toxicol. Pharmacol. 2009, 150, 85–90. [Google Scholar] [CrossRef] [PubMed]
- Yu, H.; Liu, X.; Dong, X.; Li, C.; Xing, R.; Liu, S.; Li, P. Insecticidal activity of proteinous venom from tentacle of jellyfish Rhopilema esculentum Kishinouye. Bioorg. Med. Chem. Lett. 2005, 15, 4949–4952. [Google Scholar] [CrossRef] [PubMed]
- Yu, H.-H.; Liu, X.-G.; Xing, R.-E.; Liu, S.; Guo, Z.-Y.; Wang, P.-B.; Li, C.-P.; Li, P. In vitro determination of antioxidant activity of proteins from jellyfish Rhopilema esculentum. Food Chem. 2006, 95, 123–130. [Google Scholar] [CrossRef]
- Toom, P.M.; Chan, D.S. Enzymatic activities of venom from the jellyfishStomolophus meleagris. Comp. Biochem. Physiol. Part B Comp. Biochem. 1972, 43, 435–441. [Google Scholar] [CrossRef]
- Helmholz, H.; Ruhnau, C.; Schütt, C.; Prange, A. Comparative study on the cell toxicity and enzymatic activity of two northern scyphozoan species Cyanea capillata (L.) and Cyanea lamarckii (Péron & Léslieur). Toxicon 2007, 50, 53–64. [Google Scholar] [CrossRef]
- Yue, Y.; Yu, H.; Li, R.; Xing, R.; Liu, S.; Li, K.; Wang, X.; Chen, R.; Li, P. Biochemical and kinetic evaluation of the enzymatic toxins from two stinging scyphozoans Nemopilema nomurai and Cyanea nozakii. Toxicon 2017, 125, 1–12. [Google Scholar] [CrossRef]
- Yue, Y.; Yu, H.; Li, R.; Xing, R.; Liu, S.; Li, K.; Wang, X.; Chen, X.; Li, P. Functional Elucidation of Nemopilema nomurai and Cyanea nozakii Nematocyst Venoms’ Lytic Activity Using Mass Spectrometry and Zymography. Toxins 2017, 9, 47. [Google Scholar] [CrossRef]
- Medzhitov, R. Inflammation 2010: New Adventures of an Old Flame. Cell 2010, 140, 771–776. [Google Scholar] [CrossRef]
- Morris, C.J. Carrageenan-induced paw edema in the rat and mouse. Methods Mol. Biol. 2003, 225, 115–121. [Google Scholar] [CrossRef] [PubMed]
- Teixeira, C.; Cury, Y.; Moreira, V.; Picolo, G.; Chaves, F. Inflammation induced by Bothrops asper venom. Toxicon 2009, 54, 67–76. [Google Scholar] [CrossRef] [PubMed]
- Silfen, R.; Vilan, A.; Wohl, I.; Leviav, A. Mediterranean jellyfish (Rhopilema nomadica) sting. Burns 2003, 29, 868–870. [Google Scholar] [CrossRef]
- Bordehore, C.; Nogué, S.; Gili, J.-M.; Acevedo, M.J.; Fuentes, V.L. Carybdea marsupialis (Cubozoa) in the Mediterranean Sea: The First Case of a Sting Causing Cutaneous and Systemic Manifestations. J. Travel Med. 2015, 22, 61–63. [Google Scholar] [CrossRef] [PubMed]
- Mosovich, J.H.; Young, P. Olindias sambaquiensis jellyfish sting. Analysis of 49 cases. Med. B. Aires 2012, 72, 380–388. [Google Scholar]
- Lee, E.H.; Park, J.E.; Park, J.W.; Lee, J.S. Purification and biochemical characterization of a fibrin(ogen)olytic metalloprotease from Macrovipera mauritanica snake venom which induces vascular permeability. Int. J. Mol. Med. 2014, 34, 1180–1190. [Google Scholar] [CrossRef]
- Bernardes, C.P.; Menaldo, D.L.; Camacho, E.; Rosa, J.C.; Escalante, T.; Rucavado, A.; Lomonte, B.; Gutiérrez, J.M.; Sampaio, S.V. Proteomic analysis of Bothrops pirajai snake venom and characterization of BpirMP, a new P-I metalloproteinase. J. Proteom. 2013, 80, 250–267. [Google Scholar] [CrossRef]
- Leonardi, A.; Sajevic, T.; Kovačič, L.; Pungerčar, J.; Balija, M.L.; Halassy, B.; Bakija, A.T.; Križaj, I. Hemorrhagin VaH4, a covalent heterodimeric P-III metalloproteinase from Vipera ammodytes ammodytes with a potential antitumour activity. Toxicon 2014, 77, 141–155. [Google Scholar] [CrossRef]
- Mamede, C.C.N.; De Sousa, B.B.; Pereira, D.F.D.C.; Matias, M.S.; De Queiroz, M.R.; De Morais, N.C.G.; Vieira, S.A.P.B.; Stanziola, L.; De Oliveira, F. Comparative analysis of local effects caused by Bothrops alternatus and Bothrops moojeni snake venoms: Enzymatic contributions and inflammatory modulations. Toxicon 2016, 117, 37–45. [Google Scholar] [CrossRef]
- Zychar, B.C.; Dale, C.S.; Demarchi, D.S.; Gonçalves, L.R.C. Contribution of metalloproteases, serine proteases and phospholipases A2 to the inflammatory reaction induced by Bothrops jararaca crude venom in mice. Toxicon 2010, 55, 227–234. [Google Scholar] [CrossRef]
- Lima, A.A.M.; Nascimento, N.R.F.D.; Fang, G.D.; Yotseff, P.; Toyama, M.H.; Guerrant, R.L.; Fonteles, M.C. Role of phospholipase A2and tyrosine kinase in Clostridium difficile toxin A-induced disruption of epithelial integrity, histologic inflammatory damage and intestinal secretion. J. Appl. Toxicol. 2008, 28, 849–857. [Google Scholar] [CrossRef] [PubMed]
- Mamede, C.C.N.; Simamoto, B.B.D.S.; Pereira, D.F.D.C.; Costa, J.D.O.; Ribeiro, M.S.M.; De Oliveira, F. Edema, hyperalgesia and myonecrosis induced by Brazilian bothropic venoms: Overview of the last decade. Toxicon 2020, 187, 10–18. [Google Scholar] [CrossRef] [PubMed]
- Remigante, A.; Costa, R.; Morabito, R.; La Spada, G.; Marino, A.; Dossena, S. Impact of Scyphozoan Venoms on Human Health and Current First Aid Options for Stings. Toxins 2018, 10, 133. [Google Scholar] [CrossRef]
- De Donno, A.; Idolo, A.; Bagordo, F. Epidemiology of jellyfish stings reported to summer health centres in the Salento peninsula (Italy). Contact Dermat. 2009, 60, 330–335. [Google Scholar] [CrossRef] [PubMed]
- Yue, Y.; Yu, H.; Li, R.; Liu, S.; Xing, R.; Li, P. Insights into individual variations in nematocyst venoms from the giant jellyfish Nemopilema nomurai in the Yellow Sea. Sci. Rep. 2019, 9, 3361. [Google Scholar] [CrossRef] [PubMed]
- Monteiro-Machado, M.; Tomaz, M.A.; Fonseca, R.J.; Strauch, M.A.; Cons, B.L.; Borges, P.A.; Patrão-Neto, F.C.; Tavares-Henriques, M.S.; Teixeira-Cruz, J.M.; Calil-Eliás, S.; et al. Occurrence of sulfated fucose branches in fucosylated chondroitin sulfate are essential for the polysaccharide effect preventing muscle damage induced by toxins and crude venom from Bothrops jararacussu snake. Toxicon 2015, 98, 20–33. [Google Scholar] [CrossRef] [PubMed]
- Da Silva, I.R.F.; Lorenzetti, R.; Rennó, A.L.; Baldissera, L.; Zelanis, A.; Serrano, S.M.T.; Hyslop, S. BJ-PI2, A non-hemorrhagic metalloproteinase from Bothrops jararaca snake venom. Biochim. Biophys. Acta (BBA) Gen. Subj. 2012, 1820, 1809–1821. [Google Scholar] [CrossRef] [PubMed]







| Protein | Sequence | Mw | Accession | Description | Score |
|---|---|---|---|---|---|
| Nn65 (E) | KPSGGMIHSPVGPGIR | 795 | E3UJT4_MNELE | TALE class homeobox transcription factor Meis OS = Mnemiopsis leidyi | 83 |
| KDSENDVER | 546 | A0A1W6LRY4_9CNID | Pp4 OS = Cladonema pacificum | 14 | |
| LQIDVSEWGCLR | 738 | R9YI93_9CNID | Retinoid X receptor OS = Clytia hemisphaerica | 13 | |
| Nn65 (E2) | KPSGGMIHSPVGPGIR | 795 | E3UJT4_MNELE | TALE class homeobox transcription factor Meis OS = Mnemiopsis leidyi | 110 |
| MLAPTEPLLSK | 600 | E3UJW2_MNELE | SIX class homeobox transcription factor SIX59b OS = Mnemiopsis leidyi | 15 | |
| LQIDVSEWGCLR | 738 | R9YI93_9CNID | Retinoid X receptor OS = Clytia hemisphaerica | 13 |
Publisher’s Note: MDPI stays neutral with regard to jurisdictional claims in published maps and institutional affiliations. |
© 2021 by the authors. Licensee MDPI, Basel, Switzerland. This article is an open access article distributed under the terms and conditions of the Creative Commons Attribution (CC BY) license (http://creativecommons.org/licenses/by/4.0/).
Share and Cite
Yue, Y.; Yu, H.; Li, R.; Li, P. Topical Exposure to Nemopilema nomurai Venom Triggers Oedematogenic Effects: Enzymatic Contribution and Identification of Venom Metalloproteinase. Toxins 2021, 13, 44. https://doi.org/10.3390/toxins13010044
Yue Y, Yu H, Li R, Li P. Topical Exposure to Nemopilema nomurai Venom Triggers Oedematogenic Effects: Enzymatic Contribution and Identification of Venom Metalloproteinase. Toxins. 2021; 13(1):44. https://doi.org/10.3390/toxins13010044
Chicago/Turabian StyleYue, Yang, Huahua Yu, Rongfeng Li, and Pengcheng Li. 2021. "Topical Exposure to Nemopilema nomurai Venom Triggers Oedematogenic Effects: Enzymatic Contribution and Identification of Venom Metalloproteinase" Toxins 13, no. 1: 44. https://doi.org/10.3390/toxins13010044
APA StyleYue, Y., Yu, H., Li, R., & Li, P. (2021). Topical Exposure to Nemopilema nomurai Venom Triggers Oedematogenic Effects: Enzymatic Contribution and Identification of Venom Metalloproteinase. Toxins, 13(1), 44. https://doi.org/10.3390/toxins13010044

