Identification of Allergens in White- and Red-Fleshed Pitaya (Selenicereus undatus and Selenicereus costaricensis) Seeds Using Bottom-Up Proteomics Coupled with Immunoinformatics
Abstract
:1. Introduction
2. Materials and Methods
2.1. Patient Sera Collection
2.2. Preparation of Protein Extract
2.3. Reduced SDS–PAGE Analysis
2.4. Immunoblotting with IgE
2.5. LC–MS/MS Proteomic Investigation and Immunobioinformatics Analysis
2.6. RT-PCR and Cloning
3. Results
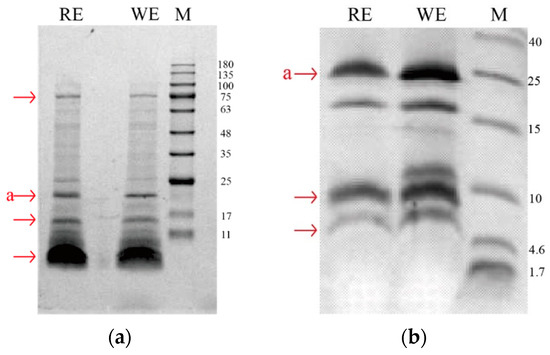
3.1. Gel Electrophoresis Separation of Pitaya Seed Proteins
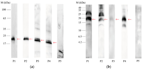
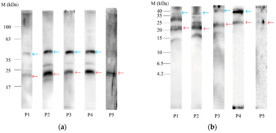
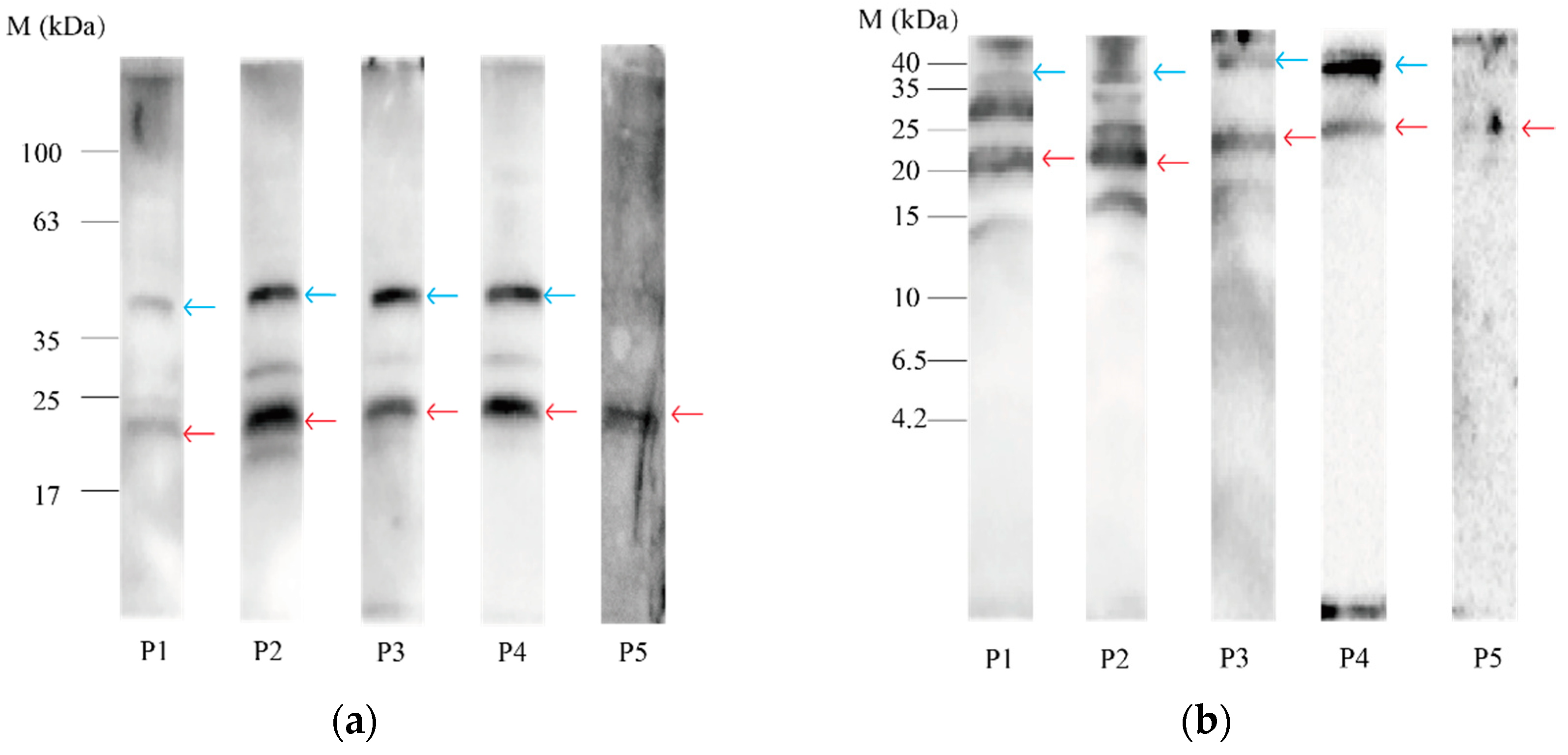
3.2. Immunoblot Analysis for IgE Binding
3.3. LC–MS/MS Identification of the IgE-Binding Protein Bands
3.4. Immunoinformatic Analysis for Identified Proteins Using Allergen Prediction Platform Online
3.5. RT-PCR Analysis for Expression of Potential Allergen in White- and Red-Fleshed Pitaya Seeds on the Level of mRNA
4. Discussion
5. Conclusions
Supplementary Materials
Author Contributions
Funding
Institutional Review Board Statement
Informed Consent Statement
Data Availability Statement
Acknowledgments
Conflicts of Interest
References
- Wu, L.-C.; Hsu, H.-W.; Chen, Y.-C.; Chiu, C.-C.; Lin, Y.-I.; Ho, J.-A.A. Antioxidant and antiproliferative activities of red pitaya. Food Chem. 2006, 95, 319–327. [Google Scholar] [CrossRef]
- Tenore, G.C.; Novellino, E.; Basile, A. Nutraceutical potential and antioxidant benefits of red pitaya (Hylocereus polyrhizus) extracts. J. Funct. Foods 2012, 4, 129–136. [Google Scholar] [CrossRef]
- Ariffin, A.A.; Bakar, J.; Tan, C.P.; Rahman, R.A.; Karim, R.; Loi, C.C. Essential fatty acids of pitaya (dragon fruit) seed oil. Food Chem. 2009, 114, 561–564. [Google Scholar] [CrossRef]
- Liaotrakoon, W.; De Clercq, N.; Van Hoed, V.; Van De Walle, D.; Lewille, B.; Dewettinck, K. Impact of Thermal Treatment on Physicochemical, Antioxidative and Rheological Properties of White-Flesh and Red-Flesh Dragon Fruit (Hylocereus spp.) Purees. Food Bioprocess Technol. 2011, 6, 416–430. [Google Scholar] [CrossRef]
- Joshi, M.; Prabhakar, B. Phytoconstituents and pharmaco-therapeutic benefits of pitaya: A wonder fruit. J. Food Biochem. 2020, 44, e13260. [Google Scholar] [CrossRef] [PubMed]
- Zulkifli, S.A.; Gani, S.S.A.; Zaidan, U.H.; Halmi, M.I.E. Optimization of Total Phenolic and Flavonoid Contents of Defatted Pitaya (Hylocereus polyrhizus) Seed Extract and Its Antioxidant Properties. Molecules 2020, 25, 787. [Google Scholar] [CrossRef] [PubMed] [Green Version]
- Barre, A.; Simplicien, M.; Benoist, H.; Rougé, P. Fruit allergies: Beware of the seed allergens! Revue Française d’Allergologie 2018, 58, 308–317. [Google Scholar] [CrossRef]
- García-Menaya, J.M.; Cordobés-Durán, C.; Bobadilla, P.; Ledesma, A.; Pérez-Rangel, I. Hypersensitivity systemic reaction to cactus fruit (Opuntia ficus-indica). Allergy 2009, 64, 1689–1690. [Google Scholar] [CrossRef]
- Kleinheinz, A.; Lepp, U.; Hausen, B.M.; Petersen, A.; Becker, W.-M. Anaphylactic reaction to (mixed) fruit juice containing dragon fruit. J. Allergy Clin. Immunol. 2009, 124, 841–842. [Google Scholar] [CrossRef]
- Pali-Schöll, I.; Verhoeckx, K.; Mafra, I.; Bavaro, S.L.; Mills, E.C.; Monaci, L. Allergenic and novel food proteins: State of the art and challenges in the allergenicity assessment. Trends Food Sci. Technol. 2019, 84, 45–48. [Google Scholar] [CrossRef]
- Ladics, G. Current codex guidelines for assessment of potential protein allergenicity. Food Chem. Toxicol. 2008, 46, S20–S23. [Google Scholar] [CrossRef] [PubMed]
- Galvez, M.J.; Castro, H.A.; Villamil, C.B. Antigenic patterns of seed proteins in Opuntioideae (Cactaceae). Biochem. Syst. Ecol. 2009, 37, 91–97. [Google Scholar] [CrossRef]
- Guo, X.; Jiang, S.; Li, X.; Yang, S.; Cheng, L.; Qiu, J.; Che, H. Sequence analysis of digestion-resistant peptides may be an efficient strategy for studying the linear epitopes of Jug r 1, the major walnut allergen. Food Chem. 2020, 322, 126711. [Google Scholar] [CrossRef]
- De Angelis, E.; Pilolli, R.; Bavaro, S.L.; Monaci, L. Insight into the gastro-duodenal digestion resistance of soybean proteins and potential implications for residual immunogenicity. Food Funct. 2017, 8, 1599–1610. [Google Scholar] [CrossRef] [PubMed]
- Rio, D.C.; Ares, M., Jr.; Hannon, G.J.; Nilsen, T.W. Purification of RNA Using TRIzol (TRI Reagent). Cold Spring Harb. Protoc. 2010, 2010, pdb-prot5439. [Google Scholar] [CrossRef]
- Zheng, J.; Meinhardt, L.W.; Goenaga, R.; Zhang, D.; Yin, Y. The chromosome-level genome of dragon fruit reveals whole-genome duplication and chromosomal co-localization of betacyanin biosynthetic genes. Hortic. Res. 2021, 8, 1–16. [Google Scholar] [CrossRef]
- Huang, Y.; Brennan, M.A.; Kasapis, S.; Richardson, S.J.; Brennan, C.S. Maturation Process, Nutritional Profile, Bioactivities and Utilisation in Food Products of Red Pitaya Fruits: A Review. Foods 2021, 10, 2862. [Google Scholar] [CrossRef]
- Li, X.; Li, M.; Ji, N.; Jin, P.; Zhang, J.; Zheng, Y.; Zhang, X.; Li, F. Cold plasma treatment induces phenolic accumulation and enhances antioxidant activity in fresh-cut pitaya (Hylocereus undatus) fruit. LWT 2019, 115. [Google Scholar] [CrossRef]
- Sirvent, S.; Cantó, B.; Cuesta-Herranz, J.; Gómez, F.; Blanca, N.; Canto, G.; Blanca, M.; Rodríguez, R.; Villalba, M.; Palomares, O. Act d 12 and Act d 13: Two novel, masked, relevant allergens in kiwifruit seeds. J. Allergy Clin. Immunol. 2014, 133, 1765–1767.e4. [Google Scholar] [CrossRef] [Green Version]
- Pastorello, E.A.; Varin, E.; Farioli, L.; Pravettoni, V.; Ortolani, C.; Trambaioli, C.; Fortunato, D.; Giuffrida, M.G.; Rivolta, F.; Robino, A.; et al. The major allergen of sesame seeds (Sesamum indicum) is a 2S albumin. J. Chromatogr. B Biomed. Sci. Appl. 2001, 756, 85–93. [Google Scholar] [CrossRef]
- Beyer, K.; Bardina, L.; Grishina, G.; Sampson, H.A. Identification of sesame seed allergens by 2-dimensional proteomics and Edman sequencing: Seed storage proteins as common food allergens. J. Allergy Clin. Immunol. 2002, 110, 154–159. [Google Scholar] [CrossRef] [PubMed]
- Krause, S.; Reese, G.; Randow, S.; Zennaro, D.; Quaratino, D.; Palazzo, P.; Ciardiello, M.A.; Petersen, A.; Becker, W.-M.; Mari, A. Lipid transfer protein (Ara h 9) as a new peanut allergen relevant for a Mediterranean allergic population. J. Allergy Clin. Immunol. 2009, 124, 771–778.e5. [Google Scholar] [CrossRef]
- Radauer, C.; Bublin, M.; Wagner, S.; Mari, A.; Breiteneder, H. Allergens are distributed into few protein families and possess a restricted number of biochemical functions. J. Allergy Clin. Immunol. 2008, 121, 847–852.e7. [Google Scholar] [CrossRef] [PubMed]
- Saha, B.; Sircar, G.; Pandey, N.; Bhattacharya, S.G. Mining Novel Allergens from Coconut Pollen Employing Manual De Novo Sequencing and Homology-Driven Proteomics. J. Proteome Res. 2015, 14, 4823–4833. [Google Scholar] [CrossRef] [PubMed]
- Cui, Y.; Yu, L.; Teng, F.; Zhang, C.; Wang, N.; Yang, L.; Zhou, Y. Transcriptomic/proteomic identification of allergens in the mite Tyrophagus putrescentiae. Allergy 2016, 71, 1635–1639. [Google Scholar] [CrossRef] [PubMed]
- Gruehn, S.; Suphioglu, C.; O’Hehir, R.; Volkmann, D. Molecular Cloning and Characterization of Hazel Pollen Protein (70 kD) as a Luminal Binding Protein (BiP): A Novel Cross-Reactive Plant Allergen. Int. Arch. Allergy Immunol. 2003, 131, 91–100. [Google Scholar] [CrossRef]
- Andersson, A.; Rasool, O.; Schmidt, M.; Kodzius, R.; Flückiger, S.; Zargari, A.; Crameri, R.; Scheynius, A. Cloning, expression and characterization of two new IgE-binding proteins from the yeast Malassezia sympodialis with sequence similarities to heat shock proteins and manganese superoxide dismutase. JBIC J. Biol. Inorg. Chem. 2004, 271, 1885–1894. [Google Scholar] [CrossRef]
- Bianco, M.; Ventura, G.; Calvano, C.D.; Losito, I.; Cataldi, T.R. A new paradigm to search for allergenic proteins in novel foods by integrating proteomics analysis and in silico sequence homology prediction: Focus on spirulina and chlorella microalgae. Talanta 2021, 240, 123188. [Google Scholar] [CrossRef]
- Fiers, M.W.E.J.; A Kleter, G.; Nijland, H.; Peijnenburg, A.A.C.M.; Nap, J.P.; Van Ham, R.C.H.J. Allermatch™, a webtool for the prediction of potential allergenicity according to current FAO/WHO Codex alimentarius guidelines. BMC Bioinform. 2004, 5, 133. [Google Scholar] [CrossRef] [Green Version]
- Sharma, N.; Patiyal, S.; Dhall, A.; Pande, A.; Arora, C.; Raghava, G.P.S. AlgPred 2.0: An improved method for predicting allergenic proteins and mapping of IgE epitopes. Briefings Bioinform. 2020. [Google Scholar] [CrossRef]
- Maurer-Stroh, S.; Krutz, N.L.; Kern, P.S.; Gunalan, V.; Nguyen, M.N.; Limviphuvadh, V.; Eisenhaber, F.; Gerberick, G.F. AllerCatPro—prediction of protein allergenicity potential from the protein sequence. Bioinformatics 2019, 35, 3020–3027. [Google Scholar] [CrossRef] [PubMed] [Green Version]
- Jeon, Y.H. Pollen-food allergy syndrome in children. Clin. Exp. Pediatr. 2020, 63, 463–468. [Google Scholar] [CrossRef] [PubMed]
- Faber, M.A.; Van Gasse, A.L.; Decuyper, I.I.; Sabato, V.; Hagendorens, M.M.; Mertens, C.; Bridts, C.H.; De Clerck, L.S.; Ebo, D.G. Cross-Reactive Aeroallergens: Which Need to Cross Our Mind in Food Allergy Diagnosis? J. Allergy Clin. Immunol. Pr. 2018, 6, 1813–1823. [Google Scholar] [CrossRef] [PubMed]




| Protein Bands | N. | Description | Accession in UniProtKB Database | Score | Mass (Da) | Peptides (Unique) | Coverage (%) | emPAI |
|---|---|---|---|---|---|---|---|---|
| a | 1 | Uncharacterized protein (Fragment) OS = Beta vulgaris subsp. vulgaris | A0A0J8DSR1 | 158 | 26,488 | 6(6) | 24.1 | 1.29 |
| 2 | Cupin type-1 domain-containing protein OS = Opuntia streptacantha | A0A7C8ZNT3 | 143 | 18,045 | 2(1) | 12.7 | 0.41 | |
| 3 | Uncharacterized protein OS = Spinacia oleracea | A0A0K9RTZ6 | 137 | 65,882 | 2(1) | 4.7 | 0.1 | |
| 4 | Uncharacterized protein OS = Chenopodium quinoa | A0A803LTG6 | 132 | 19,434 | 4(4) | 27.5 | 1.22 | |
| 5 | Heat shock protein 70 OS = Spinacia oleracea | A0A1I9TK81 | 106 | 71,808 | 3(3) | 6.1 | 0.14 |
| Protein Bands | N. | Description | Accession in UniProtKB Database | Score | Mass (Da) | Peptides (Unique) | Coverage (%) | emPAI |
|---|---|---|---|---|---|---|---|---|
| a | 1 | Proteasome subunit beta (Fragment) OS = Spinacia oleracea | A0A0K9S2G1 | 315 | 29,745 | 4(1) | 20.4 | 1.1 |
| 2 | Uncharacterized protein (Fragment) OS = Opuntia streptacantha | A0A7C8YRP5 | 283 | 15,393 | 4(1) | 37.8 | 3.02 | |
| 3 | Cupin type-1 domain-containing protein OS = Opuntia streptacantha | A0A7C8ZNT3 | 274 | 18,045 | 2(1) | 12.7 | 0.41 | |
| 4 | Uncharacterized protein OS = Opuntia streptacantha | A0A7C9B091 | 248 | 64,965 | 5(5) | 11 | 0.34 | |
| 5 | Heat shock protein 70 OS = Spinacia oleracea | A0A1I9TK81 | 230 | 71,808 | 6(6) | 11 | 0.43 | |
| 6 | Actin 11 OS = Sesuvium portulacastrum | A0A1L5JKA9 | 206 | 41,929 | 6(6) | 19.2 | 0.7 | |
| 7 | Ribosomal_L18e/L15P domain-containing protein OS = Beta vulgaris subsp. Vulgaris | A0A0J8FEI6 | 182 | 20,923 | 4(3) | 26.2 | 1.45 | |
| 8 | Formamidase OS = Opuntia streptacantha | A0A7C9EWT0 | 182 | 52,325 | 3(3) | 8.7 | 0.36 | |
| 9 | Uncharacterized protein OS = Spinacia oleracea | A0A0K9RTZ6 | 179 | 65,882 | 2(1) | 4.7 | 0.1 | |
| 10 | Uncharacterized protein (Fragment) OS = Opuntia streptacantha | A0A7C8YRL3 | 170 | 15,770 | 4(2) | 34.2 | 2.91 | |
| 11 | Proteasome subunit beta OS = Opuntia streptacantha | A0A7C9D7H1 | 164 | 22,828 | 4(4) | 15.6 | 1.27 | |
| 12 | Cupin_5 domain-containing protein OS = Opuntia streptacantha | A0A7C9CU14 | 156 | 22,754 | 1(1) | 6.5 | 0.32 | |
| 13 | Uncharacterized protein OS = Opuntia streptacantha | A0A7C8ZZS4 | 146 | 22,123 | 4(1) | 28 | 0.76 | |
| 14 | GTP-binding nuclear protein OS = Spinacia oleracea | A0A0K9R796 | 131 | 25,564 | 4(3) | 20.8 | 0.64 | |
| 15 | Uncharacterized protein OS = Chenopodium quinoa | A0A803LTG6 | 129 | 19,434 | 3(0) | 19.9 | 1.22 | |
| 16 | Thioredoxin-dependent peroxiredoxin OS = Tamarix hispida | I0CC94 | 123 | 30,019 | 2(1) | 10.9 | 0.52 | |
| 17 | Uncharacterized protein OS = Opuntia streptacantha | A0A7C8Z5R6 | 122 | 22,142 | 4(1) | 22.8 | 0.76 |
| Description of Potential Allergen (Accession in UniProtKB Database) | Protein Family for Potential Allergen | Predicted Most Similar Allergen | Protein Family for Predicted Most Similar Allergen | Predicted Most Similar Allergen Source | Predicted Most Similar Allergen Exposed Way |
|---|---|---|---|---|---|
| Cupin type-1 domain-containing protein OS = Opuntia streptacantha (A0A7C8ZNT3) | Cupin_1 | Pollen allergen Coc n 1 | Vicilin-like protein | Cocos nucifera (Coconut) | Airway |
| Uncharacterized protein OS = Spinacia oleracea (A0A0K9RTZ6) | Cupin_1 | Pollen allergen Coc n 1 | Vicilin-like protein | Cocos nucifera (Coconut) | Airway |
| Heat shock protein 70 OS = Spinacia oleracea (A0A1I9TK81) | Heat shock protein 70 | Tyr p 28 | Heat shock protein | Tyrophagus putrescentiae (Storage mite) | Airway |
| Description of Potential Allergen (Accession in UniProtKB Database) | Protein Family for Potential Allergen | Predicted Most Similar Allergen | Protein Family for Predicted Most Similar Allergen | Predicted Most Similar Allergen Source | Predicted Most Similar Allergen Exposed Way |
|---|---|---|---|---|---|
| Cupin type-1 domain-containing protein OS = Opuntia streptacantha (A0A7C8ZNT3) | Cupin_1 | Pollen allergen Coc n 1 | vicilin-like protein | Cocos nucifera (Coconut) | Airway |
| Uncharacterized protein OS = Opuntia streptacantha (A0A7C9B091) | Heat shock protein Sti1-like | Hev b 5 | Acidic protein | Hevea brasiliensis (Para rubber tree (latex)) | Contact |
| Heat shock protein 70 OS = Spinacia oleracea (A0A1I9TK81) | Heat shock protein 70 | Tyr p 28 | Heat shock protein | Tyrophagus putrescentiae (Storage mite) | airway |
| Uncharacterized protein OS = Spinacia oleracea (A0A0K9RTZ6) | Cupin_1 | Gly m Bd 28K | Cupin_1 | Glycine max (Soybean) | Food |
| Thioredoxin-dependent peroxiredoxin OS = Tamarix hispida (I0CC94) | AhpC-TSA domain, 1-cysPrx_C domain | thiol peroxiredoxin | Peroxiredoxin, AhpC-type | Bombyx mori (domestic silkworm) | Airway |
| Predicted Allergen (Accession in UniProtKB Database) | Accession of mRNA Sequences for Predicted Allergen in ENA Database | BLAST Search against Selenicereus undatus Genome in NCBI | Homology among Theoretical and Experimental Proteins | |||
|---|---|---|---|---|---|---|
| E Value | Per. Ident | Acc. Len | Accession | |||
| Cupin type-1 domain-containing protein OS = Opuntia streptacantha (A0A7C8ZNT3) | AFH74407 | 3.00 × 10−158 | 86.93 | 117,650,587 | JACYFF010031955.1 | 85.03% |
| Heat shock protein 70 OS = Spinacia oleracea (A0A1I9TK81) | AOZ81415 | 0 | 80.61 | 112,022,934 | JACYFF010031958.1 | 92.01% |
| Uncharacterized protein OS = Opuntia streptacantha (A0A7C9B091) | MBA4679171 | 0 | 87 | 109,661,751 | JACYFF010031956.1 | 86.20% |
| Uncharacterized protein OS = Spinacia oleracea (A0A0K9RTZ6) | KNA22928 | No significant similarity found. | ||||
| Thioredoxin-dependent peroxiredoxin OS = Tamarix hispida (I0CC94) | AFH74407 | No significant similarity found. | ||||
Publisher’s Note: MDPI stays neutral with regard to jurisdictional claims in published maps and institutional affiliations. |
© 2022 by the authors. Licensee MDPI, Basel, Switzerland. This article is an open access article distributed under the terms and conditions of the Creative Commons Attribution (CC BY) license (https://creativecommons.org/licenses/by/4.0/).
Share and Cite
Hao, M.; Xijiri; Zhao, Z.; Che, H. Identification of Allergens in White- and Red-Fleshed Pitaya (Selenicereus undatus and Selenicereus costaricensis) Seeds Using Bottom-Up Proteomics Coupled with Immunoinformatics. Nutrients 2022, 14, 1962. https://doi.org/10.3390/nu14091962
Hao M, Xijiri, Zhao Z, Che H. Identification of Allergens in White- and Red-Fleshed Pitaya (Selenicereus undatus and Selenicereus costaricensis) Seeds Using Bottom-Up Proteomics Coupled with Immunoinformatics. Nutrients. 2022; 14(9):1962. https://doi.org/10.3390/nu14091962
Chicago/Turabian StyleHao, Mengzhen, Xijiri, Ziyi Zhao, and Huilian Che. 2022. "Identification of Allergens in White- and Red-Fleshed Pitaya (Selenicereus undatus and Selenicereus costaricensis) Seeds Using Bottom-Up Proteomics Coupled with Immunoinformatics" Nutrients 14, no. 9: 1962. https://doi.org/10.3390/nu14091962
APA StyleHao, M., Xijiri, Zhao, Z., & Che, H. (2022). Identification of Allergens in White- and Red-Fleshed Pitaya (Selenicereus undatus and Selenicereus costaricensis) Seeds Using Bottom-Up Proteomics Coupled with Immunoinformatics. Nutrients, 14(9), 1962. https://doi.org/10.3390/nu14091962

